Diagnostic Value of Multi-Mode Ultrasonic Flow Imaging Examination in Solid Renal Tumors of Different Sizes
Abstract
1. Introduction
2. Materials and Methods
2.1. Study Population
2.2. Instruments and Methods
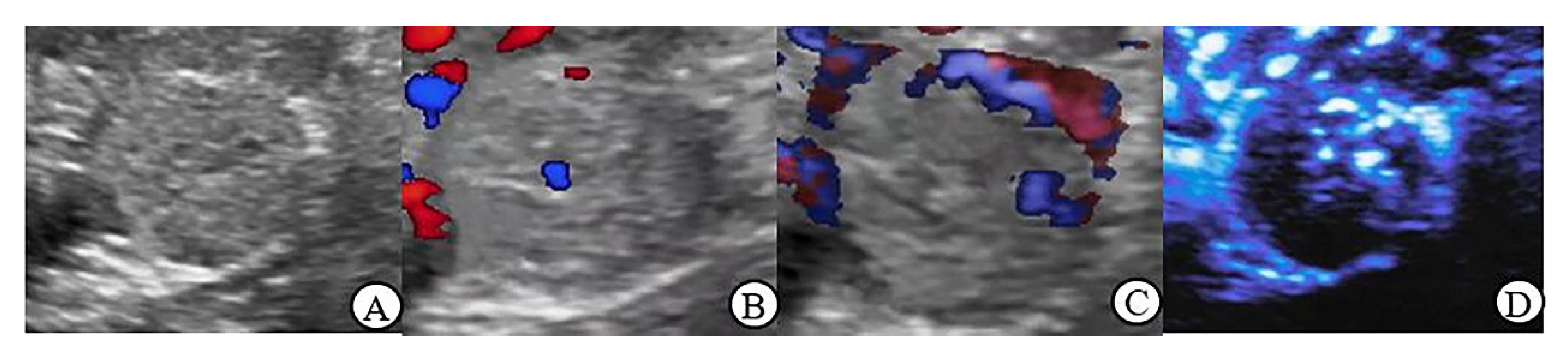
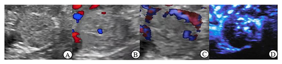
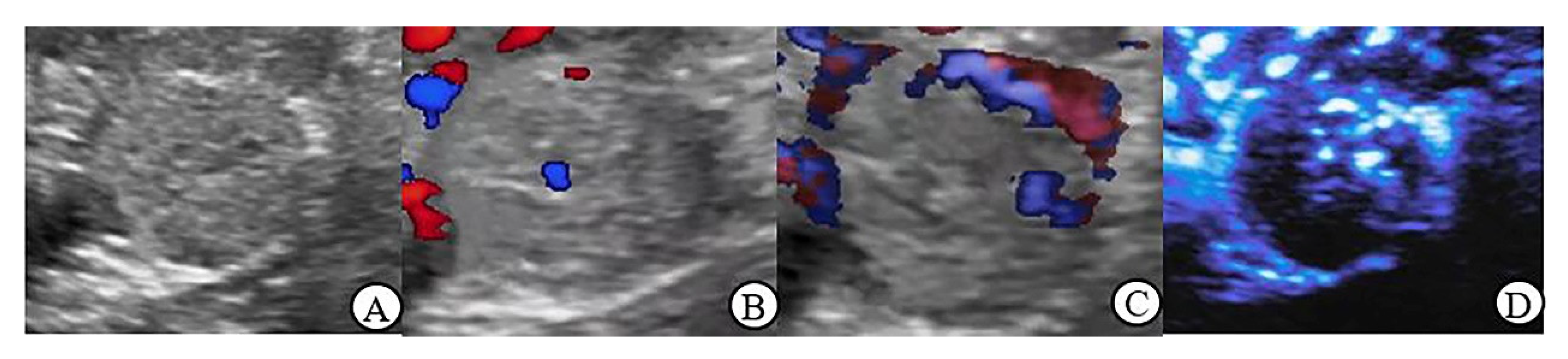
2.3. Imaging Analysis
2.4. Statistical Methods
3. Results
3.1. Pathological Results
3.2. Grayscale Ultrasonic Features
3.3. CDFI, PDI and MFI Evaluation of Blood Flow Characteristics in Benign and Malignant Renal Tumors ≤ 4 cm
3.4. CDFI, PDI and MFI Evaluation of Blood Flow Characteristics in Benign and Malignant Renal Tumors > 4 cm
3.5. Peripheral Blood Flow Characteristics of Renal Tumor in MFI Mode
3.6. Evaluation of Diagnostic Result by CDFI, PDI and MFI in Benign and Malignant Renal Tumors of Different Sizes
4. Discussion
5. Conclusions
Author Contributions
Funding
Institutional Review Board Statement
Informed Consent Statement
Data Availability Statement
Conflicts of Interest
References
- Almatar, A.; Jewett, M.A.S. Small renal masses: Time to standardize follow-up of low-stage renal cancer. Nat. Rev. Urol. 2013, 10, 257–259. [Google Scholar] [CrossRef]
- Sun, M.; Abdollah, F.; Bianchi, M.; Trinh, Q.D.; Jeldres, C.; Thuret, R.; Tian, Z.; Shariat, S.F.; Montorsi, F.; Perrotte, P.; et al. Treatment management of small renal masses in the 21st century: A paradigm shift. Ann. Surg. Oncol. 2012, 19, 2380–2387. [Google Scholar] [CrossRef] [PubMed]
- Doolittle, J.; Piotrowski, J.; Zuk, K.; Jacobsohn, K.; Langenstroer, P.; See, W.; Johnson, S. Evolving trends for selected treatments of T1a renal cell carcinoma. Urology 2019, 132, 136–142. [Google Scholar] [CrossRef] [PubMed]
- Campbell, S.; Uzzo, R.G.; Allaf, M.E.; Bass, E.B.; Cadeddu, J.A.; Chang, A.; Clark, P.E.; Davis, B.J.; Derweesh, I.H.; Giambarresi, L.; et al. Renal mass and localized renal cancer: AUA guideline. J. Urol. 2017, 198, 520–529. [Google Scholar] [CrossRef] [PubMed]
- Metcalf, M.R.; Cheaib, J.G.; Biles, M.J.; Patel, H.D.; Peña, V.N.; Chang, P.; Wagner, A.A.; McKiernan, J.M.; Pierorazio, P.M. Outcomes of Active Surveillance for Young Patients with Small Renal Masses: Prospective Data from the DISSRM Registry. Adult Urol. 2021, 205, 1286–1293. [Google Scholar] [CrossRef] [PubMed]
- Zhang, S.; Wang, X.Q.; Xin, X.J.; Xu, Y. Value of contrast-enhanced ultrasound (CEUS) in the differential diagnosis between benign and malignant renal neoplasms. Chin. J. Oncol. 2013, 35, 382–385. [Google Scholar] [CrossRef]
- Gallan, A.J.; Antic, T. Clinicopathologic features of small renal masses associated with distant metastatic disease. Am. J. Clin. Pathol. 2020, 153, 613–617. [Google Scholar] [CrossRef]
- Cai, Y.Y.; Du, L.F. Recent advances of ultrasonic diagnosis in renal cell carcinoma. Chin. J. Ultrasonogr. 2012, 21, 540–542. [Google Scholar] [CrossRef]
- Wang, Y.; Fan, J.H.; Lang, Y.L.; Wen, S.B.; Ju, H.J. Correlation between Blood Flow in CPDI and Angiogenesis of Breast Cancer. Chin. J. Ultrasound Med. 2009, 25, 452–454. [Google Scholar] [CrossRef]
- Hoshino, M.; Shimizu, T.; Ogura, H.; Hagiwara, Y.; Takao, N.; Soga, K.; Usuki, N.; Moriya, J.; Nakamura, H.; Hasegawa, Y. Intraplaque microvascular flow signal in superb microvascular imaging and magnetic resonance imaging carotid plaque imaging in patients with atheromatous carotid artery stenosis. J. Stroke Cerebrovasc. Dis. 2018, 27, 3529–3534. [Google Scholar] [CrossRef]
- Adler, D.D.; Carson, P.L.; Rubin, J.M.; Quinn-Reid, D. Doppler ultrasound color flow imaging in the study of breast cancer: Preliminary findings. Ultrasound Med. Biol. 1990, 16, 553–559. [Google Scholar] [CrossRef] [PubMed]
- Ma, Y.; Li, G.; Li, J.; Ren, W.D. The diagnostic value of superb microvascular imaging (SMI) in detecting blood flow signals of breast lesions: A preliminary study comparing SMI to color doppler flow imaging. Medicine 2015, 94, e1502. [Google Scholar] [CrossRef] [PubMed]
- Yiran, M.; Jie, M.U.; Jing, Z.; Lihui, Z.; Xiaojie, X. Application value of superb microvascular imaging for diagnosis of renal solid masses. Chin. J. Clin. Oncol. 2017, 21, 1082–1085. [Google Scholar] [CrossRef]
- Bertolotto, M.; Bucci, S.; Valentino, M.; Currò, F.; Sachs, C.; Cova, M.A. Contrast-enhanced ultrasound for characterizing renal masses. Eur. J. Radiol. 2018, 105, 41–48. [Google Scholar] [CrossRef] [PubMed]
- Yamashita, Y.; Honda, S.; Nishiharu, T.; Urata, J.; Takahashi, M. Detection of pseudocapsule of renal cell carcinoma with MR imaging and CT. AJR Am. J. Roentgenol. 1996, 166, 1151–1155. [Google Scholar] [CrossRef] [PubMed]
- Drudi, F.M.; Cantisani, V.; Gnecchi, M.; Malpassini, F.; Di Leo, N.; De Felice, C. Contrast-enhanced ultrasound examination of the breast: A literature review. Ultraschall Med. 2012, 33, E1–E7. [Google Scholar] [CrossRef]
- Baldewijns, M.M.; van Vlodrop, I.J.; Vermeulen, P.B.; Soetekouw, P.M.; van Engeland, M.; de Bruïne, A.P. VHL and HIF signalling in renal cell carcinogenesis. J. Pathol. 2010, 221, 125–138. [Google Scholar] [CrossRef]
- Qin, C.; Chen, J.; Li, J.; Ju, X.; Zhang, S.; Cao, Q.; Han, Z.; Li, P.; Shao, P.; Wang, M.; et al. Variants in angiogenesis-related genes and the related risk of clear cell renal cell carcinoma. Chin. J. Urol. 2015, 1, 66–69. [Google Scholar] [CrossRef]
- Han, H.; Ji, Z.; Huang, B.; Mao, L.; Cao, Q.; Fan, P.; Wang, W. The Preliminary Application of Simultaneous Display of CEUS and MFI in the Diagnosis of Hepatic Tumors. J. Ultrasound Med. 2022. Early View. [Google Scholar] [CrossRef]
- Ding, Z.; Liu, W.; He, N.; Ma, X.; Fu, L.; Ye, L. Value of ultrasound elastography combined with contrast-enhanced ultrasound and micro-flow imaging in differential diagnosis of benign and malignant breast lesions. Am. J. Transl. Res. 2021, 13, 13941–13949. [Google Scholar]
- Jiang, J.; Chen, Y.Q.; Zhou, Y.C. Correlation between contrast-enhanced ultrasound features and size of clear cell renal cell carcinoma. Chin. J. Med. Ultrasound 2008, 5, 295–302. [Google Scholar] [CrossRef]
- Zastrow, S.; Phuong, A.; von Bar, I.; Novotny, V.; Hakenberg, O.W.; Wirth, M.P. Primary tumor size in renal cell cancer in relation to the occurrence of synchronous metastatic disease. Urol. Int. 2014, 92, 462–467. [Google Scholar] [CrossRef] [PubMed]
- Grieb, S.M.D.; Theis, R.P.; Burr, D.; Benardot, D.; Siddiqui, T.; Asal, N.R. Food groups and renal cell carcinoma: Results from a case-control study. J. Am. Dietet. Assoc. 2009, 109, 656–667. [Google Scholar] [CrossRef] [PubMed]
- Mu, J.; Mao, Y.; Li, F.; Xin, X.; Zhang, S. Superb microvascular imaging is a rational choice for accurate Bosniak classification of renal cystic masses. Br. J. Radiol. 2019, 92, 20181038. [Google Scholar] [CrossRef] [PubMed]






| Renal Tumor ≤ 4 cm (104) | Renal Tumor > 4 cm (95) |
|---|---|
| clear cell carcinoma (76) | clear cell carcinoma (61) |
| chromophobe cell carcinoma (7) | chromophobe cell carcinoma (10) |
| papillary cell carcinoma (3) | papillary cell carcinoma (4) |
| Angiomyolipoma (15) | Angiomyolipoma (14) |
| Oncocytoma (2) | Oncocytoma (3) |
| epithelioid-angiomyolipoma (1) | epithelioid-angiomyolipoma (3) |
| Renal Tumor ≤ 4 cm (104) | Renal Tumor > 4 cm (95) | |||||||
|---|---|---|---|---|---|---|---|---|
| Benign (18) | Malignant (86) | χ2 | p | Benign (20) | Malignant (75) | χ2 | p | |
| Location | ||||||||
| Left | 7 (38.89%) | 39 (45.35%) | 0.252 | 0.616 | 8 (40%) | 37 (49.33%) | 0.552 | 0.458 |
| Right | 11 (61.11%) | 47 (54.65%) | 12 (60%) | 38 (50.67%) | ||||
| Boundary | ||||||||
| Clear | 17 (94.44%) | 67 (77.91%) | 2.621 | 0.105 | 15 (75%) | 61 (81.33%) | 0.396 | 0.529 |
| Unclear | 1 (5.56%) | 19 (22.09%) | 5 (25%) | 14 (18.67%) | ||||
| Echo | ||||||||
| Hypoechoic | 9 (50%) | 42 (48.84%) | 0.008 | 0.928 | 5 (25%) | 63 (84%) | 27.018 | 0.000 |
| Hyperechoic | 9 (50%) | 44 (51.16%) | 15 (75%) | 12 (16%) | ||||
| Internal echogenicity | ||||||||
| Homogeneity | 4 (22.22%) | 25 (29.07%) | 0.347 | 0.556 | 4 (20%) | 5 (6.67%) | 3.273 | 0.070 |
| Heterogeneous | 14 (77.78%) | 61 (70.93%) | 16 (80%) | 70 (93.33%) | ||||
| Cystic lesions | ||||||||
| Yes | 1 (5.56%) | 23 (26.74%) | 3.765 | 0.052 | 5 (25%) | 42 (56%) | 6.070 | 0.014 |
| No | 17 (94.44) | 63 (73.26%) | 15 (75%) | 33 (44%) | ||||
| CDFI | PDI | MFI | ||||
|---|---|---|---|---|---|---|
| Benign (18) | Malignant (86) | Benign (18) | Malignant (86) | Benign (18) | Malignant (86) | |
| Adler grade | ||||||
| 0 | 8 (44.44%) | 12 (13.95%) | 6 (33.33%) | 11 (12.79%) | 5 (27.78%) | 3 (3.49%) |
| 1 | 3 (16.67%) | 25 (29.07%) | 5 (27.78%) | 21 (24.42%) | 4 (22.22%) | 5 (5.81%) |
| 2 | 5 (27.78%) | 20 (23.26%) | 4 (22.22%) | 18 (20.93%) | 3 (16.67%) | 15 (17.44%) |
| 3 | 2 (11.11%) | 29 (33.72%) | 3 (16.67%) | 36 (41.86%) | 6 (33.33%) | 63 (73.26%) |
| Vascular morphology | ||||||
| None | 8 (44.44%) | 12 (13.95%) | 6 (33.33%) | 11 (12.79%) | 5 (27.78%) | 3 (3.49%) |
| Dotted or liner | 10 (55.56%) | 56 (65.12%) | 11 (61.11%) | 46 (53.49%) | 10 (55.56%) | 24 (27.91%) |
| Branch | 0 | 5 (5.81%) | 0 | 8 (9.3%) | 0 | 19 (22.09%) |
| Irregular | 0 | 13 (15.12%) | 1 (5.56%) | 21 (24.42%) | 3 (16.67%) | 40 (46.51%) |
| Peripheral annular blood flow | ||||||
| None | 18 (100%) | 62 (72.09%) | 18 (100%) | 55 (63.95%) | 15 (83.33%) | 15 (17.44%) |
| Annular | 0 | 24 (27.91%) | 0 | 31 (36.05%) | 3 (16.67%) | 71 (82.56%) |
| CDFI | PDI | MFI | ||||
|---|---|---|---|---|---|---|
| Benign (20) | Malignant (75) | Benign (20) | Malignant (75) | Benign (20) | Malignant (75) | |
| Adler grade | ||||||
| 0 | 11 (55%) | 4 (5.33%) | 9 (45%) | 3 (4%) | 7 (35%) | 1 (1.33%) |
| 1 | 3 (15%) | 7 (9.33%) | 2 (10%) | 6 (8%) | 2 (10%) | 2 (2.67%) |
| 2 | 1 (5%) | 12 (16%) | 2 (10%) | 10 (13.33%) | 3 (15%) | 8 (10.67%) |
| 3 | 5 (25%) | 52 (69.33%) | 7 (35%) | 56 (74.67%) | 8 (40%) | 64 (85.33%) |
| Vascular morphology | ||||||
| None | 11 (55%) | 4 (5.33%) | 9 (45%) | 3 (4%) | 7 (35%) | 1 (1.33%) |
| Dotted or liner | 7 (35%) | 40 (53.33%) | 8 (40%) | 28 (37.33%) | 6 (30%) | 15 (20%) |
| Branch | 1 (5%) | 9 (12%) | 1 (5%) | 15 (20%) | 3 (15%) | 20 (26.67%) |
| Irregular | 1 (5%) | 22 (29.33%) | 2 (10%) | 29 (38.67%) | 4 (20%) | 39 (52%) |
| Peripheral annular blood flow | ||||||
| None | 20 (100%) | 56 (74.67%) | 20 (100%) | 50 (66.67%) | 19 (95%) | 32 (42.67%) |
| Annular | 0 | 19 (25.33%) | 0 | 25 (33.33%) | 1 (5%) | 43 (57.33%) |
| Largest Diameter | Method | Sensitivity | 95%CI | Specificity | 95%CI | +LR | −LR | Positive predictive Value | Negative Predictive Value | Accuracy | AUC | Cutoff |
|---|---|---|---|---|---|---|---|---|---|---|---|---|
| ≤4 cm | CDFI | 72.09% | 61.4~81.2 | 66.67% | 41~86.7 | 2.16 | 0.42 | 91.17% | 33.33% | 71.15% | 0.694 | 0.3876 |
| PDI | 73.26% | 62.6~82.2 | 66.67% | 41~86.7 | 2.2 | 0.4 | 91.3% | 34.29% | 72.12% | 0.700 | 0.3992 | |
| MFI | 93.02% | 85.4~97.4 | 61.11% | 35.7~82.7 | 2.39 | 0.11 | 91.95% | 64.71% | 87.5% | 0.771 | 0.5413 | |
| >4 cm | CDFI | 85.33% | 75.3~92.4 | 75% | 50.9~91.3 | 3.41 | 0.2 | 92.75% | 57.69% | 83.16% | 0.802 | 0.6033 |
| PDI | 89.33% | 80.1~95.3 | 70% | 45.7~88.1 | 2.98 | 0.15 | 91.78% | 63.63% | 85.26% | 0.797 | 0.5933 | |
| MFI | 96% | 88.8~99.2 | 65% | 40.8~84.6 | 2.74 | 0.06 | 91.14% | 81.25% | 89.47% | 0.805 | 0.61 |
Disclaimer/Publisher’s Note: The statements, opinions and data contained in all publications are solely those of the individual author(s) and contributor(s) and not of MDPI and/or the editor(s). MDPI and/or the editor(s) disclaim responsibility for any injury to people or property resulting from any ideas, methods, instructions or products referred to in the content. |
© 2023 by the authors. Licensee MDPI, Basel, Switzerland. This article is an open access article distributed under the terms and conditions of the Creative Commons Attribution (CC BY) license (https://creativecommons.org/licenses/by/4.0/).
Share and Cite
Zhang, D.; Wang, Y.; Yang, F.; Mao, Y.; Mu, J.; Zhao, L.; Xu, W. Diagnostic Value of Multi-Mode Ultrasonic Flow Imaging Examination in Solid Renal Tumors of Different Sizes. J. Clin. Med. 2023, 12, 566. https://doi.org/10.3390/jcm12020566
Zhang D, Wang Y, Yang F, Mao Y, Mu J, Zhao L, Xu W. Diagnostic Value of Multi-Mode Ultrasonic Flow Imaging Examination in Solid Renal Tumors of Different Sizes. Journal of Clinical Medicine. 2023; 12(2):566. https://doi.org/10.3390/jcm12020566
Chicago/Turabian StyleZhang, Dai, Ying Wang, Fan Yang, Yiran Mao, Jie Mu, Lihui Zhao, and Wengui Xu. 2023. "Diagnostic Value of Multi-Mode Ultrasonic Flow Imaging Examination in Solid Renal Tumors of Different Sizes" Journal of Clinical Medicine 12, no. 2: 566. https://doi.org/10.3390/jcm12020566
APA StyleZhang, D., Wang, Y., Yang, F., Mao, Y., Mu, J., Zhao, L., & Xu, W. (2023). Diagnostic Value of Multi-Mode Ultrasonic Flow Imaging Examination in Solid Renal Tumors of Different Sizes. Journal of Clinical Medicine, 12(2), 566. https://doi.org/10.3390/jcm12020566
