Body Stalk Anomaly Complicated by Ectopia Cordis: First-Trimester Diagnosis of Two Cases Using 2- and 3-Dimensional Sonography
Abstract
1. Introduction
2. Cases Description
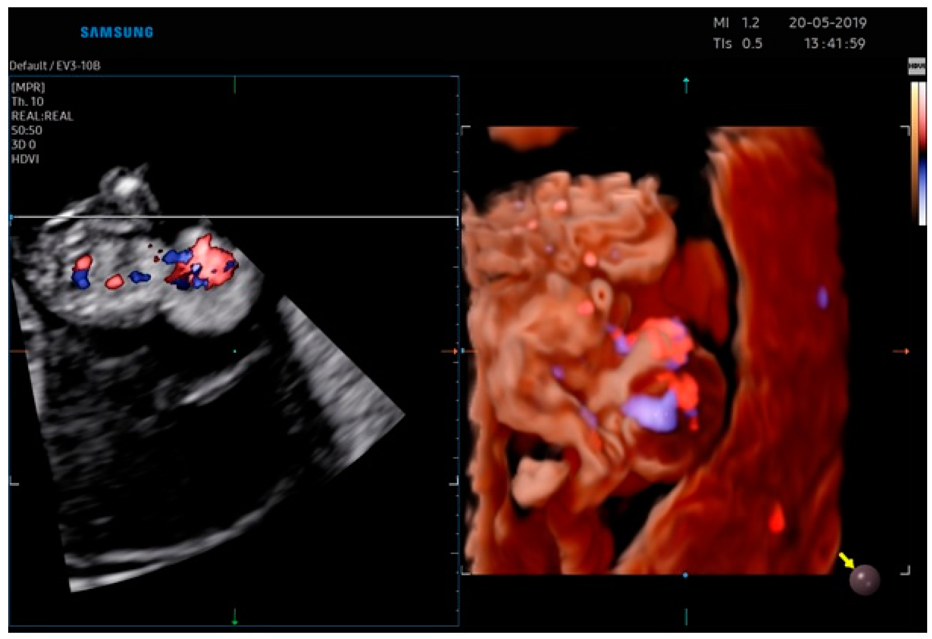
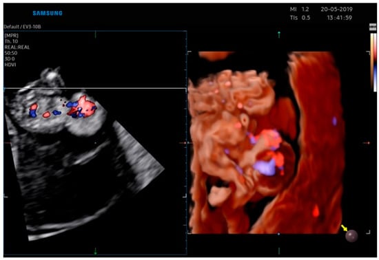
2.1. Case Report 1
2.2. Case Report 2
3. Discussion
- -
- Exencephaly, or facial clefts, or encephalocele;
- -
- Thoraco or abdominoschisis;
- -
- Limb defects.
- -
- Cervical (3% of cases);
- -
- Thoracic (60% of cases);
- -
- Thoracoabdominal (7% of cases);
- -
- Abdominal (30% of cases).
4. Conclusions
Supplementary Materials
Author Contributions
Funding
Institutional Review Board Statement
Informed Consent Statement
Data Availability Statement
Acknowledgments
Conflicts of Interest
References
- Van Allen, M.I.; Curry, C.; Gallagher, L. Limb-body wall complex, I: Pathogenesis. Am. J. Med. Genet. 1987, 28, 529–548. [Google Scholar] [CrossRef] [PubMed]
- Van Allen, M.I.; Curry, C.; Walden, C.E.; Gallagher, L.; Patten, R.M. Limb-body wall complex, II: Limb and spine defects. Am. J. Med. Genet. 1987, 28, 549–565. [Google Scholar] [CrossRef] [PubMed]
- Daskalakis, G.; Sebire, N.J.; Jurkovic, D.; Snijders, R.J.M.; Nicolaides, K.H. Body stalk anomaly at 10–14 weeks’ gestation. Ultrasound Obstet. Gynecol. 1997, 10, 416–418. [Google Scholar] [CrossRef]
- Smrcek, J.M.; Germer, U.; Krokowski, M.; Berg, C.; Krapp, M.; Geipel, A.; Gembruch, U. Prenatal ultrasound diagnosis and management of body stalk anomaly: Analysis of nine singleton and two multiple pregnancies. Ultrasound Obstet. Gynecol. 2003, 21, 322–328. [Google Scholar] [CrossRef]
- Sepulveda, W.; Wong, A.E.; Simonetti, L.; Gomez, E.; Dezerega, V.; Gutierrez, J. Ectopia cordis in a first-trimester sonographic screening program for aneuploidy. J. Ultrasound Med. 2013, 32, 865–871. [Google Scholar] [CrossRef]
- Murphy, A.; Platt, L.D. First-trimester diagnosis of body stalk anomaly using 2- and 3-dimensional sonography. J. Ultrasound Med. 2011, 30, 1739–1743. [Google Scholar] [CrossRef] [PubMed]
- Singh, A.; Singh, J.; Gupta, K. Body stalk anomaly: Antenatal sonographic diagnosis of this rare entity with review of literature. J. Ultrason. 2017, 17, 133–135. [Google Scholar] [CrossRef]
- Shibata, Y.; Terada, K.; Igarashi, M.; Suzuki, S. Body stalk anomaly complicated by ectopia cordis in the first trimester. J. Clin. Diagn. Res. 2014, 8, OD06–OD07. [Google Scholar]
- Tsirka, A.; Korkontzelos, I.; Diamantopoulos, P.; Tsirkas, P.; Stefos, T. Prenatal diagnosis of body stalk anomaly in the first trimester of pregnancy. J. Matern. Fetal Neonatal Med. 2007, 20, 183–184. [Google Scholar] [CrossRef]
- Takeuchi, K.; Fujita, I.; Nakajima, K.; Kitagaki, S.; Koketsu, I. Body stalk anomaly: Prenatal diagnosis. Int. J. Gynaecol. Obstet. 1995, 51, 49–52. [Google Scholar] [CrossRef] [PubMed]
- Morrow, R.J.; Whittle, M.J.; McNay, M.B.; Raine, P.A.; Gibson, A.A.; Crossley, J. Prenatal diagnosis and management of anterior abdominal wall defects in the west of Scotland. Prenat. Diagn. 1993, 13, 111–115. [Google Scholar] [CrossRef] [PubMed]
- Routhu, M.; Thakkallapelli, S.; Mohan, P.; Ahmed, N. Role of Ultrasound in Body Stalk Anomaly and Amniotic Band Syndrome. Int. J. Reprod. Med. 2016, 2016, 3974139. [Google Scholar] [CrossRef]
- Viscarello, R.R.; Ferguson, D.D.; Nores, J.; Hobbins, J.C. Limb-body wall complex associated with cocaine abuse: Further evidence of cocaine’s teratogenicity. Obstet. Gynecol. 1992, 80, 523–526. [Google Scholar] [PubMed]
- Bianchi, D.; Crombleholme, T.; D’Alton, M. Body stalk anomaly. In Fetology: Diagnosis and Management of the Fetal Patient; McGraw-Hill: New York, NY, USA, 2000; pp. 453–456. [Google Scholar]
- Chan, Y.; Silverman, N.; Jackson, L.; Wapner, R.; Wallerstein, R. Maternal uniparental disomy of chromosome 16 and body stalk anomaly. Am. J. Med. Genet. 2000, 94, 284–286. [Google Scholar] [CrossRef] [PubMed]
- Quijano, F.E.; Rey, M.M.; Echeverry, M.; Axt-Fliedner, R. Body stalk anomaly in a 9-week pregnancy. Case Rep. Obstet. Gynecol. 2014, 2014, 357285. [Google Scholar] [CrossRef]
- Costa, M.L.; Couto, E.; Furlan, E.; Zaccaria, R.; Andrade, K.; Barini, R.; Nomura, M.L. Body stalk anomaly: Adverse maternal outcomes in a series of 21 cases. Prenat. Diagn. 2012, 32, 264–267. [Google Scholar] [CrossRef]
- Bianchi, D.W.; Crombleholme, T.M.; D’Alton, M.E.; Malone, F.D. (Eds.) Ectopia cordis. In Fetology: Diagnosis and Management of the Fetal Patient; McGraw-Hill: New York, NY, USA, 2010; pp. 411–415. [Google Scholar]
- Amato, J.J.; Douglas, W.I.; Desai, U.; Burke, S. Ectopia cordis. Chest Surg. Clin. N. Am. 2000, 10, 297–316. [Google Scholar]
- Liang, R.I.; Huang, S.E.; Chang, F.M. Prenatal diagnosis of ectopia cordis at 10 weeks of gestation using two-dimensional and three-dimensional ultra-sonography. Ultrasound Obstet. Gynecol. 1997, 10, 137–139. [Google Scholar] [CrossRef]
- Sadler, T.W. The embryologic origin of ventral body wall defects. Semin. Pediatr. Surg. 2010, 19, 209–214. [Google Scholar] [CrossRef]
- Syngelaki, A.; Chelemen, T.; Dagklis, T.; Allan, L.; Nicolaides, K.H. Challenges in the diagnosis of fetal non-chromosomal abnormalities at 11-13 weeks. Prenat. Diagn. 2011, 31, 90–102. [Google Scholar] [CrossRef]
- Kähler, C.; Humbsch, K.; Schneider, U.; Seewald, H.J. A case report of body stalk anomaly complicating a twin pregnancy. Arch. Gynecol. Obstet. 2003, 268, 245–247. [Google Scholar] [CrossRef] [PubMed]
- Luehr, B.; Lipsett, J.; Quinlivan, J.A. Limb-body wall complex: A case series. J. Matern. Fetal Neonatal Med. 2002, 12, 132–137. [Google Scholar] [PubMed]
- Daskalakis, G.J.; Nicolaides, K.H. Monozygotic twins discordant for body stalk anomaly. Ultrasound Obstet. Gynecol. 2002, 20, 79–81. [Google Scholar] [CrossRef] [PubMed]






Disclaimer/Publisher’s Note: The statements, opinions and data contained in all publications are solely those of the individual author(s) and contributor(s) and not of MDPI and/or the editor(s). MDPI and/or the editor(s) disclaim responsibility for any injury to people or property resulting from any ideas, methods, instructions or products referred to in the content. |
© 2023 by the authors. Licensee MDPI, Basel, Switzerland. This article is an open access article distributed under the terms and conditions of the Creative Commons Attribution (CC BY) license (https://creativecommons.org/licenses/by/4.0/).
Share and Cite
Pappalardo, E.; Gulino, F.A.; Ettore, C.; Cannone, F.; Ettore, G. Body Stalk Anomaly Complicated by Ectopia Cordis: First-Trimester Diagnosis of Two Cases Using 2- and 3-Dimensional Sonography. J. Clin. Med. 2023, 12, 1896. https://doi.org/10.3390/jcm12051896
Pappalardo E, Gulino FA, Ettore C, Cannone F, Ettore G. Body Stalk Anomaly Complicated by Ectopia Cordis: First-Trimester Diagnosis of Two Cases Using 2- and 3-Dimensional Sonography. Journal of Clinical Medicine. 2023; 12(5):1896. https://doi.org/10.3390/jcm12051896
Chicago/Turabian StylePappalardo, Elisa, Ferdinando Antonio Gulino, Carla Ettore, Francesco Cannone, and Giuseppe Ettore. 2023. "Body Stalk Anomaly Complicated by Ectopia Cordis: First-Trimester Diagnosis of Two Cases Using 2- and 3-Dimensional Sonography" Journal of Clinical Medicine 12, no. 5: 1896. https://doi.org/10.3390/jcm12051896
APA StylePappalardo, E., Gulino, F. A., Ettore, C., Cannone, F., & Ettore, G. (2023). Body Stalk Anomaly Complicated by Ectopia Cordis: First-Trimester Diagnosis of Two Cases Using 2- and 3-Dimensional Sonography. Journal of Clinical Medicine, 12(5), 1896. https://doi.org/10.3390/jcm12051896

