A Disseminated Mycobacterium Abscessus Infection in a Patient Affected by Pulmonary Graft versus Host Disease: Case Report with a Revision of Literature
Abstract
:1. Introduction
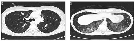
2. Case Report
3. Discussion and Literature Review
4. Conclusions
Author Contributions
Funding
Institutional Review Board Statement
Informed Consent Statement
Data Availability Statement
Conflicts of Interest
References
- Pennington, K.M.; Vu, A.; Challener, D.; Rivera, C.G.; Shweta, F.N.; Zeuli, J.D.; Temesgen, Z. Approach to the diagnosis and treatment of non-tuberculous mycobacterial disease. J. Clin. Tuberc. Other Mycobact. Dis. 2021, 24, 100244. [Google Scholar] [CrossRef] [PubMed]
- Al-Anazi, K.A.; Al-Jasser, A.M.; Al-Anazi, W.K. Infections caused by non-tuberculous mycobacteria in recipients of hematopoietic stem cell transplantation. Front Oncol. 2014, 4, 311. [Google Scholar] [CrossRef] [PubMed] [Green Version]
- Lake, M.A.; Ambrose, L.R.; Lipman, M.C.; Lowe, D.M. “Why me, why now?” Using clinical immunology and epidemiology to explain who gets nontuberculous mycobacterial infection. BMC Med. 2016, 14, 54. [Google Scholar] [CrossRef] [PubMed] [Green Version]
- Johansen, M.D.; Herrmann, J.L.; Kremer, L. Non-tuberculous mycobacteria and the rise of Mycobacterium abscessus. Nat. Rev. Microbiol. 2020, 18, 392–407. [Google Scholar] [CrossRef]
- Beswick, J.; Shin, E.; Michelis, F.V.; Thyagu, S.; Viswabandya, A.; Lipton, J.H.; Messner, H.; Marras, T.K. Incidence and Risk Factors for Nontuberculous Mycobacterial Infection after Allogeneic Hematopoietic Cell Transplantation. Biol. Blood Marrow Transplant. 2018, 24, 366–372. [Google Scholar] [CrossRef] [PubMed] [Green Version]
- Liu, Y.C.; Wu, C.J.; Ko, P.S.; Chien, S.H.; Fan, N.W.; Wang, H.Y.; Gau, J.P.; Liu, C.J.; Hsiao, L.T.; Chiou, T.J.; et al. Mycobacterial infections in adult recipients of allogeneic hematopoietic stem cell transplantation: A cohort study in a high endemic area. J. Microbiol. Immunol. Infect. 2020, 53, 274–282. [Google Scholar] [CrossRef]
- Griffith, D.E.; Brown-Elliott, B.A.; Benwill, J.L.; Wallace, R.J., Jr. Mycobacterium abscessus. “Pleased to meet you, hope you guess my name…”. Ann. Am. Thorac. Soc. 2015, 12, 436–439. [Google Scholar] [CrossRef]
- Brugha, R.; Spencer, H. Mycobacterium abscessus in cystic fibrosis. Science 2021, 372, 465–466. [Google Scholar] [CrossRef]
- Lee, M.R.; Sheng, W.H.; Hung, C.C.; Yu, C.J.; Lee, L.N.; Hsueh, P.R. Mycobacterium abscessus Complex Infections in Humans. Emerg. Infect. Dis. 2015, 21, 1638–1646. [Google Scholar] [CrossRef]
- Quang, N.T.; Jang, J. Current Molecular Therapeutic Agents and Drug Candidates for Mycobacterium abscessus. Front. Pharmacol. 2021, 12, 724725. [Google Scholar] [CrossRef]
- Hildebrandt, G.C.; Fazekas, T.; Lawitschka, A.; Bertz, H.; Greinix, H.; Halter, J.; Pavletic, S.Z.; Holler, E.; Wolff, D. Diagnosis and treatment of pulmonary chronic GVHD: Report from the consensus conference on clinical practice in chronic GVHD. Bone Marrow Transplant. 2011, 46, 1283–1295. [Google Scholar] [CrossRef] [PubMed] [Green Version]
- Oken, M.M.; Creech, R.H.; Tormey, D.C.; Horton, J.; Davis, T.E.; McFadden, E.T.; Carbone, P.P. Toxicity and response criteria of the Eastern Cooperative Oncology Group. Am. J. Clin. Oncol. 1982, 5, 649–655. [Google Scholar] [CrossRef] [PubMed]
- Hirama, T.; Brode, S.K.; Beswick, J.; Law, A.D.; Lam, W.; Michelis, F.V.; Thyagu, S.; Viswabandya, A.; Lipton, J.H.; Messner, H.A.; et al. Characteristics, treatment, and outcomes of nontuberculous mycobacterial pulmonary disease after allogeneic haematopoietic stem cell transplant. Eur. Respir. J. 2018, 51, 1702330. [Google Scholar] [CrossRef] [PubMed]
- Miyake, N.; Chong, Y.; Nishida, R.; Takenaka, K.; Kato, K.; Miyamoto, T.; Aono, A.; Takaki, A.; Mitarai, S.; Shimoda, S.; et al. Mycobacterium abscessus and massiliense lung infection during macrolide treatment for bronchiolitis obliterans after allogeneic hematopoietic stem cell transplantation. J. Infect. Chemother. 2018, 24, 78–81. [Google Scholar] [CrossRef]
- Salvator, H.; Berti, E.; Catherinot, E.; Rivaud, E.; Chabrol, A.; Nguyen, S.; Zemoura, L.; Cardot, E.; Tcherakian, C.; Couderc, L.J. Foch Hospital Lung Immune Deficiencies Study Group. Pulmonary alveolar proteinosis and Mycobacterium abscessus lung infection related to ruxolitinib after allogeneic stem cell transplantation. Eur. Respir. J. 2018, 51, 1701960. [Google Scholar] [CrossRef] [Green Version]
- Xie, O.; Khan, S.; Globan, M.; Lea, K.; Bajel, A.; Slavin, M. Mycobacterium abscessus bloodstream infection: Unexpected catheter tunnel infection localized by PET/CT. Transpl. Infect. Dis. 2019, 21, e13147. [Google Scholar] [CrossRef]
- Musharbash, M.; Para, A.; Choi, J. Widespread cutaneous nontuberculous mycobacterial infection in the absence of bacteremia mimicking leukemia cutis. JAAD Case Rep. 2019, 5, 679–681. [Google Scholar] [CrossRef] [Green Version]
- Toyama, T.; Mori, T.; Kato, J.; Sugita, K.; Hasegawa, N.; Nakata, N.; Hoshino, Y.; Okamoto, S. Disseminated Mycobacterium massiliense infection in a patient with myelodysplastic syndrome undergoing allogeneic bone marrow transplantation. Transpl. Infect. Dis. 2020, 22, e13278. [Google Scholar] [CrossRef]
- Nagata, A.; Sekiya, N.; Najima, Y.; Horiuchi, M.; Fukushima, K.; Toya, T.; Igarashi, A.; Kobayashi, T.; Kakihana, K.; Ohashi, K.; et al. Nontuberculous mycobacterial bloodstream infections after allogeneic hematopoietic stem cell transplantation. Int. J. Infect. Dis. 2020, 97, 131–134. [Google Scholar] [CrossRef]
- Martino, R. Other Life-Threatening Infections. In The EBMT Handbook: Hematopoietic Stem Cell Transplantation and Cellular Therapies, 7th ed.; Carreras, E., Dufour, C., Mohty, M., Kröger, N., Eds.; Springer: Cham, Switzerland, 2019; Chapter 39. [Google Scholar]
- Baldwin, S.L.; Larsen, S.E.; Ordway, D.; Cassell, G.; Coler, R.N. The complexities and challenges of preventing and treating nontuberculous mycobacterial diseases. PLoS Negl. Trop. Dis. 2019, 13, e0007083. [Google Scholar] [CrossRef]
- El Helou, G.; Hachem, R.; Viola, G.M.; El Zakhem, A.; Chaftari, A.M.; Jiang, Y.; Tarrand, J.; Raad, I.I. Management of rapidly growing mycobacterial bacteremia in cancer patients. Clin. Infect. Dis. 2013, 56, 843–846. [Google Scholar] [CrossRef] [PubMed] [Green Version]
- Daley, C.L.; Iaccarino, J.M.; Lange, C.; Cambau, E.; Wallace, R.J., Jr.; Andrejak, C.; Böttger, E.C.; Brozek, J.; Griffith, D.E.; Guglielmetti, L.; et al. Treatment of Nontuberculous Mycobacterial Pulmonary Disease: An Official ATS/ERS/ESCMID/IDSA Clinical Practice Guideline. Clin. Infect. Dis. 2020, 71, e1–e36. [Google Scholar] [CrossRef] [PubMed]
- Pasipanodya, J.G.; Ogbonna, D.; Ferro, B.E.; Magombedze, G.; Srivastava, S.; Deshpande, D.; Gumbo, T. Systematic Review and Meta-analyses of the Effect of Chemotherapy on Pulmonary Mycobacterium abscessus Outcomes and Disease Recurrence. Antimicrob. Agents Chemother. 2017, 61, e01206–e01217. [Google Scholar] [CrossRef] [PubMed] [Green Version]
- Sharma, M.K.; La, Y.; Janella, D.; Soualhine, H. A real-time PCR assay for rapid identification of inducible and acquired clarithromycin resistance in Mycobacterium abscessus. BMC Infect. Dis. 2020, 20, 944. [Google Scholar] [CrossRef]


| Ref. | Sex/Age | Subsp. | Sites Involved | Time from alloHSCT (Months) | Immune Suppressive Therapy | GVHD | First-Line Therapy | Response | Infection Outcome/Status |
|---|---|---|---|---|---|---|---|---|---|
| Miyake et al. [14] | 27/M | Abscess. | Lung | 51 | PDN, CNI, IM | cGVHD lung | CAM, AMK, MPM, STFX | Recurrence | Second-line therapy/Alive |
| 47/M | Abscess. | Lung | 13 | PDN, CNI | cGVHD lung, skin | CAM, AMK, MPM, STFX | Complete | Cured/Alive | |
| 48/M | Massil. | Lung | 63 | PDN, CNI, InS | cGVHD lung | CAM, AMK, MPM, STFX | Complete | Cured/Alive | |
| Salvator et al. [15] | 72/F | NA | Lung | 48 | PDN, CNI, ECP, RUX | cGVHD skin | AZM, AMK, IPM | Complete | Cured/Alive |
| Hirama et al. [13] | 36/F | NA | Lung | 11.8 | PDN MMF | cGVHD lung and liver | AZM, MXF, AMK, FOX, LZD | Recurrence | NA/Unrelated death |
| 45/F | NA | Lung | 24 | PDN MMF | cGVHD skin, eye, intestine, mouth | AZM, AMK, IPM | Complete | Cured/Alive | |
| Xie et al. [16] | 59/F | NA | Bloodstream, CVC-tunnel | 1 | NA | no | CAM AMK, FOX, IPM | Recurrence | Second-line therapy/Unrelated death |
| Musharbas et al. [17] | 69/M | Massil. | Bloodstream, lung, skin | NA | NA | no | CAM IPM, AMK, TIG, | Progression | Progression/Related death |
| Toyama et al. [18] | 51/M | Massil. | Bloodstream, lung, soft tissue | 0 | NA | no | ETAM, CAM | Progression | Cured/Alive |
| Nagata et al. [19] | 62/F | NA | Bloodstream, muscle, joints | 19 | PDNS | no | CAM, IPM, AMK, MINO | Recurrence | Second-line therapy/Unrelated death |
| 67/M | NA | Bloodstream, CVC-related | 0 | NA | no | CAM, IPM, AMK | Complete | Cured/Alive | |
| Present | 34/F | Abscess. | Bloodstream, lung, skin, soft tissue | 56 | PDN, SLM, InS | cGVHD lung (Skin and eye) | AZM, CFZ, AMK, LZD, IPM | Progression | Progression/Related death |
Publisher’s Note: MDPI stays neutral with regard to jurisdictional claims in published maps and institutional affiliations. |
© 2022 by the authors. Licensee MDPI, Basel, Switzerland. This article is an open access article distributed under the terms and conditions of the Creative Commons Attribution (CC BY) license (https://creativecommons.org/licenses/by/4.0/).
Share and Cite
Bernardelli, A.; Schena, A.; Savoldi, A.; Colato, C.; Baretta, V.; D’Alessandro, E.; Zamboni, G.; Shoushtari Zadeh Naseri, M.; Favaro, F.; Peracchi, M.; et al. A Disseminated Mycobacterium Abscessus Infection in a Patient Affected by Pulmonary Graft versus Host Disease: Case Report with a Revision of Literature. J. Clin. Med. 2022, 11, 2410. https://doi.org/10.3390/jcm11092410
Bernardelli A, Schena A, Savoldi A, Colato C, Baretta V, D’Alessandro E, Zamboni G, Shoushtari Zadeh Naseri M, Favaro F, Peracchi M, et al. A Disseminated Mycobacterium Abscessus Infection in a Patient Affected by Pulmonary Graft versus Host Disease: Case Report with a Revision of Literature. Journal of Clinical Medicine. 2022; 11(9):2410. https://doi.org/10.3390/jcm11092410
Chicago/Turabian StyleBernardelli, Andrea, Alberto Schena, Alessia Savoldi, Chiara Colato, Valentina Baretta, Emiliano D’Alessandro, Giulia Zamboni, Mehrdad Shoushtari Zadeh Naseri, Flavio Favaro, Marta Peracchi, and et al. 2022. "A Disseminated Mycobacterium Abscessus Infection in a Patient Affected by Pulmonary Graft versus Host Disease: Case Report with a Revision of Literature" Journal of Clinical Medicine 11, no. 9: 2410. https://doi.org/10.3390/jcm11092410
APA StyleBernardelli, A., Schena, A., Savoldi, A., Colato, C., Baretta, V., D’Alessandro, E., Zamboni, G., Shoushtari Zadeh Naseri, M., Favaro, F., Peracchi, M., Schena, D., Andreini, A., Cesaro, S., & Tecchio, C. (2022). A Disseminated Mycobacterium Abscessus Infection in a Patient Affected by Pulmonary Graft versus Host Disease: Case Report with a Revision of Literature. Journal of Clinical Medicine, 11(9), 2410. https://doi.org/10.3390/jcm11092410

