C-Cell Hyperplasia and Cystic Papillary Thyroid Carcinoma in a Patient with Type 1B Pseudohypoparathyroidism and Hypercalcitoninaemia: Case Report and Review of the Literature
Abstract
1. Introduction
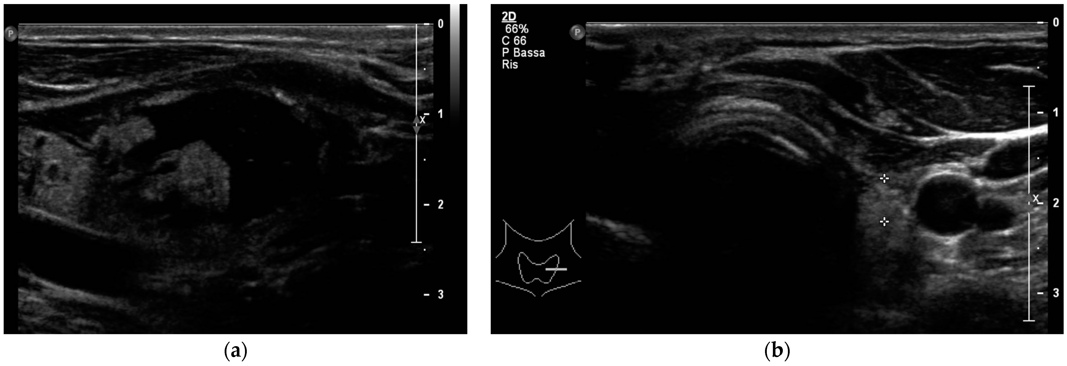
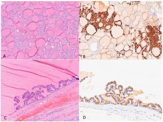
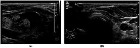
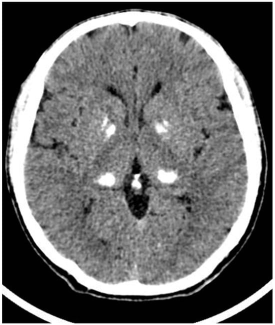
2. Case Presentation
3. Discussion
4. Conclusions
Author Contributions
Funding
Institutional Review Board Statement
Informed Consent Statement
Conflicts of Interest
Abbreviations
| aBMD | areal Bone Mineral Density | 
| AHO | Albright Hereditary Osteodystrophy | 
| CT | Computerized Tomography | 
| DXA | Dual X-Ray Absorbimetry | 
| FNAB-C | Fine Needle Aspiration Biopsy Cytology | 
| GCPR | G-Protein Coupled Receptor | 
| GH | Growth Hormone | 
| GHRH | Growth Hormone Release Peptide | 
| MTC | Medullary Thyroid Carcinoma | 
| PHP | Pseudohypoparathyroidism | 
| PPHP | Pseudo-pseudohypoparathyroidism | 
| PTC | Papillary Thyroid Carcinoma | 
| PTH | Parathyroid Hormone | 
| TSH | Thyroid-Stimulating Hormone | 
References
- McMullan, P.; Germain-Lee, E.L. Aberrant Bone Regulation in Albright Hereditary Osteodystrophy dueto Gnas Inactivation: Mechanisms and Translational Implications. Curr. Osteoporos. Rep. 2022, 20, 78–89. [Google Scholar] [CrossRef] [PubMed]
- Albright, F.; Forbes, A.P.; Henneman, P.H. Pseudo-pseudohypoparathyroidism. Trans. Assoc. Am. Physicians 1952, 65, 337–350. [Google Scholar] [PubMed]
- Mantovani, G.; Linglart, A.; Garin, I.; Silve, C.; Elli, F.M.; de Nanclares, G.P. Clinical utility gene card for: Pseudohypoparathyroidism. Eur. J. Hum. Genet. 2013, 21, 5. [Google Scholar] [CrossRef] [PubMed][Green Version]
- Elli, F.M.; Linglart, A.; Garin, I.; de Sanctis, L.; Bordogna, P.; Grybek, V.; Pereda, A.; Giachero, F.; Verrua, E.; Hanna, P.; et al. The Prevalence of GNAS Deficiency-Related Diseases in a Large Cohort of Patients Characterized by the EuroPHP Network. J. Clin. Endocrinol. Metab. 2016, 101, 3657–3668. [Google Scholar] [CrossRef]
- Thiele, S.; de Sanctis, L.; Werner, R.; Grotzinger, J.; Aydin, C.; Juppner, H.; Bastepe, M.; Hiort, O. Functional characterization of GNAS mutations found in patients with pseudohypoparathyroidism type Ic defines a new subgroup of pseudohypoparathyroidism affecting selectively Gsalpha-receptor interaction. Hum. Mutat. 2011, 32, 653–660. [Google Scholar] [CrossRef]
- Weinstein, L.S. The stimulatory G protein alpha-subunit gene: Mutations and imprinting lead to complex phenotypes. J. Clin. Endocrinol. Metab. 2001, 86, 4622–4626. [Google Scholar] [CrossRef]
- Juppner, H. Molecular Definition of Pseudohypoparathyroidism Variants. J. Clin. Endocrinol. Metab. 2021, 106, 1541–1552. [Google Scholar] [CrossRef]
- Tafaj, O.; Juppner, H. Pseudohypoparathyroidism: One gene, several syndromes. J. Endocrinol. Investig. 2017, 40, 347–356. [Google Scholar] [CrossRef]
- Vlaeminck-Guillem, V.; D'Herbomez, M.; Pigny, P.; Fayard, A.; Bauters, C.; Decoulx, M.; Wemeau, J.L. Pseudohypoparathyroidism Ia and hypercalcitoninemia. J. Clin. Endocrinol. Metab. 2001, 86, 3091–3096. [Google Scholar] [CrossRef]
- Wagar, G.; Lehtivuori, J.; Salven, I.; Backman, R.; Sivula, A. Pseudohypoparathyroidism associated with hypercalcitoninaemia. Acta Endocrinol. 1980, 93, 43–48. [Google Scholar] [CrossRef]
- Kageyama, Y.; Kawamura, J.; Ajisawa, A.; Yamada, T.; Iikuni, K. A case of pseudohypoparathyroidism type 1 associated with gonadotropin resistance and hypercalcitoninaemia. Jpn. J. Med. 1988, 27, 207–210. [Google Scholar] [CrossRef] [PubMed][Green Version]
- Fujii, H.; Higashi, K.; Morita, M.; Sato, T. A case of pseudohypoparathyroidism (PHP) associated with multiple hormonal abnormalities. Jpn. J. Med. 1984, 23, 237–241. [Google Scholar] [CrossRef] [PubMed][Green Version]
- Yavropoulou, M.P.; Chronopoulos, E.; Trovas, G.; Avramidis, E.; Elli, F.M.; Mantovani, G.; Zebekakis, P.; Yovos, J.G. Hypercalcitoninaemia in pseudohypo-parathyroidism type 1A and type 1B. Endocrinol. Diabetes Metab. Case Rep. 2019, 2019. [Google Scholar] [CrossRef]
- Mantovani, G.; Bastepe, M.; Monk, D.; de Sanctis, L.; Thiele, S.; Usardi, A.; Ahmed, S.F.; Bufo, R.; Choplin, T.; De Filippo, G.; et al. Diagnosis and management of pseudohypoparathyroidism and related disorders: First international Consensus Statement. Nat. Rev. Endocrinol. 2018, 14, 476–500. [Google Scholar] [CrossRef] [PubMed]
- Haugen, B.R.; Alexander, E.K.; Bible, K.C.; Doherty, G.M.; Mandel, S.J.; Nikiforov, Y.E.; Pacini, F.; Randolph, G.W.; Sawka, A.M.; Schlumberger, M.; et al. 2015 American Thyroid Association Management Guidelines for Adult Patients with Thyroid Nodules and Differentiated Thyroid Cancer: The American Thyroid Association Guidelines Task Force on Thyroid Nodules and Differentiated Thyroid Cancer. Thyroid 2016, 26, 1–133. [Google Scholar] [CrossRef] [PubMed]
- Totesora, D.; Chua-Agcaoili, M.T. Cystic Papillary Thyroid Carcinoma: A Case Report. J. ASEAN Fed. Endocr. Soc. 2019, 34, 215–219. [Google Scholar] [CrossRef]
- Donzuso, G.; Mostile, G.; Nicoletti, A.; Zappia, M. Correction to: Basal ganglia calcifications (Fahr’s syndrome): Related conditions and clinical features. Neurol. Sci. 2019, 40, 2265. [Google Scholar] [CrossRef]
- Nardi, F.; Basolo, F.; Crescenzi, A.; Fadda, G.; Frasoldati, A.; Orlandi, F.; Palombini, L.; Papini, E.; Zini, M.; Pontecorvi, A.; et al. Italian consensus for the classification and reporting of thyroid cytology. J. Endocrinol. Investig. 2014, 37, 593–599. [Google Scholar] [CrossRef]
- Essig, G.F., Jr.; Porter, K.; Schneider, D.; Debora, A.; Lindsey, S.C.; Busonero, G.; Fineberg, D.; Fruci, B.; Boelaert, K.; Smit, J.W.; et al. Fine needle aspiration and medullary thyroid carcinoma: The risk of inadequate preoperative evaluation and initial surgery when relying upon FNAB cytology alone. Endocr. Pract. 2013, 19, 920–927. [Google Scholar] [CrossRef]
- Kihara, M.; Hirokawa, M.; Kudo, T.; Hayashi, T.; Yamamoto, M.; Masuoka, H.; Higashiyama, T.; Fukushima, M.; Ito, Y.; Miya, A.; et al. Calcitonin measurement in fine-needle aspirate washout fluid by electrochemiluminescence immunoassay for thyroid tumors. Thyroid. Res. 2018, 11, 15. [Google Scholar] [CrossRef]
- Diazzi, C.; Madeo, B.; Taliani, E.; Zirilli, L.; Romano, S.; Granata, A.R.; De Santis, M.C.; Simoni, M.; Cioni, K.; Carani, C.; et al. The diagnostic value of calcitonin measurement in wash-out fluid from fine-needle aspiration of thyroid nodules in the diagnosis of medullary thyroid cancer. Endocr. Pract. 2013, 19, 769–779. [Google Scholar] [CrossRef] [PubMed]
- Boi, F.; Maurelli, I.; Pinna, G.; Atzeni, F.; Piga, M.; Lai, M.L.; Mariotti, S. Calcitonin measurement in wash-out fluid from fine needle aspiration of neck masses in patients with primary and metastatic medullary thyroid carcinoma. J. Clin. Endocrinol. Metab. 2007, 92, 2115–2118. [Google Scholar] [CrossRef] [PubMed]
- Trimboli, P.; Giovanella, L.; Crescenzi, A.; Romanelli, F.; Valabrega, S.; Spriano, G.; Cremonini, N.; Guglielmi, R.; Papini, E. Medullary thyroid cancer diagnosis: An appraisal. Head Neck 2014, 36, 1216–1223. [Google Scholar] [CrossRef]
- Faggiano, A.; Giannetta, E.; Modica, R.; Albertelli, M.; Barba, L.; Dolce, P.; Motta, C.; Deiana, M.G.; Martinelli, R.; Zamponi, V.; et al. Calcium-stimulated calcitonin test for the diagnosis of medullary thyroid cancer: Results of a multicenter study and comparison between different assays. Minerva Endocrinol. 2023, 48, 253–260. [Google Scholar] [CrossRef] [PubMed]
- Mian, C.; Perrino, M.; Colombo, C.; Cavedon, E.; Pennelli, G.; Ferrero, S.; De Leo, S.; Sarais, C.; Cacciatore, C.; Manfredi, G.I.; et al. Refining calcium test for the diagnosis of medullary thyroid cancer: Cutoffs, procedures, and safety. J. Clin. Endocrinol. Metab. 2014, 99, 1656–1664. [Google Scholar] [CrossRef] [PubMed]
- American Thyroid Association Guidelines Task, F.; Kloos, R.T.; Eng, C.; Evans, D.B.; Francis, G.L.; Gagel, R.F.; Gharib, H.; Moley, J.F.; Pacini, F.; Ringel, M.D.; et al. Medullary thyroid cancer: Management guidelines of the American Thyroid Association. Thyroid 2009, 19, 565–612. [Google Scholar] [CrossRef]
- Toledo, S.P.; Lourenco, D.M., Jr.; Santos, M.A.; Tavares, M.R.; Toledo, R.A.; Correia-Deur, J.E. Hypercalcitoninemia is not pathognomonic of medullary thyroid carcinoma. Clinics 2009, 64, 699–706. [Google Scholar] [CrossRef] [PubMed]
- Unluhizarci, K.; Akgun, H.; Oz, B.; Karaca, Z.; Tanriverdi, F.; Kelestimur, F. Patients with papillary thyroid carcinoma associated with high stimulated serum calcitonin levels. Endocrinol. Diabetes Metab. Case Rep. 2017, 2017. [Google Scholar] [CrossRef]
- Zwermann, O.; Piepkorn, B.; Engelbach, M.; Beyer, J.; Kann, P. Abnormal pentagastrin response in a patient with pseudohypoparathyroidism. Exp. Clin. Endocrinol. Diabetes 2002, 110, 86–91. [Google Scholar] [CrossRef]
- Adachi, I.; Abe, K.; Tanaka, M.; Yamaguchi, K.; Miyakawa, S. Plasma human calcitonin (hCT) levels in normal and pathologic conditions, and their responses to short calcium or tetragastrin infusion. Endocrinol. Jpn. 1976, 23, 517–526. [Google Scholar] [CrossRef]
- Bastepe, M.; Lane, A.H.; Juppner, H. Paternal uniparental isodisomy of chromosome 20q--and the resulting changes in GNAS1 methylation--as a plausible cause of pseudohypoparathyroidism. Am. J. Hum. Genet. 2001, 68, 1283–1289. [Google Scholar] [CrossRef][Green Version]
- Underbjerg, L.; Malmstroem, S.; Sikjaer, T.; Rejnmark, L. Bone Status Among Patients With Nonsurgical Hypoparathyroidism, Autosomal Dominant Hypocalcaemia, and Pseudohypoparathyroidism: A Cohort Study. J. Bone Miner. Res. 2018, 33, 467–477. [Google Scholar] [CrossRef]
- Brancatella, A.; Mantovani, G.; Elli, F.M.; Borsari, S.; Marcocci, C.; Cetani, F. A severe inactivating PTH/PTHrP signaling disorder type 2 in a patient carrying a novel large deletion of the GNAS gene: A case report and review of the literature. Endocrine 2020, 67, 466–472. [Google Scholar] [CrossRef] [PubMed]
- Aliapoulios, M.A.; Voelkel, E.F.; Munson, P.L. Assay of human thyroid glands for thyrocalcitonin activity. J. Clin. Endocrinol. Metab. 1966, 26, 897–901. [Google Scholar] [CrossRef] [PubMed]
- Lee, J.B.; Tashjian, A.H., Jr.; Streeto, J.M.; Frantz, A.G. Familial pseudohypoparathyroidism. Role of parathyroid hormone and thyrocalcitonin. N. Engl. J. Med. 1968, 279, 1179–1184. [Google Scholar] [CrossRef] [PubMed]
- Suh, S.M.; Kooh, S.W.; Chan, A.M.; Fraser, D.; Tashjian, A.H., Jr. Pseudohypoparathyroidism: No improvement following total thyroidectomy. J. Clin. Endocrinol. Metab. 1969, 29, 429–439. [Google Scholar] [CrossRef] [PubMed]
- Deftos, L.J.; Powell, D.; Parthemore, J.G.; Potts, J.T., Jr. Secretion of calcitonin in hypocalcemic states in man. J. Clin. Investig. 1973, 52, 3109–3114. [Google Scholar] [CrossRef]
- Birkenhager, J.C.; Seldenrath, H.J.; Hackeng, W.H.; Schellekens, A.P.; van der Veer, A.L.; Roelfsema, F. Calcium and phosphorus metabolism parathyroid hormone, calcitonin and bone histology in pseudohypoparathyroidism. Eur. J. Clin. Investig. 1973, 3, 27–34. [Google Scholar] [CrossRef]
- Tessaris, D.; Bonino, E.; Weber, G.; Wasniewska, M.; Corica, D.; Pitea, M.; Scire, G.; Caruso-Nicoletti, M.; Fintini, D.; de Sanctis, L. Pseudohypoparathyroidism: Application of the Italian common healthcare-pathway for a homogeneous clinical approach and a shared follow up. Ital. J. Pediatr. 2021, 47, 48. [Google Scholar] [CrossRef]
- Nikiforov, Y.E.; Carty, S.E.; Chiosea, S.I.; Coyne, C.; Duvvuri, U.; Ferris, R.L.; Gooding, W.E.; LeBeau, S.O.; Ohori, N.P.; Seethala, R.R.; et al. Impact of the Multi-Gene ThyroSeq Next-Generation Sequencing Assay on Cancer Diagnosis in Thyroid Nodules with Atypia of Undetermined Significance/Follicular Lesion of Undetermined Significance Cytology. Thyroid 2015, 25, 1217–1223. [Google Scholar] [CrossRef]
- Fortuna, G.M.G.; Rios, P.; Rivero, A.; Zuniga, G.; Dvir, K.; Pagacz, M.M.; Manzano, A. Papillary Thyroid Carcinoma With Cystic Changes in a Patient With Prior History of Toxic Nodule. J. Investig. Med. High Impact. Case Rep. 2020, 8, 2324709620942672. [Google Scholar] [CrossRef] [PubMed]
- Yang, G.C.; Stern, C.M.; Messina, A.V. Cystic papillary thyroid carcinoma in fine needle aspiration may represent a subset of the encapsulated variant in WHO classification. Diagn. Cytopathol. 2010, 38, 721–726. [Google Scholar] [CrossRef] [PubMed]
- Elrick, H.; Albright, F.; Bartter, F.C.; Forbes, A.P.; Reeves, J.D. Further studies on pseudo-hypoparathyroidism: Report of four new cases. Acta Endocrinol. 1950, 5, 199–225. [Google Scholar] [CrossRef] [PubMed]
- Mann, J.B.; Alterman, S.; Hills, A.G. Albright’s hereditary osteodystrophy comprising pseudohypoparathyroidism and pseudo-pseudohypoparathyroidism. With a report of two cases representing the complete syndrome occurring in successive generations. Ann. Intern. Med. 1962, 56, 315–342. [Google Scholar] [CrossRef]
- Linglart, A.; Bastepe, M.; Juppner, H. Similar clinical and laboratory findings in patients with symptomatic autosomal dominant and sporadic pseudohypoparathyroidism type Ib despite different epigenetic changes at the GNAS locus. Clin. Endocrinol. 2007, 67, 822–831. [Google Scholar] [CrossRef]
- Dedivitis, R.A.; Aires, F.T.; Cernea, C.R. Hypoparathyroidism after thyroidectomy: Prevention, assessment and management. Curr. Opin. Otolaryngol. Head Neck Surg. 2017, 25, 142–146. [Google Scholar] [CrossRef]





| T0 | T1 (1′) | T2 (2′) | T3 (3′) | T4 (5′) | T5 (10′) | T6 (15′) | |
|---|---|---|---|---|---|---|---|
| Calcitonin (pg/mL) | 34.1 | 651 | 537 | 503 | 392 | 248 | 186 | 
| Normal Laboratory Range | At the Time of Diagnosis (Naive to Therapy) | Before Surgery (after Medical Therapy) | 6 Days after Surgery | 6 Weeks after Surgery | 6 Months after Surgery | |
|---|---|---|---|---|---|---|
| PTH, pg/mL | 4–58.1 | 220 | 86.8 | <4 | <4 | <4 | 
| Calcitonin, pg/mL | <10 | 34 | 33.1 | - | 1.6 | <2 | 
| Calcium, mg/dL | 8.4–10.2 | 6.5 | 9.7 | 7.0 | 8.2 | 8.5 | 
| Phosphorus, mg/dL | 2.5–4.5 | 5.6 | 3.6 | 4.6 | 4.1 | 4.5 | 
| Vitamin D, ng/mL | >30 | 26 | 32.6 | - | - | 30.0 | 
| Creatinine, mg/dL | 0.7–1.3 | 0.9 | 1.0 | - | 0.9 | 1.0 | 
| TSH, µUI/mL | 0.35–4.94 | 1.4 | 2.64 | - | 7.08 | 0.12 | 
| fT4, ng/dL | 0.7–1.48 | 0.78 | - | - | 0.82 | 1.15 | 
| Thyroglobulin, ng/mL | 3.68–64.15 | <0.1 | ||||
| Thyroglobulin Antibodies, UI/mL | <5 | 3 | ||||
| LH, mUI/mL | 1.8–8.2 | 2.1 | - | - | - | - | 
| FSH, mUI/mL | 1.4–9.8 | 2.5 | - | - | - | - | 
| Testosterone, ng/mL | 3.0–8.1 | 6.52 | - | - | - | - | 
| ACTH, pg/mL | 3–41 | 26 | - | - | - | - | 
| Disclaimer/Publisher’s Note: The statements, opinions and data contained in all publications are solely those of the individual author(s) and contributor(s) and not of MDPI and/or the editor(s). MDPI and/or the editor(s) disclaim responsibility for any injury to people or property resulting from any ideas, methods, instructions or products referred to in the content. | 
© 2023 by the authors. Licensee MDPI, Basel, Switzerland. This article is an open access article distributed under the terms and conditions of the Creative Commons Attribution (CC BY) license (https://creativecommons.org/licenses/by/4.0/).
Share and Cite
Ferrari, D.; Pandozzi, C.; Filice, A.; Nardi, C.; Cozzolino, A.; Melcarne, R.; Giacomelli, L.; Biffoni, M.; Di Gioia, C.; Merenda, E.; et al. C-Cell Hyperplasia and Cystic Papillary Thyroid Carcinoma in a Patient with Type 1B Pseudohypoparathyroidism and Hypercalcitoninaemia: Case Report and Review of the Literature. J. Clin. Med. 2023, 12, 7525. https://doi.org/10.3390/jcm12247525
Ferrari D, Pandozzi C, Filice A, Nardi C, Cozzolino A, Melcarne R, Giacomelli L, Biffoni M, Di Gioia C, Merenda E, et al. C-Cell Hyperplasia and Cystic Papillary Thyroid Carcinoma in a Patient with Type 1B Pseudohypoparathyroidism and Hypercalcitoninaemia: Case Report and Review of the Literature. Journal of Clinical Medicine. 2023; 12(24):7525. https://doi.org/10.3390/jcm12247525
Chicago/Turabian StyleFerrari, Davide, Carla Pandozzi, Alessia Filice, Christopher Nardi, Alessia Cozzolino, Rossella Melcarne, Laura Giacomelli, Marco Biffoni, Cira Di Gioia, Elisabetta Merenda, and et al. 2023. "C-Cell Hyperplasia and Cystic Papillary Thyroid Carcinoma in a Patient with Type 1B Pseudohypoparathyroidism and Hypercalcitoninaemia: Case Report and Review of the Literature" Journal of Clinical Medicine 12, no. 24: 7525. https://doi.org/10.3390/jcm12247525
APA StyleFerrari, D., Pandozzi, C., Filice, A., Nardi, C., Cozzolino, A., Melcarne, R., Giacomelli, L., Biffoni, M., Di Gioia, C., Merenda, E., Del Sindaco, G., Pagnano, A., Pofi, R., & Giannetta, E. (2023). C-Cell Hyperplasia and Cystic Papillary Thyroid Carcinoma in a Patient with Type 1B Pseudohypoparathyroidism and Hypercalcitoninaemia: Case Report and Review of the Literature. Journal of Clinical Medicine, 12(24), 7525. https://doi.org/10.3390/jcm12247525
 
        


 
                         
       