Management of Epstein–Barr Virus Infection and Post-Transplant Lymphoproliferative Disorder in Pediatric Liver Transplantation
Abstract
:1. Introduction
2. The Pathogenesis of Epstein–Barr Virus
3. Post-Transplant Lymphoproliferative Diseases (PTLD)
4. Diagnosis of PTLD
5. Treatment of PTLD
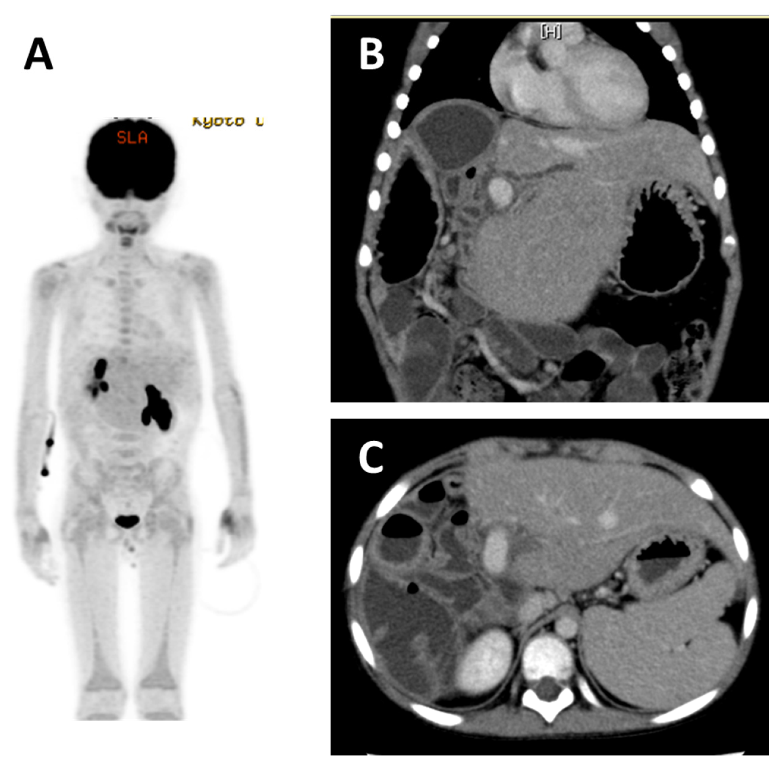
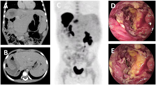
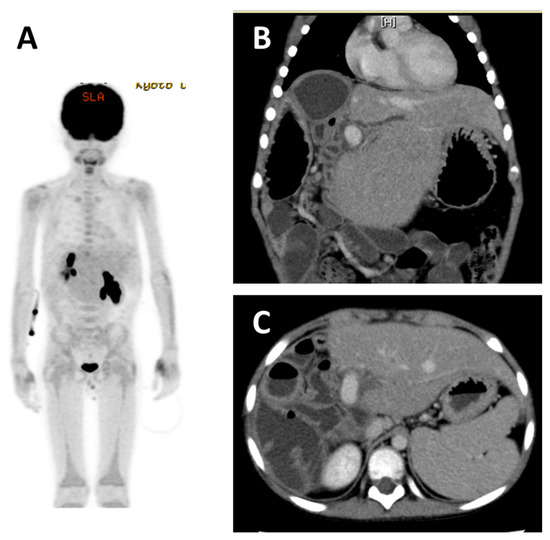
6. Experience of PTLD in Our Institution
7. Conclusions
Author Contributions
Funding
Institutional Review Board Statement
Informed Consent Statement
Data Availability Statement
Conflicts of Interest
Abbreviations
References
- Kasahara, M.; Umeshita, K.; Sakamoto, S.; Fukuda, A.; Furukawa, H.; Sakisaka, S.; Kobayashi, E.; Tanaka, E.; Inomata, Y.; Kawasaki, S.; et al. Living donor liver transplantation for biliary atresia: An analysis of 2085 cases in the registry of the Japanese liver transplantation society. Am. J. Transpl. 2018, 18, 659–668. [Google Scholar] [CrossRef] [PubMed]
- Epstein, M.A.; Barr, Y.M. Cultivation in vitro of human lymphoblasts from Burkitt’s malignant lymphoma. Lancet 1964, 1, 252–253. [Google Scholar] [CrossRef]
- Epstein, M.A.; Achong, B.G.; Barr, Y.M. Virus particles in cultured lymphoblasts from Burkitt’s lymphoma. Lancet 1964, 1, 702–703. [Google Scholar] [CrossRef]
- Cohen, J.I. Epstein-Barr virus infection. N. Engl. J. Med. 2000, 343, 481–492. [Google Scholar] [CrossRef] [PubMed]
- Hislop, A.D.; Taylor, G.S.; Sauce, D.; Rickinson, A.B. Cellular responses to viral infection in humans: Lessons from Epstein-Barr virus. Annu. Rev. Immunol. 2007, 25, 587–617. [Google Scholar] [CrossRef] [PubMed]
- Dharnidharka, V.R.; Webster, A.C.; Martinez, O.M.; Preiksaitis, J.K.; Leblond, V.; Choquet, S. Post-transplant lymphoproliferative disorders. Nat. Rev. Dis. Primers 2016, 28, 15088. [Google Scholar] [CrossRef] [PubMed]
- Preiksatis, J.K. New development in the diagnosis and management of posttransplantation lymphoproliferative disorders in solid organ transplant patients. Clin. Infect. Dis. 2004, 39, 1016–1023. [Google Scholar] [CrossRef] [PubMed]
- Newell, K.A.; Alonso, E.M.; Whitington, P.F.; Bruce, D.S.; Millis, J.M.; Piper, J.B.; Woodle, E.S.; Kelly, S.M.; Koeppen, H.; Hart, J.; et al. Posttransplant lymphoproliferative disease in pediatric liver transplantation. Interplay between primary Epstein-Barr virus infection and immunosuppression. Transplantation 1996, 62, 370–375. [Google Scholar] [CrossRef] [PubMed]
- Lauro, A.; Arpinati, M.; Pinna, A.D. Managing the challenge of PTLD in liver and bowel transplant recipients. Br. J. Haematol. 2015, 169, 157–172. [Google Scholar] [CrossRef] [PubMed] [Green Version]
- Green, M.; Michaels, M.G. Epstein-Barr virus infection and posttransplant lymphoproliferative disorder. Am. J. Transpl. 2013, 13 (Suppl. S3), 41–54. [Google Scholar] [CrossRef] [PubMed]
- WHO. Classification of Tumours of Haematopoietic and Lymphoid Tissues; Swerdlow, S.H., Ed.; IARC Press: Lyon, France, 2017. [Google Scholar]
- Swerdlow, S.H. T-cell and NK-cell posttransplantation lymphoproliferative disorders. Am. J. Clin. Pathol. 2007, 127, 887–895. [Google Scholar] [CrossRef] [PubMed]
- Leblond, V.; Davi, F.; Charlotte, F.; Dorent, R.; Bitker, M.O.; Sutton, I.; Gandjbakhch, L.; Binet, J.L.; Raphael, M. Posttransplant lymphoproliferative disorders not associated with Epstein-Barr virus: A distinct entity? J. Clin. Oncol. 1998, 16, 2052–2059. [Google Scholar] [CrossRef] [PubMed]
- DeStefano, C.B.; Desai, S.H.; Shenoy, A.G.; Catlett, J.P. Management of post-transplant lymphoproliferative disorders. Br. J. Haematol. 2018, 182, 330–343. [Google Scholar] [CrossRef] [PubMed] [Green Version]
- Martinez, O.M. Biomarkers for PTLD diagnosis and therapies. Pediatr. Nephrol. 2020, 35, 1173–1181. [Google Scholar] [CrossRef] [PubMed]
- AlDabbagh, M.A.; Gitman, M.R.; Kumar, D.; Humar, A.; Rotstein, C.; Husain, S. The role of antiviral prophylaxis for the prevention of Epstein-Barr virus-associated posttransplant lymphoproliferative disease in solid organ transplant recipients: A systematic review. Am. J. Transpl. 2017, 17, 770–781. [Google Scholar] [CrossRef] [PubMed]
- van Esser, J.W.; Niesters, H.G.; van der Holt, B.; Meijer, E.; Osterhaus, A.D.M.E.; Gratama, J.W.; Verdonck, L.F.; Löwenberg, B.; Cornelissen, J.J. Prevention of Epstein-Barr virus-lymphoproliferative disease by molecular monitoring and preemptive rituximab in high-risk patients after allogeneic stem cell transplantation. Blood 2002, 99, 4364–4369. [Google Scholar] [CrossRef] [PubMed]
- Baker, A.; Frauca Remacha, E.; Torres Canizales, J.; Bravo-Gallego, L.Y.; Fitzpatrick, E.; Alonso Melgar, A.; Muñoz Bartolo, G.; Garcia Guereta, L.; Ramos Boluda, E.; Mozo, Y.; et al. Current Practices on Diagnosis, Prevention and Treatment of Post-Transplant Lymphoproliferative Disorder in Pediatric Patients after Solid Organ Transplantation: Results of ERN Transplant Child Healthcare Working Group Survey. Children 2021, 29, 661. [Google Scholar] [CrossRef] [PubMed]
- Majewski, M.; Korecka, M.; Joergensen, J.; Fields, L.; Kossev, P.; Schuler, W.; Shaw, L.; Wasik, M.A. Immunosuppressive TOR kinase inhibitor everolimus (RAD) suppresses growth of cells derived from posttransplant lymphoproliferative disorder at allograft-protecting doses. Transplantation 2003, 75, 1710–1717. [Google Scholar] [CrossRef] [PubMed]
- Trappe, R.; Oertel, S.; Leblond, V.; Mollee, P.; Sender, M.; Reinke, P.; Neuhaus, R.; Lehmkuhl, H.; Horst, H.A.; Salles, G.; et al. Sequential treatment with rituximab followed by CHOP chemotherapy in adult B-cell post-transplant lymphoproliferative disorder (PTLD): The prospective international multicentre phase 2 PTLD-1 trial. Lancet Oncol. 2012, 13, 196–206. [Google Scholar] [CrossRef]
- Dierickx, D.; Tousseyn, T.; Gheysens, O. How I treat posttransplant lymphoproliferative disorders. Blood 2015, 126, 2274–2283. [Google Scholar] [CrossRef] [PubMed] [Green Version]






| EBV Genes and Encoded Proteins | Latency | ||||
|---|---|---|---|---|---|
| Type 0 | Type I | Type II | Type III | ||
| RNAs | EBERs | + | + | + | + |
| BARTs | ± | + | + | + | |
| Proteins | EBNA-1 | − | + | + | + |
| EBNA-2 | − | − | − | + | |
| EBNA-3s | − | − | − | + | |
| EBNA-LP | − | − | − | + | |
| LMP-1 | − | − | + | + | |
| LMP-2 | − | − | + | + | |
| I. Non-destructive PTLD |
| Plasmacytic hyperplasia |
| Infectious mononucleosis |
| Florid follicular hyperplasia |
| II. Polymorphic PTLD |
| III. Monomorphic PTLD |
| a B-cell neoplasms |
| Diffuse large B-cell lymphoma (DLBCL) |
| Burkitt’s lymphoma |
| Plasma cell myeloma |
| Others |
| b T/NK cell neoplasms |
| Peripheral T-cell lymphoma not otherwise specified (PTL-NOS) |
| Others |
| IV. Classic Hodgkin lymphoma PTLD |
| Years | Years | |||
|---|---|---|---|---|
| Classification | 1990–1998 Total | Alive | 1999–2019 Total | Alive |
| I. Non-destructive PTLD | 30 | 23 | 10 | 9 |
| II. Polymorphic PTLD | 2 | 1 | ||
| III. Monomorphic PTLD | ||||
| a B-cell neoplasms | ||||
| Diffuse large B-cell lymphoma (DLBCL) | 4 | 0 | 4 | 3 |
| Burkitt’s lymphoma | 1 | 0 | 2 | 1 |
| Plasma cell myeloma | ||||
| Others | 1 | 1 | ||
| b T/NK cell neoplasms | ||||
| Peripheral T-cell lymphoma not otherwise specified (PTL-NOS) | 1 | 0 | ||
| Others | ||||
| IV. Classic Hodgkin lymphoma PTLD |
Publisher’s Note: MDPI stays neutral with regard to jurisdictional claims in published maps and institutional affiliations. |
© 2022 by the authors. Licensee MDPI, Basel, Switzerland. This article is an open access article distributed under the terms and conditions of the Creative Commons Attribution (CC BY) license (https://creativecommons.org/licenses/by/4.0/).
Share and Cite
Okamoto, T.; Okajima, H.; Uebayashi, E.Y.; Ogawa, E.; Yamada, Y.; Umeda, K.; Hiramatsu, H.; Hatano, E. Management of Epstein–Barr Virus Infection and Post-Transplant Lymphoproliferative Disorder in Pediatric Liver Transplantation. J. Clin. Med. 2022, 11, 2166. https://doi.org/10.3390/jcm11082166
Okamoto T, Okajima H, Uebayashi EY, Ogawa E, Yamada Y, Umeda K, Hiramatsu H, Hatano E. Management of Epstein–Barr Virus Infection and Post-Transplant Lymphoproliferative Disorder in Pediatric Liver Transplantation. Journal of Clinical Medicine. 2022; 11(8):2166. https://doi.org/10.3390/jcm11082166
Chicago/Turabian StyleOkamoto, Tatsuya, Hideaki Okajima, Elena Yukie Uebayashi, Eri Ogawa, Yosuke Yamada, Katsutsugu Umeda, Hidefumi Hiramatsu, and Etsurou Hatano. 2022. "Management of Epstein–Barr Virus Infection and Post-Transplant Lymphoproliferative Disorder in Pediatric Liver Transplantation" Journal of Clinical Medicine 11, no. 8: 2166. https://doi.org/10.3390/jcm11082166
APA StyleOkamoto, T., Okajima, H., Uebayashi, E. Y., Ogawa, E., Yamada, Y., Umeda, K., Hiramatsu, H., & Hatano, E. (2022). Management of Epstein–Barr Virus Infection and Post-Transplant Lymphoproliferative Disorder in Pediatric Liver Transplantation. Journal of Clinical Medicine, 11(8), 2166. https://doi.org/10.3390/jcm11082166

