The Revolution of Immunotherapy in Gynecological Cancers: The Lazarus Effect in Endometrial Cancer
Abstract
:1. Introduction
2. Methods
Case Series
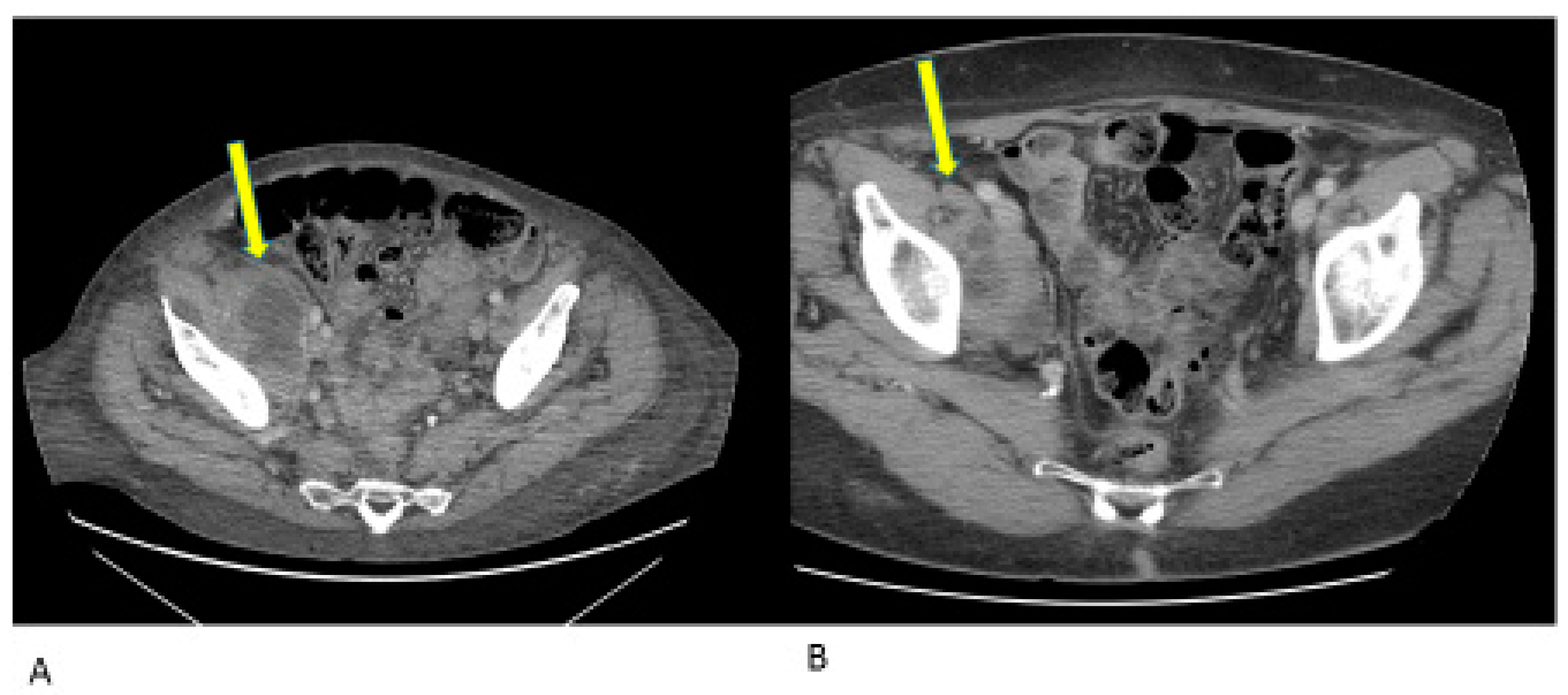
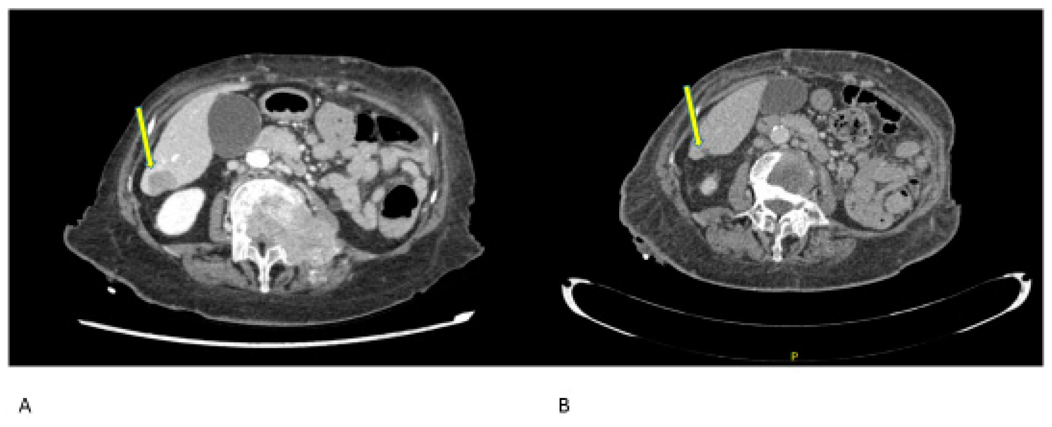
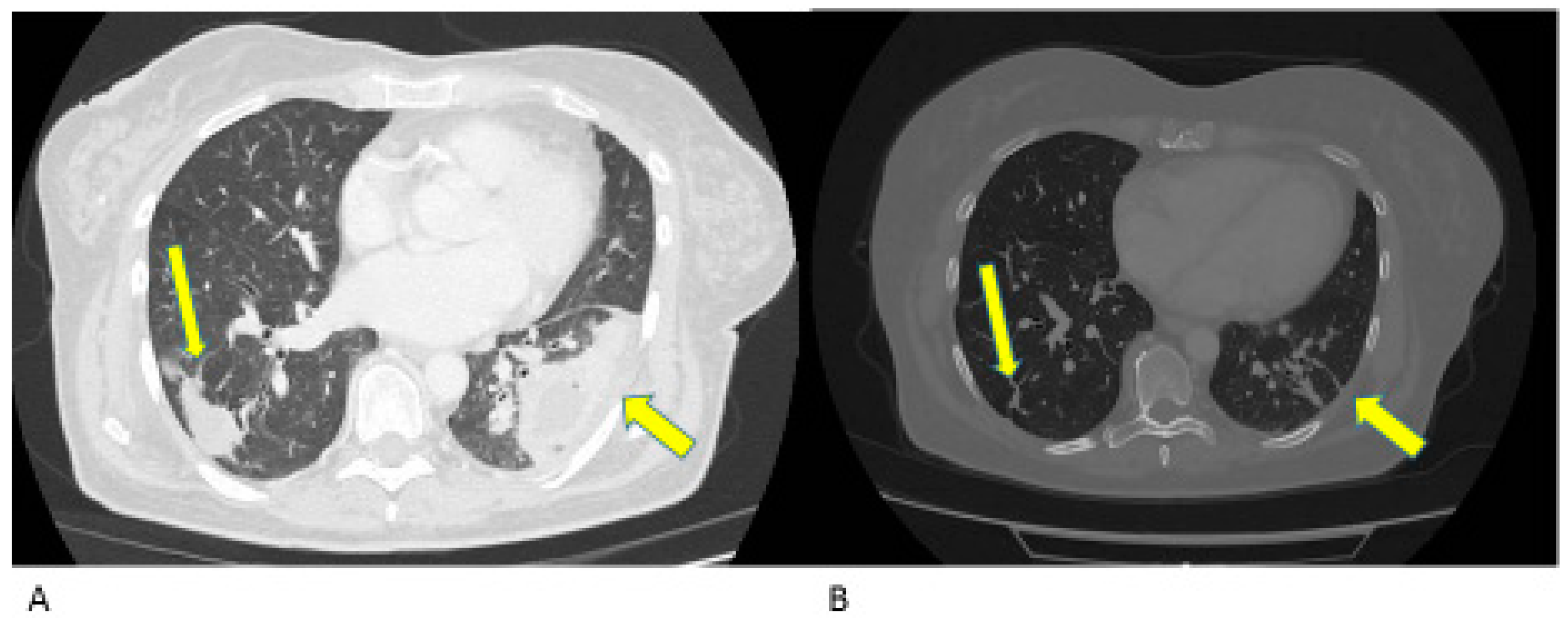
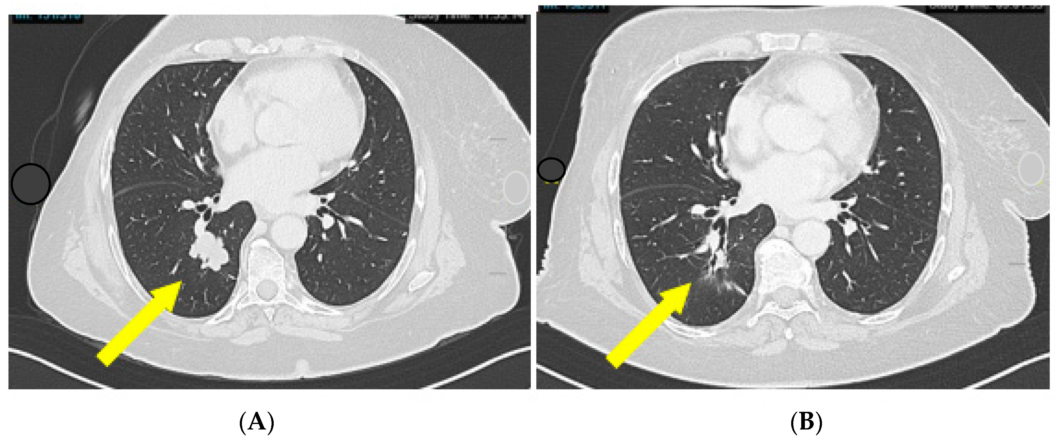
- Case 1:
- Case 2:
- Case 3:
- Case 4:
- Case 5:
- Case 6:
3. Results
4. Molecular Results
5. Discussion
6. Conclusions
Author Contributions
Funding
Institutional Review Board Statement
Informed Consent Statement
Data Availability Statement
Conflicts of Interest
References
- Morice, P.; Leary, A.; Creutzberg, C.; Abu-Rustum, N.; Darai, E. Endometrial cancer. Lancet 2016, 387, 1094–1108. [Google Scholar]
- Lortet-Tieulent, J.; Ferlay, J.; Bray, F.; Jemal, A. International Patterns and Trends in Endometrial Cancer Incidence, 1978–2013. Gynecol. Oncol. 2017, 110, 354–361. [Google Scholar] [CrossRef]
- American Cancer Society: Endometrial Cancer Survival Rates, by Stage. Available online: https://www.cancer.org/cancer/endometrial-cancer/detection-diagnosis-staging/survival-rates.html (accessed on 25 June 2023).
- The Cancer Genome Atlas Research Network; Levine, D. Integrated genomic characterization of endometrial carcinoma. Nature 2013, 497, 67–73. [Google Scholar] [CrossRef] [PubMed]
- WHO Classification of Tumours Editorial Board (Ed.) World Health Organization Classification of Tumours, 5th ed.; Female Genital Tumours; IARC Press: Lyon, France, 2020. [Google Scholar]
- Available online: http://www.fda.gov/drugs/resources-information-approved-drugs/fda-grants-accelerated-approval-pembrolizumab-first-tissuesite-agnostic-indication (accessed on 25 June 2023).
- U.S. Food and Drug Administration. JEMPERLI Highlights of Prescribing Information. Available online: https://www.accessdata.fda.gov/drugsatfda_docs/label/2021/761174s000lbl.pdf (accessed on 25 June 2023).
- Mirza, M.R.; Chase, D.M.; Slomovitz, B.M.; Christensen, R.D.; Novák, Z.; Black, D.; Gilbert, L.; Sharma, S.; Valabrega, G.; Landrum, L.M.; et al. Dostarlimab for Primary Advanced or Recurrent Endometrial Cancer. N. Engl. J. Med. 2023, 388, 2145–2158. [Google Scholar] [CrossRef] [PubMed]
- Langer, C.J. The “lazarus response” in treatment-naive, poor performance status patients with non-small-cell lung cancer and epidermal growth factor receptor mutation. J. Clin. Oncol. 2009, 27, 1350–1354. [Google Scholar] [CrossRef] [PubMed]
- Ciriello, G.; Miller, M.L.; Aksoy, B.A.; Senbabaoglu, Y.; Schultz, N.; Sander, C. Emerging landscape of oncogenic signatures across human cancers. Nat. Genet. 2013, 45, 1127–1133. [Google Scholar] [CrossRef] [PubMed]
- Oaknin, A.; Gilbert, L.; Tinker, A.V.; Brown, J.; Mathews, C.; Press, J.; Sabatier, R.; O’malley, D.M.; Samouelian, V.; Boni, V.; et al. Safety and antitumor activity of dostarlimab in patients with advanced or recurrent DNA mismatch repair deficient/microsatellite instability-high (dMMR/MSI-H) or proficient/stable (MMRp/MSS) endometrial cancer: Interim results from GARNET—A phase I, single-arm study. J. Immunother. Cancer 2022, 10, e003777. [Google Scholar] [CrossRef]
- Pietrantonio, F.; Loupakis, F.; Randon, G.; Raimondi, A.; Salati, M.; Trapani, D.; Pagani, F.; Depetris, I.; Maddalena, G.; Morano, F.; et al. Efficacy and Safety of Immune Checkpoint Inhibitors in Patients with Microsatellite Instability-High End-Stage Cancers and Poor Performance Status Related to High Disease Burden. Oncologist 2020, 25, 803–809. [Google Scholar] [CrossRef]
- Nie, N.-F.; Liu, Z.-L.; Feng, M.-X.; Liu, L.; Luo, N.; Li, L.; He, Y. Lazarus type response to immunotherapy in three patients with poor performance status and locally advanced NSCLC: A case series and literature review. Ann. Palliat. Med. 2021, 10, 210–219. [Google Scholar] [CrossRef] [PubMed]
- Bartoletti, M.; Giorda, G.; Viel, A.; Fornasarig, M.; Zdjelar, A.; Segatto, E.; Sorio, R.; Corsetti, S.; Scalone, S.; Nicoloso, M.S.; et al. An Exceptional Response to Dostarlimab in Mismatch Repair Deficient, Microsatellite Instability-High and Platinum Refractory Endometrial Cancer. Curr. Oncol. 2022, 29, 5209–5212. [Google Scholar] [CrossRef] [PubMed]
- Ngwa, W.; Irabor, O.C.; Schoenfeld, J.D.; Hesser, J.; Demaria, S.; Formenti, S.C. Using immunotherapy to boost the abscopal effect. Nat. Rev. Cancer 2018, 18, 313–322. [Google Scholar] [CrossRef] [PubMed]
- Middleton, G.; Brock, K.; Savage, J.; Mant, R.; Summers, Y.; Connibear, J.; Shah, R.; Ottensmeier, C.; Shaw, P.; Lee, S.-M.; et al. Pembrolizumab in patients with non-small-cell lung cancer of performance status 2 (PePS2): A single arm, phase 2 trial. Lancet Respir. Med. 2020, 8, 895–904. [Google Scholar] [CrossRef] [PubMed]
- Felip, E.; Ardizzoni, A.; Ciuleanu, T.; Cobo, M.; Laktionov, K.; Szilasi, M.; Califano, R.; Carcereny, E.; Griffiths, R.; Paz-Ares, L.; et al. CheckMate 171: A phase 2 trial of nivolumab in patients with previously treated advanced squamous non-small cell lung cancer, including ECOG PS 2 and elderly populations. Eur. J. Cancer 2020, 127, 160–172. [Google Scholar] [CrossRef] [PubMed]
- Spigel, D.R.; McCleod, M.; Jotte, R.M.; Einhorn, L.; Horn, L.; Waterhouse, D.M.; Creelan, B.; Babu, S.; Leighl, N.B.; Chandler, J.C.; et al. Safety, Efficacy, and Patient-Reported Health-Related Quality of Life and Symptom Burden with Nivolumab in Patients with Advanced Non-Small Cell Lung Cancer, Including Patients Aged 70 Years or Older or with Poor Performance Status (CheckMate 153). J. Thorac. Oncol. 2019, 14, 1628–1639. [Google Scholar] [CrossRef] [PubMed]
- Balar, A.V.; Galsky, M.D.; Rosenberg, J.E.; Powles, T.; Petrylak, D.P.; Bellmunt, J.; Loriot, Y.; Necchi, A.; Hoffman-Censits, J.; Perez-Gracia, J.L.; et al. Atezolizumab as first-line treatment in cisplatin-ineligible patients with locally advanced and metastatic urothelial carcinoma: A single-arm, multicentre, phase 2 trial. Lancet 2017, 389, 67–76. [Google Scholar] [CrossRef]
- Passaro, A.; Spitaleri, G.; Gyawali, B.; de Marinis, F. Immunotherapy in Non–Small-Cell Lung Cancer Patients with Performance Status 2: Clinical Decision Making with Scant Evidence. J. Clin. Oncol. 2019, 37, 1863–1867. [Google Scholar] [CrossRef]
- Schadendorf, D.; Wolchok, J.D.; Hodi, F.S.; Chiarion-Sileni, V.; Gonzalez, R.; Rutkowski, P.; Grob, J.-J.; Cowey, C.L.; Lao, C.D.; Chesney, J.; et al. Efficacy and safety outcomes in patients with advanced melanoma who discontinued treatment with nivolumab and ipilimumab because of adverse events: A pooled analysis of randomized phase II and III trials. J. Clin. Oncol. 2017, 35, 3807–3814. [Google Scholar] [CrossRef] [PubMed]







| Case N° | Time to Clinical Response (from PS ECOG 3–4 to 0–1) | Radiological Best Response |
|---|---|---|
| 1 | 3 weeks | CR |
| 2 | 3 weeks | PR |
| 3 | 6 weeks | PR |
| 4 | 9 weeks | PR |
| 5 | 6 weeks | CR |
| 6 | 6 weeks | PR |
| All | Median time 6 weeks |
| Case N° | Age | FIGO Stage at Diagnosis | Histotype | Surgery | N° Previous Therapies | ECOG PS Start Dostarlimab | Best Response | TMB | Status MMR | NGS–Pathogenic Variants or VUS |
|---|---|---|---|---|---|---|---|---|---|---|
| 1 | 54 | IB | Endometrioid | YES | 1 | 4 | CR | 10.43 | deficient | (p53wt) CVR1, PIK3CA, PTEN, KRAS, CCNE1 |
| 2 | 69 | IA | Endometrioid | YES | 1 | 3 | PR | 2.84 | deficient | (POLE wt; p53wt) PIK3CA, PTEN, KRAS, TP53, BCOR |
| 3 | 59 | IB | Endometrioid | YES | 1 | 3 | PR | 19.84 | deficient | (POLE wt; p53wt) MTOR, PIK3CA, PTEN, KRAS, DICER1, RNF43 |
| 4 | 73 | IVB | Endometrioid | No | 1 | 3 | PR | 37.83 | deficient | PIK3CA, PTEN, ARID1A |
| 5 | 61 | IIIC | Mixed (60% serous + 40% endometrioid) | Yes | 2 | 3 | CR | ne | deficient | ne |
| 6 | 75 | II | Endometrioid | Yes | 1 | 3 | PR | 4.93 | deficient | AKT1, FBXW7 |
Disclaimer/Publisher’s Note: The statements, opinions and data contained in all publications are solely those of the individual author(s) and contributor(s) and not of MDPI and/or the editor(s). MDPI and/or the editor(s) disclaim responsibility for any injury to people or property resulting from any ideas, methods, instructions or products referred to in the content. |
© 2023 by the authors. Licensee MDPI, Basel, Switzerland. This article is an open access article distributed under the terms and conditions of the Creative Commons Attribution (CC BY) license (https://creativecommons.org/licenses/by/4.0/).
Share and Cite
Ducceschi, M.; Polignano, M.; Bini, M.; Lopez, S.; Conca, E.; Tamborini, E.; Perrone, F.; Carlo Stella, G.; Petrella, M.C.; Carciotto, R.; et al. The Revolution of Immunotherapy in Gynecological Cancers: The Lazarus Effect in Endometrial Cancer. J. Clin. Med. 2023, 12, 5540. https://doi.org/10.3390/jcm12175540
Ducceschi M, Polignano M, Bini M, Lopez S, Conca E, Tamborini E, Perrone F, Carlo Stella G, Petrella MC, Carciotto R, et al. The Revolution of Immunotherapy in Gynecological Cancers: The Lazarus Effect in Endometrial Cancer. Journal of Clinical Medicine. 2023; 12(17):5540. https://doi.org/10.3390/jcm12175540
Chicago/Turabian StyleDucceschi, Monika, Maggie Polignano, Marta Bini, Salvatore Lopez, Elena Conca, Elena Tamborini, Federica Perrone, Giulia Carlo Stella, Maria Cristina Petrella, Rosaria Carciotto, and et al. 2023. "The Revolution of Immunotherapy in Gynecological Cancers: The Lazarus Effect in Endometrial Cancer" Journal of Clinical Medicine 12, no. 17: 5540. https://doi.org/10.3390/jcm12175540
APA StyleDucceschi, M., Polignano, M., Bini, M., Lopez, S., Conca, E., Tamborini, E., Perrone, F., Carlo Stella, G., Petrella, M. C., Carciotto, R., Artioli, G., Maffeis, V., Sartor, L., Raspagliesi, F., & Mantiero, M. (2023). The Revolution of Immunotherapy in Gynecological Cancers: The Lazarus Effect in Endometrial Cancer. Journal of Clinical Medicine, 12(17), 5540. https://doi.org/10.3390/jcm12175540

