Preprosthetic Surgery—Narrative Review and Current Debate
Abstract
1. Introduction
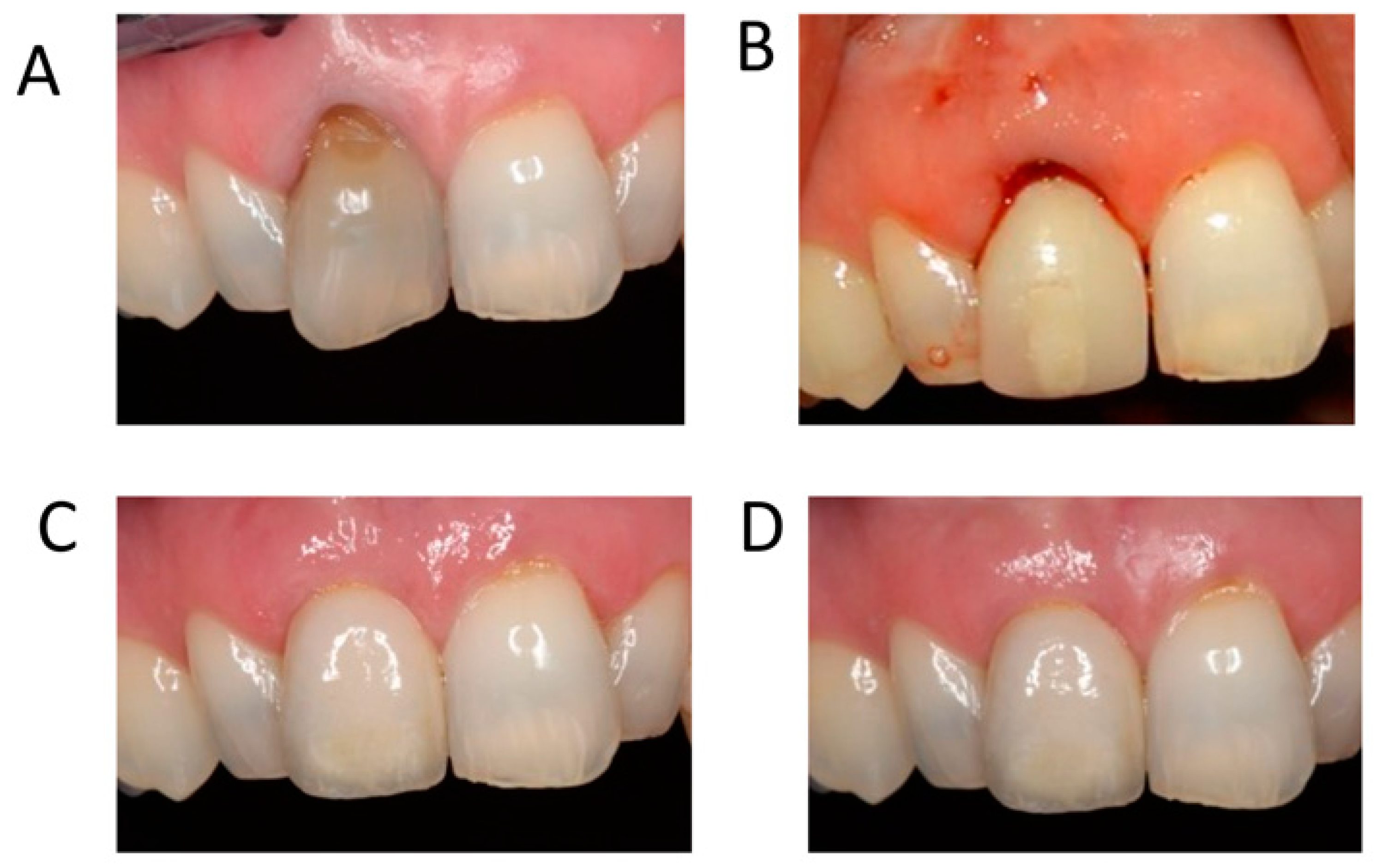
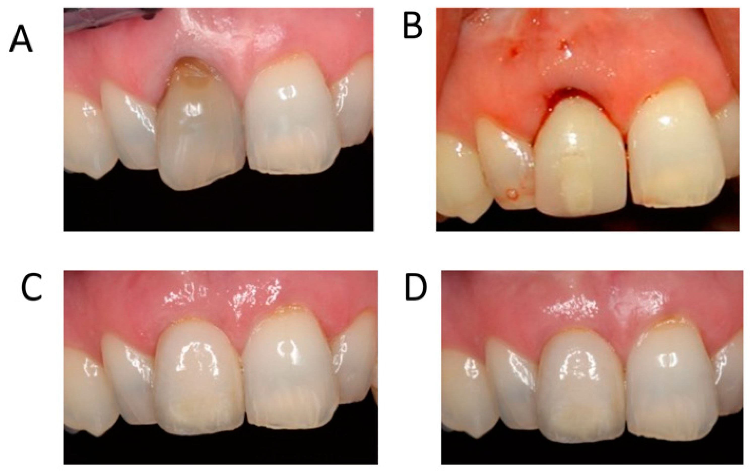
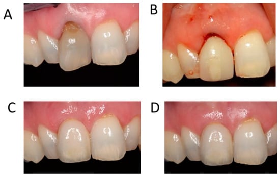
2. Soft versus Hard Tissue Augmentation in the Anterior Region
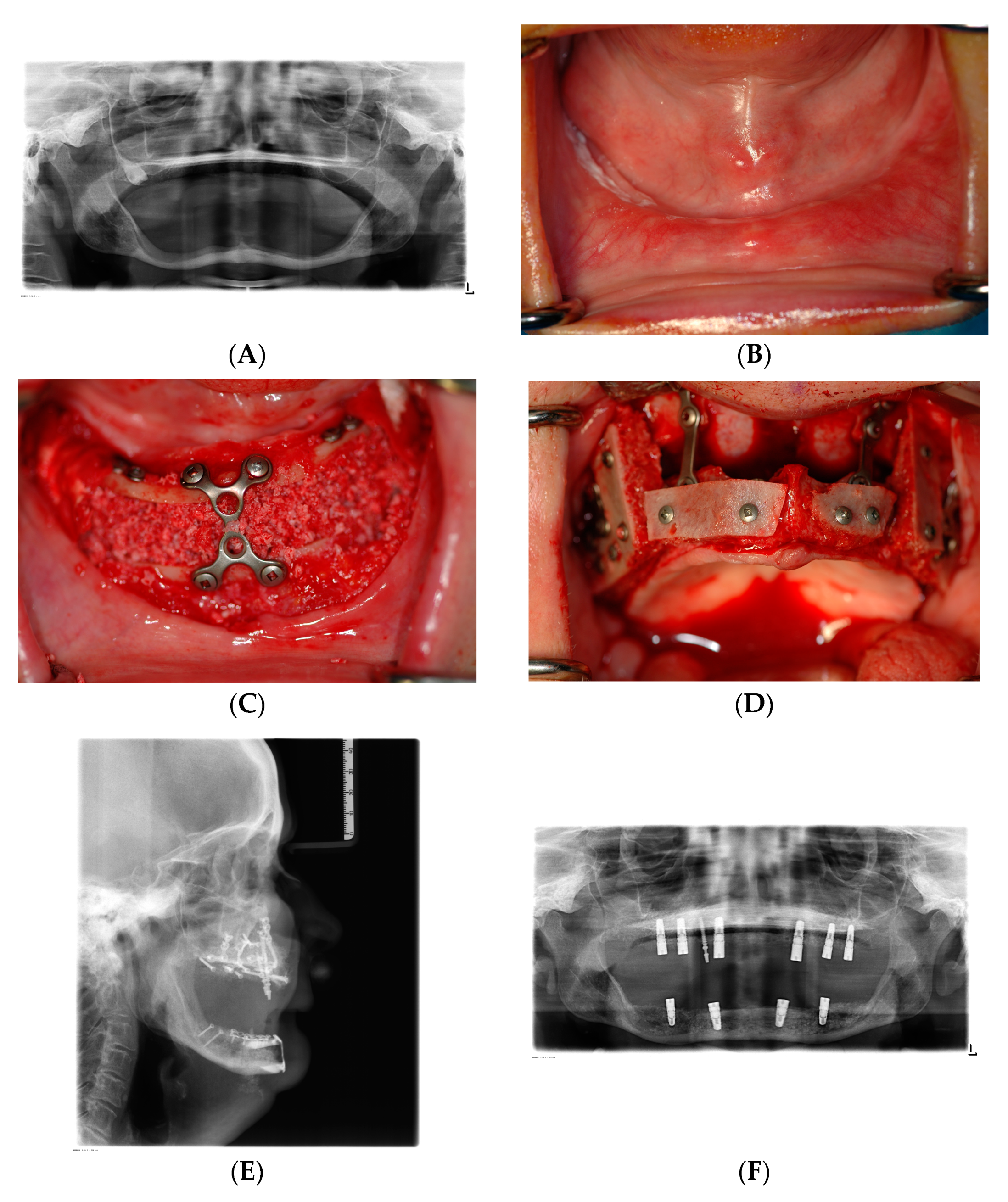
3. Bone Reconstruction of the Anterior Maxilla
4. Sinus Floor Augmentation and Standard-Length Implants versus Short Implants
5. Vertical Ridge Augmentation—Sandwich versus Onlay Grafting
6. Conclusions
Funding
Conflicts of Interest
References
- Cawood, J.I.; Stoelinga, P.J.W. International academy for oral and facial rehabilitation—Consensus Report. Int. J. Oral. Maxillofac. Surg. 2006, 35, 195–198. [Google Scholar] [CrossRef]
- Bell, R.B.; Blakey, G.H.; White, R.P.; Hillebrand, D.G.; Molina, A. Staged reconstruction of the severely atrophic mandible with autogenous bone graft and endosteal implants. J. Oral. Maxillofac. Surg. 2002, 60, 1135–1141. [Google Scholar] [CrossRef] [PubMed]
- Sassano, P.; Gennaro, P.; Chisci, G.; Gabriele, G.; Aboh, I.V.; Mitro, V.; di Curzio, P. Calvarial onlay graft and submental incision in treatment of atrophic edentulous mandibles: An approach to reduce postoperative complications. J. Craniofac. Surg. 2014, 25, 693–697. [Google Scholar] [CrossRef] [PubMed]
- Härle, F. Präprothetische Operationen; Hanser: Munich, Germany, 1983. [Google Scholar]
- Chisci, G.; Hatia, A.; Chisci, E.; Chisci, D.; Gennaro, P.; Gabriele, G. Socket Preservation after Tooth Extraction: Particulate Autologous Bone vs. Deproteinized Bovine Bone. Bioengineering 2023, 10, 421. [Google Scholar] [CrossRef] [PubMed]
- Boven, G.C.; Meijer, H.J.A.; Vissink, A.; Raghoebar, G.M. Reconstruction of the extremely atrophied mandible with iliac crest onlay grafts followed by two endosteal implants: A retrospective study with long-term follow-up. Int. J. Oral. Maxillofac. Surg. 2014, 43, 626–632. [Google Scholar] [CrossRef] [PubMed]
- den Hartog, L.; Slater, J.J.; Vissink, A.; Meijer, H.J.; Raghoebar, G.M. Treatment outcome of immediate, early and conventional single-tooth implants in the aesthetic zone: A systematic review to survival, bone level, soft-tissue, aesthetics and patient satisfaction. J. Clin. Periodontol. 2008, 35, 1073–1086. [Google Scholar] [CrossRef]
- Couso-Queiruga, E.; Stuhr, S.; Tattan, M.; Chambrone, L.; Avila-Ortiz, G. Post-extraction dimensional changes: A systematic review and meta-analysis. J. Clin. Periodontol. 2021, 48, 126–144. [Google Scholar] [CrossRef]
- Buser, D.; Chappuis, V.; Bornstein, M.M.; Wittneben, J.G.; Frei, M.; Belser, U.C. Long-term stability of contour augmentation with early implant placement following single tooth extraction in the esthetic zone: A prospective, cross-sectional study in 41 patients with a 5- to 9-year follow-up. J. Periodontol. 2013, 84, 1517–1527. [Google Scholar] [CrossRef]
- Chappuis, V.; Rahman, L.; Buser, R.; Janner, S.F.M.; Belser, U.C.; Buser, D. Effectiveness of Contour Augmentation with Guided Bone Regeneration: 10-Year Results. J. Dent. Res. 2018, 97, 266–274. [Google Scholar] [CrossRef]
- De Bruyckere, T.; Cosyn, J.; Younes, F.; Hellyn, J.; Bekx, J.; Cleymaet, R.; Eghbali, A. A randomized controlled study comparing guided bone regeneration with connective tissue graft to re-establish buccal convexity: One-year aesthetic and patient-reported outcomes. Clin. Oral Implant. Res. 2020, 31, 507–516. [Google Scholar] [CrossRef]
- Bouckaert, E.; De Bruyckere, T.; Eghbali, A.; Younes, F.; Wessels, R.; Cosyn, J. A randomized controlled trial comparing guided bone regeneration to connective tissue graft to re-establish buccal convexity at dental implant sites: Three-year results. Clin. Oral Implant. Res. 2022, 33, 461–471. [Google Scholar] [CrossRef] [PubMed]
- Raghoebar, G.M.; Korfage, A.; Meijer, H.J.A.; Gareb, B.; Vissink, A.; Delli, K. Linear and profilometric changes of the mucosa following soft tissue augmentation in the zone of aesthetic priority: A systematic review and meta-analysis. Clin. Oral Implant. Res. 2021, 32 (Suppl. S21), 138–156. [Google Scholar] [CrossRef]
- Tavelli, L.; Barootchi, S.; Avila-Ortiz, G.; Urban, I.A.; Giannobile, W.V.; Wang, H.L. Peri-implant soft tissue phenotype modification and its impact on peri-implant health: A systematic review and network meta-analysis. J. Periodontol. 2021, 92, 21–44. [Google Scholar] [CrossRef]
- Thoma, D.S.; Cosyn, J.; Fickl, S.; Jensen, S.S.; Jung, R.E.; Raghoebar, G.M.; Rocchietta, I.; Roccuzzo, M.; Sanz, M.; Sanz-Sanchez, I.; et al. Soft tissue management at implants: Summary and consensus statements of group 2. The 6th EAO Consensus Conference 2021. Clin. Oral Implant. Res. 2021, 32 (Suppl. S21), 174–180. [Google Scholar] [CrossRef] [PubMed]
- Stefanini, M.; Tavelli, L.; Barootchi, S.; Sangiorgi, M.; Zucchelli, G. Patient-reported outcome measures following soft-tissue grafting at implant sites: A systematic review. Clin. Oral Implant. Res. 2021, 32 (Suppl. S21), 157–173. [Google Scholar] [CrossRef]
- Thoma, D.S.; Strauss, F.J.; Mancini, L.; Gasser, T.J.W.; Jung, R.E. Minimal invasiveness in soft tissue augmentation at dental implants: A systematic review and meta-analysis of patient-reported outcome measures. Periodontol. 2000 2023, 91, 182–198. [Google Scholar] [CrossRef] [PubMed]
- Thoma, D.S.; Gasser, T.J.W.; Hammerle, C.H.F.; Strauss, F.J.; Jung, R.E. Soft tissue augmentation with a volume-stable collagen matrix or an autogenous connective tissue graft at implant sites: Five-year results of a randomized controlled trial post implant loading. J. Periodontol. 2023, 94, 230–243. [Google Scholar] [CrossRef]
- Cosyn, J.; Eeckhout, C.; De Bruyckere, T.; Eghbali, A.; Vervaeke, S.; Younes, F.; Christiaens, V. A multi-centre randomized controlled trial comparing connective tissue graft with collagen matrix to increase soft tissue thickness at the buccal aspect of single implants: 1-year results. J. Clin. Periodontol. 2022, 49, 911–921. [Google Scholar] [CrossRef]
- Ramanauskaite, A.; Sader, R. Esthetic complications in implant dentistry. Periodontol. 2000 2022, 88, 73–85. [Google Scholar] [CrossRef]
- Romanos, G.E.; Delgado-Ruiz, R.; Sculean, A. Concepts for prevention of complications in implant therapy. Periodontol. 2000 2019, 81, 7–17. [Google Scholar] [CrossRef]
- Yang, X.; Sun, W.; Wang, Z.; Ji, A.P.; Bai, J. [Clinical analysis of children and adolescents emergency dental trauma cases]. Beijing Da Xue Xue Bao Yi Xue Ban 2021, 53, 384–389. [Google Scholar] [CrossRef]
- Rakhshan, V. Meta-Analysis of Observational Studies on the Most Commonly Missing Permanent Dentition (Excluding the Third Molars) in Non-Syndromic Dental Patients or Randomly-Selected Subjects, and the Factors Affecting the Observed Rates. J. Clin. Pediatr. Dent. 2015, 39, 199–207. [Google Scholar] [CrossRef]
- Tsigarida, A.; Toscano, J.; de Brito Bezerra, B.; Geminiani, A.; Barmak, A.B.; Caton, J.; Papaspyridakos, P.; Chochlidakis, K. Buccal bone thickness of maxillary anterior teeth: A systematic review and meta-analysis. J. Clin. Periodontol. 2020, 47, 1326–1343. [Google Scholar] [CrossRef]
- Araújo, M.G.; Silva, C.O.; Misawa, M.; Sukekava, F. Alveolar socket healing: What can we learn? Periodontol. 2000 2015, 68, 122–134. [Google Scholar] [CrossRef]
- Avila-Ortiz, G.; Chambrone, L.; Vignoletti, F. Effect of alveolar ridge preservation interventions following tooth extraction: A systematic review and meta-analysis. J. Clin. Periodontol. 2019, 46 (Suppl. S21), 195–223. [Google Scholar] [CrossRef]
- Cordaro, L.; Amadé, D.S.; Cordaro, M. Clinical results of alveolar ridge augmentation with mandibular block bone grafts in partially edentulous patients prior to implant placement. Clin. Oral Implant. Res. 2002, 13, 103–111. [Google Scholar] [CrossRef]
- Clavero, J.; Lundgren, S. Ramus or chin grafts for maxillary sinus inlay and local onlay augmentation: Comparison of donor site morbidity and complications. Clin. Implant. Dent. Relat. Res. 2003, 5, 154–160. [Google Scholar] [CrossRef]
- Block, M.S.; Baughman, D.G. Reconstruction of severe anterior maxillary defects using distraction osteogenesis, bone grafts, and implants. J. Oral. Maxillofac. Surg. 2005, 63, 291–297. [Google Scholar] [CrossRef]
- von Arx, T.; Buser, D. Horizontal ridge augmentation using autogenous block grafts and the guided bone regeneration technique with collagen membranes: A clinical study with 42 patients. Clin. Oral Implant. Res. 2006, 17, 359–366. [Google Scholar] [CrossRef]
- Spin-Neto, R.; Stavropoulos, A.; Dias Pereira, L.A.; Marcantonio, E., Jr.; Wenzel, A. Fate of autologous and fresh-frozen allogeneic block bone grafts used for ridge augmentation. A CBCT-based analysis. Clin. Oral Implant. Res. 2013, 24, 167–173. [Google Scholar] [CrossRef]
- Mangano, F.G.; Zecca, P.; Luongo, F.; Iezzi, G.; Mangano, C. Single-tooth morse taper connection implant placed in grafted site of the anterior maxilla: Clinical and radiographic evaluation. Case Rep. Dent. 2014, 2014, 183872. [Google Scholar] [CrossRef] [PubMed]
- Sakkas, A.; Wilde, F.; Heufelder, M.; Winter, K.; Schramm, A. Autogenous bone grafts in oral implantology-is it still a “gold standard”? A consecutive review of 279 patients with 456 clinical procedures. Int. J. Implant. Dent. 2017, 3, 23. [Google Scholar] [CrossRef] [PubMed]
- Sjöström, M.; Sennerby, L.; Lundgren, S. Bone graft healing in reconstruction of maxillary atrophy. Clin. Implant. Dent. Relat. Res. 2013, 15, 367–379. [Google Scholar] [CrossRef] [PubMed]
- Lee, H.G.; Kim, Y.D. Volumetric stability of autogenous bone graft with mandibular body bone: Cone-beam computed tomography and three-dimensional reconstruction analysis. J. Korean Assoc. Oral Maxillofac. Surg. 2015, 41, 232–239. [Google Scholar] [CrossRef] [PubMed]
- Stricker, A.; Jacobs, R.; Maes, F.; Fluegge, T.; Vach, K.; Fleiner, J. Resorption of retromolar bone grafts after alveolar ridge augmentation-volumetric changes after 12 months assessed by CBCT analysis. Int. J. Implant. Dent. 2021, 7, 7. [Google Scholar] [CrossRef] [PubMed]
- Elnayef, B.; Porta, C.; Suárez-López Del Amo, F.; Mordini, L.; Gargallo-Albiol, J.; Hernández-Alfaro, F. The Fate of Lateral Ridge Augmentation: A Systematic Review and Meta-Analysis. Int. J. Oral Maxillofac. Implant. 2018, 33, 622–635. [Google Scholar] [CrossRef] [PubMed]
- Troeltzsch, M.; Troeltzsch, M.; Kauffmann, P.; Gruber, R.; Brockmeyer, P.; Moser, N.; Rau, A.; Schliephake, H. Clinical efficacy of grafting materials in alveolar ridge augmentation: A systematic review. J. Craniomaxillofac. Surg. 2016, 44, 1618–1629. [Google Scholar] [CrossRef]
- Starch-Jensen, T.; Deluiz, D.; Tinoco, E.M.B. Horizontal Alveolar Ridge Augmentation with Allogeneic Bone Block Graft Compared with Autogenous Bone Block Graft: A Systematic Review. J. Oral Maxillofac. Res. 2020, 11, e1. [Google Scholar] [CrossRef]
- Yun, K.I.; Choi, H.; Wright, R.F.; Ahn, H.S.; Chang, B.M.; Kim, H.J. Efficacy of Alveolar Vertical Distraction Osteogenesis and Autogenous Bone Grafting for Dental Implants: Systematic Review and Meta-Analysis. Int. J. Oral Maxillofac. Implant. 2016, 31, 26–36. [Google Scholar] [CrossRef]
- Zhao, K.; Wang, F.; Huang, W.; Wu, Y. Clinical Outcomes of Vertical Distraction Osteogenesis for Dental Implantation: A Systematic Review and Meta-Analysis. Int. J. Oral Maxillofac. Implant. 2018, 33, 549–564. [Google Scholar] [CrossRef]
- Verdonck, H.W.; Meijer, G.J.; Laurin, T.; Nieman, F.H.; Stoll, C.; Riediger, D.; Stoelinga, P.J.; de Baat, C. Assessment of vascularity in irradiated and nonirradiated maxillary and mandibular minipig alveolar bone using laser doppler flowmetry. Int. J. Oral Maxillofac. Implant. 2007, 22, 774–778. [Google Scholar]
- Koga, D.H.; Salvajoli, J.V.; Alves, F.A. Dental extractions and radiotherapy in head and neck oncology: Review of the literature. Oral Dis. 2008, 14, 40–44. [Google Scholar] [CrossRef] [PubMed]
- Maier, F.M. Initial Crestal Bone Loss After Implant Placement with Flapped or Flapless Surgery—A Prospective Cohort Study. Int. J. Oral Maxillofac. Implant. 2016, 31, 876–883. [Google Scholar] [CrossRef] [PubMed][Green Version]
- Zhuang, J.; Zhao, D.; Wu, Y.; Xu, C. Evaluation of Outcomes of Dental Implants Inserted by Flapless or Flapped Procedure: A Meta-Analysis. Implant. Dent. 2018, 27, 588–598. [Google Scholar] [CrossRef] [PubMed]
- Lemos, C.A.A.; Verri, F.R.; Cruz, R.S.; Gomes, J.M.L.; Dos Santos, D.M.; Goiato, M.C.; Pellizzer, E.P. Comparison between flapless and open-flap implant placement: A systematic review and meta-analysis. Int. J. Oral Maxillofac. Surg. 2020, 49, 1220–1231. [Google Scholar] [CrossRef]
- Bienz, S.P.; Pirc, M.; Papageorgiou, S.N.; Jung, R.E.; Thoma, D.S. The influence of thin as compared to thick peri-implant soft tissues on aesthetic outcomes: A systematic review and meta-analysis. Clin. Oral Implant. Res. 2022, 33 (Suppl. S23), 56–71. [Google Scholar] [CrossRef]
- Hosseini, M.; Worsaae, N.; Gotfredsen, K. Tissue changes at implant sites in the anterior maxilla with and without connective tissue grafting: A five-year prospective study. Clin. Oral Implant. Res. 2020, 31, 18–28. [Google Scholar] [CrossRef]
- Mathews, D.P. The long-term stability of soft tissue augmentation in treatment of localized severe maxillary anterior ridge deformities. J. Esthet. Restor. Dent. 2021, 33, 202–211. [Google Scholar] [CrossRef]
- Arunyanak, S.P.; Pollini, A.; Ntounis, A.; Morton, D. Clinician assessments and patient perspectives of single-tooth implant restorations in the esthetic zone of the maxilla: A systematic review. J. Prosthet. Dent. 2017, 118, 10–17. [Google Scholar] [CrossRef]
- D’Haese, J.; Ackhurst, J.; Wismeijer, D.; De Bruyn, H.; Tahmaseb, A. Current state of the art of computer-guided implant surgery. Periodontol. 2000 2017, 73, 121–133. [Google Scholar] [CrossRef]
- Laederach, V.; Mukaddam, K.; Payer, M.; Filippi, A.; Kühl, S. Deviations of different systems for guided implant surgery. Clin. Oral Implant. Res. 2017, 28, 1147–1151. [Google Scholar] [CrossRef] [PubMed]
- Åkesson, F.; Zamure-Damberga, L.; Lundgren, S.; Sjöström, M. Alveolar bone remodeling in virtually planned, bone-grafted vs non-grafted guided flapless implant surgery in the anterior maxilla: A cross-sectional retrospective follow-up study. Oral Maxillofac. Surg. 2023, 27, 43–52. [Google Scholar] [CrossRef] [PubMed]
- Starch-Jensen, T.; Aludden, H.; Hallman, M.; Dahlin, C.; Christensen, A.E.; Mordenfeld, A. A systematic review and meta-analysis of long-term studies (five or more years) assessing maxillary sinus floor augmentation. Int. J. Oral Maxillofac. Surg. 2018, 47, 103–116. [Google Scholar] [CrossRef] [PubMed]
- Esposito, M.; Grusovin, M.G.; Rees, J.; Karasoulos, D.; Felice, P.; Alissa, R.; Worthington, H.; Coulthard, P. Effectiveness of sinus lift procedures for dental implant rehabilitation: A Cochrane systematic review. Eur. J. Oral Implantol. 2010, 3, 7–26. [Google Scholar] [PubMed]
- Raghoebar, G.M.; Onclin, P.; Boven, G.C.; Vissink, A.; Meijer, H.J.A. Long-term effectiveness of maxillary sinus floor augmentation: A systematic review and meta-analysis. J. Clin. Periodontol. 2019, 46 (Suppl. S21), 307–318. [Google Scholar] [CrossRef]
- Antonoglou, G.N.; Stavropoulos, A.; Samara, M.D.; Ioannidis, A.; Benic, G.I.; Papageorgiou, S.N.; Sándor, G.K. Clinical Performance of Dental Implants Following Sinus Floor Augmentation: A Systematic Review and Meta-Analysis of Clinical Trials with at Least 3 Years of Follow-up. Int. J. Oral Maxillofac. Implant. 2018, 33, e45–e65. [Google Scholar] [CrossRef]
- Danesh-Sani, S.A.; Engebretson, S.P.; Janal, M.N. Histomorphometric results of different grafting materials and effect of healing time on bone maturation after sinus floor augmentation: A systematic review and meta-analysis. J. Periodontal Res. 2017, 52, 301–312. [Google Scholar] [CrossRef]
- Corbella, S.; Taschieri, S.; Weinstein, R.; Del Fabbro, M. Histomorphometric outcomes after lateral sinus floor elevation procedure: A systematic review of the literature and meta-analysis. Clin. Oral Implant. Res. 2016, 27, 1106–1122. [Google Scholar] [CrossRef]
- Cordaro, L.; Torsello, F.; Miuccio, M.T.; di Torresanto, V.M.; Eliopoulos, D. Mandibular bone harvesting for alveolar reconstruction and implant placement: Subjective and objective cross-sectional evaluation of donor and recipient site up to 4 years. Clin. Oral Implant. Res. 2011, 22, 1320–1326. [Google Scholar] [CrossRef]
- Jensen, T.; Schou, S.; Svendsen, P.A.; Forman, J.L.; Gundersen, H.J.; Terheyden, H.; Holmstrup, P. Volumetric changes of the graft after maxillary sinus floor augmentation with Bio-Oss and autogenous bone in different ratios: A radiographic study in minipigs. Clin. Oral Implant. Res. 2012, 23, 902–910. [Google Scholar] [CrossRef]
- Cosso, M.G.; de Brito, R.B., Jr.; Piattelli, A.; Shibli, J.A.; Zenóbio, E.G. Volumetric dimensional changes of autogenous bone and the mixture of hydroxyapatite and autogenous bone graft in humans maxillary sinus augmentation. A multislice tomographic study. Clin. Oral Implant. Res. 2014, 25, 1251–1256. [Google Scholar] [CrossRef] [PubMed]
- Shanbhag, S.; Shanbhag, V.; Stavropoulos, A. Volume changes of maxillary sinus augmentations over time: A systematic review. Int. J. Oral Maxillofac. Implant. 2014, 29, 881–892. [Google Scholar] [CrossRef] [PubMed]
- Grunau, O.; Terheyden, H. Lateral augmentation of the sinus floor followed by regular implants versus short implants in the vertically deficient posterior maxilla: A systematic review and timewise meta-analysis of randomized studies. Int. J. Oral Maxillofac. Surg. 2023, 52, 813–824. [Google Scholar] [CrossRef] [PubMed]
- Toledano, M.; Fernández-Romero, E.; Vallecillo, C.; Toledano, R.; Osorio, M.T.; Vallecillo-Rivas, M. Short versus standard implants at sinus augmented sites: A systematic review and meta-analysis. Clin. Oral Investig. 2022, 26, 6681–6698. [Google Scholar] [CrossRef]
- Thoma, D.S.; Zeltner, M.; Hüsler, J.; Hämmerle, C.H.; Jung, R.E. EAO Supplement Working Group 4—EAO CC 2015 Short implants versus sinus lifting with longer implants to restore the posterior maxilla: A systematic review. Clin. Oral Implant. Res. 2015, 26 (Suppl. S11), 154–169. [Google Scholar] [CrossRef] [PubMed]
- Fan, T.; Li, Y.; Deng, W.W.; Wu, T.; Zhang, W. Short Implants (5 to 8 mm) versus Longer Implants (>8 mm) with Sinus Lifting in Atrophic Posterior Maxilla: A Meta-Analysis of RCTs. Clin. Implant. Dent. Relat. Res. 2017, 19, 207–215. [Google Scholar] [CrossRef] [PubMed]
- Tang, C.; Du, Q.; Luo, J.; Peng, L. Simultaneous placement of short implants (≤ 8 mm) versus standard length implants (≥10 mm) after sinus floor elevation in atrophic posterior maxillae: A systematic review and meta-analysis. Int. J. Implant. Dent. 2022, 8, 45. [Google Scholar] [CrossRef] [PubMed]
- Cruz, R.S.; Lemos, C.A.A.; Batista, V.E.S.; Oliveira, H.F.F.E.; Gomes, J.M.L.; Pellizzer, E.P.; Verri, F.R. Short implants versus longer implants with maxillary sinus lift. A systematic review and meta-analysis. Braz. Oral Res. 2018, 32, e86. [Google Scholar] [CrossRef]
- Lozano-Carrascal, N.; Anglada-Bosqued, A.; Salomó-Coll, O.; Hernández-Alfaro, F.; Wang, H.L.; Gargallo-Albiol, J. Short implants (<8mm) versus longer implants (≥8mm) with lateral sinus floor augmentation in posterior atrophic maxilla: A meta-analysis of RCT’s in humans. Med. Oral Patol. Oral. Cir. Bucal 2020, 25, e168–e179. [Google Scholar] [CrossRef]
- Yan, Q.; Wu, X.; Su, M.; Hua, F.; Shi, B. Short implants (≤6 mm) versus longer implants with sinus floor elevation in atrophic posterior maxilla: A systematic review and meta-analysis. BMJ Open 2019, 9, e029826. [Google Scholar] [CrossRef]
- Nielsen, H.B.; Schou, S.; Bruun, N.H.; Starch-Jensen, T. Single-crown restorations supported by short implants (6 mm) compared with standard-length implants (13 mm) in conjunction with maxillary sinus floor augmentation: A randomized, controlled clinical trial. Int. J. Implant. Dent. 2021, 7, 66. [Google Scholar] [CrossRef] [PubMed]
- Thoma, D.S.; Haas, R.; Sporniak-Tutak, K.; Garcia, A.; Taylor, T.D.; Hämmerle, C.H.F. Randomized controlled multicentre study comparing short dental implants (6 mm) versus longer dental implants (11–15 mm) in combination with sinus floor elevation procedures: 5-Year data. J. Clin. Periodontol. 2018, 45, 1465–1474. [Google Scholar] [CrossRef] [PubMed]
- Guljé, F.L.; Raghoebar, G.M.; Vissink, A.; Meijer, H.J.A. Single crowns in the resorbed posterior maxilla supported by either 11-mm implants combined with sinus floor elevation or 6-mm implants: A 5-year randomised controlled trial. Int. J. Oral Implantol. 2019, 12, 315–326. [Google Scholar]
- Nielsen, H.B.; Schou, S.; Bruun, N.H.; Starch-Jensen, T. Professional and patient-reported outcomes of two surgical approaches for implant-supported single-crown restoration: 1-year results of a randomized controlled clinical trial. Clin. Oral Implant. Res. 2022, 33, 197–208. [Google Scholar] [CrossRef] [PubMed]
- Terheyden, H. Augmentation Surgery; Quintessence: Berlin, Germany, 2022. [Google Scholar]
- Christensen, J.G.; Grønlund, G.P.; Georgi, S.R.; Starch-Jensen, T.; Bruun, N.H.; Jensen, S.S. Horizontal Alveolar Ridge Augmentation with Xenogenic Block Grafts Compared with Autogenous Bone Block Grafts for Implant-retained Rehabilitation: A Systematic Review and Meta-Analysis. J. Oral Maxillofac. Res. 2023, 14, e1. [Google Scholar] [CrossRef]
- Geng, Y.M.; Zhou, M.; Parvini, P.; Scarlat, S.; Naujokat, H.; Abraha, S.M.; Terheyden, H. Sandwich osteotomy in atrophic mandibles: A retrospective study with a 2- to 144-month follow-up. Clin. Oral Implant. Res. 2019, 30, 1027–1037. [Google Scholar] [CrossRef]
- Roccuzzo, M.; Roccuzzo, A.; Marruganti, C.; Fickl, S. The importance of soft tissue condition in bone regenerative procedures to ensure long-term peri-implant health. Periodontol. 2000, 2023; Online ahead of print. [Google Scholar] [CrossRef]
- Schettler, D. [Late results of absolute mandibular ridge augmentation in the atrophic mandible by the “sandwich plastic technic”]. Dtsch. Zahnarztl. Z. 1982, 37, 132–135. [Google Scholar]
- Abraha, S.M.; Geng, Y.M.; Naujokat, H.; Terheyden, H. Modified Le Fort I interpositional grafting of the severe atrophied maxilla-a retrospective study of 106 patients over 10 years. Clin. Oral Implant. Res. 2022, 33, 451–460. [Google Scholar] [CrossRef]
- Al-Dubai, M.; Mounir, R.; Ali, S.; Mounir, M. Maxillary vertical alveolar ridge augmentation using sandwich osteotomy technique with simultaneous versus delayed implant placement: A proof of principle randomized clinical trial. Clin. Implant. Dent. Relat. Res. 2023, 25, 77–86. [Google Scholar] [CrossRef]








Disclaimer/Publisher’s Note: The statements, opinions and data contained in all publications are solely those of the individual author(s) and contributor(s) and not of MDPI and/or the editor(s). MDPI and/or the editor(s) disclaim responsibility for any injury to people or property resulting from any ideas, methods, instructions or products referred to in the content. |
© 2023 by the authors. Licensee MDPI, Basel, Switzerland. This article is an open access article distributed under the terms and conditions of the Creative Commons Attribution (CC BY) license (https://creativecommons.org/licenses/by/4.0/).
Share and Cite
Terheyden, H.; Raghoebar, G.M.; Sjöström, M.; Starch-Jensen, T.; Cawood, J. Preprosthetic Surgery—Narrative Review and Current Debate. J. Clin. Med. 2023, 12, 7262. https://doi.org/10.3390/jcm12237262
Terheyden H, Raghoebar GM, Sjöström M, Starch-Jensen T, Cawood J. Preprosthetic Surgery—Narrative Review and Current Debate. Journal of Clinical Medicine. 2023; 12(23):7262. https://doi.org/10.3390/jcm12237262
Chicago/Turabian StyleTerheyden, Hendrik, Gerry M. Raghoebar, Mats Sjöström, Thomas Starch-Jensen, and John Cawood. 2023. "Preprosthetic Surgery—Narrative Review and Current Debate" Journal of Clinical Medicine 12, no. 23: 7262. https://doi.org/10.3390/jcm12237262
APA StyleTerheyden, H., Raghoebar, G. M., Sjöström, M., Starch-Jensen, T., & Cawood, J. (2023). Preprosthetic Surgery—Narrative Review and Current Debate. Journal of Clinical Medicine, 12(23), 7262. https://doi.org/10.3390/jcm12237262
