The Role of FDG-PET in the Evaluation of Hidradenitis Suppurativa: A Systematic Review
Abstract
:1. Introduction
2. Materials and Methods
3. Results
4. Discussion
4.1. Case–Control Study
4.2. Case Reports
4.3. Comprehensive Reviews
5. Conclusions
Author Contributions
Funding
Conflicts of Interest
References
- Scala, E.; Cacciapuoti, S.; Garzorz-Stark, N.; Megna, M.; Marasca, C.; Seiringer, P.; Volz, T.; Eyerich, K.; Fabbrocini, G. Hidradenitis Suppurativa: Where We Are and Where We Are Going. Cells 2021, 10, 2094. [Google Scholar] [CrossRef] [PubMed]
 - Jemec, G.B.E. Hidradenitis suppurativa. N. Engl. J. Med. 2012, 366, 158–164. [Google Scholar] [CrossRef] [PubMed]
 - Lee, E.Y.; Alhusayen, R.; Lansang, P.; Shear, N.; Yeung, J. What is hidradenitis suppurativa? Can. Fam. Physician 2017, 63, 114–120. [Google Scholar]
 - Poondru, S.; Scott, K.; Riley, J.M. Patient perspectives of wound care management in hidradenitis suppurativa. Arch. Dermatol. Res. 2023. [Google Scholar] [CrossRef]
 - Tchero, H.; Herlin, C.; Bekara, F.; Fluieraru, S.; Teot, L. Hidradenitis Suppurativa: A Systematic Review and Meta-analysis of Therapeutic Interventions. Indian J. Dermatol. Venereol. Leprol. 2019, 85, 248–257. [Google Scholar] [CrossRef] [PubMed]
 - Chu, C.B.; Yang, C.C.; Tsai, S.J. Hidradenitis suppurativa: Disease pathophysiology and sex hormones. Chin. J. Physiol. 2021, 64, 257–265. [Google Scholar] [CrossRef] [PubMed]
 - Kirby, J.S.; Miller, J.J.; Adams, D.R.; Leslie, D. Health care utilization patterns and costs for patients with hidradenitis suppurativa. JAMA Dermatol. 2014, 150, 937–944. [Google Scholar] [CrossRef] [PubMed]
 - Ooi, X.T.; Choi, E.; Han, H.; Ahmad, H.; Patwardhan, K.R.; Chandran, N.S. The psychosocial burden of hidradenitis suppurativa in Singapore. JAAD Int. 2022, 10, 89–94. [Google Scholar] [CrossRef]
 - Yamanaka-Takaichi, M.; Revankar, R.; Shih, T.; Gall, M.; Hsiao, J.; Shi, V.; Alavi, A. Expert consensus on priority research gaps in dietary and lifestyle factors in hidradenitis suppurativa: A Delphi consensus study. Arch. Dermatol. Res. 2023. [Google Scholar] [CrossRef]
 - Vossen, A.R.J.V.; van der Zee, H.H.; Prens, E.P. Hidradenitis suppurativa: A systematic review integrating inflammatory pathways into a cohesive pathogenic model. Front. Immunol. 2018, 9, 2965. [Google Scholar] [CrossRef]
 - Zouboulis, C.C.; Frew, J.W.; Giamarellos-Bourboulis, E.J.; Jemec, G.; Marmol, V.; Marzano, A.; Nikolakis, G.; Sayed, C.; Tzellos, T.; Wolk, K.; et al. Target molecules for future hidradenitis suppurativa treatment. Exp. Dermatol. 2021, 30 (Suppl. S1), 8–17. [Google Scholar] [CrossRef] [PubMed]
 - Margesson, L.J.; Danby, F.W. Hidradenitis suppurativa. Best Pract. Res. Clin. Obstet. Gynaecol. 2014, 28, 1013–1027. [Google Scholar] [CrossRef] [PubMed]
 - Jfri, A.; Nassim, D.; O’Brien, E.; Gulliver, W.; Nikolakis, G.; Zouboulis, C.C. Prevalence of Hidradenitis Suppurativa: A Systematic Review and Meta-regression Analysis. JAMA Dermatol. 2021, 157, 924–931. [Google Scholar] [CrossRef]
 - Patil, S.; Apurwa, A.; Nadkarni, N.; Agarwal, S.; Chaudhari, P.; Gautam, M. Hidradenitis Suppurativa: Inside and Out. Indian J. Dermatol. 2018, 63, 91–98. [Google Scholar] [CrossRef] [PubMed]
 - Mohammadi, S.; Gholami, A.; Hejrati, L.; Rohani, M.; Rafiei-Sefiddashti, R.; Hejrati, A. Hidradenitis suppurativa; classification, remedies, etiology, and comorbidities; a narrative review. J. Fam. Med. Prim. Care 2021, 10, 4009–4016. [Google Scholar] [CrossRef]
 - Vekic, D.A.; Cains, G.D. Hidradenitis suppurativa—Management, comorbidities and monitoring. Aust. Fam. Physician 2017, 46, 584–588. [Google Scholar]
 - Vinkel, C.; Thomsen, S.F. Hidradenitis Suppurativa: Causes, Features, and Current Treatments. J. Clin. Aesthet. Dermatol. 2018, 11, 17–23. [Google Scholar]
 - Smith, S.D.B.; Okoye, G.A.; Sokumbi, O. Histopathology of Hidradenitis Suppurativa: A Systematic Review. Dermatopathology 2022, 9, 251–257. [Google Scholar] [CrossRef]
 - Takiyama, H.; Kazama, S.; Tanoue, Y.; Yasuda, K.; Otani, K.; Nishikawa, T.; Tanaka, T.; Tanaka, J.; Kiyomatsu, T.; Hata, K.; et al. Efficacy of magnetic resonance imaging in the diagnosis of perianal hidradenitis suppurativa, complicated by anal fistulae: A report of two cases and review of the literature. Int. J. Surg. Case Rep. 2015, 15, 107–111. [Google Scholar] [CrossRef]
 - Halani, S.; Foster, F.S.; Breslavets, M.; Shear, N.H. Ultrasound and infrared-based imaging modalities for diagnosis and management of cutaneous diseases. Front. Med. 2018, 5, 115. [Google Scholar] [CrossRef]
 - Chernyshov, P.V.; Finlay, A.Y.; Tomas-Aragones, L.; Poot, F.; Sampogna, F.; Marron, S.; Zemskov, S.; Abeni, D.; Tzellos, T.; Szepietowski, J.; et al. Quality of Life in Hidradenitis Suppurativa: An Update. Int. J. Environ. Res. Public Health 2021, 18, 6131. [Google Scholar] [CrossRef] [PubMed]
 - Scheinfeld, N. Hidradenitis suppurativa: A practical review of possible medical treatments based on over 350 hidradenitis patients. Dermatol. Online J. 2013, 19, 1. [Google Scholar] [CrossRef]
 - Alotaibi, H.M. Incidence, Risk Factors, and Prognosis of Hidradenitis Suppurativa Across the Globe: Insights from the Literature. Clin. Cosmet. Investig. Dermatol. 2023, 16, 545–552. [Google Scholar] [CrossRef] [PubMed]
 - Revuz, J.E.; Jemec, G.B. Diagnosing Hidradenitis Suppurativa. Dermatol. Clin. 2016, 34, 1–5. [Google Scholar] [CrossRef] [PubMed]
 - Napolitano, M.; Megna, M.; Timoshchuk, E.; Patruno, C.; Balato, N.; Fabbrocini, G.; Monfrecola, G. Hidradenitis suppurativa: From pathogenesis to diagnosis and treatment. Clin. Cosmet. Investig. Dermatol. 2017, 10, 105–115. [Google Scholar] [CrossRef] [PubMed]
 - Collier, E.K.; Parvataneni, R.K.; Lowes, M.A.; Naik, H.; Okun, M.; Shi, V.; Hsiao, J. Diagnosis and management of hidradenitis suppurativa in women. Am. J. Obstet. Gynecol. 2021, 224, 54–61. [Google Scholar] [CrossRef] [PubMed]
 - Saunte, D.M.L.; Jemec, G.B.E. Hidradenitis Suppurativa: Advances in Diagnosis and Treatment. JAMA 2017, 318, 2019–2032. [Google Scholar] [CrossRef]
 - Fahrenhorst-Jones, T.; Theodore, J.E.; Dauway, E.L. Hidradenitis suppurativa of the breast: A diagnostic dilemma. J. Surg. Case Rep. 2023, 2023, rjad045. [Google Scholar] [CrossRef]
 - Amat-Samaranch, V.; Agut-Busquet, E.; Vilarrasa, E.; Puig, L. New perspectives on the treatment of hidradenitis suppurativa. Ther. Adv. Chronic Dis. 2021, 12, 20406223211055920. [Google Scholar] [CrossRef]
 - Loo, C.H.; Khoo, A.; Tan, W.-C.; Khor, Y.H.; Tang, J.; Tang, M.; Chan, L.C. The findings of 18F-fluorodeoxyglucose positron emission tomography–computed tomography scan in patients with hidradenitis suppurativa in Malaysia: A multicenter study. World J. Nucl. Med. 2021, 20, 32–37. [Google Scholar] [CrossRef]
 - Miele, E.; Spinelli, G.P.; Tomao, F.; Zullo, A.; De Marinis, F.; Pasciuti, G.; Rossi, L.; Zoratto, F.; Tomao, S. Positron Emission Tomography (PET) radiotracers in oncology—Utility of 18F-Fluoro-deoxy-glucose (FDG)-PET in the management of patients with non-small-cell lung cancer (NSCLC). J. Exp. Clin. Cancer Res. 2008, 27, 52. [Google Scholar] [CrossRef]
 - Simpson, R.C.; Dyer, M.J.; Entwisle, J.; Harman, K.E. Positron emission tomography features of hidradenitis suppurativa. Br. J. Radiol. 2011, 84, e164–e165. [Google Scholar] [CrossRef] [PubMed]
 - Ekmekcioglu, O.; Sonmezoglu, K. Fluorine-18 Fluorodeoxyglucose PET/CT Images of Hidradenitis Suppurativa Mimicking Metastasis in a Patient With Small Cell Lung Carcinoma. Cureus 2020, 12, e11770. [Google Scholar] [CrossRef] [PubMed]
 - Asamoah, P.; Wale, D.J.; Viglianti, B.L.; Wong, K.K.; Gross, M. Multiple Hypermetabolic Subcutaneous Lesions From Hidradenitis Suppurativa Mimicking Metastases on 18F-FDG-PET/CT. Clin. Nucl. Med. 2018, 43, 73–74. [Google Scholar] [CrossRef] [PubMed]
 - Baig, I.T.; Nguyen, Q.D.; Hickson, M.A.S.; Ciurea, A. Metastatic adenocarcinoma mimicking hidradenitis suppurativa. JAAD Case Rep. 2022, 27, 91–93. [Google Scholar] [CrossRef]
 - Kim, S.J.; Kim, T.G.; Gu, M.J.; Kim, S. Mucinous adenocarcinoma of the buttock associated with hidradenitis: A case report. World J. Clin. Cases 2020, 8, 4200–4206. [Google Scholar] [CrossRef]
 - Gutfilen-Schlesinger, G.; Lopes de Souza, S.A.; Gutfilen, B. Should We Scan Hidradenitis Suppurativa Patients? A Systematic Review of Radiologic Findings. Adv. Skin Wound Care 2021, 34, 1–10. [Google Scholar] [CrossRef]
 - Elkin, K.; Daveluy, S.; Avanaki, K. Review of imaging technologies used in Hidradenitis Suppurativa. Skin Res. Technol. 2020, 26, 3–10. [Google Scholar] [CrossRef]
 - Schwartz, D.M.; Parel, P.; Li, H.; Sorokin, A.; Berg, A.; Chen, M.Y.; Dey, A.; Hong, C.; Playford, M.; Sylvester, M.; et al. PET/CT-Based Characterization of 18F-FDG Uptake in Various Tissues Reveals Novel Potential Contributions to Coronary Artery Disease in Psoriatic Arthritis. Front. Immunol. 2022, 13, 909760. [Google Scholar] [CrossRef]
 - Berg, A.R.; Petrole, R.F.; Li, H.; Sorokin, A.; González-Cantero, Á.; Playford, M.; Mehta, N.; Teague, H. Cholesterol efflux capacity is associated with lipoprotein size and vascular health in mild to moderate psoriasis. Front. Cardiovasc. Med. 2023, 10, 1041457. [Google Scholar] [CrossRef]
 - Shalgunov, V.; van den Broek, S.L.; Andersen, I.V.; Vázquez, R.G.; Raval, N.; Palner, M.; Mori, Y.; Schäfer, G.; Herrmann, B.; Mikula, H.; et al. Pretargeted imaging beyond the blood-brain barrier. RSC Med. Chem. 2022, 14, 444–453. [Google Scholar] [CrossRef] [PubMed]
 - Nazzaro, G.; Zerboni, R.; Passoni, E.; Barbareschi, M.; Marzano, A.; Muratori, S.; Veraldi, S. High-frequency ultrasound in hidradenitis suppurativa as rationale for permanent hair laser removal. Skin Res. Technol. 2019, 25, 587–588. [Google Scholar] [CrossRef] [PubMed]
 - Wortsman, X.; Rodriguez, C.; Lobos, C.; Eguiguren, G.; Molina, M.T. Ultrasound diagnosis and staging in pediatric hidradenitis suppurativa. Pediatr. Dermatol. 2016, 33, e260–e264. [Google Scholar] [CrossRef]
 - Wortsman, X.; Moreno, C.; Soto, R.; Arellano, J.; Pezo, C.; Wortsman, J. Ultrasound in-depth characterization and staging of hidradenitis suppurativa. Dermatol. Surg. 2013, 39, 1835–1842. [Google Scholar] [CrossRef] [PubMed]
 - Franquet, T.; Giménez, A.; Cáceres, J.; Sabaté, J.M.; Nadal, C. Imaging of pulmonary-cutaneous disorders: Matching the radiologic and dermatologic findings. Radiographics 1996, 16, 855–869. [Google Scholar] [CrossRef] [PubMed]
 - Jemec, G.B.; Gniadecka, M. Ultrasound examination of hair follicles in hidradenitis suppurativa. Arch. Dermatol. 1997, 133, 967–970. [Google Scholar] [CrossRef]
 - Wortsman, X.; Castro, A.; Figueroa, A. Color Doppler ultrasound assessment of morphology and types of fistulous tracts in hidradenitis suppurativa (HS). J. Am. Acad. Dermatol. 2016, 75, 760–767. [Google Scholar] [CrossRef]
 - Farris, P.K. Skin Anatomy and Physiology. Available online: https://www.nuskin.com/en_ZA/corporate/company/science/skin_care_science/skin_anatomy_andphysiology.html (accessed on 1 January 2023).
 - Caposiena Caro, R.D.; Solivetti, F.M.; Bianchi, L. Power Doppler ultrasound assessment of vascularization in hidradenitis suppurativa lesions. J. Eur. Acad. Dermatol. Venereol. 2017, 32, 1360–1367. [Google Scholar] [CrossRef]
 - Lyons, A.B.; Zubair, R.; Kohli, I.; Hamzavi, I.H. Preoperative ultrasound for evaluation of Hidradenitis Suppurativa. Dermatol. Surg. 2019, 45, 294–296. [Google Scholar] [CrossRef]
 


| Article | Demographics/Subject Information | Modality | Summary Points | Recommendation on Utility (Yes or No) | 
|---|---|---|---|---|
| Loo 2021 [30] | 32 Hidradenitis suppurativa (HS) patients above 18, with age- and sex-matched controls | Fluorodeoxyglucose (FDG)—positron emission tomography (PET)/computed tomography (CT) | Numerous HS foci were detected on FDG-PET scans in clinically inapparent sites, especially in over nasal, mandibular, and scalp regions. However, PET/CT scan did not detect any systemic inflammation, unlike in psoriasis. Therefore, PET/CT scan may be useful to map a more accurate disease burden in HS patients. | Yes | 
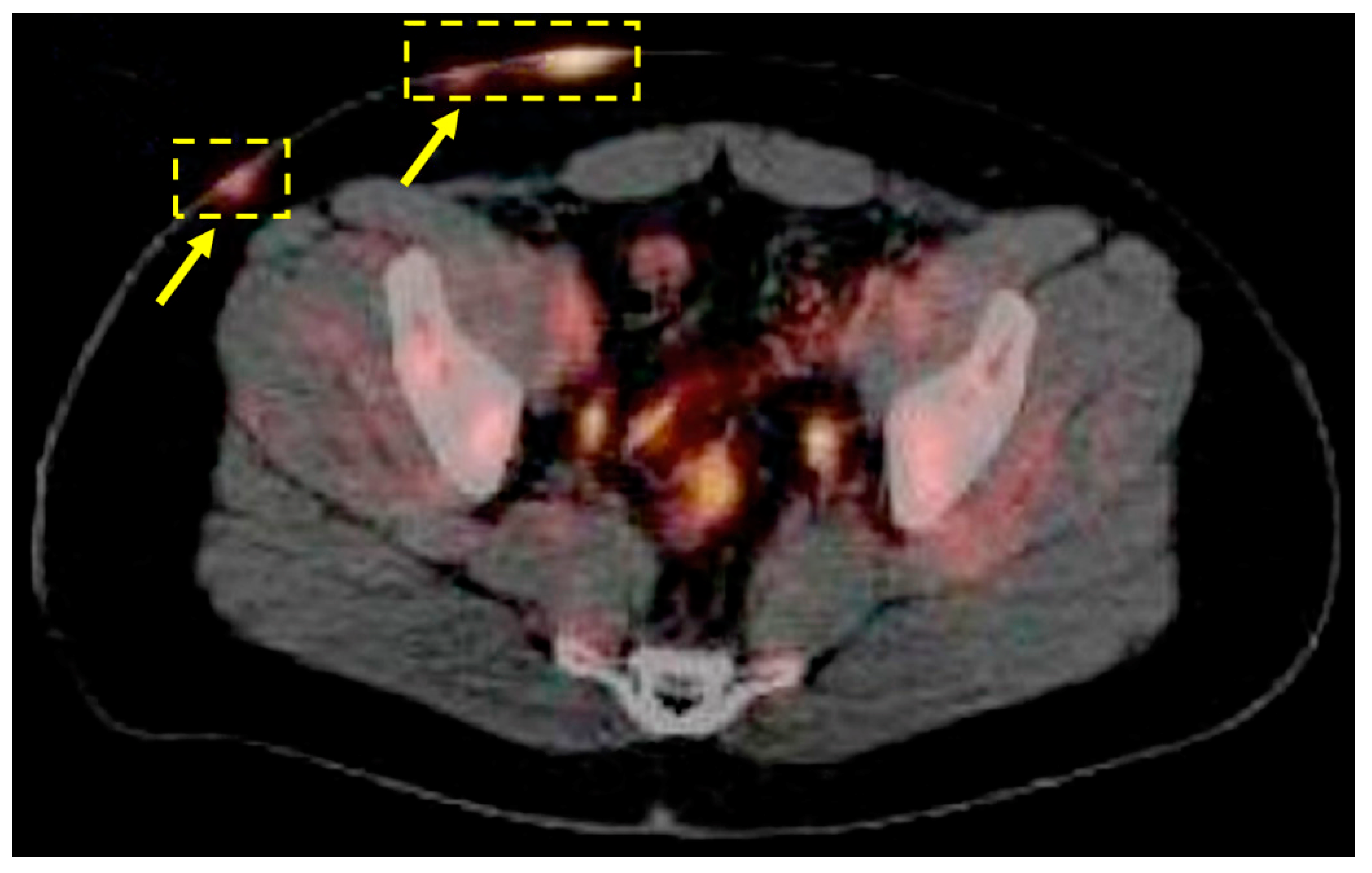
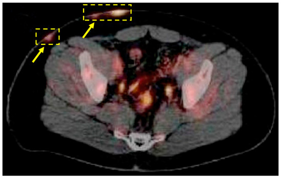
| Simpson 2011 [32] | 35-year-old man with classical Hodgkin’s lymphoma | FDG-PET/CT | This is a reported case of a 35-year-old man with classical Hodgkin’s lymphoma who underwent a PET scan to evaluate his response to treatment. The scan revealed an unexpectedly high uptake in the superficial subcutaneous tissues of the abdomen, pelvis, and chest wall, which raised concerns but was later found to correspond to the areas affected by the man’s history of HS. This finding represents the first documented appearance of HS on a PET scan. | Yes | 
| Ekmekcioglu 2020 [33] | 54-year-old male patient with small-cell lung carcinoma | FDG-PET/CT | A literature report describes the case of a 54-year-old man who was referred for a follow-up PET/CT scan due to metastatic small-cell lung carcinoma. The scan detected an elevated F-18 FDG uptake in the axillary, periscrotal, and perianal regions, which was later identified as hidradenitis suppurativa. It was advised that a biopsy should be conducted to differentiate between hidradenitis suppurativa and metastatic disease. | Yes | 
| Asamoah 2018 [34] | 64-year-old man with a left-vocal-cord squamous-cell carcinoma | FDG-PET/CT | A review of the literature reports on a 64-year-old man who underwent an 18F-FDG-PET/CT scan due to left-vocal-cord squamous-cell carcinoma. The scan showed an increased uptake in the vocal cord tumor as well as subcutaneous foci in the right axilla, right buttocks, and scalp, which were already recognized as known locations of hidradenitis suppurativa skin lesions. The case emphasizes the importance of considering hidradenitis suppurativa as a possible cause of 18F-FDG incidental uptake, which can be misinterpreted as metastases, indicating the need for a careful interpretation of PET/CT findings. | Not Given | 
| Baig 2022 [35] | 56-year-old Hispanic man with a history of adenocarcinoma and hidradenitis suppurativa | FDG-PET | The individual under examination is a 56-year-old male of Hispanic origin who has previously been diagnosed with adenocarcinoma and hidradenitis suppurativa. The patient was assessed due to the appearance of purulent and enlarging lesions in the right axilla, initially believed to be a manifestation of HS. However, a PET scan revealed that the exophytic red nodules present in the right axilla were in fact metastases of adenocarcinoma, thus differentiating between HS and malignancy. | Yes | 
| Kim 2020 [36] | 62-year-old man had recurrent abscesses in his bilateral buttocks for 3 years | FDG-PET/CT | For three years, a 62-year-old man experienced recurring abscesses in both his buttocks. After seeking medical attention, he was diagnosed with hidradenitis suppurativa, and subsequently underwent a pelvic CT scan which revealed the presence of a 10 cm abscess in the subcutaneous tissue. Further investigation was carried out using a PET scan to ascertain the origin and condition, which indicated an increase in FDG uptake. This uptake was attributed to both hidradenitis suppurativa and malignancy. | Yes | 
| Gutfilen-Schlesinger 2021 [37] | Review of the current literature | FDG-PET/CT and PET/MRI | A study of 63 radiological technique studies for managing HS recommends ultrasonography for monitoring lesion progression and staging, CT and MRI for assessing deep-seated disease (MRI more accurate), and underused PET for locating subclinical lesions and monitoring treatment progress. | Not over other radiologic techniques | 
| Elkin 2020 [38] | Review of the current literature | FDG-PET/CT and PET/MRI | This review of 55 studies concluded that ultrasound and MRI are the primary imaging techniques for HS diagnosis, management, and treatment. Ultrasound has improved disease monitoring, planning, and staging, while MRI has limited but valuable use. CT and PET have limited utility for intentional imaging of HS, and are rarely mentioned in the literature. | Not over other radiologic techniques | 
Disclaimer/Publisher’s Note: The statements, opinions and data contained in all publications are solely those of the individual author(s) and contributor(s) and not of MDPI and/or the editor(s). MDPI and/or the editor(s) disclaim responsibility for any injury to people or property resulting from any ideas, methods, instructions or products referred to in the content.  | 
© 2023 by the authors. Licensee MDPI, Basel, Switzerland. This article is an open access article distributed under the terms and conditions of the Creative Commons Attribution (CC BY) license (https://creativecommons.org/licenses/by/4.0/).
Share and Cite
Talasila, S.; Teichner, E.M.; Subtirelu, R.C.; Xiang, D.H.; Ayubcha, C.; Werner, T.; Alavi, A.; Revheim, M.-E. The Role of FDG-PET in the Evaluation of Hidradenitis Suppurativa: A Systematic Review. J. Clin. Med. 2023, 12, 5491. https://doi.org/10.3390/jcm12175491
Talasila S, Teichner EM, Subtirelu RC, Xiang DH, Ayubcha C, Werner T, Alavi A, Revheim M-E. The Role of FDG-PET in the Evaluation of Hidradenitis Suppurativa: A Systematic Review. Journal of Clinical Medicine. 2023; 12(17):5491. https://doi.org/10.3390/jcm12175491
Chicago/Turabian StyleTalasila, Sahithi, Eric M. Teichner, Robert C. Subtirelu, David H. Xiang, Cyrus Ayubcha, Thomas Werner, Abass Alavi, and Mona-Elisabeth Revheim. 2023. "The Role of FDG-PET in the Evaluation of Hidradenitis Suppurativa: A Systematic Review" Journal of Clinical Medicine 12, no. 17: 5491. https://doi.org/10.3390/jcm12175491
APA StyleTalasila, S., Teichner, E. M., Subtirelu, R. C., Xiang, D. H., Ayubcha, C., Werner, T., Alavi, A., & Revheim, M.-E. (2023). The Role of FDG-PET in the Evaluation of Hidradenitis Suppurativa: A Systematic Review. Journal of Clinical Medicine, 12(17), 5491. https://doi.org/10.3390/jcm12175491
        
