The Evolution of Sinus Tarsi Syndrome—What Is the Underlying Pathology?—A Critical Review
Abstract
:1. Introduction
2. Methods
3. Results
3.1. Anatomy
3.2. Biomechanics
3.3. Etiology
|
|
|
|
|
|
|
|
|
|
|
|
|
|
|
|
|
|
|
|
|
|
|



3.4. Clinical Evaluation and Diagnosis
3.4.1. History and Physical Examination
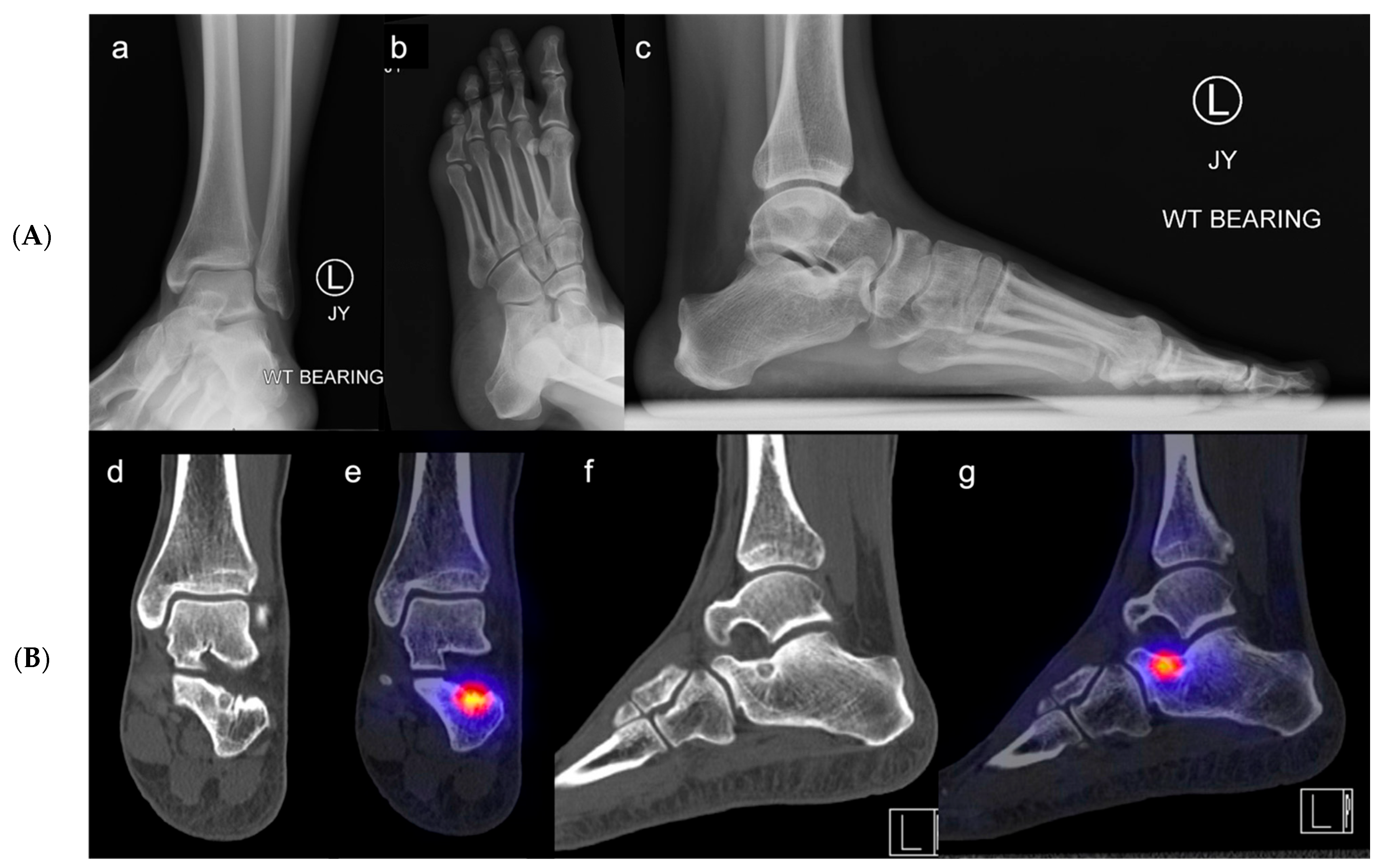
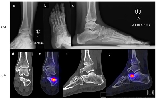
3.4.2. Radiographic Evaluation
3.4.3. Advanced Imaging
3.4.4. Arthroscopy
3.5. Treatment
4. Discussion
5. Conclusions
Author Contributions
Funding
Acknowledgments
Conflicts of Interest
References
- Frey, C.; Feder, K.S.; DiGiovanni, C. Arthroscopic evaluation of the subtalar joint: Does sinus tarsi syndrome exist? Foot Ankle Int. 1999, 20, 185–191. [Google Scholar] [CrossRef]
- O’Connor, D. Sinus tarsi syndrome. Clinical entity. J. Bone Jt. Surg. 1958, 40, 720. [Google Scholar]
- Klausner, V.B.; McKeigue, M.E. The sinus tarsi syndrome: A cause of chronic ankle pain. Physician Sportsmed. 2000, 28, 75–80. [Google Scholar] [CrossRef] [PubMed]
- Taillard, W.; Meyer, J.-M.; Garcia, J.; Blanc, Y. The sinus tarsi syndrome. Int. Orthop. 1981, 5, 117–130. [Google Scholar] [CrossRef] [PubMed]
- Arias, C.; Abdulle, S.; Wagner, J. Current concepts of the tarsal sinus syndrome. Rev. Medicale Brux. 1986, 7, 323–326. [Google Scholar]
- Pellegrini, M.J.; Glisson, R.R.; Wurm, M.; Ousema, P.H.; Romash, M.M.; Nunley, J.A.; Easley, M.E. Systematic quantification of stabilizing effects of subtalar joint soft-tissue constraints in a novel cadaveric model. JBJS 2016, 98, 842–848. [Google Scholar] [CrossRef] [PubMed]
- Pisani, G.; Pisani, P.C.; Parino, E. Sinus tarsi syndrome and subtalar joint instability. Clin. Podiatr. Med. Surg. 2005, 22, 63–77. [Google Scholar] [CrossRef]
- Helgeson, K. Examination and intervention for sinus tarsi syndrome. N. Am. J. Sports Phys. Ther. 2009, 4, 29–37. [Google Scholar]
- Dellon, A.L.; Barrett, S.L. Sinus tarsi denervation: Clinical results. J. Am. Podiatr. Med. Assoc. 2005, 95, 108–113. [Google Scholar] [CrossRef]
- Oloff, L.M.; Schulhofer, S.D.; Bocko, A.P. Subtalar joint arthroscopy for sinus tarsi syndrome: A review of 29 cases. J. Foot Ankle Surg. 2001, 40, 152–157. [Google Scholar] [CrossRef]
- Lee, K.B.; Bai, L.B.; Song, E.K.; Jung, S.T.; Kong, I.K. Subtalar arthroscopy for sinus Tarsi syndrome: Arthroscopic findings and clinical outcomes of 33 consecutive cases. Arthrosc. J. Arthrosc. Relat. Surg. 2008, 24, 1130–1134. [Google Scholar] [CrossRef] [PubMed]
- Li, S.-K.; Song, Y.-J.; Li, H.; Wei, B.; Hua, Y.-H.; Li, H.-Y. Arthroscopic treatment combined with the ankle stabilization procedure is effective for sinus tarsi syndrome in patients with chronic ankle instability. Knee Surg. Sports Traumatol. Arthrosc. 2018, 26, 3135–3139. [Google Scholar] [CrossRef] [PubMed]
- Kuwada, G.T. Long-term retrospective analysis of the treatment of sinus tarsi syndrome. J. Foot Ankle Surg. 1994, 33, 28–29. [Google Scholar] [PubMed]
- Krähenbühl, N.; Horn-Lang, T.; Hintermann, B.; Knupp, M. The subtalar joint: A complex mechanism. EFORT Open Rev. 2017, 2, 309–316. [Google Scholar] [CrossRef] [PubMed]
- Sarrafian, S.; Kelikian, A. Sarrafian’s Anatomy of the Foot and Ankle. In Sarrafian’s Anatomy of the Foot and Ankle, 3rd ed.; Lippincott Williams & Wilkins: Philadelphia, PA, USA, 2011. [Google Scholar]
- Bartoníček, J.; Rammelt, S.; Naňka, O. Anatomy of the subtalar joint. Foot Ankle Clin. 2018, 23, 315–340. [Google Scholar] [CrossRef] [PubMed]
- Cahill, D.R. The anatomy and function of the contents of the human tarsal sinus and canal. Anat. Rec. 1965, 153, 1–17. [Google Scholar] [CrossRef] [PubMed]
- Schwarzenbach, B.; Dora, C.; Lang, A.; Kissling, R. Blood vessels of the sinus tarsi and the sinus tarsi syndrome. Clin. Anat. Off. J. Am. Assoc. Clin. Anat. Br. Assoc. Clin. Anat. 1997, 10, 173–182. [Google Scholar] [CrossRef]
- Gelberman, R.H.; Mortensen, W.W. The arterial anatomy of the talus. Foot Ankle 1983, 4, 64–72. [Google Scholar] [CrossRef]
- Maceira, E.; Monteagudo, M. Subtalar anatomy and mechanics. Foot Ankle Clin. 2015, 20, 195–221. [Google Scholar] [CrossRef]
- Williams, M.M.; Ferkel, R.D. Subtalar arthroscopy: Indications, technique, and results. Arthrosc. J. Arthrosc. Relat. Surg. 1998, 14, 373–381. [Google Scholar] [CrossRef]
- Inman, V.; Mann, R. Biomechanics of the foot and ankle. In DuVries’ Surgery of the Foot, 3rd ed.; The C. V. Mosby Company: Maryland Heights, MO, USA, 1973. [Google Scholar]
- Keefe, D.T.; Haddad, S.L. Subtalar instability. Etiology, diagnosis, and management. Foot Ankle Clin. 2002, 7, 577–609. [Google Scholar] [CrossRef] [PubMed]
- Greisberg, J.; Sangeorzan, B. Hindfoot arthrodesis. JAAOS-J. Am. Acad. Orthop. Surg. 2007, 15, 65–71. [Google Scholar] [CrossRef]
- Barg, A.; Tochigi, Y.; Amendola, A.; Phisitkul, P.; Hintermann, B.; Saltzman, C.L. Subtalar instability: Diagnosis and treatment. Foot Ankle Int. 2012, 33, 151–160. [Google Scholar] [CrossRef] [PubMed]
- Mann, R.A. Biomechanics of the foot and ankle. Orthop. Rev. 1978, 7, 43–48. [Google Scholar]
- Brown, J.E. The sinus tarsi syndrome. Clin. Orthop. 1960, 18, 231–233. [Google Scholar]
- Arshad, Z.; Bhatia, M. Current concepts in sinus tarsi syndrome: A scoping review. Foot Ankle Surg. 2021, 27, 615–621. [Google Scholar] [CrossRef] [PubMed]
- Borrelli, A.; Arenson, D. Sinus tarsi syndrome and its relationship to hallux abducto valgus. J. Am. Podiatr. Med. Assoc. 1987, 77, 495–499. [Google Scholar]
- Claustre, J. Le Syndrome Du Sinus Du Tarse Existe-T-Il. Rhumatologie 1979, 31, 49–53. [Google Scholar]
- Klein, M.; Spreitzer, A. MR imaging of the tarsal sinus and canal: Normal anatomy, pathologic findings, and features of the sinus tarsi syndrome. Radiology 1993, 186, 233–240. [Google Scholar] [CrossRef]
- Beltran, J. Magnetic resonance imaging of the ankle and foot. Orthopedics 1994, 17, 1075–1082. [Google Scholar] [CrossRef]
- Shear, M.S.; Baitch, S.P.; Shear, D.B. Sinus tarsi syndrome: The importance of biomechanically-based evaluation and treatment. Arch. Phys. Med. Rehabil. 1993, 74, 777–781. [Google Scholar] [CrossRef] [PubMed]
- Martus, J.E.; Femino, J.E.; Caird, M.S.; Hughes, R.E.; Browne, R.H.; Farley, F.A. Accessory anterolateral facet of the pediatric talus. An anatomic study. J. Bone Jt. Surg. Am. Vol. 2008, 90, 2452–2459. [Google Scholar] [CrossRef] [PubMed]
- Park, J.W.; Park, J.; Park, C.H. Accessory Talar Facet Impingement and Sinus Tarsi Pain Associated With Accessory Anterolateral Talar Facet. Foot Ankle Int. 2021, 42, 1060–1067. [Google Scholar] [CrossRef] [PubMed]
- Niki, H.; Hirano, T.; Akiyama, Y.; Beppu, M. Accessory talar facet impingement in pathologic conditions of the peritalar region in adults. Foot Ankle Int. 2014, 35, 1006–1014. [Google Scholar] [CrossRef] [PubMed]
- Clanton, T.O. Instability of the subtalar joint. Orthop. Clin. N. Am. 1989, 20, 583–592. [Google Scholar]
- Krähenbühl, N.; Weinberg, M.W.; Davidson, N.P.; Mills, M.K.; Hintermann, B.; Saltzman, C.L.; Barg, A. Currently used imaging options cannot accurately predict subtalar joint instability. Knee Surg. Sports Traumatol. Arthrosc. 2019, 27, 2818–2830. [Google Scholar] [CrossRef] [PubMed]
- Freeman, M.; Dean, M.; Hanham, I. The etiology and prevention of functional instability of the foot. J. Bone Jt. Surg. Br. Vol. 1965, 47, 678–685. [Google Scholar] [CrossRef]
- Roemer, F.W.; Jomaah, N.; Niu, J.; Almusa, E.; Roger, B.; D’Hooghe, P.; Geertsema, C.; Tol, J.L.; Khan, K.; Guermazi, A. Ligamentous injuries and the risk of associated tissue damage in acute ankle sprains in athletes: A cross-sectional MRI study. Am. J. Sports Med. 2014, 42, 1549–1557. [Google Scholar] [CrossRef]
- Akiyama, K.; Takakura, Y.; Tomita, Y.; Sugimoto, K.; Tanaka, Y.; Tamai, S. Neurohistology of the sinus tarsi and sinus tarsi syndrome. J. Orthop. Sci. 1999, 4, 299–303. [Google Scholar] [CrossRef]
- Rab, M.; Ebmer, J.; Dellon, A.L. Innervation of the sinus tarsi and implications for treating anterolateral ankle pain. Ann. Plast. Surg. 2001, 47, 500–504. [Google Scholar] [CrossRef]
- Rein, S.; Manthey, S.; Zwipp, H.; Witt, A. Distribution of sensory nerve endings around the human sinus tarsi: A cadaver study. J. Anat. 2014, 224, 499–508. [Google Scholar] [CrossRef] [PubMed]
- Lopez-Ben, R. Imaging of the subtalar joint. Foot Ankle Clin. 2015, 20, 223–241. [Google Scholar] [CrossRef] [PubMed]
- Heilman, A.E.; Braly, W.G.; Bishop, J.O.; Noble, P.C.; Tullos, H.S. An anatomic study of subtalar instability. Foot Ankle 1990, 10, 224–228. [Google Scholar] [CrossRef] [PubMed]
- Docquier, P.L.; Maldaque, P.; Bouchard, M. Tarsal coalition in paediatric patients. Orthop. Traumatol. Surg. Res. 2019, 105, S123–S131. [Google Scholar] [CrossRef] [PubMed]
- Bos, G.D.; Esther, R.J.; Woll, T.S. Foot tumors: Diagnosis and treatment. J. Am. Acad. Orthop. Surg. 2002, 10, 259–270. [Google Scholar] [CrossRef] [PubMed]
- Hirschmann, A.; Pfirrmann, C.W.; Klammer, G.; Espinosa, N.; Buck, F.M. Upright cone CT of the hindfoot: Comparison of the non-weight-bearing with the upright weight-bearing position. Eur. Radiol. 2014, 24, 553–558. [Google Scholar] [CrossRef] [PubMed]
- Richter, M.; Seidl, B.; Zech, S.; Hahn, S. PedCAT for 3D-imaging in standing position allows for more accurate bone position (angle) measurement than radiographs or CT. Foot Ankle Surg. 2014, 20, 201–207. [Google Scholar] [CrossRef]
- Barg, A.; Bailey, T.; Richter, M.; de Cesar Netto, C.; Lintz, F.; Burssens, A.; Phisitkul, P.; Hanrahan, C.J.; Saltzman, C.L. Weightbearing computed tomography of the foot and ankle: Emerging technology topical review. Foot Ankle Int. 2018, 39, 376–386. [Google Scholar] [CrossRef]
- Achong, D.M. Unsuspected Accessory Ossicle in Possible Sinus Tarsi Syndrome: The Value of Bone SPECT/CT. Clin. Nucl. Med. 2020, 45, e215–e216. [Google Scholar] [CrossRef]
- Martineau, P.; Pelletier-Galarneau, M. Sinus Tarsi Syndrome on Bone Scintigraphy with SPECT/CT: Spectrum of Findings. Clin. Nucl. Med. 2021, 46, e103–e105. [Google Scholar] [CrossRef]
- Lektrakul, N.; Chung, C.B.; Lai, Y.; Theodorou, D.J.; Yu, J.; Haghighi, P.; Trudell, D.; Resnick, D. Tarsal sinus: Arthrographic, MR imaging, MR arthrographic, and pathologic findings in cadavers and retrospective study data in patients with sinus tarsi syndrome. Radiology 2001, 219, 802–810. [Google Scholar] [CrossRef] [PubMed]
- Sijbrandij, E.S.; van Gils, A.P.; de Lange, E.E.; Sijbrandij, S. Bone marrow ill-defined hyperintensities with tarsal coalition: MR imaging findings. Eur. J. Radiol. 2002, 43, 61–65. [Google Scholar] [CrossRef] [PubMed]
- Trnka, H.J.; Ivanic, G.; Trattnig, S. Arthrography of the foot and ankle. Ankle and subtalar joint. Foot Ankle Clin. 2000, 5, 49–62. [Google Scholar] [PubMed]
- Ruhoy, M.K.; Newberg, A.H.; Yodlowski, M.L.; Mizel, M.S.; Trepman, E. Subtalar joint arthrography. In Seminars in Musculoskeletal Radiology; Thieme Medical Publishers, Inc.: New York, NY, USA, 1998; pp. 433–437. [Google Scholar]
- Lee, K.-B.; Bai, L.-B.; Park, J.-G.; Song, E.-K.; Lee, J.-J. Efficacy of MRI versus arthroscopy for evaluation of sinus tarsi syndrome. Foot Ankle Int. 2008, 29, 1111–1116. [Google Scholar] [CrossRef] [PubMed]
- Kashuk, K.B.; Harmelin, E.; Holcombe, R.; Goggin, J. Arthroscopy of the ankle and subtalar joint. Clin. Podiatr. Med. Surg. 2000, 17, 55–79. [Google Scholar] [PubMed]
- Mansur, N.S.B.; Baumfeld, T.S.; Lemos, A.; Azevedo, R.M.; Fonseca, L.F.D.; Doering, J.; Nery, C.A.S. Subtalar arthroscopic debridment for the treatment of sinus tarsi syndrome: Case series. Rev. Da Assoc. Médica Bras. 2019, 65, 370–374. [Google Scholar] [CrossRef] [PubMed]
- Ahn, J.H.; Lee, S.K.; Kim, K.J.; Kim, Y.I.; Choy, W.S. Subtalar arthroscopic procedures for the treatment of subtalar pathologic conditions: 115 consecutive cases. Orthopedics 2009, 32, 891. [Google Scholar] [CrossRef] [PubMed]
- Siddiqui, M.A.; Chong, K.W.; Yeo, W.; Rao, M.S.; Rikhraj, I.S. Subtalar arthroscopy using a 2.4-mm zero-degree arthroscope: Indication, technical experience, and results. Foot Ankle Spec. 2010, 3, 167–171. [Google Scholar] [CrossRef]
- Lui, T.H.; Tong, S.C. Subtalar arthroscopy: When, why and how. World J. Orthop. 2015, 6, 56. [Google Scholar] [CrossRef]
- Jaivin, J.; Ferkel, R. Arthroscopy of the foot and ankle. Clin. Sports Med. 1994, 13, 761–783. [Google Scholar] [CrossRef]
- Miralles-Marrero, R.; Riaza Lopez, A. Tratamiento quirugico de la lesione cronica del seno del tarso. Actual. Med. Chir. Pied 1978, 11, 181–185. [Google Scholar]
- Kato, T. The diagnosis and treatment of instability of the subtalar joint. J. Bone Jt. Surg. Br. Vol. 1995, 77, 400–406. [Google Scholar] [CrossRef]
- Liu, C.; Jiao, C.; Hu, Y.; Guo, Q.W.; Wand, C.; Ao, Y. Interosseous talocalcaneal ligament reconstruction with hamstring autograft under subtalar arthroscopy: Case report. Foot Ankle Int. 2011, 32, 1089–1094. [Google Scholar] [CrossRef]



Disclaimer/Publisher’s Note: The statements, opinions and data contained in all publications are solely those of the individual author(s) and contributor(s) and not of MDPI and/or the editor(s). MDPI and/or the editor(s) disclaim responsibility for any injury to people or property resulting from any ideas, methods, instructions or products referred to in the content. |
© 2023 by the authors. Licensee MDPI, Basel, Switzerland. This article is an open access article distributed under the terms and conditions of the Creative Commons Attribution (CC BY) license (https://creativecommons.org/licenses/by/4.0/).
Share and Cite
Willegger, M.; Bouchard, M.; Schwarz, G.M.; Hirtler, L.; Veljkovic, A. The Evolution of Sinus Tarsi Syndrome—What Is the Underlying Pathology?—A Critical Review. J. Clin. Med. 2023, 12, 6878. https://doi.org/10.3390/jcm12216878
Willegger M, Bouchard M, Schwarz GM, Hirtler L, Veljkovic A. The Evolution of Sinus Tarsi Syndrome—What Is the Underlying Pathology?—A Critical Review. Journal of Clinical Medicine. 2023; 12(21):6878. https://doi.org/10.3390/jcm12216878
Chicago/Turabian StyleWillegger, Madeleine, Maryse Bouchard, Gilbert M. Schwarz, Lena Hirtler, and Andrea Veljkovic. 2023. "The Evolution of Sinus Tarsi Syndrome—What Is the Underlying Pathology?—A Critical Review" Journal of Clinical Medicine 12, no. 21: 6878. https://doi.org/10.3390/jcm12216878
APA StyleWillegger, M., Bouchard, M., Schwarz, G. M., Hirtler, L., & Veljkovic, A. (2023). The Evolution of Sinus Tarsi Syndrome—What Is the Underlying Pathology?—A Critical Review. Journal of Clinical Medicine, 12(21), 6878. https://doi.org/10.3390/jcm12216878

