A New Face of Fibrin-Associated Large B-Cell Lymphoma: Epstein–Barr Virus-Positive Breast Implant-Associated Diffuse Large B-Cell Lymphoma
Abstract
1. Introduction
2. Case Report
3. Materials and Methods
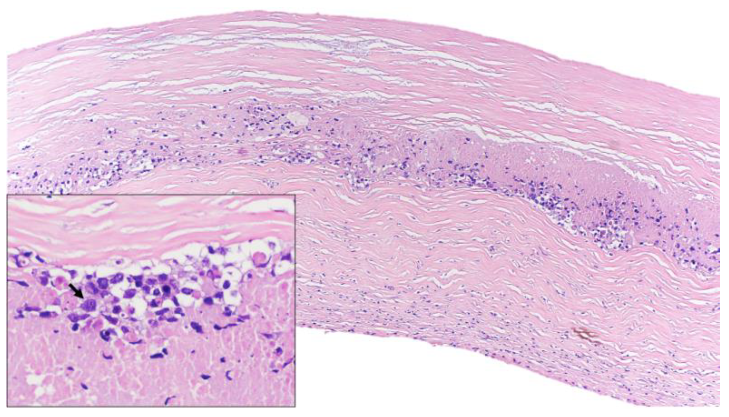
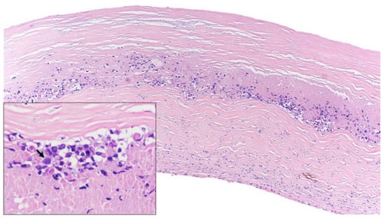
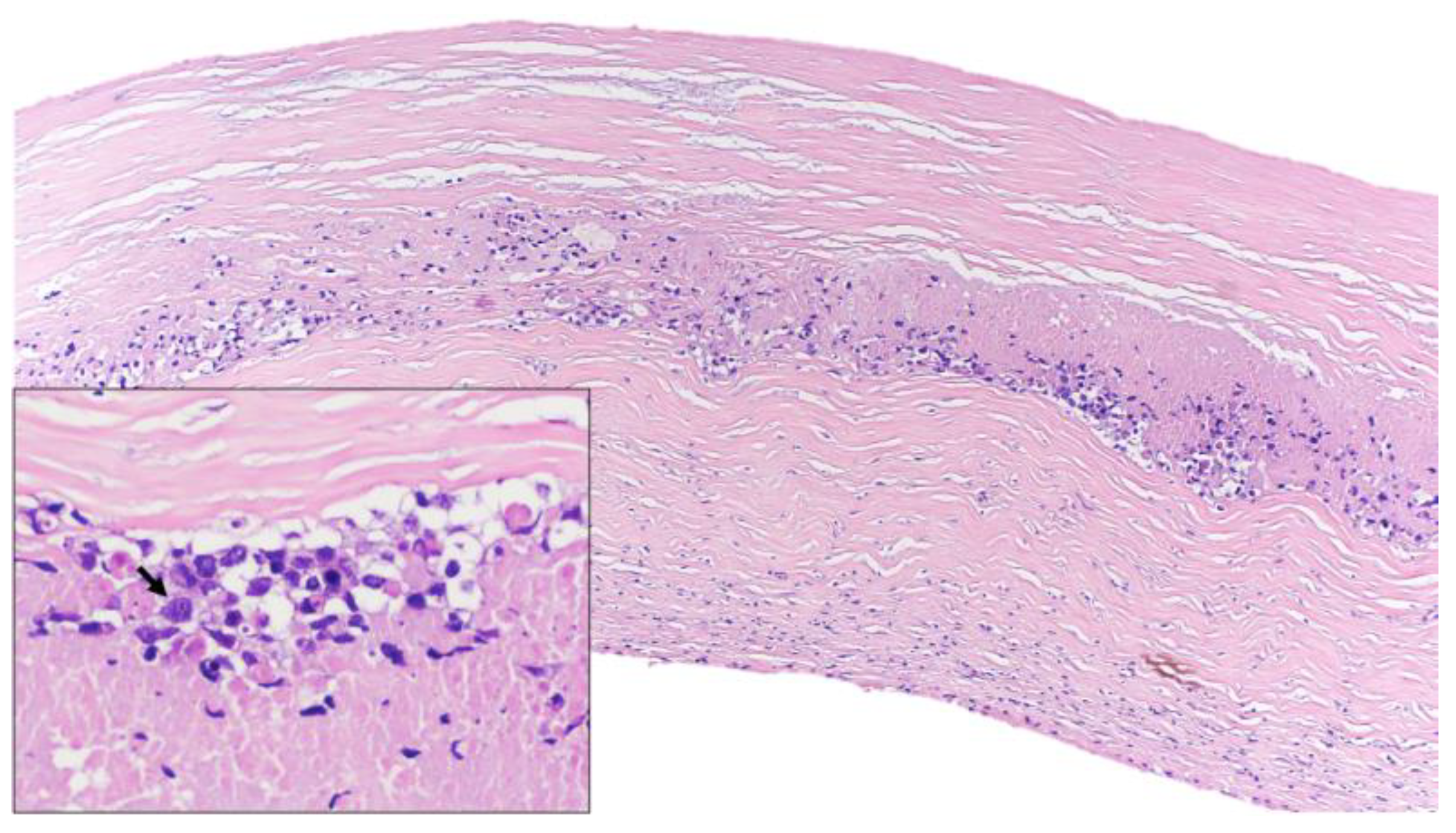
4. Results
5. Discussion
5.1. BIA-FA-LBCL in the New WHO and ICC Classification
5.2. Differential Diagnosis: BIA-ALCL and Other EBV+ DLBCLs
5.2.1. BIA-ALCL
5.2.2. EBV+ DLBCL and CI-DLBCL
6. Conclusions
Author Contributions
Funding
Informed Consent Statement
Data Availability Statement
Conflicts of Interest
References
- Morgan, S.; Tremblay-LeMay, R.; Lipa, J.E.; Sur, M.; Delabie, J.; Imrie, K.; Crump, M.; Snell, L.J.; Ghorab, Z. Breast implant-associated EBV-positive diffuse large B-cell lymphoma: Two case reports and literature review. Pathol. Res. Pract. 2021, 226, 153589. [Google Scholar] [CrossRef] [PubMed]
- Swerdlow, S.H.; Campo, E.; Harris, N.L. (Eds.) WHO Classification of Tumours of Haematopoietic and Lymphoid Tissues; Revised 4th edition Lyon: International Agency for Research on Cancer; WHO Press: Geneva, Switzerland, 2017.
- WHO classification of Tumors Online. Haematolymphoid Tumors, 5th edition. Available online: https://tumourclassification.iarc.who.int/home (accessed on 26 April 2023).
- Alaggio, R.; Amador, C.; Anagnostopoulos, I.; Attygalle, A.D.; Araujo, I.B.D.O.; Berti, E.; Bhagat, G.; Borges, A.M.; Boyer, D.; Calaminici, M.; et al. The 5th edition of the World Health Organization Classification of Haematolymphoid Tumours: Lymphoid Neoplasms. Leukemia 2022, 36, 1720–1748. [Google Scholar] [CrossRef] [PubMed]
- Campo, E.; Jaffe, E.S.; Cook, J.R.; Quintanilla-Martinez, L.; Swerdlow, S.H.; Anderson, K.C.; Brousset, P.; Cerroni, L.; de Leval, L.; Dirnhofer, S.; et al. The International Consensus Classification of Mature Lymphoid Neoplasms: A report from the Clinical Advisory Committee. Blood 2022, 140, 1229–1253. [Google Scholar] [CrossRef] [PubMed]
- Mehta-Shah, N.; Clemens, M.W.; Horwitz, S.M. How I treat breast implant–associated anaplastic large cell lymphoma. Blood 2018, 132, 1889–1898. [Google Scholar] [CrossRef]
- Quesada, A.E.; Medeiros, L.J.; Clemens, M.W.; Ferrufino-Schmidt, M.C.; Pina-Oviedo, S.; Miranda, R.N. Breast implant-associated anaplastic large cell lymphoma: A review. Mod. Pathol. 2019, 32, 166–188. [Google Scholar] [CrossRef]
- Marra, A.; Viale, G.; Pileri, S.A.; Pravettoni, G.; Viale, G.; De Lorenzi, F.; Nolè, F.; Veronesi, P.; Curigliano, G. Breast implant-associated anaplastic large cell lymphoma: A comprehensive review. Cancer Treat. Rev. 2020, 84, 101963. [Google Scholar] [CrossRef]
- Evans, M.G.; Miranda, R.N.; Young, P.A.; Pai, L.; Wang, H.-Y.; Konoplev, S.N.; Medeiros, L.J.; Pinter-Brown, L.C. B-cell lymphomas associated with breast implants: Report of three cases and review of the literature. Ann. Diagn. Pathol. 2020, 46, 151512. [Google Scholar] [CrossRef]
- Rodríguez-Pinilla, S.M.; García, F.J.S.; Balagué, O.; Rodríguez-Justo, M.; Piris, M. Breast implant-associated Epstein-Barr virus-positive large B-cell lymphomas: A report of three cases. Haematologica 2019, 105, e412–e414. [Google Scholar] [CrossRef]
- Mescam, L.; Camus, V.; Schiano, J.-M.; Adélaïde, J.; Picquenot, J.-M.; Guille, A.; Bannier, M.; Ruminy, P.; Viailly, P.-J.; Jardin, F.; et al. EBV+ diffuse large B-cell lymphoma associated with chronic inflammation expands the spectrum of breast implant-related lymphomas. Blood 2020, 135, 2004–2009. [Google Scholar] [CrossRef]
- Khoo, C.; McTigue, C.; Hunter-Smith, D.J.; Walker, P. EBV positive fibrin/chronic inflammation associated diffuse large B-cell lymphoma: An incidental finding associated with a breast implant. Pathology 2020, 53, 673–675. [Google Scholar] [CrossRef]
- Malata, C.M.; Madada-Nyakauru, R.N.; Follows, G.; Wright, P. Epstein-Barr Virus-associated Diffuse Large B-cell Lymphoma Identified in a Breast Implant Capsule. Ann. Plast. Surg. 2021, 86, 383–386. [Google Scholar] [CrossRef]
- Mansy, M.; Wotherspoon, A.C.; El-Sharkawi, D.; Cunningham, D.; Wren, D.; Sharma, B.; MacNeill, F.; Attygalle, A.D. Fibrin-associated diffuse large B-cell lymphoma misdiagnosed as breast implant-associated anaplastic large-cell lymphoma. Histopathology 2021, 79, 269–271. [Google Scholar] [CrossRef]
- Goodwins, L.K.; Prowse, P.M.; Miliauskas, J.R. Breast Implant-associated Lymphoma. Plast. Reconstr. Surg. Glob. Open 2019, 7, e2571. [Google Scholar] [CrossRef]
- Medeiros, L.J.; Marques-Piubelli, M.L.; Sangiorgio, V.F.I.; Ruiz-Cordero, R.; Vega, F.; Feldman, A.L.; Chapman, J.R.; Clemens, M.W.; Hunt, K.K.; Evans, M.G.; et al. Epstein–Barr-virus-positive large B-cell lymphoma associated with breast implants: An analysis of eight patients suggesting a possible pathogenetic relationship. Mod. Pathol. 2021, 34, 2154–2167. [Google Scholar] [CrossRef]
- Beltran, B.E.; Castro, D.; Paredes, S.; Miranda, R.N.; Castillo, J.J. EBV-positive diffuse large B-cell lymphoma, not otherwise specified: 2020 update on diagnosis, risk-stratification and management. Am. J. Hematol. 2020, 95, 435–445. [Google Scholar] [CrossRef]
- Bourbon, E.; Maucort-Boulch, D.; Fontaine, J.; Mauduit, C.; Sesques, P.; Safar, V.; Ferrant, E.; Golfier, C.; Ghergus, D.; Karlin, L.; et al. Clinicopathological features and survival in EBV-positive diffuse large B-cell lymphoma not otherwise specified. Blood Adv. 2021, 5, 3227–3239. [Google Scholar] [CrossRef]
- Witte, H.M.; Merz, H.; Biersack, H.; Bernard, V.; Riecke, A.; Gebauer, J.; Lehnert, H.; Von Bubnoff, N.; Feller, A.C.; Gebauer, N. Impact of treatment variability and clinicopathological characteristics on survival in patients with Epstein-Barr-Virus positive diffuse large B cell lymphoma. Br. J. Haematol. 2020, 189, 257–268. [Google Scholar] [CrossRef]
- Marques-Piubelli, M.L.; Salas, Y.I.; Pachas, C.; Becker-Hecker, R.; Vega, F.; Miranda, R.N. Epstein–Barr virus-associated B-cell lymphoproliferative disorders and lymphomas: A review. Pathology 2019, 52, 40–52. [Google Scholar] [CrossRef]
- Keech, J.A.; Creech, B.J. Anaplastic T-cell lymphoma in proximity to a saline-filled breast implant. Plast. Reconstr. Surg. 1997, 100, 554–555. [Google Scholar] [CrossRef]
- Smith, B.K.; Gray, S.S. Large B-Cell Lymphoma Occurring in a Breast Implant Capsule. Plast. Reconstr. Surg. 2014, 134, 670e–671e. [Google Scholar] [CrossRef]
- Larrimore, C.; Jaghab, A. A Rare Case of Breast Implant-Associated Diffuse Large B-Cell Lymphoma. Case Rep. Oncol. Med. 2019, 2019, 1801942. [Google Scholar] [CrossRef] [PubMed]
- Geethakumari, P.R.; Markantonis, J.; Shah, J.L.; Alsuwaidan, A.; Shahab, I.; Chen, W.; Jaso, J.M. Breast Implant-associated Plasmablastic Lymphoma: A Case Report and Discussion of the Literature. Clin. Lymphoma Myeloma Leuk. 2019, 19, e568–e572. [Google Scholar] [CrossRef] [PubMed]
- Boyer, D.F.; McKelvie, P.A.; de Leval, L.; Edlefsen, K.L.; Ko, Y.-H.; Aberman, Z.A.; Kovach, A.E.; Masih, A.; Nishino, H.T.; Weiss, L.M.; et al. Fibrin-associated EBV-positive Large B-Cell Lymphoma. Am. J. Surg. Pathol. 2017, 41, 299–312. [Google Scholar] [CrossRef] [PubMed]
- Oyama, T.; Ichimura, K.; Suzuki, R.; Suzumiya, J.; Ohshima, K.; Yatabe, Y.; Yokoi, T.; Kojima, M.; Kamiya, Y.; Taji, H.; et al. Senile EBV+ B-Cell Lymphoproliferative Disorders. Am. J. Surg. Pathol. 2003, 27, 16–26. [Google Scholar] [CrossRef]
- Sukswai, N.; Lyapichev, K.; Khoury, J.D.; Medeiros, L.J. Diffuse large B-cell lymphoma variants: An update. Pathology 2019, 52, 53–67. [Google Scholar] [CrossRef]
- Aozasa, K. Pyothorax-associated Lymphoma. J. Clin. Exp. Hematop. 2006, 46, 5–10. [Google Scholar] [CrossRef]


| PATIENT FEATURES | IMPLANTS | CLINICAL PRESENTATION | LATENCY TIME * | LYMPHOMA HYSTOLOGY | DISEASE DISTRIBUTION | TREATMENT STRATEGY | OUTCOME | |
|---|---|---|---|---|---|---|---|---|
| Goodwins et al., 2019 [15] | 66-years female | Textured silicone | Bilateral capsular contracture | 12 years | DLBCL, EBER+ (latency pattern ND) | Early-stage (IE) | Surgery (complete capsulectomy) | Complete remission |
| Rodríguez Pinilla et al., 2020 [10] | 55-years female | N/A | Hematoma | 15 years | DLBCL, EBER+ (type III latency) | Early-stage (IE) | Surgery (complete capsulectomy) | Complete remission |
| Rodríguez Pinilla et al., 2020 [10] | 59-years female | N/A | Hematoma | 10 years | DLBCL, EBER+ (type III latency) | Early-stage (IE) | Surgery (complete capsulectomy) | Complete remission |
| Rodríguez Pinilla et al., 2020 [10] | 63-years female | N/A | Tumor mass | 20 years | DLBCL, EBER+ (type III latency) | Early-stage (IE) | Surgery (complete capsulectomy) | N/A † |
| Mescam et al., 2020 [11] | 72-years female | Textured silicone | No symptoms | 8 years | CI-DLBCL, EBER+ (type III latency) | Early-stage (IE) | Surgery (complete capsulectomy) | Complete remission |
| Mescam et al., 2020 [11] | 61-years female | Textured silicone | No symptoms | 13 years | CI-DLBCL, EBER+ (type I latency) | Early-stage (IE) | Surgery (complete capsulectomy) | Complete remission |
| Mescam et al., 2020 [11] | 69-years female | Textured silicone | No symptoms | 9 years | CI-DLBCL, EBER+ (type III latency) | Early-stage (IE) | Surgery (complete capsulectomy) + Chemotherapy (3 R-CHOP cycles) | Complete remission |
| Khoo et al., 2020 [12] | 70-years female | Textured silicone | Right capsular contracture | 9 years | FA-LBCL, EBER+ (latency pattern ND) | Early-stage (IE) | Surgery (complete capsulectomy) | Complete remission |
| Malata et al., 2021 [13] | 51-years female, HIV well controlled | Textured silicone (previous smooth- saline) | Left capsular contracture | 15 years (21 years from saline implants) | DLBCL, EBER+ (latency pattern ND) | Early-stage (IE) | None | Complete remission |
| Medeiros et al., 2021 ‡ (7 cases) [16] | Median: 65-years females (range: 47–71) | Textured silicone (4), saline (1), N/A (2) | Capsular contracture (6), no symptoms (1) | Median: 10 years (range: 4–26) | DLBCL, EBER+ (type III latency) | Early-stage (IE) | Surgery (complete capsulectomy) +/− Chemotherapy (3 R-CHOP) (1) | Complete remission |
| Medeiros et al., 2021 (1 case) [16] | 48-years female | Silicone (surface N/A) | Invasive mass (left breast parenchyma) | 21 years | DLBCL, EBER+ (type II latency) | Early-stage (IE) | Surgery (complete capsulectomy) + Chemotherapy (4 R-CHOP, 2 BEACOPP + RT, 1 ICE + ASCT) | Complete remission after 2 relapses |
| Morgan et al., 2021 [1] | 69-years female | Textured silicone | Right capsular contracture | 12 years | DLBCL, EBER+ (latency pattern ND) | Early-stage (IE) | Surgery (complete capsulectomy) | Complete remission |
| Morgan et al., 2021 [1] | 53-years female | Textured silicone | Bilateral capsular contracture | 9 years | DLBCL, EBER+ (latency pattern ND) | Early-stage (IE) | Surgery (complete capsulectomy) + Chemotherapy (4 R-CHOP) | Complete remission |
| Mansy et al., 2021 [14] | 46-years female | Textured silicone | Bilateral capsular contracture | 8 years | CI-DLBCL, EBER+ (type III latency) | Early-stage (IE) | Surgery (complete capsulectomy) | Complete remission |
| Current case | 42-years female | Textured silicone | Bilateral capsular contracture | 7 years | DLBCL, EBER+ (latency pattern ND) | Early-stage (IE) | Surgery (complete capsulectomy) | Complete remission |
| BIA-FA-LBCL | BIA-ALCL | FA-LBCL | CI-DLBCL | EBV + DLBCL | |
|---|---|---|---|---|---|
| Clinical Features | Capsular contracture (indolent) | Capsular contracture (indolent) | Incidental (indolent) | Pyothorax, inflammation (aggressive) | B symptoms (aggressive) |
| Disease distribution | Capsule localized | Capsule localized | Defined anatomic spaces (myxomas, vascular prostheses) | Pleural, metallic implant | Nodal and extranodal |
| Stage of disease at diagnosis | I | I | I | I/II | III/IV |
| Association with EBV | +++ | − | +++ | + | +++ |
| EBV latency pattern | III | − | III | III | II > III |
| Onset inflammatory stimulus | 10 years | 7–10 years | 9 years | 37–43 years | N/A |
| Histologic features | Pleomorphic cells (non-germinal center), Fibrin deposition | Large and pleomorphic cells | Pleomorphic cells (non-germinal center), fibrin deposition +/− inflammatory infiltrate | Plasmablastic/immunoblastic (non-germinal center), inflammatory infiltrate | Polymorphic cells (non-germinal center) |
| IHC markers | CD20, CD30+, CD79a, PAX-5 | CD30, CD4+/− | CD20, CD30+, CD79a+, PAX-5, PD-L1+ | CD20, CD30 +/, CD4 | CD20, CD30+/−, CD79a, PAX-5, PD-L1+ |
| Ki67 | High | High | >90% | >90% | >90% |
| Molecular analysis | Few data, few cases MYC rearrangements | ALK- | Rarely MYC rearrangements | TP53 mutations | Infrequent MYC, BCL-2, BCL-6 rearrangements |
Disclaimer/Publisher’s Note: The statements, opinions and data contained in all publications are solely those of the individual author(s) and contributor(s) and not of MDPI and/or the editor(s). MDPI and/or the editor(s) disclaim responsibility for any injury to people or property resulting from any ideas, methods, instructions or products referred to in the content. |
© 2023 by the authors. Licensee MDPI, Basel, Switzerland. This article is an open access article distributed under the terms and conditions of the Creative Commons Attribution (CC BY) license (https://creativecommons.org/licenses/by/4.0/).
Share and Cite
Martin de Bustamante, J.M.; Mendoza, A.; López-Muñoz, S.; García-Fernández, E.; Gómez-Prieto, P.; Jiménez-Yuste, V. A New Face of Fibrin-Associated Large B-Cell Lymphoma: Epstein–Barr Virus-Positive Breast Implant-Associated Diffuse Large B-Cell Lymphoma. J. Clin. Med. 2023, 12, 3614. https://doi.org/10.3390/jcm12113614
Martin de Bustamante JM, Mendoza A, López-Muñoz S, García-Fernández E, Gómez-Prieto P, Jiménez-Yuste V. A New Face of Fibrin-Associated Large B-Cell Lymphoma: Epstein–Barr Virus-Positive Breast Implant-Associated Diffuse Large B-Cell Lymphoma. Journal of Clinical Medicine. 2023; 12(11):3614. https://doi.org/10.3390/jcm12113614
Chicago/Turabian StyleMartin de Bustamante, Jose Manuel, Ana Mendoza, Samuel López-Muñoz, Eugenia García-Fernández, Pilar Gómez-Prieto, and Victor Jiménez-Yuste. 2023. "A New Face of Fibrin-Associated Large B-Cell Lymphoma: Epstein–Barr Virus-Positive Breast Implant-Associated Diffuse Large B-Cell Lymphoma" Journal of Clinical Medicine 12, no. 11: 3614. https://doi.org/10.3390/jcm12113614
APA StyleMartin de Bustamante, J. M., Mendoza, A., López-Muñoz, S., García-Fernández, E., Gómez-Prieto, P., & Jiménez-Yuste, V. (2023). A New Face of Fibrin-Associated Large B-Cell Lymphoma: Epstein–Barr Virus-Positive Breast Implant-Associated Diffuse Large B-Cell Lymphoma. Journal of Clinical Medicine, 12(11), 3614. https://doi.org/10.3390/jcm12113614

