A Novel Minimally Invasive Surgical Technique for Eight-Plate Hemiepiphysiodesis: Description and Evaluation
Abstract
1. Introduction
2. Surgical Technique, Patients and Methods, Statistics
2.1. Patients and Methods
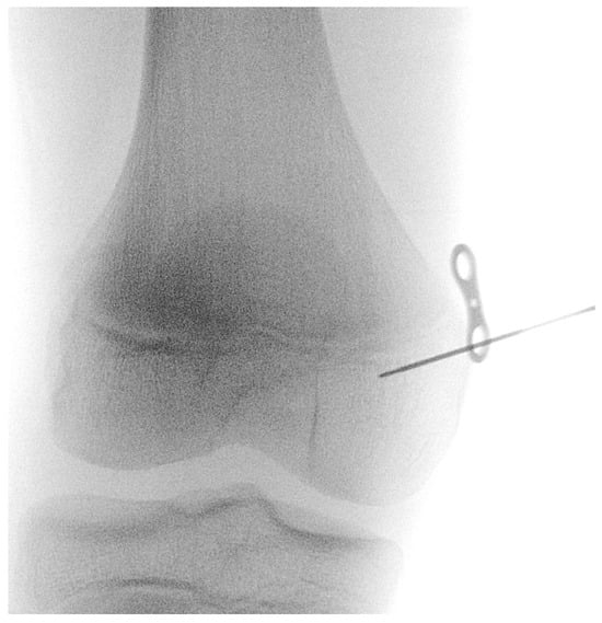
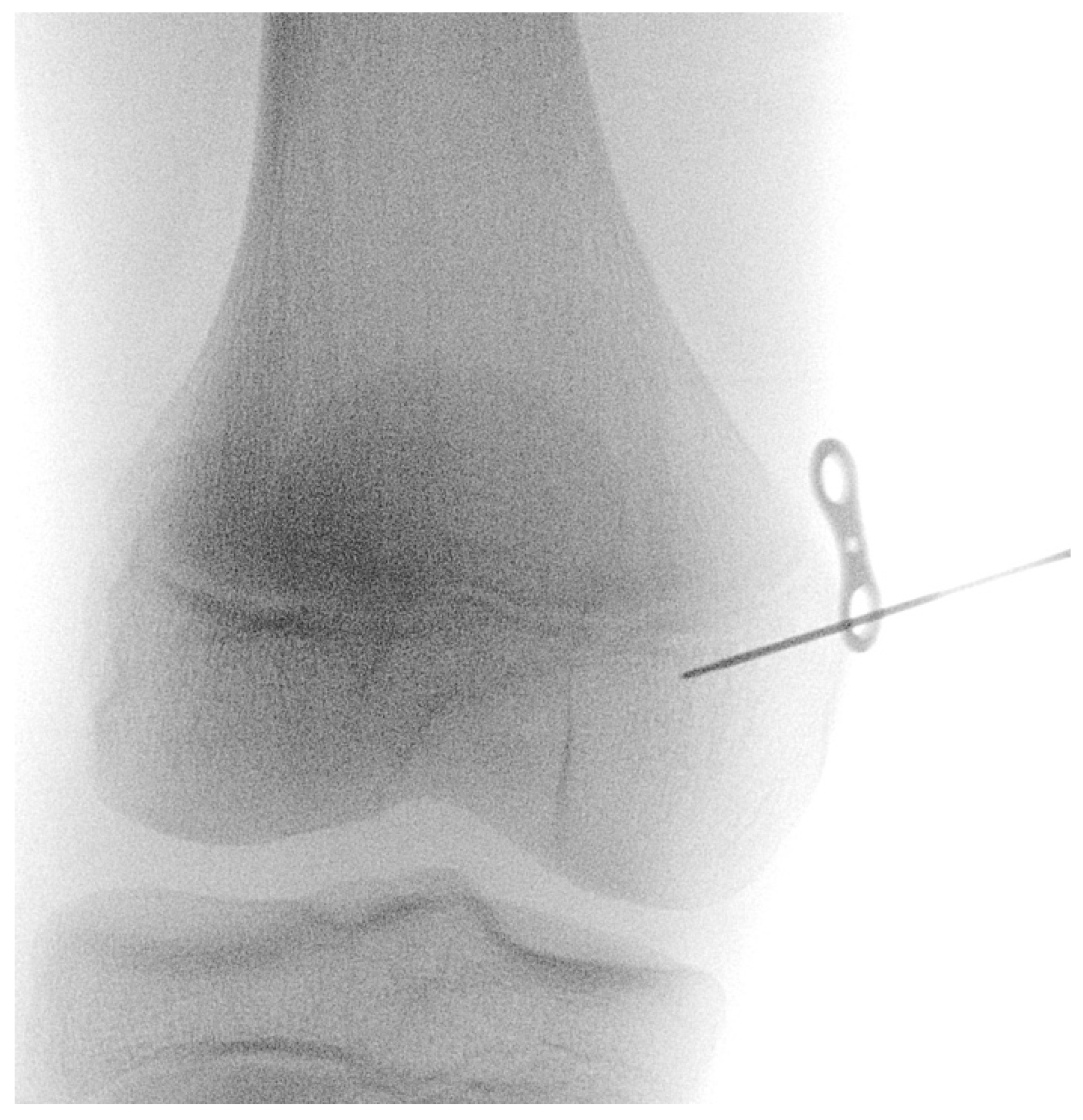
2.2. Surgical Technique
2.3. Statistics
3. Results
4. Discussion
5. Conclusions
Author Contributions
Funding
Institutional Review Board Statement
Informed Consent Statement
Data Availability Statement
Conflicts of Interest
References
- Sharma, L. The Role of Knee Alignment in Disease Progression and Functional Decline in Knee Osteoarthritis. JAMA 2001, 286, 188. [Google Scholar] [CrossRef]
- Brouwer, G.M.; Tol, A.W.V.; Bergink, A.P.; Belo, J.N.; Bernsen, R.M.D.; Reijman, M.; Pols, H.A.P.; Bierma-Zeinstra, S.M.A. Association between valgus and varus alignment and the development and progression of radiographic osteoarthritis of the knee. Arthritis Rheum. 2007, 56, 1204–1211. [Google Scholar] [CrossRef]
- Jelinek, E.M.; Bittersohl, B.; Martiny, F.; Scharfstädt, A.; Krauspe, R.; Westhoff, B. The 8-plate versus physeal stapling for temporary hemiepiphyseodesis correcting genu valgum and genu varum: A retrospective analysis of thirty five patients. Int. Orthop. (SICOT) 2012, 36, 599–605. [Google Scholar] [CrossRef]
- Di Gennaro, G.L.; Trisolino, G.; Stallone, S.; Ramella, M.; Rocca, G.; Gallone, G. Guided Growth Technique for Epiphysiodesis and Hemiepiphysiodesis: Safety and Performance Evaluation. Children 2023, 11, 49. [Google Scholar] [CrossRef] [PubMed]
- Braga, S.R.; Santili, C.; Rodrigues, N.V.M.; Soni, J.F.; Green, D.W. Growth modulation for angular knee deformities: A practical guideline. Curr. Opin. Pediatr. 2023, 35, 110–117. [Google Scholar] [CrossRef] [PubMed]
- Jankowicz-Szymanska, A.; Mikolajczyk, E. Genu Valgum and Flat Feet in Children With Healthy and Excessive Body Weight. Pediatr. Phys. Ther. 2016, 28, 200–206. [Google Scholar] [CrossRef] [PubMed]
- Gupta, P.; Gupta, V.; Patil, B.; Verma, V. Angular deformities of lower limb in children: Correction for whom, when and how? J. Clin. Orthop. Trauma 2020, 11, 196–201. [Google Scholar] [CrossRef] [PubMed]
- Murphy, S.B. Tibial osteotomy for genu varum. Indications, preoperative planning, and technique. Orthop. Clin. N. Am. 1994, 25, 477–482. [Google Scholar] [CrossRef]
- Blount, W.P. A mature look at epiphyseal stapling. Clin. Orthop. Relat. Res. 1971, 77, 158–163. [Google Scholar]
- Blount, W.P.; Clarke, G.R. Control of bone growth by epiphyseal stapling; a preliminary report. J. Bone Jt. Surg. Am. 1949, 31, 464–478. [Google Scholar] [CrossRef]
- Ferrick, M.R.; Birch, J.G.; Albright, M. Correction of Non-Blount’s Angular Knee Deformity by Permanent Hemiepiphyseodesis. J. Pediatr. Orthop. 2004, 24, 397–402. [Google Scholar] [CrossRef] [PubMed]
- Khoury, J.G.; Tavares, J.O.; McConnell, S.; Zeiders, G.; Sanders, J.O. Results of Screw Epiphysiodesis for the Treatment of Limb Length Discrepancy and Angular Deformity. J. Pediatr. Orthop. 2007, 27, 623–628. [Google Scholar] [CrossRef] [PubMed]
- Inan, M.; Chan, G.; Bowen, J.R. Correction of angular deformities of the knee by percutaneous hemiepiphysiodesis. Clin. Orthop. Relat. Res. 2007, 456, 164–169. [Google Scholar] [CrossRef] [PubMed]
- Paley, D. Growth Plate Considerations. In Principles of Deformity Correction; Springer: Berlin/Heidelberg, Germany, 2002; pp. 695–716. [Google Scholar] [CrossRef]
- Wagner, P.; Standard, S.C.; Herzenberg, J.E. Evaluation of a Mobile Application for Multiplier Method Growth and Epiphysiodesis Timing Predictions. J. Pediatr. Orthop. 2017, 37, e188–e191. [Google Scholar] [CrossRef]
- Frantz, C.H. Epiphyseal stapling: A comprehensive review. Clin. Orthop. Relat. Res. 1971, 77, 149–157. [Google Scholar]
- Fraser, R.K.; Dickens, D.R.; Cole, W.G. Medial physeal stapling for primary and secondary genu valgum in late childhood and adolescence. J. Bone Jt. Surg. Br. 1995, 77, 733–735. [Google Scholar] [CrossRef][Green Version]
- Mielke, C.H.; Stevens, P.M. Hemiepiphyseal Stapling for Knee Deformities in Children Younger than 10 Years: A Preliminary Report. J. Pediatr. Orthop. 1996, 16, 423–429. [Google Scholar] [CrossRef]
- Stevens, P.M.; Maguire, M.; Dales, M.D.; Robins, A.J. Physeal stapling for idiopathic genu valgum. J. Pediatr. Orthop. 1999, 19, 645–649. [Google Scholar] [CrossRef]
- Burghardt, R.D.; Herzenberg, J.E. Temporary hemiepiphysiodesis with the eight-Plate for angular deformities: Mid-term results. J. Orthop. Sci. 2010, 15, 699–704. [Google Scholar] [CrossRef]
- Wiemann, J.M.; Tryon, C.; Szalay, E.A. Physeal stapling versus 8-plate hemiepiphysiodesis for guided correction of angular deformity about the knee. J. Pediatr. Orthop. 2009, 29, 481–485. [Google Scholar] [CrossRef]
- Stevens, P.M. Guided Growth for Angular Correction: A Preliminary Series Using a Tension Band Plate. J. Pediatr. Orthop. 2007, 27, 253–259. [Google Scholar] [CrossRef]
- Ogawa, R.; Dohi, T.; Tosa, M.; Aoki, M.; Akaishi, S. The Latest Strategy for Keloid and Hypertrophic Scar Prevention and Treatment: The Nippon Medical School (NMS) Protocol. J. Nippon. Med. Sch. 2021, 88, 2–9. [Google Scholar] [CrossRef]
- Krakowski, A.C.; Totri, C.R.; Donelan, M.B.; Shumaker, P.R. Scar Management in the Pediatric and Adolescent Populations. Pediatrics 2016, 137, e20142065. [Google Scholar] [CrossRef]
- Goel, A.; Shrivastava, P. Post-burn scars and scar contractures. Indian J. Plast. Surg. 2010, 43, S63–S71. [Google Scholar] [CrossRef] [PubMed]
- Braun, S.; Brenneis, M.; Meurer, A.; Holder, J.; Stief, F. Factors for Prolonged Pain and Restriction of Movement Following Hemiepiphysiodesis Plating for the Correction of Lower Limb Malalignment in the Frontal Plane: An Explorative Analysis. Children 2023, 10, 686. [Google Scholar] [CrossRef] [PubMed]
- Paley, D.; Herzenberg, J.E.; Tetsworth, K.; McKie, J.; Bhave, A. Deformity planning for frontal and sagittal plane corrective osteotomies. Orthop. Clin. N. Am. 1994, 25, 425–465. [Google Scholar] [CrossRef]
- Danino, B.; Rödl, R.; Herzenberg, J.E.; Shabtai, L.; Grill, F.; Narayanan, U.; Segev, E.; Wientroub, S. Growth modulation in idiopathic angular knee deformities: Is it predictable? J. Child. Orthop. 2019, 13, 318–323. [Google Scholar] [CrossRef]
- Masquijo, J.J.; Artigas, C.; de Pablos, J. Growth modulation with tension-band plates for the correction of paediatric lower limb angular deformity: Current concepts and indications for a rational use. EFORT Open Rev. 2021, 6, 658–668. [Google Scholar] [CrossRef] [PubMed]
- Masquijo, J.J.; Lanfranchi, L.; Torres-Gomez, A.; Allende, V. Guided Growth With the Tension Band Plate Construct: A Prospective Comparison of 2 Methods of Implant Placement. J. Pediatr. Orthop. 2015, 35, e20–e25. [Google Scholar] [CrossRef]
- Ballal, M.S.; Bruce, C.E.; Nayagam, S. Correcting genu varum and genu valgum in children by guided growth: Temporary hemiepiphysiodesis using tension band plates. J. Bone Jt. Surg. Br. Vol. 2010, 92, 273–276. [Google Scholar] [CrossRef]












Disclaimer/Publisher’s Note: The statements, opinions and data contained in all publications are solely those of the individual author(s) and contributor(s) and not of MDPI and/or the editor(s). MDPI and/or the editor(s) disclaim responsibility for any injury to people or property resulting from any ideas, methods, instructions or products referred to in the content. |
© 2024 by the authors. Licensee MDPI, Basel, Switzerland. This article is an open access article distributed under the terms and conditions of the Creative Commons Attribution (CC BY) license (https://creativecommons.org/licenses/by/4.0/).
Share and Cite
Heisinger, S.; Sommeregger, J.; Trost, C.; Willegger, M.; Schreiner, M.; Windhager, R.; Kolb, A. A Novel Minimally Invasive Surgical Technique for Eight-Plate Hemiepiphysiodesis: Description and Evaluation. J. Clin. Med. 2024, 13, 5197. https://doi.org/10.3390/jcm13175197
Heisinger S, Sommeregger J, Trost C, Willegger M, Schreiner M, Windhager R, Kolb A. A Novel Minimally Invasive Surgical Technique for Eight-Plate Hemiepiphysiodesis: Description and Evaluation. Journal of Clinical Medicine. 2024; 13(17):5197. https://doi.org/10.3390/jcm13175197
Chicago/Turabian StyleHeisinger, Stephan, Johannes Sommeregger, Carmen Trost, Madeleine Willegger, Markus Schreiner, Reinhard Windhager, and Alexander Kolb. 2024. "A Novel Minimally Invasive Surgical Technique for Eight-Plate Hemiepiphysiodesis: Description and Evaluation" Journal of Clinical Medicine 13, no. 17: 5197. https://doi.org/10.3390/jcm13175197
APA StyleHeisinger, S., Sommeregger, J., Trost, C., Willegger, M., Schreiner, M., Windhager, R., & Kolb, A. (2024). A Novel Minimally Invasive Surgical Technique for Eight-Plate Hemiepiphysiodesis: Description and Evaluation. Journal of Clinical Medicine, 13(17), 5197. https://doi.org/10.3390/jcm13175197

