Floating–Harbor Syndrome: A Systematic Literature Review and Case Report
Abstract
1. Introduction
2. Materials and Methods
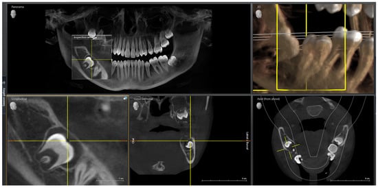
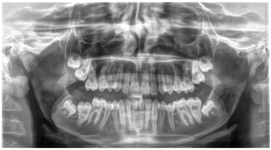
2.1. Diagnosis and Etiology
2.2. Treatment Objectives
2.3. Literature Review
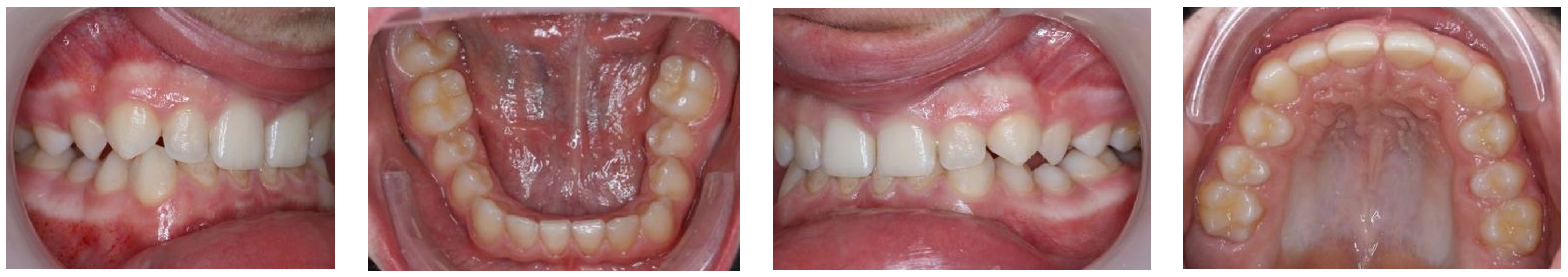
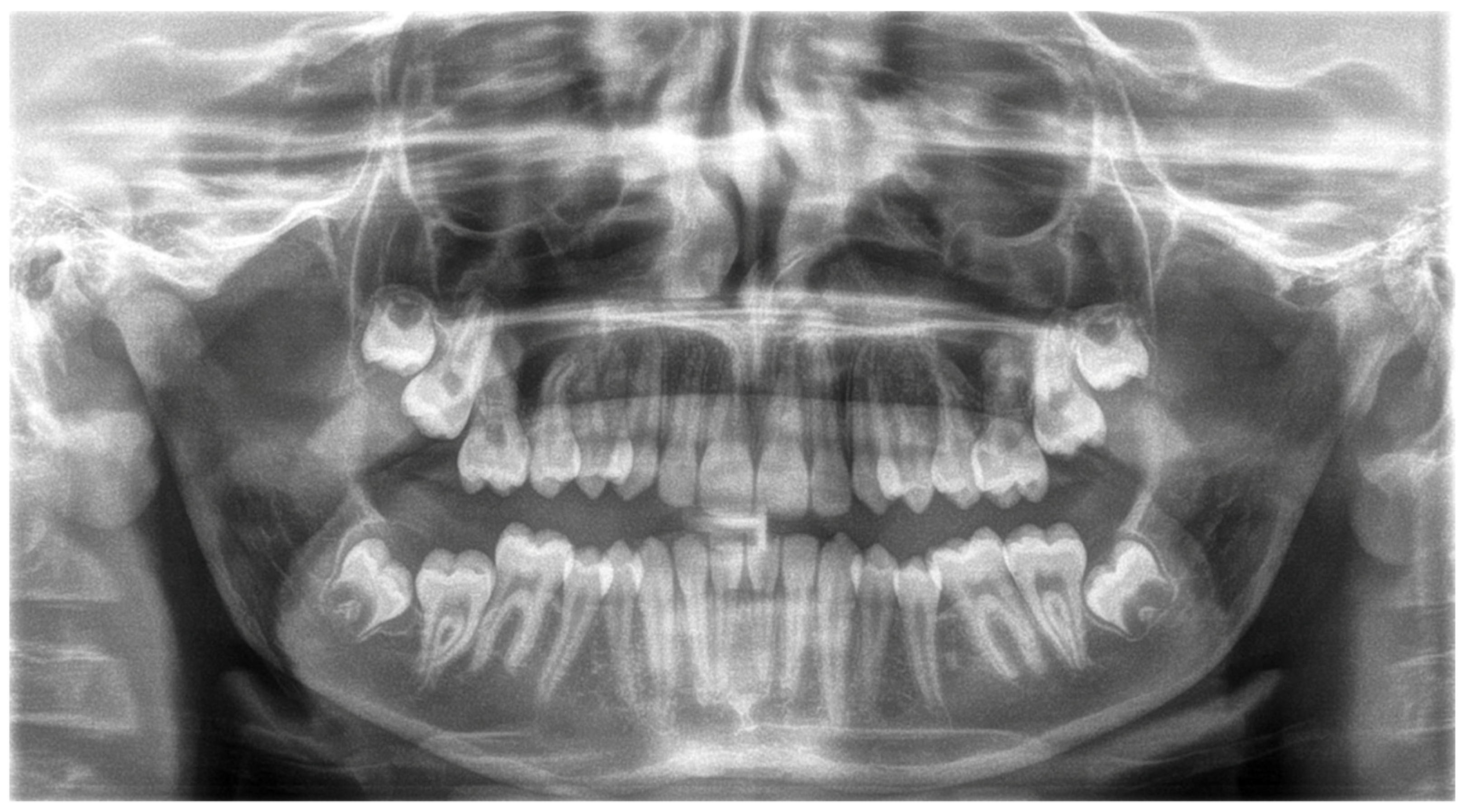
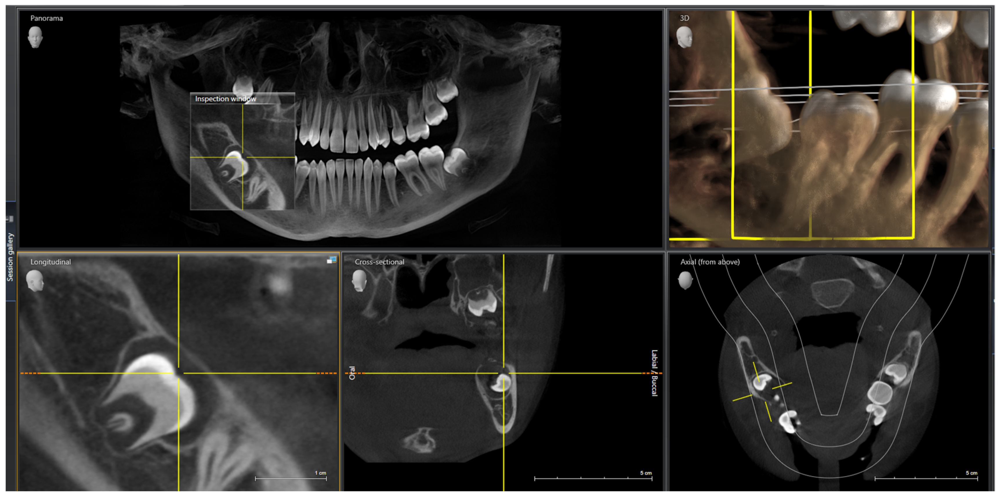
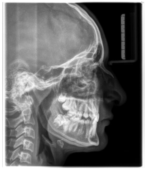
3. Results
4. Discussion
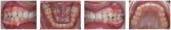
4.1. Face
4.2. Body
4.3. Speech and Intellectual Functioning
4.4. Other Abnormalities
5. Conclusions
Author Contributions
Funding
Institutional Review Board Statement
Informed Consent Statement
Data Availability Statement
Conflicts of Interest
References
- Sankriti, A.M. Floating–harbor syndrome: A rare case report. Int. J. Clin. Pediatr. Dent. 2020, 13, 569–571. [Google Scholar] [CrossRef] [PubMed]
- Ko, J.; Pomerantz, J.H.; Perry, H.; Shieh, J.T.; Slavotinek, A.M.; Oberoi, S.; Klein, O.D. Case Report of Floating-Harbor Syndrome with Bilateral Cleft Lip. Cleft Palate-Craniofac. J. 2020, 57, 132–136. [Google Scholar] [CrossRef] [PubMed]
- Patton, M.A.; Hurst, J.; Donnai, D.; McKeown, C.M.; Cole, T.; Goodship, J. Floating-Harbor syndrome. J. Med. Genet. 1991, 28, 201–204. [Google Scholar] [CrossRef] [PubMed]
- Ercoskun, P.; Yuce-Kahraman, C. Novel Findings in Floating-Harbor Syndrome and a Mini-Review of the Literature. Mol. Syndr. 2021, 12, 52–56. [Google Scholar] [CrossRef]
- Budisteanu, M.; Bögershausen, N.; Papuc, S.; Moosa, S.; Thoenes, M.; Riga, D.; Arghir, A.; Wollnik, B. Floating-harbor syndrome: Presentation of the first Romanian patient with a SRCAP mutation and review of the literature. Balk. J. Med. Genet. 2018, 21, 83–86. [Google Scholar] [CrossRef] [PubMed]
- Turkunova, M.E.; Barbitoff, Y.A.; Serebryakova, E.A.; Polev, D.E.; Berseneva, O.S.; Bashnina, E.B.; Baranov, V.S.; Glotov, O.S.; Glotov, A.S. Molecular Genetics and Pathogenesis of the Floating Harbor Syndrome: Case Report of Long-Term Growth Hormone Treatment and a Literature Review. Front. Genet. 2022, 13, 846101. [Google Scholar] [CrossRef]
- Bo, H.; Jiang, L.; Zheng, J.; Sun, J. Floating-Harbor Syndrome Treated with Recombinant Human Growth Hormone: A Case Report and Literature Review. Front. Pediatr. 2021, 9, 747353. [Google Scholar] [CrossRef] [PubMed]
- Martyn, T.; DiBiase, A.T. Ortodoncja, Wydanie 1; Edra Urban & Partner: Wrocław, Poland, 2021; ISBN 978-83-66067-18-9. [Google Scholar]
- Zhang, S.; Chen, S.; Qin, H.; Yuan, H.; Pi, Y.; Yang, Y.; Huang, H.; Li, G.; Sun, Y.; Wang, Z.; et al. Novel genotypes and phenotypes among Chinese patients with Floating-Harbor syndrome. Orphanet J. Rare Dis. 2019, 14, 144. [Google Scholar] [CrossRef]
- Nikkel, S.M.; Dauber, A.; de Munnik, S.; Connolly, M.; Hood, R.L.; Caluseriu, O.; Hurst, J.; Kini, U.; Nowaczyk, M.J.M.; Afenjar, A.; et al. The phenotype of Floating-Harbor syndrome: Clinical characterization of 52 individuals with mutations in exon 34 of SRCAP. Orphanet J. Rare Dis. 2013, 8, 63. [Google Scholar] [CrossRef] [PubMed]
- Lacombe, D.; Patton, M.A.; Elleau, C.; Battin, J.; Thames, S.W. Floating-Harbor Syndrome: Description of a Further Patient, Review of the Literature, and Suggestion of Autosomal Dominant Inheritance; Springer: Berlin/Heidelberg, Germany, 1995. [Google Scholar]
- Homma, T.K.; Freire, B.L.; Honjo, R.; Dauber, A.; Funari, M.F.; Lerario, A.M.; Albuquerque, E.V.; Vasques, G.A.; Bertola, D.R.; Kim, C.A.; et al. Growth and Clinical Characteristics of Children with Floating-Harbor Syndrome: Analysis of Current Original Data and a Review of the Literature. Horm. Res. Paediatr. 2020, 92, 115–123. [Google Scholar] [CrossRef] [PubMed]
- White, S.M.; Morgan, A.; Da Costa, A.; Lacombe, D.; Knight, S.J.; Houlston, R.; Whiteford, M.L.; Newbury-Ecob, R.A.; Hurst, J.A. The phenotype of Floating–Harbor syndrome in 10 patients. Am. J. Med. Genet. Part A 2010, 152A, 821–829. [Google Scholar] [CrossRef] [PubMed]
- Majewski, F.; Lenard, H.-G. The Floating-Harbor Syndrome; Springer: Berlin/Heidelberg, Germany, 1991. [Google Scholar]
- De Benedetto, M.S.; Mendes, F.M.; Hirata, S.; Guaré, R.O.; Haddad, A.S.; Ciamponi, A.L. Floating–Harbor syndrome: Case report and craniofacial phenotype characterization. Int. J. Paediatr. Dent. 2004, 14, 208–213. [Google Scholar] [CrossRef]
- Allen, D.Z.; Roy, S. Otologic manifestations of Floating Harbor Syndrome (FHS): A case series and a review of the literature. Otolaryngol. Case Rep. 2022, 23, 100406. [Google Scholar] [CrossRef]
- Rots, D.; Chater-Diehl, E.; Dingemans, A.J.; Goodman, S.J.; Siu, M.T.; Cytrynbaum, C.; Choufani, S.; Hoang, N.; Walker, S.; Awamleh, Z.; et al. Truncating SRCAP variants outside the Floating-Harbor syndrome locus cause a distinct neurodevelopmental disorder with a specific DNA methylation signature. Am. J. Hum. Genet. 2021, 108, 1053–1068. [Google Scholar] [CrossRef]
- Proffit, W.R.; Fields, H.W.; Sarver, D.M. Brent Larson, 6th ed.; Mosby: Maryland Heights, MI, USA, 2018; ISBN 9780323543873. [Google Scholar]
- Singh, A.; Bhatia, H.P.; Sood, S.; Sharma, N.; Mohan, A. A novel finding of oligodontia and ankyloglossia in a 14-year-old with Floating-Harbor syndrome. Spéc. Care Dent. 2017, 37, 318–321. [Google Scholar] [CrossRef] [PubMed]
- Agrawal, S.; Gupta, S.; Neupane, S.; Das, D. Floating harbour syndrome with medial entropion: A rare association and brief review. BMJ Case Rep. 2021, 14, e242125. [Google Scholar] [CrossRef] [PubMed]







| Description | Cephalometric Measurements | Value | Mean | SD |
|---|---|---|---|---|
| Maxilla to Cranial Base | SNA | 78.67 | 82.00 | 3.00 |
| NL-NSL | 11.29 | 8.00 | 4.00 | |
| Mandible to Cranial Base | SNB | 79.03 | 80.00 | 3.00 |
| ML-NSL | 25.82 | 28.00 | 5.00 | |
| Maxilla to Mandible | ANB | −0.36 | 3.00 | 2.50 |
| WITS [mm] | −2.40 | 0.00 | 2.00 | |
| ML-NL | 14.53 | 20.00 | 7.00 | |
| Maxillary Dentition | U1-NA [mm] | 1.50 | 3.70 | 2.00 |
| U1-NA | 16.32 | 21.00 | 4.00 | |
| Mandibulary Dentition | L1-NB [mm] | −1.98 | 3.80 | 5.00 |
| L1-NB | 2.44 | 24.00 | 4.00 | |
| Soft Tissue | Nasio-labial angle | 89.72 | 110.00 | 7.00 |
| SNPg | 81.49 | 81.00 | 3.00 | |
| N-S-Ba angle | 138.49 | 132.00 | 4.00 | |
| Gn-tgo-Ar angle | 133.52 | 122.00 | 7.00 | |
| NB-H angle | 6.09 | 9.00 | 3.00 | |
| U1-L1 | 161.60 | 133.00 | 8.00 | |
| Pg-NB [mm] | 4.91 | 2.30 | 2.00 | |
| N-Sp’/Sp’-Gn [%] | 88.21 | 80.00 | 7.00 |
| Characteristics | Previous Studies | This Study |
|---|---|---|
| sex | 3 boys, 1 girl | a boy |
| mental retardation | 4/4 | + |
| speech disorders | 3/4 | + |
| facial dysmorphism | 4/4 | + |
| malocclusion | 4/4 | + |
| Article | Number of Patients | Patient’s Age (years) | Patient Gender | Birth Complications | A | B | C | D | E | F | G | H |
|---|---|---|---|---|---|---|---|---|---|---|---|---|
| [2] | 1 | 14 | Male | - | + | + | + | + | + | + | + | + |
| [5] | 1 | 7 | Male | - | + | + | + | + | − | + | + | + |
| [7] | 1 | 7 y * 9 m ** | Male | - | + | + | + | + | − | + | ? | + |
| [11] | 1 | 5.5 | Female | Born at 30 weeks; foetal distress | + | + | + | + | − | + | + | − |
| [1] | 1 | 5 | Male | Perinatal asphyxia, MSAF, low weight | + | + | + | + | − | + | + | + |
| [12] | 7 | 2 y 2 m 13 y 7 m | 5 Males 2 Females | 1/7: born at 32 weeks; | 7/7 | 7/7 | 5/7 | 6/7 | 2/7 | ? | 5/7 | 7/7 |
| [4] | 1 | 2.5 | Male | - | + | + | + | + | + | + | ? | + |
| [9] | 12 | 1–9 y 2 m | 6 Males 6 Females | - | 12/12 | 7/7 | 9/12 | 12/12 | ? | 7/12 | 11/12 | 7/12 |
| [18] | 1 | 6 y 11 m | Female | preterm | + | + | + | + | − | + | + | − |
Disclaimer/Publisher’s Note: The statements, opinions and data contained in all publications are solely those of the individual author(s) and contributor(s) and not of MDPI and/or the editor(s). MDPI and/or the editor(s) disclaim responsibility for any injury to people or property resulting from any ideas, methods, instructions or products referred to in the content. |
© 2024 by the authors. Licensee MDPI, Basel, Switzerland. This article is an open access article distributed under the terms and conditions of the Creative Commons Attribution (CC BY) license (https://creativecommons.org/licenses/by/4.0/).
Share and Cite
Dobrzynski, W.; Stawinska-Dudek, J.; Moryto, N.; Lipka, D.; Mikulewicz, M. Floating–Harbor Syndrome: A Systematic Literature Review and Case Report. J. Clin. Med. 2024, 13, 3435. https://doi.org/10.3390/jcm13123435
Dobrzynski W, Stawinska-Dudek J, Moryto N, Lipka D, Mikulewicz M. Floating–Harbor Syndrome: A Systematic Literature Review and Case Report. Journal of Clinical Medicine. 2024; 13(12):3435. https://doi.org/10.3390/jcm13123435
Chicago/Turabian StyleDobrzynski, Wojciech, Julia Stawinska-Dudek, Natalia Moryto, Dominika Lipka, and Marcin Mikulewicz. 2024. "Floating–Harbor Syndrome: A Systematic Literature Review and Case Report" Journal of Clinical Medicine 13, no. 12: 3435. https://doi.org/10.3390/jcm13123435
APA StyleDobrzynski, W., Stawinska-Dudek, J., Moryto, N., Lipka, D., & Mikulewicz, M. (2024). Floating–Harbor Syndrome: A Systematic Literature Review and Case Report. Journal of Clinical Medicine, 13(12), 3435. https://doi.org/10.3390/jcm13123435

