Watch and Wait Approach for Rectal Cancer
Abstract
1. Introduction
2. Rationale
3. Baseline Features & Selection Criteria
3.1. Primary Reason for Neoadjuvant Therapy
3.2. Baseline Features
3.3. Putting It All Together
4. Preferred Treatment Strategy
5. Assessment of Tumor Response
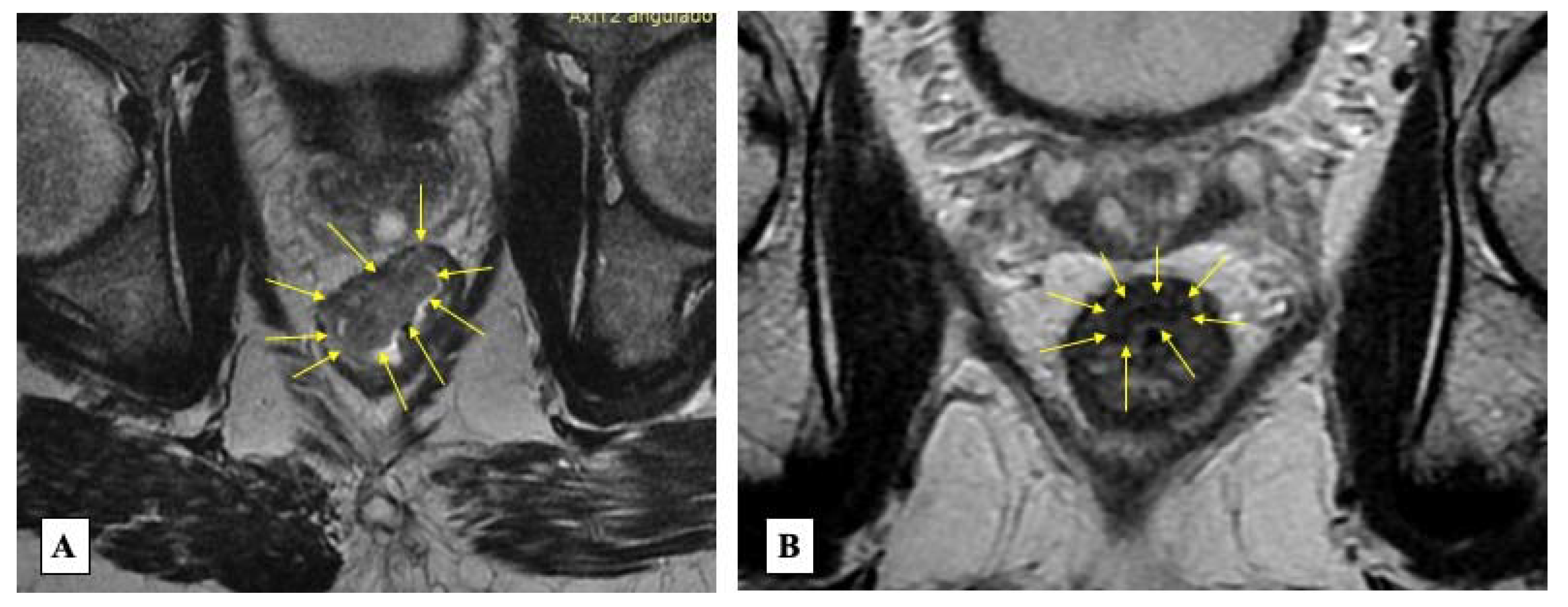
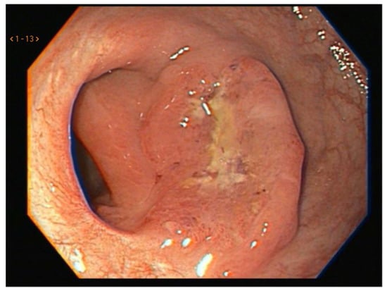
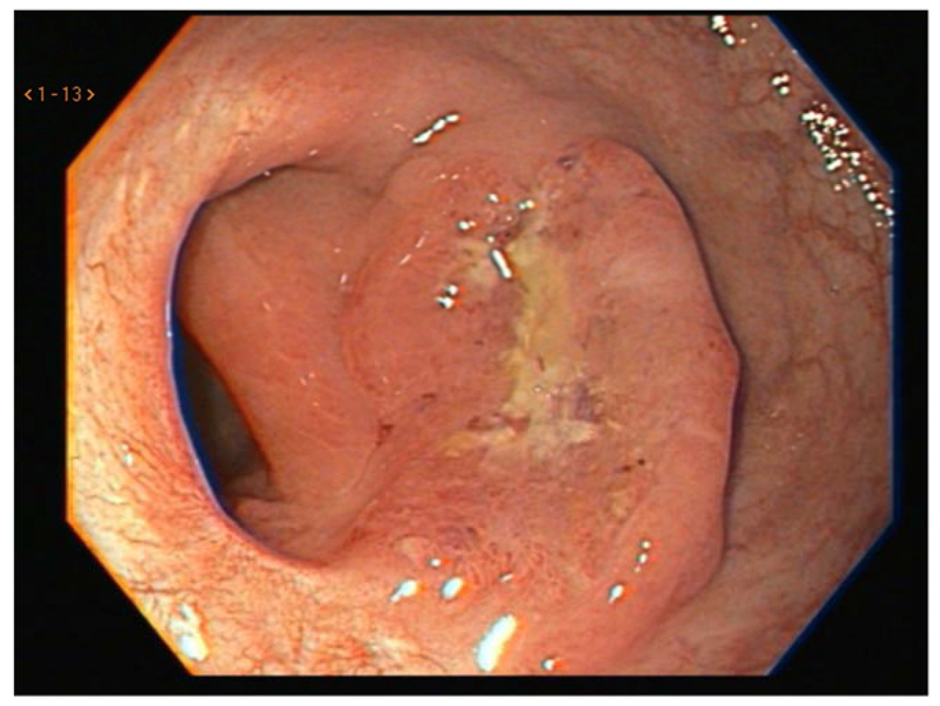
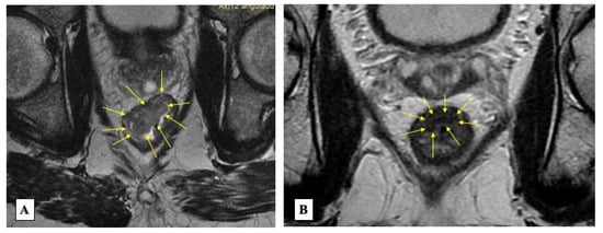
5.1. Assessment Tools
5.2. Three-Pillar Assessment Criteria
5.3. Timing
5.3.1. First Assessment
5.3.2. Reassessment Rounds
6. Local Regrowth
6.1. Definition and Salvage
6.2. Risk Factors
7. Distant Metastases
8. Surveillance Strategy
9. MSI Rectal Cancer and Watch and Wait
10. Conclusions
Author Contributions
Funding
Institutional Review Board Statement
Informed Consent Statement
Data Availability Statement
Conflicts of Interest
References
- Srivastava, V.; Goswami, A.; Basu, S.; Shukla, V. Locally Advanced Rectal Cancer: What We Learned in the Last Two Decades and the Future Perspectives. J. Gastrointest. Cancer 2022, 1–16. [Google Scholar] [CrossRef]
- Habr-Gama, A.; de Souza, P.; Ribeiro, U., Jr.; Nadalin, W.; Gansl, R.; Sousa, A., Jr.; Campos, F.; Gama-Rodrigues, J. Low rectal cancer: Impact of radiation and chemotherapy on surgical treatment. Dis. Colon Rectum 1998, 41, 1087–1096. [Google Scholar] [CrossRef]
- Sauer, R.; Becker, H.; Hohenberger, W.; Rödel, C.; Wittekind, C.; Fietkau, R.; Martus, P.; Tschmelitsch, J.; Hager, E.; Hess, C.; et al. Preoperative versus postoperative chemoradiotherapy for rectal cancer. N. Engl. J. Med. 2004, 35, 1731–1740. [Google Scholar] [CrossRef] [PubMed]
- Quah, H.; Chou, J.; Gonen, M.; Shia, J.; Schrag, D.; Saltz, L.; Goodman, K.; Minsky, B.; Wong, W.; Weiser, M. Pathologic stage is most prognostic of disease-free survival in locally advanced rectal cancer patients after preoperative chemoradiation. Cancer 2008, 113, 57–64. [Google Scholar] [CrossRef] [PubMed]
- Habr-Gama, A.; Perez, R.; Nadalin, W.; Sabbaga, J.; Ribeiro, U., Jr.; Sousa, A.S., Jr.; Campos, F.; Kiss, D.; Gama-Rodrigues, J. Operative versus nonoperative treatment for stage 0 distal rectal cancer following chemoradiation therapy: Long-term results. Ann. Surg. 2004, 240, 711–717; discussion 717–718. [Google Scholar] [CrossRef]
- van der Valk, M.J.M.; E Hilling, D.; Bastiaannet, E.; Kranenbarg, E.M.-K.; Beets, G.L.; Figueiredo, N.L.; Habr-Gama, A.; O Perez, R.; Renehan, A.G.; van de Velde, C.J.H.; et al. Long-term outcomes of clinical complete responders after neoadjuvant treatment for rectal cancer in the International Watch & Wait Database (IWWD): An international multicentre registry study. Lancet 2018, 391, 2537–2545. [Google Scholar]
- Cercek, A.; Lumish, M.; Sinopoli, J.; Weiss, J.; Shia, J.; Lamendola-Essel, M.; El Dika, I.; Segal, N.; Shcherba, M.; Sugarman, R.; et al. PD-1 Blockade in Mismatch Repair-Deficient, Locally Advanced Rectal Cancer. N. Engl. J. Med. 2022, 386, 2363–2376. [Google Scholar] [CrossRef] [PubMed]
- Alimova, I.; Chernyshov, S.; Nagudov, M.; Rybakov, E. Comparison of oncological and functional outcomes and quality of life after transanal or laparoscopic total mesorectal excision for rectal cancer: A systematic review and meta-analysis. Tech. Coloproctol. 2021, 25, 901–913. [Google Scholar] [CrossRef]
- Schnitzbauer, V.; Gerken, M.; Benz, S.; Volkel, V.; Draeger, T.; Furst, A.; Klinkhammer-Schalke, M. Laparoscopic and open surgery in rectal cancer patients in Germany: Short and long-term results of a large 10-year population-based cohort. Surg. Endosc. 2020, 34, 1132–1141. [Google Scholar] [CrossRef]
- Celentano, V.; Cohen, R.; Warusavitarne, J.; Faiz, O.; Chand, M. Sexual dysfunction following rectal cancer surgery. Int. J. Color. Dis. 2017, 32, 1523–1530. [Google Scholar] [CrossRef]
- Grass, J.; Persiani, R.; Tirelli, F.; Chen, C.; Caricato, M.; Pecorino, A.; Lang, I.; Kemper, M.; Izbicki, J.; Melling, N.; et al. Robotic versus transanal total mesorectal excision in sexual, anorectal, and urinary function: A multicenter, prospective, observational study. Int. J. Color. Dis. 2021, 36, 2749–2761. [Google Scholar] [CrossRef]
- Al-Rashid, F.; Robitaille, S.; Liberman, A.; Charlebois, P.; Stein, B.; Feldman, L.; Fiore, J., Jr.; Lee, L. Trajectory of change of low anterior resection syndrome over time after restorative proctectomy for rectal adenocarcinoma. Tech. Coloproctol. 2022, 26, 195–203. [Google Scholar] [CrossRef]
- Denost, Q.; Laurent, C.; Capdepont, M.; Zerbib, F.; Rullier, E. Risk factors for fecal incontinence after intersphincteric resection for rectal cancer. Dis. Colon Rectum 2011, 54, 963–968. [Google Scholar] [CrossRef]
- Denost, Q.; Moreau, J.; Vendrely, V.; Celerier, B.; Rullier, A.; Assenat, V.; Rullier, E. Intersphincteric resection for low rectal cancer: The risk is functional rather than oncological. A 25-year experience from Bordeaux. Color. Dis. 2020, 22, 1603–1613. [Google Scholar] [CrossRef]
- Trenti, L.; Galvez, A.; Biondo, S.; Solis, A.; Vallribera-Valls, F.; Espin-Basany, E.; Garcia-Granero, A.; Kreisler, E. Quality of life and anterior resection syndrome after surgery for mid to low rectal cancer: A cross-sectional study. Eur. J. Surg. Oncol. 2018, 44, 1031–1039. [Google Scholar] [CrossRef] [PubMed]
- Back, E.; Haggstrom, J.; Holmgren, K.; Haapamaki, M.; Matthiessen, P.; Rutegard, J.; Rutegard, M. Permanent stoma rates after anterior resection for rectal cancer: Risk prediction scoring using preoperative variables. Br. J. Surg. 2021, 108, 1388–1395. [Google Scholar] [CrossRef]
- Celerier, B.; Denost, Q.; Van Geluwe, B.; Pontallier, A.; Rullier, E. The risk of definitive stoma formation at 10 years after low and ultralow anterior resection for rectal cancer. Color. Dis. 2016, 18, 59–66. [Google Scholar] [CrossRef] [PubMed]
- Chadi, S.; Malcomson, L.; Ensor, J.; Riley, R.D.; A Vaccaro, C.; Rossi, G.L.; Daniels, I.R.; Smart, N.J.; E Osborne, M.; Beets, G.L.; et al. Factors affecting local regrowth after watch and wait for patients with a clinical complete response following chemoradiotherapy in rectal cancer (InterCoRe consortium): An individual participant data meta-analysis. Lancet Gastroenterol. Hepatol. 2018, 3, 825–836. [Google Scholar] [CrossRef] [PubMed]
- Renehan, A.G.; Malcomson, L.; Emsley, R.; Gollins, S.; Maw, A.; Myint, A.S.; Rooney, P.S.; Susnerwala, S.; Blower, A.; Saunders, M.P.; et al. Watch-and-wait approach versus surgical resection after chemoradiotherapy for patients with rectal cancer (the OnCoRe project): A propensity-score matched cohort analysis. Lancet Oncol. 2016, 17, 174–183. [Google Scholar] [CrossRef] [PubMed]
- Hupkens, B.J.; Martens, M.H.; Stoot, J.H.; Berbee, M.; Melenhorst, J.; Beets-Tan, R.G.; Beets, G.L.; Breukink, S.O. Quality of Life in Rectal Cancer Patients After Chemoradiation: Watch-and-Wait Policy Versus Standard Resection—A Matched-Controlled Study. Dis. Colon Rectum 2017, 60, 1032–1040. [Google Scholar] [CrossRef]
- Quezada-Diaz, F.F.; Smith, J.J.; Jimenez-Rodriguez, R.M.; Wasserman, I.; Pappou, E.P.; Patil, S.; Wei, I.H.; Nash, G.M.; Guillem, J.G.; Weiser, M.R.; et al. Patient-Reported Bowel Function in Patients With Rectal Cancer Managed by a Watch-and-Wait Strategy After Neoadjuvant Therapy: A Case-Control Study. Dis. Colon Rectum 2020, 63, 897–902. [Google Scholar] [CrossRef]
- Pollack, J.; Holm, T.; Cedermark, B.; Holmstrom, B.; Mellgren, A. Long-term effect of preoperative radiation therapy on anorectal function. Dis. Colon Rectum 2006, 49, 345–352. [Google Scholar] [CrossRef] [PubMed]
- Juul, T.; Elfeki, H.; Christensen, P.; Laurberg, S.; Emmertsen, K.; Bager, P. Normative Data for the Low Anterior Resection Syndrome Score (LARS Score). Ann. Surg. 2019, 269, 1124–1128. [Google Scholar] [CrossRef] [PubMed]
- Vailati, B.; Habr-Gama, A.; Mattacheo, A.; Juliao, G.S.; Perez, R. Quality of Life in Patients With Rectal Cancer After Chemoradiation: Watch-and-Wait Policy Versus Standard Resection-Are We Comparing Apples to Oranges? Dis. Colon Rectum 2018, 61, e21. [Google Scholar] [CrossRef] [PubMed]
- Taylor, F.; Swift, R.; Blomqvist, L.; Brown, G. A systematic approach to the interpretation of preoperative staging MRI for rectal cancer. AJR Am. J. Roentgenol. 2008, 191, 1827–1835. [Google Scholar] [CrossRef]
- Brown, G.; Radcliffe, A.; Newcombe, R.; Dallimore, N.; Bourne, M.; Williams, G. Preoperative assessment of prognostic factors in rectal cancer using high-resolution magnetic resonance imaging. Br. J. Surg. 2003, 90, 355–364. [Google Scholar] [CrossRef]
- Habr-Gama, A.; Juliao, G.S.; Gama-Rodrigues, J.; Vailati, B.; Ortega, C.; Fernandez, L.; Araujo, S.; Perez, R. Baseline T Classification Predicts Early Tumor Regrowth After Nonoperative Management in Distal Rectal Cancer After Extended Neoadjuvant Chemoradiation and Initial Complete Clinical Response. Dis. Colon Rectum 2017, 60, 586–594. [Google Scholar] [CrossRef]
- Taylor, F.; Quirke, P.; Heald, R.; Moran, B.; Blomqvist, L.; Swift, I.; Sebag-Montefiore, D.; Tekkis, P.; Brown, G.; MERCURY Study group. Preoperative high-resolution magnetic resonance imaging can identify good prognosis stage I, II, and III rectal cancer best managed by surgery alone: A prospective, multicenter, European study. Ann. Surg. 2011, 253, 711–719. [Google Scholar] [CrossRef]
- Habr-Gama, A.; Perez, R.; Wynn, G.; Marks, J.; Kessler, H.; Gama-Rodrigues, J. Complete clinical response after neoadjuvant chemoradiation therapy for distal rectal cancer: Characterization of clinical and endoscopic findings for standardization. Dis. Colon Rectum 2010, 53, 1692–1698. [Google Scholar] [CrossRef]
- Maas, M.; Lambregts, D.M.J.; Nelemans, P.J.; Heijnen, L.A.; Martens, M.H.; Leijtens, J.W.A.; Sosef, M.; Hulsewé, K.W.E.; Hoff, C.; Breukink, S.O.; et al. Assessment of Clinical Complete Response After Chemoradiation for Rectal Cancer with Digital Rectal Examination, Endoscopy, and MRI: Selection for Organ-Saving Treatment. Ann. Surg. Oncol. 2015, 22, 3873–3880. [Google Scholar] [CrossRef] [PubMed]
- Perez, R.O.; Habr-Gama, A.; Julião, G.P.S.; Gama-Rodrigues, J.; Sousa, A.H.; Campos, F.G.; Imperiale, A.R.; Lynn, P.B.; Proscurshim, I.; Nahas, S.C.; et al. Optimal timing for assessment of tumor response to neoadjuvant chemoradiation in patients with rectal cancer: Do all patients benefit from waiting longer than 6 weeks? Int. J. Radiat. Oncol. Biol. Phys. 2012, 84, 1159–1165. [Google Scholar] [CrossRef]
- Perez, R.; Habr-Gama, A.; Juliao, G.S.; Lynn, P.; Sabbagh, C.; Proscurshim, I.; Campos, F.; Gama-Rodrigues, J.; Nahas, S.; Buchpiguel, C. Predicting complete response to neoadjuvant CRT for distal rectal cancer using sequential PET/CT imaging. Tech. Coloproctol. 2014, 18, 699–708. [Google Scholar] [CrossRef] [PubMed]
- Habr-Gama, A.; Juliao, G.S.; Fernandez, L.; Vailati, B.; Andrade, A.; Araujo, S.; Gama-Rodrigues, J.; Perez, R. Achieving a Complete Clinical Response After Neoadjuvant Chemoradiation That Does Not Require Surgical Resection: It May Take Longer Than You Think! Dis. Colon Rectum 2019, 62, 802–808. [Google Scholar] [CrossRef] [PubMed]
- Cerdan-Santacruz, C.; Vailati, B.; Juliao, G.S.; Habr-Gama, A.; Perez, R. Watch and wait: Why, to whom and how. Surg. Oncol. 2022, 43, 101774. [Google Scholar] [CrossRef]
- Matsuda, T.; Fujii, T.; Saito, Y.; Nakajima, T.; Uraoka, T.; Kobayashi, N.; Ikehara, H.; Ikematsu, H.; Fu, K.; Emura, F.; et al. Efficacy of the invasive/non-invasive pattern by magnifying chromoendoscopy to estimate the depth of invasion of early colorectal neoplasms. Am. J. Gastroenterol. 2008, 103, 2700–2706. [Google Scholar] [CrossRef]
- Cercek, A.; Fernandes, G.D.S.; Roxburgh, C.; Ganesh, K.; Ng, S.; Sanchez-Vega, F.; Yaeger, R.; Segal, N.; Reidy-Lagunes, D.; Varghese, A.; et al. Mismatch Repair-Deficient Rectal Cancer and Resistance to Neoadjuvant Chemotherapy. Clin. Cancer Res. 2020, 26, 3271–3279. [Google Scholar] [CrossRef] [PubMed]
- Stelzner, S.; Ruppert, R.; Kube, R.; Strassburg, J.; Lewin, A.; Baral, J.; Maurer, C.; Sauer, J.; Lauscher, J.; Winde, G.; et al. Selection of patients with rectal cancer for neoadjuvant therapy using pre-therapeutic MRI-Results from OCUM trial. Eur. J. Radiol. 2022, 147, 110113. [Google Scholar] [CrossRef] [PubMed]
- Wan, L.; Peng, W.; Zou, S.; Ye, F.; Geng, Y.; Ouyang, H.; Zhao, X.; Zhang, H. MRI-based delta-radiomics are predictive of pathological complete response after neoadjuvant chemoradiotherapy in locally advanced rectal cancer. Acad. Radiol. 2021, 28 (Suppl. 1), S95–S104. [Google Scholar] [CrossRef] [PubMed]
- Yuan, Y.; Zheng, K.; Zhou, L.; Chen, F.; Zhang, S.; Lu, H.; Lu, J.; Shao, C.; Meng, R.; Zhang, W.; et al. Predictive value of modified MRI-based split scar sign (mrSSS) score for pathological complete response after neoadjuvant chemoradiotherapy for patients with rectal cancer. Int. J. Colorectal. Dis. 2023, 38, 40. [Google Scholar] [CrossRef]
- Grabenbauer, A.; Aigner, T.; Gobel, H.; Leibl, B.; Lamberti, C.; Grabenbauer, G.; Distel, L. Preoperative Radiochemotherapy in Rectal Cancer: Is There an Impact of Oxaliplatin on Pathologic Complete Response and Survival Rates under “Real World” Conditions? Cells 2023, 12, 399. [Google Scholar] [CrossRef]
- Diefenhardt, M.; Ludmir, E.; Hofheinz, R.; Ghadimi, M.; Minsky, B.; Rodel, C.; Fokas, E. Association of Treatment Adherence With Oncologic Outcomes for Patients With Rectal Cancer: A Post Hoc Analysis of the CAO/ARO/AIO-04 Phase 3 Randomized Clinical Trial. JAMA Oncol. 2020, 6, 1416–1421. [Google Scholar] [CrossRef] [PubMed]
- Yu, M.; Wang, D.; Li, S.; Huang, L.; Wei, J. Does a long interval between neoadjuvant chemoradiotherapy and surgery benefit the clinical outcomes of locally advanced rectal cancer? A systematic review and meta analyses. Int. J. Colorectal. Dis. 2022, 37, 855–868. [Google Scholar] [CrossRef]
- Foster, J.; Jones, E.; Falk, S.; Cooper, E.; Francis, N. Timing of surgery after long-course neoadjuvant chemoradiotherapy for rectal cancer: A systematic review of the literature. Dis. Colon Rectum 2013, 57, 921–930. [Google Scholar] [CrossRef] [PubMed]
- Erlandsson, J.; Holm, T.; Pettersson, D.; Berglund, A.; Cedermark, B.; Radu, C.; Johansson, H.; Machado, M.; Hjern, F.; Hallbook, O.; et al. Optimal fractionation of preoperative radiotherapy and timing to surgery for rectal cancer (Stockholm III): A multicentre, randomised, non-blinded, phase 3, non-inferiority trial. Lancet Oncol. 2017, 18, 336–346. [Google Scholar] [CrossRef] [PubMed]
- Habr-Gama, A.; Perez, R.; Sabbaga, J.; Nadalin, W.; Juliao, G.S.; Gama-Rodrigues, J. Increasing the rates of complete response to neoadjuvant chemoradiotherapy for distal rectal cancer: Results of a prospective study using additional chemotherapy during the resting period. Dis. Colon Rectum 2009, 52, 1927–1934. [Google Scholar] [CrossRef]
- Gao, Y.; Zhang, X.; An, X.; Cai, M.; Zeng, Z.; Chen, G.; Kong, L.; Lin, J.; Wan, D.; Pan, Z.; et al. Oxaliplatin and capecitabine concomitant with neoadjuvant radiotherapy and extended to the resting period in high risk locally advanced rectal cancer. Strahlenther Onkol 2014, 190, 158–164. [Google Scholar] [CrossRef]
- Habr-Gama, A.; Perez, R.; Juliao, G.S.; Proscurshim, I.; Fernandez, L.; Figueiredo, M.; Gama-Rodrigues, J.; Buchpiguel, C.A. Consolidation chemotherapy during neoadjuvant chemoradiation (CRT) for distal rectal cancer leads to sustained decrease in tumor metabolism when compared to standard CRT regimen. Radiat. Oncol. 2016, 11, 24. [Google Scholar] [CrossRef]
- Asoglu, O.; Tokmak, H.; Bakir, B.; Demir, G.; Ozyar, E.; Atalar, B.; Goksel, S.; Koza, B.; Mert, A.G.; Demir, A.; et al. The impact of total neo-adjuvant treatment on nonoperative management in patients with locally advanced rectal cancer: The evaluation of 66 cases. Eur. J. Surg. Oncol. 2020, 46, 402–409. [Google Scholar] [CrossRef]
- Juliao, G.S.; Habr-Gama, A.; Vailati, B.; Aguilar, P.; Sabbaga, J.; Araujo, S.; Mattacheo, A.; Alexandre, F.; Fernandez, L.; Gomes, D.; et al. Is neoadjuvant chemoradiation with dose-escalation and consolidation chemotherapy sufficient to increase surgery-free and distant metastases-free survival in baseline cT3 rectal cancer? Eur. J. Surg. Oncol. 2018, 44, 93–99. [Google Scholar] [CrossRef]
- Fernandez-Martos, C.; Garcia-Albeniz, X.; Pericay, C.; Maurel, J.; Aparicio, J.; Montagut, C.; Safont, M.; Salud, A.; Vera, R.; Massuti, B.; et al. Chemoradiation, surgery and adjuvant chemotherapy versus induction chemotherapy followed by chemoradiation and surgery: Long-term results of the Spanish GCR-3 phase II randomized trialdagger. Ann. Oncol. 2015, 26, 1722–1728. [Google Scholar] [CrossRef]
- Fokas, E.; Allgauer, M.; Polat, B.; Klautke, G.; Grabenbauer, G.; Fietkau, R.; Kuhnt, T.; Staib, L.; Brunner, T.; Grosu, A.; et al. German Rectal Cancer Study, Randomized Phase II Trial of Chemoradiotherapy Plus Induction or Consolidation Chemotherapy as Total Neoadjuvant Therapy for Locally Advanced Rectal Cancer: CAO/ARO/AIO-12. J. Clin. Oncol. 2019, 37, 3212–3222. [Google Scholar] [CrossRef] [PubMed]
- Fokas, E.; Schlenska-Lange, A.; Polat, B.; Klautke, G.; Grabenbauer, G.; Fietkau, R.; Kuhnt, T.; Staib, L.; Brunner, T.; Grosu, A.; et al. German Rectal Cancer Study, Chemoradiotherapy Plus Induction or Consolidation Chemotherapy as Total Neoadjuvant Therapy for Patients With Locally Advanced Rectal Cancer: Long-term Results of the CAO/ARO/AIO-12 Randomized Clinical Trial. JAMA Oncol. 2022, 8, e215445. [Google Scholar] [CrossRef] [PubMed]
- Garcia-Aguilar, J.; Patil, S.; Gollub, M.; Kim, J.; Yuval, J.; Thompson, H.; Verheij, F.; Omer, D.; Lee, M.; Dunne, R.; et al. Organ Preservation in Patients With Rectal Adenocarcinoma Treated With Total Neoadjuvant Therapy. J. Clin. Oncol. 2022, 40, 2546–2556. [Google Scholar] [CrossRef]
- Chakrabarti, D.; Rajan, S.; Akhtar, N.; Qayoom, S.; Gupta, S.; Verma, M.; Srivastava, K.; Kumar, V.; Bhatt, M.; Gupta, R. Short-course radiotherapy with consolidation chemotherapy versus conventionally fractionated long-course chemoradiotherapy for locally advanced rectal cancer: Randomized clinical trial. Br. J. Surg. 2021, 108, 511–520. [Google Scholar] [CrossRef]
- Bahadoer, R.R.; A Dijkstra, E.; van Etten, B.; Marijnen, C.A.M.; Putter, H.; Kranenbarg, E.M.-K.; Roodvoets, A.G.H.; Nagtegaal, I.D.; Beets-Tan, R.G.H.; Blomqvist, L.K.; et al. Short-course radiotherapy followed by chemotherapy before total mesorectal excision (TME) versus preoperative chemoradiotherapy, TME, and optional adjuvant chemotherapy in locally advanced rectal cancer (RAPIDO): A randomised, open-label, phase 3 trial. Lancet Oncol. 2021, 22, 29–42. [Google Scholar] [CrossRef] [PubMed]
- Chin, R.-I.; Roy, A.; Pedersen, K.S.; Huang, Y.; Hunt, S.R.; Glasgow, S.C.; Tan, B.R.; Wise, P.E.; Silviera, M.L.; Smith, R.K.; et al. Clinical Complete Response in Patients With Rectal Adenocarcinoma Treated With Short-Course Radiation Therapy and Nonoperative Management. Int. J. Radiat. Oncol. Biol. Phys. 2022, 112, 715–725. [Google Scholar] [CrossRef]
- Dijkstra, E.A.; Nilsson, P.J.; Hospers, G.A.; Bahadoer, R.R.; Kranenbarg, E.M.-K.; Roodvoets, A.G.; Putter, H.; Berglund, Å.M.; Cervantes, A.; Crolla, R.M.; et al. Locoregional Failure During and After Short-course Radiotherapy followed by Chemotherapy and Surgery Compared to Long-course Chemoradiotherapy and Surgery—A Five-year Follow-up of the RAPIDO Trial. Ann. Surg. 2023. [Google Scholar] [CrossRef]
- Habr-Gama, A.; Juliao, G.S.; Vailati, B.; Sabbaga, J.; Aguilar, P.; Fernandez, L.; Araujo, S.; Perez, R.O. Organ Preservation in cT2N0 Rectal Cancer After Neoadjuvant Chemoradiation Therapy: The Impact of Radiation Therapy Dose-escalation and Consolidation Chemotherapy. Ann. Surg. 2019, 269, 102–107. [Google Scholar] [CrossRef]
- Gerard, J.; Barbet, N.; Schiappa, R.; Magne, N.; Martel, I.; Mineur, L.; Deberne, M.; Zilli, T.; Dhadda, A.; Myint, A.; et al. Neoadjuvant chemoradiotherapy with radiation dose escalation with contact x-ray brachytherapy boost or external beam radiotherapy boost for organ preservation in early cT2-cT3 rectal adenocarcinoma (OPERA): A phase 3, randomised controlled trial. Lancet Gastroenterol Hepatol 2023, 8, 356–367. [Google Scholar] [CrossRef]
- Patel, U.; Brown, G.; Rutten, H.; West, N.; Sebag-Montefiore, D.; Glynne-Jones, R.; Rullier, E.; Peeters, M.; Van Cutsem, E.; Ricci, S.; et al. Comparison of magnetic resonance imaging and histopathological response to chemoradiotherapy in locally advanced rectal cancer. Ann. Surg. Oncol. 2012, 19, 2842–2852. [Google Scholar] [CrossRef]
- Patel, U.; Blomqvist, L.; Taylor, F.; George, C.; Guthrie, A.; Bees, N.; Brown, G. MRI after treatment of locally advanced rectal cancer: How to report tumor response--the MERCURY experience. AJR Am. J. Roentgenol. 2012, 199, W486–W495. [Google Scholar] [CrossRef] [PubMed]
- Lambregts, D.; Lahaye, M.; Heijnen, L.; Martens, M.; Maas, M.; Beets, G.; Beets-Tan, R.G. MRI and diffusion-weighted MRI to diagnose a local tumour regrowth during long-term follow-up of rectal cancer patients treated with organ preservation after chemoradiotherapy. Eur. Radiol. 2016, 26, 2118–2125. [Google Scholar] [CrossRef] [PubMed]
- Lambregts, D.; Maas, M.; Bakers, F.; Cappendijk, V.; Lammering, G.; Beets, G.; Beets-Tan, R. Long-term follow-up features on rectal MRI during a wait-and-see approach after a clinical complete response in patients with rectal cancer treated with chemoradiotherapy. Dis. Colon Rectum 2011, 54, 1521–1528. [Google Scholar] [CrossRef] [PubMed]
- Lambregts, D.; Rao, S.; Sassen, S.; Martens, M.; Heijnen, L.; Buijsen, J.; Sosef, M.; Beets, G.; Vliegen, R.; Beets-Tan, R.G. MRI and Diffusion-weighted MRI Volumetry for Identification of Complete Tumor Responders After Preoperative Chemoradiotherapy in Patients With Rectal Cancer: A Bi-institutional Validation Study. Ann. Surg. 2015, 262, 1034–1039. [Google Scholar] [CrossRef]
- Lambregts, D.M.J.; Van Heeswijk, M.M.; Pizzi, A.D.; Van Elderen, S.G.C.; Andrade, L.; Peters, N.H.G.M.; Kint, P.A.M.; Jong, M.O.-D.; Bipat, S.; Ooms, R.; et al. Diffusion-weighted MRI to assess response to chemoradiotherapy in rectal cancer: Main interpretation pitfalls and their use for teaching. Eur. Radiol. 2017, 27, 4445–4454. [Google Scholar] [CrossRef]
- dos Anjos, D.A.; Perez, R.O.; Habr-Gama, A.; Julião, G.P.S.; Vailati, B.B.; Fernandez, L.M.; de Sousa, J.B.; Buchpiguel, C.A. Semiquantitative Volumetry by Sequential PET/CT May Improve Prediction of Complete Response to Neoadjuvant Chemoradiation in Patients With Distal Rectal Cancer. Dis. Colon Rectum 2016, 59, 805–812. [Google Scholar] [CrossRef]
- Perez, R.; Habr-Gama, A.; Gama-Rodrigues, J.; Proscurshim, I.; Juliao, G.; Lynn, P.; Ono, C.; Campos, F.; Sousa, A.S., Jr.; Imperiale, A.; et al. Accuracy of positron emission tomography/computed tomography and clinical assessment in the detection of complete rectal tumor regression after neoadjuvant chemoradiation: Long-term results of a prospective trial (National Clinical Trial 00254683). Cancer 2012, 118, 3501–3511. [Google Scholar] [CrossRef]
- Rymer, B.; Curtis, N.; Siddiqui, M.; Chand, M. FDG PET/CT Can Assess the Response of Locally Advanced Rectal Cancer to Neoadjuvant Chemoradiotherapy: Evidence From Meta-analysis and Systematic Review. Clin. Nucl. Med. 2016, 41, 371–375. [Google Scholar] [CrossRef]
- Perez, R.O.; Habr-Gama, A.; Pereira, G.V.; Lynn, P.B.; Alves, P.A.; Proscurshim, I.; Rawet, V.; Gama-Rodrigues, J. Role of biopsies in patients with residual rectal cancer following neoadjuvant chemoradiation after downsizing: Can they rule out persisting cancer? Color. Dis. 2012, 14, 714–720. [Google Scholar] [CrossRef]
- Van Den Begin, R.; Kleijnen, J.-P.; Engels, B.; Philippens, M.; Van Asselen, B.; Raaymakers, B.; Reerink, O.; De Ridder, M.; Intven, M. Tumor volume regression during preoperative chemoradiotherapy for rectal cancer: A prospective observational study with weekly MRI. Acta Oncol. 2018, 57, 723–727. [Google Scholar] [CrossRef]
- Custers, P.A.; Geubels, B.M.; Beets, G.L.; Lambregts, D.M.J.; E van Leerdam, M.; van Triest, B.; Maas, M. Defining near-complete response following (chemo)radiotherapy for rectal cancer: Systematic review. Br. J. Surg. 2022, 110, 43–49. [Google Scholar] [CrossRef]
- Deidda, S.; Elmore, U.; Rosati, R.; De Nardi, P.; Vignali, A.; Puccetti, F.; Spolverato, G.; Capelli, G.; Zuin, M.; Muratore, A.; et al. Association of Delayed Surgery With Oncologic Long-term Outcomes in Patients With Locally Advanced Rectal Cancer Not Responding to Preoperative Chemoradiation. JAMA Surg. 2021, 156, 1141–1149. [Google Scholar] [CrossRef] [PubMed]
- Heald, R.; Beets, G.; Carvalho, C. Report from a consensus meeting: Response to chemoradiotherapy in rectal cancer-predictor of cure and a crucial new choice for the patient: On behalf of the Champalimaud 2014 Faculty for ‘Rectal cancer: When NOT to operate’. Color. Dis. 2014, 16, 334–337. [Google Scholar] [CrossRef]
- Dattani, M.; Heald, R.; Goussous, G.; Broadhurst, J.; Julião, G.S.; Habr-Gama, A.; Perez, R.; Moran, B.J. Oncological and Survival Outcomes in Watch and Wait Patients With a Clinical Complete Response After Neoadjuvant Chemoradiotherapy for Rectal Cancer: A Systematic Review and Pooled Analysis. Ann. Surg. 2018, 268, 955–967. [Google Scholar] [CrossRef]
- Fernandez, L.M.M.; Figueiredo, N.L.M.; Habr-Gama, A.M.; Julião, G.P.M.S.; Vieira, P.M.; Vailati, B.B.M.; Nasir, I.M.; Parés, O.M.; Santiago, I.M.; Castillo-Martin, M.M.; et al. Salvage Surgery With Organ Preservation for Patients With Local Regrowth After Watch and Wait: Is It Still Possible? Dis. Colon Rectum 2020, 63, 1053–1062. [Google Scholar] [CrossRef]
- Habr-Gama, A.; Gama-Rodrigues, J.; Juliao, G.S.; Proscurshim, I.; Sabbagh, C.; Lynn, P.; Perez, R.O. Local recurrence after complete clinical response and watch and wait in rectal cancer after neoadjuvant chemoradiation: Impact of salvage therapy on local disease control. Int. J. Radiat. Oncol. Biol. Phys. 2014, 88, 822–828. [Google Scholar] [CrossRef]
- Kong, J.C.; Guerra, G.R.; Warrier, S.K.; Ramsay, R.G.; Heriot, A.G. Outcome and Salvage Surgery Following “Watch and Wait” for Rectal Cancer after Neoadjuvant Therapy: A Systematic Review. Dis. Colon Rectum 2017, 60, 335–345. [Google Scholar] [CrossRef] [PubMed]
- Nasir, I.; Fernandez, L.; Vieira, P.; Parés, O.; Santiago, I.; Castillo-Martin, M.; Domingos, H.; Cunha, J.F.; Carvalho, C.; Heald, R.J.; et al. Salvage surgery for local regrowths in Watch & Wait-Are we harming our patients by deferring the surgery? Eur. J. Surg. Oncol. 2019, 45, 1559–1566. [Google Scholar] [PubMed]
- Habr-Gama, A.; Perez, R.O.; Proscurshim, I.; dos Santos, R.M.N.; Kiss, D.; Gama-Rodrigues, J.; Cecconello, I. Interval between surgery and neoadjuvant chemoradiation therapy for distal rectal cancer: Does delayed surgery have an impact on outcome? Int. J. Radiat. Oncol. 2008, 71, 1181–1188. [Google Scholar] [CrossRef]
- Smith, F.M.; Ahad, A.; Perez, R.O.; Marks, J.; Bujko, K.; Heald, R.J. Local Excision Techniques for Rectal Cancer After Neoadjuvant Chemoradiotherapy: What Are We Doing? Dis. Colon Rectum 2017, 60, 228–239. [Google Scholar] [CrossRef]
- Garcia-Aguilar, J.; Chow, O.S.; Smith, D.D.; Marcet, J.E.; Cataldo, P.A.; Varma, M.G.; Kumar, A.S.; Oommen, S.; Coutsoftides, T.; Hunt, S.R.; et al. Timing of Rectal Cancer Response to Chemoradiation, Effect of adding mFOLFOX6 after neoadjuvant chemoradiation in locally advanced rectal cancer: A multicentre, phase 2 trial. Lancet Oncol. 2015, 16, 957–966. [Google Scholar] [CrossRef] [PubMed]
- Lefevre, J.H.; Mineur, L.; Kotti, S.; Rullier, E.; Rouanet, P.; de Chaisemartin, C.; Meunier, B.; Mehrdad, J.; Cotte, E.; Desrame, J.; et al. Effect of Interval (7 or 11 weeks) Between Neoadjuvant Radiochemotherapy and Surgery on Complete Pathologic Response in Rectal Cancer: A Multicenter, Randomized, Controlled Trial (GRECCAR-6). J. Clin. Oncol. 2016, 34, 3773–3780. [Google Scholar] [CrossRef]
- Juliao, G.S.; Karagkounis, G.; Fernandez, L.; Habr-Gama, A.; Vailati, B.; Dattani, M.; Kalady, M.; Perez, R.O. Conditional Survival in Patients With Rectal Cancer and Complete Clinical Response Managed by Watch and Wait After Chemoradiation: Recurrence Risk Over Time. Ann. Surg. 2020, 272, 138–144. [Google Scholar] [CrossRef]
- Habr-Gama, A.; Julião, G.P.S.; Vailati, B.B.; Fernandez, L.M.; Ortega, C.D.; Figueiredo, N.; Gama-Rodrigues, J.; Perez, R.O. Organ Preservation Among Patients With Clinically Node-Positive Rectal Cancer: Is It Really More Dangerous? Dis. Colon Rectum 2019, 62, 675–683. [Google Scholar] [CrossRef]
- Fernandez, L.M.; Julião, G.P.S.; Figueiredo, N.L.; Beets, G.L.; van der Valk, M.J.M.; Bahadoer, R.R.; E Hilling, D.; Kranenbarg, E.M.-K.; Roodvoets, A.G.H.; Renehan, A.G.; et al. Conditional recurrence-free survival of clinical complete responders managed by watch and wait after neoadjuvant chemoradiotherapy for rectal cancer in the International Watch & Wait Database: A retrospective, international, multicentre registry study. Lancet Oncol. 2021, 22, 43–50. [Google Scholar]
- Smith, J.J.; Strombom, P.; Chow, O.S.; Roxburgh, C.S.; Lynn, P.; Eaton, A.; Widmar, M.; Ganesh, K.; Yaeger, R.; Cercek, A.; et al. Assessment of a Watch-and-Wait Strategy for Rectal Cancer in Patients With a Complete Response After Neoadjuvant Therapy. JAMA Oncol. 2019, 5, e185896. [Google Scholar] [CrossRef] [PubMed]
- Fernandez, L.M.; Julião, G.P.S.; Renehan, A.G.; Beets, G.L.; Papoila, A.L.; Vailati, B.B.; Bahadoer, R.R.; Kranenbarg, E.M.-K.; Roodvoets, A.G.H.; Figueiredo, N.L.; et al. The Risk of Distant Metastases in Patients With Clinical Complete Response Managed by Watch and Wait After Neoadjuvant Therapy for Rectal Cancer: The Influence of Local Regrowth in the International Watch and Wait Database. Dis. Colon Rectum 2023, 66, 41–49. [Google Scholar] [CrossRef]
- Cerdán-Santacruz, C.; Vailati, B.B.; Julião, G.P.S.; Habr-Gama, A.; Perez, R.O. Local tumor regrowth after clinical complete response following neoadjuvant therapy for rectal cancer: What happens when organ preservation falls short. Tech. Coloproctol. 2023, 27, 1–9. [Google Scholar] [CrossRef] [PubMed]
- Kennedy, E.; Zwaal, C.; Asmis, T.; Cho, C.; Galica, J.; Ginty, A.; Govindarajan, A. An Evidence-Based Guideline for Surveillance of Patients after Curative Treatment for Colon and Rectal Cancer. Curr. Oncol. 2022, 29, 724–740. [Google Scholar] [CrossRef]




Disclaimer/Publisher’s Note: The statements, opinions and data contained in all publications are solely those of the individual author(s) and contributor(s) and not of MDPI and/or the editor(s). MDPI and/or the editor(s) disclaim responsibility for any injury to people or property resulting from any ideas, methods, instructions or products referred to in the content. |
© 2023 by the authors. Licensee MDPI, Basel, Switzerland. This article is an open access article distributed under the terms and conditions of the Creative Commons Attribution (CC BY) license (https://creativecommons.org/licenses/by/4.0/).
Share and Cite
Cerdan-Santacruz, C.; São Julião, G.P.; Vailati, B.B.; Corbi, L.; Habr-Gama, A.; Perez, R.O. Watch and Wait Approach for Rectal Cancer. J. Clin. Med. 2023, 12, 2873. https://doi.org/10.3390/jcm12082873
Cerdan-Santacruz C, São Julião GP, Vailati BB, Corbi L, Habr-Gama A, Perez RO. Watch and Wait Approach for Rectal Cancer. Journal of Clinical Medicine. 2023; 12(8):2873. https://doi.org/10.3390/jcm12082873
Chicago/Turabian StyleCerdan-Santacruz, Carlos, Guilherme Pagin São Julião, Bruna Borba Vailati, Leonardo Corbi, Angelita Habr-Gama, and Rodrigo Oliva Perez. 2023. "Watch and Wait Approach for Rectal Cancer" Journal of Clinical Medicine 12, no. 8: 2873. https://doi.org/10.3390/jcm12082873
APA StyleCerdan-Santacruz, C., São Julião, G. P., Vailati, B. B., Corbi, L., Habr-Gama, A., & Perez, R. O. (2023). Watch and Wait Approach for Rectal Cancer. Journal of Clinical Medicine, 12(8), 2873. https://doi.org/10.3390/jcm12082873

