Skull-Base Surgery—A Narrative Review on Current Approaches and Future Developments in Surgical Navigation
Abstract
1. Introduction
2. Surgical Navigation
2.1. General Concepts
2.2. Clinical Applications
2.3. Intraoperative Imaging
2.4. Surgical Navigation and Augmented Reality
3. The GTx Lab Experience
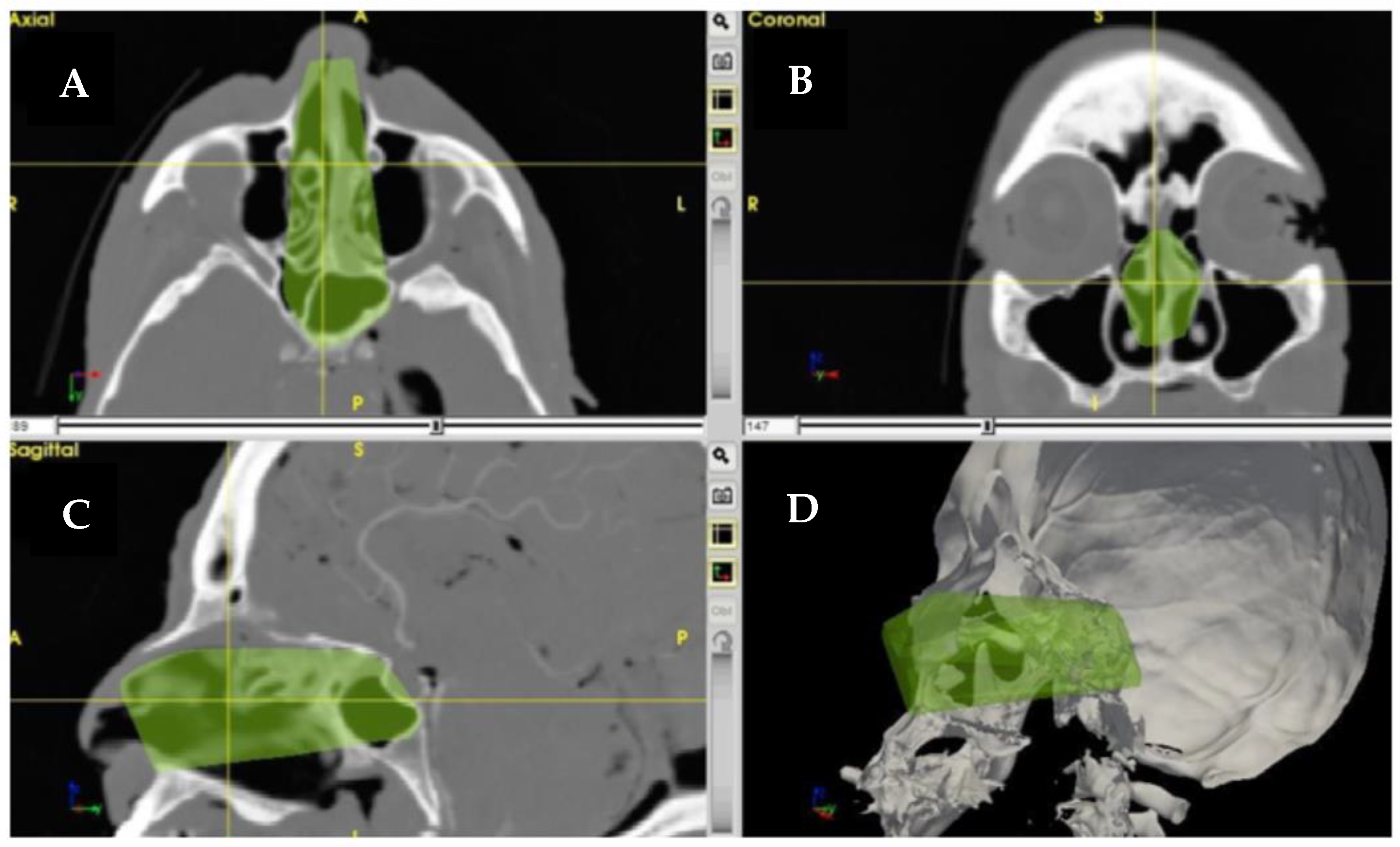
3.1. Objective Quazntification of Surgical Volumes
3.2. Development of Cutting Guidance System
3.3. Pre-Operative Virtual Planning
3.4. Augmented Reality
4. Conclusions and Future Directions
Author Contributions
Funding
Institutional Review Board Statement
Informed Consent Statement
Data Availability Statement
Conflicts of Interest
References
- Shenaq, D.S.; Matros, E. Virtual planning and navigational technology in reconstructive surgery. J. Surg. Oncol. 2018, 118, 845–852. [Google Scholar] [CrossRef] [PubMed]
- Witjes, M.J.; Schepers, R.H.; Kraeima, J. Impact of 3D virtual planning on reconstruction of mandibular and maxillary surgical defects in head and neck oncology. Curr. Opin. Otolaryngol. Head Neck Surg. 2018, 26, 108–114. [Google Scholar] [CrossRef] [PubMed]
- Eu, D.; Daly, M.J.; Irish, J.C. Imaging-based navigation technologies in head and neck surgery. Curr. Opin. Otolaryngol. Head Neck Surg. 2020, 29, 149–155. [Google Scholar] [CrossRef] [PubMed]
- Ahmed, O.H.; Marcus, S.; Lebowitz, R.A.; Jacobs, J. Evolution in Visualization for Sinus and Skull Base Surgery. Otolaryngol. Clin. N. Am. 2017, 50, 505–519. [Google Scholar] [CrossRef]
- Dalgorf, D.M.; Sacks, R.; Wormald, P.; Naidoo, Y.; Panizza, B.; Uren, B.; Brown, C.; Curotta, J.; Snidvongs, K.; Harvey, R.J. Image-Guided Surgery Influences Perioperative Morbidity from Endoscopic Sinus Surgery. Otolaryngol. Neck Surg. 2013, 149, 17–29. [Google Scholar] [CrossRef]
- Vreugdenburg, T.D.; Lambert, R.S.; Atukorale, Y.N.; Cameron, A.L. Stereotactic anatomical localization in complex sinus surgery: A systematic review and meta-analysis. Laryngoscope 2015, 126, 51–59. [Google Scholar] [CrossRef]
- Constantinidis, J.; Konstantinidis, I. Avoiding complications in endoscopic skull base surgery. Curr. Opin. Otolaryngol. Head Neck Surg. 2017, 25, 79–85. [Google Scholar] [CrossRef]
- Dixon, B.J.; Daly, M.J.; Chan, H.; Vescan, A.; Witterick, I.J.; Irish, J.C. Augmented real-time navigation with critical structure proximity alerts for endoscopic skull base surgery. Laryngoscope 2013, 124, 853–859. [Google Scholar] [CrossRef]
- Thoranaghatte, R.; Garcia, J.; Caversaccio, M.; Widmer, D.; Ballester, M.A.G.; Nolte, L.-P.; Zheng, G. Landmark-based augmented reality system for paranasal and transnasal endoscopic surgeries. Int. J. Med. Robot. 2009, 5, 415–422. [Google Scholar] [CrossRef]
- Dixon, B.J.; Daly, M.J.; Chan, H.; Vescan, A.; Witterick, I.J.; Irish, J.C. Augmented image guidance improves skull base navigation and reduces task workload in trainees: A preclinical trial. Laryngoscope 2011, 121, 2060–2064. [Google Scholar] [CrossRef]
- Nakamura, M.; Stöver, T.; Rodt, T.; Majdani, O.; Lorenz, M.; Lenarz, T.; Krauss, J. Neuronavigational guidance in craniofacial approaches for large (para)nasal tumors involving the anterior skull base and upper clival lesions. Eur. J. Surg. Oncol. (EJSO) 2009, 35, 666–672. [Google Scholar] [CrossRef]
- Rohde, V.; Spangenberg, P.; Mayfrank, L.; Reinges, M.; Gilsbach, J.M.; Coenen, V.A. Advanced Neuronavigation in Skull Base Tumors and Vascular Lesions. min Minim. Invasive Neurosurg. 2005, 48, 13–18. [Google Scholar] [CrossRef]
- Sure, U.; Alberti, O.; Petermeyer, M.; Becker, R.; Bertalanffy, H. Advanced image-guided skull base surgery. Surg. Neurol. 2000, 53, 563–572, discussion 572. [Google Scholar] [CrossRef]
- Nicolai, P.; Castelnuovo, P.G.M.; Villaret, A.B. Endoscopic Resection of Sinonasal Malignancies. Curr. Oncol. Rep. 2011, 13, 138–144. [Google Scholar] [CrossRef]
- Hanna, E.; DeMonte, F.; Ibrahim, S.; Roberts, D.; Levine, N.; Kupferman, M. Endoscopic Resection of Sinonasal Cancers with and without Craniotomy. Arch. Otolaryngol. Head Neck Surg. 2009, 135, 1219–1224. [Google Scholar] [CrossRef]
- Lund, V.; Howard, D.J.; Wei, W.I. Endoscopic Resection of Malignant Tumors of the Nose and Sinuses. Am. J. Rhinol. 2007, 21, 89–94. [Google Scholar] [CrossRef]
- Castelnuovo, P.; Battaglia, P.; Turri-Zanoni, M.; Tomei, G.; Locatelli, D.; Bignami, M.; Villaret, A.B.; Nicolai, P. Endoscopic Endonasal Surgery for Malignancies of the Anterior Cranial Base. World Neurosurg. 2014, 82, S22–S31. [Google Scholar] [CrossRef]
- Snyderman, C.H.; Carrau, R.L.; Kassam, A.B.; Zanation, A.; Prevedello, D.; Gardner, P.; Mintz, A. Endoscopic skull base surgery: Principles of endonasal oncological surgery. J. Surg. Oncol. 2008, 97, 658–664. [Google Scholar] [CrossRef]
- Lund, V.; Wei, W. Endoscopic surgery for malignant sinonasal tumours: An eighteen year experience. Rhinol. J. 2015, 53, 204–211. [Google Scholar] [CrossRef]
- Nicolai, P.; Battaglia, P.; Bignami, M.; Villaret, A.B.; Delù, G.; Khrais, T.; Lombardi, D.; Castelnuovo, P. Endoscopic Surgery for Malignant Tumors of the Sinonasal Tract and Adjacent Skull Base: A 10-year Experience. Am. J. Rhinol. 2008, 22, 308–316. [Google Scholar] [CrossRef]
- Villaret, A.B.; Yakirevitch, A.; Bizzoni, A.; Bosio, R.; Bignami, M.; Pistochini, A.; Battaglia, P.; Castelnuovo, P.; Nicolai, P. Endoscopic Transnasal Craniectomy in the Management of Selected Sinonasal Malignancies. Am. J. Rhinol. Allergy 2010, 24, 60–65. [Google Scholar] [CrossRef] [PubMed]
- Snyderman, C.H.; Pant, H.; Carrau, R.L.; Prevedello, D.; Gardner, P.; Kassam, A.B. What Are the Limits of Endoscopic Sinus Surgery? The Expanded Endonasal Approach to the Skull Base. Keio J. Med. 2009, 58, 152–160. [Google Scholar] [CrossRef] [PubMed]
- Daly, M.J.; Wilson, B.C.; Irish, J.C.; Jaffray, D.A. Navigated non-contact fluorescence tomography. Phys. Med. Biol. 2019, 64, 135021. [Google Scholar] [CrossRef] [PubMed]
- Schmale, I.L.; Vandelaar, L.J.; Luong, A.U.; Citardi, M.J.; Yao, W.C. Image-Guided Surgery and Intraoperative Imaging in Rhinology: Clinical Update and Current State of the Art. Ear Nose Throat J. 2020, 100, NP475–NP486. [Google Scholar] [CrossRef]
- Irugu, D.V.K.; Stammberger, H.R. A Note on the Technical Aspects and Evaluation of the Role of Navigation System in Endoscopic Endonasal Surgeries. Indian J. Otolaryngol. Head Neck Surg. 2012, 66, 307–313. [Google Scholar] [CrossRef]
- Caversaccio, M.; Nolte, L.-P.; Häusler, R. Present state and future perspectives of computer aided surgery in the field of ENT and skull base. Acta Oto-Rhino-Laryngol. Belg. 2002, 56, 51–59. [Google Scholar]
- Schilke, P.; Anderssohn, S.; Tziridis, K.; Mantsopoulos, K.; Mueller, S.; Sievert, M.; Gostian, A.O.; Iro, H.; Bohr, C.; Traxdorf, M. Phantom-based prospective analysis of the accuracy of photo registration technology in electromagnetic navigation of the frontal skull base. Eur. Rev. Med. Pharmacol. Sci. 2022, 26, 1674–1682. [Google Scholar] [CrossRef]
- Franz, L.; Isola, M.; Bagatto, D.; Calzolari, F.; Travan, L.; Robiony, M. A Novel Protocol for Planning and Navigation in Craniofacial Surgery: A Preclinical Surgical Study. J. Oral Maxillofac. Surg. 2017, 75, 1971–1979. [Google Scholar] [CrossRef]
- Franz, L.; Isola, M.; Bagatto, D.; Tuniz, F.; Robiony, M. A novel approach to skull-base and orbital osteotomies through virtual planning and navigation. Laryngoscope 2018, 129, 823–831. [Google Scholar] [CrossRef]
- Taeger, J.; Müller-Graff, F.-T.; Neun, T.; Köping, M.; Schendzielorz, P.; Hagen, R.; Rak, K. Highly precise navigation at the lateral skull base by the combination of flat-panel volume CT and electromagnetic navigation. Sci. Prog. 2021, 104, 00368504211032090. [Google Scholar] [CrossRef]
- Grauvogel, T.D.; Engelskirchen, P.; Semper-Hogg, W.; Grauvogel, J.; Laszig, R. Navigation accuracy after automatic- and hybrid-surface registration in sinus and skull base surgery. PLoS ONE 2017, 12, e0180975. [Google Scholar] [CrossRef]
- Galletti, B.; Gazia, F.; Freni, F.; Sireci, F.; Galletti, F. Endoscopic sinus surgery with and without computer assisted navigation: A retrospective study. Auris Nasus Larynx 2018, 46, 520–525. [Google Scholar] [CrossRef]
- Sunkaraneni, V.S.; Yeh, D.; Qian, H.; Javer, A.R. Computer or not? Use of image guidance during endoscopic sinus surgery for chronic rhinosinusitis at St Paul's Hospital, Vancouver, and meta-analysis. J. Laryngol. Otol. 2013, 127, 368–377. [Google Scholar] [CrossRef]
- Position Statement: Intra-Operative Use of Computer Aided Surgery. Available online: https://www.entnet.org/resource/position-statement-intra-operative-use-of-computer-aided-surgery/ (accessed on 20 December 2022).
- Chung, T.; Riley, K.; Woodworth, B.A. The Use of Image-Guidance during Transsphenoidal Pituitary Surgery in the United States. Am. J. Rhinol. Allergy 2015, 29, 215–220. [Google Scholar] [CrossRef]
- Patel, S.N.; Youssef, A.S.; Vale, F.L.; Padhya, T.A. Re-evaluation of the role of image guidance in minimally invasive pituitary surgery: Benefits and outcomes. Comput. Aided Surg. 2011, 16, 47–53. [Google Scholar] [CrossRef]
- Achey, R.L.; Karsy, M.; Azab, M.A.; Scoville, J.; Kundu, B.; Bowers, C.A.; Couldwell, W.T. Improved Surgical Safety via Intraoperative Navigation for Transnasal Transsphenoidal Resection of Pituitary Adenomas. J. Neurol. Surg. Part B Skull Base 2019, 80, 626–631. [Google Scholar] [CrossRef]
- Jödicke, A.; Ottenhausen, M.; Lenarz, T. Clinical Use of Navigation in Lateral Skull Base Surgery: Results of a Multispecialty National Survey among Skull Base Surgeons in Germany. J. Neurol. Surg. Part B Skull Base 2018, 79, 545–553. [Google Scholar] [CrossRef]
- Barber, S.R. New Navigation Approaches for Endoscopic Lateral Skull Base Surgery. Otolaryngol. Clin. N. Am. 2020, 54, 175–187. [Google Scholar] [CrossRef]
- Kühn, U.M.; Mann, W.J.; Amedee, R.G. Endonasal Approach for Nasal and Paranasal Sinus Tumor Removal. ORL 2001, 63, 366–371. [Google Scholar] [CrossRef]
- Klimek, L.; Mösges, R.; Laborde, G.; Korves, K. Computer-assisted image-guided surgery in pediatric skull-base procedures. J. Pediatr. Surg. 1995, 30, 1673–1676. [Google Scholar] [CrossRef]
- Hofmann, T.; Bernal-Sprekelsen, M.; Koele, W.; Reittner, P.; Klein, E.; Stammberger, H. Endoscopic resection of juvenile angiofi-bromas—Long term results. Rhinology 2005, 43, 282–289. [Google Scholar] [PubMed]
- Chen, C.; Selva, D.; Wormald, P.-J. Endoscopic modified lothrop procedure: An alternative for frontal osteoma excision. Rhinology 2004, 42, 239–243. [Google Scholar] [PubMed]
- Wei, B.; Sun, G.; Hu, Q.; Tang, E. The Safety and Accuracy of Surgical Navigation Technology in the Treatment of Lesions Involving the Skull Base. J. Craniofacial Surg. 2017, 28, 1431–1434. [Google Scholar] [CrossRef] [PubMed]
- He, Y.; Zhang, Y.; An, J.-G.; Gong, X.; Feng, Z.-Q.; Guo, C.-B. Zygomatic Surface Marker-Assisted Surgical Navigation: A New Computer-Assisted Navigation Method for Accurate Treatment of Delayed Zygomatic Fractures. J. Oral Maxillofac. Surg. 2013, 71, 2101–2114. [Google Scholar] [CrossRef] [PubMed]
- Andrews, B.T.; Surek, C.C.; Tanna, N.; Bradley, J.P. Utilization of computed tomography image-guided navigation in orbit fracture repair. Laryngoscope 2013, 123, 1389–1393. [Google Scholar] [CrossRef]
- Zhang, S.; Gui, H.; Lin, Y.; Shen, G.; Xu, B. Navigation-Guided Correction of Midfacial Post-Traumatic Deformities (Shanghai Experience with 40 Cases). J. Oral Maxillofac. Surg. 2012, 70, 1426–1433. [Google Scholar] [CrossRef]
- Markiewicz, M.R.; Dierks, E.J.; Bell, R.B. Does intraoperative navigation restore orbital dimensions in traumatic and post-ablative defects? J. Cranio-Maxillofac. Surg. 2012, 40, 142–148. [Google Scholar] [CrossRef]
- Mazzoni, S.; Badiali, G.; Lancellotti, L.; Babbi, L.; Bianchi, A.; Marchetti, C. Simulation-Guided Navigation. J. Craniofacial Surg. 2010, 21, 1698–1705. [Google Scholar] [CrossRef]
- Zinser, M.J.; Mischkowski, R.A.; Dreiseidler, T.; Thamm, O.C.; Rothamel, D.; Zöller, J.E. Computer-assisted orthognathic surgery: Waferless maxillary positioning, versatility, and accuracy of an image-guided visualisation display. Br. J. Oral Maxillofac. Surg. 2013, 51, 827–833. [Google Scholar] [CrossRef]
- Zinser, M.J.; Sailer, H.F.; Ritter, L.; Braumann, B.; Maegele, M.; Zöller, J.E. A Paradigm Shift in Orthognathic Surgery? A Comparison of Navigation, Computer-Aided Designed/Computer-Aided Manufactured Splints, and “Classic” Intermaxillary Splints to Surgical Transfer of Virtual Orthognathic Planning. J. Oral Maxillofac. Surg. 2013, 71, 2151.e1–2151.e21. [Google Scholar] [CrossRef]
- Feichtinger, M.; Pau, M.; Zemann, W.; Aigner, R.M.; Kärcher, H. Intraoperative control of resection margins in advanced head and neck cancer using a 3D-navigation system based on PET/CT image fusion. J. Cranio-Maxillofac. Surg. 2010, 38, 589–594. [Google Scholar] [CrossRef]
- Schramm, A.; Suarez-Cunqueiro, M.M.; Barth, E.L.; Essig, H.; Bormann, K.-H.; Kokemueller, H.; Rücker, M.; Gellrich, N.-C. Computer-Assisted Navigation in Craniomaxillofacial Tumors. J. Craniofacial Surg. 2008, 19, 1067–1074. [Google Scholar] [CrossRef]
- To, E.W.H.; Yuen, E.H.Y.; Tsang, W.M.; Lai, E.C.H.; Wong, G.K.C.; Sun, D.T.F.; Chan, D.T.M.; Lam, J.M.K.; Ahuja, A.; Poon, W.S. The use of stereotactic navigation guidance in minimally invasive transnasal nasopharyngectomy: A comparison with the conventional open transfacial approach. Br. J. Radiol. 2002, 75, 345–350. [Google Scholar] [CrossRef]
- Gui, H.; Wu, J.; Shen, S.G.; Bautista, J.S.; Voss, P.; Zhang, S. Navigation-Guided Lateral Gap Arthroplasty as the Treatment of Temporomandibular Joint Ankylosis. J. Oral Maxillofac. Surg. 2014, 72, 128–138. [Google Scholar] [CrossRef]
- Yu, H.; Shen, G.; Zhang, S.; Wang, X.; Wang, C.; Lin, Y. Navigation-guided gap arthroplasty in the treatment of temporomandibular joint ankylosis. Int. J. Oral Maxillofac. Surg. 2009, 38, 1030–1035. [Google Scholar] [CrossRef]
- Frodel, J.; Pacheco, E. The Use of Intraoperative Image-Guided Surgical Techniques for Reconstruction of Orbital and Zygomatic Deformities. Facial Plast. Surg. 1999, 15, 83–89. [Google Scholar] [CrossRef]
- Zhang, W.-B.; Mao, C.; Liu, X.-J.; Guo, C.-B.; Yu, G.-Y.; Peng, X. Outcomes of Orbital Floor Reconstruction After Extensive Maxillectomy Using the Computer-Assisted Fabricated Individual Titanium Mesh Technique. J. Oral Maxillofac. Surg. 2015, 73, 2065.e1–2065.e15. [Google Scholar] [CrossRef]
- Rana, M.; Chui, C.H.; Wagner, M.; Zimmerer, R.; Rana, M.; Gellrich, N.-C. Increasing the Accuracy of Orbital Reconstruction With Selective Laser-Melted Patient-Specific Implants Combined With Intraoperative Navigation. J. Oral Maxillofac. Surg. 2015, 73, 1113–1118. [Google Scholar] [CrossRef]
- Catanzaro, S.; Copelli, C.; Manfuso, A.; Tewfik, K.; Pederneschi, N.; Cassano, L.; Cocchi, R. Intraoperative navigation in complex head and neck resections: Indications and limits. Int. J. Comput. Assist. Radiol. Surg. 2016, 12, 881–887. [Google Scholar] [CrossRef]
- Tarsitano, A.; Ricotta, F.; Baldino, G.; Badiali, G.; Pizzigallo, A.; Ramieri, V.; Cascone, P.; Marchetti, C. Navigation-guided resection of maxillary tumours: The accuracy of computer-assisted surgery in terms of control of resection margins—A feasibility study. J. Cranio-Maxillofac. Surg. 2017, 45, 2109–2114. [Google Scholar] [CrossRef]
- Ricotta, F.; Cercenelli, L.; Battaglia, S.; Bortolani, B.; Savastio, G.; Marcelli, E.; Marchetti, C.; Tarsitano, A. Navigation-guided resection of maxillary tumors: Can a new volumetric virtual planning method improve outcomes in terms of control of resection margins? J. Cranio-Maxillofac. Surg. 2018, 46, 2240–2247. [Google Scholar] [CrossRef] [PubMed]
- Strauss, G.; Koulechov, K.; Röttger, S.; Bahner, J.; Trantakis, C.; Hofer, M.; Korb, W.; Burgert, O.; Meixensberger, J.; Manzey, D.; et al. Evaluation of a Navigation System for ENT with Surgical Efficiency Criteria. Laryngoscope 2006, 116, 564–572. [Google Scholar] [CrossRef] [PubMed]
- Batra, P.S.; Kanowitz, S.J.; Citardi, M.J. Clinical Utility of Intraoperative Volume Computed Tomography Scanner for Endoscopic Sinonasal and Skull Base Procedures. Am. J. Rhinol. 2008, 22, 511–515. [Google Scholar] [CrossRef] [PubMed]
- Jackman, A.H.; Palmer, J.N.; Chiu, A.; Kennedy, D.W. Use of Intraoperative CT Scanning in Endoscopic Sinus Surgery: A Preliminary Report. Am. J. Rhinol. 2008, 22, 170–174. [Google Scholar] [CrossRef]
- Muhanna, N.; Douglas, C.M.; Daly, M.J.; Chan, H.H.; Weersink, R.; Townson, J.; Monteiro, E.; Yu, E.; Weimer, E.; Kucharczyk, W.; et al. Evaluating an Image-Guided Operating Room with Cone Beam CT for Skull Base Surgery. J. Neurol. Surg. Part B Skull Base 2020, 82, e306–e314. [Google Scholar] [CrossRef]
- Anand, V.K.; Schwartz, T.H.; Hiltzik, D.H.; Kacker, A. Endoscopic transphenoidal pituitary surgery with real-time intraoperative magnetic resonance imaging. Am. J. Rhinol. 2006, 20, 401–405. [Google Scholar] [CrossRef]
- Nimsky, C.; Keller, B.V.; Ganslandt, O.; Fahlbusch, R. Intraoperative high-field magnetic resonance imaging in transsphenoidal surgery of hormonally inactivepituitary macroadenomas. Neurosurgery 2006, 59, 105–114. [Google Scholar] [CrossRef]
- Berkmann, S.; Schlaffer, S.; Nimsky, C.; Fahlbusch, R.; Buchfelder, M. Intraoperative high-field MRI for transsphenoidal reoperations of nonfunctioning pituitary adenoma. J. Neurosurg. 2014, 121, 1166–1175. [Google Scholar] [CrossRef]
- Ashour, R.; Reintjes, S.; Park, M.S.; Sivakanthan, S.; van Loveren, H.; Agazzi, S. Intraoperative Magnetic Resonance Imaging in Skull Base Surgery: A Review of 71 Consecutive Cases. World Neurosurg. 2016, 93, 183–190. [Google Scholar] [CrossRef]
- Metwali, H.; Samii, A.; Gerganov, V.; Giordano, M.; Fahlbusch, R.; Samii, M. The Significance of Intraoperative Magnetic Resonance Imaging in Resection of Skull Base Chordomas. World Neurosurg. 2019, 128, e185–e194. [Google Scholar] [CrossRef]
- Meola, A.; Cutolo, F.; Carbone, M.; Cagnazzo, F.; Ferrari, M.; Ferrari, V. Augmented reality in neurosurgery: A systematic review. Neurosurg. Rev. 2016, 40, 537–548. [Google Scholar] [CrossRef]
- McJunkin, J.L.; Jiramongkolchai, P.; Chung, W.; Southworth, M.; Durakovic, N.; Buchman, C.A.; Silva, J.R. Development of a Mixed Reality Platform for Lateral Skull Base Anatomy. Otol. Neurotol. 2018, 39, e1137–e1142. [Google Scholar] [CrossRef]
- Lai, M.; Skyrman, S.; Shan, C.; Babic, D.; Homan, R.; Edström, E.; Persson, O.; Burström, G.; Elmi-Terander, A.; Hendriks, B.H.W.; et al. Fusion of augmented reality imaging with the endoscopic view for endonasal skull base surgery; a novel application for surgical navigation based on intraoperative cone beam computed tomography and optical tracking. PLoS ONE 2020, 15, e0227312. [Google Scholar] [CrossRef]
- Bong, J.H.; Song, H.-J.; Oh, Y.; Park, N.; Kim, H.; Park, S. Endoscopic navigation system with extended field of view using augmented reality technology. Int. J. Med. Robot. Comput. Assist. Surg. 2017, 14, e1886. [Google Scholar] [CrossRef]
- Li, L.; Yang, J.; Chu, Y.; Wu, W.; Xue, J.; Liang, P.; Chen, L. A Novel Augmented Reality Navigation System for Endoscopic Sinus and Skull Base Surgery: A Feasibility Study. PLoS ONE 2016, 11, e0146996. [Google Scholar] [CrossRef]
- Citardi, M.J.; Agbetoba, A.; Bigcas, J.-L.; Luong, A. Augmented reality for endoscopic sinus surgery with surgical navigation: A cadaver study. Int. Forum Allergy Rhinol. 2015, 6, 523–528. [Google Scholar] [CrossRef]
- Zeiger, J.; Costa, A.; Bederson, J.; Shrivastava, R.K.; Iloreta, A.M.C. Use of Mixed Reality Visualization in Endoscopic Endonasal Skull Base Surgery. Oper. Neurosurg. 2019, 19, 43–52. [Google Scholar] [CrossRef]
- Ferrari, V.; Carbone, M.; Condino, S.; Cutolo, F. Are augmented reality headsets in surgery a dead end? Expert Rev. Med. Devices 2019, 16, 999–1001. [Google Scholar] [CrossRef]
- Cercenelli, L.; Carbone, M.; Condino, S.; Cutolo, F.; Marcelli, E.; Tarsitano, A.; Marchetti, C.; Ferrari, V.; Badiali, G. The Wearable VOSTARS System for Augmented Reality-Guided Surgery: Preclinical Phantom Evaluation for High-Precision Maxillofacial Tasks. J. Clin. Med. 2020, 9, 3562. [Google Scholar] [CrossRef]
- Daly, M.J.; Chan, H.; Nithiananthan, S.; Qiu, J.; Barker, E.; Bachar, G.; Dixon, B.J.; Irish, J.C.; Siewerdsen, J.H. Clinical implementation of intraoperative cone-beam CT in head and neck surgery. In Medical Imaging 2011: Visualization, Image-Guided Procedures, and Modeling; Wong, K.H., Holmes, D.R., III, Eds.; SPIE: Lake Buena Vista, FL, USA, 2011; Volume 7964, pp. 652–659. [Google Scholar] [CrossRef]
- Haerle, S.K.; Daly, M.J.; Chan, H.; Vescan, A.; Witterick, I.; Gentili, F.; Zadeh, G.; Kucharczyk, W.; Irish, J.C. Localized Intraoperative Virtual Endoscopy (LIVE) for Surgical Guidance in 16 Skull Base Patients. Otolaryngol. Neck Surg. 2014, 152, 165–171. [Google Scholar] [CrossRef]
- Dixon, B.J.; Chan, H.; Vescan, A.D.; Daly, M.J.; Witterick, I.J.; Irish, J.C. The effect of augmented real-time image guidance on task workload during endoscopic sinus surgery. Int. Forum Allergy Rhinol. 2012, 2, 405–410. [Google Scholar] [CrossRef]
- Prisman, E.; Daly, M.; Chan, H.; Siewerdsen, J.H.; Vescan, A.; Irish, J.C. Real-time tracking and virtual endoscopy in cone-beam CT-guided surgery of the sinuses and skull base in a cadaver model. Int. Forum Allergy Rhinol. 2011, 1, 70–77. [Google Scholar] [CrossRef] [PubMed]
- Haerle, S.K.; Daly, M.J.; Chan, H.H.L.; Vescan, A.; Kucharczyk, W.; Irish, J.C. Virtual surgical planning in endoscopic skull base surgery. Laryngoscope 2013, 123, 2935–2939. [Google Scholar] [CrossRef] [PubMed]
- Saraceno, G.; Agosti, E.; Qiu, J.; Buffoli, B.; Ferrari, M.; Raffetti, E.; Belotti, F.; Ravanelli, M.; Mattavelli, D.; Schreiber, A.; et al. Quantitative Anatomical Comparison of Anterior, Anterolateral and Lateral, Microsurgical and Endoscopic Approaches to the Middle Cranial Fossa. World Neurosurg. 2020, 134, e682–e730. [Google Scholar] [CrossRef] [PubMed]
- Schreiber, A.; Mattavelli, D.; Ferrari, M.; Rampinelli, V.; Lancini, D.; Ravanelli, M.; Bertazzoni, G.; Rodella, L.F.; Buffoli, B.; Doglietto, F.; et al. Anterior superior alveolar nerve injury after extended endoscopic medial maxillectomy: A preclinical study to predict neurological morbidity. Int. Forum Allergy Rhinol. 2017, 7, 1014–1021. [Google Scholar] [CrossRef]
- Doglietto, F.; Qiu, J.; Ravichandiran, M.; Radovanovic, I.; Belotti, F.; Agur, A.; Zadeh, G.; Fontanella, M.M.; Kucharczyk, W.; Gentili, F. Quantitative comparison of cranial approaches in the anatomy laboratory: A neuronavigation based research method. World J. Methodol. 2017, 7, 139–147. [Google Scholar] [CrossRef]
- Belotti, F.; Doglietto, F.; Schreiber, A.; Ravanelli, M.; Ferrari, M.; Lancini, D.; Rampinelli, V.; Hirtler, L.; Buffoli, B.; Villaret, A.B.; et al. Modular Classification of Endoscopic Endonasal Transsphenoidal Approaches to Sellar Region: Anatomic Quantitative Study. World Neurosurg. 2018, 109, e281–e291. [Google Scholar] [CrossRef]
- Rampinelli, V.; Agosti, E.; Saraceno, G.; Ferrari, M.; Taboni, S.; Mattavelli, D.; Schreiber, A.; Tomasoni, M.; Gualtieri, T.; Ravanelli, M.; et al. Endoscopic Subtemporal Epidural Key-Hole Approach: Quantitative Anatomic Analysis of Three Surgical Corridors. World Neurosurg. 2021, 152, e128–e137. [Google Scholar] [CrossRef]
- Ferrari, M.; Schreiber, A.; Mattavelli, D.; Lombardi, D.; Rampinelli, V.; Doglietto, F.; Rodella, L.F.; Nicolai, P. Surgical anatomy of the parapharyngeal space: Multiperspective, quantification-based study. Head Neck 2018, 41, 642–656. [Google Scholar] [CrossRef]
- Doglietto, F.; Radovanovic, I.; Ravichandiran, M.; Agur, A.; Zadeh, G.; Qiu, J.; Kucharczyk, W.; Fernandez, E.; Fontanella, M.M.; Gentili, F. Quantification and comparison of neurosurgical approaches in the preclinical setting: Literature review. Neurosurg. Rev. 2016, 39, 357–368. [Google Scholar] [CrossRef]
- Sahovaler, A.; Daly, M.J.; Chan, H.H.; Nayak, P.; Tzelnick, S.; Arkhangorodsky, M.; Qiu, J.; Weersink, R.; Irish, J.C.; Ferguson, P.; et al. Automatic Registration and Error Color Maps to Improve Accuracy for Navigated Bone Tumor Surgery Using Intraoperative Cone-Beam CT. JBJS Open Access 2022, 7, e21.00140. [Google Scholar] [CrossRef]
- Muhanna, N.; Douglas, C.M.; Daly, M.J.; Chan, H.H.L.; Weersink, R.; Qiu, J.; Townson, J.; Msc, J.R.D.A.; Goldstein, D.; Gilbert, R.; et al. The image-guided operating room—Utility and impact on surgeon's performance in the head and neck surgery. Head Neck 2019, 41, 3372–3382. [Google Scholar] [CrossRef]
- Hasan, W.; Daly, M.J.; Chan, H.H.L.; Qiu, J.; Irish, J.C. Intraoperative cone-beam CT-guided osteotomy navigation in mandible and maxilla surgery. Laryngoscope 2019, 130, 1166–1172. [Google Scholar] [CrossRef]
- Muhanna, N.; Chan, H.; Qiu, J.; Daly, M.; Khan, T.; Doglietto, F.; Kucharczyk, W.; Goldstein, D.P.; Irish, J.C.; de Almeida, J.R. Volumetric Analysis of Endoscopic and Maxillary Swing Surgical Approaches for Nasopharyngectomy. J. Neurol. Surg. Part B Skull Base 2018, 79, 466–474. [Google Scholar] [CrossRef]
- Enquobahrie, A.; Cheng, P.; Gary, K.; Ibanez, L.; Gobbi, D.; Lindseth, F.; Yaniv, Z.; Aylward, S.; Jomier, J.; Cleary, K. The Image-Guided Surgery Toolkit IGSTK: An Open Source C++ Software Toolkit. J. Digit. Imaging 2007, 20, 21–33. [Google Scholar] [CrossRef]
- Ferrari, M.; Daly, M.J.; Douglas, C.M.; Chan, H.H.; Qiu, J.; Deganello, A.; Taboni, S.; Thomas, C.M.; Sahovaler, A.; Jethwa, A.R.; et al. Navigation-guided osteotomies improve margin delineation in tumors involving the sinonasal area: A preclinical study. Oral Oncol. 2019, 99, 104463. [Google Scholar] [CrossRef]
- Taboni, S.; Ferrari, M.; Daly, M.J.; Chan, H.H.L.; Eu, D.; Gualtieri, T.; Jethwa, A.R.; Sahovaler, A.; Sewell, A.; Hasan, W.; et al. Navigation-Guided Transnasal Endoscopic Delineation of the Posterior Margin for Maxillary Sinus Cancers: A Preclinical Study. Front. Oncol. 2021, 11, 4502. [Google Scholar] [CrossRef]
- Nwagu, U.; Swendseid, B.; Ross, H.; Ganti, R.; Kane, A.; Curry, J.M. Maxillectomy Reconstruction Revision Using Virtual Surgical Planning and Intraoperative Navigation. Laryngoscope 2021, 131, E2655–E2659. [Google Scholar] [CrossRef]
- Toto, J.M.; Chang, E.I.; Agag, R.; Devarajan, K.; Patel, S.A.; Topham, N.S. Improved operative efficiency of free fibula flap mandible reconstruction with patient-specific, computer-guided preoperative planning. Head Neck 2015, 37, 1660–1664. [Google Scholar] [CrossRef]
- Roser, S.M.; Ramachandra, S.; Blair, H.; Grist, W.; Carlson, G.W.; Christensen, A.M.; Weimer, K.A.; Steed, M.B. The Accuracy of Virtual Surgical Planning in Free Fibula Mandibular Reconstruction: Comparison of Planned and Final Results. J. Oral Maxillofac. Surg. 2010, 68, 2824–2832. [Google Scholar] [CrossRef]
- Hanasono, M.M.; Skoracki, R.J. Computer-assisted design and rapid prototype modeling in microvascular mandible reconstruction. Laryngoscope 2012, 123, 597–604. [Google Scholar] [CrossRef] [PubMed]
- Rodby, K.A.; Turin, S.; Jacobs, R.J.; Cruz, J.F.; Hassid, V.J.; Kolokythas, A.; Antony, A.K. Advances in oncologic head and neck reconstruction: Systematic review and future considerations of virtual surgical planning and computer aided design/computer aided modeling. J. Plast. Reconstr. Aesthetic Surg. 2014, 67, 1171–1185. [Google Scholar] [CrossRef] [PubMed]
- Sahovaler, A.; Chan, H.H.L.; Gualtieri, T.; Daly, M.; Ferrari, M.; Vannelli, C.; Eu, D.; Manojlovic-Kolarski, M.; Orzell, S.; Taboni, S.; et al. Augmented Reality and Intraoperative Navigation in Sinonasal Malignancies: A Preclinical Study. Front. Oncol. 2021, 11, 4507. [Google Scholar] [CrossRef] [PubMed]
- Meulstee, J.W.; Nijsink, J.; Schreurs, R.; Verhamme, L.M.; Xi, T.; Delye, H.H.K.; Borstlap, W.A.; Maal, T.J.J. Toward Holographic-Guided Surgery. Surg. Innov. 2018, 26, 86–94. [Google Scholar] [CrossRef]
- Chan, H.H.L.; Haerle, S.K.; Daly, M.J.; Zheng, J.; Philp, L.; Ferrari, M.; Douglas, C.M.; Irish, J.C. An integrated augmented reality surgical navigation platform using multi-modality imaging for guidance. PLoS ONE 2021, 16, e0250558. [Google Scholar] [CrossRef]
- Chan, H.H.L.; Sahovaler, A.; Daly, M.J.; Ferrari, M.; Franz, L.; Gualtieri, T.; Tzelnick, S.; Eu, D.; Manojlovic-Kolarski, M.; Berania, I.; et al. Projected cutting guides using an augmented reality system to improve surgical margins in maxillectomies: A preclinical study. Oral Oncol. 2022, 127, 105775. [Google Scholar] [CrossRef]
- Bernstein, J.M.; Daly, M.; Chan, H.; Qiu, J.; Goldstein, D.; Muhanna, N.; De Almeida, J.R.; Irish, J.C. Accuracy and reproducibility of virtual cutting guides and 3D-navigation for osteotomies of the mandible and maxilla. PLoS ONE 2017, 12, e0173111. [Google Scholar] [CrossRef]





Disclaimer/Publisher’s Note: The statements, opinions and data contained in all publications are solely those of the individual author(s) and contributor(s) and not of MDPI and/or the editor(s). MDPI and/or the editor(s) disclaim responsibility for any injury to people or property resulting from any ideas, methods, instructions or products referred to in the content. |
© 2023 by the authors. Licensee MDPI, Basel, Switzerland. This article is an open access article distributed under the terms and conditions of the Creative Commons Attribution (CC BY) license (https://creativecommons.org/licenses/by/4.0/).
Share and Cite
Tzelnick, S.; Rampinelli, V.; Sahovaler, A.; Franz, L.; Chan, H.H.L.; Daly, M.J.; Irish, J.C. Skull-Base Surgery—A Narrative Review on Current Approaches and Future Developments in Surgical Navigation. J. Clin. Med. 2023, 12, 2706. https://doi.org/10.3390/jcm12072706
Tzelnick S, Rampinelli V, Sahovaler A, Franz L, Chan HHL, Daly MJ, Irish JC. Skull-Base Surgery—A Narrative Review on Current Approaches and Future Developments in Surgical Navigation. Journal of Clinical Medicine. 2023; 12(7):2706. https://doi.org/10.3390/jcm12072706
Chicago/Turabian StyleTzelnick, Sharon, Vittorio Rampinelli, Axel Sahovaler, Leonardo Franz, Harley H. L. Chan, Michael J. Daly, and Jonathan C. Irish. 2023. "Skull-Base Surgery—A Narrative Review on Current Approaches and Future Developments in Surgical Navigation" Journal of Clinical Medicine 12, no. 7: 2706. https://doi.org/10.3390/jcm12072706
APA StyleTzelnick, S., Rampinelli, V., Sahovaler, A., Franz, L., Chan, H. H. L., Daly, M. J., & Irish, J. C. (2023). Skull-Base Surgery—A Narrative Review on Current Approaches and Future Developments in Surgical Navigation. Journal of Clinical Medicine, 12(7), 2706. https://doi.org/10.3390/jcm12072706

