Intra and Inter-Observer Reliability and Repeatability of Metatarsus Adductus Angle in Recreational Football Players: A Concordance Study
Abstract
1. Introduction
2. Materials and Methods
2.1. Study Design
2.2. Sample Size Calculation
2.3. Ethical Aspects
2.4. Subjects
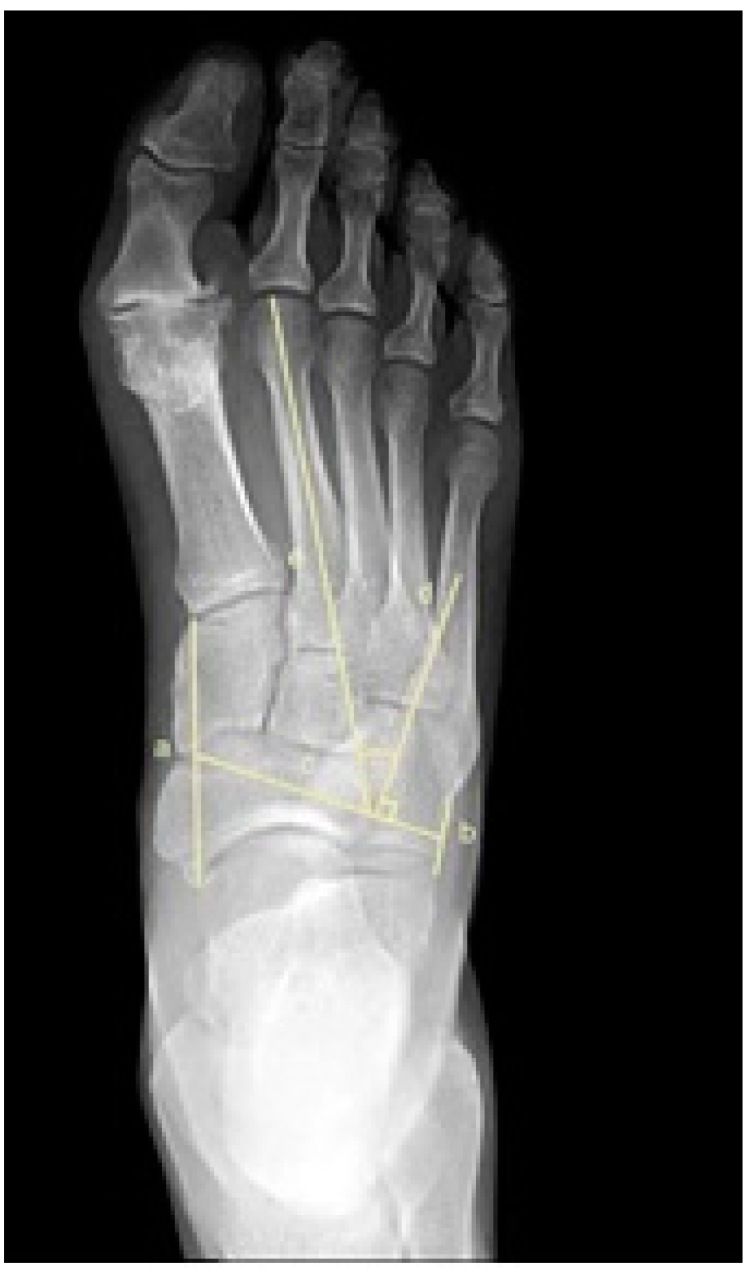
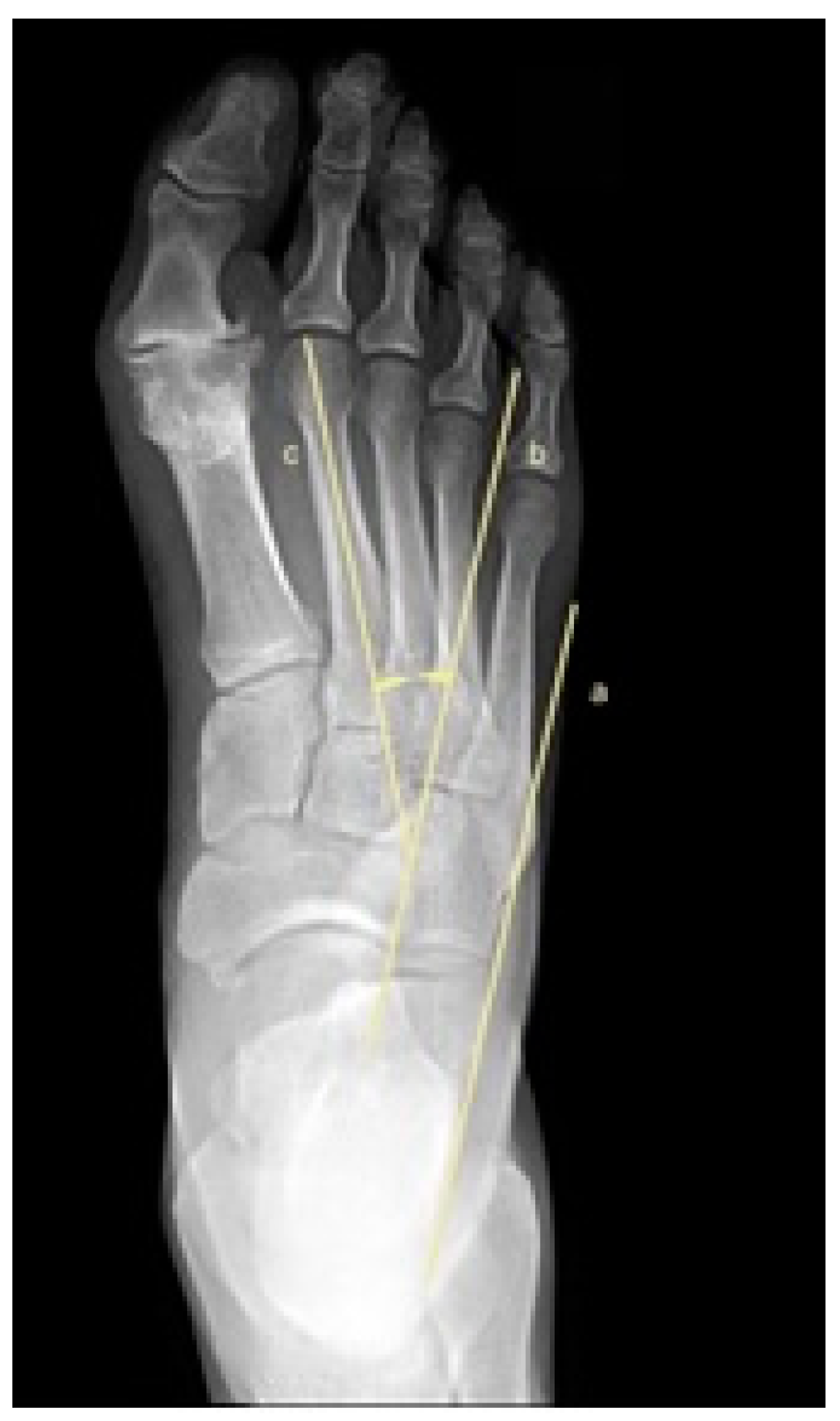
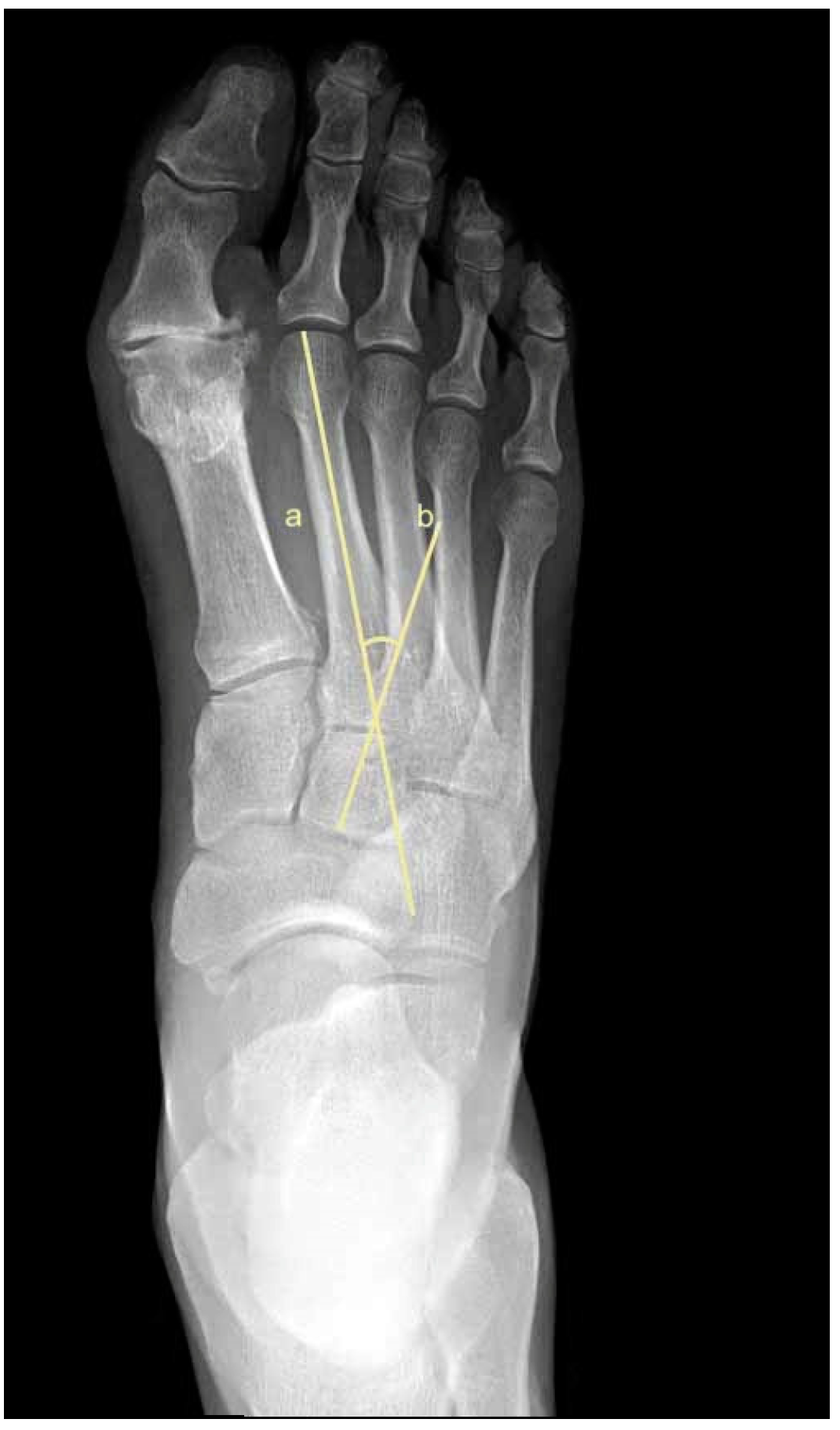
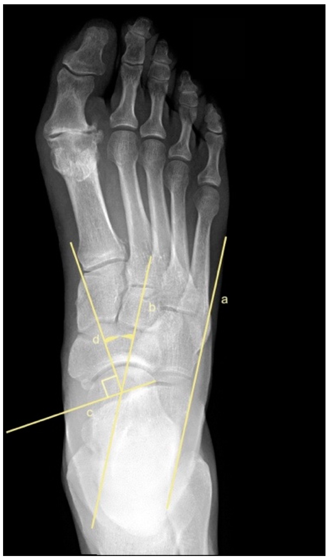
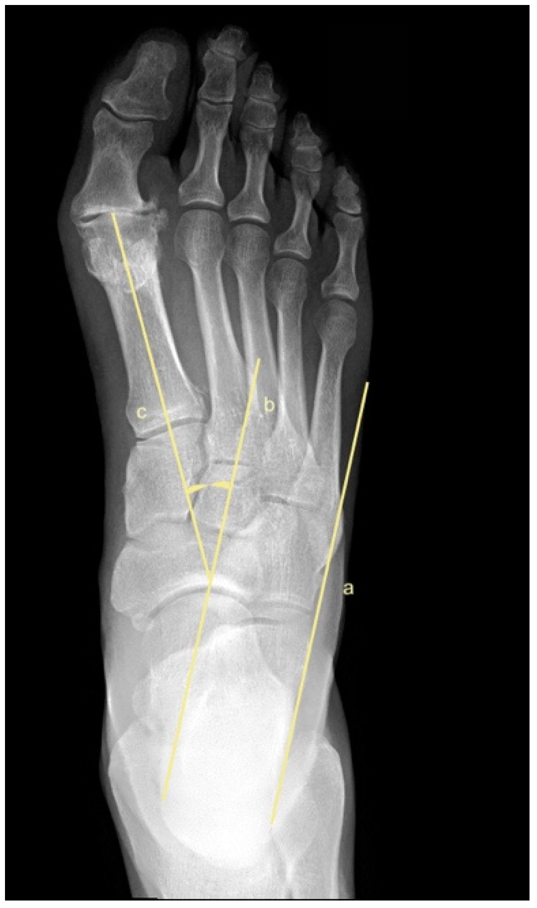
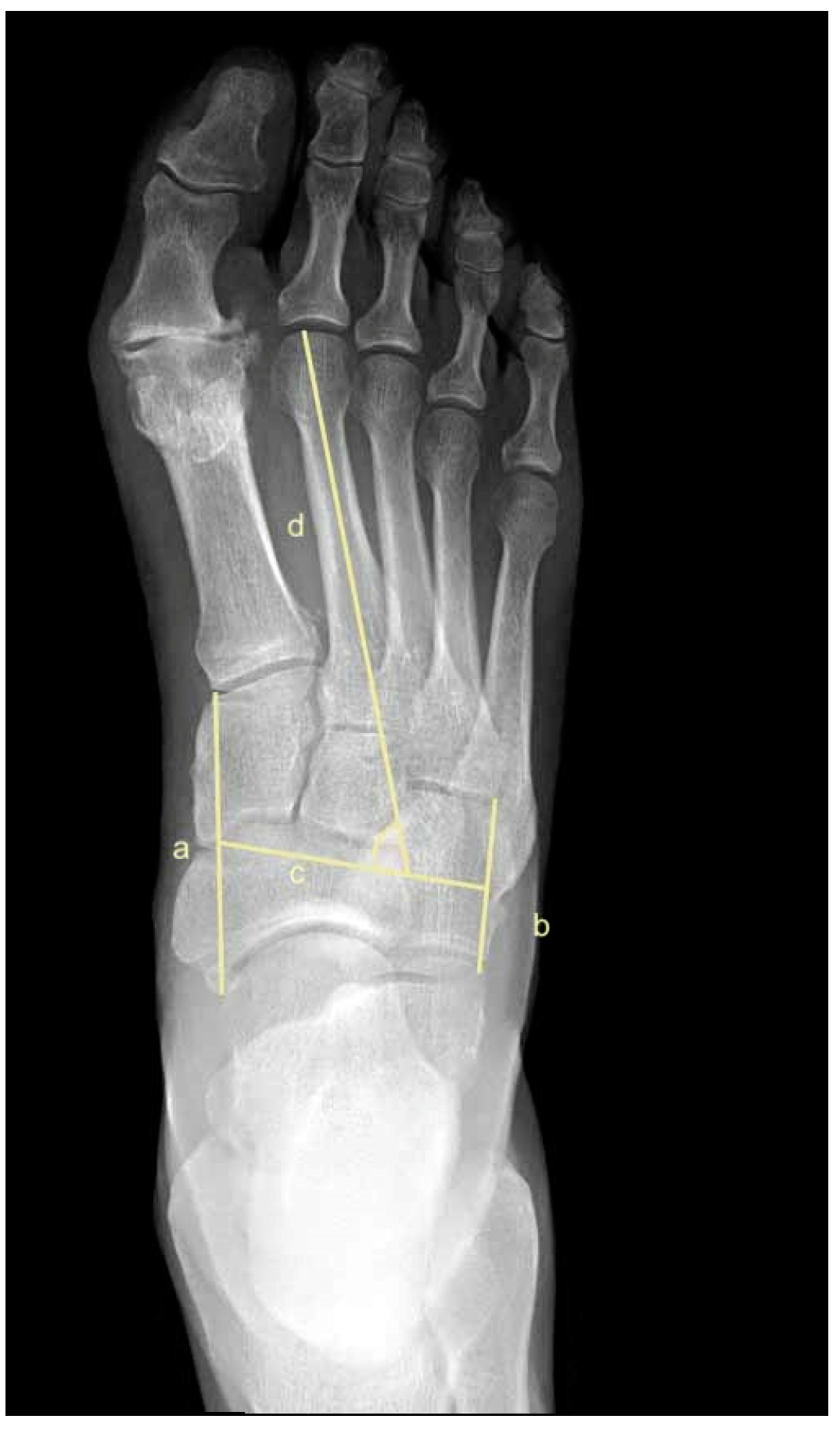
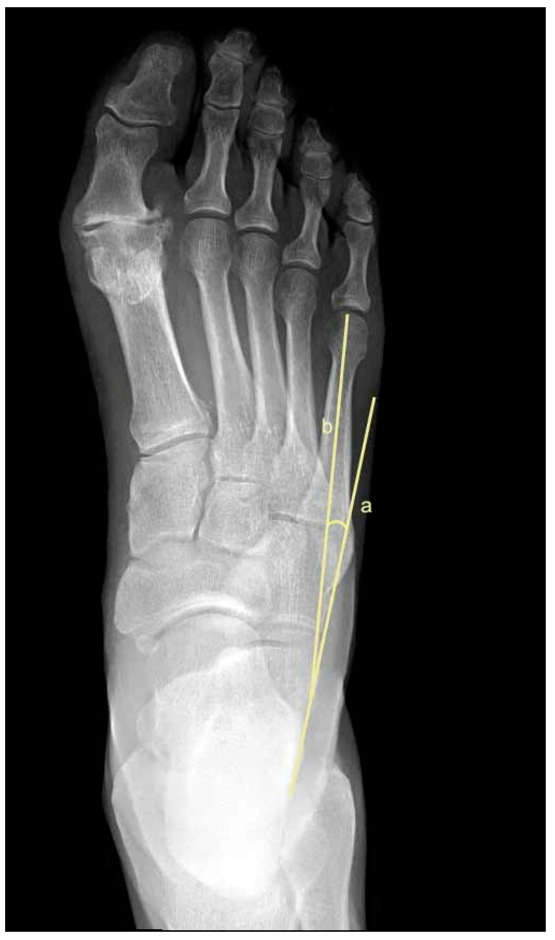
2.5. Metatarsus Adductus Measurements











2.5.1. Reliability Study Protocol
2.5.2. Statistical Analysis
3. Results
4. Discussion
Limitation of This Study
5. Conclusions
Author Contributions
Funding
Institutional Review Board Statement
Informed Consent Statement
Data Availability Statement
Acknowledgments
Conflicts of Interest
References
- Fishco, W.D.; Ellis, M.; Cornwall, M.W. Influence of a Metatarsus Adductus Foot Type on Plantar Pressures during Walking in Adults Using a Pedobarograph. J. Foot Ankle Surg. 2015, 54, 449–453. [Google Scholar] [CrossRef] [PubMed]
- Harley, B.D.; Fritzhand, A.J.; Little, J.M.; Little, E.R.; Nunan, P.J. Abductory midfoot osteotomy procedure for metatarsus adductus. J. Foot Ankle Surg. 1995, 34, 153–162. [Google Scholar] [CrossRef]
- Rothbart, B.A. Metatarsus adductus and its clinical significance. J. Am. Podiatry Assoc. 1972, 62, 187–190. [Google Scholar] [PubMed]
- Kite, J.H. Congenital metatarsus varus. J. Bone Jt. Surg. Am. Vol. 1967, 49, 388–397. [Google Scholar] [CrossRef]
- Root, M.L.; Orien, W.P.; Weed, J.H. Normal and Abnormal Function of the Foot; Clinical Biomechanics Corporation: Philadelphia, PA, USA, 1977. [Google Scholar]
- Theodorou, D.J.; Theodorou, S.J.; Boutin, R.D.; Chung, C.; Fliszar, E.; Kakitsubata, Y.; Resnick, N. Stress fractures of the lateral metatarsal bones in metatarsus adductus foot deformity: A previously unrecognized association. Skelet. Radiol. 1999, 28, 679–684. [Google Scholar] [CrossRef]
- Wan, S.C. Metatarsus Adductus and Skewfoot Deformity. Clin. Podiatr. Med. Surg. 2006, 23, 23–40. [Google Scholar] [CrossRef]
- Wynne-Davies, R. Family studies and the cause of congenital club foot. J. Bone Jt. Surg. Br. Vol. 1964, 46, 445–463. [Google Scholar] [CrossRef]
- Tax, H.R.; Albright, T. Metatarsus adducto varus: A simplified approach to treatment. J. Am. Podiatry Assoc. 1978, 68, 331–338. [Google Scholar]
- La Reaux, R.L.; Lee, B.R. Metatarsus adductus and hallux abducto valgus: Their correlation. J. Foot Surg. 1987, 26, 304–308. [Google Scholar]
- Pontious, J.; Mahan, K.T.; Carter, S. Characteristics of adolescent hallux abducto valgus. A retrospective review. J. Am. Podiatr. Med. Assoc. 1994, 84, 208–218. [Google Scholar]
- Nix, S.; Smith, M.; Vicenzino, B. Prevalence of hallux valgus in the general population: A systematic review and meta-analysis. J. Foot Ankle Res. 2010, 3, 21. [Google Scholar] [CrossRef] [PubMed]
- Cook, D.A.; Breed, A.L.; Cook, T.; DeSmet, A.D.; Muehle, C.M. Observer variability in the radiographic measurement and classification of metatarsus adductus. J. Pediatric Orthop. 1992, 12, 86–89. [Google Scholar] [CrossRef]
- Kilmartin, T.; Barrington, R.; Wallace, W. The X-ray measurement of hallux valgus: An inter- and intra-observer error study. Foot 1992, 3, 7–11. [Google Scholar] [CrossRef]
- Schneider, W.; Csepan, R.; Kasparek, M.; Pinggera, O.; Knahr, K. Intra- and interobserver repeatability of radiographic measurements in hallux surgery: Improvement and validation of a method. Acta Orthop. Scand. 2002, 73, 670–673. [Google Scholar] [CrossRef] [PubMed]
- Schneider, W.; Knahr, K. Metatarsophalangeal and Intermetatarsal Angle: Different Values and Interpretation of Postoperative Results Dependent on the Technique of Measurement. Foot Ankle Int. 1998, 19, 532–536. [Google Scholar] [CrossRef]
- Revelle, W.; Condon, D.M. Reliability from α to ω: A tutorial. Psychol. Assess. 2019, 31, 1395–1411. [Google Scholar] [CrossRef]
- Domínguez, G.; Munuera, P.V. Metatarsus Adductus Angle in Male and Female Feet. J. Am. Podiatr. Med. Assoc. 2008, 98, 364–369. [Google Scholar] [CrossRef]
- Bonett, D.G. Sample size requirements for estimating intraclass correlations with desired precision. Stat. Med. 2002, 21, 1331–1335. [Google Scholar] [CrossRef]
- Holt, G.R. Declaration of Helsinki-the world’s document of conscience and responsibility. South. Med. J. 2014, 107, 407. [Google Scholar] [CrossRef]
- Chung, T.; Jaramillo, D. Normal maturing distal tibia and fibula: Changes with age at MR imaging. Radiology 1995, 194, 227–232. [Google Scholar] [CrossRef]
- Perez Boal, E.; Becerro de Bengoa Vallejo, R.; Fuentes Rodriguez, M.; Lopez Lopez, D.; Losa Iglesias, M.E. Geometry of the Proximal Phalanx of Hallux and First Metatarsal Bone to Predict Hallux Abducto Valgus: A Radiological Study. PLoS ONE 2016, 11, e0166197. [Google Scholar] [CrossRef] [PubMed]
- Christman, R.A.; Flanigan, K.P.; Sorrento, D.L.; Stanich, C.C. Radiographic analysis of metatarsus primus elevatus: A preliminary study. J. Am. Podiatr. Med. Assoc. 2001, 91, 294–299. [Google Scholar] [CrossRef] [PubMed]
- Ellis, V.H. A method of correcting metatarsus primus varus; preliminary report. J. Bone Jt. Surg. Br. Vol. 1951, 33, 415–417. [Google Scholar] [CrossRef] [PubMed][Green Version]
- McCrea, J.D.; Clark, W.D.; Fann, T.; Venson, J.; Jones, C.L. Effects of radiographic technique on the metatarsophalangeal joints. J. Am. Podiatr. Med Assoc. 1977, 67, 837–840. [Google Scholar]
- Saltzman, C.L.; Brandser, E.A.; Berbaum, K.; DeGnore, L.; Holmes, J.R.; Katcherian, D.A.; Teasdall, R.D.; Alexander, I.J. Reliability of Standard Foot Radiographic Measurements. Foot Ankle Int. 1994, 15, 661–665. [Google Scholar] [CrossRef]
- Smith, R.W.; Reynolds, J.C.; Stewart, M.J. Hallux Valgus Assessment: Report of Research Committee of American Orthopaedic Foot and Ankle Society. Foot Ankle 1984, 5, 92–103. [Google Scholar] [CrossRef]
- Aiyer, A.A.; Shariff, R.; Ying, L.; Shub, J.; Myerson, M.S. Prevalence of Metatarsus Adductus in Patients Undergoing Hallux Valgus Surgery. Foot Ankle Int. 2014, 35, 1292–1297. [Google Scholar] [CrossRef]
- Loh, B.; Chen, J.; Yew, A.K.S.; Chong, H.C.; Yeo, N.E.M.; Tao, P.; Koo, K.; Singh, I.R. Prevalence of Metatarsus Adductus in Symptomatic Hallux Valgus and Its Influence on Functional Outcome. Foot Ankle Int. 2015, 36, 1316–1321. [Google Scholar] [CrossRef]
- Sgarlato, T.E. Compendium of Podiatric Biomechanics; California College of Podiatric Medicine: San Francisco, CA, USA, 1971. [Google Scholar]
- Weissman, S.D. (Ed.) Biomechanically acquired foot types. In Radiology of the Foot; Williams and Wilkens: Baltimore, MD, USA, 1989. [Google Scholar]
- Gentili, A.; Masih, S.; Yao, L.; Seeger, L.L. Pictorial review: Foot axes and angles. Br. J. Radiol. 1996, 69, 968–974. [Google Scholar] [CrossRef]
- Ganley, J.V.; Ganley, T.J. Metatarsus adductus deformity. In Comprehensive Textbook of Foot Surgery, 2nd ed.; Wilkins, W., Ed.; Williams and Wilkens: Baltimore, MD, USA, 1992; pp. 829–852. [Google Scholar]
- Engel, E.; Erlick, N.; Krems, I. A simplified metatarsus adductus angle. J. Am. Podiatry Assoc. 1983, 73, 620–628. [Google Scholar]
- Thomas, J.L.; Kunkel, M.W.; Lopez, R.; Sparks, D. Radiographic values of the adult foot in a standardized population. J. Foot Ankle Surg. 2006, 45, 3–12. [Google Scholar] [CrossRef] [PubMed]
- Kilmartin, T.E.; Barrington, R.L.; Wallace, W.A. Metatarsus primus varus. A statistical study. J. Bone Jt. Surg. Br. Vol. 1991, 73, 937–940. [Google Scholar] [CrossRef] [PubMed]
- Simons, G.W. Analytical radiography of club feet. J. Bone Jt. Surg. Br. Vol. 1977, 59, 485–489. [Google Scholar] [CrossRef] [PubMed]
- Laaveg, S.J.; Ponseti, I.V. Long-term results of treatment of congenital club foot. J. Bone Jt. Surg. Am. Vol. 1980, 62, 23–31. [Google Scholar] [CrossRef]
- Hallgren, K.A. Computing Inter-Rater Reliability for Observational Data: An Overview and Tutorial. Tutor. Quant. Methods Psychol. 2012, 8, 23–34. [Google Scholar] [CrossRef]
- Portney, L.G.; Watkins, M.P. Foundations of Clinical Research: Applications to Practice, 2nd ed.; Prentice Hall: Upper Saddle River, NJ, USA, 2000. [Google Scholar]
- Lobo, C.C.; Morales, C.R.; Sanz, D.R.; Corbalán, I.S.; Marín, A.G.; López, D.L. Ultrasonography Comparison of Peroneus Muscle Cross-sectional Area in Subjects with or Without Lateral Ankle Sprains. J. Manip. Physiol. Ther. 2016, 39, 635–644. [Google Scholar] [CrossRef]
- Bland, J.M.; Altman, D.G. Statistical methods for assessing agreement between two methods of clinical measurement. Lancet 1986, 1, 307–310. [Google Scholar] [CrossRef]
- Kilmartin, T.E.; Flintham, C. Hallux valgus surgery: A simple method for evaluating the first-second intermetatarsal angle in the presence of metatarsus adductus. J. Foot Ankle Surg. 2003, 42, 165–166. [Google Scholar] [CrossRef]
- Dawoodi, A.I.S.; Perera, A. Radiological assessment of metatarsus adductus. Foot Ankle Surg. 2012, 18, 1–8. [Google Scholar] [CrossRef]
- Spinarelli, A.; Pesce, V.; Campagna, C.; Maccagnano, G.; Moretti, B. Painful knee prosthesis: CT scan to assess patellar angle and implant malrotation. Muscle Ligaments Tendons J. 2016, 6, 461–466. [Google Scholar] [CrossRef]
| Variables | Total (N = 80) | Male (n = 40) | Female (n = 40) | ||||||
|---|---|---|---|---|---|---|---|---|---|
| Descriptive Data | Mean ± SD (95% CI) | Median (IR) | Mean ± SD (95% CI) | Median (IR) | p K-S | Mean ± SD (95% CI) | Median (IR) | p K-S | p Value |
| Age | 29.48 ± 5.12 (28.34–30.62) | 29.00 (7.50) | 30.20 ± 6.00 (28.27–32.12) | 29.00 (7.75) | 0.018 | 28.77 ± 4.01 (27.49–30.05) | 28.00 (6.75) | 0.200 | 0.216 |
| FIRST OBSERVER MA MEASUREMENTS | ||||||||||||||||||||
|---|---|---|---|---|---|---|---|---|---|---|---|---|---|---|---|---|---|---|---|---|
| SESSIONS | FIRST SESSION | SECOND SESSION | INTERSESSION | |||||||||||||||||
| Angle | Mean ± SD (CI95%) | ICC (CI95%) | Median (IR) | SEM | CV | MCD | p K-S | Mean ± SD (CI95%) | ICC (CI95%) | Median (IR) | SEM | CV | MCD | p K-S | Mean ± (SD) (CI95%) | ICC (CI95%) | Median (IR) | SEM | R (p) | p-Value |
| Sgarlato | 18.14 ± 5.83 (16.84–19.44) | 0.988 (0.982–0.992) | 19.62 (9.48) | 0.395 | 0.487 | 1.094 | 0.001 | 17.90 ± 5.82 (16.60–19.20) | 0.977 (0.967–0.985) | 19.32 (7.89) | 0.869 | 0.325 | 2.409 | 0.001 | 18.02 ± 5.76 (16.74–19.30) | 0.970 (0.962–0.984) | 18.92 (8.56) | 0.911 | 0.924 ** 0.001 | 0.182 ** |
| Modified Sgarlato | 24.07 ± 6.03 (22.73–25.42) | 0.986 (0.976–0.991) | 25.33 (9.29) | 0.690 | 0.242 | 1.912 | 0.059 | 24.2 ± 6.15 (22.83–25.57) | 0.988 (0.982–0.992) | 24.5 (9.93) | 0.674 | 0.254 | 1.867 | 0.200 | 24.13 ± 6.02 (22.79–25.48) | 0.979 (0.967–0.986) | 24.94 (10.07) | 0.872 | 0.958 * 0.001 | 0.539 * |
| Rearfoot | 14.94 ± 8.80 (12.98–16.90) | 0.977 (0.966–0.984) | 16.16 (14.02) | 1.335 | 0.589 | 3.699 | 0.077 | 15.60 ± 8.66 (13.67–17.52) | 0.985 (0.979–0.990) | 17.37 (12.9)8 | 1.061 | 0.555 | 2.940 | 0.176 | 15.27 ± 8.49 (13.38–17.16) | 0.943 (0.911–0.963) | 16.91 (13.66) | 2.027 | 0.893 * 0.001 | 0.149 * |
| Root | 16.19 ± 6.62 (14.72–17.66) | 0.945 (0.920–0.963) | 17.8 (10.01) | 1.553 | 0.409 | 4.303 | 0.003 | 15.50 ± 6.45 (14.06–16.94) | 0.967 (0.952–0.978) | 16.4 (8.41) | 1.172 | 0.416 | 3.248 | 0.040 | 15.84 ± 6.31 (14.44–17.25) | 0.927 (0.886–0.953) | 16.60 (9.64) | 1.705 | 0.851 ** 0.001 | 0.126 ** |
| Engel | 25.45 ± 6.01 (24.11–26.78) | 0.975 (0.964–0.983) | 25.33 (6.84) | 0.950 | 0.236 | 2.634 | 0.200 | 26.22 ± 6.22 (24.84–27.61) | 0.989 (0.984–0.993) | 26.67 (9.36) | 0.652 | 0.237 | 1.808 | 0.200 | 25.83 ± 5.94 (24.51–27.16) | 0.935 (0.897–0.959) | 26.13 (8.06) | 1.514 | 0.885 * 0.001 | 0.021 * |
| Modified Engel | 25.47 ± 6.98 (23.92–27.03) | 0.979 (0.968–0.986) | 25.33 (8.96) | 1.011 | 0.274 | 2.803 | 0.200 | 24.68 ± 7.21 (23.08–26.29) | 0.991 (0.987–0.994) | 24.53 (10.67) | 0.684 | 0.292 | 1.896 | 0.086 | 25.08 ± (6.95) (23.53–26.62) | 0.953 (0.925–0.970) | 25.02 (10.17) | 1.290 | 0.915 * 0.001 | 0.018 * |
| Kite | 24.98 ± 6.93 (23.43–26.52) | 0.912 (0.872–0.940) | 24.25 (10.09) | 2.056 | 0.277 | 5.698 | 0.200 | 25.54 ± 7.86 (23.79–27.29) | 0.961 (0.943–0.974) | 24.8 (11.7) | 1.552 | 0.308 | 4.303 | 0.056 | 25.26 ± 7.11 (23.67–26.84) | 0.913 (0.864–0.944) | 24.61 (10.40) | 2.097 | 0.847 * 0.001 | 0.236 * |
| Kilmartin | 22.93 ± 9.93 (20.72–25.14) | 0.985 (0.979–0.990) | 24.31 (3.29) | 1.216 | 0.433 | 3.371 | 0.042 | 23.47 ± 10.12 (21.22–25.72) | 0.992 (0.988–0.995) | 25.48 (11.66) | 0.905 | 0.431 | 2.509 | 0.020 | 23.20 ± 9.88 (21.00–25.40) | 0.970 (0.953–0.981) | 25.46 (12.36) | 1.711 | 0.917 ** 0.001 | 0.315 ** |
| Modified Kilmartin | 69.49 ± 5.85 (68.19–70.79) | 0.980 (0.971–0.987) | 69.91 (8.01) | 0.827 | 0.084 | 2.293 | 0.200 | 69.68 ± 6.03 (68.64–71.32) | 0.992 (0.988–0.994) | 69.91 (8.68) | 0.539 | 0.087 | 1.495 | 0.200 | 69.74 ± 5.88 (68.42–71.05) | 0.979 (0.966–0.987) | 70.00 (7.43) | 0.852 | 0.963 * 0.001 | 0.008 * |
| Simons | 2.78 ± 9.33 (0.70–4.85) | 0.996 (0.950–0.977) | 3.09 (13.05) | 1.720 | 3.356 | 4.769 | 0.200 | 2.57 ± 9.49 (0.46–4.68) | 0.981 (0.973–0.987) | 2.96 (13.54) | 1.308 | 3.693 | 3.626 | 0.200 | 2.67 ± 9.34 (0.59–4.75) | 0.985 (0.977–0.990) | 2.98 (13.14) | 1.144 | 0.988 * 0.001 | 0.403 * |
| Laaveg & Ponseti | −4.54 ± 7.70 (−6.25–−2.82) | 0.991 (0.988–0.994) | −3.82 (10.57) | 0.730 | −1.696 | 2.025 | 0.200 | −3.91 ± 7.99 (−5.69–−2.13) | 0.965 (0.949–0.976) | −3.18 (11.22) | 1.495 | −2.043 | 4.143 | 0.200 | −4.22 ± 7.74 (−5.95–−2.50) | 0.972 (0.956–0.982) | −4.31 (11.05) | 1.295 | 0.951 * 0.001 | 0.019 * |
| SECOND OBSERVER MA MEASUREMENTS | ||||||||||||||||||||
|---|---|---|---|---|---|---|---|---|---|---|---|---|---|---|---|---|---|---|---|---|
| SESSIONS | FIRST SESSION | SECOND SESSION | INTERSESSION | |||||||||||||||||
| Angles | Mean ± SD (CI 95%) | ICC (CI 95%) | Median (IR) | SEM | CV | MCD | p K-S | Mean ± SD (CI95%) | ICC (CI95%) | Median (IR) | SEM | CV | MCD | p K-S | Mean ± SD (CI95%) | ICC (CI 95%) | Median (IR) | SEM | r (p) | p Value |
| Sgarlato | 18.49 ± 6.33 (17.08–19.90) | 0.998 (0.997–0.999) | 19.95 (9.12) | 0.283 | 0.342 | 0.784 | 0.019 | 18.54 ± 5.95 (17.22–19.87) | 0.996 (0.995–0.998) | 19.88 (9.16) | 0.376 | 0.320 | 1.043 | 0.003 | 18.52 ± 6.10 (17.16–19.87) | 0.985 (0.977–0.990) | 19.89 (9.17) | 0.747 | 0.982 ** (0.001) | 0.735 ** |
| Modified Sgarlato | 24.03 ± 6.31 (22.63–25.44) | 0.967 (0.952–0.978) | 24.77 (8.02) | 1.146 | 0.262 | 3.177 | 0.200 | 24.12 ± 6.16 (22.75–25.50) | 0.996 (0.994–0.997) | 24.63 (7.43) | 0.390 | 0.255 | 1.079 | 0.200 | 24.08 ± 6.20 (22.70–25.46) | 0.990 (0.984–0.994) | 24.83 (7.61) | 0.620 | 0.981 * (0.001) | 0.516 * |
| Rearfoot | 15.96 ± 8.62 (14.04–17.88) | 0.991 (0.986–0.994) | 18.02 (13.08) | 0.818 | 0.540 | 2.226 | 0.001 | 15.51± 8.79 (13.55–17.46) | 0.996 (0.994–0.997) | 17.34 (13.45) | 0.556 | 0.566 | 1.541 | 0.006 | 15.73 ± 8.62 (13.81–17.65) | 0.981 (9.970–9.988) | 17.65 (12.89) | 1.188 | 0.969 ** (0.001) | 0.007 ** |
| Root | 18.28 ± 8.34 (16.42–20.14) | 0.981 (0.973–0.988) | 19.29 (12.46) | 1.150 | 0.456 | 3.186 | 0.200 | 18.15 ± 8.60 (16.23–20.06) | 0.996 (0.995–0.998) | 18.8 (11.67) | 0.544 | 0.473 | 1.507 | 0.200 | 18.21 ± 8.44 (16.33–20.09) | 0.981 (9.970–0.988) | 18.21 (12.09) | 0.706 | 0.986 * (0.001) | 0.410 * |
| Engel | 24.13 ± 6.43) (22.70–25.56) | 0.995 (0.993–0.997) | 24.47 (6.92) | 0.455 | 0.266 | 1.260 | 0.200 | 24.09 ± 6.30 (22.69–25.49) | 0.997 (0.996–0.998) | 24.44 (7.29) | 0.345 | 0.261 | 0.956 | 0.200 | 24.11 ± 6.36 (22.70–25.53) | 0.997 (0.996–0.998) | 24.49 (6.99) | 0.348 | 0.995 * (0.001) | 0.575 * |
| Modified Engel | 23.57 ± 7.26) (21.95–25.18) | 0.872 (0.814–0.914) | 23.56 (9.47) | 2.597 | 0.308 | 7.199 | 0.200 | 23.52 ± 7.16 (21.93–25.12) | 0.998 (0.997–0.999) | 23.51 (9.38) | 0.320 | 0.304 | 0.887 | 0.200 | 23.54 ± 7.08 (21.97–25.12) | 0.961 (0.940–0.975) | 23.58 (9.39) | 1.398 | 0.926 * (0.001) | 0.889 * |
| Kite | 28.25 ± 10.28 (25.96–30.54) | 0.413 (0.149–0.605) | 27.39 (10.21) | 7.876 | 0.363 | 2.183 | 0.014 | 27.36 ± 7.18 (25.76–28.96) | 0.996 (0.994–0.997) | 27.28 (9.68) | 0.454 | 0.262 | 1.258 | 0.200 | 27.81 ± 7.93 (26.04–29.57) | 0.751 (0.611–0.840) | 27.81 (19.19) | 3.957 | 0.951 ** (0.001) | 0.341 ** |
| Kilmartin | 22.37 ± 9.56 (20.24–24.50) | 0.982 (0.973–0.988) | 24.51 (12.69) | 1.283 | 0.427 | 3.555 | 0.004 | 22.46 ± 9.38 (20.37–24.55) | 0.998 (0.997–0.999) | 24.9 (12.42) | 0.419 | 0.417 | 1.162 | 0.001 | 22.42 ± 9.45 (20.31–24.52) | 0.995 (0.992–0.997) | 24.66 (12.93) | 0.668 | 0.990 ** (0.001) | 0.038 ** |
| Modified Kilmartin | 67.76 ± 6.31 (66.35–69.19) | 0.993 (0.990–0.995) | 68.51 (9.02) | 0.528 | 0.093 | 1.463 | 0.200 | 67.38 ± 6.61 (65.91–68.85) | 0.887 (0.837–0.924) | 68.19 (8.31) | 2.222 | 0.098 | 6.159 | 0.200 | 67.57 ± 6.36 (66.15–68.99) | 0.968 (0.950–0.979) | 68.43 (8.74) | 1.138 | 0.939 * (0.001) | 0.141 * |
| Simons | 2.30 ± 9.85 (0.10–4.49) | 0.998 (0.997–0.999) | 3.63 (14.05) | 0.441 | 4.283 | 1.221 | 0.200 | 2.38 ± 9.95 (0.17–4.60) | 0.998 (0.998–0.999) | 3.79 (14.73) | 0.445 | 4.181 | 1.233 | 0.091 | 2.34 ± 9.89 (0.14–4.54) | 0.997 (0.996–0.998) | 3.71 (14.30) | 0.542 | 0.995 * (0.001) | 0.885 * |
| Laaveg & Ponseti | −4.58 ± 8.05 (−6.38–−2.79) | 0.975 (0.964–0.983) | −4.36 (9.70) | 1.273 | −1.758 | 3.528 | 0.200 | −4.85 ± 9.14 (−6.89–−2.82) | 0.963 (0.946–0.975) | −4.38 (9.60) | 1.847 | −4.380 | 5.119 | 0.200 | −4.72 ± 8.30 (−6.57–−2.87) | 0.924 (0.882–0.951) | −4.47 (9.88) | 2.288 | 0.865 * (0.001) | 0.100 * |
| Observer | First Observer Intersession | Second Observer Intersession | Interobserver | |||||||||
|---|---|---|---|---|---|---|---|---|---|---|---|---|
| Variables | Mean (SD) (CI 95%) | p K-S | Mean (SD) (CI 95%) | p K-S | Mean (SD) (CI95%) | ICC (1–1) (CI 95%) | SEM | CV | MDC | LoA (CI95%) | p-Value | r (p-Value) |
| Sgarlato | 18.02 ± 5.76 (16.74–19.30) | 0.001 | 18.52 ± 6.10 (17.16–19.87) | 0.047 | 18.27 ± 5.83 (16.97–19.57) | 0.964 (0.944–0.977) | 1.106 | 3.134 | 3.066 | 0.5 (−3.7–4.7) | 0.773 ** | 0.935 ** (<0.001) |
| Modified Sgarlato | 24.13 ± 6.02 (22.79–25.48) | 0.200 | 24.08 ± 6.20 (22.70–25.46) | 0.780 | 24.11 ± 5.93 (22.79–25.43) | 0.937 (0.901–0.959) | 1.488 | 4.066 | 4.126 | −0.1 (−5.9–5.8) | 0.859 * | 0.880 * (<0.001) |
| Rearfoot | 15.27 ± 8.49 (13.38–17.16) | 0.036 | 15.73 ± 8.62 (13.81–17.65) | 0.003 | 15.50 ± 8.47 (13.63–17.37) | 0.965 (0.946–0.978) | 1.585 | 1.830 | 4.392 | 0.5 (−5.7–6.6) | 0.779 ** | 0.933 ** (<0.001) |
| Root | 15.84 ± 6.31 (14.44–17.25) | 0.079 | 18.21 ± 8.44 (16.33–20.09) | 0.200 | 17.03 ± 7.05 (15.46–18.60) | 0.860 (0.728–0.921) | 2.638 | 2.416 | 7.312 | 2.4 (−7.1–11.8) | 0.092 * | 0.824 * (<0.001) |
| Engel | 25.83 ± 5.94 (24.51–27.16) | 0.200 | 24.11 ± 6.3 (22.70–25.53) | 0.200 | 24.97 ± 6.05 (23.62–26.32) | 0.950 (0.790–0.980) | 1.353 | 4.127 | 3.750 | −1.7 (−5.9–2.5) | 0.060 * | 0.942 * (<0.001) |
| Modified Engel | 25.08 ± (6.95) (23.53–26.62) | 0.200 | 23.54 ± 7.08 (21.97–25.12) | 0.200 | 24.31 ± 6.85 (22.79–25.84) | 0.941 (0.874–0.968) | 1.664 | 3.549 | 4.612 | −1.5 (−7.4–4.4) | 0.171 * | 0.908 * (<0.001) |
| Kite | 25.26 ± 7.11 (23.67–26.84) | 0.094 | 27.81 ± 7.93 (26.04–29.57) | 0.200 | 26.53 ± 7.12 (24.95–28.12) | 0.854 (0.706–0.919) | 2.721 | 3.726 | 7.541 | 2.5 (−7.1–12.2) | 0.034 * | 0.791 * (<0.001) |
| Kilmartin | 23.20 ± 9.88 (21.00–25.40) | 0.140 | 22.42 ± 9.45 (20.31–24.52) | 0.004 | 22.81 ± 9.55 (20.68–24.93) | 0.974 (0.958–0.983) | 1.540 | 2.388 | 4.268 | −0.8 (−6.7–5.1) | 0.517 ** | 0.952 ** (<0.001) |
| Modified Kilmartin | 69.74 ± 5.88 (68.42–71.05) | 0.200 | 67.57 ± 6.36 (66.15–68.99) | 0.200 | 68.65 ± 6.00 (67.32–69.99) | 0.928 (0.861–0.972) | 1.610 | 11.442 | 4.463 | −2.2 (−7.0–2.7) | 0.032 * | 0.921 * (<0.001) |
| Simons | 2.67 ± 9.34 (0.59–4.75) | 0.200 | 2.34 ± 9.89 (0.14–4.54) | 0.197 | 2.51 ± 9.27 (0.44–5.57) | 0.924 (0.888–0.951) | 2.556 | 3.693 | 7.084 | 0.3 (−9.7–0.4) | 0.274 * | 0.859 * (<0.001) |
| Laaveg & Ponseti | −4.22 ± 7.74 (−5.95–−2.50) | 0.200 | −4.72 ± 8.30 (−6.57–−2.87) | 0.200 | −4.47 ± 7.83 (−6.21–−2.73) | 0.948 (0.919–0.966) | 1.786 | −1.752 | 4.949 | −0.5 (−7.5 –6.5) | 0.196 * | 0.903 * (<0.001) |
Publisher’s Note: MDPI stays neutral with regard to jurisdictional claims in published maps and institutional affiliations. |
© 2022 by the authors. Licensee MDPI, Basel, Switzerland. This article is an open access article distributed under the terms and conditions of the Creative Commons Attribution (CC BY) license (https://creativecommons.org/licenses/by/4.0/).
Share and Cite
Pérez Boal, E.; Martin-Villa, C.; Becerro de Bengoa Vallejo, R.; Losa Iglesias, M.E.; Trevissón Redondo, B.; Casado Hernández, I.; Calvo Lobo, C.; Rodríguez Sanz, D. Intra and Inter-Observer Reliability and Repeatability of Metatarsus Adductus Angle in Recreational Football Players: A Concordance Study. J. Clin. Med. 2022, 11, 2043. https://doi.org/10.3390/jcm11072043
Pérez Boal E, Martin-Villa C, Becerro de Bengoa Vallejo R, Losa Iglesias ME, Trevissón Redondo B, Casado Hernández I, Calvo Lobo C, Rodríguez Sanz D. Intra and Inter-Observer Reliability and Repeatability of Metatarsus Adductus Angle in Recreational Football Players: A Concordance Study. Journal of Clinical Medicine. 2022; 11(7):2043. https://doi.org/10.3390/jcm11072043
Chicago/Turabian StylePérez Boal, Eduardo, Carlos Martin-Villa, Ricardo Becerro de Bengoa Vallejo, Marta Elena Losa Iglesias, Bibiana Trevissón Redondo, Israel Casado Hernández, César Calvo Lobo, and David Rodríguez Sanz. 2022. "Intra and Inter-Observer Reliability and Repeatability of Metatarsus Adductus Angle in Recreational Football Players: A Concordance Study" Journal of Clinical Medicine 11, no. 7: 2043. https://doi.org/10.3390/jcm11072043
APA StylePérez Boal, E., Martin-Villa, C., Becerro de Bengoa Vallejo, R., Losa Iglesias, M. E., Trevissón Redondo, B., Casado Hernández, I., Calvo Lobo, C., & Rodríguez Sanz, D. (2022). Intra and Inter-Observer Reliability and Repeatability of Metatarsus Adductus Angle in Recreational Football Players: A Concordance Study. Journal of Clinical Medicine, 11(7), 2043. https://doi.org/10.3390/jcm11072043

