A Clinical and Ethical Dilemma: Expectant Management for Ectopic Pregnancy with a Vital Fetus in a Low-Resource Setting
Abstract
:1. Teaching Points
- -
- Growing evidence reporting successful cases of abdominal pregnancy challenges the traditional assumption that ectopic pregnancy is non-viable by definition;
- -
- The report provides an update regarding the potential conflict between the ethical principles of beneficence and the patient’s autonomy while managing a vital ectopic pregnancy;
- -
- The limited access to infertility treatment in low- and middle-income countries suggests bringing forward the debate regarding expectant management in uncomplicated cases of ectopic pregnancy.
2. Background
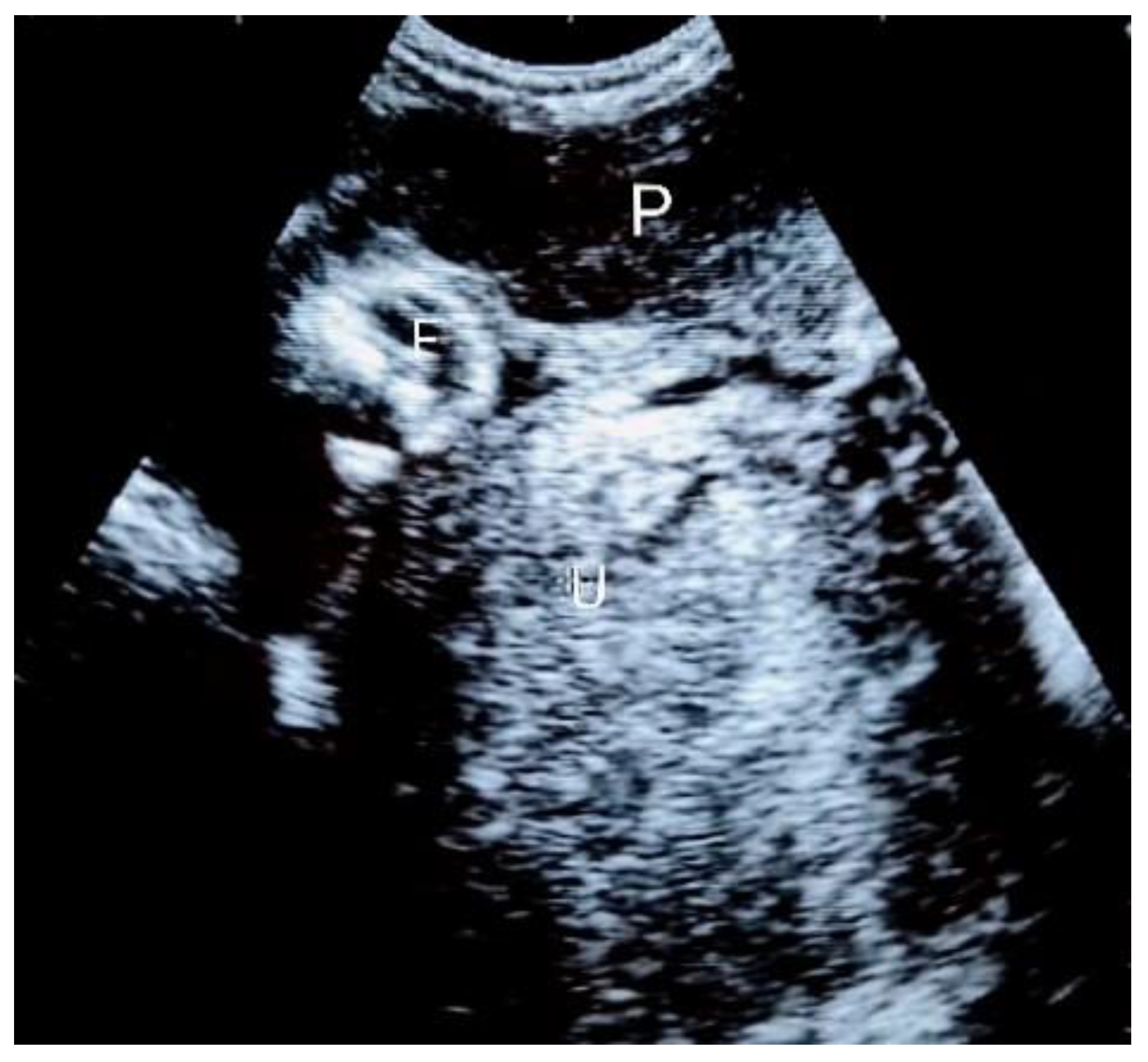
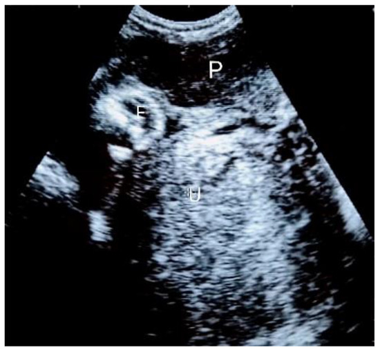
3. Case Presentation
4. Discussion
“Considering that the pregnancy is progressing, is there any actual risk for my life?”
“For my tubal pregnancy, is there any chance to success? In other words, what is the risk of rupture versus the chance to deliver a live baby?”
“But I’m infertile. What if this was my only chance? What if I refuse the surgery?”
5. Conclusions
Author Contributions
Funding
Institutional Review Board Statement
Informed Consent Statement
Data Availability Statement
Acknowledgments
Conflicts of Interest
References
- Creanga, A.A.; Syverson, C.; Seed, K.; Callaghan, W.M. Pregnancy-Related Mortality in the United States, 2011–2013. Obs. Gynecol 2017, 130, 366–373. [Google Scholar] [CrossRef] [PubMed]
- Creanga, A.A.; Shapiro-Mendoza, C.K.; Bish, C.L.; Zane, S.; Berg, C.J.; Callaghan, W.M. Trends in Ectopic Pregnancy Mortality in the United States: 1980–2007. Obstet. Gynecol. 2011, 117, 837–843. [Google Scholar] [CrossRef] [PubMed]
- Saving Mothers’ Lives: Reviewing Maternal Deaths to Make Motherhood Safer: 2006–2008. BJOG Int. J. Obstet. Gynaecol. 2011, 118, 1–203. [CrossRef] [PubMed]
- Farquhar, C.M. Ectopic Pregnancy. Lancet 2005, 366, 583–591. [Google Scholar] [CrossRef] [PubMed]
- American College of Obstetricians and Gynecologists. ACOG Practice Bulletin No. 193: Tubal Ectopic Pregnancy. Obstet. Gynecol. 2018, 131, e91–e103. [Google Scholar] [CrossRef] [PubMed]
- Miller, J.; Brown, D.; Keune, J.; Kodner, I.; Ray, S.; Steele, S.R.; Zihni, A.M. Ethical Dilemmas in the Care of Afghan Women by American Military Surgeons. Surgery 2014, 156, 1278–1281. [Google Scholar] [CrossRef]
- Indarti, J.; Saroyo, Y.B.; Anggraheni, B.A.R.; Widyatama, A. Biopsychosocial Approach for Conservative Management of Abdominal Pregnancy in Previously Infertile Mother. Case Rep. Med. 2022, 2022, 3021097. [Google Scholar] [CrossRef]
- Li, J.; Jiang, K.; Zhao, F. Fertility Outcome Analysis after Surgical Management of Tubal Ectopic Pregnancy: A Retrospective Cohort Study. BMJ Open 2015, 5, e007339. [Google Scholar] [CrossRef]
- Wenjing, L.; Haibo, L. Therapeutic Effect of Laparoscopic Salpingotomy vs. Salpingectomy on Patients with Ectopic Pregnancy: A Systematic Review and Meta-Analysis. Front. Surg. 2022, 9, 997490. [Google Scholar] [CrossRef]
- Reekie, J.; Donovan, B.; Guy, R.; Hocking, J.S.; Kaldor, J.M.; Mak, D.; Preen, D.; Ward, J.; Liu, B. Chlamydia and Reproductive Health Outcome Investigators Risk of Ectopic Pregnancy and Tubal Infertility Following Gonorrhea and Chlamydia Infections. Clin. Infect. Dis. 2019, 69, 1621–1623. [Google Scholar] [CrossRef]
- Hoenderboom, B.M.; van Benthem, B.H.B.; van Bergen, J.E.A.M.; Dukers-Muijrers, N.H.T.M.; Götz, H.M.; Hoebe, C.J.P.A.; Hogewoning, A.A.; Land, J.A.; van der Sande, M.A.B.; Morré, S.A.; et al. Relation between Chlamydia Trachomatis Infection and Pelvic Inflammatory Disease, Ectopic Pregnancy and Tubal Factor Infertility in a Dutch Cohort of Women Previously Tested for Chlamydia in a Chlamydia Screening Trial. Sex. Transm. Infect. 2019, 95, 300–306. [Google Scholar] [CrossRef] [PubMed]
- Davies, B.; Turner, K.M.E.; Frølund, M.; Ward, H.; May, M.T.; Rasmussen, S.; Benfield, T.; Westh, H. Danish Chlamydia Study Group Risk of Reproductive Complications Following Chlamydia Testing: A Population-Based Retrospective Cohort Study in Denmark. Lancet Infect. Dis. 2016, 16, 1057–1064. [Google Scholar] [CrossRef] [PubMed]
- Dickens, B.M.; Faúndes, A.; Cook, R.J. Ectopic Pregnancy and Emergency Care: Ethical and Legal Issues. Int. J. Gynecol. Obstet. 2003, 82, 121–126. [Google Scholar] [CrossRef] [PubMed]
- Farren, J.; Jalmbrant, M.; Falconieri, N.; Mitchell-Jones, N.; Bobdiwala, S.; Al-Memar, M.; Tapp, S.; Van Calster, B.; Wynants, L.; Timmerman, D.; et al. Posttraumatic Stress, Anxiety and Depression Following Miscarriage and Ectopic Pregnancy: A Multicenter, Prospective, Cohort Study. Am. J. Obstet. Gynecol. 2020, 222, 367.e1–367.e22. [Google Scholar] [CrossRef] [PubMed]
- Suicide after Ectopic Pregnancy|NEJM. Available online: https://www-nejm-org.pros2.lib.unimi.it/doi/full/10.1056/NEJM199403103301013 (accessed on 12 February 2023).
- Varkey, B. Principles of Clinical Ethics and Their Application to Practice. Med. Princ. Pr. 2021, 30, 17–28. [Google Scholar] [CrossRef] [PubMed]
- Berhe, E.T.; Kiros, K.; Hagos, M.G.; Gesesew, H.A.; Ward, P.R.; Gebremeskel, T.G. Ectopic Pregnancy in Tigray, Ethiopia: A Cross-Sectional Survey of Prevalence, Management Outcomes, and Associated Factors. J. Pregnancy 2021, 2021, 4443117. [Google Scholar] [CrossRef] [PubMed]
- Anyanwu, M.; Titilope, G. Ectopic Pregnancy at the Gambian Tertiary Hospital. Afr. Health Sci. 2021, 21, 295–303. [Google Scholar] [CrossRef] [PubMed]
- Olamijulo, J.A.; Okusanya, B.O.; Adenekan, M.A.; Ugwu, A.O.; Olorunfemi, G.; Okojie, O. Ectopic Pregnancy at the Lagos University Teaching Hospital, Lagos, South-Western Nigeria: Temporal Trends, Clinical Presentation and Management Outcomes from 2005 to 2014. Niger. Postgrad. Med. J. 2020, 27, 177–183. [Google Scholar] [CrossRef] [PubMed]
- Sefogah, P.E.; Oduro, N.E.; Swarray-Deen, A.; Nuamah, H.G.; Takyi, R.B.; Nuamah, M.A.; Oppong, S.A. Factors Associated with Ruptured Ectopic Pregnancy: A 10-Year Review at a District Hospital in Ghana. Obs. Gynecol. Int. 2022, 2022, 1491419. [Google Scholar] [CrossRef]
- Ramphal, S.; Khaliq, O.P.; Abel, T.; Moodley, J. Expectant Management of Advanced Abdominal Pregnancies: Is It Justifiable? Eur. J. Obs. Gynecol. Reprod. Biol. 2023, 281, 99–108. [Google Scholar] [CrossRef] [PubMed]
- Rohilla, M.; Joshi, B.; Jain, V.; Neetimala; Gainder, S. Advanced Abdominal Pregnancy: A Search for Consensus. Review of Literature along with Case Report. Arch. Gynecol. Obs. 2018, 298, 1–8. [Google Scholar] [CrossRef] [PubMed]
- Muroni, M.; Butoyi, J.M.V.; Shimirimana, M.; Mulemangabo, M.; Nkurunziza, J.; Caravaggi, P. Hemoperitoneum during Removal of the Placenta in Advanced Abdominal Pregnancy with Live Fetus Delivered at 37 Weeks of Gestation. A Case Report in a Low-Resource Setting and Literature Review. Int. J. Surg. Case Rep. 2021, 80, 105694. [Google Scholar] [CrossRef] [PubMed]
- Chan, S.W.; Tulloch, E.; Cooper, E.S.; Smith, A.; Wojcik, W.; Norman, J.E. Montgomery and Informed Consent: Where Are We Now? BMJ 2017, 357, j2224. [Google Scholar] [CrossRef]
- Bollig, K.J.; Friedlander, H.; Schust, D.J. Ectopic Pregnancy and Lifesaving Care. JAMA 2023, 329, 2086–2087. [Google Scholar] [CrossRef] [PubMed]
- Schneider, J.; Berger, C.J.; Cattell, C. Maternal Mortality Due to Ectopic Pregnancy. A Review of 102 Deaths. Obs. Gynecol. 1977, 49, 557–561. [Google Scholar]
- Studdiford, W.E. Primary Peritoneal Pregnancy. Am. J. Obstet. Gynecol. 1942, 44, 487–491. [Google Scholar] [CrossRef]
- Berghella, V.; Wolf, S.C. Does Primary Omental Pregnancy Exist? Gynecol. Obs. Invest. 1996, 42, 133–136. [Google Scholar] [CrossRef] [PubMed]
- Sib, S.R.; Ouédraogo, I.; Sanogo, M.; Kiemtoré, S.; Sawadogo, Y.A.; Zamané, H.; Bonané, B. A Full Term Abdominal Pregnancy with an Isthmic Tubal Implantation of the Placenta. BMC Pregnancy Childbirth 2018, 18, 448. [Google Scholar] [CrossRef] [PubMed]
- Allibone, G.W.; Fagan, C.J.; Porter, S.C. The Sonographic Features of Intra-Abdominal Pregnancy. J. Clin. Ultrasound 1981, 9, 383–387. [Google Scholar] [CrossRef] [PubMed]
- Delke, I.; Veridiano, N.P.; Tancer, M.L. Abdominal Pregnancy: Review of Current Management and Addition of 10 Cases. Obs. Gynecol. 1982, 60, 200–204. [Google Scholar]
- Worley, K.C.; Hnat, M.D.; Cunningham, F.G. Advanced Extrauterine Pregnancy: Diagnostic and Therapeutic Challenges. Am. J. Obs. Gynecol. 2008, 198, 297.e1–297.e7. [Google Scholar] [CrossRef] [PubMed]
- Emanuel, E.J. Four Models of the Physician-Patient Relationship. JAMA 1992, 267, 2221. [Google Scholar] [CrossRef]
- Inhorn, M.C.; Patrizio, P. Infertility around the Globe: New Thinking on Gender, Reproductive Technologies and Global Movements in the 21st Century. Hum. Reprod. Update 2015, 21, 411–426. [Google Scholar] [CrossRef] [PubMed]
- Chiware, T.M.; Vermeulen, N.; Blondeel, K.; Farquharson, R.; Kiarie, J.; Lundin, K.; Matsaseng, T.C.; Ombelet, W.; Toskin, I. IVF and Other ART in Low- and Middle-Income Countries: A Systematic Landscape Analysis. Hum. Reprod. Update 2021, 27, 213–228. [Google Scholar] [CrossRef]
- Sahni, S.; Palkar, A.V.; Rochelson, B.L.; Kępa, W.; Talwar, A. Pregnancy and Pulmonary Arterial Hypertension: A Clinical Conundrum. Pregnancy Hypertens. Int. J. Womens Cardiovasc. Health 2015, 5, 157–164. [Google Scholar] [CrossRef] [PubMed]
- Calì, G.; Timor-Tritsch, I.E.; Palacios-Jaraquemada, J.; Monteaugudo, A.; Buca, D.; Forlani, F.; Familiari, A.; Scambia, G.; Acharya, G.; D’Antonio, F. Outcome of Cesarean Scar Pregnancy Managed Expectantly: Systematic Review and Meta-Analysis. Ultrasound Obs. Gynecol. 2018, 51, 169–175. [Google Scholar] [CrossRef] [PubMed]
- Orji, E.O.; Fasubaa, O.B.; Adeyemi, B.; Dare, F.O.; Onwudiegwu, U.; Ogunniyi, S.O. Mortality and Morbidity Associated with Misdiagnosis of Ectopic Pregnancy in a Defined Nigerian Population. J. Obs. Gynaecol. 2002, 22, 548–550. [Google Scholar] [CrossRef]
- Wong, E.; Suat, S.O. Ectopic Pregnancy—A Diagnostic Challenge in the Emergency Department. Eur. J. Emerg. Med. 2000, 7, 189–194. [Google Scholar] [CrossRef] [PubMed]


Disclaimer/Publisher’s Note: The statements, opinions and data contained in all publications are solely those of the individual author(s) and contributor(s) and not of MDPI and/or the editor(s). MDPI and/or the editor(s) disclaim responsibility for any injury to people or property resulting from any ideas, methods, instructions or products referred to in the content. |
© 2023 by the authors. Licensee MDPI, Basel, Switzerland. This article is an open access article distributed under the terms and conditions of the Creative Commons Attribution (CC BY) license (https://creativecommons.org/licenses/by/4.0/).
Share and Cite
Orsi, M.; Janneh, F.M.; Sesay, A.; Bah, A.K.; Tiru, N.A. A Clinical and Ethical Dilemma: Expectant Management for Ectopic Pregnancy with a Vital Fetus in a Low-Resource Setting. J. Clin. Med. 2023, 12, 5642. https://doi.org/10.3390/jcm12175642
Orsi M, Janneh FM, Sesay A, Bah AK, Tiru NA. A Clinical and Ethical Dilemma: Expectant Management for Ectopic Pregnancy with a Vital Fetus in a Low-Resource Setting. Journal of Clinical Medicine. 2023; 12(17):5642. https://doi.org/10.3390/jcm12175642
Chicago/Turabian StyleOrsi, Michele, Foday Musa Janneh, Amadu Sesay, Abdul Karim Bah, and Nitsuh Addis Tiru. 2023. "A Clinical and Ethical Dilemma: Expectant Management for Ectopic Pregnancy with a Vital Fetus in a Low-Resource Setting" Journal of Clinical Medicine 12, no. 17: 5642. https://doi.org/10.3390/jcm12175642
APA StyleOrsi, M., Janneh, F. M., Sesay, A., Bah, A. K., & Tiru, N. A. (2023). A Clinical and Ethical Dilemma: Expectant Management for Ectopic Pregnancy with a Vital Fetus in a Low-Resource Setting. Journal of Clinical Medicine, 12(17), 5642. https://doi.org/10.3390/jcm12175642

