Carotid Interventions in Patients Undergoing Coronary Artery Bypass Grafting: A Narrative Review
Abstract
1. Introduction
2. Methods
2.1. Peri-Operative Risk of Stroke and the Link with Carotid Stenosis: “To Screen or Not to Screen Carotid Arteries before CABG?”
2.2. Stroke and Neurological Complications during and after CABG: A Focus on the Preoperative, Intraoperative and Postoperative Risk Factors
- (A)
- Preoperative risk factors
- (B)
- Intraoperative risk factors
- (C)
- Postoperative risk factors
2.3. Is Carotid Artery Disease Responsible for Stroke after CABG?
2.4. How to Reduce Stroke and Relevant Neurological Complications during CABG? The Point of View of Cardiac Surgeons
2.5. Guidelines Reccomendation Regarding Treatment of Carotid Stenosis in Patients Undergoing CABG
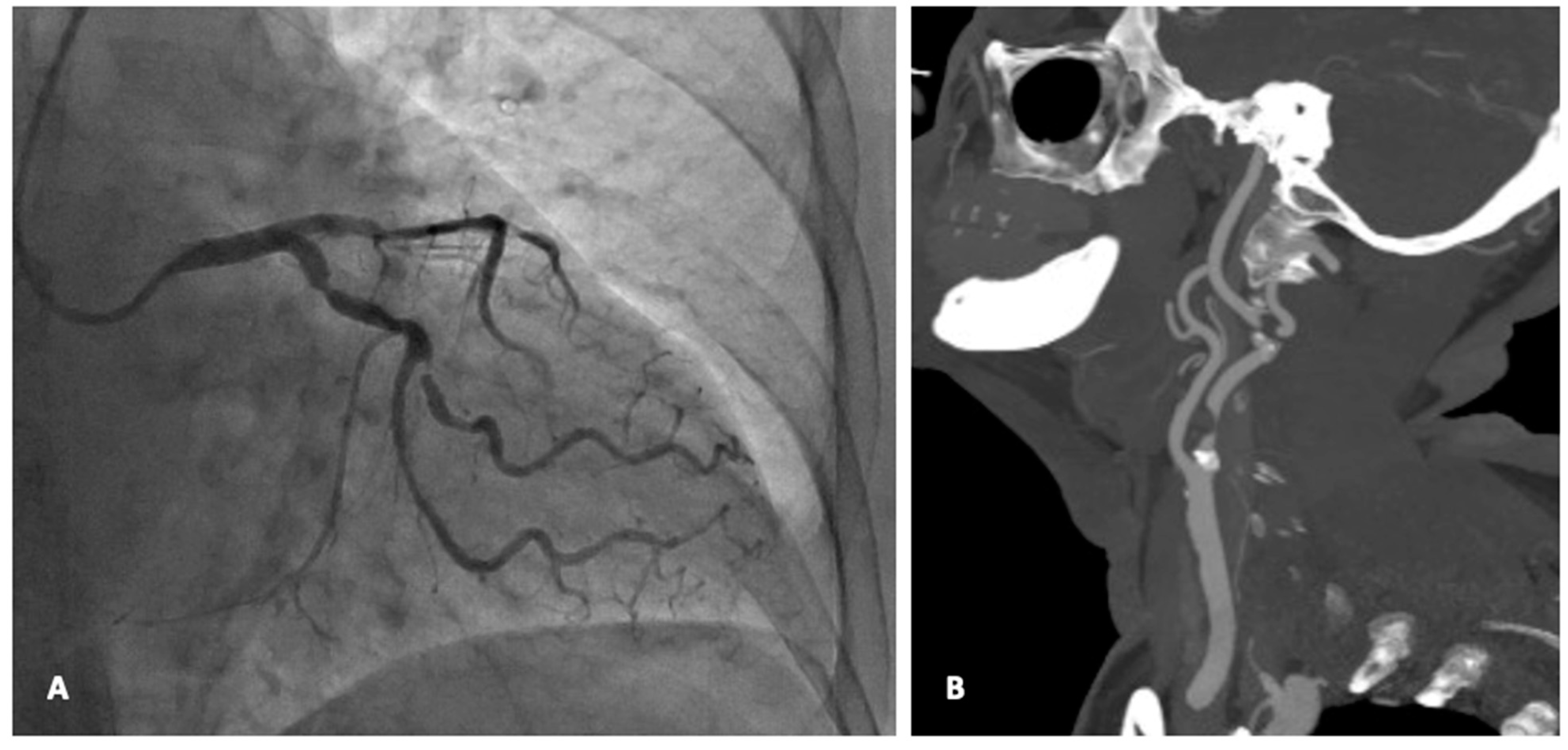
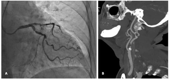
2.6. What Is the Best Strategy to Treat Carotid Stenosis in Patients Undergoing CABG?
- -
- synchronous CEA + CABG (CEA procedure is performed first, followed by CABG during the same operation).
- -
- staged CEA + CABG.
- -
- staged CABG + CEA (at least one or more days of delay between the two procedures).
- (A)
- Synchronous CEA + CABG
- (B)
- Staged CEA and then CABG
- (C)
- Staged CABG and then CEA
- (D)
- Hybrid approach: synchronous CAS + CABG
- (E)
- Hybrid approach: staged CAS + CABG
2.7. General Considerations on Antiplatelet Therapy
2.8. Study Limitations
3. Conclusions
Author Contributions
Funding
Institutional Review Board Statement
Informed Consent Statement
Data Availability Statement
Conflicts of Interest
References
- Achim, A.; Péter, O.; Cocoi, M.; Serban, A.; Mot, S.; Dadarlat-Pop, A.; Nemes, A.; Ruzsa, Z. Correlation between Coronary Artery Disease with Other Arterial Systems: Similar, Albeit Separate, Underlying Pathophysiologic Mechanisms. J. Cardiovasc. Dev. Dis. 2023, 10, 210. [Google Scholar] [CrossRef] [PubMed]
- Högberg, D.; Björck, M.; Mani, K.; Svensjö, S.; Wanhainen, A. Five Year Outcomes in Men Screened for Carotid Artery Stenosis at 65 Years of Age: A Population Based Cohort Study. Eur. J. Vasc. Endovasc. Surg. 2019, 57, 759–766. [Google Scholar] [CrossRef] [PubMed]
- Naylor, R.; Rantner, B.; Ancetti, S.; de Borst, G.J.; De Carlo, M.; Halliday, A.; Kakkos, S.K.; Markus, H.S.; McCabe, D.J.; Sillesen, H.; et al. Editor’s Choice—European Society for Vascular Surgery (ESVS) 2023 Clinical Practice Guidelines on the Management of Atherosclerotic Carotid and Vertebral Artery Disease. Eur. J. Vasc. Endovasc. Surg. 2023, 65, 7–111. [Google Scholar] [CrossRef] [PubMed]
- Mao, Z.; Zhong, X.; Yin, J.; Zhao, Z.; Hu, X.; Hackett, M.L. Predictors associated with stroke after coronary artery bypass grafting: A systematic review. J. Neurol. Sci. 2015, 357, 1–7. [Google Scholar] [CrossRef] [PubMed]
- Naylor, A.R.; Mehta, Z.; Rothwell, P.M.; Bell, P.R.F. Carotid artery disease and stroke during coronary artery bypass: A critical review of the literature. Eur. J. Vasc. Endovasc. Surg. 2002, 23, 283–294. [Google Scholar] [CrossRef] [PubMed]
- Stamou, S.C.; Hill, P.C.; Dangas, G.; Pfister, A.J.; Boyce, S.W.; Dullum, M.K.; Bafi, A.S.; Corso, P.J. Stroke after coronary artery bypass: Incidence, predictors, and clinical outcome. Stroke 2001, 32, 1508–1512. [Google Scholar] [CrossRef] [PubMed]
- Wagner, B.D.; Grunwald, G.K.; Almassi, G.H.; Li, X.; Grover, F.L.; Shroyer, A.L.W. Factors associated with long-term survival in patients with stroke after coronary artery bypass grafting. J. Int. Med. Res. 2020, 48, 1–13. [Google Scholar] [CrossRef]
- Anyanwu, A.C.; Adams, D.H. Total Arterial Revascularization for Coronary Artery Bypass: A Gold Standard Searching for Evidence and Application. J. Am. Coll. Cardiol. 2018, 72, 1341–1345. [Google Scholar] [CrossRef]
- Writing Committee Members; Hillis, L.D.; Smith, P.K.; Anderson, J.L.; Bittl, J.A.; Bridges, C.R.; Byrne, J.G.; Cigarroa, J.E.; Disesa, V.J.; Hiratzka, L.F.; et al. 2011 ACCF/AHA Guideline for Coronary Artery Bypass Graft Surgery: A report of the American College of Cardiology Foundation/American Heart Association Task Force on Practice Guidelines. Circulation 2011, 124, e652–e735. [Google Scholar] [CrossRef]
- Cheung, A.T.; Messé, S.R. Preventing brain injury after cardiopulmonary bypass will require more than just dialing up the pressure. Circulation 2018, 137, 1781–1783. [Google Scholar] [CrossRef]
- Kiabi, F.H.; Soleimani, A.; Habibi, M.R. Neuroprotective Effect of Low Mean Arterial Pressure on Postoperative Cognitive Deficit Attenuated by Prolonged Coronary Artery Bypass Time: A Meta-Analysis. Braz. J. Cardiovasc. Surg. 2019, 34, 739–787. [Google Scholar] [CrossRef] [PubMed]
- Taylor, K.M. Brain damage during cardiopulmonary bypass. Ann. Thorac. Surg. 1998, 65, S20–S26. [Google Scholar] [CrossRef] [PubMed]
- Baethge, C.; Goldbeck-Wood, S.; Mertens, S. SANRA—A scale for the quality assessment of narrative review articles. Res. Integr. Peer Rev. 2019, 4, 1–7. [Google Scholar] [CrossRef]
- Li, Y.; Walicki, D.; Mathiesen, C.; Jenny, D.; Li, Q.; Isayev, Y.; Reed, J.F.; Castaldo, J.E. Strokes After Cardiac Surgery and Relationship to Carotid Stenosis. Arch. Neurol. 2009, 66, 1091–1096. [Google Scholar] [CrossRef] [PubMed]
- Masabni, K.; Raza, S.; Blackstone, E.H.; Gornik, H.L.; Sabik, J.F. Does preoperative carotid stenosis screening reduce perioperative stroke in patients undergoing coronary artery bypass grafting? J. Thorac. Cardiovasc. Surg. 2015, 149, 1253–1260. [Google Scholar] [CrossRef] [PubMed]
- Neumann, F.J.; Sousa-Uva, M.; Ahlsson, A.; Alfonso, F.; Banning, A.P.; Benedetto, U.; Byrne, R.A.; Collet, J.P.; Falk, V.; Head, S.J.; et al. 2018 ESC/EACTS Guidelines on myocardial revascularization. Eur. Heart J. 2019, 40, 87–165. [Google Scholar] [CrossRef] [PubMed]
- Narayan, P.; Khan, W.; Das, D.; Biswas, R.G.; Das, M.; Rupert, E. Carotid artery screening at the time of coronary artery bypass—Does it influence neurological outcomes? Int. J. Cardiol. 2017, 243, 140–144. [Google Scholar] [CrossRef] [PubMed]
- Masabni, K.; Sabik, J.F.; Raza, S.; Carnes, T.; Koduri, H.; Idrees, J.J.; Beach, J.; Riaz, H.; Shishehbor, M.H.; Gornik, H.L.; et al. Nonselective carotid artery ultrasound screening in patients undergoing coronary artery bypass grafting: Is it necessary? J. Thorac. Cardiovasc. Surg. 2016, 151, 402. [Google Scholar] [CrossRef] [PubMed][Green Version]
- AbuRahma, A.F.; Avgerinos, E.D.; Chang, R.W.; Darling, R.C.; Duncan, A.A.; Forbes, T.L.; Malas, M.B.; Murad, M.H.; Perler, B.A.; Powell, R.J.; et al. Society for Vascular Surgery clinical practice guidelines for management of extracranial cerebrovascular disease. J. Vasc. Surg. 2022, 75, 4S–22S. [Google Scholar] [CrossRef]
- Fassiadis, N.; Adams, K.; Zayed, H.; Goss, D.; Deane, C.; MacCarthy, P.; Rashid, H. Occult carotid artery disease in patients who have undergone coronary angioplasty. Interact. Cardiovasc. Thorac. Surg. 2008, 7, 855–857. [Google Scholar] [CrossRef]
- Poorthuis, M.H.F.; Sherliker, P.; Morris, D.R.; Massa, M.S.; Clarke, R.; Staplin, N.; Lewington, S.; de Borst, G.J.; Bulbulia, R.; Halliday, A. Development and Internal Validation of a Risk Score to Detect Asymptomatic Carotid Stenosis. Eur. J. Vasc. Endovasc. Surg. 2021, 61, 365–373. [Google Scholar] [CrossRef] [PubMed]
- Gaudino, M.; Angiolillo, D.J.; Di Franco, A.; Capodanno, D.; Bakaeen, F.; Farkouh, M.E.; Fremes, S.E.; Holmes, D.; Girardi, L.N.; Nakamura, S.; et al. Stroke after coronary artery bypass grafting and percutaneous coronary intervention: Incidence, pathogenesis, and outcomes. J. Am. Heart Assoc. 2019, 8, 13032. [Google Scholar] [CrossRef] [PubMed]
- Asta, L.; Falco, D.; Benedetto, U.; Porreca, A.; Majri, F.; Angelini, G.D.; Sensi, S.; Di Giammarco, G. Stroke after Cardiac Surgery: A Risk Factor Analysis of 580,117 Patients from UK National Adult Cardiac Surgical Audit Cohort. J. Pers. Med. 2024, 14, 169. [Google Scholar] [CrossRef]
- D’oria, M.; Mani, K.; DeMartino, R.; Czerny, M.; Donas, K.P.; Wanhainen, A.; Lepidi, S. Narrative review on endovascular techniques for left subclavian artery revascularization during thoracic endovascular aortic repair and risk factors for postoperative stroke. Interact. Cardiovasc. Thorac. Surg. 2021, 32, 764–772. [Google Scholar] [CrossRef]
- Jonsson, K.; Barbu, M.; Nielsen, S.J.; Hafsteinsdottir, B.; Gudbjartsson, T.; Jensen, E.M.; Silverborn, M.; Jeppsson, A. Perioperative stroke and survival in coronary artery bypass grafting patients: A SWEDEHEART study. Eur. J. Cardiothorac. Surg. 2022, 62, ezac025. [Google Scholar] [CrossRef] [PubMed]
- Tarakji, K.G.; Sabik, J.F.; Bhudia, S.K.; Batizy, L.H.; Blackstone, E.H. Temporal onset, risk factors, and outcomes associated with stroke after coronary artery bypass grafting. JAMA 2011, 305, 381–390. [Google Scholar] [CrossRef]
- Magedanz, E.H.; Guaragna, J.C.V.d.C.; Albuquerque, L.C.; Wagner, M.B.; Chieza, F.L.; Bueno, N.L.; Bodanese, L.C. Risk Score Elaboration for Stroke in Cardiac Surgery. Braz. J. Cardiovasc. Surg. 2021, 36, 788. [Google Scholar] [CrossRef]
- Ding, Q.; Liu, H.; Zhang, Z.; Goldhammer, J.; Yuen, E.; Li, Z.; Yao, L.; Young, N.; Boyd, D.; Weintraub, W.; et al. Perioperative aspirin and long-term survival in patients undergoing coronary artery bypass graft. Sci. Rep. 2018, 8, 17051. [Google Scholar] [CrossRef]
- Zaka, A.; Gupta, A.; Lombardo, A.; Kovoor, J.; Bacchi, S.; Smith, J.; Bennetts, J.; Maddern, G. Perioperative aspirin and coronary artery bypass graft surgery: A meta-analysis of randomised controlled trials. Eur. Heart J. 2023, 44, ehad655.2283. [Google Scholar] [CrossRef]
- Jannati, M. Risk factors for stroke post coronary artery bypass graft surgery: A review of literature. Med. Clínica Práctica 2024, 7, 100405. [Google Scholar] [CrossRef]
- Ramponi, F.; Seco, M.; Brereton, R.J.L.; Gaudino, M.F.L.; Puskas, J.D.; Calafiore, A.M.; Vallely, M.P. Toward stroke-free coronary surgery: The role of the anaortic off-pump bypass technique. J. Card. Surg. 2021, 36, 1499–1510. [Google Scholar] [CrossRef] [PubMed]
- Writing Committee Members; Lawton, J.S.; Tamis-Holland, J.E.; Bangalore, S.; Bates, E.R.; Beckie, T.M.; Bischoff, J.M.; Bittl, J.A.; Cohen, M.G.; DiMaio, J.M.; et al. 2021 ACC/AHA/SCAI Guideline for Coronary Artery Revascularization: A Report of the American College of Cardiology/American Heart Association Joint Committee on Clinical Practice Guidelines. Circulation 2022, 145, E18–E114. [Google Scholar] [CrossRef] [PubMed]
- Dominici, C.; Dominici, C.; Salsano, A.; Salsano, A.; Nenna, A.; Nenna, A.; Spadaccio, C.; Spadaccio, C.; El-Dean, Z.; El-Dean, Z.; et al. Neurological outcomes after on-pump vs off-pump CABG in patients with cerebrovascular disease. J. Card. Surg. 2019, 34, 941–947. [Google Scholar] [CrossRef] [PubMed]
- Patel, N.; Banahan, C.; Janus, J.; Horsfield, M.A.; Cox, A.; Marshall, D.; Colman, J.; Morlese, J.; Evans, D.H.; Hannon, C.; et al. Neurological impact of emboli during adult cardiac surgery. J. Neurol. Sci. 2020, 416, 117006. [Google Scholar] [CrossRef]
- Preoperative Transcranial and Carotid Doppler Study in Coronary Artery Bypass Graft Patients—PubMed. [Online]. Available online: https://pubmed.ncbi.nlm.nih.gov/21857617/ (accessed on 1 February 2024).
- Pierik, R.; Zeillemaker-Hoekstra, M.; Scheeren, T.W.; Erasmus, M.E.; Luijckx, G.-J.R.; Rienstra, M.; Uyttenboogaart, M.; Nijsten, M.; Bergh, W.M.v.D. Early Thromboembolic Stroke Risk of Postoperative Atrial Fibrillation Following Cardiac Surgery. J. Cardiothorac. Vasc. Anesth. 2022, 36, 807–814. [Google Scholar] [CrossRef] [PubMed]
- Mrkobrada, M.; Chan, M.T.V.; Cowan, D.; Campbell, D.; Wang, C.Y.; Torres, D.; Malaga, G.; Sanders, R.D.; Sharma, M.; Brown, C.; et al. Perioperative covert stroke in patients undergoing non-cardiac surgery (NeuroVISION): A prospective cohort study. Lancet 2019, 394, 1022–1029. [Google Scholar] [CrossRef]
- Tsukagoshi, J.; Yokoyama, Y.; Fujisaki, T.; Takagi, H.; Shirasu, T.; Kuno, T. Systematic review and meta-analysis of the treatment strategies for coronary artery bypass graft patients with concomitant carotid artery atherosclerotic disease. J. Vasc. Surg. 2023, 78, 1083–1094.e8. [Google Scholar] [CrossRef]
- Knipp, S.C.; Holst, T.; Bilbilis, K.; von Velsen, O.; Ose, C.; Diener, H.-C.; Jakob, H.; Ruhparwar, A.; Jöckel, K.-H.; Weimar, C.; et al. Five-Year Results of Coronary Artery Bypass Grafting with or without Carotid Endarterectomy in Patients with Asymptomatic Carotid Artery Stenosis: CABACS RCT. Stroke 2022, 53, 3270–3277. [Google Scholar] [CrossRef] [PubMed]
- Borger, M.A.; Ivanov, J.; Weisel, R.D.; Rao, V.; Peniston, C.M. Stroke during coronary bypass surgery: Principal role of cerebral macroemboli. Eur. J. Cardio-Thorac. Surg. 2001, 19, 627–632. [Google Scholar] [CrossRef]
- Ye, J.; Webb, J.G. Embolic capture with updated intra-aortic filter during coronary artery bypass grafting and transaortic transcatheter aortic valve implantation: First-in-human experience. J. Thorac. Cardiovasc. Surg. 2014, 148, 2905–2910. [Google Scholar] [CrossRef]
- Willard, R.; Scheinerman, J.; Pupovac, S.; Patel, N.C. The Current State of Hybrid Coronary Revascularization. Ann. Thorac. Surg. 2024. [Google Scholar] [CrossRef]
- Hirai, T.; Kitahara, H.; Balkhy, H.H.; Blair, J.E. Advanced Hybrid Complete Revascularization with TECAB and Impella-Assisted PCI of CTO. Cardiovasc. Revasc. Med. 2019, 20, 51–54. [Google Scholar] [CrossRef]
- Naito, S.; Demal, T.J.; Sill, B.; Reichenspurner, H.; Onorati, F.; Gatti, G.; Mariscalco, G.; Faggian, G.; Santini, F.; Santarpino, G.; et al. Neurological Complications in High-Risk Patients Undergoing Coronary Artery Bypass Surgery. Ann. Thorac. Surg. 2022, 113, 1514–1520. [Google Scholar] [CrossRef] [PubMed]
- Kowalewski, M.; Pawliszak, W.; Malvindi, P.G.; Bokszanski, M.P.; Perlinski, D.; Raffa, G.M.; Kowalkowska, M.E.; Zaborowska, K.; Navarese, E.P.; Kolodziejczak, M.; et al. Off-pump coronary artery bypass grafting improves short-term outcomes in high-risk patients compared with on-pump coronary artery bypass grafting: Meta-analysis. J. Thorac. Cardiovasc. Surg. 2016, 151, 60–77.e58. [Google Scholar] [CrossRef]
- Bonacchi, M.; Prifti, E.; Frati, G.; Leacche, M.; Giunti, G.; Proietti, P.; Salica, A.; Papalia, U. Concomitant carotid endarterectomy and coronary bypass surgery: Should cardiopulmonary bypass be used for the carotid procedure? J. Card. Surg. 2002, 17, 51–59. [Google Scholar] [CrossRef]
- Squizzato, F.; Xodo, A.; Taglialavoro, J.; Zavatta, M.; Grego, F.; Antonello, M.; Piazza, M. Early outcomes of routine delayed shunting in carotid endarterectomy for symptomatic patients. J. Cardiovasc. Surg. 2021, 62, 573–581. [Google Scholar] [CrossRef] [PubMed]
- Xodo, A.; Barbui, F.; Desole, A.; Pilon, F.; Zaramella, M.; Milite, D. Bypass and other modified reconstruction techniques for ‘challenging’ carotid cases: A comparison with conventional endarterectomy. Vascular 2023. [Google Scholar] [CrossRef] [PubMed]
- Paraskevas, K.I.; Nduwayo, S.; Saratzis, A.N.; Naylor, A.R. Carotid Stenting Prior to Coronary Bypass Surgery: An Updated Systematic Review and Meta-Analysis. Eur. J. Vasc. Endovasc. Surg. 2017, 53, 309–319. [Google Scholar] [CrossRef]
- Williams, Z.; Olivere, L.A.; Gilmore, B.; Weissler, H.; Cox, M.W.; Long, C.; Shortell, C.K.; Schroder, J.; Southerland, K.W. Safety and Feasibility of Simultaneous Transcarotid Revascularization with Flow Reversal and Coronary Artery Bypass Grafting for Concomitant Carotid Artery Stenosis and Coronary Artery Disease. Vasc. Endovasc. Surg. 2020, 54, 395. [Google Scholar] [CrossRef]
- Staged Carotid Artery Stenting and Coronary Artery Bypass Surgery Versus Isolated Coronary Artery Bypass Surgery in Concomitant Coronary and Carotid Disease. [Online]. Available online: https://www.hmpgloballearningnetwork.com/site/jic/articles/coronary-artery-bypass-graft-surgery-patients-receiving-antiplatelet-therapy-can-we-fine-t (accessed on 4 January 2024).
- Rodino, W.; Panetta, T.F.; Burack, J.H.; Bryan, D.H.; Williams, R.F. Combined carotid endarterectomy, innominate artery reconstruction, and coronary artery bypass grafting: Case report. J. Vasc. Surg. 1996, 24, 1017–1021. [Google Scholar] [CrossRef]
- Antonello, M.; Xodo, A.; Squizzato, F.; Zavatta, M.; Maturi, C.; Piazza, M. Preliminary experience with new generation balloon expandable stent-graft in the treatment of innominate artery obstructive disease. J. Cardiovasc. Surg. 2022, 63, 682–686. [Google Scholar] [CrossRef] [PubMed]
- Dzierwa, K.; Pieniazek, P.; Musialek, P.; Piatek, J.; Tekieli, L.; Podolec, P.; Drwila, R.; Hlawaty, M.; Trystula, M.; Motyl, R.; et al. Treatment strategies in severe symptomatic carotid and coronary artery disease. Med. Sci. Monit. 2011, 17, RA191–RA197. [Google Scholar] [CrossRef] [PubMed]
- Likosky, D.S.; Marrin, C.A.; Caplan, L.R.; Baribeau, Y.R.; Morton, J.R.; Weintraub, R.M.; Hartman, G.S.; Hernandez, F.; Braff, S.P.; Charlesworth, D.C.; et al. Determination of etiologic mechanisms of strokes secondary to coronary artery bypass graft surgery. Stroke 2003, 34, 2830–2834. [Google Scholar] [CrossRef] [PubMed]


| Procedures | Advantages | Disadvantages |
|---|---|---|
| Synchronous CEA + CABG |
| CEA then CABG
|
| Staged CEA and then CABG |
|
|
| Staged CABG and then CEA |
|
|
Hybrid approach:
|
|
|
Disclaimer/Publisher’s Note: The statements, opinions and data contained in all publications are solely those of the individual author(s) and contributor(s) and not of MDPI and/or the editor(s). MDPI and/or the editor(s) disclaim responsibility for any injury to people or property resulting from any ideas, methods, instructions or products referred to in the content. |
© 2024 by the authors. Licensee MDPI, Basel, Switzerland. This article is an open access article distributed under the terms and conditions of the Creative Commons Attribution (CC BY) license (https://creativecommons.org/licenses/by/4.0/).
Share and Cite
Xodo, A.; Gregio, A.; Pilon, F.; Milite, D.; Danesi, T.H.; Badalamenti, G.; Lepidi, S.; D’Oria, M. Carotid Interventions in Patients Undergoing Coronary Artery Bypass Grafting: A Narrative Review. J. Clin. Med. 2024, 13, 3019. https://doi.org/10.3390/jcm13113019
Xodo A, Gregio A, Pilon F, Milite D, Danesi TH, Badalamenti G, Lepidi S, D’Oria M. Carotid Interventions in Patients Undergoing Coronary Artery Bypass Grafting: A Narrative Review. Journal of Clinical Medicine. 2024; 13(11):3019. https://doi.org/10.3390/jcm13113019
Chicago/Turabian StyleXodo, Andrea, Alessandro Gregio, Fabio Pilon, Domenico Milite, Tommaso Hinna Danesi, Giovanni Badalamenti, Sandro Lepidi, and Mario D’Oria. 2024. "Carotid Interventions in Patients Undergoing Coronary Artery Bypass Grafting: A Narrative Review" Journal of Clinical Medicine 13, no. 11: 3019. https://doi.org/10.3390/jcm13113019
APA StyleXodo, A., Gregio, A., Pilon, F., Milite, D., Danesi, T. H., Badalamenti, G., Lepidi, S., & D’Oria, M. (2024). Carotid Interventions in Patients Undergoing Coronary Artery Bypass Grafting: A Narrative Review. Journal of Clinical Medicine, 13(11), 3019. https://doi.org/10.3390/jcm13113019

