Outcomes and Follow-Up Trends in Adrenal Leiomyosarcoma: A Comprehensive Literature Review and Case Report
Abstract
1. Introduction
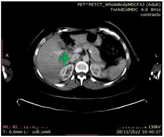
2. Case Report
3. Methods
4. Results
4.1. Demographic and Clinicopathological Features
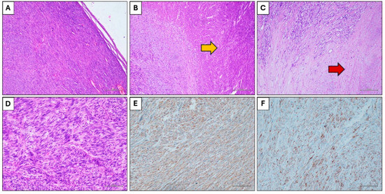
4.2. Definitive Pathology Examination and Immunohistochemistry
5. Discussion
5.1. Demographic Features
5.2. Histological Findings
5.3. Molecular Bases and Target Therapy
5.4. Surgical Management
5.5. Adjuvant Therapy and Follow-Up
5.6. Strengths and Limits
6. Conclusions
Author Contributions
Funding
Institutional Review Board Statement
Informed Consent Statement
Data Availability Statement
Conflicts of Interest
References
- Waack, A.; Jaggernauth, S.; Vattipally, V. Primary adrenal leiomyosarcoma. Radiol. Case Rep. 2022, 18, 741–744. [Google Scholar] [CrossRef]
- Kannan, S.; Chong, H.H.; Chew, B.; Ferguson, J.D.; Galloway, E.; McCulloch, T.; Rankin, K.S.; Alshford, R.U. Leiomyosarcoma in the extremities and trunk wall: Systematic review and meta-analysis of the oncological outcomes. World J. Surg. Oncol. 2022, 20, 124. [Google Scholar] [CrossRef]
- Sakellariou, M.; Dellaportas, D.; Peppa, M.; Schizas, D.; Pikoulis, E.; Nastos, K. Review of the literature on leiomyoma and leiomyosarcoma of the adrenal gland: A systematic analysis of case reports. In Vivo 2020, 34, 2233–2248. [Google Scholar] [CrossRef]
- Liberati, A.; Altman, D.G.; Tetzlaff, J.; Mulrow, C.; Gøtzsche, P.C.; Ioannidis, J.P.; Clarke, M.; Devereaux, P.J.; Kleijnen, J.; Moher, D. The PRISMA statement for reporting systematic reviews and meta-analyses of studies that evaluate healthcare interventions: Explanation and elaboration. BMJ 2009, 339, b2700. [Google Scholar] [CrossRef]
- Pereira-Beceiro, J.; Rodríguez-Alonso, A.; Janeiro-Pais, J.M.; Alvarez-Fernández, J.C.; Durana Tonder, C. Adrenal pleomorphic leiomyosarcoma, an uncommon malignant suprarenal tumour. Cir. Esp. 2015, 93, 256–258. [Google Scholar] [CrossRef]
- Rodríguez Gómez, I.; Rodríguez-Rivera García, J.; Alvarez Costelo, L.; Gómez Veiga, F.; Lancina Martín, A.; Chantada Abal, V.; González Martín, M. Leiomiosarcoma de cava inferior. Hallazgo incidental [Leiomyosarcoma of the inferior vena cava. Incidental finding]. Arch. Esp. Urol. 2007, 60, 1127–1131. [Google Scholar] [CrossRef][Green Version]
- Dekou, A.; N’dah, J.K.; Kouame, B.; Kohou, L.; Abroulaye, F.; Gowe, E.; Kassanyou, S.; Manzan, K. Léiomyosarcome primitive de la surrénale chez une noire africaine: Aspects diagnostiques et thérapeutiques [Primary leiomyosarcoma of adrenal gland, in black African woman: Diagnosis and therapeutically aspects]. Prog Urol. 2013, 23, 421–424. [Google Scholar] [CrossRef]
- Yoon, H.R.; Park, D.H. 부신의 원발성 평활근육종의 영상 소견: 증례 보고 [Imaging Findings of Primary Adrenal Leiomyosarcoma: A Case Report]. Taehan Yongsang Uihakhoe Chi. 2020, 81, 459–464. [Google Scholar]
- Seki, M.; Imao, T.; Amano, T.; Takemae, K. [Adrenalectomy for metastatic adrenal tumor from uterine leiomyosarcoma: A case report]. Hinyokika Kiyo 2011, 57, 435–438. [Google Scholar] [PubMed]
- Choi, S.H.; Liu, K. Leiomyosarcoma of the adrenal gland and its angiographic features: A case report. J. Surg. Oncol. 1981, 16, 145–148. [Google Scholar] [CrossRef]
- Lack, E.E.; Graham, C.W.; Azumi, N.; Bitterman, P.; Rusnock, E.J.; O’Brien, W.; Lynch, J.H. Primary leiomyosarcoma of adrenal gland. Case report with immunohistochemical and ultrastructural study. Am. J. Surg. Pathol. 1991, 15, 899–905. [Google Scholar] [CrossRef] [PubMed]
- Zetler, P.J.; Filipenko, J.D.; Bilbey, J.H.; Schmidt, N. Primary adrenal leiomyosarcoma in a man with acquired immunodeficiency syndrome (AIDS). Further evidence for an increase in smooth muscle tumors related to Epstein-Barr infection in AIDS. Arch. Pathol. Lab. Med. 1995, 119, 1164–1167. [Google Scholar]
- Boman, F.; Gultekin, H.; Dickman, P.S. Latent Epstein-Barr virus infection demonstrated in low-grade leiomyosarcomas of adults with acquired immunodeficiency syndrome, but not in adjacent Kaposi’s lesion or smooth muscle tumors in immunocompetent patients. Arch. Pathol. Lab. Med. 1997, 121, 834–838. [Google Scholar] [PubMed]
- Etten, B.; van Ijken, M.G.; Mooi, W.J.; Oudkerk, M.; van Geel, A.N. Primary leiomyosarcoma of the adrenal gland. Sarcoma. 2001, 5, 95–99. [Google Scholar] [CrossRef] [PubMed]
- Matsui, Y.; Fujikawa, K.; Oka, H.; Fukuzawa, S.; Takeuchi, H. Adrenal leiomyosarcoma extending into the right atrium. Int. J. Urol. 2002, 9, 54–56. [Google Scholar] [CrossRef] [PubMed]
- Lujan, M.G.; Hoang, M.P. Pleomorphic leiomyosarcoma of the adrenal gland. Arch. Pathol. Lab. Med. 2003, 127, e32–e35. [Google Scholar] [CrossRef] [PubMed]
- Thamboo, T.P.; Liew, L.C.; Raju, G.C. Adrenal leiomyosarcoma: A case report and literature review. Pathology 2003, 35, 47–49. [Google Scholar] [PubMed]
- Linos, D.; Kiriakopoulos, A.C.; Tsakayannis, D.E.; Theodoridou, M.; Chrousos, G. Laparoscopic excision of bilateral primary adrenal leiomyosarcoma in a 14-year old girl with acquired immunodeficiency syndrome (AIDS). Surgery 2004, 136, 1098–1100. [Google Scholar] [CrossRef] [PubMed]
- Kato, T.; Kato, T.; Sakamoto, S.; Kobayashi, T.; Ikeda, R.; Nakamura, T.; Akakura, K.; Hikage, T.; Inoue, T. Primary adrenal leiomyosarcoma with inferior vena cava thrombosis. Int. J. Clin. Oncol. 2004, 9, 189–192. [Google Scholar] [CrossRef]
- Wong, C.; Von Oppell, U.O.; Scott-Coombes, D. Cold feet from adrenal leiomyosarcoma. J. R. Soc. Med. 2005, 98, 418–420. [Google Scholar] [CrossRef]
- Candanedo-Gonzalez, F.A.; Vela Chavez, T.; Cerbulo-Vazquez, A. Pleomorphic leiomyosarcoma of the adrenal gland with osteoclast-like giant cells. Endocr. Pathol. 2005, 16, 75–81. [Google Scholar] [CrossRef] [PubMed]
- Lee, C.W.; Tsang, Y.M.; Liu, K.L. Primary adrenal leiomyosarcoma. Abdom. Imaging 2006, 31, 123–124. [Google Scholar] [CrossRef] [PubMed]
- Mohanty, S.K.; Balani, J.P.; Parwani, A.V. Pleomorphic leiomyosarcoma of the adrenal gland: Case report and review of the literature. Urology 2007, 70, 591.e5–591.e7. [Google Scholar] [CrossRef] [PubMed]
- Wang, T.S.; Ocal, I.T.; Salem, R.R.; Elefteriades, J.; Sosa, J.A. Leiomyosarcoma of the adrenal vein: A novel approach to surgical resection. World J. Surg. Oncol. 2007, 5, 109. [Google Scholar] [CrossRef] [PubMed]
- Goto, J.; Otsuka, F.; Kodera, R.; Miyoshi, T.; Kinomura, M.; Otani, H.; Mimura, Y.; Ogura, T.; Yanai, H.; Nasu, Y.; et al. A rare tumor in the adrenal region: Neuron-specific enolase (NSE)-producing leiomyosarcoma in an elderly hypertensive patient. Endocr. J. 2008, 55, 175–181. [Google Scholar] [CrossRef] [PubMed]
- Mencoboni, M.; Bergaglio, M.; Truini, M.; Varaldo, M. Primary adrenal leiomyosarcoma: A case report and literature review. Clin. Med. Oncol. 2008, 2, 353–356. [Google Scholar] [CrossRef] [PubMed]
- Van Laarhoven, H.W.; Vinken, M.; Mus, R.; Flucke, U.; Oyen, W.J.; Van der Graaf, W.T. The diagnostic hurdle of an elderly male with bone pain: How 18F-FDG-PET led to diagnosis of a leiomyosarcoma of the adrenal gland. Anticancer. Res. 2009, 29, 469–472. [Google Scholar] [PubMed]
- Hamada, S.; Ito, K.; Tobe, M.; Otsuki, H.; Hama, Y.; Kato, Y.; Sugiura, Y.; Kaji, T.; Asano, T.; Hayakawa, M. Bilateral adrenal leiomyosarcoma treated with multiple local therapies. Int. J. Clin. Oncol. 2009, 14, 356–360. [Google Scholar] [CrossRef] [PubMed]
- Karaosmanoglu, A.; Gee, M.S. Sonographic findings of an adrenal leiomyosarcoma. J. Ultrasound Med. 2010, 29, 1369–1373. [Google Scholar] [CrossRef]
- Shao, I.H.; Lee, W.C.; Chen, T.D.; Chiang, Y.J. Leiomyosarcoma of the adrenal vein. Chang. Gung Med. J. 2012, 35, 428–431. [Google Scholar]
- Kanthan, R.; Senger, J.L.; Kanthan, S. Three uncommon adrenal incidentalomas: A 13-year surgical pathology review. World J. Surg. Oncol. 2012, 10, 64. [Google Scholar] [CrossRef] [PubMed]
- Deshmukh, S.D.; Babanagare, S.V.; Anand, M.; Pande, D.P.; Yavalkar, P. Primary adrenal leiomyosarcoma: A case report with immunohistochemical study and review of literature. J. Cancer Res. Ther. 2013, 9, 144–146. [Google Scholar] [CrossRef] [PubMed]
- Gulpinar, M.T.; Yildirim, A.; Gucluer, B.; Atis, R.G.; Atis, R.G.; Canakci, C.; Gurbuz, C.; Caskurlu, T. Primary leiomyosarcoma of the adrenal gland: A case report with immunohistochemical study and literature review. Case Rep. Urol. 2014, 2014, 489630. [Google Scholar] [CrossRef] [PubMed]
- Ozturk, H. Vena Cava invasion by Adrenal Leiomyosarcoma. Rare Tumors 2014, 6, 5275. [Google Scholar] [CrossRef] [PubMed]
- Lee, S.; Tanawit, G.D.; Lopez, R.A.; Zamuco, J.T.; Cheng, B.G.; Siozon, M.V. Primary leiomyosarcoma of adrenal gland with tissue eosinophilic infiltration. Korean J. Pathol. 2014, 48, 423–425. [Google Scholar] [CrossRef] [PubMed]
- Bhalla, A.; Sandhu, F.; Sieber, S. Primary adrenal leiomyosarcoma: A case report and review of the literature. Conn. Med. 2014, 78, 403–407. [Google Scholar] [PubMed]
- Wei, J.; Sun, A.; Tao, J.; Wang, C.; Liu, F. Primary adrenal leiomyosarcoma: Case report and review of the literature. Int. J. Surg. Pathol. 2014, 22, 722–726. [Google Scholar] [CrossRef] [PubMed]
- Manzano, A.J.; Nose, V.; Fernandez-Castro, G.L.; Ayala, A. Recurrent primary adrenal leiomyosarcoma: A complete literature review and presentation of a rare adrenal tumor. AACE Clin. Case Rep. 2015, 1, e8–e11. [Google Scholar] [CrossRef]
- Nagaraj, V.; Mustafa, M.; Amin, E.; Ali, W.; Naji Sarsam, S.; Darwish, A. Primary adrenal leiomyosarcoma in an arab male: A rare case report with immunohistochemistry study. Case Rep. Surg. 2015, 2015, 702541. [Google Scholar] [CrossRef] [PubMed]
- Zhou, Y.; Tang, Y.; Tang, J.; Deng, F.; Gong, G.; Dai, Y. Primary adrenal leiomyosarcoma: A case report and review of literature. Int. J. Clin. Exp. Pathol. 2015, 8, 4258–4263. [Google Scholar]
- Quildrian, S.; Califano, I.; Carrizo, F.; Daffinoti, A.; Calónico, N. Primary adrenal leiomyosarcoma treated by laparoscopic adrenalectomy. Endocrinol. Nutr. 2015, 62, 472–473. [Google Scholar] [CrossRef]
- Onishi, T.; Yanagihara, Y.; Kikugawa, T.; Miura, N.; Noda, T.; Kakuda, T.; Kitazawa, R.; Tanji, N. Primary adrenal leiomyosarcoma with lymph node metastasis: A case report. World J. Surg. Oncol. 2016, 14, 176. [Google Scholar] [CrossRef]
- Li, C.-C.; Liu, W.-Y.; Chang, C.-P.; Kuo, C.-Y.; Kuo, J.-H. Rare care report: Primary leiomyosarcoma of the adrenal gland and literature review. Urol. Sci. 2016, 27, s58. [Google Scholar] [CrossRef]
- Rudin, A.; Torres-Mora, J.; Natt, N.; Richards, M.L. Primary adrenal dedifferentiated leiomyosarcoma: A low grade leiomyosarcoma with a high-grade undifferentiated component: Case report. Clin. Surg. 2016, 1, 1193. [Google Scholar]
- Aoki, C.; Tanaka, S.; Kunihiro, S.; Sagara, M.; Aso, Y. Primary adrenal leiomyosarcoma in an aged japanese woman: A rare case report. J. Clin. Case Rep. 2017, 7, 935. [Google Scholar] [CrossRef]
- Tzaida, O.; Papazian, M.; Kokkinos, C.; Provatas, I.; Markouizou, A.; Novkovic, N.; Nomikos, I. Adrenal gland: An anatomical site of surprises: On occasion of a primary leiomyosarcoma. Ann. Clin. Exp. Metabol. 2017, 2, 1014. [Google Scholar]
- Mulani, S.R.; Stoner, P.; Schlachterman, A.; Ghayee, H.K.; Lu, L.; Gupte, A. First reported case of endoscopic ultrasound-guided core biopsy yielding diagnosis of primary adrenal leiomyosarcoma. Case Rep. Gastrointest. Med. 2018, 2018, 8196051. [Google Scholar] [CrossRef] [PubMed]
- Doppalapudi, S.K.; Shah, T.; Fitzhugh, V.A.; Bargman, V. Primary adrenal leiomyosarcoma with inferior vena cava extension in a 70-year-old man. BMJ Case Rep. 2019, 12, e227670. [Google Scholar] [CrossRef]
- Nerli, R.B.; Ghagane, S.; Dixit, N.S.; Hiremath, M.B.; Deole, S. Adrenal leiomyosarcoma in a young adult male. Int. Cancer Conf. J. 2019, 9, 14–17. [Google Scholar] [CrossRef]
- Sakellariou, M.; Dellaportas, D.; Grapsa, E.; Tzikanoulas, M.; Dellis, A.; Theodosopoulos, T.; Nastos, C. Primary adrenal leiomyosarcoma: A case report. Mol. Clin. Oncol. 2020, 12, 317–320. [Google Scholar] [CrossRef]
- Lokanatha, D.; Jacob, L.; Babu, M.; Lokesh, K.N.; Krishna Sai, R.; Rudresha, A.H.; Rajeev, L.K.; Saldanha, S.; Suma, M.N.; Usha, A. Primary adrenal leiomyosarcoma: An extremely rare mesenchymal tumor. Indian J. Med. Paediatr. Oncol. 2019, 40, 559–562. [Google Scholar] [CrossRef]
- Brunt, L.M. The positive impact of laparoscopic adrenalectomy on complications of adrenal surgery. Surg. Endosc. 2002, 16, 252–257. [Google Scholar] [CrossRef] [PubMed]
- Usta, M.A.; Ulusahin, M.; Alhan, E.; Cinel, A.; Nuhoglu, I. Open adrenalectomy: A 20-year review of our experience in a developing country. Ann. Afr. Med. 2020, 19, 26–30. [Google Scholar] [PubMed]
- Tomasich, F.D.; Luz Mde, A.; Kato, M.; Targa, G.Z.; Dias, L.A.; Zucoloto, F.J.; Ogata, D.C. Leiomiossarcoma primário de adrenal [Primary adrenal leiomyosarcoma]. Arq. Bras. Endocrinol. Metabol. 2008, 52, 1510–1514. [Google Scholar] [CrossRef] [PubMed][Green Version]
- Hayes, G. Update on Adrenalectomy. Vet. Clin. North. Am. Small Anim. Pract. 2022, 52, 473–487. [Google Scholar] [CrossRef] [PubMed]
- Samsel, R.; Cichocki, A.; Roszkowska-Purska, K.; Falkowski, S. Mięśniakomięsak gładkokomórkowy nadnercza—opis dwóch przypadków [Leiomyosarcoma of the adrenal gland—two cases report]. Pol. Merkur. Lekarski. 2018, 45, 189–191. [Google Scholar] [PubMed]
- Anoshkin, K.I.; Karandasheva, K.O.; Goryacheva, K.M.; Pyankov, D.V.; Koshkin, P.A.; Pavlova, T.V.; Bobin, A.N.; Shpot, E.V.; Chernov, Y.N.; Vinarov, A.Z.; et al. Multiple Chromoanasynthesis in a Rare Case of Sporadic Renal Leiomyosarcoma: A Case Report. Front. Oncol. 2020, 10, 1653. [Google Scholar] [CrossRef] [PubMed]
- Jones, P.A.; Baylin, S.B. The fundamental role of epigenetic events in cancer. Nat. Rev. Genet. 2002, 3, 415–428. [Google Scholar] [CrossRef]
- Lee, Y.S.; Dutta, A. MicroRNAs in cancer. Annu. Rev. Pathol. 2009, 4, 199–227. [Google Scholar] [CrossRef]
- Coley, H.M. Mechanisms and strategies to overcome chemotherapy resistance in metastatic breast cancer. Cancer Treat. Rev. 2008, 34, 378–390. [Google Scholar] [CrossRef]
- Karantanos, T.; Evans, C.P.; Tombal, B.; Thompson, T.C.; Montironi, R.; Isaacs, W.B. Understanding the mechanisms of androgen deprivation resistance in prostate cancer at the molecular level. Eur. Urol. 2015, 67, 470–479. [Google Scholar] [CrossRef] [PubMed]
- van der Graaf, W.T.; Blay, J.Y.; Chawla, S.P.; Kim, D.W.; Bui-Nguyen, B.; Casali, P.G.; Schöffski, P.; Aglietta, M.; Staddon, A.P.; Beppu, Y.; et al. EORTC Soft Tissue and Bone Sarcoma Group; PALETTE study group. Pazopanib for metastatic soft-tissue sarcoma (PALETTE): A randomized, double-blind, placebo-controlled phase 3 trial. Lancet 2012, 379, 1879–1886. [Google Scholar] [CrossRef] [PubMed]
- Demetri, G.D.; von Mehren, M.; Jones, R.L.; Hensley, M.L.; Schuetze, S.M.; Staddon, A.; Milhem, M.; Elias, A.; Ganjoo, K.; Tawbi, H.; et al. Efficacy and Safety of Trabectedin or Dacarbazine for Metastatic Liposarcoma or Leiomyosarcoma After Failure of Conventional Chemotherapy: Results of a Phase III Randomized Multicenter Clinical Trial. J. Clin. Oncol. 2016, 34, 786–793. [Google Scholar] [CrossRef] [PubMed]
- Pautier, P.; Italiano, A.; Piperno-Neumann, S.; Chevreau, C.; Penel, N.; Firmin, N.; Boudou-Rouquette, P.; Bertucci, F.; Balleyguier, C.; Lebrun-Ly, V.; et al. Doxorubicin alone versus doxorubicin with trabectedin followed by trabectedin alone as first-line therapy for metastatic or unresectable leiomyosarcoma (LMS-04): A andomized, multicentre, open-label phase 3 trial. Lancet Oncol. 2022, 23, 1044–1054. [Google Scholar] [CrossRef] [PubMed]
- Ramaiah, M.J.; Tangutur, A.D.; Manyam, R.R. Epigenetic modulation and understanding of HDAC inhibitors in cancer therapy. Life Sci. 2021, 277, 119504. [Google Scholar] [CrossRef] [PubMed]
- Li, Y.; Seto, E. HDACs and HDAC Inhibitors in Cancer Development and Therapy. Cold Spring Harb. Perspect. Med. 2016, 6, a026831. [Google Scholar] [CrossRef] [PubMed]
- Roulleaux Dugage, M.; Nassif, E.F.; Italiano, A.; Bahleda, R. Improving Immunotherapy Efficacy in Soft-Tissue Sarcomas: A Biomarker Driven and Histotype Tailored Review. Front. Immunol. 2021, 12, 775761. [Google Scholar] [CrossRef] [PubMed]
- Osei-Hwedieh, D.O.; Sedlacek, A.L.; Hernandez, L.M.; Yamoah, A.A.; Iyer, S.G.; Weiss, K.R.; Binder, R.J. Immunosurveillance shapes the emergence of neo-epitope landscapes of sarcomas, revealing prime targets for immunotherapy. JCI Insight 2023, 8, e170324. [Google Scholar] [CrossRef] [PubMed]
- Taffurelli, G.; Ricci, C.; Casadei, R.; Selva, S.; Minni, F. Open adrenalectomy in the era of laparoscopic surgery: A review. Updates Surg. 2017, 69, 135–143. [Google Scholar] [CrossRef]
- Assalia, A.; Gagner, M. Laparoscopic adrenalectomy. Br. J. Surg. 2004, 91, 1259–1274. [Google Scholar] [CrossRef]
- Gaujoux, S.; Weinandt, M.; Bonnet, S.; Reslinger, V.; Bertherat, J.; Dousset, B. Surgical treatment of adrenal carcinoma. J. Visc. Surg. 2017, 154, 335–343. [Google Scholar] [CrossRef]
- Gan, L.; Meng, C.; Li, K.; Lei, P.; Li, J.; Wu, J.; Li, Y. Safety and effectiveness of minimally invasive adrenalectomy versus open adrenalectomy in patients with large adrenal tumors (≥5 cm): A meta-analysis and systematic review. Int. J. Surg. 2022, 104, 106779. [Google Scholar] [CrossRef] [PubMed]
- Yip, L.; Duh, Q.Y.; Wachtel, H.; Jimenez, C.; Sturgeon, C.; Lee, C.; Velázquez-Fernández, D.; Berber, E.; Hammer, G.D.; Bancos, I.; et al. American Association of Endocrine Surgeons Guidelines for Adrenalectomy: Executive Summary. JAMA Surg. 2022, 157, 870–877. [Google Scholar] [CrossRef]
- Agrusa, A.; Romano, G.; Navarra, G.; Conzo, G.; Pantuso, G.; Buono, G.D.; Citarrella, R.; Galia, M.; Monte, A.L.; Cucinella, G.; et al. Innovation in endocrine surgery: Robotic versus laparoscopic adrenalectomy. Meta-analysis and systematic literature review. Oncotarget 2017, 8, 102392–102400. [Google Scholar] [CrossRef]
- Danwang, C.; Agbor, V.N.; Bigna, J.J. Obesity and postoperative outcomes of the patients with laparoscopic adrenalectomy: A systematic review and meta-analysis. BMC Surg. 2020, 20, 194. [Google Scholar] [CrossRef] [PubMed]
- Else, T.; Kim, A.C.; Sabolch, A.; Raymond, V.M.; Kandathil, A.; Caoili, E.M.; Jolly, S.; Miller, B.S.; Giordano, T.J.; Hammer, G.D. Adrenocortical carcinoma. Endocr. Rev. 2014, 35, 282–326. [Google Scholar] [CrossRef]
- Heger, P.; Probst, P.; Hüttner, F.J.; Gooßen, K.; Proctor, T.; Müller-Stich, B.P.; Strobel, O.; Büchler, M.W.; Diener, M.K. Evaluation of Open and Minimally Invasive Adrenalectomy: A Systematic Review and Network Meta-analysis. World J. Surg. 2017, 41, 2746–2757. [Google Scholar] [CrossRef] [PubMed]
- Liu, Q.; Gao, Y.; Zhao, Z.; Zhao, G.; Liu, R.; Lau, W.Y. Robotic resection of benign nonadrenal retroperitoneal tumors: A consecutive case series. Int. J. Surg. 2018, 55, 188–192. [Google Scholar] [CrossRef]
- Patrone, R.; Gambardella, C.; Romano, R.M.; Gugliemo, C.; Offi, C.; Andretta, C.; Vitiello, A.; Tartaglia, E.; Flagiello, L.; Conzo, A. The impact of the ultrasonic, bipolar and integrated energy devices in the adrenal gland surgery: Literature review and our experience. BMC Surg. 2019, 18 (Suppl. S1), 123. [Google Scholar] [CrossRef]
- Conzo, G.; Patrone, R.; Flagiello, L.; Catauro, A.; Conzo, A.; Cacciatore, C.; Mongardini, F.M.; Cozzolino, G.; Esposito, R.; Pasquali, D.; et al. Impact of Current Technology in Laparoscopic Adrenalectomy: 20 Years of Experience in the Treatment of 254 Consecutive Clinical Cases. J. Clin. Med. 2023, 12, 4384. [Google Scholar] [CrossRef]
- Coppola Bottazzi, E.; Gambardella, C.; Mongardini, F.M.; Vanella, S.; Noviello, A.; Palma, T.; Murano, R.; De Chiara, G.; Conzo, G.; Docimo, L.; et al. Prognosis of Adrenal Oncocytic Neoplasms (AONs): Literature Review of 287 Cases and Presentation of the Oldest Patient. J. Clin. Med. 2023, 12, 6925. [Google Scholar] [CrossRef] [PubMed]
- McLeod, M.K. Complications following adrenal surgery. J. Natl. Med. Assoc. 1991, 83, 161–164. [Google Scholar] [PubMed]
- Grimer, R.; Judson, I.; Peake, D.; Seddon, B. Guidelines for the management of soft tissue sarcomas. Sarcoma 2010, 2010, 506182. [Google Scholar] [CrossRef] [PubMed]
- Duregon, E.; Volante, M.; Giorcelli, J.; Terzolo, M.; Lalli, E.; Papotti, M. Adrenal leiomyosarcoma: Clues for a correct diagnosis. Endocr. Pathol. 2018, 29, 253–257. [Google Scholar]








| References | Age/y | Sex | Side | Size (cm) | Extension | Surgery | CHT/RT | Follow-Up/Months |
|---|---|---|---|---|---|---|---|---|
| CHOI SH, J Surg Oncol 1981 [10] | 50 | F | L | 16 | None | Adrenalectomy + Partial Nephrectomy | None | 12 (alive without recurrence or metastasis) |
| LACK EE, Am J Surg Pathol 1991 [11] | 49 | M | R | 11 | None | Adrenalectomy + Nephrectomy | RT + CHT | 9 (alive with metastasis) |
| ZETLER PJ, Arch Pathol Lab Med 1995 [12] | 30 | M | L | 11 | ND | Adrenalectomy | None | 20 (alive without recurrence or metastasis) |
| BOMAN F, Arch Pathol Lab Med 1997 [13] | 48 | M | R | 2 | ND | None | None | ND |
| 29 | M | L | 0.8 | ND | None | None | ND | |
| ETTEN B, Sarcoma 2001 [14] | 73 | F | R | 27 | IVC | Exploratory Laparotomy | None | 3 weeks (dead) |
| MATSUI Y, Int J Urol 2002 [15] | 61 | F | R | ND | IVC + right atrium | Adrenalectomy + Nephrectomy + Thrombectomy | None | 1 (dead with metastasis) |
| LUJAN MG, Arch Pathol Lab Med 2003 [16] | 63 | M | R | 25 | Pulmonary metastasis and Invasion to AO | Adrenalectomy + Nephrectomy + hepatic lobectomy + cholecystectomy | CT | died shortly after surgery |
| THAMBOO TP, Pathology 2003 [17] | 68 | F | R | 13 | None | Adrenalectomy + Nephrectomy | None | 12 (alive without recurrence or metastasis) |
| LINOS D, Surgery 2004 [18] | 14 | F | Bil | 3.5 (R) 4 (L) | None | Bilateral Adrenalectomy | None | ND |
| KATO K, Int J Clin Oncol 2004 [19] | 59 | M | L | 10 | IVC | Adrenalectomy + Nephrectomy + Thrombectomy | None | 6 (dead with metastasis) |
| WONG, J R Soc Med 2005 [20] | 57 | M | L | ND | IVC and both iliac veins | Adrenalectomy + Nephrectomy + Thrombectomy | None | more than 6 months (dead with recurrence) |
| CANDANEDO-GONZALEZ FA, Endocr Pathol 2005 [21] | 59 | F | L | 16 | Invasion to Adjacent Organs | Adrenalectomy | RT + CHT | 36 (alive with metastasis) |
| LEE CU, Abdom Imaging 2006 [22] | 49 | M | L | 3 | None | Adrenalectomy | None | 10 (alive without recurrence or metastasis) |
| MOHANTY SK, Urology 2007 [23] | 47 | F | L | 10 | None | Adrenalectomy + Nephrectomy | RT | 9 (alive with metastasis) |
| WANG TS, World J Surg Oncol 2007 [24] | 64 | F | R | 14 | IVC + right atrium | Adrenalectomy + Thrombectomy | None | 10 (alive without recurrence or metastasis) |
| GOTO J, Endocr J 2008 [25] | 73 | F | R | 8 | Invasion to Adjacent Organs | Adrenalectomy + Nephrectomy | None | 10 (alive without recurrence or metastasis) |
| MENCOBONI M, Clin Med Oncol 2008 [26] | 75 | F | R | 8 | None | Adrenalectomy + Nephrectomy | None | 12 (alive without recurrence or metastasis) |
| VAN LAARHOVEN HV, Anticancer Res 2009 [27] | 78 | M | L | ND | multiple metastasis | None | RT | 11 days (dead with metastasis) |
| HAMADA S, Int J Clin Oncol 2009 [28] | 62 | F | Bil | 8 (R) 4 (L) | None | Bilateral Adrenalectomy, Radiofrequency Ablation | RT + CHT | 16 (dead with metastasis) |
| KARAOSMANOGLU A, J Ultrasound Med 2010 [29] | 63 | M | R | ND | IVC | None | CT | 3 (dead) |
| SHAO IH, Chang Gung Med J 2012 [30] | 66 | M | L | 10 | Renal vein | Adrenalectomy | None | 18 (alive without recurrence or metastasis) |
| KANTHAN R, World J Surg Oncol 2012 [31] | 28 | F | L | 16 | None | Adrenalectomy + Nephrectomy + Partial Diaphragmatic | None | ND |
| DESHMUKH SD, J Cancer Res Ther 2013 [32] | 60 | F | L | 5 | None | Adrenalectomy | None | 21 (alive without recurrence or metastasis) |
| GULPINAR MT, Case Rep Urol 2014 [33] | 48 | M | r | 11 | None | Adrenalectomy | None | 8 (alive without recurrence or metastasis) |
| OZTURC H, Rare Tumors 2014 [34] | 70 | F | R | 8 | IVC | Adrenalectomy + Cavotomy | CT | 6 (alive with metastasis) |
| LEE S, Korean J Pathol 2014 [35] | 28 | M | R | 15 | None | Adrenalectomy | None | 18 (alive without recurrence or metastasis) |
| BHALLA A, Conn Med 2014 [36] | 45 | M | R | 11 | multiple metastasis | None | CT | 9 (alive with metastasis) |
| WEI J, Int J Surg Pathol 2014 [37] | 57 | F | L | 8 | None | Adrenalectomy | None | 29 (alive without recurrence or metastasis) |
| MANZANO AJ, AACE Clin Case ReP 2015 [38] | 63 | F | R | 6.8 × 4.4 | ND | Adrenalectomy | CT | 2 (local recurrence, treated with CT) |
| NAGARAJ V, Case Rep Surg 2015 [39] | 61 | M | L | 16 × 10.7 × 11.7 | None | Adrenalectomy | None | NA—lost contact with the patient |
| ZHOU Y, Int J Clin Exp Pathol 2015 [40] | 49 | F | L | 6 × 5 × 5 | None | Laparoscopic Adrenalectomy | None | 6 (alive without recurrence or metastasis) |
| QUILDRIAN S, Endocrinol Nutr. 2015 [41] | 44 | F | R | 7.4 × 5.2 | None | Laparoscopic Adrenalectomy | None | 3 years (alive without recurrence or metastasis) |
| ONISHI T, World J Surg Oncol. 2016 [42] | 34 | M | R | 5.2 × 3.2 | IVC | Adrenalectomy en bloc with VIIs of liver, lymphadenectomy, resection of invaded IVC wall | None | 10 (alive without recurrence or metastasis) |
| LI C-C, Urol Sci. 2016 [43] | 61 | F | R | 4 × 5 | Invasion to Adjacent Organs | Adrenalectomy with resection of invaded hepatic tissue | None | 3 (tumor recurrences) |
| RUDIN A, Clin Surg. 2016 [44] | 72 | M | L | 5.1 | None | Laparoscopic converted to open Adrenalectomy | None | 3 (alive without recurrence or metastasis) |
| AOKI C, J Clin Case Rep 2017 [45] | 81 | F | R | 7 | None | Adrenalectomy | CT | 2–4 local recurrences, 8–10 further growth of tumor; 13 died. |
| TZAIDA O, Ann Clin Exp Metabol 2017 [46] | 69 | F | R | 5.4 × 4.3 | ND | Adrenalectomy | RT | 12 (alive without recurrence or metastasis) |
| MULANI SR, Case Rep Gastrointest Med 2018 [47] | 50 | M | L | 8.1 | ND | NONE | PALLIATION CT-RT | NA |
| DOPPALAPUDI SK, BMJ Case Rep CP. 2019 [48] | 70 | M | R | 12.2 | IVC, Invasion to Adjacent Organs | Adrenalectomy + Nephrectomy + IVC Cavotomy + Thrombectomy | None | 12 (pulmonary metastasis, died) |
| NERLI R, Int Cancer Confer J. 2020 [49] | 27 | M | L | 9 × 6.5 × 7 | None | Adrenalectomy | None | NA |
| SAKELLARIOU M, Molecular and Clinical Oncology [50] | 62 | M | L | 10.3 × 8.5 × 8.4 | Invasion to Adjacent Organs | Adrenalectomy | CT-RT | 3 (bone metastasis), 7 (liver metastasis), 11 (pulmonary metastasis), 31 (alive with metastasis) |
| LOKANATHA Indian J Med Paediatr Oncol. 2020 [51] | 60 | F | L | 7.6 × 7.7 × 6.8 | None | Adrenalectomy + distal pancreatectomy, splenectomy | CT | NA |
| Waack A, Radiol Case Rep. 2022 [1] | 58 | F | L | 5.5 × 4.4 | None | Laparoscopic Adrenalectomy | None | NA |
| Our Case Rep | 52 | F | R | 9 × 7 × 6 | None | Laparoscopic Adrenalectomy + Nephrectomy | CT | 12 (alive with liver metastasis) |
| References | Macroscopic | Cell Morphological Characteristics | Mitotic Activity | Immunohistochemistry |
|---|---|---|---|---|
| CHOI SH, J Surg Oncol 1981 [10] | Central area of cystic degeneration and necrosis | spindle-shaped cells arranged in bundles atypia with nuclear hyperchromatism. | evident | - |
| LACK EE, Am J Surg Pathol 1991 [11] | Necrotic and hemorrhagic area of neoplasm | spindle cells having elongated, blunt-ended nuclei and tapering, eosinophilic cytoplasmic processes | 15 per 10 high power fields of mitotic figures | Vimentin ab +; S-100 protein −/+; HHF-35 +; α-SMA +. |
| ZETLER PJ, Arch Pathol Lab Med 1995 [12] | - | - | - | SMA + |
| BOMAN F, Arch Pathol Lab Med 1997 [13] | - | - | - | - |
| - | - | - | - | |
| ETTEN B, Sarcoma 2001 [14] | areas of coagulation necrosis | spindle cell tumor with a moderate degree of atypia | up to 10 mitoses per 2 mm2 | strong immunoreactivity for α-SMA |
| MATSUI Y, Int J Urol 2002 [15] | central area of cystic degeneration | interlacing fascicles of spindle cells | many mitoses | cytoplasmic (SMA) immunoreactivity |
| LUJAN MG, Arch Pathol Lab Med 2003 [16] | hemorrhagic, multinodular mass with irregular zones of necrosis | pleomorphic neoplastic cells | Ki-67 about 80% | |
| THAMBOO TP, Pathology 2003 [17] | ||||
| LINOS D, Surgery 2004 [18] | fibrous substrate, with inflammatory areas | characteristic spindle-shaped neoplastic cells | - | Positive for smooth muscle actin, vimentin, and actin HHF Negative for S100, CD 34, desmin, and ALK. |
| KATO K, Int J Clin Oncol 2004 [19] | areas of hemorrhage and necrosis | spindle-shaped cells with a fibrillary appearance | several mitotic figures | Positive for SMA, desmin and vimentin. Negative for neuron-specific enolase (NSE), S-100, chromogranin, synaptophysin, and CD34 |
| WONG, J R Soc Med 2005 [20] | - | - | - | - |
| CANDANEDO-GONZALEZ FA, Endocr Pathol 2005 [21] | a circumscribed, solid, multinodular, green-red mass, with markedly necrotic and hemorrhagic areas, and extra adrenal extension 2400 g | hypercellular areas, with a diffuse proliferation of pleomorphic neoplastic cells and osteoclast-like giant cells | 15 mitotic figures per 10 high power fields, Ki-67 was 7.6% | Positive for SMA, desmin vimentin and p53, Tumor cells were negative for CD34, HMB45, estrogen receptors, and S-100 protein. |
| LEE CU, Abdom Imaging 2006 [22] | - | hypercellular tumor with a haphazard arrangement of spindled, oval, or rounded cells intermingled with bizarre tumor cells | - | positive for desmin and negative for creatine kinase, myoglobin, S-100, CD34, CD117 (Ckit), and HMB-45 |
| MOHANTY SK, Urology 2007 [23] | It was almost completely replaced by a centrally hemorrhagic and partially necrotic rubbery to firm mass 180 g | neoplastic cells were spindled to plump, with cigar-shaped blunt-ended nuclei. In areas, the tumor showed moderate-to-marked nuclear pleomorphism and conspicuous nucleoli. | brisk mitotic activity (12–14/HPFs) ki67 was > 75% | strong immunoreactivity for muscle markers (desmin, calponin, and actin), whereas those for cytokeratins (pankeratin, AE1/AE2), renal cell markers (RCC, CD10), melanoma markers (S100, melan A), and adrenal markers (Inhibin, melan A) were negative |
| WANG TS, World J Surg Oncol 2007 [24] | a firm, nodular and trabeculated tan-white mass with focal areas of cystic degeneration and hemorrhage Areas of coagulative necrosis were present | composed of spindle cells arranged in intersecting fascicles. Tumor cells showed moderate atypia with hyperchromasia, nuclear enlargement and occasional giant cells. | three to five mitoses per 10 high power fields were identified, with occasional atypical mitotic figures | strong reactivity for desmin and smooth muscle actin; negative for c-kit, S100 and HMB45 |
| GOTO J, Endocr J 2008 [25] | White rubbery tissue with central degeneration due to necrosis and hemorrhage | Fascicles of spindle cells | Mitotic rate as high as 2–5 cells/high power field (HPF) | Positive for SMA; CD57, S-100 and CD117 were negative, the composed cells were massively positive with NSE protein |
| MENCOBONI M, Clin Med Oncol 2008 [26] | A roundish, fibrous neoformation with a thrombus inside the adrenal vein | Elongated cells with eosinophilic cytoplasm and elongated nuclei with rounded and small nucleolus with moderate polymorphism, arranged in fascicles, no necrotic areas | 16/50 HPF mitotes Ki67 20% | Positive for desmin, SMA(1A4), Actin (HHF3, HHF35, Primary Antibody 5); CD34, CD117 were negative. |
| VAN LAARHOVEN HV, Anticancer Res 2009 [27] | - | - | - | - |
| HAMADA S, Int J Clin Oncol 2009 [28] | - | Spindle- shaped neoplastic cells | Strong staining of SMA, but negative staining for keratin, CD34 e c-kit | |
| KARAOSMANOGLU A, J Ultrasound Med 2010 [29] | Spindle cells sarcoma with smooth muscle differentiation consistent with high grade leiomyosarcoma | Diffuse staining for actin and vimentin and patchy staining for desmin and keratin | ||
| SHAO IH, Chang Gung Med J 2012 [30] | Spindle cells tumor, composed of interlacing fascicles of neoplastic smooth muscle cells | Positive for desmin and SMA, negative for CD117, HMB45, CD34. | ||
| KANTHAN R, World J Surg Oncol 2012 [31] | Ragged, irregular, pale rubbery multinodular mass with hemorrhage and necrosis 1492 g | Tumor cells arranged in sheets and storiform patterns with extensive fibrous spindled stroma in some areas and others with a myxoid background | Ki67 and p53 moderately expressed | Strongly positive with SMA and vimentin, negative staining to pan-keratin, CK7, CK20 and HMWK. Negative staining with myogenin and desmin, S-100 was negative too. |
| DESHMUKH SD, J Cancer Res Ther 2013 [32] | Uniform, grey-white color with streaks and strands and a whorled appearance in places; no areas of hemorrhage and necrosis | Spindled neoplastic cells, arranging in interlacing bundles and fascicles of varying sizes. | 10 to 12 abnormal mitotic figures per 10 HPFs | Strong reactivity for SMA, desmin and vimentin; negative for CK, S-100 protein, CD117, HMB45 and CD34 |
| GULPINAR MT, Case Rep Urol 2014 [33] | Roundish fibrose neoplasia, yellow-creamy-white solid mass with a central necrotic area. 370 g | Spindle cells associated with predominantly diffuse plasma cell infiltration prevalent in the necrotic areas | Ki67 was 4% | Strongly diffuses vimentin, moderately diffuses SMA; negative for pan-cytokeratin, inhibin, synaptofisin, chromogranin, CD30-31-34-117, S-100, ALK, myogenin, lambda an k light chain proteins immunonegative |
| OZTURC H, Rare Tumors 2014 [34] | Cystic features and bleeding at focal point, no necrosis | Cells with spindle-shaped nuclei and pink cytoplasm that crossed each other at varying angles and pleomorphism at certain foci | 8–10/10 HPFs, ki67 was 70% | SMA, desmin positive; CK and bcl2 negative |
| LEE S, Korean J Pathol 2014 [35] | Enlarged lobulate mass of 792 g, well sub-circumscribed and partially encapsulated tumors | Spindle cells tumor with a rim of fibrous tissue with entrapped atrophic adrenal cortical cells, geographic coagulation necrosis with surrounding fibrosis | 25/10 HPFs | Strongly positive for SMA and desmin; pan cytokeratin, CD117, S-100 protein and HMB45 were all negative |
| BHALLA A, Conn Med 2014 [36] | Atypical spindle-shaped cells arranged in intersecting fascicles. Focal tumor necrosis | High mitotic activity | SMA and desmin were positive, S-100 and c-kit were negative | |
| WEI J, Int J Surg Pathol 2014 [37] | Firm, grayish white mass surrounded by a fibrous pseudo capsule, with focal areas of hemorrhage | Large area of necrosis, neoplastic cells arranged in interlacing fascicles; in some areas it ranged from spindled to plump with cigar-shaped, blunt-ended nuclei | More than 10 abnormal mitotic figures per 50 HPFs | Strongly positive for SMA, desmin and vimentin; negative for cytokeratin, CD117, CD34, CD68, S-100, HMB45, myoglobin |
| MANZANO AJ, AACE Clin Case ReP 2015 [38] | A reconstructed mass with heterogeneous borders and areas of internal necrosis | Spindle cells neoplasia, atypical mitosis and necrosis | Ki67 focally greater than 50%, present in 40% of proliferating cells | Positive for SMA, desmin and focal myogenin (MYF4); S-100 and inhibin were negative |
| NAGARAJ V, Case Rep Surg 2015 [39] | Grossly, multiple pieces of grayish white friable tissue with attached small amount of fatty tissue, with mucoidal areas and tiny hemorrhagic areas. 1040 g | High-grade spindle cells with eosinophilic cytoplasm and spindly, blunt ended vesicular nuclei | - | Strongly positive for desmin and vimentin; negative for calretinin, inhibin, chromogranin, synaptophysin, S-100 pankeratin and CD68. |
| ZHOU Y, Int J Clin Exp Pathol 2015 [40] | Roundish, grayish white mass, with areas of hemorrhage and necrosis | Hypercellular tumor, intersecting fascicles of spindle cells | Ki67 > 60% | Positive for desmin, SMA, vimentin and negative for CD34, S100, CD117, bcl2 and Dog1. |
| PEREIRA-BECEIRO J, Cir Esp 2015 [5] | ||||
| QUILDRIAN S, Endocrinol Nutr. 2015 [41] | - | Interlacing fascicles of spindle cells with elongated hyperchromatic nuclei and marked pleomorphism | Ki67 was 20%, with up to 12 mitoses/10 HPFs | Strongly positive for vimentin (80%), H caldhemon (90%), SMA (70%), desmin (10%), actin HHF-35 (80%), CD34 (60%); CD117-68, S100, cytokeratin AE1 AE3 were negative. |
| ONISHI T, World J Surg Oncol. 2016 [42] | Solid and grayish white mass with some mucoid and small necrotic areas | Spindle-shaped cells with eosinophilic cytoplasm and pleomorphic nuclei | Ki67 approximately 50% in the hot spot | Diffusely positive for SMA and negative for S100 and CD34 |
| LI C-C, Urol Sci. 2016 [43] | - | - | 18/10 HPFs | Positive for SMA, desmin, H caldesmon; negative for S100, CD34 |
| RUDIN A, Clin Surg. 2016 [44] | White lobulated fleshy area that focally grew into the lumen of the adrenal vein, red and hemorrhagic soft area | Intersecting fascicles of spindle cells with atypical cigar-shaped nuclei and abundant eosinophilic cytoplasm, not necrosis area | Scattered mitotic figures were present | Strongly positive for SMA; negative for desmin, HMB45, MITF, inhibin |
| AOKI C, J Clin Case Rep 2017 [45] | - | Atypical spindle cells with oval-shaped nuclei growing in a flowing sequence | - | Positive SMA and vimentin; |
| TZAIDA O, Ann Clin Exp Metabol 2017 [46] | Thin fibrous pseudo capsule, with areas of hemorrhage and necrosis areas | Interlacing fascicles of glycogen-rich (PAS-positive), spindle-shaped cells with moderate nuclear pleiomorphism. | Ki67 up to 30%; mitotic rate 7 to 8/10 HPFs | Positive for vimentin, actin, desmin, HHF35 and caldesmon; cytokeratin AE1 AE 3, HMB45, CD34, c-kit and S100 negative |
| MULANI SR, Case Rep Gastrointest Med 2018 [47] | - | Spindle cell neoplasm with extensive necrosis | High power view showing fascicular growth pattern and cytological pleomorphism. | Positive for desmin, cytokeratin Mak6, WT1, and S-100. Negative for CD34 and chromogranin |
| DOPPALAPUDI SK, BMJ Case Rep CP. 2019 [48] | Multilobular mass, without identified tissue plane | Hypercellular spindle cell neoplasm, cigar-shaped, running in parallel fascicles to one another, and demonstrated small, prominent nucleoli | - | Strong diffuse immunoreactivity to SMA and caldesmon |
| NERLI R, Int Cancer Confer J. 2020 [49] | Nodular, firm, well encapsulated tumor | Spindle-shaped tumor cells with prominent, eosinophilic cytoplasm resembling smooth muscle fibers | MIB 1/ki67 18–20% in the proliferative area of the tumor; nuclear mitosis increased | Positive for desmin and H caldesmon; ckit negative |
| SAKELLARIOU M, Mol Clin Oncol. 2020 [50] | Lobulated appearance, cystic degeneration, necrosis in cross section and residual adrenal tissue on outer tissue 594 g | Spindle cell tumor with intermediate nuclear atypia and small areas of ischemic necrosis | 7 mitoses/10 HPFs; ki67 approximately 75% | Positive for desmin, SMA; negative for S100, synaptophysin, chromogranin, pan-cytokeratin, calretinin |
| LOKANATHA Indian J Med Paediatr Oncol. 2020 [51] | Encapsulated solid mass, roundish, with areas of hemorrhage | Spindle cell neoplasm | 5–6 mitosis/10 HPFs; ki67 was 40% | Positive for SMA, desmin, H caldesmon and CD34, negative for CD117, S100, DOG1 |
| Waack A, Radiol Case Rep. 2022 [1] | Well encapsulated adrenal mass with areas of necrosis | - | Increased of ki67 | Positive for SMA, desmin, calponin, caldesmon and vimentin; negative for S100, CD34, ckit |
| Our Case Rep | Solid neoplastic proliferation | Spindle cells arranged in a fascicular pattern with areas of coagulative necrosis and areas of hyalinization of the stroma | Frequent mitotic figures | Positivity for SMA, desmin and calponin; negativity for cytokeratin, S100, EMA |
Disclaimer/Publisher’s Note: The statements, opinions and data contained in all publications are solely those of the individual author(s) and contributor(s) and not of MDPI and/or the editor(s). MDPI and/or the editor(s) disclaim responsibility for any injury to people or property resulting from any ideas, methods, instructions or products referred to in the content. |
© 2024 by the authors. Licensee MDPI, Basel, Switzerland. This article is an open access article distributed under the terms and conditions of the Creative Commons Attribution (CC BY) license (https://creativecommons.org/licenses/by/4.0/).
Share and Cite
Mongardini, F.M.; Paolicelli, M.; Catauro, A.; Conzo, A.; Flagiello, L.; Nesta, G.; Esposito, R.; Ronchi, A.; Romano, A.; Patrone, R.; et al. Outcomes and Follow-Up Trends in Adrenal Leiomyosarcoma: A Comprehensive Literature Review and Case Report. J. Clin. Med. 2024, 13, 3499. https://doi.org/10.3390/jcm13123499
Mongardini FM, Paolicelli M, Catauro A, Conzo A, Flagiello L, Nesta G, Esposito R, Ronchi A, Romano A, Patrone R, et al. Outcomes and Follow-Up Trends in Adrenal Leiomyosarcoma: A Comprehensive Literature Review and Case Report. Journal of Clinical Medicine. 2024; 13(12):3499. https://doi.org/10.3390/jcm13123499
Chicago/Turabian StyleMongardini, Federico Maria, Maddalena Paolicelli, Antonio Catauro, Alessandra Conzo, Luigi Flagiello, Giusiana Nesta, Rosetta Esposito, Andrea Ronchi, Alessandro Romano, Renato Patrone, and et al. 2024. "Outcomes and Follow-Up Trends in Adrenal Leiomyosarcoma: A Comprehensive Literature Review and Case Report" Journal of Clinical Medicine 13, no. 12: 3499. https://doi.org/10.3390/jcm13123499
APA StyleMongardini, F. M., Paolicelli, M., Catauro, A., Conzo, A., Flagiello, L., Nesta, G., Esposito, R., Ronchi, A., Romano, A., Patrone, R., Docimo, L., & Conzo, G. (2024). Outcomes and Follow-Up Trends in Adrenal Leiomyosarcoma: A Comprehensive Literature Review and Case Report. Journal of Clinical Medicine, 13(12), 3499. https://doi.org/10.3390/jcm13123499

