Podocyte Infolding Glomerulopathy: A Case Series Report and Literature Review
Abstract
1. Introduction
2. Case Presentation
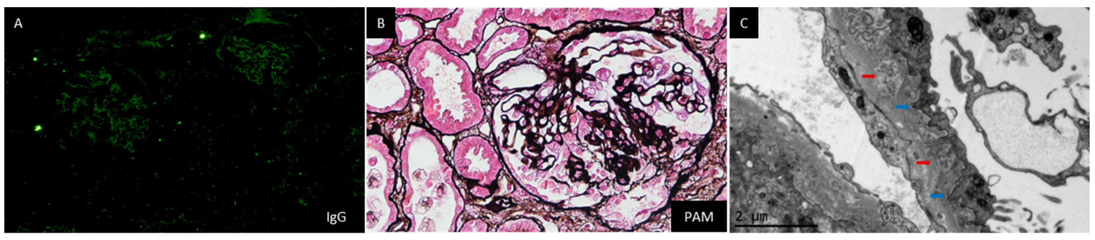
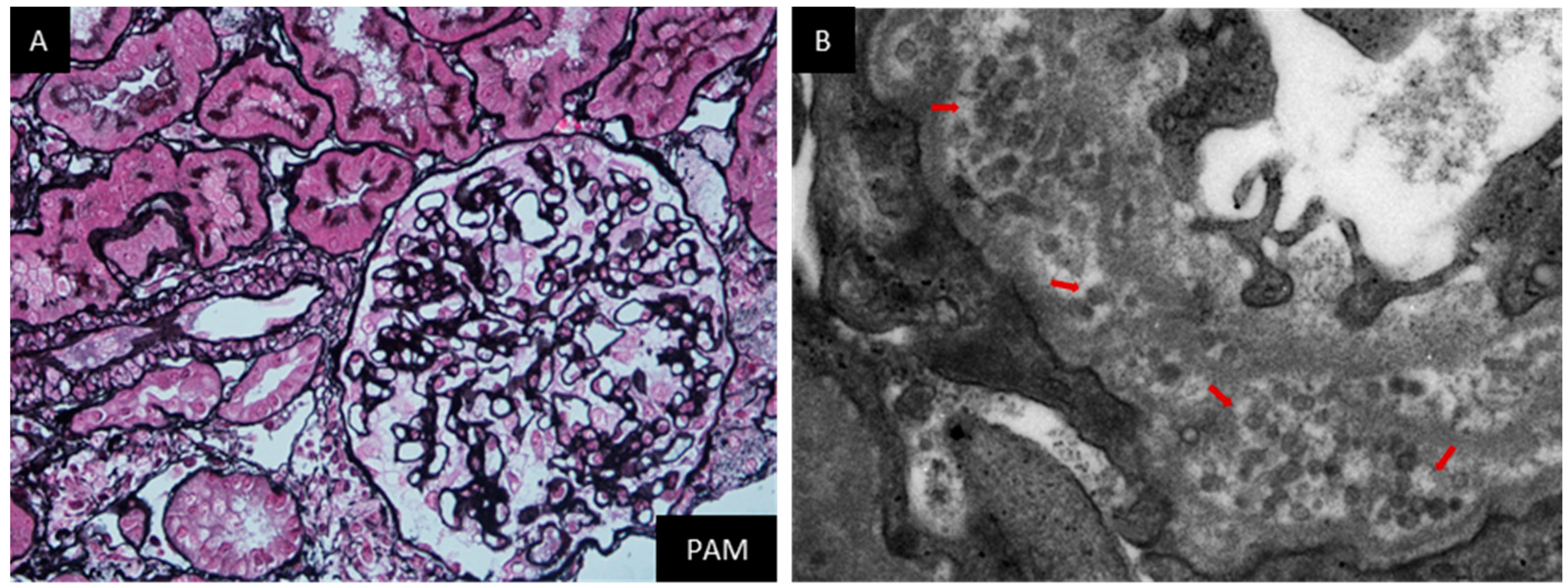
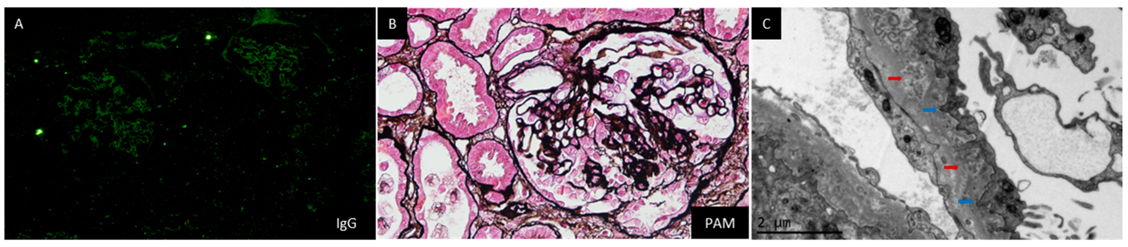
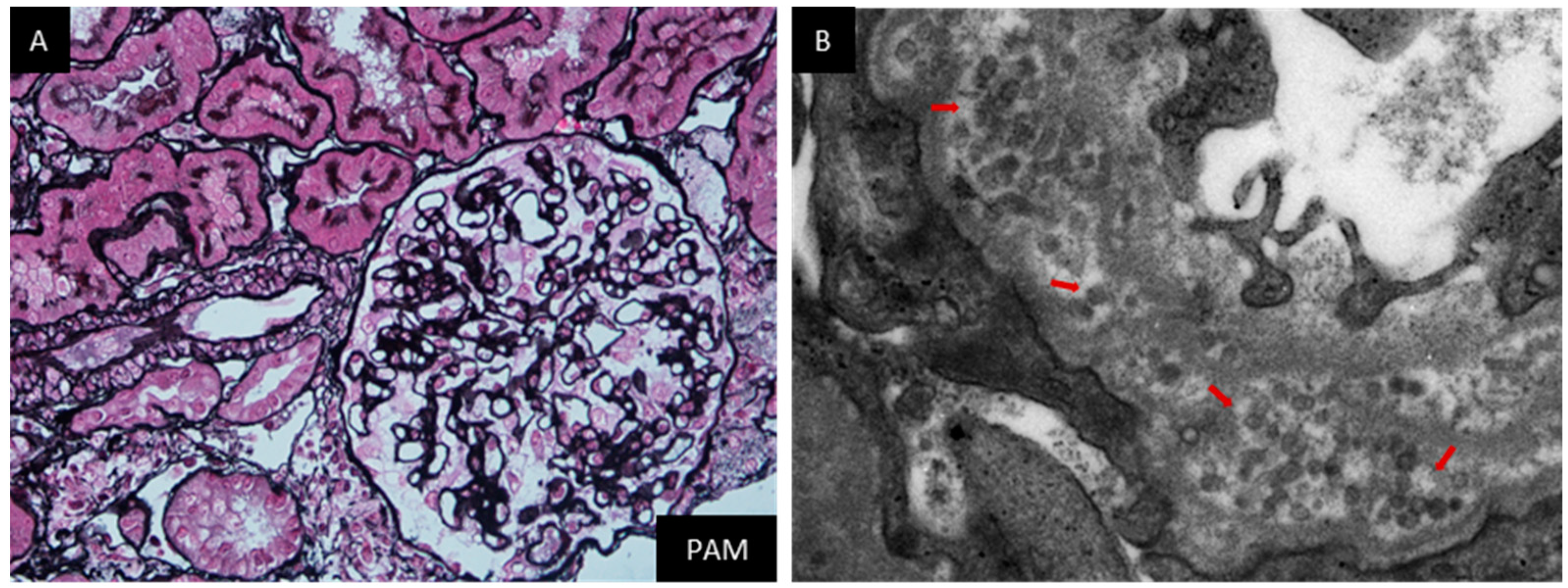
2.1. Case 1
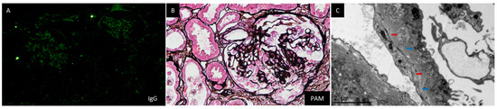
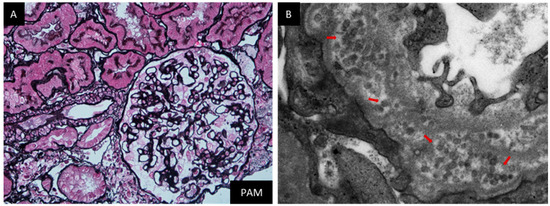
2.2. Case 2
2.3. Case 3
2.4. Case 4
2.5. Whole Exosome Sequencing Results
2.6. Literature Review
3. Discussion
4. Conclusions
Supplementary Materials
Author Contributions
Funding
Institutional Review Board Statement
Informed Consent Statement
Data Availability Statement
Acknowledgments
Conflicts of Interest
References
- Sato, H.; Saito, T.; Yoshinaga, K. Intramembranous fine deposit disease associated with collagen disorders: A new morphological entity? Virchows Arch A 1992, 420, 447–451. [Google Scholar] [CrossRef] [PubMed]
- Joh, K.; Taguchi, T.; Shigematsu, H.; Kobayashi, Y.; Sato, H.; Nishi, S.; Katafuchi, R.; Nomura, S.; Fujigaki, Y.; Utsunomiya, Y.; et al. Proposal of podocytic infolding glomerulopathy as a new disease entity: A review of 25 cases from nationwide research in Japan. Clin. Exp. Nephrol. 2008, 12, 421–431. [Google Scholar] [CrossRef] [PubMed]
- Xiong, S.; Shuai, L.; Li, X.; Dang, X.; Wu, X.; He, Q. Podocytic infolding in Schimke immuno-osseous dysplasia with novel SMARCAL1 mutations: A case report. BMC Nephrol. 2020, 21, 170. [Google Scholar] [CrossRef] [PubMed]
- Liu, X.; Huang, J.; Zhang, K.; Niu, Y.; Liu, Y.; Cui, C.; Yu, C. A case of Podocytic Infolding Glomerulopathy with SLE and literature review. BMC Nephrol. 2021, 22, 410. [Google Scholar] [CrossRef]
- Matthai, S.M.; Mohapatra, A.; Mathew, A.J.; Roy, S.; Varughese, S.; Danda, D.; Tamilarasi, V. Podocyte Infolding Glomerulopathy (PIG) in a Patient with Undifferentiated Connective Tissue Disease: A Case Report. Am. J. Kidney Dis. 2018, 72, 149–153. [Google Scholar] [CrossRef]
- Shi, J.; Zheng, R.; Gao, H.; Zhao, Z.; Wu, H.; Zhang, Z. Podocyte infolding glomerulopathy with undifferentiated connective tissue disease: A case report. Ultrastruct. Pathol. 2020, 44, 245–248. [Google Scholar] [CrossRef]
- Zhang, T.; Sun, W.; Xue, J.; Chen, J.; Jiang, Q.; Mou, L.; Du, H. Podocytic infolding glomerulopathy: Two new cases with connective tissue disease and literature review. Clin. Rheumatol. 2019, 38, 1521–1528. [Google Scholar] [CrossRef]
- Iguchi, A.; Sohma, A.; Yamazaki, H.; Ito, T.; Saeki, T.; Ito, Y.; Imai, N.; Osawa, Y.; Narita, I. A case of podocytic infolding glomerulopathy with focal segmental glomerulosclerosis. Case Rep. Nephrol. Urol. 2013, 3, 110–116. [Google Scholar] [CrossRef]
- Kwon, K.W.; Jeong, H.J.; Lee, J.H. Podocytic infolding glomerulopathy: A case report. Ultrastruct. Pathol. 2016, 40, 374–377. [Google Scholar] [CrossRef]
- Ou, J.; Zhu, L.J. trackViewer: A Bioconductor package for interactive and integrative visualization of multi-omics data. Nat. Methods 2019, 16, 453–454. [Google Scholar] [CrossRef]
- Ting, J.A.; Hung, W.; McRae, S.A.; Barbour, S.J.; Copland, M.; Riazy, M. Podocyte Infolding Glomerulopathy, First Case Report from North America. Can J. Kidney Health Dis. 2021, 8, 20543581211048357. [Google Scholar] [CrossRef] [PubMed]
- Fang, J.Y.; Song, A.H.; Shen, B.; Liu, Y.L. A Case of Podocytic Infolding Glomerulopathy with Primary Sjogren’s Syndrome and Hashimoto’s Thyroiditis. Chin. Med. J. 2018, 131, 2747–2748. [Google Scholar] [CrossRef] [PubMed]
- Harada, M.; Kamijo, Y.; Ehara, T.; Shimojo, H.; Shigematsu, H.; Higuchi, M. A case of podocytic infolding glomerulopathy with multiple myeloma. BMC Nephrol. 2014, 15, 32. [Google Scholar] [CrossRef] [PubMed]
- Malvar, A.; Davila, P.; Ferrari, M.; Delgado, P.; Iscoff, P.; Lococo, B.; Alberton, V. Podocyte infolding glomerulopathy; report of the first case in Latin America and review of the literature. Nefrologia 2020, 40, 469–473. [Google Scholar] [CrossRef] [PubMed]
- Manabe, S.; Sato, M.; Kataoka, H.; Taneda, S.; Mochizuki, T.; Nitta, K. Cell invasion in glomerular basement membrane: Infolding glomerulopathy. Kidney Int. 2020, 98, 1623. [Google Scholar] [CrossRef]
- Pandit, A.P.; Rennke, H.G.; Denker, B.M. Podocytic Infolding Glomerulopathy in a Patient with Phospholipase A2 Receptor-Positive Membranous Nephropathy and Review of the Literature. Nephron 2021, 145, 496–502. [Google Scholar] [CrossRef]
- Wostmann, F.; Muller, R.U.; Gobel, H.; Benzing, T. Becker JU, Bartram MP: Case report: A peculiar glomerulopathy in a patient suffering from nephrotic syndrome. BMC Nephrol. 2019, 20, 326. [Google Scholar] [CrossRef]
- Hinglais, N.; Kazatchkine, N.D.; Bhakdi, S.; Appay, M.-D.; Mandet, C.; Grossetete, J.; Bariety, J. Immunohistochemical study of the C5d-9 complex of complement in human kidneys. Kidney Int. 1986, 30, 399–410. [Google Scholar] [CrossRef]
- Subramanian, B.; Chun, J.; Perez-Gill, C.; Yan, P.; Stillman, I.E.; Higgs, H.N.; Alper, S.L.; Schlondorff, J.S.; Pollak, M.R. FSGS-Causing INF2 Mutation Impairs Cleaved INF2 N-Fragment Functions in Podocytes. J. Am. Soc. Nephrol. 2020, 31, 374–391. [Google Scholar] [CrossRef]
- Zhao, Y.; Zhang, H.; Wang, H.; Ye, M.; Jin, X. Role of formin INF2 in human diseases. Mol. Biol. Rep. 2022, 49, 735–746. [Google Scholar] [CrossRef]
- Panzer, L.; Trube, L.; Klose, M.; Joosten, B.; Slotman, J.; Cambi, A. Linder S: The formins FHOD1 and INF2 regulate inter- and intra-structural contractility of podosomes. J. Cell Sci. 2016, 129, 298–313. [Google Scholar] [PubMed]
- Krendel, M.; Pruyne, D. New Paradigm for Cytoskeletal Organization in Podocytes: Proteolytic Fragments of INF2 Formin Function Independently of INF2 Actin Regulatory Activity. J. Am. Soc. Nephrol. 2020, 31, 235–236. [Google Scholar] [CrossRef] [PubMed]





| Case No | Sex | Race | Country | Age | Comorbidity | Lab Investigations at Renal Biopsy | Treatment | |||
|---|---|---|---|---|---|---|---|---|---|---|
| Cr (μmol/L) | Proteinuria * | Hematuria | Therapy | Response | ||||||
| 1 [3] | M | Asian | Japan | 31 | SLE | 168.0 | 0.5 g/day | Absent | PSL (20 mg Qd) | CR |
| 2 [3] | F | Asian | Japan | 37 | SLE | 106.1 | 1 g/day | Absent | PSL (20 mg Qd), MMF | CR after 6 m |
| 3 [3] | F | Asian | Japan | 40 | SLE | 44.2 | 1.5 g/day | NR | PSL | NR |
| 4 [3] | F | Asian | Japan | 30 | SLE | 44.2 | 1.6 g/day | Mild | PSL (pulsex3) | CR after 1 m |
| 5 [3] | F | Asian | Japan | 61 | SLE, Takayasu’s arteritis | 79.6 | 1.7 g/day | Absent | PSL (40 mg Qd), CsA | PR after 7 y |
| 6 [3] | F | Asian | Japan | 29 | SLE, hydronephrosis due to lupus cystitis | 61.9 | 1.6 g/day | Absent | PSL (20 mg Qd) | PR after 5 y |
| 7 [2] | F | Asian | Japan | 46 | SLE, hydronephrosis due to lupus cystitis | 44.2 | 0.6 g/day | Absent | PSL (15 mg Qd) | PR after 2 y |
| 8 [2] | F | Asian | Japan | 27 | SLE | 35.4 | 2.7 g/day | Absent | PSL (30 mg Qd), MMF | CR after 6 m |
| 9 [2] | M | Asian | Japan | 53 | SLE, bilateral urethral stone | 79.6 | 3.1 g/day | Present | PSL (30 mg Qd) | CR after 8 m |
| 10 [2] | F | Asian | Japan | 23 | SLE | 44.2 | 1.8 g/day | Present | PSL (40 mg Qd) | CR after 5 y |
| 11 [2] | F | Asian | Japan | 31 | SLE | 79.6 | 0.5 g/day | Absent | PSL (20 mg Qd) | CR |
| 12 [2] | F | Asian | Japan | 24 | SLE, SS | 53.0 | 6.0 g/day | Absent | PSL (pulsex3) | CR after 9 w |
| 13 [2] | M | Asian | Japan | 49 | PBC, SS, cystitis, finally SLE | 97.2 | 2.2 g/day | Absent | ARB, PSL (40 mg Qd) | CR after 9 y |
| 14 [2] | F | Asian | Japan | 20 | SLE? | 123.8 | 1.4 g/day | Absent | PSL (40 mg Qd) | CR |
| 15 [2] | F | Asian | Japan | 47 | RA, pSS | 53.0 | 1.3 g/day | Absent | ARB, PSL (20 mg Qd) | PR |
| 16 [2] | F | Asian | Japan | 51 | pSS | 53.0 | 3.7 g/day | Absent | PSL (40 mg Qd) | CR after 1 m |
| 17 [2] | F | Asian | Japan | 30 | MCTD | 79.6 | 0.3 g/day | Absent | PSL (15 mg Qd) | NR |
| 18 [2] | F | Asian | Japan | 54 | Basedow’s disease | 221.0 | 6.0 g/day | Absent | - | PR after 3 m |
| 19 [2] | F | Asian | Japan | 57 | Hypothyroidism, chronic thyroiditis | 53.0 | 0.3 g/day | Absent | - | CR after 2 m |
| 20 [2] | M | Asian | Japan | 45 | Absent | 61.9 | 2.6 g/day | Absent | PSL (50 mg Qd) | PR after 2 m |
| 21 [2] | F | Asian | Japan | 42 | Ovarian mature teratoma | 68.1 | 7.5 g/day | Present | ARB | PR after 1 m |
| 22 [2] | F | Asian | Japan | 69 | Absent | 79.6 | 1.6 g/day | Absent | - | PR after 1 m |
| 23 [2] | M | Asian | Japan | 46 | HBV infection | 106.1 | 4.0 g/day | Absent | Diuretics | PR |
| 24 [2] | M | Asian | Japan | 59 | Tumor lysis syndrome | 450.8 | 0.6 g/day | Absent | PSL (pulsex3) | NR |
| 25 [2] | F | Asian | Japan | 45 | Absent | 70.7 | 1.5 g/day | Absent | PSL (30 mg Qd) | CR after 1 y |
| 26 [3] | M | Asian | China | 4 | SIOD | Normal | 3.7 g/day | NR | P, tacrolimus, ACEI | Normal renal function |
| 27 [4] | F | Asian | China | 61 | SLE, benign ovarian tumor, EBV infection | 75.1 | 2.1 g/day | Present | HCQ, ARB, PSL (40 mg Qd), CTX | PR |
| 28 [5] | F | Asian | India | 45 | UCTD | 145.9 | 5.8 g/day | Present | High dose PSL, MMF, RTX | PR |
| 29 [6] | F | Asian | China | 33 | UCTD | 36.2 | 2.1 g/day | Absent | NR | NR |
| 30 [7] | F | Asian | China | 27 | pSS | 168.2 | 0.6 g/day | Absent | PSL (48 mg Qd), HCQ | Progression |
| 31 [7] | F | Asian | China | 23 | SLE | 47.1 | 16.8 g/day | Present | PSL (40 mg Qd), HCQ | PR |
| 32 [8] | F | Asian | Japan | 14 | Absent | 48.6 | 2.35 g/day | Absent | PSL (40 mg Qd) | CR after 9 m |
| 33 [9] | F | Asian | South Korea | 44 | Absent | 39.8 | PCR = 67.1/88.29 mg/mg | NR | PSL (10 mg Qd) | CR after 3 m |
| 34 [11] | F | Asian | Canada | 52 | Prior HBV infection with immunity | 61 | uACR = 1600 mg/mol | Present | ARB, P (1 mg/kg, Qd), spironolactone | PR, worsened after stopping P |
| 35 [12] | F | Asian | China | 52 | pSS, Hashimoto’s thyroiditis | NR | NR | NR | NR | NR |
| 36 [13] | M | Asian | Japan | 79 | MM | 113.2 | 1.4 g/day | Absent | PSL (20 mg Qd) | PR, but death after 2 m |
| 37 [14] | F | Latin American Caucasian | Argentina | 38 | SLE | Normal | NS range proteinuria | NR | CO + CTX | Good response, but relapsed |
| 38 [15] | F | Asian | Japan | 35 | Scleroderma | NR | NR | NR | NR | NR |
| 39 [16] | F | NR | USA | 60 | Absent | 61.9 | 7.3 g/day | Absent | RTX | PR |
| 40 [17] | F | Caucasian | Germany | 56 | RA | 386.3 | uACR = 6200 mg/g | Absent | High hose P + RTX | CR |
| 41 | F | Asian | China | 26 | Absent | 82.3 | 2.74 g/day | Present | Prednisone (50 mg Qd, tapered to stop) | PR |
| 42 | M | Asian | China | 47 | Absent | 94.4 | 9.96 g/day | Absent | Prednisone (30 mg Qd) + tacrolimus (1 mg Bid) | PR |
| 43 | F | Asian | China | 48 | SLE | 59.3 | 5.4 g/day | Absent | Prednisone (30 mg Qd) + tacrolimus (1 mg Bid) ± Belimumab (10 mg/kg/w) | PR |
| 44 | F | Asian | China | 57 | Absent | 33.3 | 3.5 g/day | Mild | Prednisone (45 mg Qd) | CR, but relapsed |
| Case No | Sex | Age | Renal Pathology | ||||||||
|---|---|---|---|---|---|---|---|---|---|---|---|
| IF Staining | Hypercellularity | Mesangial Deposit | GBM Thickening | FPE | Microspheres | Microtubules | Dense Deposit | LM Manifestations | |||
| 1 [2] | M | 31 | All negative | Absent | Mild | Present | Present | Present | Absent | Absent | MGA |
| 2 [2] | F | 37 | G, A, C3, C1q | Absent | Mild | Present | Present | Present | Present | Absent | LN Class II |
| 3 [2] | F | 40 | G, A, C3, C1q | NR | Mild | Present | Present | Present | Present | Absent | LN Class II |
| 4 [2] | F | 30 | G, A, C3, C1q, C5b-9 | Present | Mild | Present | Present | Present | Absent | Mesangium, subendothelial | LN Class II |
| 5 [2] | F | 61 | G, M, C1q | Absent | Mild | Present | Present | Present | Absent | Present | LN Class II |
| 6 [2] | F | 29 | All negative | Absent | Absent | Present | Present | Present | Present | Absent | MN |
| 7 [2] | F | 46 | All negative | Absent | Absent | Present | Present | Present | Present | Absent | MN |
| 8 [2] | F | 27 | G, A, M, C3, C1q, C5b-9 | Absent | Absent | Present | Present | Present | Present | GBM, subendothelial, subepithelial | LN Class V |
| 9 [2] | M | 53 | All negative | Absent | Absent | Present | Present | Present | Present | Absent | MN |
| 10 [2] | F | 23 | G | Present | Mild | Present | Present | Present | Present | GBM, subendothelial, subepithelial | LN Class V |
| 11 [2] | F | 31 | G | Absent | Absent | Present | Present | Present | Present | GBM | LN Class V |
| 12 [2] | F | 24 | G, M, C1q | Mild | Mild | Present | Present | Present | Present | GBM | LN Class V |
| 13 [2] | M | 49 | G, A | Present | Present | Present | Present | Absent | Present | Absent | MPGN (Type 3) |
| 14 [2] | F | 20 | G | Absent | Absent | Present | NR | Present | Absent | GBM | MGA |
| 15 [2] | F | 47 | G, A, M | Absent | Absent | Present | NR | Present | Absent | GBM | MGA |
| 16 [2] | F | 51 | All negative | Absent | Absent | Present | Present | Present | Absent | Absent | MGA |
| 17 [2] | F | 30 | G | Absent | Absent | Present | Present | Present | Absent | Absent | MGA |
| 18 [2] | F | 54 | All negative | Present | Present | Present | Present | Present | Absent | Absent | FSGS |
| 19 [2] | F | 57 | All negative | Absent | Absent | Present | Present | Present | Absent | Absent | FSGS |
| 20 [2] | M | 45 | G, A, C3 | Absent | Present | Present | Present | Present | Present | Absent | FSGS |
| 21 [2] | F | 42 | G | Present | Absent | Present | Present | Present | Absent | Absent | FSGS + MN |
| 22 [2] | F | 69 | G, A, M, C3 | Absent | Absent | Present | Present | Present | Absent | Absent | MN |
| 23 [2] | M | 46 | G | Absent | Absent | Present | Present | Present | Present | Absent | MN |
| 24 [2] | M | 59 | M | Absent | Absent | Present | Present | Present | Absent | Absent | MN |
| 25 [2] | F | 45 | G, A, C3 | Absent | Absent | Present | Present | Present | Present | Absent | MN |
| 26 [3] | M | 4 | All negative | NR | NR | Present | Present | Present | Absent | Absent | Focal or global sclerosis |
| 27 [4] | F | 61 | M, C3 | Present | Present | Present | Present | Present | Absent | Absent | LN |
| 28 [5] | F | 45 | G, C3 | Absent | Absent | Present | Present | Present | Absent | Absent | MN |
| 29 [6] | F | 33 | M, G, C1q, C3 | Mild | Mild | Present | Present | Present | Absent | Mesangium, subepithelial | Proliferative glomerulonephritis |
| 30 [7] | F | 27 | M | Present | Mild | Present | Present | Present | Absent | Absent | Chronic interstitial nephritis |
| 31 [7] | F | 23 | M | Absent | Absent | Present | Present | Present | Absent | Absent | MGA |
| 32 [8] | F | 14 | M, C3, C1q | Absence | Absence | Absent | Presence | Present | Absent | Absent | FSGS |
| 33 [9] | F | 44 | M | Absent | Absent | Present | Present | Present | Present | Mesangium, intramembrane | MGA |
| 34 [11] | F | 52 | All negative | Absent | Absent | Absent | Present | Present | Present | Absent | Global and segmental sclerosis |
| 35 [12] | F | 52 | All negative | NR | NR | Present | Present | Present | Absent | Absent | MGA |
| 36 [13] | M | 79 | All negative | Absent | Absent | Present | Present | Present | Absent | Absent | MN |
| 37 [14] | F | 38 | All negative | Absent | Present | Present | Present | Present | Present | Absent | FSGS |
| 38 [15] | F | 35 | Full house pattern, faint IgG | Present | Mild | Present | Present | Present | Present | Mesangium | LN Class II |
| 39 [16] | F | 60 | G, M, A, C3, PLA2r | Absent | Mild | Absent | Present | Present | Present | Subepithelial | MN |
| 40 [17] | F | 56 | All negative | Absent | Absent | Present | Present | Absent | Absent | Absent | Acute tubular injury |
| 41 | F | 26 | G, M | Mild | Present | Present | Present | Present | Absent | Present | FSGS |
| 42 | M | 47 | G | Mild | Absent | Present | Present | Present | Absent | Absent | FSGS |
| 43 | F | 48 | A, M | None | Present | Present | Present | Present | Absent | Absent | MN |
| 44 | F | 57 | All negative | Absent | Mild | Mild | Present | Present | Present | Absent | MGA |
Disclaimer/Publisher’s Note: The statements, opinions and data contained in all publications are solely those of the individual author(s) and contributor(s) and not of MDPI and/or the editor(s). MDPI and/or the editor(s) disclaim responsibility for any injury to people or property resulting from any ideas, methods, instructions or products referred to in the content. |
© 2023 by the authors. Licensee MDPI, Basel, Switzerland. This article is an open access article distributed under the terms and conditions of the Creative Commons Attribution (CC BY) license (https://creativecommons.org/licenses/by/4.0/).
Share and Cite
Feng, Y.; Wang, W.; Zou, Y.; Chen, T.; Wang, W.; Li, G.; Wang, A.Y.; Zhang, P. Podocyte Infolding Glomerulopathy: A Case Series Report and Literature Review. J. Clin. Med. 2023, 12, 1088. https://doi.org/10.3390/jcm12031088
Feng Y, Wang W, Zou Y, Chen T, Wang W, Li G, Wang AY, Zhang P. Podocyte Infolding Glomerulopathy: A Case Series Report and Literature Review. Journal of Clinical Medicine. 2023; 12(3):1088. https://doi.org/10.3390/jcm12031088
Chicago/Turabian StyleFeng, Yunlin, Wei Wang, Yurong Zou, Tingyu Chen, Wei Wang, Guisen Li, Amanda Y. Wang, and Ping Zhang. 2023. "Podocyte Infolding Glomerulopathy: A Case Series Report and Literature Review" Journal of Clinical Medicine 12, no. 3: 1088. https://doi.org/10.3390/jcm12031088
APA StyleFeng, Y., Wang, W., Zou, Y., Chen, T., Wang, W., Li, G., Wang, A. Y., & Zhang, P. (2023). Podocyte Infolding Glomerulopathy: A Case Series Report and Literature Review. Journal of Clinical Medicine, 12(3), 1088. https://doi.org/10.3390/jcm12031088

