The Application of an Allogenic Bone Screw for Stabilization of a Modified Chevron Osteotomy: A Prospective Analysis
Abstract
:1. Introduction
2. Materials and Methods
2.1. Patients
2.2. Surgical Technique and Follow-Up Treatment
2.3. Clinical Examination, X-rays, and Scores
2.4. Statistics
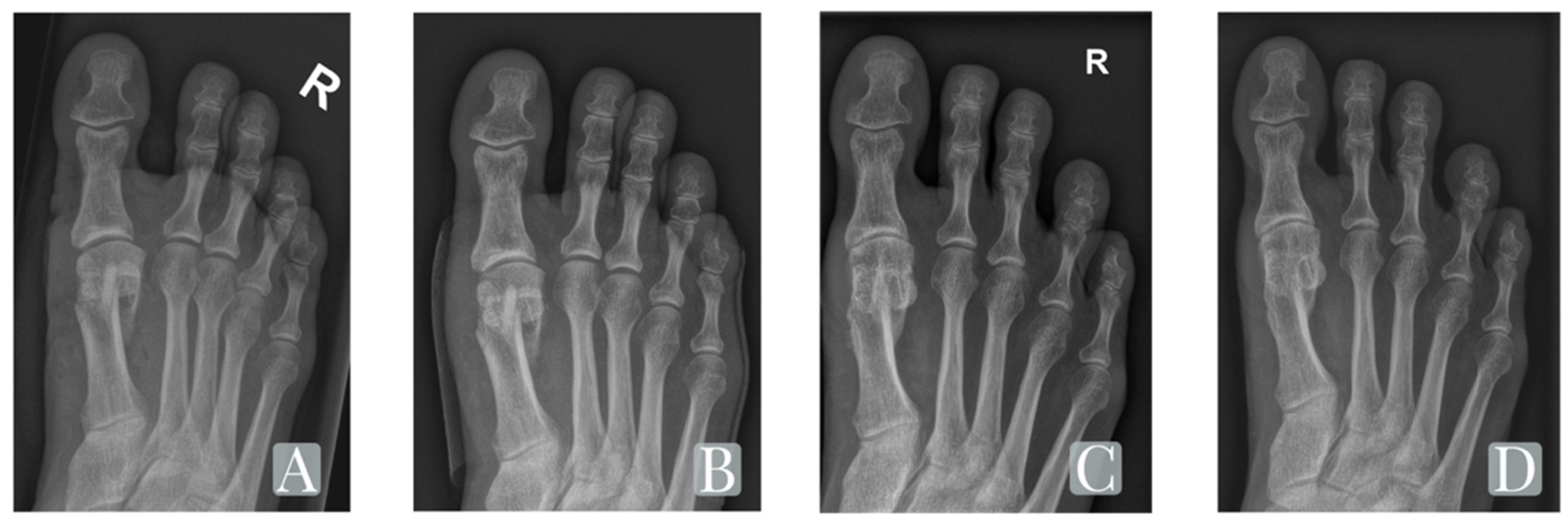
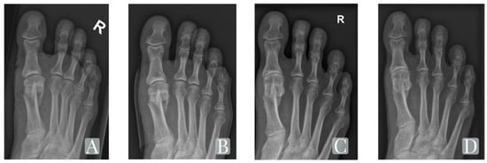
3. Results
4. Discussion
Strengths and Limitations of This Study
5. Conclusions
Author Contributions
Funding
Institutional Review Board Statement
Informed Consent Statement
Data Availability Statement
Conflicts of Interest
References
- Austin, D.W.; Leventen, E.O. A new osteotomy for hallux valgus: A horizontally directed “V” displacement osteotomy of the metatarsal head for hallux valgus and primus varus. Clin. Orthop. Relat. Res. 1981, 157, 25–30. [Google Scholar] [CrossRef] [Green Version]
- Trnka, H.-J.; Zembsch, A.; Wiesauer, H.; Hungerford, M.; Salzer, M.; Ritschl, P. Modified Austin Procedure for Correction of Hallux Valgus. Foot Ankle Int. 1997, 18, 119–127. [Google Scholar] [CrossRef] [PubMed]
- Hofstaetter, S.; Schuh, R.; Trieb, K.; Trnka, H. Modifizierte Chevron-Osteotomie mit lateralem Release und Schraubenfixation zur Behandlung der schweren Hallux-valgus-Deformität. Z. Orthop. Unf. 2012, 150, 594–600. [Google Scholar] [CrossRef] [PubMed]
- Stukenborg-Colsman, C.; Claaßen, L.; Ettinger, S.; Yao, D.; Lerch, M.; Plaaß, C. Distale Korrekturosteotomie zur Behandlung des Hallux valgus (Chevron-Osteotomie). Orthopäde 2017, 46, 402–407. [Google Scholar] [CrossRef] [PubMed]
- Espinosa, N.; Meyer, D.C.; Campe, V.; Helmy, N.; Vienne, P. A New Modified Distal First Metatarsal Osteotomy for the Treatment of Hallux Valgus Deformity: The Reversed L-Shaped Osteotomy. Tech. Foot Ankle Surg. 2006, 5, 190–197. [Google Scholar] [CrossRef]
- Barouk, L.S. Scarf osteotomy for hallux valgus correction. Local anatomy, surgical technique, and combination with other forefoot procedures. Foot Ankle Clin. 2000, 5, 525–558. [Google Scholar]
- Ochs, B.; Gonser, C.; Baron, H.; Stöckle, U.; Badke, A.; Stuby, F. Refrakturen nach Entfernung von Osteosynthesematerialien. Eine vermeidbare Komplikation? Unfallchirurg 2012, 115, 323–329. [Google Scholar] [CrossRef]
- Reith, G.; Schmitz-Greven, V.; Hensel, K.O.; Schneider, M.M.; Tinschmann, T.; Bouillon, B.; Probst, C. Metal implant removal: Benefits and drawbacks—A patient survey. BMC Surg. 2015, 15, 96. [Google Scholar] [CrossRef] [Green Version]
- Sansone, V.; Pagani, D.; Melato, M. The Effects on Bone Cells of Metal Ions Released from Orthopaedic Implants. A Review. Clin. Cases Miner. Bone Metab. 2013, 10, 34–40. [Google Scholar] [CrossRef]
- Riedel, M.D.; Cronin, P.K.; Kaiser, P.B.; Kwon, J.Y. A Compatibility Guide for the Orthopaedic Surgeon Planning to Perform Hardware Removal Surgery. J. Am. Acad. Orthop. Surg. 2019, 27, e92–e95. [Google Scholar] [CrossRef]
- Campana, V.; Milano, G.; Pagano, E.; Barba, M.; Cicione, C.; Salonna, G.; Lattanzi, W.; Logroscino, G. Bone substitutes in orthopaedic surgery: From basic science to clinical practice. J. Mater. Sci. Mater. Med. 2014, 25, 2445–2461. [Google Scholar] [CrossRef] [PubMed]
- Habibovic, P.; De Groot, K. Osteoinductive biomaterials—Properties and relevance in bone repair. J. Tissue Eng. Regen. Med. 2007, 1, 25–32. [Google Scholar] [CrossRef] [PubMed]
- Pastl, K.; Schimetta, W. The application of an allogeneic bone screw for osteosynthesis in hand and foot surgery: A case series. Arch. Orthop. Trauma. Surg. 2021, 8, 1–9. [Google Scholar] [CrossRef] [PubMed]
- Robinson, A.H.N.; Limbers, J.P. Modern concepts in the treatment of hallux valgus. J. Bone Jt. Surg. 2005, 87, 1038–1045. [Google Scholar] [CrossRef] [PubMed] [Green Version]
- Myles, P.S.; Troedel, S.; Boquest, M.; Reeves, M. The Pain Visual Analog Scale: Is It Linear or Nonlinear? Anesth. Analg. 1999, 89, 1517–1520. [Google Scholar] [CrossRef] [Green Version]
- Kitaoka, H.B.; Alexander, I.J.; Adelaar, R.S.; Nunley, J.A.; Myerson, M.S.; Sanders, M. Clinical Rating Systems for the Ankle-Hindfoot, Midfoot, Hallux, and Lesser Toes. Foot Ankle Int. 1994, 15, 349–353. [Google Scholar] [CrossRef]
- Shibuya, N.; Jupiter, D.C. Bone Graft Substitute: Allograft and Xenograft. Clin. Podiatr. Med. Surg. 2015, 32, 21–34. [Google Scholar] [CrossRef]
- Wang, W.; Yeung, K.W.K. Bone grafts and biomaterials substitutes for bone defect repair: A review. Bioact. Mater. 2017, 2, 224–247. [Google Scholar] [CrossRef]
- Obwegeser, J.A. Resorbier- und umbaubare Osteosynthesematerialien in der Mund-, Kiefer- und Gesichtschirurgie. Mund Kiefer Gesichtschir. 1998, 2, 288–308. [Google Scholar] [CrossRef]
- Liszka, H.; Gądek, A. Results of Scarf Osteotomy without Implant Fixation in the Treatment of Hallux Valgus. Foot Ankle Int. 2018, 39, 1320–1327. [Google Scholar] [CrossRef]
- Feit, E.M.; Scherer, P.; De Yoe, B.; Gerbert, J.; Patel, V. The nonfixated Austin bunionectomy: A retrospective study of one-hundred procedures. J. Foot Ankle Surg. 1997, 36, 347–352. [Google Scholar] [CrossRef]
- Hanft, J.R.; Kashuk, K.B.; Bonner, A.C.; Toney, M.; Schabler, J. Rigid internal fixation of the Austin/Chevron osteotomy with Herbert screw fixation: A retrospective study. J. Foot Surg. 1992, 31, 512–518. [Google Scholar] [PubMed]
- Busam, M.L.; Esther, R.J.; Obremskey, W.T. Hardware Removal: Indications and Expectations. J. Am. Acad. Orthop. Surg. 2006, 14, 113–120. [Google Scholar] [CrossRef] [PubMed] [Green Version]
- Brown, R.M.; Wheelwright, E.F.; Chalmers, J. Removal of metal implants after fracture surgery—indications and complications. J. R. Coll. Surg. Edinb. 1993, 38, 96–100. [Google Scholar] [PubMed]
- Bostman, O.; Pihlajamaki, H. Routine Implant Removal after Fracture Surgery: A Potentially Reducible Consumer of Hospital Resources in Trauma Units. J. Trauma Inj. Infect. Crit. Care 1996, 41, 846–849. [Google Scholar] [CrossRef] [PubMed]
- Saleh, J.; El-Othmani, M.M.; Saleh, K.J. Deep Vein Thrombosis and Pulmonary Embolism Considerations in Orthopedic Surgery. Orthop. Clin. N. Am. 2017, 48, 127–135. [Google Scholar] [CrossRef]
- Sullivan, M.; Eusebio, I.D.; Haigh, K.; Panti, J.P.; Omari, A.; Hang, J.R. Prevalence of Deep Vein Thrombosis in Low-Risk Patients after Elective Foot and Ankle Surgery. Foot Ankle Int. 2019, 40, 330–335. [Google Scholar] [CrossRef]
- Chao, J. Deep Vein Thrombosis in Foot and Ankle Surgery. Orthop. Clin. N. Am. 2016, 47, 471–475. [Google Scholar] [CrossRef]
- Brcic, I.; Pastl, K.; Plank, H.; Igrec, J.; Schanda, J.; Pastl, E.; Werner, M. Incorporation of an Allogenic Cortical Bone Graft following Arthrodesis of the First Metatarsophalangeal Joint in a Patient with Hallux Rigidus. Life 2021, 11, 473. [Google Scholar] [CrossRef]
- Chevallier, R.; Klouche, S.; Gerometta, A.; Bohu, Y.; Herman, S.; Lefevre, N. Bioabsorbable screws, whatever the composition, can result in symptomatic intra-osseous tibial tunnel cysts after ACL reconstruction. Knee Surg. Sports Traumatol. Arthrosc. 2019, 27, 76–85. [Google Scholar] [CrossRef]
- Zaidenberg, E.E.; Roitman, P.; Gallucci, G.L.; Boretto, J.G.; De Carli, P. Foreign-Body Reaction and Osteolysis in Dorsal Lunate Dislocation Repair with Bioabsorbable Suture Anchor. Hand 2016, 11, 368–371. [Google Scholar] [CrossRef] [PubMed] [Green Version]
- Bergsma, J.E.; de Bruijn, W.C.; Rozema, F.R.; Bos, R.R.M.; Boering, G. Late degradation tissue response to poly(l-lactide) bone plates and screws. Biomaterials 1995, 16, 25–31. [Google Scholar] [CrossRef] [Green Version]
- Mccarty, L.P.; Buss, D.D.; Datta, M.W.; Freehill, M.Q.; Giveans, M.R. Complications Observed following Labral or Rotator Cuff Repair with Use of Poly-L-Lactic Acid Implants. J. Bone Jt. Surg. 2013, 95, 507–511. [Google Scholar] [CrossRef] [PubMed]
- Giannoudis, P.V.; Einhorn, T.A.; Marsh, D. Fracture healing: The diamond concept. Injury 2007, 38 (Suppl. S4), S3–S6. [Google Scholar] [CrossRef]
- Trnka, H.-J.; Zembsch, A.; Easley, M.E.; Salzer, M.; Ritschl, P.; Myerson, M.S. The Chevron Osteotomy for Correction of Hallux Valgus: Comparison of Findings after Two and Five Years of Follow-Up. J. Bone Jt. Surg. 2000, 82, 1373–1378. [Google Scholar] [CrossRef]
- Coheña-Jiménez, M.; Chicharro-Luna, E.; Del-Castillo, J.A.; Chacón-Giráldez, F.; Paéz-Tudela, A.; Montaño-Jiménez, P. Medium-Term Outcomes of Chevron Osteotomy for Hallux Valgus Correction in a Spanish Population: Radiologic and Clinical Parameters and Patient Satisfaction. J. Am. Podiatr. Med. Assoc. 2021, 111, 1–7. [Google Scholar] [CrossRef]
- Schneider, W.; Aigner, N.; Pinggera, O.; Knahr, K. Chevron osteotomy in hallux valgus. J. Bone Jt. Surg. 2004, 86, 1016–1020. [Google Scholar] [CrossRef] [Green Version]



| Patient Characteristics | |
|---|---|
| Number of Patients | n = 15 |
| Age (y) | 56.3 (±12.5) |
| Sex (m/f) | 3/12 |
| Follow up (mo) | 17 (±8.5) |
| Lost to FU | n = 1 |
| Previous operations | none |
| IMA preop | 12.6° (±3.2°) |
| HVA preop | 24.8° (±4.9°) |
| Inclusion Criteria | Exclusion Criteria |
|---|---|
| symptomatic hallux valgus deformity | MTP 1: cartilage damage grade III + IV ROM below 50 degrees hallux valgus angle over 60 degrees |
| intermetatarsal angle of up to 20 degrees | TMT 1: vertical or horizontal instability a hypermobility or arthritis |
| minimum age of 18 | peripheral vascular diseases peripheral neuropathy any kind of consuming disease |
| Baseline | Postop. | 12 Months | p-Value Baseline vs. Postop./12 mo. | |
|---|---|---|---|---|
| Total Number | 15 | 15 | 13 | |
| IM-Angle | 12.6° (±3.2°) | 4.8° (±1.3°) | 5.9° (±1.9°) | <0.001/<0.001 |
| HV-Angle | 24.8° (±4.9°) | 7.2° (±4.4°) | 9.9° (±7.0°) | <0.001/<0.001 |
| AOFAS-Score (0–100) | 51.6 (±15.2) | 61.3 (±13.2) | 90.9 (±10.3) | 0.037/<0.001 |
| Pain-NRS (0–10) | 6.5 (±1.5) | 5.4 (±2.1) | 1 (±1.4) | 0.058/<0.001 |
Publisher’s Note: MDPI stays neutral with regard to jurisdictional claims in published maps and institutional affiliations. |
© 2022 by the authors. Licensee MDPI, Basel, Switzerland. This article is an open access article distributed under the terms and conditions of the Creative Commons Attribution (CC BY) license (https://creativecommons.org/licenses/by/4.0/).
Share and Cite
Huber, T.; Hofstätter, S.G.; Fiala, R.; Hartenbach, F.; Breuer, R.; Rath, B. The Application of an Allogenic Bone Screw for Stabilization of a Modified Chevron Osteotomy: A Prospective Analysis. J. Clin. Med. 2022, 11, 1384. https://doi.org/10.3390/jcm11051384
Huber T, Hofstätter SG, Fiala R, Hartenbach F, Breuer R, Rath B. The Application of an Allogenic Bone Screw for Stabilization of a Modified Chevron Osteotomy: A Prospective Analysis. Journal of Clinical Medicine. 2022; 11(5):1384. https://doi.org/10.3390/jcm11051384
Chicago/Turabian StyleHuber, Thorsten, Stefan G. Hofstätter, Rainer Fiala, Florian Hartenbach, Robert Breuer, and Björn Rath. 2022. "The Application of an Allogenic Bone Screw for Stabilization of a Modified Chevron Osteotomy: A Prospective Analysis" Journal of Clinical Medicine 11, no. 5: 1384. https://doi.org/10.3390/jcm11051384
APA StyleHuber, T., Hofstätter, S. G., Fiala, R., Hartenbach, F., Breuer, R., & Rath, B. (2022). The Application of an Allogenic Bone Screw for Stabilization of a Modified Chevron Osteotomy: A Prospective Analysis. Journal of Clinical Medicine, 11(5), 1384. https://doi.org/10.3390/jcm11051384

