Native Aortic Root Thrombosis in Hypoplastic Left Heart Syndrome: An Unusual Presentation (Soon after Atrial Septal Stenting) of a Relatively Unusual Complication—Experience and Literature Review with an Outlook to Diagnosis and Management
Abstract
1. Introduction
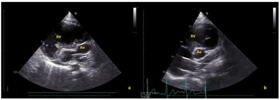
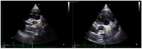
2. Experience
3. Literature Review
3.1. Methods
3.2. Results
4. Discussion
Supplementary Materials
Author Contributions
Funding
Institutional Review Board Statement
Informed Consent Statement
Data Availability Statement
Conflicts of Interest
References
- Abraham, C.J.; Salkini, A.; Burkhart, H.; Nakamura, Y.; Mir, A. Spontaneous thrombus formation in native aortic root in patients with hypoplastic left heart syndrome: Clinical presentation, treatment, and outcomes. Cardiol. Young 2022, 32, 1330–1332. [Google Scholar] [CrossRef] [PubMed]
- Owens, S.T.; Gomez-Fifer, C.; Ensing, G. Thrombus formation in the native aortic root in patients with hypoplastic left heart syndrome. Pediatr. Cardiol. 2006, 27, 385–387. [Google Scholar] [CrossRef] [PubMed]
- Agarwal, A.; Firdouse, M.; Brar, N.; Yang, A.; Lambiris, P.; Chan, A.K.; Mondal, T.K. Incidence and Management of Thrombotic and Thromboembolic Complications Following the Superior Cavopulmonary Anastomosis Procedure: A Literature Review. Clin. Appl. Thromb. Hemost. 2017, 24, 405–415. [Google Scholar] [CrossRef] [PubMed]
- Monagle, P.; Chan, A.K.C.; Goldenberg, N.A.; Ichord, R.N.; Journeycake, J.M.; Nowak-Göttl, U.; Vesely, S.K. Antithrombotic therapy in neonates and children: Antithrombotic Therapy and Prevention of Thrombosis, 9th ed: American College of Chest Physicians Evidence-Based Clinical Practice Guidelines. Chest 2012, 14, e737S–e801S. [Google Scholar] [CrossRef]
- Patel, B.; Downing, T.; Prieto, L.; Santana-Acosta, D. Myocardial infarction due to thrombosis of native aorta late after Fontan procedure for hypoplastic left heart syndrome. Ann. Pediatr. Cardiol. 2021, 14, 72–74. [Google Scholar] [CrossRef]
- Graham, E.M.; Shakir, H.; Atz, A.M.; Ringewald, J.M.; Bradley, S.M. Neoaortic root modification for late thrombosis after Norwood palliation. Ann. Thorac. Surg. 2006, 82, e29–e30. [Google Scholar] [CrossRef]
- Janssen, D.R.; Ohmstede, D.P.; Liske, M.R.; Parra, D.; Drinkwater, D.; Kavanaugh-McHugh, A. Thromboses in the native aorta in patients with hypoplastic left heart syndrome. Congenit. Heart Dis. 2007, 2, 74–78. [Google Scholar] [CrossRef] [PubMed]
- Mitchell, E.A.; Berman, D.P.; McConnell, P.I.; Buber, J. Aortic root thrombosis with coronary embolization following neo-aortic reconstruction in a child with hypoplastic left heart syndrome. Interact. Cardiovasc. Thorac. Surg. 2015, 21, 249–251. [Google Scholar] [CrossRef] [PubMed]
- Brennan, T.V.; Rodefeld, M.D.; Tacy, T.A.; Reddy, V.M.; Hanley, F.L. Late thrombosis of the native aortic root after Norwood reconstruction for hypoplastic left heart syndrome. J. Thorac. Cardiovasc. Surg. 2001, 121, 580–582. [Google Scholar] [CrossRef] [PubMed][Green Version]
- Rajab, T.K.; Mitchell, M.B. Native Aortic Root Thrombosis After Norwood Palliation for Hypoplastic Left Heart Syndrome. Ann. Thorac. Surg. 2021, 112, 147–154. [Google Scholar] [CrossRef] [PubMed]
- Watkins, K.J.; Zampi, J.D.; Lowery, R.; Yu, S.; Owens, S.T.; Romano, J.C.; Schumacher, K.R. Native Aortic Root Thrombosis in Single-Ventricle Patients with Native-to-Neoaortic Anastomoses. Pediatr. Cardiol. 2022, 43, 1247–1250. [Google Scholar] [CrossRef] [PubMed]
- Segar, D.E.; Amidon, M.; Scott, J.; Frommelt, P.C. Native Aortic Root Thrombus in 3-Year-Old Fontan Patient with Hypoplastic Left Heart Syndrome: Presentation and Echocardiographic Findings of This Life-Threatening Complication. CASE 2021, 5, 276–279. [Google Scholar] [CrossRef] [PubMed]
- Bartram, U.; Grünenfelder, J.; Van Praagh, R. Causes of death after the modified Norwood procedure: A study of 122 postmortem cases. Ann. Thorac. Surg. 1997, 64, 1795–1802. [Google Scholar] [CrossRef] [PubMed]
- Keraliya, A.R.; Murphy, D.J.; Steigner, M.L.; Blankstein, R. Thrombus in hypoplastic aorta: An uncommon cause of acute myocardial infarction. J. Cardiovasc. Comput. Tomogr. 2016, 10, 263–264. [Google Scholar] [CrossRef] [PubMed]
- Mookerjee, J.; Rosenthal, E.; Simpson, J.M. Formation of thrombus in a native aortic sinus of Valsalva after palliation of hypoplastic left heart syndrome. Cardiol. Young 2007, 17, 330–332. [Google Scholar] [CrossRef] [PubMed]



| Author | Age | Type of HLHS | Stage | Presentation | Diagnosis | Therapy | Alive/ Death | Outcome |
|---|---|---|---|---|---|---|---|---|
| Brennan et al., 2001 [9] | 3 years | NR | 3 | TIA, ST changes | TE | Surg THR | Alive | NR |
| Graham et al., 2006 [6] | 5 years | MS/AS | 3 | ST↓ ↑Tr | Routine TE | Surg THR | Alive | NR |
| Owens et al., 2006 [2] | 6 years | MS/AS | 3 | Chest pain ↑ST ↑Tr | TE | Direct THR | Death (VF) | |
| 30 months | MS/AA | 2 | Incidental finding | Routine TE | Antic. | Alive | Ao thr reformation after Fontan resolved with Antic. | |
| 12 months | MS/AA | 2 | Incidental finding | Routine TE | Antic. | Alive | SCA after Stage 3 | |
| Jansen et al., 2007 [7] | 3 weeks | MS/AA | 1 | Incidental finding | Routine TE | Surg THR | Death (sudden hypotension) | |
| 1 year | MS/AS | 2 | Incidental finding | Routine TE | Antic. | Alive | Alive after Stage 3 | |
| 2 weeks | MA/AA | 1 | NS VT | TE | THR | Alive | Ao thr reformation at 4 months | |
| 13 days | MS/AS | 1 | CA | TE | Antic | Alive | Alive after Stage 2 | |
| Mokerijee et al., 2007 [15] | 8 months | MS/AA | 2 | Ischemic ECG | Cath | Antic. | Alive | Alive |
| Mitchell et al., 2015 [8] | 13 months | MS/AS | 2 | Syncope, heart block | Cath | Direct THR° followed by Surg THR | Alive | Transp. |
| 22 days | MS/AA | 1 | Failure to weaning from MV | Cath | Surg THR | Death (stroke) | ||
| Keraliya et al., 2016 [14] | 22 years | NR | 3 | Chest pain, T inversion | CT | Antic. | Alive | NR |
| Rajab et al., 2020 [10] | 39 months | MS/AS | 2 | Cyanosis, SVT | Cath | Direct THR | Alive | Transp. |
| 26 months | MS/AA | 2 | VT arrest | TE | Surg THR | Alive | Transp. | |
| 5 months | MS/AS | 2 | Wide QRS tach | TE | Surg THR | Transp. | Transp. | |
| 18 years | MS/AS | 3 | Chest pain ↑Tr | TE | Antic. | Alive, persistent Ao thr | Not suitable for transp. | |
| Patel et al., 2020 [5] | 18 years | MS/AA | 3 | Chest pain Breathless ST↓, ↑Tr | Cath | Direct THR | death (Probably stroke) | |
| 17 years | MA/AA | 3 | Chest pain ST↓, ↑Tr | CT | Antic. (heparin, plavix, aspirin) | CA (stroke) | Alive | |
| 13 years | MS/AA | 3 | Abdominal pain, 1st degree AV block, chest pain, ST↓, ↑Tr | CT | NR | Alive | List for transplant | |
| Segar et al., 2021 [5] | 3 years | MS/AA | 2 | Bradycardia, ↑Tr | TE | Systemic THR | ECMO, Ao thr reformation Death | |
| Abraham et al., 2021 [1] | 15 days | MS/AS | 1 | Bradycardia, hypotension, ↑ST | TE | Systemic THR | Alive | Follow-up after Glenn |
| Watkins et al., 2022 [11] | 2.1 (0.3–3) years | 4 MS/AS 3 MS/AA 2 MA/AA | Stage 1: 2 Stage 2: 3 Stage 3: 4 | Six with symptoms (chest pain, heart failure) three with incidental findings | TE (1 confirmed at Cath) | Antic. Seven with heparin, two with aspirin | Three deaths one CA, one cyanosis and CA, one stroke | Follow-up at 8.3 years (IQR 1.3–10.8 years) All alive |
Disclaimer/Publisher’s Note: The statements, opinions and data contained in all publications are solely those of the individual author(s) and contributor(s) and not of MDPI and/or the editor(s). MDPI and/or the editor(s) disclaim responsibility for any injury to people or property resulting from any ideas, methods, instructions or products referred to in the content. |
© 2023 by the authors. Licensee MDPI, Basel, Switzerland. This article is an open access article distributed under the terms and conditions of the Creative Commons Attribution (CC BY) license (https://creativecommons.org/licenses/by/4.0/).
Share and Cite
Cantinotti, M.; Marchese, P.; Assanta, N.; Franchi, E.; Pak, V.; Barberi, E.; Pizzuto, A.; Santoro, G.; Giordano, R. Native Aortic Root Thrombosis in Hypoplastic Left Heart Syndrome: An Unusual Presentation (Soon after Atrial Septal Stenting) of a Relatively Unusual Complication—Experience and Literature Review with an Outlook to Diagnosis and Management. J. Clin. Med. 2023, 12, 5357. https://doi.org/10.3390/jcm12165357
Cantinotti M, Marchese P, Assanta N, Franchi E, Pak V, Barberi E, Pizzuto A, Santoro G, Giordano R. Native Aortic Root Thrombosis in Hypoplastic Left Heart Syndrome: An Unusual Presentation (Soon after Atrial Septal Stenting) of a Relatively Unusual Complication—Experience and Literature Review with an Outlook to Diagnosis and Management. Journal of Clinical Medicine. 2023; 12(16):5357. https://doi.org/10.3390/jcm12165357
Chicago/Turabian StyleCantinotti, Massimiliano, Pietro Marchese, Nadia Assanta, Eliana Franchi, Vitali Pak, Elisa Barberi, Alessandra Pizzuto, Giuseppe Santoro, and Raffaele Giordano. 2023. "Native Aortic Root Thrombosis in Hypoplastic Left Heart Syndrome: An Unusual Presentation (Soon after Atrial Septal Stenting) of a Relatively Unusual Complication—Experience and Literature Review with an Outlook to Diagnosis and Management" Journal of Clinical Medicine 12, no. 16: 5357. https://doi.org/10.3390/jcm12165357
APA StyleCantinotti, M., Marchese, P., Assanta, N., Franchi, E., Pak, V., Barberi, E., Pizzuto, A., Santoro, G., & Giordano, R. (2023). Native Aortic Root Thrombosis in Hypoplastic Left Heart Syndrome: An Unusual Presentation (Soon after Atrial Septal Stenting) of a Relatively Unusual Complication—Experience and Literature Review with an Outlook to Diagnosis and Management. Journal of Clinical Medicine, 12(16), 5357. https://doi.org/10.3390/jcm12165357

