Solanine Inhibits Proliferation and Angiogenesis and Induces Apoptosis through Modulation of EGFR Signaling in KB-ChR-8-5 Multidrug-Resistant Oral Cancer Cells
Abstract
1. Introduction
2. Material and Methods
2.1. Reagents and Antibodies
2.2. Culturing Cells
2.3. Cell-Viability Assessment and Cytotoxicity Assay
2.4. Determination of Intracellular ROS Generation
2.5. Monitor the Loss in Mitochondrial Membrane Potential
2.6. Detection of Morphological Changes Linked to Apoptosis
2.7. Immunoblot Analysis
2.8. Statistical Analysis
3. Result
3.1. Evaluation of the Impact of Solanine on Cell Viability
3.2. Impact of Solanine on the Generation of Reactive Oxygen Species (ROS)
3.3. Effect of Solanine on Mitochondrial Membrane Potential (MMP)
3.4. Effects of Solanine on Apoptotic Morphological Alterations
3.5. Impact of Solanine on the Expression of Proteins Related to Inflammation and Proliferation
3.6. Effect of Solanine on the Expression of Proteins Related to Angiogenesis
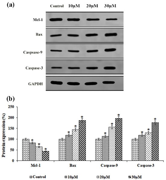
3.7. Effect of Solanine on Promote Apoptosis Protein Expression
3.8. Effects of Solanine on EGFR-Mediated PI3K/AKT and Transcriptional Protein Signaling
4. Discussion
5. Conclusions
Author Contributions
Funding
Institutional Review Board Statement
Informed Consent Statement
Data Availability Statement
Conflicts of Interest
References
- Yamaguchi, K.; Yamamoto, T.; Chikuda, J.; Shirota, T.; Yamamoto, Y. Impact of Non-Coding RNAs on Chemotherapeutic Resistance in Oral Cancer. Biomolecules 2022, 12, 284. [Google Scholar] [CrossRef] [PubMed]
- Bukowski, K.; Kciuk, M.; Kontek, R. Mechanisms of Multidrug Resistance in Cancer Chemotherapy. Int. J. Mol. Sci. 2020, 21, 3233. [Google Scholar] [CrossRef] [PubMed]
- An, Y.; Kiang, A.; Lopez, J.P.; Kuo, S.Z.; Yu, M.A.; Abhold, E.L.; Chen, J.S.; Wang-Rodriguez, J.; Ongkeko, W.M. Cigarette Smoke Promotes Drug Resistance and Expansion of Cancer Stem Cell-like Side Population. PLoS ONE 2012, 7, e47919. [Google Scholar] [CrossRef] [PubMed]
- Pereira, I.C.; Mascarenhas, I.F.; Capetini, V.C.; Ferreira, P.M.P.; Rogero, M.M.; Torres-Leal, F.L. Cellular Reprogramming, Chemoresistance, and Dietary Interventions in Breast Cancer. Crit. Rev. Oncol. Hematol. 2022, 179, 103796. [Google Scholar] [CrossRef] [PubMed]
- Hughes, M.P.; Labeed, F.H.; Hoettges, K.F.; Porter, S.; Mercadante, V.; Kalavrezos, N.; Liew, C.; McCaul, J.A.; Kulkarni, R.; Cymerman, J.; et al. Point-Of-Care Analysis for Non-Invasive Diagnosis of Oral Cancer (PANDORA): A Technology-Development Proof of Concept Diagnostic Accuracy Study of Dielectrophoresis in Patients with Oral Squamous Cell Carcinoma and Dysplasia. J. Oral Pathol. Med. 2023, 52, 305–314. [Google Scholar] [CrossRef] [PubMed]
- Shi, K.; Wang, G.; Pei, J.; Zhang, J.; Wang, J.; Ouyang, L.; Wang, Y.; Li, W. Emerging Strategies to Overcome Resistance to Third-Generation EGFR Inhibitors. J. Hematol. Oncol. 2022, 15, 94. [Google Scholar] [CrossRef] [PubMed]
- Freudlsperger, C.; Burnett, J.R.; Friedman, J.A.; Kannabiran, V.R.; Chen, Z.; Van Waes, C. EGFR–PI3K–AKT–MTOR Signaling in Head and Neck Squamous Cell Carcinomas: Attractive Targets for Molecular-Oriented Therapy. Expert Opin. Ther. Targets 2010, 15, 63–74. [Google Scholar] [CrossRef] [PubMed]
- You, M.; Xie, Z.; Zhang, N.; Zhang, Y.; Xiao, D.; Liu, S.; Zhuang, W.; Li, L.; Tao, Y. Signaling Pathways in Cancer Metabolism: Mechanisms and Therapeutic Targets. Signal Transduct. Target. Ther. 2023, 8, 196. [Google Scholar] [CrossRef]
- Sohel, M.; Aktar, S.; Biswas, P.; Amin, M.A.; Hossain, M.A.; Ahmed, N.; Mim, M.I.H.; Islam, F.; Mamun, A.A. Exploring the Anti-Cancer Potential of Dietary Phytochemicals for the Patients with Breast Cancer: A Comprehensive Review. Cancer Med. 2023, 12, 14556–14583. [Google Scholar] [CrossRef]
- Zhang, H.; Lv, J.L.; Zheng, Q.; Li, J. Active Components of Solanum Nigrum and Their Antitumor Effects: A Literature Review. Front. Oncol. 2023, 13, 1329957. [Google Scholar] [CrossRef]
- Wang, N.; Jiang, D.; Zhou, C.; Han, X. Alpha-Solanine Inhibits Endothelial Inflammation via Nuclear Factor Kappa B Signaling Pathway. Adv. Clin. Exp. Med. 2023, 32, 909–920. [Google Scholar] [CrossRef] [PubMed]
- Xu, N.; Lu, H.; Yi, X.; Peng, S.; Huang, X.; Zhuo, Y.; He, C. Potential of Alpha-(α)-Solanine as a Natural Inhibitor of Fungus Causing Leaf Spot Disease in Strawberry. Life 2023, 13, 450. [Google Scholar] [CrossRef] [PubMed]
- Tang, X.; Guo, Y.; Zhang, S.; Wang, X.; Teng, Y.; Jin, Q.; Jin, Q.; Shen, W.; Wang, R. Solanine Represses Gastric Cancer Growth by Mediating Autophagy through AAMDC/MYC/ATF4/Sesn2 Signaling Pathway. Drug Des. Dev. Ther. 2023, 17, 389–402. [Google Scholar] [CrossRef] [PubMed]
- Zheng, Y.; Li, L.; Gao, Q.; Niu, B.; Wang, H. Solanine Inhibits Proliferation and Promotes Apoptosis of the Human Leukemia Cells by Targeting the MiR-16/Bcl-2 Axis. J. BUON Off. J. Balk. Union Oncol. 2020, 25, 1614–1618. [Google Scholar]
- Luo, S.; Tian, G.-J.; Yu, F.-X.; Wen, Z.-D. A Narrative Review of the Antitumor Studies of Solanine. Transl. Cancer Res. 2021, 10, 1578–1582. [Google Scholar] [CrossRef] [PubMed]
- Gu, T.; Yuan, W.; Li, C.; Chen, Z.; Wen, Y.; Zheng, Q.; Yang, Q.; Xiong, X.; Yuan, A. α-Solanine Inhibits Proliferation, Invasion, and Migration, and Induces Apoptosis in Human Choriocarcinoma JEG-3 Cells In Vitro and In Vivo. Toxins 2021, 13, 210. [Google Scholar] [CrossRef] [PubMed]
- Jesudason, E.P.; Masilamoni, J.G.; Jebaraj, C.E.; Paul, S.F.D.; Jayakumar, R. Efficacy of DL-α Lipoic Acid against Systemic Inflammation-Induced Mice: Antioxidant Defense System. Mol. Cell. Biochem. 2008, 313, 113–123. [Google Scholar] [CrossRef] [PubMed]
- Johnson, L.V.; Walsh, M.L.; Chen, L.B. Localization of Mitochondria in Living Cells with Rhodamine 123. Proc. Natl. Acad. Sci. USA 1980, 77, 990–994. [Google Scholar] [CrossRef] [PubMed]
- Baskic, D.; Popovic, S.; Ristic, P.; Arsenijevic, N. Analysis of Cycloheximide-Induced Apoptosis in Human Leukocytes: Fluorescence Microscopy Using Annexin V/Propidium Iodide versus Acridin Orange/Ethidium Bromide. Cell Biol. Int. 2006, 30, 924–932. [Google Scholar] [CrossRef]
- Ramu, A.K.; Ali, D.; Alarifi, S.; Syed Abuthakir, M.H.; Ahmed Abdul, B.A. Reserpine Inhibits DNA Repair, Cell Proliferation, Invasion and Induces Apoptosis in Oral Carcinogenesis via Modulation of TGF-β Signaling. Life Sci. 2020, 264, 118730. [Google Scholar] [CrossRef]
- Lin, S.; Chang, C.; Hsu, C.; Tsai, M.; Cheng, H.; Leong, M.K.; Sung, P.; Chen, J.; Weng, C. Natural Compounds as Potential Adjuvants to Cancer Therapy: Preclinical Evidence. Br. J. Pharmacol. 2020, 177, 1409–1423. [Google Scholar] [CrossRef] [PubMed]
- Kielbik, M.; Szulc-Kielbik, I.; Klink, M. The Potential Role of INOS in Ovarian Cancer Progression and Chemoresistance. Int. J. Mol. Sci. 2019, 20, 1751. [Google Scholar] [CrossRef] [PubMed]
- Xiao, L.; Li, X.; Cao, P.; Fei, W.; Zhou, H.; Tang, N.; Liu, Y. Interleukin-6 Mediated Inflammasome Activation Promotes Oral Squamous Cell Carcinoma Progression via JAK2/STAT3/Sox4/NLRP3 Signaling Pathway. J. Exp. Clin. Cancer Res. CR 2022, 41, 166. [Google Scholar] [CrossRef] [PubMed]
- Liu, R.; Sun, K.; Wang, Y.; Jiang, Y.; Kang, J.; Ma, H. The Effects of Proliferating Cell Nuclear Antigen and P53 in Patients with Oral Squamous Cell Carcinoma: A Systematic Review and Meta-Analysis. Ann. Transl. Med. 2021, 9, 1739. [Google Scholar] [CrossRef] [PubMed]
- Nakashima, T.; Kuratomi, Y.; Yasumatsu, R.; Masuda, M.; Koike, K.; Umezaki, T.; Clayman, G.L.; Nakagawa, T.; Komune, S. The Effect of Cyclin D1 Overexpression in Human Head and Neck Cancer Cells. Eur. Arch. Oto-Rhino-Laryngol. 2004, 262, 379–383. [Google Scholar] [CrossRef] [PubMed]
- Pan, B.; Zhong, W.; Deng, Z.; Lai, C.; Chu, J.; Jiao, G.; Liu, J.; Zhou, Q. Inhibition of Prostate Cancer Growth by Solanine Requires the Suppression of Cell Cycle Proteins and the Activation of ROS/P38 Signaling Pathway. Cancer Med. 2016, 5, 3214–3222. [Google Scholar] [CrossRef] [PubMed]
- Zhao, L.; Wang, L.; Di, S.; Xu, Q.; Ren, Q.-C.; Chen, S.; Huang, N.; Jia, D.; Shen, X. Steroidal Alkaloid Solanine a from Solanum Nigrum Linn. Exhibits Anti-Inflammatory Activity in Lipopolysaccharide/Interferon γ-Activated Murine Macrophages and Animal Models of Inflammation. Biomed. Pharmacother. 2018, 105, 606–615. [Google Scholar] [CrossRef] [PubMed]
- Lin, Y.-W.; Huang, S.-T.; Wu, J.-C.; Chu, T.-H.; Huang, S.-C.; Lee, C.-C.; Tai, M.-H. Novel HDGF/HIF-1α/VEGF Axis in Oral Cancer Impacts Disease Prognosis. BMC Cancer 2019, 19, 1083. [Google Scholar] [CrossRef] [PubMed]
- Sherapura, A.; Siddesh, B.M.; Malojirao, V.H.; Thirusangu, P.; Avin, B.V.; Kumari, N.S.; Ramachandra, Y.L.; Prabhakar, B.T. Steroidal Alkaloid Solanidine Impedes Hypoxia-Driven ATM Phosphorylation to Switch on Anti-Angiogenesis in Lung Adenocarcinoma. Phytomedicine 2023, 119, 154981. [Google Scholar] [CrossRef] [PubMed]
- Huang, S.; Sun, M.; Ren, Y.; Luo, T.; Wang, X.; Weng, G.; Cen, D. Solamargine Induces Apoptosis of Human Renal Carcinoma Cells via Downregulating Phosphorylated STAT3 Expression. Oncol. Lett. 2023, 26, 493. [Google Scholar] [CrossRef]
- Iyer, R.S.; Needham, S.R.; Galdadas, I.; Davis, B.M.; Roberts, S.K.; Man, R.C.H.; Zanetti-Domingues, L.C.; Clarke, D.T.; Fruhwirth, G.O.; Parker, P.J.; et al. Drug-Resistant EGFR Mutations Promote Lung Cancer by Stabilizing Interfaces in Ligand-Free Kinase-Active EGFR Oligomers. Nat. Commun. 2024, 15, 2130. [Google Scholar] [CrossRef] [PubMed]
- Wang, Q.; Zeng, A.; Zhu, M.; Song, L. Dual Inhibition of EGFR-VEGF: An Effective Approach to the Treatment of Advanced Non-Small Cell Lung Cancer with EGFR Mutation (Review). Int. J. Oncol. 2023, 62, 26. [Google Scholar] [CrossRef] [PubMed]
- Chung, S.-Y.; Chao, T.-C.; Su, Y. The Stemness-High Human Colorectal Cancer Cells Promote Angiogenesis by Producing Higher Amounts of Angiogenic Cytokines via Activation of the Egfr/Akt/Nf-ΚB Pathway. Int. J. Mol. Sci. 2021, 22, 1355. [Google Scholar] [CrossRef] [PubMed]
- Yueh, P.-F.; Lee, Y.-H.; Chiang, I.-T.; Chen, W.-T.; Lan, K.-L.; Chen, C.-H.; Hsu, F.-T. Suppression of EGFR/PKC-δ/NF-ΚB Signaling Associated with Imipramine-Inhibited Progression of Non-Small Cell Lung Cancer. Front. Oncol. 2021, 11, 735183. [Google Scholar] [CrossRef] [PubMed]
- Ramu, A.; Kathiresan, S.; Ramadoss, H.; Nallu, A.; Kaliyan, R.; Azamuthu, T. Gramine Attenuates EGFR-Mediated Inflammation and Cell Proliferation in Oral Carcinogenesis via Regulation of NF-ΚB and STAT3 Signaling. Biomed. Pharmacother. 2018, 98, 523–530. [Google Scholar] [CrossRef] [PubMed]
- Lu, M.-K.; Shih, Y.-W.; Chien, T.T.C.; Fang, L.-H.; Huang, H.-C.; Chen, P.-S. ALPHA.-Solanine Inhibits Human Melanoma Cell Migration and Invasion by Reducing Matrix Metalloproteinase-2/9 Activities. Biol. Pharm. Bull. 2010, 33, 1685–1691. [Google Scholar] [CrossRef]
- Gao, J.; Ying, Y.; Wang, J.; Cui, Y. Solanine Inhibits Immune Escape Mediated by Hepatoma Treg Cells via the TGFβ/Smad Signaling Pathway. BioMed Res. Int. 2020, 2020, 9749631. [Google Scholar] [CrossRef]
- Wen, Z.; Huang, C.; Xu, Y.; Xiao, Y.; Tang, L.; Dai, J.; Sun, H.; Chen, B.; Zhou, M. α-Solanine Inhibits Vascular Endothelial Growth Factor Expression by Down-Regulating the ERK1/2-HIF-1α and STAT3 Signaling Pathways. Eur. J. Pharmacol. 2016, 771, 93–98. [Google Scholar] [CrossRef]








Disclaimer/Publisher’s Note: The statements, opinions and data contained in all publications are solely those of the individual author(s) and contributor(s) and not of MDPI and/or the editor(s). MDPI and/or the editor(s) disclaim responsibility for any injury to people or property resulting from any ideas, methods, instructions or products referred to in the content. |
© 2024 by the authors. Licensee MDPI, Basel, Switzerland. This article is an open access article distributed under the terms and conditions of the Creative Commons Attribution (CC BY) license (https://creativecommons.org/licenses/by/4.0/).
Share and Cite
Prasad, P.; Jaber, M.; Alahmadi, T.A.; Almoallim, H.S.; Ramu, A.K. Solanine Inhibits Proliferation and Angiogenesis and Induces Apoptosis through Modulation of EGFR Signaling in KB-ChR-8-5 Multidrug-Resistant Oral Cancer Cells. J. Clin. Med. 2024, 13, 4493. https://doi.org/10.3390/jcm13154493
Prasad P, Jaber M, Alahmadi TA, Almoallim HS, Ramu AK. Solanine Inhibits Proliferation and Angiogenesis and Induces Apoptosis through Modulation of EGFR Signaling in KB-ChR-8-5 Multidrug-Resistant Oral Cancer Cells. Journal of Clinical Medicine. 2024; 13(15):4493. https://doi.org/10.3390/jcm13154493
Chicago/Turabian StylePrasad, Prathibha, Mohamed Jaber, Tahani Awad Alahmadi, Hesham S. Almoallim, and Arun Kumar Ramu. 2024. "Solanine Inhibits Proliferation and Angiogenesis and Induces Apoptosis through Modulation of EGFR Signaling in KB-ChR-8-5 Multidrug-Resistant Oral Cancer Cells" Journal of Clinical Medicine 13, no. 15: 4493. https://doi.org/10.3390/jcm13154493
APA StylePrasad, P., Jaber, M., Alahmadi, T. A., Almoallim, H. S., & Ramu, A. K. (2024). Solanine Inhibits Proliferation and Angiogenesis and Induces Apoptosis through Modulation of EGFR Signaling in KB-ChR-8-5 Multidrug-Resistant Oral Cancer Cells. Journal of Clinical Medicine, 13(15), 4493. https://doi.org/10.3390/jcm13154493

