Different Morphology of Branching Neovascular Network in Polypoidal Choroidal Vasculopathy: A Swept-Source Optical Coherence Tomography Angiography Study
Abstract
1. Background
2. Methods
3. Statistical Analysis
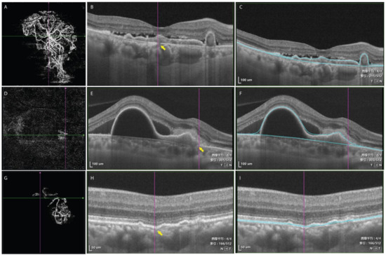
4. Results
5. Discussion
6. Conclusions
Author Contributions
Funding
Institutional Review Board Statement
Informed Consent Statement
Data Availability Statement
Conflicts of Interest
Abbreviations
| BNN | branching neovascular network |
| PCV | polypoidal choroidal vasculopathy |
| SS-OCTA | swept-source optical coherence tomography angiography |
| PED | pigment epithelial detachment |
| SRF | subretinal fluid |
| AMD | age-related macular degeneration |
| ICGA | indocyanine green angiography |
| APOIS | Asia–Pacific Ocular Imaging Society |
| SD-OCT | spectral-domain optical coherence tomography |
| FA | fluorescein angiography |
| BCVA | best corrective visual acuity |
| VEGF | vascular endothelial growth factor |
| CMT | central macular thickness |
| CCT | central choroidal thickness |
| ETDRS | Early Treatment of Diabetic Retinopathy Study |
| CVI | choroidal vascularity index |
| PDT | photodynamic therapy |
References
- Yannuzzi, L.A.; Sorenson, J.; Spaide, R.F.; Lipson, B. Idiopathic polypoidal choroidal vasculopathy (IPCV). Retina 1990, 10, 1–8. [Google Scholar] [CrossRef] [PubMed]
- Yannuzzi, L.A.; Wong, D.W.; Sforzolini, B.S.; Goldbaum, M.; Tang, K.C.; Spaide, R.F.; Freund, K.B.; Slakter, J.S.; Guyer, D.R.; Sorenson, J.A.; et al. Polypoidal choroidal vasculopathy and neovascularized age-related macular degeneration. Arch. Ophthalmol. 1999, 117, 1503–1510. [Google Scholar] [CrossRef] [PubMed]
- Yannuzzi, L.A.; Ciardella, A.; Spaide, R.F.; Rabb, M.; Freund, K.B.; Orlock, D.A. The expanding clinical spectrum of idiopathic polypoidal choroidal vasculopathy. Arch. Ophthalmol. 1997, 115, 478–485. [Google Scholar] [CrossRef] [PubMed]
- van Dijk, E.H.C.; Holtz, J.K.; Sirks, M.J.; Larsson, J.M.E.; Diederen, R.M.H.; Schlingemann, R.O.; Boon, C.J.F.; Subhi, Y. European Prevalence of Polypoidal Choroidal Vasculopathy: A Systematic Review, Meta-Analysis, and Forecasting Study. J. Clin. Med. 2022, 11, 4766. [Google Scholar] [CrossRef] [PubMed]
- Dat, D.T.; Hien, N.D.T.N.; Quan, N.N.; Tung, M.Q.; Tam, H.C.; Hung, B.V. Current Trends in Clinical Characteristics, Diagnosis, and Treatment of Polypoidal Choroidal Vasculopathy: A Perspective from Vietnam. J. Clin. Med. 2022, 11, 4678. [Google Scholar] [CrossRef] [PubMed]
- Li, Y.; You, Q.S.; Wei, W.B.; Xu, J.; Chen, C.X.; Wang, Y.X.; Xu, L.; Jonas, J.B. Polypoidal choroidal vasculopathy in adult Chinese: The Beijing Eye Study. Ophthalmology 2014, 121, 2290–2291. [Google Scholar] [CrossRef]
- Chen, Z.J.; Lu, S.Y.; Rong, S.S.; Ho, M.; Ng, D.S.; Chen, H.; Gong, B.; Yam, J.C.; Young, A.L.; Brelen, M.; et al. Genetic associations of central serous chorioretinopathy: A systematic review and meta-analysis. Br. J. Ophthalmol. 2022, 106, 1542–1548. [Google Scholar] [CrossRef]
- Holtz, J.K.; Larsson, J.M.E.; Hansen, M.S.; van Dijk, E.H.C.; Subhi, Y. Pachychoroid Spectrum Diseases in Patients with Cushing’s Syndrome: A Systematic Review with Meta-Analyses. J. Clin. Med. 2022, 11, 4437. [Google Scholar] [CrossRef]
- Balaratnasingam, C.; Lee, W.K.; Koizumi, H.; Dansingani, K.; Inoue, M.; Freund, K.B. Polypoidal Choroidal Vasculopathy: A Distinct Disease or Manifestation of Many? Retina 2016, 36, 1–8. [Google Scholar] [CrossRef]
- Spaide, R.F.; Yannuzzi, L.A.; Slakter, J.S.; Sorenson, J.; Orlach, D.A. Indocyanine green videoangiography of idiopathic polypoidal choroidal vasculopathy. Retina 1995, 15, 100–110. [Google Scholar] [CrossRef]
- Cheung, C.M.G.; Lai, T.Y.Y.; Ruamviboonsuk, P.; Chen, S.J.; Chen, Y.; Freund, K.B.; Gomi, F.; Koh, A.H.; Lee, W.K.; Wong, T.Y. Polypoidal Choroidal Vasculopathy: Definition, Pathogenesis, Diagnosis, and Management. Ophthalmology 2018, 125, 708–724. [Google Scholar] [CrossRef] [PubMed]
- Cheung, C.M.G.; Yanagi, Y.; Akiba, M.; Tan, A.; Mathur, R.; Chan, C.M.; Yeo, I.; Wong, T.Y. Improved detection and diagnosis of polypoidal choroidal vasculopathy using a combination of optical coherence tomography and optical coherence tomography angiography. Retina 2019, 39, 1655–1663. [Google Scholar] [CrossRef] [PubMed]
- Azar, G.; Vasseur, V.; Lahoud, C.; Favard, C.; De Bats, F.; Cochereau, I.; Yachvitz, A.; Mauget-Faÿsse, M. Polypoidal Choroidal Vasculopathy Diagnosis and Neovascular Activity Evaluation Using Optical Coherence Tomography Angiography. Biomed. Res. Int. 2021, 2021, 1637377. [Google Scholar] [CrossRef]
- Kim, K.; Yang, J.; Feuer, W.; Gregori, G.; Kim, E.S.; Rosenfeld, P.J.; Yu, S.Y. A Comparison Study of Polypoidal Choroidal Vasculopathy Imaged with Indocyanine Green Angiography and Swept-Source Optical Coherence Tomography Angiography. Am. J. Ophthalmol. 2020, 217, 240–251. [Google Scholar] [CrossRef] [PubMed]
- Tan, C.S.; Ting, D.S.; Lim, L.W. Multicolor Fundus Imaging of Polypoidal Choroidal Vasculopathy. Ophthalmol. Retin. 2019, 3, 400–409. [Google Scholar] [CrossRef] [PubMed]
- Cheung, C.M.G.; Lai, T.Y.Y.; Teo, K.; Ruamviboonsuk, P.; Chen, S.J.; Kim, J.E.; Gomi, F.; Koh, A.H.; Kokame, G.; Jordan-Yu, J.M.; et al. Polypoidal Choroidal Vasculopathy: Consensus Nomenclature and Non-Indocyanine Green Angiography Diagnostic Criteria from the Asia-Pacific Ocular Imaging Society PCV Workgroup. Ophthalmology 2021, 128, 443–452. [Google Scholar] [CrossRef]
- Meleppat, R.K.; Fortenbach, C.R.; Jian, Y.; Martinez, E.S.; Wagner, K.; Modjtahedi, B.S.; Motta, M.J.; Ramamurthy, D.L.; Schwab, I.R.; Zawadzki, R.J. In Vivo Imaging of Retinal and Choroidal Morphology and Vascular Plexuses of Vertebrates Using Swept-Source Optical Coherence Tomography. Transl. Vis. Sci. Technol. 2022, 11, 11. [Google Scholar] [CrossRef]
- de Carlo, T.E.; Romano, A.; Waheed, N.K.; Duker, J.S. A review of optical coherence tomography angiography (OCTA). Int. J. Retin. Vitreous. 2015, 1, 5. [Google Scholar] [CrossRef]
- Meleppat, R.K.; Ronning, K.E.; Karlen, S.J.; Burns, M.E.; Pugh, E.N., Jr.; Zawadzki, R.J. In vivo multimodal retinal imaging of disease-related pigmentary changes in retinal pigment epithelium. Sci. Rep. 2021, 11, 16252. [Google Scholar] [CrossRef]
- Miller, A.R.; Roisman, L.; Zhang, Q.; Zheng, F.; Rafael de Oliveira Dias, J.; Yehoshua, Z.; Schaal, K.B.; Feuer, W.; Gregori, G.; Chu, Z.; et al. Comparison between spectral-domain and swept-source optical coherence tomography angiographic imaging of choroidal neovascularization. Investig. Ophthalmol. Vis. Sci. 2017, 58, 1499–1505. [Google Scholar] [CrossRef]
- Rebhun, C.B.; Moult, E.M.; Novais, E.A.; Moreira-Neto, C.; Ploner, S.B.; Louzada, R.N.; Lee, B.; Baumal, C.R.; Fujimoto, J.G.; Duker, J.S.; et al. Polypoidal choroidal vasculopathy on swept-source optical coherence tomography angiography with variable interscan time analysis. Transl. Vis. Sci. Technol. 2017, 6, 4. [Google Scholar] [CrossRef] [PubMed]
- Kawamura, A.; Yuzawa, M.; Mori, R.; Haruyama, M.; Tanaka, K. Indocyanine green angiographic and optical coherence tomographic findings support classification of polypoidal choroidal vasculopathy into two types. Acta Ophthalmol. 2013, 91, e474–e481. [Google Scholar] [CrossRef] [PubMed]
- Jang, J.W.; Kim, J.M.; Kang, S.W.; Kim, S.J.; Bae, K.; Kim, K.T. Typical polypoidal choroidal vasculopathy and polypoidal choroidal neovascularization. Retina 2019, 39, 1995–2003. [Google Scholar] [CrossRef] [PubMed]
- Baek, J.; Lee, J.H.; Lee, K.; Chung, B.J.; Lee, W.K. Clinical outcome of polypoidal choroidal vasculopathy/aneurysmal type 1 neovascularization according to choroidal vascular morphology. Retina 2020, 40, 2166–2174. [Google Scholar] [CrossRef]
- Liu, Z.Y.; Li, B.; Xia, S.; Chen, Y.X. Analysis of choroidal morphology and comparison of imaging findings of subtypes of polypoidal choroidal vasculopathy: A new classification system. Int. J. Ophthalmol. 2020, 13, 731–736. [Google Scholar] [CrossRef]
- Venkatesh, R.; Gadde, S.G.K.; Pereira, A.; Singh, V.; Sangai, S.; Sridharan, A.; Bavaharan, B.; Jain, N.; Yadav, N.K. Impact of sub-foveal choroidal thickness on clinical features and long-term clinical outcomes in polypoidal choroidal vasculopathy. Int. Ophthalmol. 2021, 41, 87–97. [Google Scholar] [CrossRef]
- Huang, C.H.; Yeh, P.T.; Hsieh, Y.T.; Ho, T.C.; Yang, C.M.; Yang, C.H. Characterizing Branching Vascular Network Morphology in Polypoidal Choroidal Vasculopathy by Optical Coherence Tomography Angiography. Sci. Rep. 2019, 9, 595. [Google Scholar] [CrossRef]
- Ma, S.T.; Huang, C.H.; Chang, Y.C.; Lai, T.T.; Hsieh, Y.T.; Ho, T.C.; Yang, C.M.; Cheng, C.G.; Yang, C.H. Clinical features and prognosis of polypoidal choroidal vasculopathy with different morphologies of branching vascular network on optical coherence tomography angiography. Sci. Rep. 2021, 11, 17848. [Google Scholar] [CrossRef]
- Koh, A.; Lee, W.K.; Chen, L.J.; Chen, S.J.; Hashad, Y.; Kim, H.; Lai, T.Y.; Pilz, S.; Ruamviboonsuk, P.; Tokaji, E.; et al. EVEREST study: Efficacy and safety of verteporfin photodynamic therapy in combination with ranibizumab or alone versus ranibizumab monotherapy in patients with symptomatic macular polypoidal choroidal vasculopathy. Retina 2012, 32, 1453–1464. [Google Scholar] [CrossRef]
- Inoue, M.; Balaratnasingam, C.; Freund, K.B. Optical coherence tomography angiography of polypoidal choroidal vasculopathy and polypoidal choroidal neovascularization. Retina 2015, 35, 2265–2274. [Google Scholar] [CrossRef]
- Srour, M.; Querques, G.; Semoun, O.; El Ameen, A.; Miere, A.; Sikorav, A.; Zambrowski, O.; Souied, E.H. Optical coherence tomography angiography characteristics of polypoidal choroidal vasculopathy. Br. J. Ophthalmol. 2016, 100, 1489–1493. [Google Scholar] [CrossRef] [PubMed]
- Bo, Q.; Yan, Q.; Shen, M.; Song, M.; Sun, M.; Yu, Y.; Rosenfeld, P.J.; Wang, F.; Sun, X. Appearance of Polypoidal Lesions in Patients with Polypoidal Choroidal Vasculopathy Using Swept-Source Optical Coherence Tomographic Angiography. JAMA Ophthalmol. 2019, 137, 642–650. [Google Scholar] [CrossRef]
- Cheung, C.M.G.; Yanagi, Y.; Mohla, A.; Lee, S.Y.; Mathur, R.; Chan, C.M.; Yeo, I.; Wong, T.Y. Characterization and differentiation of polypoidal choroidal vasculopathy using swept source optical coherence tomography angiography. Retina 2017, 37, 1464–1474. [Google Scholar] [CrossRef] [PubMed]
- Fujita, A.; Kataoka, K.; Takeuchi, J.; Nakano, Y.; Horiguchi, E.; Kaneko, H.; Ito, Y.; Terasaki, H. Diagnostic characteristics of polypoidal choroidal vasculopathy based on B-scan swept-source optical coherence tomography angiography and its interrater agreement compared with indocyanine green angiography. Retina 2020, 40, 2296–2303. [Google Scholar] [CrossRef] [PubMed]
- Coscas, G.; Lupidi, M.; Coscas, F.; Benjelloun, F.; Zerbib, J.; Dirani, A.; Semoun, O.; Souied, E.H. Toward a specific classification of polypoidal choroidal vasculopathy: Idiopathic disease or subtype of age-related macular degeneration. Investig. Ophthalmol. Vis. Sci. 2015, 56, 3187–3195. [Google Scholar] [CrossRef] [PubMed]
- van Dijk, E.H.C.; Mohabati, D.; Veselinovic, S.; Chung, W.H.; Dijkman, G.; Boon, C.J.F. The spectrum of polypoidal choroidal vasculopathy in Caucasians: Clinical characteristics and proposal of a classification. Graefes Arch. Clin. Exp. Ophthalmol. 2021, 259, 351–361. [Google Scholar] [CrossRef]
- Tan, C.S.; Ngo, W.K.; Lim, L.W.; Lim, T.H. A novel classification of the vascular patterns of polypoidal choroidal vasculopathy and its relation to clinical outcomes. Br. J. Ophthalmol. 2014, 98, 1528–1533. [Google Scholar] [CrossRef]
- Tan, C.S.; Ngo, W.K.; Lim, L.W.; Tan, N.W.; Lim, T.H. EVEREST study report 4: Fluorescein angiography features predictive of polypoidal choroidal vasculopathy. Clin. Exp. Ophthalmol. 2019, 47, 614–620. [Google Scholar] [CrossRef]
- Tan, C.S.; Lim, L.W.; Ngo, W.K.; EVEREST Study Group. EVEREST Report 5: Clinical Outcomes and Treatment Response of Polypoidal Choroidal Vasculopathy Subtypes in a Multicenter, Randomized Controlled Trial. Investig. Ophthalmol. Vis. Sci. 2018, 59, 889–896. [Google Scholar] [CrossRef]
- Yeung, L.; Lai, C.C.; Chen, S.N.; Cheng, C.K.; Yang, C.M.; Hsieh, Y.T.; Tsai, A.; Yang, C.H. Comparison of visual outcomes between therapy choices and subtypes of polypoidal choroidal vasculopathy (PCV) in Taiwan: A real-world study. Sci. Rep. 2021, 11, 470. [Google Scholar] [CrossRef]
- Lorentzen, T.D.; Subhi, Y.; Sørensen, T.L. Prevalence of polypoidal choroidal vasculopathy in white patients with exudative age-related macular degeneration: Systematic Review and Meta-Analysis. Retina 2018, 38, 2363–2371. [Google Scholar] [CrossRef] [PubMed]
- Jordan-Yu, J.M.; Teo, K.; Fan, Q.; Gana, J.C.; Leopando, A.K.; Nunes, S.; Farinha, C.; Barreto, P.; Melo, J.B.; Carreira, I.; et al. T and genetic variations between Asian and Caucasian polypoidal choroidal vasculopathy. Br. J. Ophthalmol. 2021, 105, 1716–1723. [Google Scholar] [CrossRef] [PubMed]




| Type1 (n = 11) | Type2 (n = 6) | Type3 (n = 15) | p Value | |
|---|---|---|---|---|
| Age (year) | 65.8 ± 6.6 | 66.0 ± 7.8 | 65.5 ± 9.3 | 0.989 |
| Gender (male%) | 45% | 50% | 60% | 0.753 |
| BCVA (logMAR) | 0.555 ± 0.416 | 0.624 ± 0.283 | 0.397 ± 0.325 | 0.268 |
| OCT-CMT (μm) | 341 ± 138 | 395 ± 140 | 281 ± 81 | 0.117 $ |
| OCT-CCT (μm) | 341 ± 131 | 344 ± 119 | 320 ± 102 | 0.995 |
| OCTA-BNN area (mm2) | 6.827 ± 3.115 | 3.722 ± 1.997 | 1.710 ± 1.213 | <0.001 * |
| OCTA-polyp number | 5.09 ± 3.18 | 3.00 ± 1.67 | 2.33 ± 1.50 | 0.027 ** |
| OCT-PED height (μm) | 400 ± 129 | 394 ± 198 | 304 ± 191 | 0.105 |
| OCT-PED volume (mm3) | 1.088 ± 0.788 | 1.997 ± 1.714 | 0.802 ± 1.233 | 0.082 |
| OCT-PED area (mm2) | 12.879 ± 5.527 | 15.872 ± 10.097 | 8.722 ± 5.490 | 0.076 |
| OCT-SRF area (mm2) | 7.935 ± 5.597 | 11.786 ± 8.624 | 4.998 ± 5.545 | 0.093 |
| OCT-SRF volume (mm3) | 0.675 ± 0.655 | 1.119 ± 1.217 | 0.435 ± 0.650 | 0.203 |
| CVI | 0.36 ± 0.10 | 0.32 ± 0.11 | 0.35 ± 0.10 | 0.800 |
| Type1 (n = 11) | Type2 (n = 6) | Type3 (n = 15) | p Value | |
|---|---|---|---|---|
| BCVA (logMAR) | 0.625 ± 0.477 | 0.561 ± 0.304 | 0.440 ± 0.337 | 0.476 |
| OCT-CMT (μm) | 226 ± 84 | 241 ± 52 | 229 ± 45 | 0.890 |
| OCT-CCT (μm) | 284 ± 96 | 289 ± 92 | 289 ± 98 | 0.993 |
| OCTA-BNN area (mm2) | 6.057 ± 2.921 | 3.982 ± 2.362 | 1.416 ± 1.080 | <0.001 * |
| OCT-PED height (μm) | 304 ± 196 | 351 ± 188 | 235 ± 162 | 0.363 |
| OCT-PED volume (mm3) | 12.378 ± 6.393 | 16.802 ± 11.961 | 7.780 ± 8.410 | 0.111 |
| OCT-PED area (mm2) | 0.848 ± 0.655 | 1.616 ± 1.387 | 0.967 ± 1.850 | 0.022 ** |
| OCT-SRF area (mm2) | 0.712 ± 1.400 | 5.702 ± 5.1 | 2.786 ± 5.680 | 0.048 *** |
| OCT-SRF volume (mm3) | 0.065 ± 0.099 | 0.287 ± 0.271 | 0.193 ± 0.495 | 0.121 |
| CVI | 0.368 ± 0.095 | 0.383 ± 0.071 | 0.358 ± 0.072 | 0.936 |
| Regression Coefficient | p Value | |
|---|---|---|
| BNN morphology | −0.119 | 0.466 |
| Baseline BCVA | 0.399 | 0.015 * |
| Baseline CMT | −0.371 | 0.023 * |
| Baseline CCT | −0.127 | 0.438 |
| Baseline CVI | 0.210 | 0.179 |
| Baseline SRF volume | −0.034 | 0.832 |
| Baseline SRF area | 0.069 | 0.666 |
| Baseline PED height | −0.108 | 0.526 |
| Baseline PED volume | −0.050 | 0.759 |
| Baseline PED area | −0.079 | 0.626 |
| Baseline BNN area | 0.148 | 0.359 |
| Baseline polyp number | 0.224 | 0.152 |
Disclaimer/Publisher’s Note: The statements, opinions and data contained in all publications are solely those of the individual author(s) and contributor(s) and not of MDPI and/or the editor(s). MDPI and/or the editor(s) disclaim responsibility for any injury to people or property resulting from any ideas, methods, instructions or products referred to in the content. |
© 2023 by the authors. Licensee MDPI, Basel, Switzerland. This article is an open access article distributed under the terms and conditions of the Creative Commons Attribution (CC BY) license (https://creativecommons.org/licenses/by/4.0/).
Share and Cite
Chen, L.; Yuan, M.; Sun, L.; Chen, Y. Different Morphology of Branching Neovascular Network in Polypoidal Choroidal Vasculopathy: A Swept-Source Optical Coherence Tomography Angiography Study. J. Clin. Med. 2023, 12, 742. https://doi.org/10.3390/jcm12030742
Chen L, Yuan M, Sun L, Chen Y. Different Morphology of Branching Neovascular Network in Polypoidal Choroidal Vasculopathy: A Swept-Source Optical Coherence Tomography Angiography Study. Journal of Clinical Medicine. 2023; 12(3):742. https://doi.org/10.3390/jcm12030742
Chicago/Turabian StyleChen, Lulu, Mingzhen Yuan, Lu Sun, and Youxin Chen. 2023. "Different Morphology of Branching Neovascular Network in Polypoidal Choroidal Vasculopathy: A Swept-Source Optical Coherence Tomography Angiography Study" Journal of Clinical Medicine 12, no. 3: 742. https://doi.org/10.3390/jcm12030742
APA StyleChen, L., Yuan, M., Sun, L., & Chen, Y. (2023). Different Morphology of Branching Neovascular Network in Polypoidal Choroidal Vasculopathy: A Swept-Source Optical Coherence Tomography Angiography Study. Journal of Clinical Medicine, 12(3), 742. https://doi.org/10.3390/jcm12030742
