Genetic Characteristics of Patients with Young-Onset Myelodysplastic Neoplasms
Abstract
:1. Introduction
2. Materials and Methods
2.1. Patients
2.2. Molecular Genetic Study
2.3. Germline Testing
2.4. Statistical Analysis
3. Results
3.1. Germline Variants Predisposing to Myeloid Neoplasms in Young-Onset MDS
3.2. Somatic Mutations and Prognostic Significance of U2AF1 Mutation in Young-Onset MDS
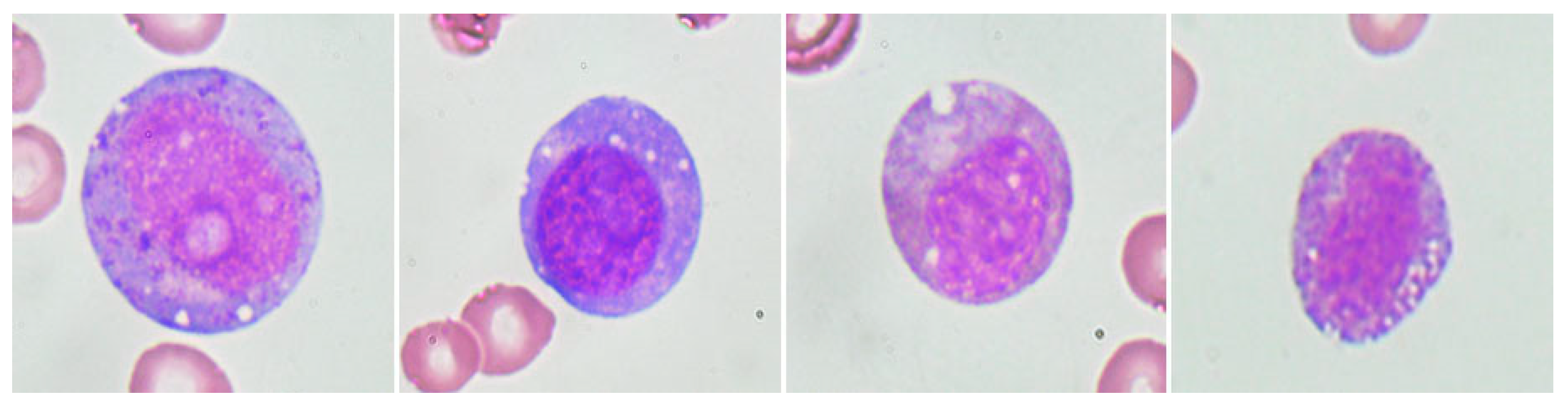
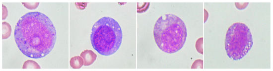
3.3. Clinical Course of a Case with Somatic UBA1 Mutation
4. Discussion
5. Conclusions
Supplementary Materials
Author Contributions
Funding
Institutional Review Board Statement
Informed Consent Statement
Data Availability Statement
Conflicts of Interest
References
- Tanaka, T.N.; Bejar, R. MDS overlap disorders and diagnostic boundaries. Blood 2019, 133, 1086–1095. [Google Scholar] [CrossRef]
- Garcia-Manero, G. Myelodysplastic syndromes: 2023 update on diagnosis, risk-stratification, and management. Am. J. Hematol. 2023, 98, 1307–1325. [Google Scholar] [CrossRef] [PubMed]
- Rollison, D.E.; Howlader, N.; Smith, M.T.; Strom, S.S.; Merritt, W.D.; Ries, L.A.; Edwards, B.K.; List, A.F. Epidemiology of myelodysplastic syndromes and chronic myeloproliferative disorders in the United States, 2001–2004, using data from the NAACCR and SEER programs. Blood 2008, 112, 45–52. [Google Scholar] [CrossRef]
- Goldberg, S.L.; Chen, E.; Corral, M.; Guo, A.; Mody-Patel, N.; Pecora, A.L.; Laouri, M. Incidence and clinical complications of myelodysplastic syndromes among United States Medicare beneficiaries. J. Clin. Oncol. 2010, 28, 2847–2852. [Google Scholar] [CrossRef] [PubMed]
- Park, E.H.; Lee, H.; Won, Y.J.; Ju, H.Y.; Oh, C.M.; Ingabire, C.; Kong, H.J.; Park, B.K.; Yoon, J.Y.; Eom, H.S.; et al. Nationwide statistical analysis of myeloid malignancies in Korea: Incidence and survival rate from 1999 to 2012. Blood Res. 2015, 50, 204–217. [Google Scholar] [CrossRef]
- Saygin, C.; Godley, L.A. Genetics of Myelodysplastic Syndromes. Cancers 2021, 13, 3380. [Google Scholar] [CrossRef] [PubMed]
- Ogawa, S. Genetics of MDS. Blood 2019, 133, 1049–1059. [Google Scholar] [CrossRef] [PubMed]
- Haferlach, T.; Nagata, Y.; Grossmann, V.; Okuno, Y.; Bacher, U.; Nagae, G.; Schnittger, S.; Sanada, M.; Kon, A.; Alpermann, T.; et al. Landscape of genetic lesions in 944 patients with myelodysplastic syndromes. Leukemia 2014, 28, 241–247. [Google Scholar] [CrossRef] [PubMed]
- Klco, J.M.; Mullighan, C.G. Advances in germline predisposition to acute leukaemias and myeloid neoplasms. Nat. Rev. Cancer 2021, 21, 122–137. [Google Scholar] [CrossRef]
- University of Chicago Hematopoietic Malignancies Cancer Risk Team. How I diagnose and manage individuals at risk for inherited myeloid malignancies. Blood 2016, 128, 1800–1813. [Google Scholar] [CrossRef]
- Khoury, J.D.; Solary, E.; Abla, O.; Akkari, Y.; Alaggio, R.; Apperley, J.F.; Bejar, R.; Berti, E.; Busque, L.; Chan, J.K.C.; et al. The 5th edition of the World Health Organization Classification of Haematolymphoid Tumours: Myeloid and Histiocytic/Dendritic Neoplasms. Leukemia 2022, 36, 1703–1719. [Google Scholar] [CrossRef]
- Arber, D.A.; Orazi, A.; Hasserjian, R.P.; Borowitz, M.J.; Calvo, K.R.; Kvasnicka, H.M.; Wang, S.A.; Bagg, A.; Barbui, T.; Branford, S.; et al. International Consensus Classification of Myeloid Neoplasms and Acute Leukemias: Integrating morphologic, clinical, and genomic data. Blood 2022, 140, 1200–1228. [Google Scholar] [CrossRef] [PubMed]
- Keel, S.B.; Scott, A.; Sanchez-Bonilla, M.; Ho, P.A.; Gulsuner, S.; Pritchard, C.C.; Abkowitz, J.L.; King, M.C.; Walsh, T.; Shimamura, A. Genetic features of myelodysplastic syndrome and aplastic anemia in pediatric and young adult patients. Haematologica 2016, 101, 1343–1350. [Google Scholar] [CrossRef] [PubMed]
- Wlodarski, M.W.; Hirabayashi, S.; Pastor, V.; Starý, J.; Hasle, H.; Masetti, R.; Dworzak, M.; Schmugge, M.; van den Heuvel-Eibrink, M.; Ussowicz, M.; et al. Prevalence, clinical characteristics, and prognosis of GATA2-related myelodysplastic syndromes in children and adolescents. Blood 2016, 127, 1387–1397; quiz 1518. [Google Scholar] [CrossRef] [PubMed]
- Schwartz, J.R.; Ma, J.; Lamprecht, T.; Walsh, M.; Wang, S.; Bryant, V.; Song, G.; Wu, G.; Easton, J.; Kesserwan, C.; et al. The genomic landscape of pediatric myelodysplastic syndromes. Nat. Commun. 2017, 8, 1557. [Google Scholar] [CrossRef] [PubMed]
- Miano, M.; Grossi, A.; Dell’Orso, G.; Lanciotti, M.; Fioredda, F.; Palmisani, E.; Lanza, T.; Guardo, D.; Beccaria, A.; Ravera, S.; et al. Genetic screening of children with marrow failure. The role of primary Immunodeficiencies. Am. J. Hematol. 2021, 96, 1077–1086. [Google Scholar] [CrossRef] [PubMed]
- Quesada, A.E.; Routbort, M.J.; DiNardo, C.D.; Bueso-Ramos, C.E.; Kanagal-Shamanna, R.; Khoury, J.D.; Thakral, B.; Zuo, Z.; Yin, C.C.; Loghavi, S.; et al. DDX41 mutations in myeloid neoplasms are associated with male gender, TP53 mutations and high-risk disease. Am. J. Hematol. 2019, 94, 757–766. [Google Scholar] [CrossRef]
- Sébert, M.; Passet, M.; Raimbault, A.; Rahmé, R.; Raffoux, E.; Sicre de Fontbrune, F.; Cerrano, M.; Quentin, S.; Vasquez, N.; Da Costa, M.; et al. Germline DDX41 mutations define a significant entity within adult MDS/AML patients. Blood 2019, 134, 1441–1444. [Google Scholar] [CrossRef]
- Makishima, H.; Saiki, R.; Nannya, Y.; Korotev, S.; Gurnari, C.; Takeda, J.; Momozawa, Y.; Best, S.; Krishnamurthy, P.; Yoshizato, T.; et al. Germ line DDX41 mutations define a unique subtype of myeloid neoplasms. Blood 2023, 141, 534–549. [Google Scholar] [CrossRef]
- Arber, D.A.; Orazi, A.; Hasserjian, R.; Thiele, J.; Borowitz, M.J.; Le Beau, M.M.; Bloomfield, C.D.; Cazzola, M.; Vardiman, J.W. The 2016 revision to the World Health Organization classification of myeloid neoplasms and acute leukemia. Blood 2016, 127, 2391–2405. [Google Scholar] [CrossRef]
- Greenberg, P.L.; Tuechler, H.; Schanz, J.; Sanz, G.; Garcia-Manero, G.; Solé, F.; Bennett, J.M.; Bowen, D.; Fenaux, P.; Dreyfus, F.; et al. Revised international prognostic scoring system for myelodysplastic syndromes. Blood 2012, 120, 2454–2465. [Google Scholar] [CrossRef] [PubMed]
- Richards, S.; Aziz, N.; Bale, S.; Bick, D.; Das, S.; Gastier-Foster, J.; Grody, W.W.; Hegde, M.; Lyon, E.; Spector, E.; et al. Standards and guidelines for the interpretation of sequence variants: A joint consensus recommendation of the American College of Medical Genetics and Genomics and the Association for Molecular Pathology. Genet. Med. 2015, 17, 405–424. [Google Scholar] [CrossRef] [PubMed]
- Li, M.M.; Datto, M.; Duncavage, E.J.; Kulkarni, S.; Lindeman, N.I.; Roy, S.; Tsimberidou, A.M.; Vnencak-Jones, C.L.; Wolff, D.J.; Younes, A.; et al. Standards and Guidelines for the Interpretation and Reporting of Sequence Variants in Cancer: A Joint Consensus Recommendation of the Association for Molecular Pathology, American Society of Clinical Oncology, and College of American Pathologists. J. Mol. Diagn. 2017, 19, 4–23. [Google Scholar] [CrossRef] [PubMed]
- Robinson, J.T.; Thorvaldsdóttir, H.; Winckler, W.; Guttman, M.; Lander, E.S.; Getz, G.; Mesirov, J.P. Integrative genomics viewer. Nat. Biotechnol. 2011, 29, 24–26. [Google Scholar] [CrossRef] [PubMed]
- Dickinson, R.E.; Milne, P.; Jardine, L.; Zandi, S.; Swierczek, S.I.; McGovern, N.; Cookson, S.; Ferozepurwalla, Z.; Langridge, A.; Pagan, S.; et al. The evolution of cellular deficiency in GATA2 mutation. Blood 2014, 123, 863–874. [Google Scholar] [CrossRef] [PubMed]
- Zhang, M.Y.; Keel, S.B.; Walsh, T.; Lee, M.K.; Gulsuner, S.; Watts, A.C.; Pritchard, C.C.; Salipante, S.J.; Jeng, M.R.; Hofmann, I.; et al. Genomic analysis of bone marrow failure and myelodysplastic syndromes reveals phenotypic and diagnostic complexity. Haematologica 2015, 100, 42–48. [Google Scholar] [CrossRef] [PubMed]
- Bluteau, O.; Sebert, M.; Leblanc, T.; Peffault de Latour, R.; Quentin, S.; Lainey, E.; Hernandez, L.; Dalle, J.H.; Sicre de Fontbrune, F.; Lengline, E.; et al. A landscape of germ line mutations in a cohort of inherited bone marrow failure patients. Blood 2018, 131, 717–732. [Google Scholar] [CrossRef] [PubMed]
- Donadieu, J.; Lamant, M.; Fieschi, C.; de Fontbrune, F.S.; Caye, A.; Ouachee, M.; Beaupain, B.; Bustamante, J.; Poirel, H.A.; Isidor, B.; et al. Natural history of GATA2 deficiency in a survey of 79 French and Belgian patients. Haematologica 2018, 103, 1278–1287. [Google Scholar] [CrossRef]
- Moriyama, T.; Metzger, M.L.; Wu, G.; Nishii, R.; Qian, M.; Devidas, M.; Yang, W.; Cheng, C.; Cao, X.; Quinn, E.; et al. Germline genetic variation in ETV6 and risk of childhood acute lymphoblastic leukaemia: A systematic genetic study. Lancet Oncol. 2015, 16, 1659–1666. [Google Scholar] [CrossRef]
- Okano, T.; Imai, K.; Naruto, T.; Okada, S.; Yamashita, M.; Yeh, T.W.; Ono, S.; Tanaka, K.; Okamoto, K.; Tanita, K.; et al. Whole-Exome Sequencing-Based Approach for Germline Mutations in Patients with Inborn Errors of Immunity. J. Clin. Immunol. 2020, 40, 729–740. [Google Scholar] [CrossRef]
- Spinner, M.A.; Sanchez, L.A.; Hsu, A.P.; Shaw, P.A.; Zerbe, C.S.; Calvo, K.R.; Arthur, D.C.; Gu, W.; Gould, C.M.; Brewer, C.C.; et al. GATA2 deficiency: A protean disorder of hematopoiesis, lymphatics, and immunity. Blood 2014, 123, 809–821. [Google Scholar] [CrossRef] [PubMed]
- Jorgensen, S.F.; Buechner, J.; Myhre, A.E.; Galteland, E.; Spetalen, S.; Kulseth, M.A.; Sorte, H.S.; Holla, O.L.; Lundman, E.; Alme, C.; et al. A Nationwide Study of GATA2 Deficiency in Norway-the Majority of Patients Have Undergone Allo-HSCT. J. Clin. Immunol. 2022, 42, 404–420. [Google Scholar] [CrossRef] [PubMed]
- Stray-Pedersen, A.; Backe, P.H.; Sorte, H.S.; Mørkrid, L.; Chokshi, N.Y.; Erichsen, H.C.; Gambin, T.; Elgstøen, K.B.; Bjørås, M.; Wlodarski, M.W.; et al. PGM3 mutations cause a congenital disorder of glycosylation with severe immunodeficiency and skeletal dysplasia. Am. J. Hum. Genet. 2014, 95, 96–107. [Google Scholar] [CrossRef] [PubMed]
- Barcellini, W.; Fattizzo, B. Immune Phenomena in Myeloid Neoplasms: An “Egg or Chicken” Question. Front. Immunol. 2021, 12, 751630. [Google Scholar] [CrossRef]
- Verhoeven, D.; Stoppelenburg, A.J.; Meyer-Wentrup, F.; Boes, M. Increased risk of hematologic malignancies in primary immunodeficiency disorders: Opportunities for immunotherapy. Clin. Immunol. 2018, 190, 22–31. [Google Scholar] [CrossRef] [PubMed]
- Kozyra, E.J.; Hirabayashi, S.; Pastor Loyola, V.B.; Przychodzen, B.; Karow, A.; Catala, A.; De Moerloose, B.; Dworzak, M.; Hasle, H.; Masetti, R.; et al. Clonal Mutational Landscape of Childhood Myelodysplastic Syndromes. Blood 2015, 126, 1662. [Google Scholar] [CrossRef]
- Wu, S.J.; Tang, J.L.; Lin, C.T.; Kuo, Y.Y.; Li, L.Y.; Tseng, M.H.; Huang, C.F.; Lai, Y.J.; Lee, F.Y.; Liu, M.C.; et al. Clinical implications of U2AF1 mutation in patients with myelodysplastic syndrome and its stability during disease progression. Am. J. Hematol. 2013, 88, E277–E282. [Google Scholar] [CrossRef]
- Visconte, V.; Nakashima, M.O.; Rogers, H.J. Mutations in Splicing Factor Genes in Myeloid Malignancies: Significance and Impact on Clinical Features. Cancers 2019, 11, 1844. [Google Scholar] [CrossRef]
- Graubert, T.A.; Shen, D.; Ding, L.; Okeyo-Owuor, T.; Lunn, C.L.; Shao, J.; Krysiak, K.; Harris, C.C.; Koboldt, D.C.; Larson, D.E.; et al. Recurrent mutations in the U2AF1 splicing factor in myelodysplastic syndromes. Nat. Genet. 2011, 44, 53–57. [Google Scholar] [CrossRef]
- Thol, F.; Kade, S.; Schlarmann, C.; Löffeld, P.; Morgan, M.; Krauter, J.; Wlodarski, M.W.; Kölking, B.; Wichmann, M.; Görlich, K.; et al. Frequency and prognostic impact of mutations in SRSF2, U2AF1, and ZRSR2 in patients with myelodysplastic syndromes. Blood 2012, 119, 3578–3584. [Google Scholar] [CrossRef]
- Kim, S.Y.; Kim, K.; Hwang, B.; Im, K.; Park, S.N.; Kim, J.A.; Hwang, S.M.; Bang, D.; Lee, D.S. The high frequency of the U2AF1 S34Y mutation and its association with isolated trisomy 8 in myelodysplastic syndrome in Asians, but not in Caucasians. Leuk. Res. 2017, 61, 96–103. [Google Scholar] [CrossRef] [PubMed]
- Li, B.; Liu, J.; Jia, Y.; Wang, J.; Xu, Z.; Qin, T.; Shi, Z.; Song, Z.; Peng, S.; Huang, H.; et al. Clinical features and biological implications of different U2AF1 mutation types in myelodysplastic syndromes. Genes Chromosomes Cancer 2018, 57, 80–88. [Google Scholar] [CrossRef] [PubMed]
- Wang, H.; Zhang, N.; Wu, X.; Zheng, X.; Ling, Y.; Gong, Y. Prognostic value of U2AF1 mutant in patients with de novo myelodysplastic syndromes: A meta-analysis. Ann. Hematol. 2019, 98, 2629–2639. [Google Scholar] [CrossRef] [PubMed]
- Bernard, E.; Tuechler, H.; Greenberg, P.L.; Hasserjian, R.P.; Arango Ossa, J.E.; Nannya, Y.; Devlin, S.M.; Creignou, M.; Pinel, P.; Monnier, L.; et al. Molecular International Prognostic Scoring System for Myelodysplastic Syndromes. NEJM Evid. 2022, 1, EVIDoa2200008. [Google Scholar] [CrossRef]
- Beck, D.B.; Ferrada, M.A.; Sikora, K.A.; Ombrello, A.K.; Collins, J.C.; Pei, W.; Balanda, N.; Ross, D.L.; Ospina Cardona, D.; Wu, Z.; et al. Somatic Mutations in UBA1 and Severe Adult-Onset Autoinflammatory Disease. N. Engl. J. Med. 2020, 383, 2628–2638. [Google Scholar] [CrossRef]
- Templé, M.; Kosmider, O. VEXAS Syndrome: A Novelty in MDS Landscape. Diagnostics 2022, 12, 1590. [Google Scholar] [CrossRef]
- Comont, T.; Heiblig, M.; Rivière, E.; Terriou, L.; Rossignol, J.; Bouscary, D.; Rieu, V.; Le Guenno, G.; Mathian, A.; Aouba, A.; et al. Azacitidine for patients with Vacuoles, E1 Enzyme, X-linked, Autoinflammatory, Somatic syndrome (VEXAS) and myelodysplastic syndrome: Data from the French VEXAS registry Spectrum of clonal hematopoiesis in VEXAS syndrome. Br. J. Haematol. 2022, 196, 969–974. [Google Scholar] [CrossRef]


| Characteristics | |
|---|---|
| Male, N (%) | 19 (61%) |
| Age, N (%) | |
| 0–20 years | 9 (29%) |
| 21–30 years | 12 (39%) |
| 31–40 years | 10 (32%) |
| Complete blood count | |
| WBC, ×109/L (IQR) | 2.68 (1.85–3.74) |
| Hb, g/dL (IQR) | 8.3 (7.2–9.9) |
| PLT, ×109/L (IQR) | 72 (39–174) |
| 2016 WHO classification, N (%) | |
| cMDS, RCC | 4 (13%) |
| MDS-SLD | 4 (13%) |
| MDS-MLD | 9 (29.1%) |
| MDS-RS-MLD | 1 (3.3%) |
| MDS-EB1 | 7 (22.6%) |
| MDS-EB2 | 3 (9.7%) |
| MDS-U | 3 (9.7%) |
| 2022 WHO classification, N (%) | |
| cMDS-LB | 4 (13%) |
| MDS-LB | 6 (19.4%) |
| MDS-LB-RS | 1 (3.3%) |
| MDS-h | 10 (32.3%) |
| MDS-IB1 | 7 (22.6%) |
| MDS-IB2 | 2 (6.5%) |
| MDS-biTP53 | 1 (3.3%) |
| Cytogenetic risk a, N (%) | |
| Very good | 0 |
| Good | 19 (61.3%) |
| Intermediate | 9 (29%) |
| Poor | 0 |
| Very poor | 3 (9.7%) |
| HSCT, N (%) | 17 (54.8%) |
| Progression to higher grade, N (%) | 7 (22.6%) |
| Dead, N (%) | 7 (22.6%) |
| Case | Age, Years | Sex | BM Dx (2022 WHO) | Karyotype | Causative Germline Variant (VAF, %) | Inh | Other Clinical Findings | Progression | HSCT | Outcome (OS) |
|---|---|---|---|---|---|---|---|---|---|---|
| C13 | 3 | F | cMDS-LB | 46,XX[20] | PGM3:c.871+5G>A, p.? (100) | AR | 6q14.1q14.3 microdeletion; microcephaly; leukopenia; eosinophilia; recurrent pneumonia | - | − | Expired (3 months) |
| A3 | 28 | M | MDS-LB | 46,XX[20] | ETV6:c.1075C>T, R359* (45.5) | AD | History of thrombocytopenia; recurrent lower leg cellulitis | AML (15 months after initial Dx) | + | Survive (163 months) |
| A15 | 22 | M | MDS-h | 47,XY,8[14]/46,XY[6] | GATA2:c.1082G>A, R361H (44.4) | AD | Tumorous skin growth; warts on nostrils | - | − | F/U loss (31 months) |
| A19 | 27 | M | MDS-IB2 | 46,XY[20] | GATA2:c.1168_1170del, K390del (82.8) | AD | Prolonged perianal abscess and fistula and intra-abdominal abscess at cecectomy site for acute appendicitis; aggravated and uncontrolled pneumonia | AML (3 months after initial Dx) | + | Expired (3 months) |
| A20 | 28 | M | MDS-IB1 | 50,Y,+1,der(1;7)(q10;p10),+3,+8,+9,+19[16]/46,XY[4] | GATA2:c.423_426del, Y141* (48) | AD | History of hypocellular marrow with leukopenia | - | + | Survive (22 months) |
| Case | Sex | Age, Years | BM Dx (2022 WHO) | Karyotype | Somatic Mutation | VAF (%) | |
|---|---|---|---|---|---|---|---|
| C9 | M | 10 | cMDS-LB | 46,XY[20] | BCOR | c.4009C>T; p.Q1337* | 46.9 |
| C15 | M | 19 | MDS-IB1 | 47,XY,+13[12]/46,XY[8] | ASXL1 | c.1934dup; p.G646Wfs | 22.5 |
| U2AF1 | c.101C>A; p.S34Y | 39.6 | |||||
| ETV6 | c.1191_1195dup; p.R399Pfs b | 33.7 | |||||
| A3 a | M | 28 | MDS-LB | 46,XY[20] | NRAS | c.35G>A; p.G12D | 41.9 |
| U2AF1 | c.101C>T; p.S34F | 51.9 | |||||
| A11 | M | 21 | MDS-LB | 46,XY,inv(9)(q32q34)[4]/46,XY[16] | U2AF1 | c.101C>A; p.S34Y | 42.4 |
| A12 | M | 25 | MDS-IB1 | 46,XY[18] | U2AF1 | c.101C>T; p.S34F | 50.4 |
| A16 | F | 21 | MDS-IB1 | 46,XX[20] | IDH1 | c.394C>T; p.R132C | 26.2 |
| PHF6 | c.820C>T; p.R274* | 45.5 | |||||
| MPL | c.1774C>T; p.R592* b | 24.1 | |||||
| ETV6 | c.463G>A; p.D155N b | 38.9 | |||||
| A17 | M | 24 | MDS-LB | 46,XY,del(20)(q11.2q13.3)[19]/46,XY[1] | U2AF1 | c.101C>T; p.S34F | 42.0 |
| A19 a | M | 27 | MDS-IB2 | 46,XY[20] | SF3B1 | c.2098A>G; p.K700E | 46.2 |
| U2AF1 | c.101C>A; p.S34Y | 44.0 | |||||
| A20 a | M | 28 | MDS-IB1 | 50,XY,+1,der(1;7)(q10;p10),+3,+8,+9,+19[16]/46,XY[4] | STAG2 | c.2358+1G>A; p.? | 30.4 |
| O4 | M | 32 | MDS-h | 46,XY[20] | U2AF1 | c.101C>T; p.S34F | 36.6 |
| PHF6 | c.820C>T; p.R274* | 95.3 | |||||
| O14 | M | 38 | MDS-LB | 46,XY[20] | UBA1 | c.122T>C; p.M41T | 83.3 |
| O17 | F | 30 | MDS-LB-RS | 46,XY[20] | ASXL1 | c.1934dup; p.G646Wfs | 47.1 |
| U2AF1 | c.101C>A; p.S34Y | 44.1 | |||||
| O18 | M | 34 | MDS-biTP53 | 46,XY,del(5)(q13q33),−7,der(10;12)(q10;q10),+12,add(14)(p11.2),−15,−20,+22,+22,+mar[11]/46,sl,del(3)(p21p25)[4]/46,XY[5] | DNMT3A | c.1628dup; p.R544Pfs | 33.4 |
| TP53 | c.455C>T; p.P152L | 38.4 | |||||
| TP53 | c.817C>T; p.R273C | 40.3 | |||||
| O19 | M | 38 | MDS-IB1 | 46,XY[20] | U2AF1 | c.101C>T; p.S34F | 36.8 |
| Somatic Mutations | Young-Onset MDS (Age < 40 Years, N = 31) | Late-Onset MDS (Age ≥ 40 years, N = 50) | p-Value | |
|---|---|---|---|---|
| ASXL1 | N (%) | 2 (7%) | 9 (18%) | 0.190 |
| Median VAF, % (range) | 35 (23–47) | 42 (15–49) | ||
| DNMT3A | N (%) | 1 (3%) | 10 (20%) | 0.044 |
| Median VAF, % (range) | 33 | 26 (2–43) | ||
| SF3B1 | N (%) | 1 (3%) | 9 (18%) | 0.080 |
| Median VAF, % (range) | 46 | 25 (1–39) | ||
| STAG2 | N (%) | 1 (3%) | 3 (6%) | 1.000 |
| Median VAF, % (range) | 30 | 65 (37–93) | ||
| TP53 | N (%) | 1 (3%) | 13 (26%) | 0.013 |
| Median VAF, % (range) | 40 | 41 (10–94) | ||
| U2AF1 | N (%) | 9 (29%) | 3 (6%) | 0.008 |
| Median VAF, % (range) | 42 (37–52) | 37 (3–44) | ||
Disclaimer/Publisher’s Note: The statements, opinions and data contained in all publications are solely those of the individual author(s) and contributor(s) and not of MDPI and/or the editor(s). MDPI and/or the editor(s) disclaim responsibility for any injury to people or property resulting from any ideas, methods, instructions or products referred to in the content. |
© 2023 by the authors. Licensee MDPI, Basel, Switzerland. This article is an open access article distributed under the terms and conditions of the Creative Commons Attribution (CC BY) license (https://creativecommons.org/licenses/by/4.0/).
Share and Cite
Kim, H.-Y.; Yoo, K.H.; Jung, C.W.; Kim, H.-J.; Kim, S.-H. Genetic Characteristics of Patients with Young-Onset Myelodysplastic Neoplasms. J. Clin. Med. 2023, 12, 7651. https://doi.org/10.3390/jcm12247651
Kim H-Y, Yoo KH, Jung CW, Kim H-J, Kim S-H. Genetic Characteristics of Patients with Young-Onset Myelodysplastic Neoplasms. Journal of Clinical Medicine. 2023; 12(24):7651. https://doi.org/10.3390/jcm12247651
Chicago/Turabian StyleKim, Hyun-Young, Keon Hee Yoo, Chul Won Jung, Hee-Jin Kim, and Sun-Hee Kim. 2023. "Genetic Characteristics of Patients with Young-Onset Myelodysplastic Neoplasms" Journal of Clinical Medicine 12, no. 24: 7651. https://doi.org/10.3390/jcm12247651
APA StyleKim, H.-Y., Yoo, K. H., Jung, C. W., Kim, H.-J., & Kim, S.-H. (2023). Genetic Characteristics of Patients with Young-Onset Myelodysplastic Neoplasms. Journal of Clinical Medicine, 12(24), 7651. https://doi.org/10.3390/jcm12247651

