Fenestrated Physician-Modified Endografts for Preservation of Main and Accessory Renal Arteries in Juxtarenal Aortic Aneurysms
Abstract
1. Introduction
2. Methods
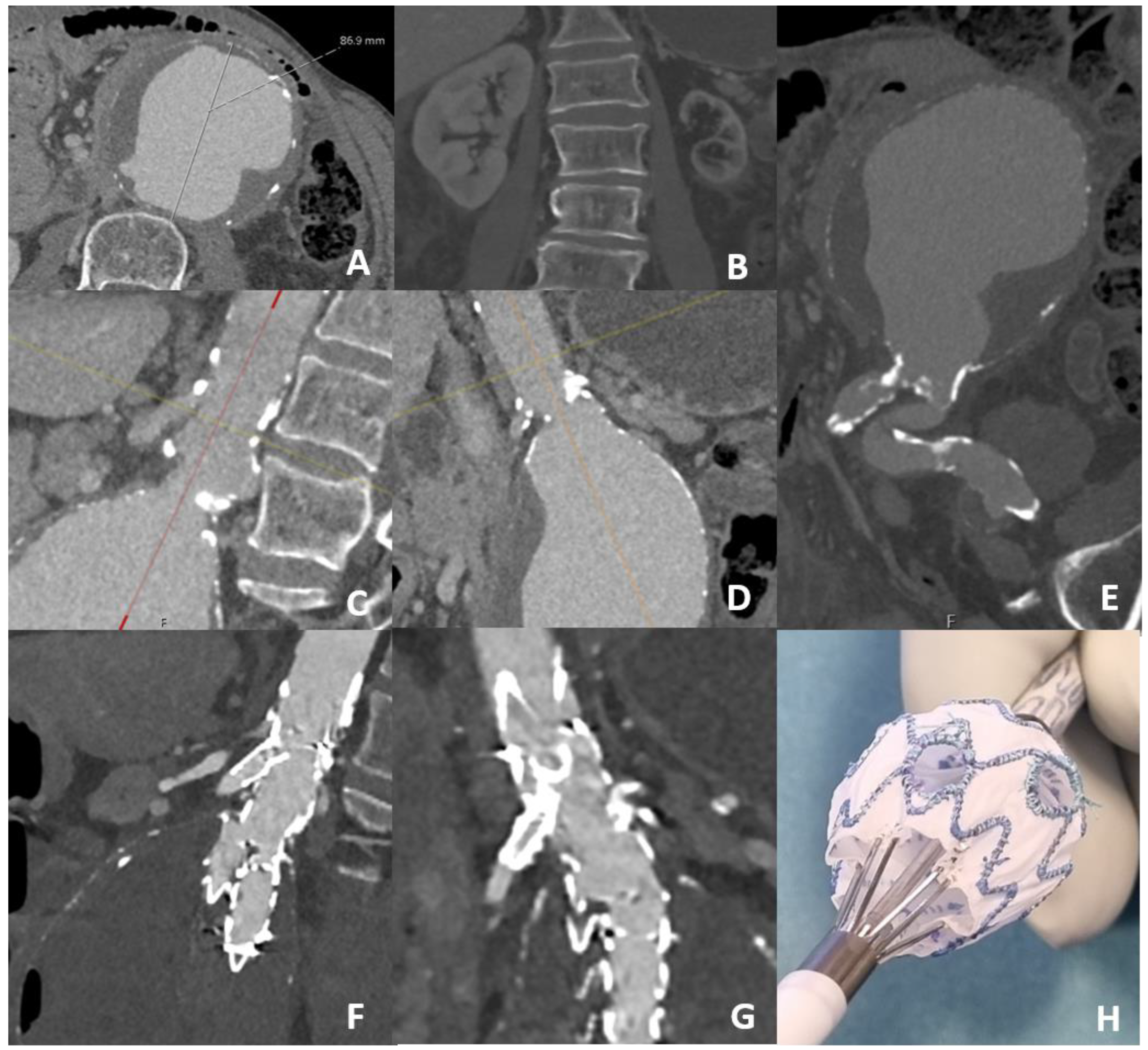
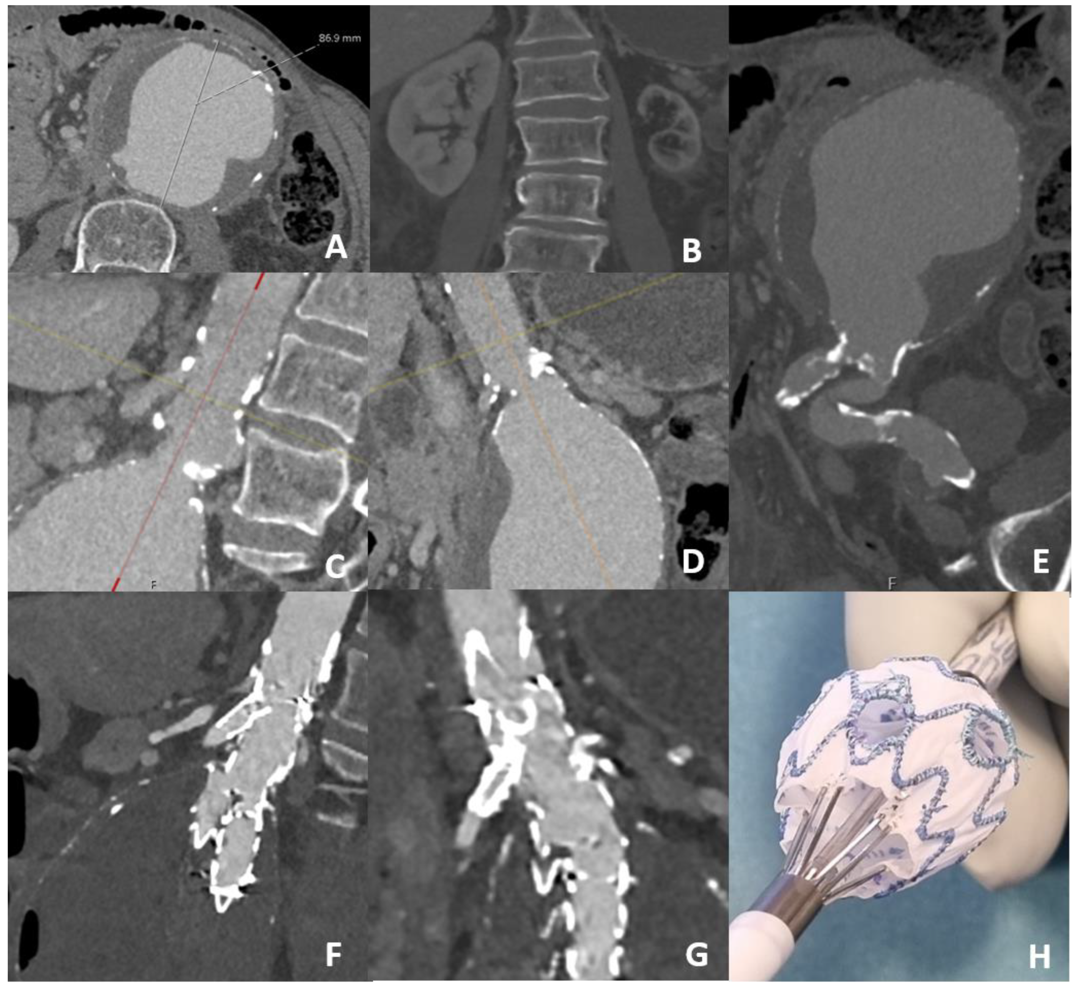
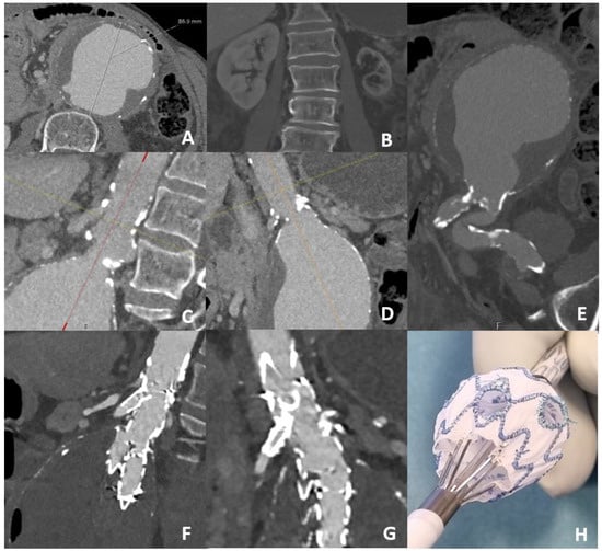
2.1. Physician-Modified Endograft Technique
2.2. Endpoints and Definitions
3. Results
3.1. Perioperative Outcomes
3.2. Follow-Up
4. Discussion
Limitations
5. Conclusions
Supplementary Materials
Author Contributions
Funding
Institutional Review Board Statement
Informed Consent Statement
Data Availability Statement
Conflicts of Interest
References
- Greenhalgh, R.M.; Brown, L.C.; Powell, J.T.; Thompson, S.G.; Epstein, D.; Sculpher, M.J. Endovascular versus open repair of abdominal aortic aneurysm. N. Engl. J. Med. 2010, 362, 1863–1871. [Google Scholar] [CrossRef]
- EVAR trial participants. Endovascular aneurysm repair versus open repair in patients with abdominal aortic aneurysm (EVAR trial 1): Randomised controlled trial. Lancet 2005, 365, 2179–2186. [Google Scholar] [CrossRef]
- Lederle, F.A.; Freischlag, J.A.; Kyriakides, T.C.; Matsumura, J.S.; Padberg, F.T., Jr.; Kohler, T.R.; Kougias, P.; Jean-Claude, J.M.; Cikrit, D.F.; Swanson, K.M. Long-term comparison of endovascular and open repair of abdominal aortic aneurysm. N. Engl. J. Med. 2012, 367, 1988–1997. [Google Scholar] [CrossRef]
- Rosenfeld, E.S.; Macsata, R.A.; Lala, S.; Lee, K.B.; Pomy, B.J.; Ricotta, J.J.; Sparks, A.D.; Amdur, R.L.; Sidawy, A.N.; Nguyen, B.N. Open surgical repair of juxtarenal abdominal aortic aneurysms in the elderly is not associated with increased thirty-day mortality compared with fenestrated endovascular grafting. J. Vasc. Surg. 2021, 73, 1139–1147. [Google Scholar] [CrossRef] [PubMed]
- Jones, A.D.; Waduud, M.A.; Walker, P.; Stocken, D.; Bailey, M.A.; Scott, D.J.A. Meta-analysis of fenestrated endovascular aneurysm repair versus open surgical repair of juxtarenal abdominal aortic aneurysms over the last 10 years. BJS Open 2019, 3, 572–584. [Google Scholar] [CrossRef] [PubMed]
- Doonan, R.J.; Girsowicz, E.; Dubois, L.; Gill, H.L. A systematic review and meta-analysis of endovascular juxtarenal aortic aneurysm repair demonstrates lower perioperative mortality compared with open repair. J. Vasc. Surg. 2019, 70, 2054–2064.e2053. [Google Scholar] [CrossRef] [PubMed]
- Standring, S. Gray’s Anatomy; Churchill & Livingstone: Edinburg, UK, 2015. [Google Scholar]
- Tenorio, E.R.; Kärkkäinen, J.M.; Marcondes, G.B.; Lima, G.B.B.; Mendes, B.C.; DeMartino, R.R.; Macedo, T.A.; Oderich, G.S. Impact of intentional accessory renal artery coverage on renal outcomes after fenestrated-branched endovascular aortic repair. J. Vasc. Surg. 2021, 73, 805–818.e802. [Google Scholar] [CrossRef]
- Spanos, K.; Nana, P.; Brotis, A.G.; Kouvelos, G.; Behrendt, C.A.; Tsilimparis, N.; Kölbel, T.; Matsagkas, M.; Giannoukas, A. Clinical effect of accessory renal artery coverage after endovascular repair of aneurysms in abdominal and thoracoabdominal aorta. J. Vasc. Surg. 2021, 74, 2104–2113.e2107. [Google Scholar] [CrossRef]
- Kärkkäinen, J.M.; Tenorio, E.R.; Pather, K.; Mendes, B.C.; Macedo, T.A.; Wigham, J.; Diderrich, A.; Oderich, G.S. Outcomes of Small Renal Artery Targets in Patients Treated by Fenestrated-Branched Endovascular Aortic Repair. Eur. J. Vasc. Endovasc. Surg. 2020, 59, 910–917. [Google Scholar] [CrossRef]
- Greenberg, R.K.; Sternbergh, W.C., III; Makaroun, M.; Ohki, T.; Chuter, T.; Bharadwaj, P.; Saunders, A. Intermediate results of a United States multicenter trial of fenestrated endograft repair for juxtarenal abdominal aortic aneurysms. J. Vasc. Surg. 2009, 50, 730–737.e731. [Google Scholar] [CrossRef]
- Mastracci, T.M.; Eagleton, M.J.; Kuramochi, Y.; Bathurst, S.; Wolski, K. Twelve-year results of fenestrated endografts for juxtarenal and group IV thoracoabdominal aneurysms. J. Vasc. Surg. 2015, 61, 355–364. [Google Scholar] [CrossRef]
- Ciani, O.; Epstein, D.; Rothery, C.; Taylor, R.S.; Sculpher, M. Decision uncertainty and value of further research: A case-study in fenestrated endovascular aneurysm repair for complex abdominal aortic aneurysms. Cost Eff. Resour. Alloc. 2018, 16, 15. [Google Scholar] [CrossRef]
- Berghmans, C.H.J.; Lübke, T.; Gawenda, M.; Brunkwall, J.S. A Detailed Cost Analysis of Complicated and Uncomplicated EVAR and Fevar Procedures in a DRG-System, Conducted at an European Academic Hospital Based Upon a Newly Developed Calculation Model. Eur. J. Vasc. Endovasc. Surg. 2019, 58, e146–e148. [Google Scholar] [CrossRef]
- D’Oria, M.; Wanhainen, A.; Mani, K.; Lindström, D. Frequency and type of interval adverse events during the waiting period to complex aortic endovascular repair. J. Vasc. Surg. 2022, 75, 1821–1828.e1821. [Google Scholar] [CrossRef] [PubMed]
- Mendes, B.C.; Rathore, A.; Ribeiro, M.S.; Oderich, G.S. Off-the-shelf fenestrated and branched stent graft designs for abdominal aortic aneurysm repair. Semin. Vasc. Surg. 2016, 29, 74–83. [Google Scholar] [CrossRef] [PubMed]
- Schroeder, M.; Donas, K.P.; Stavroulakis, K.; Stachmann, A.; Torsello, G.; Bisdas, T. Anatomical Suitability of the Zenith Off-the-Shelf (p-Branch) Endograft in Juxtarenal Aortic Aneurysms Previously Treated Using the Chimney Technique. J. Endovasc. Ther. 2017, 24, 223–229. [Google Scholar] [CrossRef] [PubMed]
- Bertoglio, L.; Grandi, A.; Carta, N.; Cambiaghi, T.; Bilman, V.; Melissano, G.; Chiesa, R. Comparison of anatomic feasibility of three different multibranched off-the-shelf stent-grafts designed for thoracoabdominal aortic aneurysms. J. Vasc. Surg. 2021, 74, 1472–1482.e1474. [Google Scholar] [CrossRef] [PubMed]
- Patel, S.D.; Constantinou, J.; Simring, D.; Ramirez, M.; Agu, O.; Hamilton, H.; Ivancev, K. Results of complex aortic stent grafting of abdominal aortic aneurysms stratified according to the proximal landing zone using the Society for Vascular Surgery classification. J. Vasc. Surg. 2015, 62, 319–325.e312. [Google Scholar] [CrossRef]
- Lindblad, B.; Bin Jabr, A.; Holst, J.; Malina, M. Chimney Grafts in Aortic Stent Grafting: Hazardous or Useful Technique? Systematic Review of Current Data. Eur. J. Vasc. Endovasc. Surg. 2015, 50, 722–731. [Google Scholar] [CrossRef]
- Li, Y.; Hu, Z.; Wang, J.; Zhang, Y.; Chen, Z.; Zhang, H. Endovascular Chimney Technique for Aortic Arch Pathologies Treatment: A Systematic Review and Meta-Analysis. Ann. Vasc. Surg. 2018, 47, 305–315. [Google Scholar] [CrossRef] [PubMed]
- Scali, S.T.; Feezor, R.J.; Chang, C.K.; Waterman, A.L.; Berceli, S.A.; Huber, T.S.; Beck, A.W. Critical analysis of results after chimney endovascular aortic aneurysm repair raises cause for concern. J. Vasc. Surg. 2014, 60, 865–873; discussion 873–875. [Google Scholar] [CrossRef]
- Bath, J.; Fazzini, S.; Ippoliti, A.; Vogel, T.R.; Singh, P.; Donas, K.P.; Torsello, G. Chimney endovascular aneurysm repair (ChEVAR) for hostile neck complex aneurysm. Vascular 2022, 30, 1058–1068. [Google Scholar] [CrossRef]
- Cherfan, P.; Abdul-Malak, O.M.; Liang, N.L.; Eslami, M.H.; Singh, M.J.; Makaroun, M.S.; Chaer, R.A. Endovascular repair of abdominal and thoracoabdominal aneurysms using chimneys and periscopes is associated with poor outcomes. J. Vasc. Surg. 2022, 76, 311–317. [Google Scholar] [CrossRef] [PubMed]
- Menegolo, M.; Xodo, A.; Penzo, M.; Piazza, M.; Squizzato, F.; Colacchio, E.C.; Grego, F.; Antonello, M. Open repair versus EVAR with parallel grafts in patients with juxtarenal abdominal aortic aneurysm excluded from fenestrated endografting. J. Cardiovasc. Surg. 2021, 62, 483–495. [Google Scholar] [CrossRef]
- Juszczak, M.T.; Vezzosi, M.; Khan, M.; Mascaro, J.; Claridge, M.; Adam, D. Endovascular repair of acute juxtarenal and thoracoabdominal aortic aneurysms with surgeon-modified fenestrated endografts. J. Vasc. Surg. 2020, 72, 435–444. [Google Scholar] [CrossRef]
- Georgiadis, G.S.; van Herwaarden, J.A.; Antoniou, G.A.; Hazenberg, C.E.; Giannoukas, A.D.; Lazarides, M.K.; Moll, F.L. Systematic Review of Off-the-Shelf or Physician-Modified Fenestrated and Branched Endografts. J. Endovasc. Ther. 2016, 23, 98–109. [Google Scholar] [CrossRef]
- Starnes, B.W.; Tatum, B.; Singh, N. Procedural and perioperative results in patients treated with fenestrated endovascular aneurysm repair planned by automated software in a physician-sponsored investigational device exemption trial of physician-modified endografts. J. Vasc. Surg. 2018, 68, 1297–1307. [Google Scholar] [CrossRef] [PubMed]
- Dossabhoy, S.S.; Simons, J.P.; Flahive, J.M.; Aiello, F.A.; Sheth, P.; Arous, E.J.; Messina, L.M.; Schanzer, A. Fenestrated endovascular aortic aneurysm repair using physician-modified endovascular grafts versus company-manufactured devices. J. Vasc. Surg. 2018, 67, 1673–1683. [Google Scholar] [CrossRef] [PubMed]
- Starnes, B.W.; Heneghan, R.E.; Tatum, B. Midterm results from a physician-sponsored investigational device exemption clinical trial evaluating physician-modified endovascular grafts for the treatment of juxtarenal aortic aneurysms. J. Vasc. Surg. 2017, 65, 294–302. [Google Scholar] [CrossRef]
- Hurd, J.R.; Tatum, B.; Grillo, J.; Arthurs, Z.; Singh, N.; Fong, H.; Sarikaya, M.; Allen-Kline, B.; Starnes, B.W. Long-term durability of a physician-modified endovascular graft. J. Vasc. Surg. 2020, 71, 628–634. [Google Scholar] [CrossRef]
- Oderich, G.S.; Ribeiro, M.S.; Sandri, G.A.; Tenorio, E.R.; Hofer, J.M.; Mendes, B.C.; Chini, J.; Cha, S. Evolution from physician-modified to company-manufactured fenestrated-branched endografts to treat pararenal and thoracoabdominal aortic aneurysms. J. Vasc. Surg. 2019, 70, 31–42.e37. [Google Scholar] [CrossRef] [PubMed]
- von Allmen, R.S.; Weiss, S.; Tevaearai, H.T.; Kuemmerli, C.; Tinner, C.; Carrel, T.P.; Schmidli, J.; Dick, F. Completeness of Follow-Up Determines Validity of Study Findings: Results of a Prospective Repeated Measures Cohort Study. PLoS ONE 2015, 10, e0140817. [Google Scholar] [CrossRef] [PubMed]
- Wanhainen, A.; Verzini, F.; Van Herzeele, I.; Allaire, E.; Bown, M.; Cohnert, T.; Dick, F.; van Herwaarden, J.; Karkos, C.; Koelemay, M.; et al. European Society for Vascular Surgery (ESVS) 2019 Clinical Practice Guidelines on the Management of Abdominal Aorto-iliac Artery Aneurysms. Eur. J. Vasc. Endovasc. Surg. 2019, 57, 8–93. [Google Scholar] [CrossRef] [PubMed]
- Oderich, G.S.; Forbes, T.L.; Chaer, R.; Davies, M.G.; Lindsay, T.F.; Mastracci, T.; Singh, M.J.; Timaran, C.; Woo, E.Y. Reporting standards for endovascular aortic repair of aneurysms involving the renal-mesenteric arteries. J. Vasc. Surg. 2021, 73, 4s–52s. [Google Scholar] [CrossRef]
- Chaikof, E.L.; Blankensteijn, J.D.; Harris, P.L.; White, G.H.; Zarins, C.K.; Bernhard, V.M.; Matsumura, J.S.; May, J.; Veith, F.J.; Fillinger, M.F.; et al. Reporting standards for endovascular aortic aneurysm repair. J. Vasc. Surg. 2002, 35, 1048–1060. [Google Scholar] [CrossRef]
- Chaikof, E.L.; Fillinger, M.F.; Matsumura, J.S.; Rutherford, R.B.; White, G.H.; Blankensteijn, J.D.; Bernhard, V.M.; Harris, P.L.; Kent, K.C.; May, J.; et al. Identifying and grading factors that modify the outcome of endovascular aortic aneurysm repair. J. Vasc. Surg. 2002, 35, 1061–1066. [Google Scholar] [CrossRef] [PubMed]
- Jungi, S.; Sangalli, Z.; Schmidli, J.; Makaloski, V. Surgeon-modified fenestrated endovascular aortic repair for ruptured anastomotic aneurysm after open thoracoabdominal repair. J. Vasc. Surg. Cases Innov. Tech. 2021, 7, 484–487. [Google Scholar] [CrossRef]
- Mendes, B.C.; Oderich, G.S.; Reis de Souza, L.; Banga, P.; Macedo, T.A.; DeMartino, R.R.; Misra, S.; Gloviczki, P. Implications of renal artery anatomy for endovascular repair using fenestrated, branched, or parallel stent graft techniques. J. Vasc. Surg. 2016, 63, 1163–1169.e1161. [Google Scholar] [CrossRef] [PubMed]
- Lareyre, F.; Raffort, J.; Carboni, J.; Chikande, J.; Massiot, N.; Voury-Pons, A.; Umbdenstock, E.; Hassen-Khodja, R.; Jean-Baptiste, E. Impact of Polar Renal Artery Coverage after Fenestrated Endovascular Aortic Repair for Juxtarenal and Type IV Thoracoabdominal Aortic Aneurysms. Ann. Vasc. Surg. 2019, 58, 45–53.e41. [Google Scholar] [CrossRef]
- Sadeghi-Azandaryani, M.; Zimmermann, H.; Korten, I.; Klose, A.; Scheiermann, P.; Treitl, M.; Heyn, J. Altered renal functions in patients with occlusion of an accessory renal artery after endovascular stenting of an infrarenal aneurysm. J. Vasc. Surg. 2017, 65, 635–642. [Google Scholar] [CrossRef]
- Blankensteijn, L.L.; Dijkstra, M.L.; Tielliu, I.F.; Reijnen, M.M.; Zeebregts, C.J. Midterm results of the fenestrated Anaconda endograft for short-neck infrarenal and juxtarenal abdominal aortic aneurysm repair. J. Vasc. Surg. 2017, 65, 303–310. [Google Scholar] [CrossRef] [PubMed]
- de Niet, A.; Zeebregts, C.J.; Reijnen, M. Outcomes after treatment of complex aortic abdominal aneurysms with the fenestrated Anaconda endograft. J. Vasc. Surg. 2020, 72, 25–35.e21. [Google Scholar] [CrossRef] [PubMed]
- Sveinsson, M.; Sonesson, B.; Dias, N.; Björses, K.; Kristmundsson, T.; Resch, T. Five Year Results of Off the Shelf Fenestrated Endografts for Elective and Emergency Repair of Juxtarenal Abdominal Aortic Aneurysm. Eur. J. Vasc. Endovasc. Surg. 2021, 61, 550–558. [Google Scholar] [CrossRef] [PubMed]
- Farber, M.A.; Oderich, G.S.; Timaran, C.; Sanchez, L.A.; Dawson, Z. Results from a prospective multicenter feasibility study of Zenith p-Branch stent graft. J. Vasc. Surg. 2019, 70, 1409–1418.e1403. [Google Scholar] [CrossRef] [PubMed]
- Tsilimparis, N.; Heidemann, F.; Rohlffs, F.; Diener, H.; Wipper, S.; Debus, E.S.; Kölbel, T. Outcome of Surgeon-Modified Fenestrated/Branched Stent-Grafts for Symptomatic Complex Aortic Pathologies or Contained Rupture. J. Endovasc. Ther. 2017, 24, 825–832. [Google Scholar] [CrossRef]
- Gallitto, E.; Faggioli, G.; Pini, R.; Logiacco, A.; Mascoli, C.; Fenelli, C.; Abualhin, M.; Gargiulo, M. Proximal Aortic Coverage and Clinical Results of the Endovascular Repair of Juxta-/Para-renal and Type IV Thoracoabdominal Aneurysm with Custom-made Fenestrated Endografts. Ann. Vasc. Surg. 2021, 73, 397–406. [Google Scholar] [CrossRef]
- Rastogi, V.; Marcaccio, C.L.; Kim, N.H.; Patel, P.B.; Anjorin, A.C.; Zettervall, S.L.; Patel, V.I.; de Bruin, J.L.; Verhagen, H.J.M.; Schermerhorn, M.L. The effect of supraceliac versus infraceliac landing zone on outcomes following fenestrated endovascular repair of juxta-/pararenal aortic aneurysms. J. Vasc. Surg. 2023, 77, 9–19.e12. [Google Scholar] [CrossRef]
- Tong, Y.H.; Yu, T.; Zhou, M.J.; Liu, C.; Zhou, M.; Jiang, Q.; Liu, C.J.; Li, X.Q.; Liu, Z. Use of 3D Printing to Guide Creation of Fenestrations in Physician-Modified Stent-Grafts for Treatment of Thoracoabdominal Aortic Disease. J. Endovasc. Ther. 2020, 27, 385–393. [Google Scholar] [CrossRef]
- Branzan, D.; Geisler, A.; Grunert, R.; Steiner, S.; Bausback, Y.; Gockel, I.; Scheinert, D.; Schmidt, A. The Influence of 3D Printed Aortic Models on the Evolution of Physician Modified Stent Grafts for the Urgent Treatment of Thoraco-abdominal and Pararenal Aortic Pathologies. Eur. J. Vasc. Endovasc. Surg. 2021, 61, 407–412. [Google Scholar] [CrossRef]
- Rynio, P.; Jedrzejczak, T.; Rybicka, A.; Milner, R.; Gutowski, P.; Kazimierczak, A. Initial Experience with Fenestrated Physician-Modified Stent Grafts Using 3D Aortic Templates. J. Clin. Med. 2022, 11, 2180. [Google Scholar] [CrossRef]




| All Patients (n = 37) | |
|---|---|
| Age (years), median (range) | 75 (61–89) |
| Male | 33 (89) |
| BMI (kg/m2), median (range) | 25.8 (15–38) |
| Medical history | |
| CAD | 13 (35) |
| Arrhythmia | 6 (16) |
| Hypertension | 32 (87) |
| Active smoker | 14 (38) |
| COPD | 9 (24) |
| Baseline creatinine (µmol/L) | 97 (52–212) |
| Diabetes | 6 (16) |
| Stroke/TIA | 6 (16) |
| PAD | 9 (24) |
| SVS score | 6 (1–13) |
| ASA class ≥ 4 | 16 (43) |
| Previous medication | |
| Antiplateled therapy | 33 (89) |
| Anticoagulation therapy | 9 (24) |
| Statin | 32 (87) |
| ACE inhibitor | 27 (73) |
| Betablocker | 15 (41) |
| Aortic history | |
| Previous aortic intervention | 7 (19) |
| Endovascular AAA repair | 5 (14) |
| Open AAA repair | 2 (5) |
| All Patients (n = 37) | |
|---|---|
| Aneurysm diameter | 64.0 ± 17.8 |
| Infrarenal neck length | 8.0 ± 5.5 |
| Proximal landing zone a | 26.9 ± 10.7 |
| Gained landing zone through pm-fenestrations b | 18.9 ± 11.4 |
| Proximal cuff oversizing | 11.4 ± 8.2 |
| Proximal bifurcated graft oversizing | 15.5 ± 8.0 |
| Suprarenal angle (α) | 18 ± 15° |
| Infrarenal angle (β) | 33 ± 21° |
| Proximal neck thrombus/calcification > 50% | 2 (5) |
| Iliac artery aneurysm | 2 (5) |
| Iliac artery stenosis > 50% | 4 (11) |
| Turtuos access vessels | 0 (0) |
| Target vessels | 47 (100) |
| One pm fenestration | 29 (78) |
| Two pm fenestrations | 6 (16) |
| Three pm fenestrations | 2 (6) |
| Superior Mesenteric Artery | 3 (6) |
| Renal arteries | 31 (66) |
| Accessory renal arteries | 13 (28) |
| Main renal artery size | 5.8 ± 1.4 |
| Accessory renal artery size | 4.5 ± 1.5 |
| All Patients (n = 37) | |
|---|---|
| Total Operation Time, minutes | 166 (72–300) |
| Volume of Contrast, mL | 110 (41–480) |
| Fluoroscopy time, minutes | 51 (13–106) |
| Dose area product, mGy/cm2 | 193,966 (23,001–624,789) |
| Blood loss, mL | 394 (20–5000) |
| Technical success | |
| Superior mesenteric artery | 3/3 (100) |
| Main renal arteries | 30/31 (97) |
| Accessory renal arteries | 8/13 (62) |
| Endoleak at completion | |
| Type Ia | 0 (0) |
| Type Ib | 0 (0) |
| Type II | 5 (14) |
| Type III | 2 (5) |
| Complications | |
| Stroke | 0 (0) |
| Myocardial infarction | 0 (0) |
| Respiratory failure/pneumonia | 0 (0) |
| Pancreatitis/any GI ischemia | 0 (0) |
| Acute kidney injury | 2 (5) |
| Access bleeding with surgical revision | 3 (8) |
| Reintervention rate | 2/37 (5) |
| ICU/IMC days | 1 (0–8) |
| Hospitalization days | 4.7 (2–17) |
| All Patients (n = 37) | |
|---|---|
| Follow-up, months | 17.7 (1–47) |
| AAA diameter a | |
| Increase ≥ 5 mm | 1/36 (3) |
| Unchanged | 25/36 (69) |
| Decrease ≥ 5 mm | 10/36 (28) |
| Endoleaks a | |
| Type Ia | 0 (0) |
| Type Ib | 0 (0) |
| Type Ic | 0 (0) |
| Type II | 12/36 (33) |
| Type III | 0 (0) |
| Branch patency a | |
| Occlusion | 1/36 (3) |
| Stenosis | 0 (0) |
| Device related outcomes a | |
| Migration | 0 (0) |
| Fracture | 0 (0) |
| Graft limb occlusion | 4/36 (11) |
| Days to secondary re-intervention | 572 (4–1023) |
| Days to death | 367 (74–1128) |
| All deaths | 4 (11) |
| AAA related deaths | 0 (0) |
Disclaimer/Publisher’s Note: The statements, opinions and data contained in all publications are solely those of the individual author(s) and contributor(s) and not of MDPI and/or the editor(s). MDPI and/or the editor(s) disclaim responsibility for any injury to people or property resulting from any ideas, methods, instructions or products referred to in the content. |
© 2023 by the authors. Licensee MDPI, Basel, Switzerland. This article is an open access article distributed under the terms and conditions of the Creative Commons Attribution (CC BY) license (https://creativecommons.org/licenses/by/4.0/).
Share and Cite
Chan, H.-L.; Papazoglou, D.D.; Jungi, S.; Weiss, S.; Becker, D.; Kotelis, D.; Makaloski, V. Fenestrated Physician-Modified Endografts for Preservation of Main and Accessory Renal Arteries in Juxtarenal Aortic Aneurysms. J. Clin. Med. 2023, 12, 4708. https://doi.org/10.3390/jcm12144708
Chan H-L, Papazoglou DD, Jungi S, Weiss S, Becker D, Kotelis D, Makaloski V. Fenestrated Physician-Modified Endografts for Preservation of Main and Accessory Renal Arteries in Juxtarenal Aortic Aneurysms. Journal of Clinical Medicine. 2023; 12(14):4708. https://doi.org/10.3390/jcm12144708
Chicago/Turabian StyleChan, Hon-Lai, Dimitrios D. Papazoglou, Silvan Jungi, Salome Weiss, Daniel Becker, Drosos Kotelis, and Vladimir Makaloski. 2023. "Fenestrated Physician-Modified Endografts for Preservation of Main and Accessory Renal Arteries in Juxtarenal Aortic Aneurysms" Journal of Clinical Medicine 12, no. 14: 4708. https://doi.org/10.3390/jcm12144708
APA StyleChan, H.-L., Papazoglou, D. D., Jungi, S., Weiss, S., Becker, D., Kotelis, D., & Makaloski, V. (2023). Fenestrated Physician-Modified Endografts for Preservation of Main and Accessory Renal Arteries in Juxtarenal Aortic Aneurysms. Journal of Clinical Medicine, 12(14), 4708. https://doi.org/10.3390/jcm12144708

