Cerebrovascular Involvement in Transthyretin Amyloid Cardiomyopathy
Abstract
1. Introduction
2. Material and Methods
2.1. Subjects and Study Design
2.2. Clinical Definitions
2.3. cMRI Acquisition
2.4. cMRI Analysis
2.5. Statistical Analysis
3. Results
3.1. Clinical Characteristics
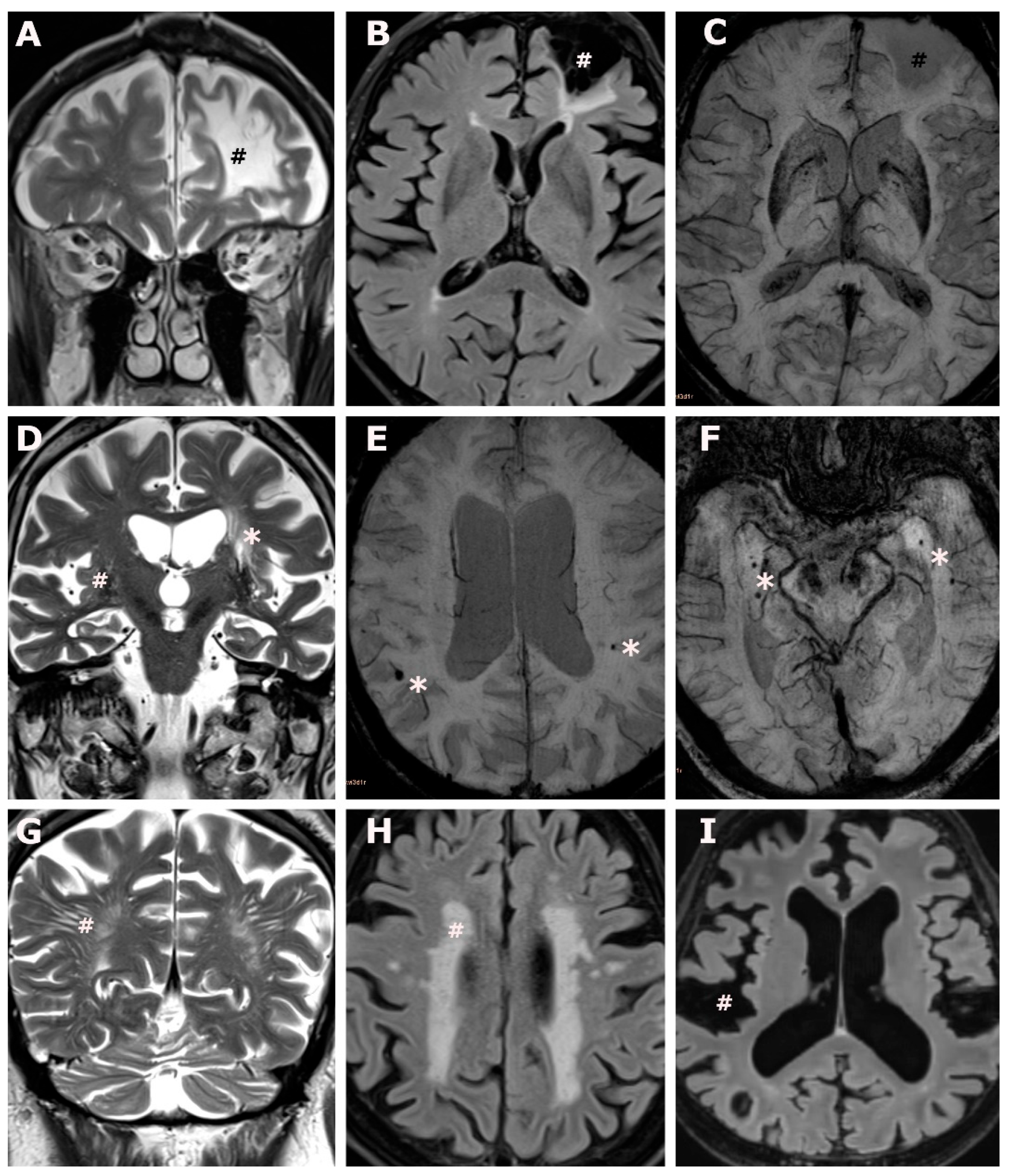
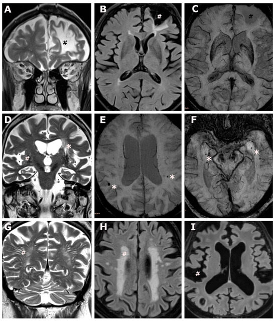
3.2. Cerebrovascular MRI Findings
3.3. Territorial Ischemia
4. Discussion
Limitations
5. Conclusions
Author Contributions
Funding
Institutional Review Board Statement
Informed Consent Statement
Data Availability Statement
Conflicts of Interest
References
- Rapezzi, C.; Quarta, C.C.; Riva, L.; Longhi, S.; Gallelli, I.; Lorenzini, M.; Ciliberti, P.; Biagini, E.; Salvi, F.; Branzi, A. Transthyretin-related amyloidoses and the heart: A clinical overview. Nat. Rev. Cardiol. 2010, 7, 398–408. [Google Scholar] [CrossRef]
- Ruberg, F.L.; Berk, J.L. Transthyretin (TTR) cardiac amyloidosis. Circulation 2012, 126, 1286–1300. [Google Scholar] [CrossRef]
- Gonzalez-Lopez, E.; Gallego-Delgado, M.; Guzzo-Merello, G.; de Haro-Del Moral, F.J.; Cobo-Marcos, M.; Robles, C.; Bornstein, B.; Salas, C.; Lara-Pezzi, E.; Alonso-Pulpon, L.; et al. Wild-type transthyretin amyloidosis as a cause of heart failure with preserved ejection fraction. Eur. Heart J. 2015, 36, 2585–2594. [Google Scholar] [CrossRef]
- Castano, A.; Narotsky, D.L.; Hamid, N.; Khalique, O.K.; Morgenstern, R.; DeLuca, A.; Rubin, J.; Chiuzan, C.; Nazif, T.; Vahl, T.; et al. Unveiling transthyretin cardiac amyloidosis and its predictors among elderly patients with severe aortic stenosis undergoing transcatheter aortic valve replacement. Eur. Heart J. 2017, 38, 2879–2887. [Google Scholar] [CrossRef]
- Damy, T.; Costes, B.; Hagege, A.A.; Donal, E.; Eicher, J.C.; Slama, M.; Guellich, A.; Rappeneau, S.; Gueffet, J.P.; Logeart, D.; et al. Prevalence and clinical phenotype of hereditary transthyretin amyloid cardiomyopathy in patients with increased left ventricular wall thickness. Eur. Heart J. 2016, 37, 1826–1834. [Google Scholar] [CrossRef]
- Gillmore, J.D.; Maurer, M.S.; Falk, R.H.; Merlini, G.; Damy, T.; Dispenzieri, A.; Wechalekar, A.D.; Berk, J.L.; Quarta, C.C.; Grogan, M.; et al. Nonbiopsy Diagnosis of Cardiac Transthyretin Amyloidosis. Circulation 2016, 133, 2404–2412. [Google Scholar] [CrossRef]
- Maurer, M.S.; Schwartz, J.H.; Gundapaneni, B.; Elliott, P.M.; Merlini, G.; Waddington-Cruz, M.; Kristen, A.V.; Grogan, M.; Witteles, R.; Damy, T.; et al. Tafamidis Treatment for Patients with Transthyretin Amyloid Cardiomyopathy. N. Engl. J. Med. 2018, 379, 1007–1016. [Google Scholar] [CrossRef]
- Adams, D.; Gonzalez-Duarte, A.; O'Riordan, W.D.; Yang, C.C.; Ueda, M.; Kristen, A.V.; Tournev, I.; Schmidt, H.H.; Coelho, T.; Berk, J.L.; et al. Patisiran, an RNAi Therapeutic, for Hereditary Transthyretin Amyloidosis. New Engl. J. Med. 2018, 379, 11–21. [Google Scholar] [CrossRef]
- Gillmore, J.D.; Judge, D.P.; Cappelli, F.; Fontana, M.; Garcia-Pavia, P.; Gibbs, S.; Grogan, M.; Hanna, M.; Hoffman, J.; Masri, A.; et al. Efficacy and Safety of Acoramidis in Transthyretin Amyloid Cardiomyopathy. N. Engl. J. Med. 2024, 390, 132–142. [Google Scholar] [CrossRef]
- Ruberg, F.L.; Grogan, M.; Hanna, M.; Kelly, J.W.; Maurer, M.S. Transthyretin Amyloid Cardiomyopathy: JACC State-of-the-Art Review. J. Am. Coll. Cardiol. 2019, 73, 2872–2891. [Google Scholar] [CrossRef]
- Mints, Y.Y.; Doros, G.; Berk, J.L.; Connors, L.H.; Ruberg, F.L. Features of atrial fibrillation in wild-type transthyretin cardiac amyloidosis: A systematic review and clinical experience. ESC Heart Fail. 2018, 5, 772–779. [Google Scholar] [CrossRef] [PubMed]
- Feng, D.; Edwards, W.D.; Oh, J.K.; Chandrasekaran, K.; Grogan, M.; Martinez, M.W.; Syed, I.S.; Hughes, D.A.; Lust, J.A.; Jaffe, A.S.; et al. Intracardiac thrombosis and embolism in patients with cardiac amyloidosis. Circulation 2007, 116, 2420–2426. [Google Scholar] [CrossRef]
- El-Am, E.A.; Dispenzieri, A.; Melduni, R.M.; Ammash, N.M.; White, R.D.; Hodge, D.O.; Noseworthy, P.A.; Lin, G.; Pislaru, S.V.; Egbe, A.C.; et al. Direct Current Cardioversion of Atrial Arrhythmias in Adults With Cardiac Amyloidosis. J. Am. Coll. Cardiol. 2019, 73, 589–597. [Google Scholar] [CrossRef]
- Martinez-Naharro, A.; Gonzalez-Lopez, E.; Corovic, A.; Mirelis, J.G.; Baksi, A.J.; Moon, J.C.; Garcia-Pavia, P.; Gillmore, J.D.; Hawkins, P.N.; Fontana, M. High Prevalence of Intracardiac Thrombi in Cardiac Amyloidosis. J. Am. Coll. Cardiol. 2019, 73, 1733–1734. [Google Scholar] [CrossRef] [PubMed]
- Stables, R.H.; Ormerod, O.J. Atrial thrombi occurring during sinus rhythm in cardiac amyloidosis: Evidence for atrial electromechanical dissociation. Heart 1996, 75, 426. [Google Scholar] [CrossRef] [PubMed]
- Monte, I.P.; Faro, D.C.; Trimarchi, G.; de Gaetano, F.; Campisi, M.; Losi, V.; Teresi, L.; Di Bella, G.; Tamburino, C.; de Gregorio, C. Left Atrial Strain Imaging by Speckle Tracking Echocardiography: The Supportive Diagnostic Value in Cardiac Amyloidosis and Hypertrophic Cardiomyopathy. J. Cardiovasc. Dev. Dis. 2023, 10, 261. [Google Scholar] [CrossRef]
- Feng, D.; Syed, I.S.; Martinez, M.; Oh, J.K.; Jaffe, A.S.; Grogan, M.; Edwards, W.D.; Gertz, M.A.; Klarich, K.W. Intracardiac thrombosis and anticoagulation therapy in cardiac amyloidosis. Circulation 2009, 119, 2490–2497. [Google Scholar] [CrossRef]
- Cappelli, F.; Tini, G.; Russo, D.; Emdin, M.; Del Franco, A.; Vergaro, G.; Di Bella, G.; Mazzeo, A.; Canepa, M.; Volpe, M.; et al. Arterial thrombo-embolic events in cardiac amyloidosis: A look beyond atrial fibrillation. Amyloid 2021, 28, 12–18. [Google Scholar] [CrossRef]
- Mitrani, L.R.; De Los Santos, J.; Driggin, E.; Kogan, R.; Helmke, S.; Goldsmith, J.; Biviano, A.B.; Maurer, M.S. Anticoagulation with warfarin compared to novel oral anticoagulants for atrial fibrillation in adults with transthyretin cardiac amyloidosis: Comparison of thromboembolic events and major bleeding. Amyloid 2021, 28, 30–34. [Google Scholar] [CrossRef]
- Longstreth, W.T., Jr.; Dulberg, C.; Manolio, T.A.; Lewis, M.R.; Beauchamp, N.J., Jr.; O'Leary, D.; Carr, J.; Furberg, C.D. Incidence, manifestations, and predictors of brain infarcts defined by serial cranial magnetic resonance imaging in the elderly: The Cardiovascular Health Study. Stroke 2002, 33, 2376–2382. [Google Scholar] [CrossRef]
- Vermeer, S.E.; Prins, N.D.; den Heijer, T.; Hofman, A.; Koudstaal, P.J.; Breteler, M.M. Silent brain infarcts and the risk of dementia and cognitive decline. N. Engl. J. Med. 2003, 348, 1215–1222. [Google Scholar] [CrossRef] [PubMed]
- Bokura, H.; Kobayashi, S.; Yamaguchi, S.; Iijima, K.; Nagai, A.; Toyoda, G.; Oguro, H.; Takahashi, K. Silent brain infarction and subcortical white matter lesions increase the risk of stroke and mortality: A prospective cohort study. J. Stroke Cerebrovasc. Dis. 2006, 15, 57–63. [Google Scholar] [CrossRef]
- Gupta, A.; Giambrone, A.E.; Gialdini, G.; Finn, C.; Delgado, D.; Gutierrez, J.; Wright, C.; Beiser, A.S.; Seshadri, S.; Pandya, A.; et al. Silent Brain Infarction and Risk of Future Stroke: A Systematic Review and Meta-Analysis. Stroke 2016, 47, 719–725. [Google Scholar] [CrossRef] [PubMed]
- Wright, C.B.; Dong, C.; Perez, E.J.; De Rosa, J.; Yoshita, M.; Rundek, T.; DeCarli, C.; Gutierrez, J.; Elkind, M.S.V.; Sacco, R.L. Subclinical Cerebrovascular Disease Increases the Risk of Incident Stroke and Mortality: The Northern Manhattan Study. J. Am. Heart Assoc. 2017, 6, e004069. [Google Scholar] [CrossRef]
- Kittleson, M.M.; Maurer, M.S.; Ambardekar, A.V.; Bullock-Palmer, R.P.; Chang, P.P.; Eisen, H.J.; Nair, A.P.; Nativi-Nicolau, J.; Ruberg, F.L. Cardiac Amyloidosis: Evolving Diagnosis and Management: A Scientific Statement From the American Heart Association. Circulation 2020, 142, e7–e22. [Google Scholar] [CrossRef]
- Williams, B.; Mancia, G.; Spiering, W.; Agabiti Rosei, E.; Azizi, M.; Burnier, M.; Clement, D.L.; Coca, A.; de Simone, G.; Dominiczak, A.; et al. 2018 ESC/ESH Guidelines for the management of arterial hypertension. Eur. Heart J. 2018, 39, 3021–3104. [Google Scholar] [CrossRef] [PubMed]
- Rydén, L.; Grant, P.J.; Anker, S.D.; Berne, C.; Cosentino, F.; Danchin, N.; Deaton, C.; Escaned, J.; Hammes, H.P.; Huikuri, H.; et al. ESC Guidelines on diabetes, pre-diabetes, and cardiovascular diseases developed in collaboration with the EASD: The Task Force on diabetes, pre-diabetes, and cardiovascular diseases of the European Society of Cardiology (ESC) and developed in collaboration with the European Association for the Study of Diabetes (EASD). Eur. Heart J. 2013, 34, 3035–3087. [Google Scholar] [CrossRef] [PubMed]
- Lip, G.Y.; Nieuwlaat, R.; Pisters, R.; Lane, D.A.; Crijns, H.J. Refining clinical risk stratification for predicting stroke and thromboembolism in atrial fibrillation using a novel risk factor-based approach: The euro heart survey on atrial fibrillation. Chest 2010, 137, 263–272. [Google Scholar] [CrossRef] [PubMed]
- Wardlaw, J.M.; Smith, E.E.; Biessels, G.J.; Cordonnier, C.; Fazekas, F.; Frayne, R.; Lindley, R.I.; O'Brien, J.T.; Barkhof, F.; Benavente, O.R.; et al. Neuroimaging standards for research into small vessel disease and its contribution to ageing and neurodegeneration. Lancet Neurol. 2013, 12, 822–838. [Google Scholar] [CrossRef]
- Giancaterino, S.; Urey, M.A.; Darden, D.; Hsu, J.C. Management of Arrhythmias in Cardiac Amyloidosis. JACC Clin. Electrophysiol. 2020, 6, 351–361. [Google Scholar] [CrossRef]
- Mentias, A.; Alvarez, P.; Chaudhury, P.; Nakhla, M.; Moudgil, R.; Kanj, M.; Hanna, M.; Desai, M.Y. Direct Oral Anticoagulants in Cardiac Amyloidosis-Associated Heart Failure and Atrial Fibrillation. Am. J. Cardiol. 2022, 164, 141–143. [Google Scholar] [CrossRef] [PubMed]
- McDonagh, T.A.; Metra, M.; Adamo, M.; Gardner, R.S.; Baumbach, A.; Böhm, M.; Burri, H.; Butler, J.; Čelutkienė, J.; Chioncel, O.; et al. 2021 ESC Guidelines for the diagnosis and treatment of acute and chronic heart failure. Eur. Heart J. 2021, 42, 3599–3726. [Google Scholar] [CrossRef] [PubMed]
- Mohanty, S.; Torlapati, P.G.; La Fazia, V.M.; Kurt, M.; Gianni, C.; MacDonald, B.; Mayedo, A.; Allison, J.; Bassiouny, M.; Gallinghouse, G.J.; et al. Best anticoagulation strategy with and without appendage occlusion for stroke-prophylaxis in postablation atrial fibrillation patients with cardiac amyloidosis. J. Cardiovasc. Electrophysiol. 2024, 35, 1422–1428. [Google Scholar] [CrossRef] [PubMed]
- Cordonnier, C.; Al-Shahi Salman, R.; Wardlaw, J. Spontaneous brain microbleeds: Systematic review, subgroup analyses and standards for study design and reporting. Brain 2007, 130 Pt 8, 1988–2003. [Google Scholar] [CrossRef] [PubMed]
- Puy, L.; Pasi, M.; Rodrigues, M.; van Veluw, S.J.; Tsivgoulis, G.; Shoamanesh, A.; Cordonnier, C. Cerebral microbleeds: From depiction to interpretation. J. Neurol. Neurosurg. Psychiatry 2021, 92, 598–607. [Google Scholar] [CrossRef] [PubMed]
- Shoamanesh, A.; Hart, R.G.; Connolly, S.J.; Kasner, S.E.; Smith, E.E.; Martí-Fàbregas, J.; Liu, Y.Y.; Uchiyama, S.; Mikulik, R.; Veltkamp, R.; et al. Microbleeds and the Effect of Anticoagulation in Patients With Embolic Stroke of Undetermined Source: An Exploratory Analysis of the NAVIGATE ESUS Randomized Clinical Trial. JAMA Neurol. 2021, 78, 11–20. [Google Scholar] [CrossRef] [PubMed]
- Pasi, M.; Cordonnier, C. Clinical Relevance of Cerebral Small Vessel Diseases. Stroke 2020, 51, 47–53. [Google Scholar] [CrossRef]
- Doubal, F.N.; MacLullich, A.M.; Ferguson, K.J.; Dennis, M.S.; Wardlaw, J.M. Enlarged perivascular spaces on MRI are a feature of cerebral small vessel disease. Stroke 2010, 41, 450–454. [Google Scholar] [CrossRef] [PubMed]
- Zhu, Y.C.; Dufouil, C.; Soumaré, A.; Mazoyer, B.; Chabriat, H.; Tzourio, C. High degree of dilated Virchow-Robin spaces on MRI is associated with increased risk of dementia. J. Alzheimer’s Dis. 2010, 22, 663–672. [Google Scholar] [CrossRef]
- Francis, F.; Ballerini, L.; Wardlaw, J.M. Perivascular spaces and their associations with risk factors, clinical disorders and neuroimaging features: A systematic review and meta-analysis. Int. J. Stroke 2019, 14, 359–371. [Google Scholar] [CrossRef]
- Bailey, E.L.; Smith, C.; Sudlow, C.L.; Wardlaw, J.M. Pathology of lacunar ischemic stroke in humans—A systematic review. Brain Pathol. 2012, 22, 583–591. [Google Scholar] [CrossRef] [PubMed]

| Total (N = 75) | ATTR-CM (N = 32) | Controls (N = 43) | p-Value | |
|---|---|---|---|---|
| Male sex, n (%) | 55 (73.3%) | 25 (78.1%) | 30 (69.8%) | 0.418 1 | 
| Age at cMRI, mean years (SD) | 76.1 (8.7) | 74.7 (8.0) | 77.1 (9.1) | 0.239 2 | 
| BMI >30 kg/m2, n (%) | 7 (9.3%) | 5 (15.6%) | 2 (4.7%) | 0.106 1 | 
| Hyperlipidemia, n (%) | 25 (33.3%) | 11 (34.4%) | 14 (32.6%) | 0.869 1 | 
| Diabetes mellitus type II, n (%) | 25 (33.3%) | 12 (37.5%) | 13 (30.2%) | 0.509 1 | 
| Current or ex-smoker, n (%) | 8 (10.7%) | 3 (9.4%) | 5 (11.6%) | 0.755 1 | 
| Hypertension, n (%) | 55 (73.3%) | 24 (75.0%) | 31 (72.1%) | 0.778 1 | 
| Atrial fibrillation, n (%) | 27 (36.0%) | 16 (50.0%) | 11 (25.6%) | 0.029 1 | 
| Congestive heart failure, n (%) | 27 (36.0%) | 12 (37.5%) | 15 (34.9%) | 0.815 1 | 
| Vascular disease, n (%) | 42 (56.0%) | 21 (65.6%) | 21 (48.8%) | 0.147 1 | 
| Oral anticoagulation, n (%) | 28 (37.3%) | 18 (56.2%) | 10 (23.3%) | 0.004 1 | 
| Type of anticoagulation | 0.103 1 | |||
| Apixaban, n (%) | 11 (14.7%) | 7 (21.9%) | 4 (9.3%) | |
| Dabigatran, n (%) | 1 (1.3%) | 1 (3.1%) | 0 (0.0%) | |
| Edoxaban, n (%) | 10 (13.3%) | 6 (18.8%) | 4 (9.3%) | |
| Rivaroxaban, n (%) | 3 (4.0%) | 2 (6.2%) | 1 (2.3%) | |
| VKA, n (%) | 3 (4.0%) | 2 (6.2%) | 1 (2.3%) | |
| CHA2DS2-VASc-score, median points (IQR) | 4 (0.0–7.0) | 4 (1.0–7.0) | 4 (0.0–7.0) | 0.905 3 | 
| Left ventricular ejection fraction, mean% (SD) | NA | 53.8 (9.6) | NA | NA | 
| Left atrial volume, mean mL (SD) | NA | 79.6 (30.1) | NA | NA | 
| Left ventricular global longitudinal strain, mean% (SD) | NA | −12.9 (3.8) | NA | NA | 
| Total (N = 75) | ATTR-CM (N = 32) | Controls (N = 43) | p-Value | |
|---|---|---|---|---|
| Territorial ischemic lesions, n (%) | 4 (5.3%) | 4 (12.5%) | 0 (0.0%) | 0.018 1 | 
| Lacunar lesions, n (%) | 8 (10.7%) | 6 (18.8%) | 2 (4.7%) | 0.054 1 | 
| Microbleeds, mean (SD) | 0.7 (1.2) | 1.4 (1.4) | 0.3 (0.7) | ≤0.001 1 | 
| Centrally located microbleeds, mean (SD) | 0.1 (0.3) | 0.1 (0.3) | 0.0 (0.2) | 0.379 1 | 
| Peripherally located microbleeds, mean (SD) | 0.7 (1.2) | 1.3 (1.4) | 0.2 (0.6) | ≤0.001 1 | 
| Virchow–Robin spaces, mean (SD) | 30.3 (17.8) | 43.8 (18.4) | 20.6 (9.0) | ≤0.001 1 | 
| Virchow–Robin spaces white matter, mean (SD) | 15.2 (8.7) | 22.6 (7.2) | 9.9 (5.1) | ≤0.001 1 | 
| Virchow–Robin spaces deep grey matter, mean (SD) | 10.5 (10.3) | 15.8 (13.7) | 6.7 (4.0) | 0.001 1 | 
| Virchow–Robin spaces hippocampus, mean (SD) | 1.9 (1.3) | 2.2 (1.1) | 1.7 (1.3) | 0.091 1 | 
| Virchow–Robin spaces midbrain and infratentorial, mean (SD) | 2.7 (2.2) | 3.2 (2.4) | 2.3 (1.9) | 0.065 1 | 
| Dolichoectatic elongation of basal arteries, n (%) | 17.0 (23.5) | 20.6 (18.5) | 14.4 (26.5) | 0.271 1 | 
| T1 fat sat black blood vessel wall signal, n (%) | 13 (17.3%) | 7 (21.9%) | 6 (14.0%) | 0.367 1 | 
| Territorial Infarct (n = 4) | Lacunar Infarct (n = 6) | |||||
|---|---|---|---|---|---|---|
| Variable | Odds Ratios | 95% Confidence Interval | p-Value | Odds Ratios | 95% Confidence Interval | p-Value | 
| Intercept | 0.01 | 0.00–0.17 | 0.015 | 0.02 | 0.00–0.20 | 0.011 | 
| CHA2DS2-VASc score | 1.46 | 0.77–3.65 | 0.308 | 1.58 | 0.91–3.38 | 0.150 | 
| Atrial fibrillation | 1.13 | 0.00–1440.82 | 0.974 | 11.55 | 0.07–2224.00 | 0.326 | 
| Oral anticoagulation | 4.92 | 0.28–68.84 | 0.234 | 0.79 | 0.08–7.25 | 0.836 | 
| CHA2DS2-VASc score: Atrial fibrillation | 0.65 | 0.13–3.37 | 0.600 | 0.60 | 0.22–1.58 | 0.297 | 
| Disclaimer/Publisher’s Note: The statements, opinions and data contained in all publications are solely those of the individual author(s) and contributor(s) and not of MDPI and/or the editor(s). MDPI and/or the editor(s) disclaim responsibility for any injury to people or property resulting from any ideas, methods, instructions or products referred to in the content. | 
© 2024 by the authors. Licensee MDPI, Basel, Switzerland. This article is an open access article distributed under the terms and conditions of the Creative Commons Attribution (CC BY) license (https://creativecommons.org/licenses/by/4.0/).
Share and Cite
Haider, L.; Schrutka, L.; Tommasino, E.; Avanzini, N.; Hauck, S.; Nowak, N.; Hengstenberg, C.; Bonderman, D.; Thurnher, M. Cerebrovascular Involvement in Transthyretin Amyloid Cardiomyopathy. J. Clin. Med. 2024, 13, 4474. https://doi.org/10.3390/jcm13154474
Haider L, Schrutka L, Tommasino E, Avanzini N, Hauck S, Nowak N, Hengstenberg C, Bonderman D, Thurnher M. Cerebrovascular Involvement in Transthyretin Amyloid Cardiomyopathy. Journal of Clinical Medicine. 2024; 13(15):4474. https://doi.org/10.3390/jcm13154474
Chicago/Turabian StyleHaider, Lukas, Lore Schrutka, Emanuele Tommasino, Nicolas Avanzini, Sven Hauck, Nikolaus Nowak, Christian Hengstenberg, Diana Bonderman, and Majda Thurnher. 2024. "Cerebrovascular Involvement in Transthyretin Amyloid Cardiomyopathy" Journal of Clinical Medicine 13, no. 15: 4474. https://doi.org/10.3390/jcm13154474
APA StyleHaider, L., Schrutka, L., Tommasino, E., Avanzini, N., Hauck, S., Nowak, N., Hengstenberg, C., Bonderman, D., & Thurnher, M. (2024). Cerebrovascular Involvement in Transthyretin Amyloid Cardiomyopathy. Journal of Clinical Medicine, 13(15), 4474. https://doi.org/10.3390/jcm13154474
 
        



 
       