Phosphaturic Mesenchymal Tumors: Rethinking the Clinical Diagnosis and Surgical Treatment
Abstract
1. Introduction
2. Materials and Methods
2.1. Patients
2.2. Diagnosis
2.3. Pre-Operative Evaluation
2.4. Postoperative Management
2.5. Statistical Analysis
3. Results
3.1. Clinical Information
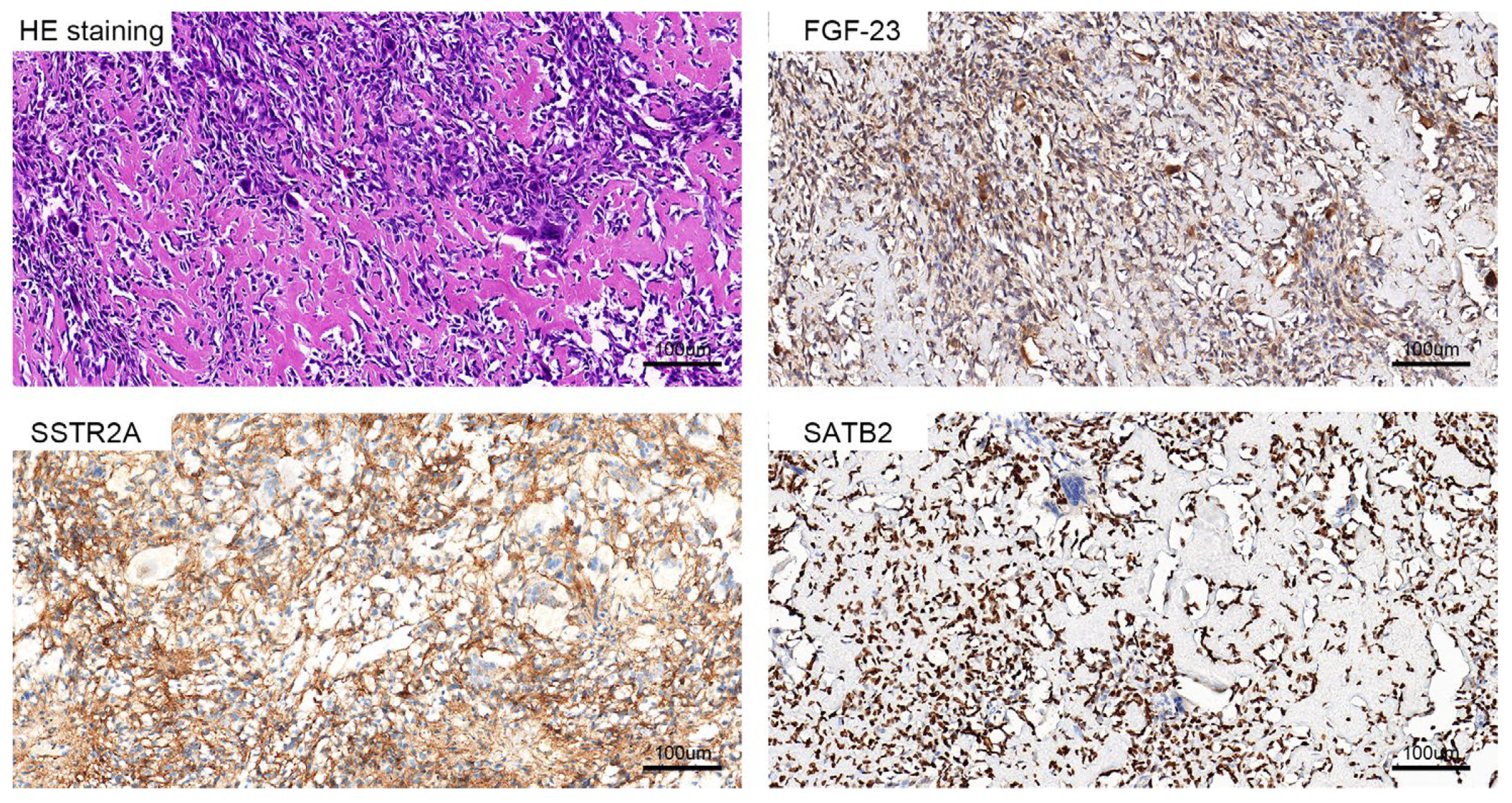
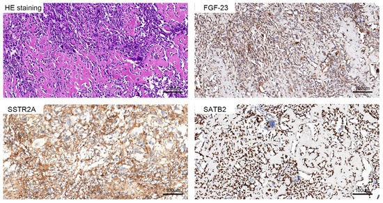
3.2. Imaging, Biochemical, and Pathological Characteristics
3.3. Oncology Prognosis
4. Discussion
Supplementary Materials
Author Contributions
Funding
Institutional Review Board Statement
Informed Consent Statement
Acknowledgments
Conflicts of Interest
Abbreviations
References
- Hartley, I.R.; Roszko, K.L.; Li, X.; Pozo, K.; Streit, J.; Del, R.J.; Magone, M.T.; Smith, M.R.; Vold, R.; Dambkowski, C.L.; et al. Infigratinib reduces fibroblast growth factor 23 (fgf23) and increases blood phosphate in tumor-induced osteomalacia. JBMR Plus 2022, 6, e10661. [Google Scholar] [CrossRef]
- Hidaka, N.; Koga, M.; Kimura, S.; Hoshino, Y.; Kato, H.; Kinoshita, Y.; Makita, N.; Nangaku, M.; Horiguchi, K.; Furukawa, Y.; et al. Clinical challenges in diagnosis, tumor localization and treatment of tumor-induced osteomalacia: Outcome of a retrospective surveillance. J. Bone Miner. Res. 2022, 37, 1479–1488. [Google Scholar] [CrossRef]
- Rendina, D.; Abate, V.; Cacace, G.; D’Elia, L.; De Filippo, G.; Del, V.S.; Galletti, F.; Cuocolo, A.; Strazzullo, P. Tumor-induced osteomalacia: A systematic review and individual patient’s data analysis. J. Clin. Endocrinol. Metab. 2022, 107, e3428–e3436. [Google Scholar] [CrossRef]
- Cianferotti, L.; Delli, P.C.; Bertoldo, F.; Caffarelli, C.; Crotti, C.; Gatti, D.; Giannini, S.; Gonnelli, S.; Mazzantini, M.; Ombretta, V.; et al. Persistence and recurrence in tumor-induced osteomalacia: A systematic review of the literature and results from a national survey/case series. Endocrine 2022, 76, 709–721. [Google Scholar] [CrossRef] [PubMed]
- Benson, J.C.; Trejo-Lopez, J.A.; Nassiri, A.M.; Eschbacher, K.; Link, M.J.; Driscoll, C.L.; Tiegs, R.D.; Sfeir, J.; Delone, D.R. Phosphaturic mesenchymal tumor. Am. J. Neuroradiol. 2022, 43, 817–822. [Google Scholar] [CrossRef]
- Kobayashi, H.; Makise, N.; Ito, N.; Koga, M.; Zhang, L.; Ishibashi, Y.; Ikegami, M.; Shinoda, Y.; Akiyama, T.; Ushiku, T.; et al. Surgical margin for phosphaturic mesenchymal tumors in soft tissues: An analysis of the radiological histopathological correlation. J. Orthop. Sci. 2021, 26, 870–877. [Google Scholar] [CrossRef] [PubMed]
- Liu, S.Z.; Zhou, X.; Song, A.; Huo, Z.; Wang, Y.P.; Liu, Y. Tumor-induced osteomalacia caused by a phosphaturic mesenchymal tumor of the femur. Chin. Med. J. 2019, 132, 2380–2381. [Google Scholar] [CrossRef]
- Folpe, A.L. Phosphaturic mesenchymal tumors: A review and update. Semin. Diagn. Pathol. 2019, 36, 260–268. [Google Scholar] [CrossRef]
- Ghorbani-Aghbolaghi, A.; Darrow, M.A.; Wang, T. Phosphaturic mesenchymal tumor (pmt): Exceptionally rare disease, yet crucial not to miss. Autops. Case Rep. 2017, 7, 32–37. [Google Scholar] [CrossRef]
- Ledford, C.K.; Zelenski, N.A.; Cardona, D.M.; Brigman, B.E.; Eward, W.C. The phosphaturic mesenchymal tumor: Why is definitive diagnosis and curative surgery often delayed? Clin. Orthop. Rel. Res. 2013, 471, 3618–3625. [Google Scholar] [CrossRef]
- Rupp, T.; Butscheidt, S.; Vettorazzi, E.; Oheim, R.; Barvencik, F.; Amling, M.; Rolvien, T. High fgf23 levels are associated with impaired trabecular bone microarchitecture in patients with osteoporosis. Osteoporos. Int. 2019, 30, 1655–1662. [Google Scholar] [CrossRef] [PubMed]
- Perwad, F.; Zhang, M.Y.; Tenenhouse, H.S.; Portale, A.A. Fibroblast growth factor 23 impairs phosphorus and vitamin d metabolism in vivo and suppresses 25-hydroxyvitamin d-1alpha-hydroxylase expression in vitro. Am. J. Physiol.-Ren. Physiol. 2007, 293, F1577–F1583. [Google Scholar] [CrossRef]
- Boland, J.M.; Tebben, P.J.; Folpe, A.L. Phosphaturic mesenchymal tumors: What an endocrinologist should know. J. Endocrinol. Investig. 2018, 41, 1173–1184. [Google Scholar] [CrossRef] [PubMed]
- Honda, R.; Kawabata, Y.; Ito, S.; Kikuchi, F. Phosphaturic mesenchymal tumor, mixed connective tissue type, non-phosphaturic variant: Report of a case and review of 32 cases from the japanese published work. J. Dermatol. 2014, 41, 845–849. [Google Scholar] [CrossRef] [PubMed]
- Chatterjee, D.; Bardia, A.; Pal, R.; Saikia, U.N.; Bhadada, S.K.; Radotra, B.D. Clinical, morphological and immunohistochemical analysis of 13 cases of phosphaturic mesenchymal tumor—A holistic diagnostic approach. Ann. Diagn. Pathol. 2021, 54, 151783. [Google Scholar] [CrossRef] [PubMed]
- Hussein, M.; Cafarelli, F.P.; Paparella, M.T.; Rennie, W.J.; Guglielmi, G. Phosphaturic mesenchymal tumors: Radiological aspects and suggested imaging pathway. Radiol. Med. 2021, 126, 1609–1618. [Google Scholar] [CrossRef] [PubMed]
- Agaimy, A.; Michal, M.; Chiosea, S.; Petersson, F.; Hadravsky, L.; Kristiansen, G.; Horch, R.E.; Schmolders, J.; Hartmann, A.; Haller, F.; et al. Phosphaturic mesenchymal tumors: Clinicopathologic, immunohistochemical and molecular analysis of 22 cases expanding their morphologic and immunophenotypic spectrum. Am. J. Surg. Pathol. 2017, 41, 1371–1380. [Google Scholar] [CrossRef]
- Lee, J.C.; Su, S.Y.; Changou, C.A.; Yang, R.S.; Tsai, K.S.; Collins, M.T.; Orwoll, E.S.; Lin, C.Y.; Chen, S.H.; Shih, S.R.; et al. Characterization of fn1-fgfr1 and novel fn1-fgf1 fusion genes in a large series of phosphaturic mesenchymal tumors. Mod. Pathol. 2016, 29, 1335–1346. [Google Scholar] [CrossRef]
- Correia, J.; Machado, M.; Goncalves, R.; Jonge, F.; Micaelo, M.; Pedrosa, C.; Portela, J. Delayed diagnosis of occult phosphaturic mesenchymal tumor in the foot. Radiol. Case Rep. 2021, 16, 1355–1362. [Google Scholar] [CrossRef]
- Qin, H.; Zeng, H.; Li, H.; Yuan, S.; Yang, J. Malignant phosphaturic mesenchymal tumor-ossifying fibroma-like subtype: A case report and literature review. BMC Musculoskelet. Disord. 2021, 22, 677. [Google Scholar] [CrossRef]
- Clarnette, J.; Jagiello, J.; Farshid, G.; Smith, R. Phosphaturic mesenchymal tumour: An interesting diagnostic and surgical case of tumour-induced osteomalacia. ANZ J. Surg. 2020, 90, 1812–1814. [Google Scholar] [CrossRef] [PubMed]
- Liu, S.; Zhou, X.; Song, A.; Huo, Z.; Wang, Y.; Xia, W.; Liu, Y. Successful treatment of tumor-induced osteomalacia causing by phosphaturic mesenchymal tumor of the foot. Medicine 2019, 98, e16296. [Google Scholar] [CrossRef] [PubMed]
- Enneking, W.F.; Dunham, W.; Gebhardt, M.C.; Malawar, M.; Pritchard, D.J. A system for the functional evaluation of reconstructive procedures after surgical treatment of tumors of the musculoskeletal system. Clin. Orthop. Rel. Res. 1993, 286, 241–246. [Google Scholar] [CrossRef]
- Mizuno, M.; Fukunaga, A.; Washio, K.; Imamura, S.; Oda, Y.; Nishigori, C. A visual analogue scale for itch and pain in 23 cases of cholinergic urticaria. J. Eur. Acad. Dermatol. Venereol. 2020, 34, e493–e495. [Google Scholar] [CrossRef] [PubMed]
- Tebben, P.J. Hypophosphatemia: A practical guide to evaluation and management. Endocr. Pract. 2022, 28, 1091–1099. [Google Scholar] [CrossRef] [PubMed]
- Gottesman, G.S. Diagnosing x-linked hypophosphatemia in children: The missing element. Clin. Pediatr. 2022, 62, 81. [Google Scholar] [CrossRef] [PubMed]
- Alhamoudi, K.M.; Alghamdi, B.; Alswailem, M.; Nasir, A.; Aljomaiah, A.; Al-Hindi, H.; Alzahrani, A.S. A unique mechanism of a novel synonymous phex variant causing x-linked hypophosphatemia. J. Clin. Endocrinol. Metab. 2022, 107, 2883–2891. [Google Scholar] [CrossRef] [PubMed]
- Weidner, N.; Santa, C.D. Phosphaturic mesenchymal tumors. A polymorphous group causing osteomalacia or rickets. Cancer 1987, 59, 1442–1454. [Google Scholar] [CrossRef]
- Qiu, S.; Cao, L.L.; Qiu, Y.; Yan, P.; Li, Z.X.; Du, J.; Sun, L.M.; Zhang, Q.F. Malignant phosphaturic mesenchymal tumor with pulmonary metastasis: A case report. Medicine 2017, 96, e6750. [Google Scholar] [CrossRef]
- Sun, L.; Dehner, C.; Kenney, J.; Mcnulty, S.M.; Zhu, X.; Pfeifer, J.D.; Maluf, H.M.; Chrisinger, J. Clinicopathologic and molecular features of six cases of phosphaturic mesenchymal tumor. Virchows Arch. 2021, 478, 757–765. [Google Scholar] [CrossRef]
- Araujo, C.; Seguro, L.; Duarte, P.S.; Buchpiguel, C.A.; Pereira, R. Intramastoid phosphaturic mesenchymal tumor causing hypophosphatemic osteomalacia detected on (68)ga-dotatate pet/ct but not on (99m)tc-sestamibi and (18)f-fdg scans. Nucl. Med. Molec. Imag. 2019, 53, 436–441. [Google Scholar] [CrossRef] [PubMed]
- Jing, H.; Li, F.; Zhuang, H.; Wang, Z.; Tian, J.; Xing, X.; Jin, J.; Zhong, D.; Zhang, J. Effective detection of the tumors causing osteomalacia using [tc-99m]-hynic-octreotide (99mtc-hynic-toc) whole body scan. Eur. J. Radiol. 2013, 82, 2028–2034. [Google Scholar] [CrossRef] [PubMed]
- Broski, S.M.; Folpe, A.L.; Wenger, D.E. Imaging features of phosphaturic mesenchymal tumors. Skelet. Radiol. 2019, 48, 119–127. [Google Scholar] [CrossRef] [PubMed]
- Kane, S.V.; Kakkar, A.; Oza, N.; Sridhar, E.; Pai, P.S. Phosphaturic mesenchymal tumor of the nasal cavity and paranasal sinuses: A clinical curiosity presenting a diagnostic challenge. Auris Nasus Larynx 2018, 45, 377–383. [Google Scholar] [CrossRef]
- Ha, S.; Park, S.; Kim, H.; Go, H.; Lee, S.H.; Choi, J.Y.; Hong, J.Y.; Ryu, J.S. Successful localization using (68)ga-dotatoc pet/ct of a phosphaturic mesenchymal tumor causing osteomalacia in a patient with concurrent follicular lymphoma. Nucl. Med. Molec. Imag. 2018, 52, 462–467. [Google Scholar] [CrossRef]
- Ding, J.; Wang, L.; Zhang, S.; Li, F.; Huo, L. Recurrent/residual intracranial phosphaturic mesenchymal tumor revealed on 68ga-dotatate pet/ct. Clin. Nucl. Med. 2018, 43, 674–675. [Google Scholar] [CrossRef]
- Dezfulian, M.; Wohlgenannt, O. Revision hip arthroplasty following recurrence of a phosphaturic mesenchymal tumor. J. Surg. Case Rep. 2013, 2013, rjt059. [Google Scholar] [CrossRef][Green Version]






| General Information | Mean | SD | |
|---|---|---|---|
| Age | 41.7 | 14.9 | |
| Duration of disease (month) | 21.2 | 8.8 | |
| Tumor size (cm) | 3.8 | 1.5 | |
| Duration of Follow-up (month) | 46.2 | 14.1 | |
| General Information | Number | Percentage | |
| Gender | M | 5 | 41.7% |
| F | 7 | 58.3% | |
| Location | Femur | 5 | 41.7% |
| Tibia | 1 | 8.3% | |
| Humerus | 1 | 8.3% | |
| Scapula | 1 | 8.3% | |
| Ilium | 2 | 16.6% | |
| Soft tissue | 2 | 16.6% | |
| Treatment before diagnosis | Surgery | 5 | 41.7% |
| Medication | 7 | 58.3% | |
| Pathological fracture | Yes | 9 | 75% |
| No | 3 | 25% | |
| Therapeutic method | MAAEC | 8 | 66.7% |
| RR | 4 | 33.3% | |
| Comparative Analysis | Stage | Mean ± SD | p Value |
|---|---|---|---|
| MSTS score | Preoperative | 15.3 ± 2.8 | <0.001 |
| Postoperative | 29.0 ± 0.9 | ||
| VAS score | Preoperative | 5.3 ± 1.0 | <0.001 |
| Postoperative | 0.4 ± 0.5 | ||
| Phosphate | Preoperative | 0.4 ± 0.1 | <0.001 |
| 14 days of postop | 1.3 ± 0.1 | ||
| AKP | Preoperative | 284.7 ± 124.6 | <0.001 |
| 14 days of postop | 93.8 ± 21.9 | ||
| PTH | Preoperative | 103.0 ± 129.0 | 0.25 |
| Postoperative | 59.3 ± 8.9 | ||
| Calcium | Preoperative | 2.2 ± 0.1 | 0.32 |
| Postoperative | 2.2 ± 0.1 | ||
| TPINP | Preoperative | 101.4 ± 52.0 | <0.05 |
| Postoperative | 66.2 ± 18.8 |
Disclaimer/Publisher’s Note: The statements, opinions and data contained in all publications are solely those of the individual author(s) and contributor(s) and not of MDPI and/or the editor(s). MDPI and/or the editor(s) disclaim responsibility for any injury to people or property resulting from any ideas, methods, instructions or products referred to in the content. |
© 2022 by the authors. Licensee MDPI, Basel, Switzerland. This article is an open access article distributed under the terms and conditions of the Creative Commons Attribution (CC BY) license (https://creativecommons.org/licenses/by/4.0/).
Share and Cite
Liu, Y.; He, H.; Zhang, C.; Zeng, H.; Tong, X.; Liu, Q. Phosphaturic Mesenchymal Tumors: Rethinking the Clinical Diagnosis and Surgical Treatment. J. Clin. Med. 2023, 12, 252. https://doi.org/10.3390/jcm12010252
Liu Y, He H, Zhang C, Zeng H, Tong X, Liu Q. Phosphaturic Mesenchymal Tumors: Rethinking the Clinical Diagnosis and Surgical Treatment. Journal of Clinical Medicine. 2023; 12(1):252. https://doi.org/10.3390/jcm12010252
Chicago/Turabian StyleLiu, Yupeng, Hongbo He, Can Zhang, Hao Zeng, Xiaopeng Tong, and Qing Liu. 2023. "Phosphaturic Mesenchymal Tumors: Rethinking the Clinical Diagnosis and Surgical Treatment" Journal of Clinical Medicine 12, no. 1: 252. https://doi.org/10.3390/jcm12010252
APA StyleLiu, Y., He, H., Zhang, C., Zeng, H., Tong, X., & Liu, Q. (2023). Phosphaturic Mesenchymal Tumors: Rethinking the Clinical Diagnosis and Surgical Treatment. Journal of Clinical Medicine, 12(1), 252. https://doi.org/10.3390/jcm12010252

