Long-Term Outcomes at Skeletal Maturity of Combined Pelvic and Femoral Osteotomy for the Treatment of Legg–Calve–Perthes Disease
Abstract
:1. Introduction
2. Materials and Methods
2.1. Study Design
2.2. Surgical Procedure
2.3. Analysis
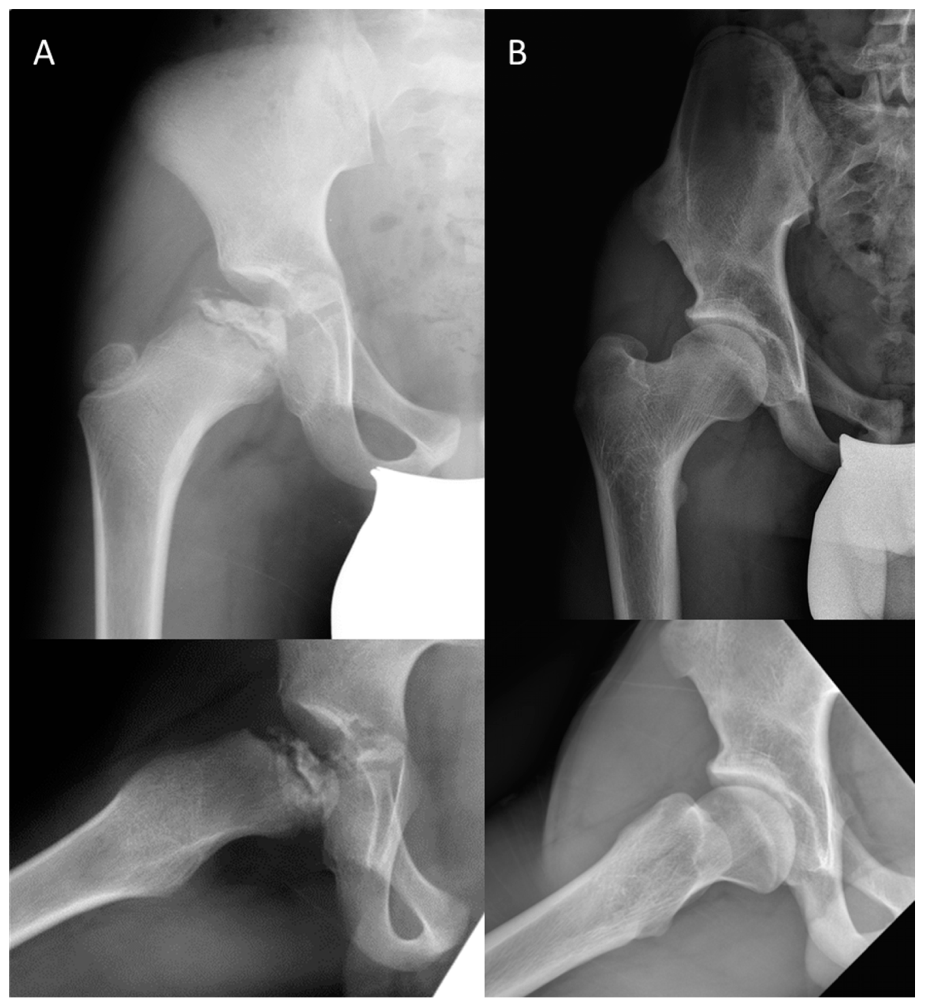
3. Results
4. Discussion
Author Contributions
Funding
Institutional Review Board Statement
Informed Consent Statement
Data Availability Statement
Acknowledgments
Conflicts of Interest
References
- Mose, K.; Hjorth, L.; Ulfeldt, M.; Christensen, E.R.; Jensen, A. Legg Calvé Perthes disease. The late occurence of coxarthrosis. Acta Orthop. Scand. Suppl. 1977, 169, 1–39. [Google Scholar] [CrossRef]
- Catterall, A. The natural history of Perthes’ disease. J. Bone Jt. Surg. Br. 1971, 53, 37–53. [Google Scholar] [CrossRef]
- Catterall, A. Natural history, classification, and x-ray signs in Legg-Calvé-Perthes’ disease. Acta Orthop. Belg. 1980, 46, 346–351. [Google Scholar]
- Stulberg, S.D.; Cooperman, D.R.; Wallensten, R. The natural history of Legg-Calvé-Perthes disease. J. Bone Jt. Surg. Am. 1981, 63, 1095–1108. [Google Scholar] [CrossRef]
- McAndrew, M.P.; Weinstein, S.L. A long-term follow-up of Legg-Calvé-Perthes disease. J. Bone Jt. Surg. 1984, 66, 860–869. [Google Scholar] [CrossRef]
- Weinstein, S.L. Legg-Calvé-Perthes disease: Results of long-term follow-up. Hip 1985, 1, 28–37. [Google Scholar]
- Inoue, A.; Freeman, M.; Vernon-Roberts, B.; Mizuno, S. The pathogenesis of Perthes’ disease. J. Bone Jt. Surg. Br. 1976, 58-B, 453–461. [Google Scholar] [CrossRef]
- Atsumi, T.; Yamano, K.; Muraki, M.; Yoshihara, S.; Kajihara, T. The blood supply of the lateral epiphyseal arteries in Perthes’ disease. J. Bone Jt. Surg. Br. 2000, 82, 392–398. [Google Scholar] [CrossRef]
- Weinstein, S.L. Legg-Calvé-Perthes disease. Instr. Course Lect. 1983, 32, 272–291. [Google Scholar]
- Kim, H.K. Legg-Calve-Perthes disease: Etiology, pathogenesis, and biology. J. Pediatr. Orthop. 2011, 31 (Suppl. S2), S141–S146. [Google Scholar] [CrossRef] [PubMed]
- Ezoe, M.; Naito, M.; Inoue, T. The prevalence of acetabular retroversion among various disorders of the hip. J. Bone Jt. Surg. Am. 2006, 88, 372–379. [Google Scholar] [CrossRef]
- Wenger, D.R.; Pandya, N.K. A brief history of Legg-Calvé-Perthes disease. J. Pediatr. Orthop. 2011, 31 (Suppl. S2), S130–S136. [Google Scholar] [CrossRef] [PubMed]
- Herring, J.A.; Kim, H.T.; Browne, R. Legg-Calve-Perthes disease. Part II: Prospective multicenter study of the effect of treatment on outcome. J. Bone Jt. Surg. Am. 2004, 86, 2121–2134. [Google Scholar] [CrossRef]
- Wiig, O.; Terjesen, T.; Svenningsen, S. Prognostic factors and outcome of treatment in Perthes’ disease: A prospective study of 368 patients with five-year follow-up. J. Bone Jt. Surg. Br. 2008, 90, 1364–1371. [Google Scholar] [CrossRef] [PubMed]
- Kitakoji, T.; Hattori, T.; Kitoh, H.; Katoh, M.; Ishiguro, N. Which is a better method for Perthes’ disease: Femoral varus or Salter osteotomy? Clin. Orthop. Relat. Res. 2005, 430, 163–170. [Google Scholar] [CrossRef]
- Sponseller, P.D.; Desai, S.S.; Millis, M.B. Comparison of femoral and innominate osteotomies for the treatment of Legg-Calvé-Perthes disease. J. Bone Jt. Surg. 1988, 70, 1131–1139. [Google Scholar] [CrossRef]
- Moberg, A.; Hansson, G.; Kaniklides, C. Results after femoral and innominate osteotomy in Legg-Calvé-Perthes disease. Clin. Orthop. Relat. Res. 1997, 334, 257–264. [Google Scholar] [CrossRef]
- Mosow, N.; Vettorazzi, E.; Breyer, S.; Ridderbusch, K.; Stücker, R.; Rupprecht, M. Outcome After Combined Pelvic and Femoral Osteotomies in Patients with Legg-Calvé-Perthes Disease. J. Bone Jt. Surg. Am. 2017, 99, 207–213. [Google Scholar] [CrossRef]
- Herring, J.A.; Kim, H.T.; Browne, R. Legg-Calve-Perthes disease. Part I: Classification of radiographs with use of the modified lateral pillar and Stulberg classifications. J. Bone Jt. Surg. Am. 2004, 86, 2103–2120. [Google Scholar] [CrossRef]
- Wiig, O.; Terjesen, T.; Svenningsen, S. Inter-observer reliability of the Stulberg classification in the assessment of Perthes disease. J. Child. Orthop. 2007, 1, 101–105. [Google Scholar] [CrossRef]
- Agus, H.; Kalenderer, O.; Eryanlmaz, G.; Ozcalabi, I.T. Intraobserver and interobserver reliability of Catterall, Herring, Salter-Thompson and Stulberg classification systems in Perthes disease. J. Pediatr. Orthop. B 2004, 13, 166–169. [Google Scholar] [PubMed]
- Bulut, M.; Demirtş, A.; Uçar, B.Y.; Azboy, I.; Alemdar, C.; Karakurt, L. Salter pelvic osteotomy in the treatment of Legg-Calve-Perthes disease: The medium-term results. Acta Orthop. Belg. 2014, 80, 56–62. [Google Scholar] [PubMed]
- Larson, A.N.; Sucato, D.J.; Herring, J.A.; Adolfsen, S.E.; Kelly, D.M.; Martus, J.E.; Lovejoy, J.F.; Browne, R.; DeLaRocha, A. A prospective multicenter study of Legg-Calvé-Perthes disease: Functional and radiographic outcomes of nonoperative treatment at a mean follow-up of twenty years. J. Bone Jt. Surg. Am. 2012, 94, 584–592. [Google Scholar] [CrossRef] [PubMed]
- Rab, G.T. Containment of the hip: A theoretical comparison of osteotomies. Clin. Orthop. Relat. Res. 1981, 154, 191–196. [Google Scholar] [CrossRef]
- Sankar, W.N.; Flynn, J.M. The development of acetabular retroversion in children with Legg-Calvé-Perthes disease. J. Pediatr. Orthop. 2008, 28, 440–443. [Google Scholar] [CrossRef]
- Larson, A.N.; Stans, A.A.; Sierra, R.J. Ischial spine sign reveals acetabular retroversion in Legg-Calvé-Perthes disease. Clin. Orthop. Relat. Res. 2011, 469, 2012–2018. [Google Scholar] [CrossRef]
- Berg, R.P.; Galantay, R.; Eijer, H. Retroversion of the contralateral adult acetabulum after previous Perthes’ disease. Acta Orthop. Belg. 2010, 76, 42–47. [Google Scholar]
- Dora, C.; Mascard, E.; Mladenov, K.; Seringe, R. Retroversion of the acetabular dome after Salter and triple pelvic osteotomy for congenital dislocation of the hip. J. Pediatr. Orthop. B 2002, 11, 34–40. [Google Scholar]
- Eijer, H.; Berg, R.P.; Haverkamp, D.; Pécasse, G.A.B.M. Hip deformity in symptomatic adult Perthes’ disease. Acta Orthop. Belg. 2006, 72, 683–692. [Google Scholar]
- Shohat, N.; Copeliovitch, L.; Smorgick, Y.; Atzmon, R.; Mirovsky, Y.; Shabshin, N.; Beer, Y.; Agar, G. The Long-Term Outcome After Varus Derotational Osteotomy for Legg-Calvé-Perthes Disease: A Mean Follow-up of 42 Years. J. Bone Jt. Surg. Am. 2016, 98, 1277–1285. [Google Scholar] [CrossRef]
- Kim, H.K.; Da Cunha, A.M.; Browne, R.; Kim, H.T.; Herring, J.A. How much varus is optimal with proximal femoral osteotomy to preserve the femoral head in Legg-Calvé-Perthes disease? J. Bone Jt. Surg. Am. 2011, 93, 341–347. [Google Scholar] [CrossRef] [PubMed]
- Lim, K.S.; Shim, J.S. Outcomes of Combined Shelf Acetabuloplasty with Femoral Varus Osteotomy in Severe Legg-Calve-Perthes (LCP) Disease: Advanced Containment Method for Severe LCP Disease. Clin. Orthop. Surg. 2015, 7, 497–504. [Google Scholar] [CrossRef] [PubMed]
- Javid, M.; Wedge, J.H. Radiographic results of combined Salter innominate and femoral osteotomy in Legg-Calvé-Perthes disease in older children. J. Child. Orthop. 2009, 3, 229–234. [Google Scholar] [CrossRef]
- Crutcher, J.P.; Staheli, L.T. Combined osteotomy as a salvage procedure for severe Legg-Calvé-Perthes disease. J. Pediatr. Orthop. 1992, 12, 151–156. [Google Scholar] [CrossRef] [PubMed]
- Joseph, B.; Nair, N.S.; Rao, K.N.; Mulpuri, K.; Varghese, G. Optimal timing for containment surgery for Perthes disease. J. Pediatr. Orthop. 2003, 23, 601–606. [Google Scholar] [CrossRef] [PubMed]
- Sankar, W.N.; Lavalva, S.M.; Mcguire, M.F.; Jo, C.; Laine, J.C.; Kim, H.K. Does Early Proximal Femoral Varus Osteotomy Shorten the Duration of Fragmentation in Perthes Disease? Lessons from a Prospective Multicenter Cohort. J. Pediatr. Orthop. 2020, 40, e322–e328. [Google Scholar] [CrossRef] [PubMed]
- Do, D.H.; McGuire, M.F.; Jo, C.H.; Kim, H.K.W. Weightbearing and Activity Restriction Treatments and Quality of Life in Patients with Perthes Disease. Clin. Orthop. Relat. Res. 2021, 479, 1360–1370. [Google Scholar] [CrossRef]


| Patient Number | Gender | Lateral Pillar | Age at Diagnosis (Years) | Age at Surgery (Years) |
|---|---|---|---|---|
| 1 | M | C | 8.3 | 9.2 |
| 2 | M | B | 6.4 | 8.3 |
| 3 | F | C | 7.0 | 7.2 |
| 4 | F | C | 6.5 | 7.6 |
| 5 | M | C | 9.0 | 10.4 |
| 6 | M | B | 7.0 | 8.3 |
| 7 | F | B | 8.0 | 8.6 |
| 8 | M | B | 9.0 | 9.1 |
| 9 | M | C | 10.0 | 10.4 |
| 10 | M | B | 7.3 | 7.9 |
| 11 | M | C | 7.7 | 8.7 |
| 12 | M | C | 6.8 | 7.4 |
| 13 | F | B | 9.6 | 9.7 |
| 14 (R) | M | B | 7.0 | 7.3 |
| 14 (L) | B | |||
| Group Mean ± SD | 7.8 ± 1.2 | 8.6 ± 1.1 |
| Patient # | Stulberg | Leg-Length Discrepancy (cm) | Age at Latest Visit (Years) | F/U from Diagnosis (Years) | F/U from Surgery (Years) |
|---|---|---|---|---|---|
| 1 | II | 0.2 | 16.1 | 7.7 | 6.9 |
| 2 | II | 1.5 | 14.7 | 8.3 | 6.3 |
| 3 | V | 1.8 | 27.0 | 20.0 | 19.8 |
| 4 | III | 0.5 | 26.2 | 19.7 | 18.6 |
| 5 | IV | 3.9 | 35.6 | 26.6 | 25.2 |
| 6 | III | 2.4 | 22.4 | 15.4 | 14.1 |
| 7 | II | 0.3 | 17.7 | 9.7 | 9.1 |
| 8 | III | 0.2 | 15.9 | 6.9 | 6.8 |
| 9 | IV | 1.1 | 23.6 | 13.6 | 13.1 |
| 10 | II | 0.6 | 14.2 | 6.9 | 6.3 |
| 11 | II | 1.2 | 18.3 | 10.6 | 9.6 |
| 12 | II | 1.0 | 18.1 | 11.3 | 10.7 |
| 13 | IV | 0.8 | 18.2 | 8.7 | 8.6 |
| 14 (R) | IV | 0.0 | 14.6 | 7.6 | 7.4 |
| 14 (L) | III | ||||
| Group Mean ± SD | 1.1 ± 1.0 | 20.2 ± 6.1 | 12.3 ± 6.0 | 11.6 ± 5.9 |
| Study | Procedure | Lateral Pillar C Patients | Stulberg I/II | Stulberg III | Stulberg IV/V | Total |
|---|---|---|---|---|---|---|
| Ours | Double Osteotomy | 7 (47%) | 6 (40%) | 4 (27%) | 5 (33%) | 15 |
| Herring et al. [13] | Single Osteotomy | 5 (10%) | 25 (50%) | 16 (32%) | 9 (18%) | 50 |
| Shohat et al. [30] | Single Osteotomy | 3 (19%) | 7 (50%) | 7 (50%) | 14 | |
| Sponseller et al. [16] | Femoral Osteotomy | not reported | 18 (69%) | 8 (31%) | 26 | |
| Pelvic Osteotomy | not reported | 22 (65%) | 12 (35%) | 34 | ||
| Kitakoji et al. [15] | Femoral Osteotomy | 26 (56%) | 4 (40%) | 3 (30%) | 3 (30%) | 10 |
| Pelvic Osteotomy | 18 (60%) | 4 (40%) | 3 (30%) | 3 (30%) | 10 | |
| Mosow et al. [18] | Double Osteotomy | 28 (68%) | 27 (51%) | 15 (29%) | 10 (20%) | 52 |
| Lim et al. [32] | Double Osteotomy | 12 (100%) | 4 (33%) | 7 (58%) | 1 (8%) | 12 |
| Javid and Wedge [33] | Double Osteotomy | 2 (10%) | 6 (30%) | 9 (45%) | 5 (25%) | 20 |
| Crutcher and Staheli [34] | Double Osteotomy | not reported | 7 (50%) | 6 (43%) | 1 (7%) | 14 |
| Herring et al. [13] | Non-operative | 14 (15%) | 30 (33%) | 34 (37%) | 27 (30%) | 91 |
| Larson et al. [23] | Non-operative | 11 (19%) | 23 (40%) | 19 (33%) | 15 (26%) | 57 |
Disclaimer/Publisher’s Note: The statements, opinions and data contained in all publications are solely those of the individual author(s) and contributor(s) and not of MDPI and/or the editor(s). MDPI and/or the editor(s) disclaim responsibility for any injury to people or property resulting from any ideas, methods, instructions or products referred to in the content. |
© 2023 by the authors. Licensee MDPI, Basel, Switzerland. This article is an open access article distributed under the terms and conditions of the Creative Commons Attribution (CC BY) license (https://creativecommons.org/licenses/by/4.0/).
Share and Cite
Regan, C.M.; Su, A.W.; Stans, A.A.; Milbrandt, T.A.; Larson, A.N.; Shaughnessy, W.J.; Grigoriou, E. Long-Term Outcomes at Skeletal Maturity of Combined Pelvic and Femoral Osteotomy for the Treatment of Legg–Calve–Perthes Disease. J. Clin. Med. 2023, 12, 5718. https://doi.org/10.3390/jcm12175718
Regan CM, Su AW, Stans AA, Milbrandt TA, Larson AN, Shaughnessy WJ, Grigoriou E. Long-Term Outcomes at Skeletal Maturity of Combined Pelvic and Femoral Osteotomy for the Treatment of Legg–Calve–Perthes Disease. Journal of Clinical Medicine. 2023; 12(17):5718. https://doi.org/10.3390/jcm12175718
Chicago/Turabian StyleRegan, Christina M., Alvin W. Su, Anthony A. Stans, Todd A. Milbrandt, A. Noelle Larson, William J. Shaughnessy, and Emmanouil Grigoriou. 2023. "Long-Term Outcomes at Skeletal Maturity of Combined Pelvic and Femoral Osteotomy for the Treatment of Legg–Calve–Perthes Disease" Journal of Clinical Medicine 12, no. 17: 5718. https://doi.org/10.3390/jcm12175718
APA StyleRegan, C. M., Su, A. W., Stans, A. A., Milbrandt, T. A., Larson, A. N., Shaughnessy, W. J., & Grigoriou, E. (2023). Long-Term Outcomes at Skeletal Maturity of Combined Pelvic and Femoral Osteotomy for the Treatment of Legg–Calve–Perthes Disease. Journal of Clinical Medicine, 12(17), 5718. https://doi.org/10.3390/jcm12175718
