Splenic Metastatic Choriocarcinoma with Nontraumatic Splenic Rupture: A Case Report and Literature Review
Abstract
1. Introduction
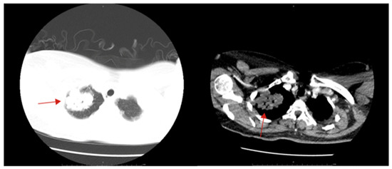
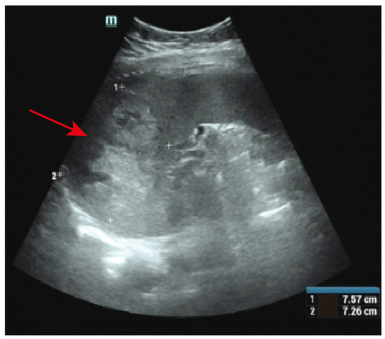
2. Case Description
3. Discussion
4. Conclusions
Author Contributions
Funding
Institutional Review Board Statement
Informed Consent Statement
Data Availability Statement
Acknowledgments
Conflicts of Interest
References
- Frost, A.S.; Sherman, J.H.; Rezaei, K.; Aron, A.; Lopez-Acevedo, M. Choriocarcinoma with brain, lung and vaginal metastases successfully treated without brain radiation or intrathecal chemotherapy: A case report. Gynecol. Oncol. Rep. 2017, 20, 97–99. [Google Scholar] [CrossRef] [PubMed]
- Seckl, M.J.; Sebire, N.J.; Berkowitz, R.S. Gestational trophoblastic disease. Lancet 2010, 376, 717–729. [Google Scholar] [CrossRef] [PubMed]
- Soper, J.T. Gestational Trophoblastic Disease: Current Evaluation and Management. Obstet. Gynecol. 2021, 137, 355–370. [Google Scholar] [CrossRef] [PubMed]
- Ngan, H.Y.; Bender, H.; Benedet, J.L.; Jones, H.; Montruccoli, G.C.; Pecorelli, S.; FIGO Committee on Gynecologic Oncology. Gestational trophoblastic neoplasia, FIGO 2000 staging and classification. Int. J. Gynaecol. Obstet. 2003, 83 (Suppl. 1), 175–177. [Google Scholar] [CrossRef] [PubMed]
- Zhang, J.; Bi, X.; Xin, Q.; Zhang, A. Ultra-high-risk choriocarcinoma with atraumatic splenic rupture: A rare case report. J. Int. Med. Res. 2021, 49, 3000605211033222. [Google Scholar] [CrossRef]
- Ngan, H.Y.S.; Seckl, M.J.; Berkowitz, R.S.; Xiang, Y.; Golfier, F.; Sekharan, P.K.; Lurain, J.R.; Massuger, L. Diagnosis and management of gestational trophoblastic disease: 2021 update. Int. J. Gynaecol. Obstet. 2021, 155 (Suppl. 1), 86–93. [Google Scholar] [CrossRef] [PubMed]
- Lurain, J.R. Gestational trophoblastic disease I: Epidemiology, pathology, clinical presentation and diagnosis of gestational trophoblastic disease, and management of hydatidiform mole. Am. J. Obstet. Gynecol. 2010, 203, 531–539. [Google Scholar] [CrossRef]
- Mangla, M.; Singla, D.; Kaur, H.; Sharma, S. Unusual clinical presentations of choriocarcinoma: A systematic review of case reports. Taiwan J. Obstet. Gynecol. 2017, 56, 1–8. [Google Scholar] [CrossRef]
- Lam, K.Y.; Tang, V. Metastatic tumors to the spleen: A 25-year clinicopathologic study. Arch. Pathol. Lab. Med. 2000, 124, 526–530. [Google Scholar] [CrossRef]
- Kristoffersson, A.; Emdin, S.; Jarhult, J. Acute intestinal obstruction and splenic hemorrhage due to metastatic choriocarcinoma. A case report. Acta Chir. Scand. 1985, 151, 381–384. [Google Scholar]
- Irei, S.; Miyazato, H.; Chinen, Y.; Hayasaka, K.; Murabayashi, R.; Takaesu, T.; Kinjou, I.; Tomori, H.; Yamashiro, K. A Case of Choriocarcinoma with Spontaneous Bleeding for Splenic Rupture. Jpn. J. Gastroenterol. Surg. 2009, 42, 1637–1641. [Google Scholar] [CrossRef][Green Version]
- Challis, D.E.; Rew, K.J.; Steigrad, S.J. Choriocarcinoma complicated by splenic rupture: An unusual presentation. J. Obstet. Gynaecol. Res. 1996, 22, 395–400. [Google Scholar] [CrossRef] [PubMed]
- Ghinescu, C.; Sallami, Z.; Jackson, D. Choriocarcinoma of the spleen--a rare cause of atraumatic rupture. Ann. R. Coll. Surg. Engl. 2008, 90, W12–W14. [Google Scholar] [CrossRef]
- Luu, D.T.; Duc, N.M.; My, T.T.; Giang, T.V.; Bang, L.V.; Lenh, B.V. An Extremely Rare Case of Splenic Rupture Secondary to Metastatic Gestational Choriocarcinoma. World J. Oncol. 2021, 12, 39–43. [Google Scholar] [CrossRef] [PubMed]
- Yuruyen, M.; Yildiz, O.; Papila, C.; Tuzuner, N. Gestational choriocarcinoma diagnosed with spontaneous splenic rupture after pregnancy induced by in vitro fertilization: A case report. Cases J. 2009, 2, 7518. [Google Scholar] [CrossRef] [PubMed][Green Version]
- Mukuku, O.; Ngwej, H.I.; Nsambi, J.B.; Munan, R.; Aloni, M.N.; Xavier, K. Gestational Choriocarcinoma of the Uterus with Concurrent Metastasis and an Atraumatic Rupture of the Spleen: A Rare Association and First Description in Africa. Am. J. Obstetr. Gynecol. Res. 2019, 1, 1002. [Google Scholar]
- Aloysius, T.M.N.; Shelat, V.G. Laparoscopic splenectomy for splenic rupture secondary to metastatic choriocarcinoma. Ann. Hepatobiliary Pancreat. Surg. 2018, 22, 79–82. [Google Scholar] [CrossRef][Green Version]
- Hou, H.C.; Chen, C.J.; Chang, T.C.; Hsieh, T.T. Metastatic choriocarcinoma with spontaneous splenic rupture following term pregnancy: A case report. Changgeng Yi Xue Za Zhi 1996, 19, 166–170. [Google Scholar]
- Ramarajapalli, M.L.; Rao, N.A.R.; Murudaraju, P.; Kilara, N.G. Ovarian Choriocarcinoma with Concurrent Metastases to the Spleen and Adrenal Glands: First Case Report. J. Gynecol. Surg. 2012, 28, 153–155. [Google Scholar] [CrossRef]
- Nethra, S.; Hawe, J.; Elder, J. Splenic rupture: A rare presentation of metastatic choriocarcinoma. Gynecol. Surg. 2010, 8, 435–437. [Google Scholar] [CrossRef]
- Galazi, M.; Tait, P.; Seckl, M.; Savage, P. Successful embolisation of a life threatening bleeding splenic metastasis in a patient with gestational choriocarcinoma. Clin. Obstet. Gynecol. Reprod. Med. 2015, 1, 16–18. [Google Scholar] [CrossRef][Green Version]
- Shinoda, J.; Sakai, N.; Yano, H.; Hattori, T.; Ohkuma, A.; Sakaguchi, H. Prognostic factors and therapeutic problems of primary intracranial choriocarcinoma/germ-cell tumors with high levels of HCG. J. Neurooncol. 2004, 66, 225–240. [Google Scholar] [CrossRef] [PubMed]
- Lurain, J.R. Gestational trophoblastic disease II: Classification and management of gestational trophoblastic neoplasia. Am. J. Obstet. Gynecol. 2011, 204, 11–18. [Google Scholar] [CrossRef]
- Yang, J.; Xiang, Y.; Wan, X.; Feng, F.; Ren, T. Analysis of the prognosis and related factors for patients with stage IV gestational trophoblastic neoplasia. Int. J. Gynecol. Cancer 2014, 24, 594–599. [Google Scholar] [CrossRef]
- Eoh, K.J.; Chung, Y.S.; Yim, G.W.; Nam, E.J.; Kim, S.; Kim, S.W.; Kim, Y.T. Role of surgical therapy in the management of gestational trophoblastic neoplasia. Obstet. Gynecol. Sci. 2015, 58, 277–283. [Google Scholar] [CrossRef] [PubMed]
- Ngan, H.Y.; Kohorn, E.I.; Cole, L.A.; Kurman, R.J.; Kim, S.J.; Lurain, J.R.; Seckl, M.J.; Sasaki, S.; Soper, J.T. Trophoblastic disease. Int. J. Gynaecol. Obstet. 2012, 119 (Suppl. 2), S130–S136. [Google Scholar] [CrossRef]




| FIGO Stage | Description |
|---|---|
| I | Gestational trophoblastic tumors strictly confined to the uterine corpus. |
| II | Gestational trophoblastic tumors extending to the adnexa or to the vagina, but limited to the genital structures. |
| III | Gestational trophoblastic tumors extending to the lungs, with or without genital tract involvement. |
| IV | All other metastatic sites. |
| Score | 0 | 1 | 2 | 4 |
|---|---|---|---|---|
| Age (years) | <40 | >40 | - | - |
| Antecedent pregnancy | Mole | Abortion | Term | - |
| Interval from index pregnancy (months) | <4 | 4–<7 | 7–12 | >12 |
| Pretreatment hCG (IU/L) | ≤103 | >103–104 | >104–105 | >105 |
| Largest tumor size (including uterus, cm) | - | 3–<5 | ≥5 | - |
| Site of metastases | Lung | Spleen, kidney | Gastrointestinal tract | Liver, brain |
| Number of metastases identified | - | 1–4 | 5–8 | >8 |
| Previous failed chemotherapy | - | - | Single drug | Two or more drugs |
| Author | Age/Sex | Symptom | Operation | Metastatic Organs | Suspicion | Prognosis | |
|---|---|---|---|---|---|---|---|
| 1 | Zhang et al. [5] | 39 y/F | AP, VB | S, resection of omental, liver, lung metastases | spleen, liver, omentum majus, lung | SMC/EP | Continuous remission |
| 2 | Kristoffersson et al. [10] | 31 y/F | SP | S | spleen, ileum | unknown | Recovered |
| 3 | Satoko et al. [11] | 31 y/F | AP, hypotension | S | spleen, brain, lung | EP | Relieved |
| 4 | Challis et al. [12] | 30 y/F | AP, SP, VB, nausea, shock | S, D&C | spleen, liver | EP | Relieved |
| 5 | Ghinescu et al. [13] | 71 y/M | AP, sweat, nausea | S | spleen, liver, lung | lymphoma | Died |
| 6 | Luu et al. [14] | 23 y/F | AP | S | spleen, brain | unknown | Died |
| 7 | Yuruyen et al. [15] | 29 y/F | AP, nausea, vomit | S | spleen | NHL | No recurrence |
| 8 | Mukuku et al. [16] | 38 y/F | AP | S, D&C | spleen | EP | Died |
| 9 | Aloysius et al. [17] | 41 y/F | AP, vomit, melena | S, D&C | spleen, liver, lung, brain, duodenum, proximal jejunum | EP | Died |
| 10 | Hou et al. [18] | 32 y/F | AP | S | spleen, liver, kidney | unknown | Recovered |
| 11 | Ramarajapalli et al. [19] | 25 y/F | AP, backache | OTR, S, A, D&C | ovary, spleen, adrenal gland | unknown | Complete remission |
| 12 | Nethra et al. [20] | 37 y/F | AP, SP, dizzy | S | spleen, lung, kidney | GTD | No recurrence |
| 13 | Galazi et al. [21] | 28 y/F | AP, shortness of breath, headache | E | spleen, liver, lung, brain | unknown | No recurrence |
Disclaimer/Publisher’s Note: The statements, opinions and data contained in all publications are solely those of the individual author(s) and contributor(s) and not of MDPI and/or the editor(s). MDPI and/or the editor(s) disclaim responsibility for any injury to people or property resulting from any ideas, methods, instructions or products referred to in the content. |
© 2022 by the authors. Licensee MDPI, Basel, Switzerland. This article is an open access article distributed under the terms and conditions of the Creative Commons Attribution (CC BY) license (https://creativecommons.org/licenses/by/4.0/).
Share and Cite
Chu, Y.; Xu, F.; Ren, Z.; Hu, X.; Wang, L.; Yue, J. Splenic Metastatic Choriocarcinoma with Nontraumatic Splenic Rupture: A Case Report and Literature Review. J. Clin. Med. 2023, 12, 157. https://doi.org/10.3390/jcm12010157
Chu Y, Xu F, Ren Z, Hu X, Wang L, Yue J. Splenic Metastatic Choriocarcinoma with Nontraumatic Splenic Rupture: A Case Report and Literature Review. Journal of Clinical Medicine. 2023; 12(1):157. https://doi.org/10.3390/jcm12010157
Chicago/Turabian StyleChu, Yifan, Fulan Xu, Zhengguang Ren, Xinyao Hu, Luyao Wang, and Jing Yue. 2023. "Splenic Metastatic Choriocarcinoma with Nontraumatic Splenic Rupture: A Case Report and Literature Review" Journal of Clinical Medicine 12, no. 1: 157. https://doi.org/10.3390/jcm12010157
APA StyleChu, Y., Xu, F., Ren, Z., Hu, X., Wang, L., & Yue, J. (2023). Splenic Metastatic Choriocarcinoma with Nontraumatic Splenic Rupture: A Case Report and Literature Review. Journal of Clinical Medicine, 12(1), 157. https://doi.org/10.3390/jcm12010157

