Basal Linear Deposit: Normal Physiological Ageing or a Defining Lesion of Age-Related Macular Degeneration?
Abstract
1. Introduction
2. Materials and Methods
2.1. Ethics
2.2. Cohort
2.3. Sarks Histological AMD Grading
2.4. Cohort Inclusion and Exclusion Criteria
2.5. Light and Electron Microscopy
2.6. Bruch Membrane Hyalinisation
2.7. Basal Linear Deposit: Definition
2.8. Imaging and Scanning
2.9. Statistical Analysis
3. Results
3.1. Cohort
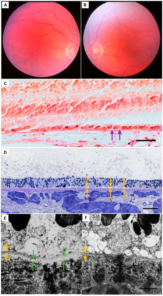
3.2. Basal Linear Deposit in Normal and Normal Aged Eyes
3.3. Bruch’s Membrane Hyalinisation, RPE Abnormalities and Basal Linear Deposit
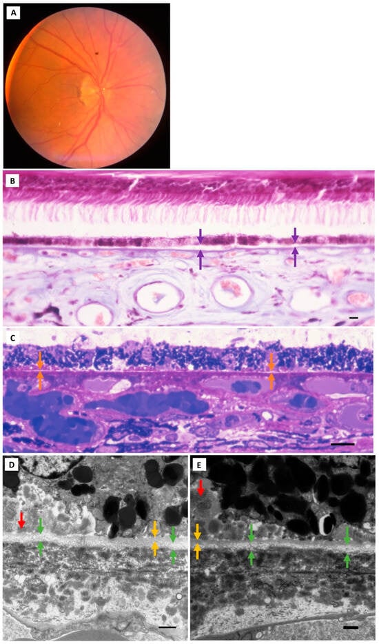
3.4. BLinD in AMD Eyes
3.5. RPE Detachment and BLinD
3.6. Diffuse Vesicle Layer Internal to the RPE Basement Membrane
4. Discussion
Author Contributions
Funding
Institutional Review Board Statement
Informed Consent Statement
Data Availability Statement
Acknowledgments
Conflicts of Interest
References
- Age-Related Eye Disease Study Research Group. The Age-Related Eye Disease Study system for classifying age-related macular degeneration from stereoscopic color fundus photographs: The Age-Related Eye Disease Study Report Number 6. Am. J. Ophthalmol. 2001, 132, 668–681. [Google Scholar] [CrossRef] [PubMed]
- Sarks, S.H. Ageing and degeneration in the macular region: A clinico-pathological study. Br. J. Ophthalmol. 1976, 60, 324–341. [Google Scholar] [CrossRef] [PubMed]
- Sarks, S.; Cherepanoff, S.; Killingsworth, M.; Sarks, J. Relationship of Basal Laminar Deposit and Membranous Debris to the Clinical Presentation of Early Age-Related Macular Degeneration. Investig. Ophthalmol. Vis. Sci. 2007, 48, 968–977. [Google Scholar] [CrossRef] [PubMed]
- Curcio, C.A.; Millican, C.L. Basal linear deposit and large drusen are specific for early age-related maculopathy. Arch. Ophthalmol. 1999, 117, 329–339. [Google Scholar] [CrossRef] [PubMed]
- Sarks, S.H. Council Lecture. Drusen and their relationship to senile macular degeneration. Aust. J. Ophthalmol. 1980, 8, 117–130. [Google Scholar] [CrossRef] [PubMed]
- Pauleikhoff, D.; Harper, C.A.; Marshall, J.; Bird, A.C. Aging changes in Bruch’s membrane. A histochemical and morphologic study. Ophthalmology 1990, 97, 171–178. [Google Scholar] [CrossRef] [PubMed]
- Malek, G.; Li, C.M.; Guidry, C.; Medeiros, N.E.; Curcio, C.A. Apolipoprotein B in cholesterol-containing drusen and basal deposits of human eyes with age-related maculopathy. Am. J. Pathol. 2003, 162, 413–425. [Google Scholar] [CrossRef] [PubMed]
- Curcio, C.A.; Presley, J.B.; Millican, C.L.; Medeiros, N.E. Basal deposits and drusen in eyes with age-related maculopathy: Evidence for solid lipid particles. Exp. Eye Res. 2005, 80, 761–775. [Google Scholar] [CrossRef]
- Sarks, S.H.; Van Driel, D.; Maxwell, L.; Killingsworth, M. Softening of drusen and subretinal neovascularization. Trans. Ophthalmol. Soc. U. K. 1980, 100, 414–422. [Google Scholar]
- Penfold, P.L.; Killingsworth, M.C.; Sarks, S.H. Senile macular degeneration. The involvement of giant cells in atrophy of the retinal pigment epithelium. Investig. Ophthalmol. Vis. Sci. 1986, 27, 364–371. [Google Scholar]
- van der Schaft, T.L.; Mooy, C.M.; de Bruijn, W.C.; Oron, F.G.; Mulder, P.G.H.; de Jong, P.T.V.M. Histologic Features of the Early Stages of Age-related Macular Degeneration: A Statistical Analysis. Ophthalmology 1992, 99, 278–286. [Google Scholar] [CrossRef] [PubMed]
- Marshall, G.E.; Konstas, A.G.; Reid, G.G.; Edwards, J.G.; Lee, W.R. Type IV collagen and laminin in Bruch’s membrane and basal linear deposit in the human macula. Br. J. Ophthalmol. 1992, 76, 607–614. [Google Scholar] [CrossRef] [PubMed]
- Green, W.R.; Enger, C. Age-related Macular Degeneration Histopathologic Studies: The 1992 Lorenz E. Zimmerman Lecture. Ophthalmology 1993, 100, 1519–1535. [Google Scholar] [CrossRef]
- Sarks, J.P.; Sarks, S.H.; Killingsworth, M.C. Evolution of soft drusen in age-related macular degeneration. Eye 1994, 8 Pt 3, 269–283. [Google Scholar] [CrossRef]
- Guyer, D.R.; Schachat, A.P.; Green, W.R. Chapter 3—The Choroid: Structural Considerations. In Retina, 4th ed.; Ryan, S.J., Hinton, D.R., Schachat, A.P., Wilkinson, C.P., Eds.; Mosby: Edinburgh, UK, 2006; pp. 33–42. [Google Scholar]
- Westerman, M.P.; Pierce, L.E.; Jensen, W.N. A direct method for the quantitative measurement of red cell dimensions. J. Lab. Clin. Med. 1961, 57, 819–824. [Google Scholar]
- Thumann, G.; Dou, G.; Wang, Y.; Hinton, D.R. Chapter 16—Cell Biology of the Retinal Pigment Epithelium. In Retina, 5th ed.; Ryan, S.J., Sadda, S.R., Hinton, D.R., Schachat, A.P., Sadda, S.R., Wilkinson, C.P., Wiedemann, P., Schachat, A.P., Eds.; W.B. Saunders: London, UK, 2013; pp. 401–414. [Google Scholar]
- Forrester, J.V.; Dick, A.D.; McMenamin, P.G.; Roberts, F.; Pearlman, E. Chapter 1—Anatomy of the eye and orbit. In The Eye, 4th ed.; Forrester, J.V., Dick, A.D., McMenamin, P.G., Roberts, F., Pearlman, E., Eds.; W.B. Saunders: Edinburgh, UK, 2016; pp. 1–102.e2. [Google Scholar]
- Chen, L.; Messinger, J.D.; Kar, D.; Duncan, J.L.; Curcio, C.A. Biometrics, Impact, and Significance of Basal Linear Deposit and Subretinal Drusenoid Deposit in Age-Related Macular Degeneration. Investig. Ophthalmol. Vis. Sci. 2021, 62, 33. [Google Scholar] [CrossRef] [PubMed]
- Newsome, D.A.; Huh, W.; Green, W.R. Bruch’s membrane age-related changes vary by region. Curr. Eye Res. 1987, 6, 1211–1221. [Google Scholar] [CrossRef]
- Moore, D.J.; Clover, G.M. The Effect of Age on the Macromolecular Permeability of Human Bruch’s Membrane. Investig. Ophthalmol. Vis. Sci. 2001, 42, 2970–2975. [Google Scholar]
- Moore, D.J.; Hussain, A.A.; Marshall, J. Age-related variation in the hydraulic conductivity of Bruch’s membrane. Investig. Ophthalmol. Vis. Sci. 1995, 36, 1290–1297. [Google Scholar]
- Starita, C.; Hussain, A.A.; Pagliarini, S.; Marshall, J. Hydrodynamics of ageing Bruch’s membrane: Implications for macular disease. Exp. Eye Res. 1996, 62, 565–572. [Google Scholar] [CrossRef]
- Morshed, A.; Karawdeniya, B.I.; Bandara, Y.; Kim, M.J.; Dutta, P. Mechanical characterization of vesicles and cells: A review. Electrophoresis 2020, 41, 449–470. [Google Scholar] [CrossRef] [PubMed]
- Colombo, M.; Raposo, G.; Théry, C. Biogenesis, secretion, and intercellular interactions of exosomes and other extracellular vesicles. Annu. Rev. Cell Dev. Biol. 2014, 30, 255–289. [Google Scholar] [CrossRef] [PubMed]
- Skotland, T.; Sagini, K.; Sandvig, K.; Llorente, A. An emerging focus on lipids in extracellular vesicles. Adv. Drug Deliv. Rev. 2020, 159, 308–321. [Google Scholar] [CrossRef] [PubMed]
- Fyfe, J.; Casari, I.; Manfredi, M.; Falasca, M. Role of lipid signalling in extracellular vesicles-mediated cell-to-cell communication. Cytokine Growth Factor Rev. 2023, 73, 20–26. [Google Scholar] [CrossRef]
- Curcio, C.A.; Millican, C.L.; Bailey, T.; Kruth, H.S. Accumulation of cholesterol with age in human Bruch’s membrane. Investig. Ophthalmol. Vis. Sci. 2001, 42, 265–274. [Google Scholar]
- Ruberti, J.W.; Curcio, C.A.; Millican, C.L.; Menco, B.P.; Huang, J.D.; Johnson, M. Quick-freeze/deep-etch visualization of age-related lipid accumulation in Bruch’s membrane. Investig. Ophthalmol. Vis. Sci. 2003, 44, 1753–1759. [Google Scholar] [CrossRef]
- Curcio, C.A.; Johnson, M.; Rudolf, M.; Huang, J.D. The oil spill in ageing Bruch membrane. Br. J. Ophthalmol. 2011, 95, 1638–1645. [Google Scholar] [CrossRef] [PubMed]
- Rafieian-Kopaei, M.; Setorki, M.; Doudi, M.; Baradaran, A.; Nasri, H. Atherosclerosis: Process, indicators, risk factors and new hopes. Int. J. Prev. Med. 2014, 5, 927–946. [Google Scholar] [PubMed]
- Pfrieger, F.W.; Vitale, N. Cholesterol and the journey of extracellular vesicles. J. Lipid Res. 2018, 59, 2255–2261. [Google Scholar] [CrossRef]
- Reiss, A.B.; Vernice, N.A.; Siegart, N.M.; De Leon, J.; Kasselman, L.J. Exosomes in Cholesterol Metabolism and Atherosclerosis. Cardiovasc. Hematol. Disord. Drug Targets 2017, 17, 185–194. [Google Scholar] [CrossRef]
- German, J.B.; Smilowitz, J.T.; Zivkovic, A.M. Lipoproteins: When size really matters. Curr. Opin. Colloid Interface Sci. 2006, 11, 171–183. [Google Scholar] [CrossRef] [PubMed]









| Sarks Group a | Age (Years) | Sex | Post-Mortem Delay (Hours) | Visual Acuity b (LogMAR) | Follow-Up to Death Interval (Months) | Fundus Appearance Last Examination | Macular Paraffin Sections Reviewed | Macular Semithin Resin Sections Reviewed | Macular TEM Photographs Reviewed |
|---|---|---|---|---|---|---|---|---|---|
| Group I No macular BLamD | |||||||||
| 1 | 73 | M | Unknown | 0 | 36 | Normal | 15 | 22 | 49 |
| 2 | 58 | M | 3 | 0 | 1 | Normal | - | 10 | 12 |
| 3 | 80 | M | Unknown | 0.18 | 36 | Normal | - | 4 | 6 |
| 4 | 55 | M | Unknown | 0 | 12 | Normal | 16 | 4 | 7 |
| 5 | 60 | M | Unknown | 0 | 5 | Pigment spot | 15 | 3 | 47 |
| 6 | 59 | M | 5 | - | 10 | Normal | 15 | 5 | 3 |
| 7 | 55 | M | 1 | 0 | 1 | Normal | 17 | 12 | 43 |
| 8 | 59 | M | Unknown | 0.18 | 10 | Normal | 20 | 10 | 55 |
| 9 | 69 | M | Unknown | 0 | 8 | Normal | - | 2 | 17 |
| 10 | 62 | M | Unknown | 0.18 | 7 | Normal | 15 | 3 | 17 |
| Group II Patchy macular BLamD | |||||||||
| 1 | 72 | M | Unknown | −0.08 | 6 | Normal | - | 2 | 43 |
| 2 | 72 | M | 1.5 h | 0 | 24 | Normal | 22 | 2 | 14 |
| 3 | 81 | M | 2 h | 0.18 | Unknown | Normal | 15 | 6 | 55 |
| 4 | 74 | M | 12 h | 0.18 | 2 | Normal | - | 8 | 11 |
| 5 | 74 | M | 12 h | 0.8 | 2 | Normal | - | 7 | 2 |
| 6 | 88 | M | Unknown | 0.3 | 4 | Normal | 19 | 13 | 11 |
| 7 | 74 | F | Unknown | 0 | 9 | Normal | - | 9 | 16 |
| 8 | 74 | F | Unknown | CF | 9 | Normal | - | 1 | 12 |
| 9 | 72 | M | Unknown | 0.07 | 9 | Normal | - | 3 | 26 |
| 10 | 73 | M | 4.5 h | 0.18 | 36 | Normal | - | 2 | 11 |
| 11 | 57 | M | Unknown | 0.3 | 31 | Normal | - | 12 | 30 |
| 12 | 66 | M | Unknown | 0.6 | 5 | Normal | - | 2 | 15 |
| 13 | 86 | M | Unknown | 0.18 | 5 | Normal | 18 | 2 | 17 |
| 14 | 77 | M | 11 h | 0 | 64 | Normal | - | 8 | 2 |
| 15 | 77 | M | 11 h | 0 | 64 | Pigment spot | - | 5 | 31 |
| 16 | 70 | F | Unknown | 0.18 | 1 | Normal | 15 | 5 | 8 |
| Sarks Group a | Presence of BLinD b | BLinD Thickness (Grade) b | BrM Hyalinisation (Grade) | RPE Morphology | RPE Detachment in Paraffin Section | RPE Detachment in Semithin Resin Section |
|---|---|---|---|---|---|---|
| Group I No macular BLamD | ||||||
| 1 | Present | 1 | 2 | Preserved | Diffuse | Focal |
| 2 | None | 0 | 2 | Preserved | - | None |
| 3 | Present | 1 | 2 | Preserved | - | Focal |
| 4 | Present | 1 | 1 | Foci of hypertrophy and hyperpigmentation | Diffuse | Focal |
| 5 | None | 0 | 2 | Preserved | Diffuse | Diffuse |
| 6 | None | 0 | 2 | Preserved | Diffuse | Focal |
| 7 | None | 0 | 1 | Preserved | Diffuse | None |
| 8 | None | 0 | 1 | Preserved | Diffuse | Diffuse |
| 9 | None | 0 | 0 | Preserved | - | Focal |
| 10 | None | 0 | 1 | Preserved | None | None |
| Group II Patchy macular BLamD | ||||||
| 1 | Present | 2 | 2 | Preserved | - | None |
| 2 | None | 0 | 2 | Preserved | Focal | None |
| 3 | Present | 2 | 2 | Preserved | Diffuse | None |
| 4 | Present | 1 | 2 | Foci of hypo and hyperpigmentation | - | Focal |
| 5 | Present | 1 | 2 | Foci of hypo and hyperpigmentation | - | Focal |
| 6 | None | 0 | 2 | Preserved | Focal | None |
| 7 | Present | 2 | 2 | Abnormal | - | Focal |
| 8 | Present | 2 | 2 | Abnormal | - | Focal |
| 9 | Present | 2 | 2 | Preserved | - | None |
| 10 | None | 0 | 2 | Preserved | - | None |
| 11 | None | 0 | 2 | Preserved | - | None |
| 12 | None | 0 | 1 | Preserved | - | None |
| 13 | Present | 1 | 3 | Foci of hypo and hyperpigmentation | Diffuse | Diffuse |
| 14 | Present | 2 | 3 | Foci of hypopigmentation | - | Focal |
| 15 | Present | 2 | 3 | Foci of hypertrophy and thinning | - | None |
| 16 | None | 0 | 3 | Foci of hypertrophy | Focal | None |
Disclaimer/Publisher’s Note: The statements, opinions and data contained in all publications are solely those of the individual author(s) and contributor(s) and not of MDPI and/or the editor(s). MDPI and/or the editor(s) disclaim responsibility for any injury to people or property resulting from any ideas, methods, instructions or products referred to in the content. |
© 2024 by the authors. Licensee MDPI, Basel, Switzerland. This article is an open access article distributed under the terms and conditions of the Creative Commons Attribution (CC BY) license (https://creativecommons.org/licenses/by/4.0/).
Share and Cite
Thananjeyan, A.L.; Arnold, J.; Lee, M.; Au, C.; Pye, V.; Madigan, M.C.; Cherepanoff, S. Basal Linear Deposit: Normal Physiological Ageing or a Defining Lesion of Age-Related Macular Degeneration? J. Clin. Med. 2024, 13, 4611. https://doi.org/10.3390/jcm13164611
Thananjeyan AL, Arnold J, Lee M, Au C, Pye V, Madigan MC, Cherepanoff S. Basal Linear Deposit: Normal Physiological Ageing or a Defining Lesion of Age-Related Macular Degeneration? Journal of Clinical Medicine. 2024; 13(16):4611. https://doi.org/10.3390/jcm13164611
Chicago/Turabian StyleThananjeyan, Akshaya Lakshmi, Jennifer Arnold, Mitchell Lee, Cheryl Au, Victoria Pye, Michele C. Madigan, and Svetlana Cherepanoff. 2024. "Basal Linear Deposit: Normal Physiological Ageing or a Defining Lesion of Age-Related Macular Degeneration?" Journal of Clinical Medicine 13, no. 16: 4611. https://doi.org/10.3390/jcm13164611
APA StyleThananjeyan, A. L., Arnold, J., Lee, M., Au, C., Pye, V., Madigan, M. C., & Cherepanoff, S. (2024). Basal Linear Deposit: Normal Physiological Ageing or a Defining Lesion of Age-Related Macular Degeneration? Journal of Clinical Medicine, 13(16), 4611. https://doi.org/10.3390/jcm13164611

