Using a Further Planning MRI after Neoadjuvant Androgen Deprivation Therapy Significantly Reduces the Radiation Exposure of Organs at Risk in External Beam Radiotherapy of Prostate Cancer
Abstract
1. Introduction
2. Materials and Methods
2.1. Patients
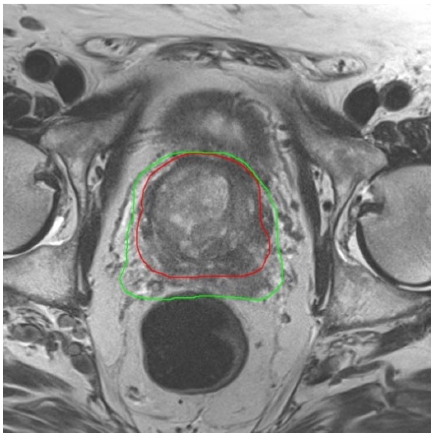
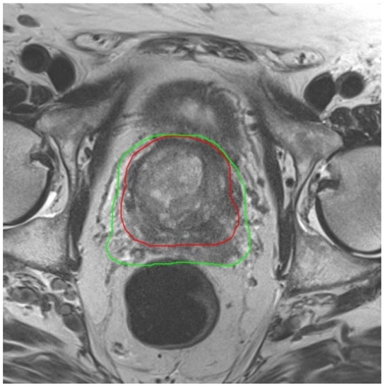
2.2. Radiation Treatment Plans
2.3. Statistics
3. Results
4. Discussion
5. Conclusions
Author Contributions
Funding
Institutional Review Board Statement
Informed Consent Statement
Data Availability Statement
Conflicts of Interest
References
- Cancer Burden Statistics and Trends across Europe|ECIS (europa.eu). Available online: https://ecis.jrc.ec.europa.eu (accessed on 18 July 2022).
- Leitlinienprogramm Onkologie (Deutsche Krebsgesellschaft DKG, AWMF). Interdisziplinäre Leitlinie der Qualität S3 zur Früherkennung, Diagnose und Therapie der Verschiedenen Stadien des Prostatakarzinoms Version 6.2–Oktober 2021–Mai 2019 AWMF-Registernummer: 043/022OL. 2021. Available online: https://www.awmf.org/uploads/tx_szleitlinien/043-022OLl_S3_Prostatakarzinom_2021-10.pdf (accessed on 9 December 2022).
- National Comprehensive Cancer Network. Guideline on Prostate Cancer, Version 4. 2022. Available online: https://www.nccn.org/professionals/physician_gls/pdf/prostate.pdf (accessed on 18 July 2022).
- Nabid, A.; Carrier, N.; Vigneault, E.; Van Nguyen, T.; Vavassis, P.; Brassard, M.A.; Bahoric, B.; Archambault, R.; Vincent, F.; Bettahar, R.; et al. Androgen deprivation therapy and radiotherapy in intermediate-risk prostate cancer: A randomised phase III trial. Eur. J. Cancer 2021, 143, 64–74. [Google Scholar] [CrossRef] [PubMed]
- Zapatero, A.; Guerrero, A.; Maldonado, X.; Álvarez, A.; San-Segundo, C.G.; Rodríguez, M.Á.C.; Solé, J.M.; Olivé, A.P.; Casas, F.; Boladeras, A.; et al. High-dose radiotherapy and risk-adapted androgen deprivation in localised prostate cancer (DART 01/05): 10-year results of a phase 3 randomised, controlled trial. Lancet Oncol. 2022, 23, 671–681. [Google Scholar] [CrossRef] [PubMed]
- Nabid, A.; Carrier, N.; Martin, A.-G.; Bahary, J.-P.; Lemaire, C.; Vass, S.; Bahoric, B.; Archambault, R.; Vincent, F.; Bettahar, R.; et al. Duration of androgen deprivation therapy in high-risk prostate cancer: A randomized phase III trial. Eur. Urol. 2018, 74, 432–441. [Google Scholar] [CrossRef] [PubMed]
- Zilli, T.; Pra, A.D.; Kountouri, M.; Miralbell, R. Prognostic value of biochemical response to neoadjuvant androgen deprivation before external beam radiotherapy for prostate cancer: A systematic review of the literature. Cancer Treat. Rev. 2016, 46, 35–41. [Google Scholar] [CrossRef] [PubMed]
- Yang, F.E.; Chen, G.T.; Ray, P.; Vaida, F.; Chiru, P.; Hamilton, R.J.; Spelbring, D.; Abellera, M.; Vijayakumar, S. The potential for normal tissue dose reduction with neoadjuvant hormonal therapy in conformal treatment planning for stage C prostate cancer. Int. J. Radiat. Oncol. 1995, 33, 1009–1017. [Google Scholar] [CrossRef] [PubMed]
- Sarolkar, A.; Singh, S.N.; Bagdare, P.; Bhandari, V.; Lodi, A.I.; Moharir, S. To evaluate volume changes on computerized tomography scan and magnetic resonance imaging-based delineation during radiotherapy treatment planning in prostate cancer. J. Cancer Res. Ther. 2021, 17, 379–382. [Google Scholar] [CrossRef]
- Nigogosyan, Z.; Ippolito, J.E.; Collins, S.P.; Wang, E.C. Prostate MRI in Stereotactic Body Radiation Treatment Planning and Delivery for Localized Prostate Cancer. Radiographics 2022, 42, 1251–1264. [Google Scholar] [CrossRef]
- Zhong, H.; Wen, N.; Gordon, J.J.; Elshaikh, M.A.; Movsas, B.; Chetty, I.J. An adaptive MR-CT registration method for MRI-guided prostate cancer radiotherapy. Phys. Med. Biol. 2015, 60, 2837–2851. [Google Scholar] [CrossRef]
- Gleason, D.F.; Mellinger, G.T. Prediction of prognosis for prostatic adenocarcinoma by combined histological grading and clinical staging. J. Urol. 1974, 111, 58–64. [Google Scholar] [CrossRef]
- Brierley, J.D.; Gospodarowicz, M.K.; Wittekind, C. TNM Classification of Malignant Tumours; John Wiley & Sons: Hoboken, NJ, USA, 2017. [Google Scholar]
- Salembier, C.; Villeirs, G.; De Bari, B.; Hoskin, P.; Pieters, B.R.; Van Vulpen, M.; Khoo, V.; Henry, A.; Bossi, A.; De Meerleer, G.; et al. ESTRO ACROP consensus guideline on CT- and MRI-based target volume delineation for primary radiation therapy of localized prostate cancer. Radiother. Oncol. 2018, 127, 49–61. [Google Scholar] [CrossRef]
- Lim, C.; Malone, S.C.; Avruch, L.; Breau, R.H.; Flood, T.A.; Lim, M.; Morash, C.; Quon, J.S.; Walsh, C.; Schieda, N. Magnetic resonance for radiotherapy management and treatment planning in prostatic carcinoma. Br. J. Radiol. 2015, 88, 20150507. [Google Scholar] [CrossRef]
- Tanaka, H.; Hayashi, S.; Ohtakara, K.; Hoshi, H.; Iida, T. Usefulness of CT-MRI fusion in radiotherapy planning for localized prostate cancer. J. Radiat. Res. 2011, 52, 782–788. [Google Scholar] [CrossRef]
- Lee, E.; Park, W.; Ahn, S.H.; Cho, J.H.; Kim, J.H.; Cho, K.H.; Choi, Y.M.; Kim, J.-S.; Kim, J.H.; Jang, H.-S.; et al. Interobserver variation in target volume for salvage radiotherapy in recurrent prostate cancer patients after radical prostatectomy using CT versus combined CT and MRI: A multicenter study (KROG 13-11). Radiat. Oncol. J. 2018, 36, 11–16. [Google Scholar] [CrossRef]
- International Commission on Radiation Units and Measurements. Prescribing, recording, and reporting photon-beam intensity-modulated radiation therapy (IMRT). J. ICRU 2010, 10, 1–3. [Google Scholar] [CrossRef]
- Liu, X.; Liu, Z.; Pang, T.; Dong, T.; Qiu, J. Dosimetric comparison of tomotherapy and volumetric-modulated arc therapy for children with neuroblastoma. Pediatr. Investig. 2020, 4, 186–191. [Google Scholar] [CrossRef]
- Feuvret, L.; Noël, G.; Mazeron, J.-J.; Bey, P. Conformity index: A review. Int. J. Radiat. Oncol. 2006, 64, 333–342. [Google Scholar] [CrossRef]
- Francolini, G.; Detti, B.; Becherini, C.; Caini, S.; Ingrosso, G.; Di Cataldo, V.; Stocchi, G.; Salvestrini, V.; Lancia, A.; Scartoni, D.; et al. Toxicity after moderately hypofractionated versus conventionally fractionated prostate radiotherapy: A systematic review and meta-analysis of the current literature. Crit. Rev. Oncol. Hematol. 2021, 165, 103432. [Google Scholar] [CrossRef]
- Villeirs, G.M.; Van Vaerenbergh, K.; Vakaet, L.; Bral, S.; Claus, F.; De Neve, W.J.; Verstraete, K.L.; De Meerleer, G.O. Interobserver delineation variation using CT versus combined CT + MRI in intensity–modulated radiotherapy for prostate cancer. Strahlenther. Onkol. 2005, 181, 424–430. [Google Scholar] [CrossRef]
- Tocco, B.R.; Kishan, A.U.; Ma, T.M.; Kerkmeijer, L.G.W.; Tree, A.C. MR-guided radiotherapy for prostate cancer. Front. Oncol. 2020, 10, 616291. [Google Scholar] [CrossRef]
- Vanquin, L.; Boydev, C.; Korhonen, J.; Rault, E.; Crop, F.; Lacornerie, T.; Wagner, A.; Laffarguette, J.; Pasquier, D.; Reynaert, N. Planification de la radiothérapie du cancer de la prostate par l’imagerie par résonance magnétique [Radiotherapy treatment planning of prostate cancer using magnetic resonance imaging]. Cancer Radiother. 2019, 23, 281–289. [Google Scholar] [CrossRef]
- Tenhunen, M.; Korhonen, J.; Kapanen, M.; Seppälä, T.; Koivula, L.; Collan, J.; Saarilahti, K.; Visapää, H. MRI-only based radiation therapy of prostate cancer: Workflow and early clinical experience. Acta Oncol. 2018, 57, 902–907. [Google Scholar] [CrossRef] [PubMed]
- Commandeur, F.; Simon, A.; Mathieu, R.; Nassef, M.; Arango, J.D.O.; Rolland, Y.; Haigron, P.; de Crevoisier, R.; Acosta, O. MRI to CT prostate registration for improved targeting in cancer external beam radiotherapy. IEEE J. Biomed. Health 2017, 21, 1015–1026. [Google Scholar] [CrossRef] [PubMed]
- Majumder, K.; Brandberg, Y.; Johansson, H.; Castellanos, E.; Ullén, A.; Lennernäs, B.; Nilsson, S. Effect on prostate volume following neoadjuvant treatment with an androgen receptor inhibitor monotherapy versus castration plus an androgen receptor inhibitor in prostate cancer patients intended for curative radiation therapy: A randomised study. Mol. Clin. Oncol. 2018, 8, 141–146. [Google Scholar] [CrossRef] [PubMed]
- Washino, S.; Hirai, M.; Saito, K.; Kobayashi, Y.; Arai, Y.; Miyagawa, T. Impact of androgen deprivation therapy on volume reduction and lower urinary tract symptoms in patients with prostate cancer. LUTS 2018, 10, 57–63. [Google Scholar] [CrossRef] [PubMed]
- Björeland, U.; Nyholm, T.; Jonsson, J.; Skorpil, M.; Blomqvist, L.; Strandberg, S.; Riklund, K.; Beckman, L.; Thellenberg-Karlsson, C. Impact of neoadjuvant androgen deprivation therapy on magnetic resonance imaging features in prostate cancer before radiotherapy. Phys. Imaging Radiat. Oncol. 2021, 17, 117–123. [Google Scholar] [CrossRef] [PubMed]
- Malone, S.; Roy, S.; Eapen, L.; E, C.; MacRae, R.; Perry, G.; Bowen, J.; Samant, R.; Morgan, S.; Craig, J.; et al. Sequencing of Androgen-Deprivation Therapy With External-Beam Radiotherapy in Localized Prostate Cancer: A Phase III Randomized Controlled Trial. J. Clin. Oncol. 2020, 38, 593–601, Erratum in: J. Clin. Oncol. 2020, 38, 2005. [Google Scholar] [CrossRef]
- Ma, T.M.; Sun, Y.; Malone, S.; Roach, M., 3rd; Dearnaley, D.; Pisansky, T.M.; Feng, F.Y.; Sandler, H.M.; Efstathiou, J.A.; Syndikus, I.; et al. Sequencing of Androgen-Deprivation Therapy of Short Duration With Radiotherapy for Nonmetastatic Prostate Cancer (SANDSTORM): A Pooled Analysis of 12 Randomized Trials. J. Clin. Oncol. 2022, 21, JCO2200970. [Google Scholar] [CrossRef]
- Choi, H.J.; Kim, Y.S.; Lee, S.H.; Lee, Y.S.; Park, G.; Jung, J.H.; Cho, B.C.; Park, S.H.; Ahn, H.; Kim, C.-S.; et al. Inter- and intra-observer variability in contouring of the prostate gland on planning computed tomography and cone beam computed tomography. Acta Oncol. 2011, 50, 539–546. [Google Scholar] [CrossRef]
- Ghanem, A.I.; Elsaid, A.A.; Elshaikh, M.A.; Khedr, G.A. Volumetric-Modulated Arc Radiotherapy with Daily Image-Guidance Carries Better Toxicity Profile for Higher Risk Prostate Cancer. Asian Pac. J. Cancer Prev. 2021, 22, 61–68. [Google Scholar] [CrossRef]
- Ebert, M.A.; Foo, K.; Haworth, A.; Gulliford, S.L.; Kennedy, A.; Joseph, D.J.; Denham, J.W. Gastrointestinal dose-histogram effects in the context of dose-volume–constrained prostate radiation therapy: Analysis of data from the RADAR prostate radiation therapy trial. Int. J. Radiat. Oncol. 2015, 91, 595–603. [Google Scholar] [CrossRef]
- Christiansen, R.L.; Dysager, L.; Hansen, C.R.; Jensen, H.R.; Schytte, T.; Nyborg, C.J.; Bertelsen, A.S.; Agergaard, S.N.; Mahmood, F.; Hansen, S.; et al. Online adaptive radiotherapy potentially reduces toxicity for high-risk prostate cancer treatment. Radiother. Oncol. 2021, 167, 165–171. [Google Scholar] [CrossRef]
- Tetar, S.U.; Bruynzeel, A.M.; Lagerwaard, F.J.; Slotman, B.J.; Bohoudi, O.; Palacios, M.A. Clinical implementation of magnetic resonance imaging guided adaptive radiotherapy for localized prostate cancer. Phys. Imaging Radiat. Oncol. 2019, 9, 69–76. [Google Scholar] [CrossRef]
- Roy, S.; Grimes, S.; Morgan, S.C.; Eapen, L.; Malone, J.; Craig, J.; Spratt, D.E.; Malone, S. Patient-Reported Outcomes From a Phase 3 Randomized Controlled Trial Exploring Optimal Sequencing of Short-Term Androgen Deprivation Therapy With Prostate Radiation Therapy in Localized Prostate Cancer. Int. J. Radiat. Oncol. Biol. Phys. 2021, 110, 1101–1113. [Google Scholar] [CrossRef]
- Speight, R.; Tyyger, M.; Schmidt, M.A.; Liney, G.; Johnstone, R.; Eccles, C.L.; Dubec, M.; George, B.; Henry, A.; Herbert, T.; et al. IPEM Topical Report: An international IPEM survey of MRI use for external beam radiotherapy treatment planning. Phys. Med. Biol. 2021, 66, 075007. [Google Scholar] [CrossRef]



| N | Mean | Standard Deviation | Minimum | Maximum | |
|---|---|---|---|---|---|
| Age [years] | 17 | 79.3 | 5.4 | 63 | 85 |
| PSA Level [ng/mL] | 17 | 26.8 | 24.4 | 6.1 | 95.9 |
| Gleason Score [12] | 17 | 7.8 | 1.0 | 6 | 9 |
| Duration of ADT Before MRI 2 [weeks] | 17 | 17.2 | 11.4 | 3.1 | 50.6 |
| Rectum Volume [cm3] | 17 | 76.3 | 30.5 | 43.7 | 161 |
| Urinary Bladder Volume [cm3] | 17 | 192.1 | 111.7 | 56.6 | 456.2 |
| N | % | ||||
| cT Stage [13] | |||||
| cT1 | 10 | 58.8 | |||
| cT2 | 6 | 35.3 | |||
| cT3 | 1 | 5.9 | |||
| cT4 | 0 | 0 | |||
| cN Stage | |||||
| cN0 | 15 | 88.2 | |||
| cN1 | 2 | 11.8 | |||
| Perineural Infiltration in Needle Biopsy | |||||
| Pn0 | 14 | 82.4 | |||
| Pn1 | 3 | 17.7 |
| Mean ± SD | Minimum | Maximum | |
|---|---|---|---|
| Prostate Volume Before ADT [cm3] | 88.3 ± 42.9 * | 47.6 | 226.4 |
| Prostate Volume After ADT [cm3] | 66.4 ± 34.3 * | 37.5 | 182.2 |
| Reduction in Prostate Volume During ADT [cm3] | 22.0 ± 15.9 | 3.4 | 57.3 |
| Reduction in Prostate Volume During ADT [%] | 23.7 ± 13.5 | 4.7 | 47.2 |
| Plan Based On | MRI 1 | MRI 2 | CT |
|---|---|---|---|
| Prostate and Seminal Vesicles | 294.6 ± 78.1 *a/*b | 254.9 ± 81.7 *a | 252.7 ± 83.2 *b |
| Boost Prostate | 147.6 ± 52.5 *a | 126.4 ± 55.3 *a/*b | 141.5 ± 61.1 *b |
| Exposure Level | MRI 1 | MRI 2 | CT | |
|---|---|---|---|---|
| Rectum | Dmean [Gy] | 41.2 ± 4.6 | 40.4 ± 5.4 * | 42.4 ± 5.0 * |
| V50Gy [%] | 35.5 ± 10.2 | 32.2 ± 12.9 | 36.7 ± 10.2 | |
| V60Gy [%] | 20.3 ± 6.7 * | 16.6 ± 7.9 */** | 20.0 ± 5.8 ** | |
| V65Gy [%] | 13.1 ± 5.0 * | 10.2 ± 5.0 */** | 13.0 ± 4.0 ** | |
| V70Gy [%] | 5.9 ± 3.3 | 4.2 ± 2.4 | 5.8 ± 2.0 | |
| V75Gy [%] | 0.1 ± 0.1 * | 0.0 ± 0.0 */** | 0.0 ± 0.0 ** | |
| Urinary Bladder | Dmean [Gy] | 41.4 ± 11.9 | 39.9 ± 10.1 | 40.3 ± 11.7 |
| V50Gy [%] | 39.6 ± 16.7 | 35.7 ± 11.9 | 37.1 ± 14.0 | |
| V65Gy [%] | 21.1 ± 11.4 | 17.8 ± 7.7 | 20.6 ± 8.6 | |
| V70Gy [%] | 13.5 ± 8.3 | 10.7 ± 6.1 | 14.2 ± 6.5 | |
| V75Gy [%] | 1.4 ± 2.0 | 0.9 ± 1.2 | 0.9 ± 0.7 |
Disclaimer/Publisher’s Note: The statements, opinions and data contained in all publications are solely those of the individual author(s) and contributor(s) and not of MDPI and/or the editor(s). MDPI and/or the editor(s) disclaim responsibility for any injury to people or property resulting from any ideas, methods, instructions or products referred to in the content. |
© 2023 by the authors. Licensee MDPI, Basel, Switzerland. This article is an open access article distributed under the terms and conditions of the Creative Commons Attribution (CC BY) license (https://creativecommons.org/licenses/by/4.0/).
Share and Cite
Merten, R.; Fischer, M.; Christiansen, H.; Hellms, S.; von Klot, C.A.J.; Thomas, N.H.; Knöchelmann, A.C. Using a Further Planning MRI after Neoadjuvant Androgen Deprivation Therapy Significantly Reduces the Radiation Exposure of Organs at Risk in External Beam Radiotherapy of Prostate Cancer. J. Clin. Med. 2023, 12, 574. https://doi.org/10.3390/jcm12020574
Merten R, Fischer M, Christiansen H, Hellms S, von Klot CAJ, Thomas NH, Knöchelmann AC. Using a Further Planning MRI after Neoadjuvant Androgen Deprivation Therapy Significantly Reduces the Radiation Exposure of Organs at Risk in External Beam Radiotherapy of Prostate Cancer. Journal of Clinical Medicine. 2023; 12(2):574. https://doi.org/10.3390/jcm12020574
Chicago/Turabian StyleMerten, Roland, Mirko Fischer, Hans Christiansen, Susanne Hellms, Christoph Alexander Joachim von Klot, Nele Henrike Thomas, and Anne Caroline Knöchelmann. 2023. "Using a Further Planning MRI after Neoadjuvant Androgen Deprivation Therapy Significantly Reduces the Radiation Exposure of Organs at Risk in External Beam Radiotherapy of Prostate Cancer" Journal of Clinical Medicine 12, no. 2: 574. https://doi.org/10.3390/jcm12020574
APA StyleMerten, R., Fischer, M., Christiansen, H., Hellms, S., von Klot, C. A. J., Thomas, N. H., & Knöchelmann, A. C. (2023). Using a Further Planning MRI after Neoadjuvant Androgen Deprivation Therapy Significantly Reduces the Radiation Exposure of Organs at Risk in External Beam Radiotherapy of Prostate Cancer. Journal of Clinical Medicine, 12(2), 574. https://doi.org/10.3390/jcm12020574

