Association of Neuroretinal Thinning and Microvascular Changes with Hypertension in an Older Population in Southern Italy
Abstract
1. Introduction
2. Materials and Methods
2.1. Study Population and Design
2.2. Clinical and Anthropometric Assessment
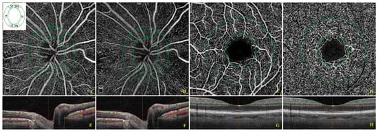
2.3. Ophthalmological Assessment
2.4. Statistical Analyses
3. Results
3.1. Descriptive Analysis
3.2. Analysis of Ophthalmological Parameters
3.3. Regression Models
4. Discussion
Supplementary Materials
Author Contributions
Funding
Institutional Review Board Statement
Informed Consent Statement
Data Availability Statement
Acknowledgments
Conflicts of Interest
References
- Kearney, P.M.; Whelton, M.; Reynolds, K.; Muntner, P.; Whelton, P.K.; He, J. Global burden of hypertension: Analysis of worldwide data. Lancet 2005, 365, 217–223. [Google Scholar] [CrossRef]
- Lim, S.S.; Vos, T.; Flaxman, A.D.; Danaei, G.; Shibuya, K.; Adair-Rohani, H.; AlMazroa, M.A.; Amann, M.; Anderson, H.R.; Andrews, K.G.; et al. A comparative risk assessment of burden of disease and injury attributable to 67 risk factors and risk factor clusters in 21 regions, 1990–2010: A systematic analysis for the Global Burden of Disease Study 2010. Lancet 2012, 380, 2224–2260. [Google Scholar] [CrossRef]
- Fields, L.E.; Burt, V.L.; Cutler, J.A.; Hughes, J.; Roccella, E.J.; Sorlie, P. The burden of adult hypertension in the United States 1999 to 2000: A rising tide. Hypertension 2004, 44, 398–404. [Google Scholar] [CrossRef] [PubMed]
- Wong, T.Y.; Mitchell, P. The eye in hypertension. Lancet 2007, 369, 425–435. [Google Scholar] [CrossRef]
- MacGillivray, T.J.; Trucco, E.; Cameron, J.R.; Dhillon, B.; Houston, J.G.; Van Beek, E.J. Retinal imaging as a source of biomarkers for diagnosis, characterization and prognosis of chronic illness or long-term conditions. Br. J. Radiol. 2014, 87, 20130832. [Google Scholar] [CrossRef]
- Akay, F.; Gündoğan, F.C.; Yolcu, U.; Toyran, S.; Tunç, E.; Uzun, S. Retinal structural changes in systemic arterial hypertension: An OCT study. Eur. J. Ophthalmol. 2016, 26, 436–441. [Google Scholar] [CrossRef]
- Lee, M.W.; Lee, W.H.; Park, G.S.; Lim, H.-B.; Kim, J.-Y. Longitudinal Changes in the Peripapillary Retinal Nerve Fiber Layer Thickness in Hypertension: 4-Year Prospective Observational Study. Investig. Ophthalmol. Vis. Sci. 2019, 60, 3914–3919. [Google Scholar] [CrossRef]
- Hua, D.; Xu, Y.; Zeng, X.; Yang, N.; Jiang, M.; Zhang, X.; Yang, J.; He, T.; Xing, Y. Use of optical coherence tomography angiography for assessment of microvascular changes in the macula and optic nerve head in hypertensive patients without hypertensive retinopathy. Microvasc. Res. 2020, 129, 103969. [Google Scholar] [CrossRef]
- Pascual-Prieto, J.; Burgos-Blasco, B.; Avila Sanchez-Torija, M.; Fernández-Vigo, J.I.; Arriola-Villalobos, P.; Barbero Pedraz, M.A.; García-Feijoo, J.; Martínez-de-la-Casa, J.M. Utility of optical coherence tomography angiography in detecting vascular retinal damage caused by arterial hypertension. Eur. J. Ophthalmol. 2020, 30, 579–585. [Google Scholar] [CrossRef]
- Peng, Q.; Hu, Y.; Huang, M.; Wu, Y.; Zhong, P.; Dong, X.; Wu, Q.; Liu, B.; Li, C.; Xie, J.; et al. Retinal Neurovascular Impairment in Patients with Essential Hypertension: An Optical Coherence Tomography Angiography Study. Investig. Ophthalmol. Vis. Sci. 2020, 61, 42. [Google Scholar] [CrossRef]
- Lim, H.B.; Lee, M.W.; Park, J.H.; Kim, K.; Jo, Y.J.; Kim, J.Y. Changes in Ganglion Cell-Inner Plexiform Layer Thickness and Retinal Microvasculature in Hypertension: An Optical Coherence Tomography Angiography Study. Am. J. Ophthalmol. 2019, 199, 167–176. [Google Scholar] [CrossRef] [PubMed]
- Yu, P.K.; Cringle, S.J.; Yu, D.Y. Correlation between the radial peripapillary capillaries and the retinal nerve fibre layer in the normal human retina. Exp. Eye Res. 2014, 129, 83–92. [Google Scholar] [CrossRef] [PubMed]
- Chandrasekera, E.; An, D.; McAllister, I.L.; Yu, D.Y.; Balaratnasingam, C. Three-Dimensional Microscopy Demonstrates Series and Parallel Organization of Human Peripapillary Capillary Plexuses. Investig. Ophthalmol. Vis. Sci. 2018, 59, 4327–4344. [Google Scholar] [CrossRef] [PubMed]
- Chang, R.; Nelson, A.J.; LeTran, V.; Vu, B.; Burkemper, B.; Chu, Z.; Fard, A.; Kashani, A.H.; Xu, B.Y.; Wang, R.K.; et al. Systemic Determinants of Peripapillary Vessel Density in Healthy African Americans: The African American Eye Disease Study. Am. J. Ophthalmol. 2019, 207, 240–247. [Google Scholar] [CrossRef]
- Huang, J.; Zheng, B.; Lu, Y.; Gu, X.; Dai, H.; Chen, T. Quantification of Microvascular Density of the Optic Nerve Head in Diabetic Retinopathy Using Optical Coherence Tomographic Angiography. J. Ophthalmol. 2020, 2020, 5014035. [Google Scholar] [CrossRef]
- Castellana, F.; Lampignano, L.; Bortone, I.; Zupo, R.; Lozupone, M.; Griseta, C.; Daniele, A.; De Pergola, G.; Giannelli, G.; Sardone, R.; et al. Physical Frailty, Multimorbidity, and All-Cause Mortality in an Older Population From Southern Italy: Results from the Salus in Apulia Study. J. Am. Med. Dir. Assoc. 2021, 22, 598–605. [Google Scholar] [CrossRef]
- Whelton, P.K.; Carey, R.M.; Aronow, W.S.; Casey, D.E.; Collins, K.J.; Dennison Himmelfarb, C.; DePalma, S.M.; Gidding, S.; Jamerson, K.A.; Jones, D.W.; et al. 2017 ACC/AHA/AAPA/ABC/ACPM/AGS/APhA/ASH/ASPC/NMA/PCNA Guideline for the Prevention, Detection, Evaluation, and Management of High Blood Pressure in Adults: A Report of the American College of Cardiology/American Heart Association Task Force on Clinical Practice Guidelines. Hypertension 2018, 71, e13–e115. [Google Scholar]
- Sardone, R.; Battista, P.; Donghia, R.; Lozupone, M.; Tortelli, R.; Guerra, V.; Grasso, A.; Griseta, C.; Castellana, F.; Zupo, R.; et al. Age-Related Central Auditory Processing Disorder, MCI, and Dementia in an Older Population of Southern Italy. Otolaryngol.—Head Neck Surg. 2020, 163, 348–355. [Google Scholar] [CrossRef]
- Czakó, C.; István, L.; Ecsedy, M.; Récsán, Z.; Sándor, G.; Benyó, F.; Horváth, H.; Papp, A.; Resch, M.; Borbándy, Á.; et al. The effect of image quality on the reliability of OCT angiography measurements in patients with diabetes. Int. J. Retina Vitreous 2019, 5, 46. [Google Scholar] [CrossRef]
- Garway-Heath, D.F.; Poinoosawmy, D.; Fitzke, F.W.; Hitchings, R.A. Mapping the visual field to the optic disc in normal tension glaucoma eyes. Ophthalmology 2000, 107, 1809–1815. [Google Scholar] [CrossRef]
- Shahlaee, A.; Pefkianaki, M.; Hsu, J.; Ho, J.C. Measurement of Foveal Avascular Zone Dimensions and its Reliability in Healthy Eyes Using Optical Coherence Tomography Angiography. Am. J. Ophthalmol. 2016, 161, 50–55.e1. [Google Scholar] [CrossRef] [PubMed]
- Downie, L.E.; Hodgson, L.A.; DSylva, C.; McIntosh, R.L.; Rogers, S.L.; Connell, P.; Wong, T.Y. Hypertensive retinopathy: Comparing the Keith-Wagener-Barker to a simplified classification. J. Hypertens. 2013, 31, 960–965. [Google Scholar] [CrossRef] [PubMed]
- Zhang, W.; He, K.; Zhao, H.; Hu, X.; Yin, C.; Zhao, X.; Shi, S. Association of body mass index and waist circumference with high blood pressure in older adults. BMC Geriatr. 2021, 21, 260. [Google Scholar] [CrossRef] [PubMed]
- Luck, T.; Luppa, M.; Briel, S.; Riedel-Heller, S.G. Incidence of mild cognitive impairment: A systematic review. Dement. Geriatr. Cogn. Disord. 2010, 29, 164–175. [Google Scholar] [CrossRef]
- Jeon, S.J.; Kwon, J.W.; La, T.Y.; Park, C.K.; Choi, J.A. Characteristics of Retinal Nerve Fiber Layer Defect in Nonglaucomatous Eyes with Type II Diabetes. Investig. Ophthalmol. Vis. Sci. 2016, 57, 4008–4015. [Google Scholar] [CrossRef][Green Version]
- Scuderi, G.; Fragiotta, S.; Scuderi, L.; Iodice, C.M.; Perdicchi, A. Ganglion Cell Complex Analysis in Glaucoma Patients: What Can It Tell Us? Eye Brain. 2020, 12, 33–44. [Google Scholar] [CrossRef]
- Mase, T.; Ishibazawa, A.; Nagaoka, T.; Yokota, H.; Yoshida, A. Radial Peripapillary Capillary Network Visualized Using Wide-Field Montage Optical Coherence Tomography Angiography. Investig. Ophthalmol. Vis. Sci. 2016, 57, OCT504–OCT510. [Google Scholar] [CrossRef]
- Liu, G.; Wang, Y.; Gao, P. Distributions of Radial Peripapillary Capillary Density and Correlations with Retinal Nerve Fiber Layer Thickness in Normal Subjects. Med. Sci. Monit. 2021, 27, e933601. [Google Scholar] [CrossRef]
- She, X.; Guo, J.; Liu, X.; Zhu, H.; Li, T.; Zhou, M.; Wang, F.; Sun, X. Reliability of Vessel Density Measurements in the Peripapillary Retina and Correlation with Retinal Nerve Fiber Layer Thickness in Healthy Subjects Using Optical Coherence Tomography Angiography. Ophthalmologica 2018, 240, 183–190. [Google Scholar] [CrossRef]
- Yu, D.Y.; Cringle, S.J.; Balaratnasingam, C.; Morgan, W.H.; Paula, K.Y.; Su, E.N. Retinal ganglion cells: Energetics, compartmentation, axonal transport, cytoskeletons and vulnerability. Prog. Retin. Eye Res. 2013, 36, 217–246. [Google Scholar] [CrossRef]
- Mansoori, T.; Sivaswamy, J.; Gamalapati, J.S.; Balakrishna, N. Radial Peripapillary Capillary Density Measurement Using Optical Coherence Tomography Angiography in Early Glaucoma. J. Glaucoma 2017, 26, 438–443. [Google Scholar] [CrossRef] [PubMed]
- Cerdà-Ibáñez, M.; Duch-Samper, A.; Clemente-Tomás, R.; Torrecillas-Picazo, R.; Ruiz del Río, N.; Manfreda-Dominguez, L. Correlation Between Ischemic Retinal Accidents and Radial Peripapillary Capillaries in the Optic Nerve Using Optical Coherence Tomographic Angiography: Observations in 6 Patients. Ophthalmol. Eye Dis. 2017, 9, 1179172117702889. [Google Scholar] [CrossRef] [PubMed]
- Augstburger, E.; Zéboulon, P.; Keilani, C.; Baudouin, C.; Labbé, A. Retinal and Choroidal Microvasculature in Nonarteritic Anterior Ischemic Optic Neuropathy: An Optical Coherence Tomography Angiography Study. Investig. Ophthalmol. Vis. Sci. 2018, 59, 870–877. [Google Scholar] [CrossRef] [PubMed]
- Hua, D.; Xu, Y.; Zhang, X.; He, T.; Chen, C.; Chen, Z.; Xing, Y. Retinal microvascular changes in hypertensive patients with different levels of blood pressure control and without hypertensive retinopathy. Curr. Eye Res. 2021, 46, 107–114. [Google Scholar] [CrossRef] [PubMed]
- You, Q.S.; Chan, J.C.; Ng, A.L.; Choy, B.K.; Shih, K.C.; Cheung, J.J.; Wong, J.K.; Shum, J.W.; Ni, M.Y.; Lai, J.S.; et al. Macular Vessel Density Measured with Optical Coherence Tomography Angiography and Its Associations in a Large Population-Based Study. Investig. Ophthalmol. Vis. Sci. 2019, 60, 4830–4837. [Google Scholar] [CrossRef] [PubMed]
- Bosch, A.J.; Harazny, J.M.; Kistner, I.; Friedrich, S.; Wojtkiewicz, J.; Schmieder, R.E. Retinal capillary rarefaction in patients with untreated mild-moderate hypertension. BMC Cardiovasc. Disord. 2017, 17, 300. [Google Scholar] [CrossRef] [PubMed]
- Kannenkeril, D.; Harazny, J.M.; Bosch, A.; Ott, C.; Michelson, G.; Schmieder, R.E.; Friedrich, S. Retinal vascular resistance in arterial hypertension. Blood Press. 2018, 27, 82–87. [Google Scholar] [CrossRef]
- Yang, Y.; Wang, J.; Jiang, H.; Yang, X.; Feng, L.; Hu, L.; Wang, L.; Lü, F.; Shen, M. Retinal Microvasculature Alteration in High Myopia. Investig. Ophthalmol. Vis. Sci. 2016, 57, 6020–6030. [Google Scholar] [CrossRef]
- Tan, W.; Yao, X.; Le, T.-T.; Tan, A.C.S.; Cheung, C.Y.; Chin, C.W.L.; Schmetterer, L.; Chua, J. The Application of Optical Coherence Tomography Angiography in Systemic Hypertension: A Meta-Analysis. Front. Med. 2021, 8, 778330. [Google Scholar] [CrossRef]
- Xu, Q.; Sun, H.; Huang, X.; Qu, Y. Retinal microvascular metrics in untreated essential hypertensives using optical coherence tomography angiography. Graefe’s Arch. Clin. Exp. Ophthalmol. 2021, 259, 395–403. [Google Scholar] [CrossRef]
- Chua, J.; Le, T.T.; Tan, B.; Ke, M.; Li, C.; Wong, D.W.; Tan, A.; Lamoureux, E.; Wong, T.Y.; Chin, C.W.; et al. Choriocapillaris microvasculature dysfunction in systemic hypertension. Sci. Rep. 2021, 11, 4603. [Google Scholar] [CrossRef] [PubMed]
- Sun, C.; Ladores, C.; Hong, J.; Nguyen, D.Q.; Chua, J.; Ting, D.; Schmetterer, L.; Wong, T.Y.; Cheng, C.Y.; Tan, A. Systemic hypertension associated retinal microvascular changes can be detected with optical coherence tomography angiography. Sci. Rep. 2020, 10, 9580. [Google Scholar] [CrossRef] [PubMed]
- Shin, Y.I.; Nam, K.Y.; Lee, W.H.; Ryu, C.K.; Lim, H.B.; Jo, Y.J.; Kim, J.Y. Peripapillary microvascular changes in patients with systemic hypertension: An optical coherence tomography angiography study. Sci. Rep. 2020, 10, 6541. [Google Scholar] [CrossRef] [PubMed]
- Lee, W.H.; Park, J.H.; Won, Y.; Lee, M.W.; Shin, Y.I.; Jo, Y.J.; Kim, J.Y. Retinal microvascular change in hypertension as measured by optical coherence tomography angiography. Sci. Rep. 2019, 9, 156. [Google Scholar] [CrossRef]
- Yu, J.; Xiao, K.; Huang, J.; Sun, X.; Jiang, C. Reduced Retinal Vessel Density in Obstructive Sleep Apnea Syndrome Patients: An Optical Coherence Tomography Angiography Study. Investig. Ophthalmol. Vis. Sci. 2017, 58, 3506–3512. [Google Scholar] [CrossRef]
- Hosking, S.L.; Harris, A.; Chung, H.S.; Jonescu-Cuypers, C.P.; Kagemann, L.; Hilton, E.J.R.; Garzozi, H. Ocular haemodynamic responses to induced hypercapnia and hyperoxia in glaucoma. Br. J. Ophthalmol. 2004, 88, 406–411. [Google Scholar] [CrossRef]
- Dell’Oro, R.; Lonati, L.; Mineo, C.; Buzzi, S.; Seravalle, G.; Facchetti, R.; Parati, G.; Mancia, G.; Grassi, G. Relationship between 24-h ambulatory blood pressure and retinal vascular abnormal-ities in hypertension. J. Hypertens. 2010, 28, e41. [Google Scholar] [CrossRef]
- Grassi, G.; Schmieder, R.E. The renaissance of the retinal microvascular network assessment in hypertension: New challeng-es. J. Hypertens. 2011, 29, 1289–1291. [Google Scholar] [CrossRef]
- Armstrong, R.A. Statistical guidelines for the analysis of data obtained from one or both eyes. Ophthalmic Physiol. Opt. 2013, 33, 7–14. [Google Scholar] [CrossRef]
- Yang, M.; Wang, W.; Xu, Q.; Tan, S.; Wei, S. Interocular symmetry of the peripapillary choroidal thickness and retinal nerve fibre layer thickness in healthy adults with isometropia. BMC Ophthalmol. 2016, 16, 182. [Google Scholar] [CrossRef]
- Lee, S.Y.; Jeoung, J.W.; Park, K.H.; Kim, D.M. Macular ganglion cell imaging study: Interocular symmetry of ganglion cell-inner plex-iform layer thickness in normal healthy eyes. Am. J. Ophthalmol. 2015, 159, 315–323.e2. [Google Scholar] [CrossRef] [PubMed]
- Cameron, J.R.; Megaw, R.D.; Tatham, A.J.; McGrory, S.; MacGillivray, T.J.; Doubal, F.N.; Wardlaw, J.M.; Trucco, E.; Chandran, S.; Dhillon, B. Lateral thinking—Interocular symmetry and asymmetry in neurovascular patterning, in health and disease. Prog. Retin. Eye Res. 2017, 59, 131–157. [Google Scholar] [CrossRef] [PubMed]
- Robertson, G.; Fleming, A.; Williams, M.C.; Trucco, E.; Quinn, N.; Hogg, R.; McKay, G.J.; Kee, F.; Young, I.; Pellegrini, E.; et al. Association between hypertension and retinal vascular features in ultra-widefield fundus imaging. Open Heart 2020, 7, e001124. [Google Scholar] [CrossRef]
- Baek, S.U.; Kim, Y.K.; Ha, A.; Kim, Y.W.; Lee, J.; Kim, J.-S.; Jeoung, J.W.; Park, K.H. Diurnal change of retinal vessel density and mean ocular perfusion pressure in patients with open-angle glaucoma. PLoS ONE 2019, 14, e0215684. [Google Scholar] [CrossRef] [PubMed]
- Kida, T.; Liu, J.H.; Weinreb, R.N. Effect of aging on nocturnal blood flow in the optic nerve head and macula in healthy hu-man eyes. J. Glaucoma 2008, 17, 366–371. [Google Scholar] [CrossRef] [PubMed]
- Berdahl, J.P.; Fautsch, M.P.; Stinnett, S.S.; Allingham, R.R. Intracranial pressure in primary open angle glaucoma, normal tension glauco-ma, and ocular hypertension: A case-control study. Investig. Ophthalmol. Vis. Sci. 2008, 49, 5412–5418. [Google Scholar] [CrossRef]
- Wang, Q.; Chan, S.; Yang, J.Y.; You, B.; Wang, Y.X.; Jonas, J.B.; Wei, W.B. Vascular Density in Retina and Choriocapillaris as Measured by Optical Coherence To-mography Angiography. Am. J. Ophthalmol. 2016, 168, 95–109. [Google Scholar] [CrossRef]

| Without Hypertension | With Hypertension | p * | |||
|---|---|---|---|---|---|
| Mean ± SD/ Sample Size | Median (Min to Max) | Mean ± SD/ Sample Size | Median (Min to Max) | ||
| Sociodemographic Assessment | |||||
| Subjects (%) | 114 (15.6) | 617 (84.4) | |||
| Age (years) | 73.2 ± 5.8 | 71.5 (65 to 89) | 73.4 ± 6.1 | 72 (65 to 95) | 0.93 |
| Sex | 0.23χ2 | ||||
| Males (%) | 52 (45.6) | -- | 245 (39.7) | -- | |
| Females (%) | 62 (54.4) | -- | 372 (60.3) | -- | |
| Male/Female (%) | 83.9 | 65.9 | |||
| Smokers | 9 (7.9) | -- | 36 (5.8) | -- | 0.40χ2 |
| Waist circumference (cm) | 99.7 ± 11.9 | 98 (70 to 127) | 103.8 ± 10.2 | 104 (70 to 139) | <0.01 |
| BMI (kg/m2) | 27.3 ± 4.6 | 27.3 (18.4 to 43) | 28.3 ± 4.7 | 27.9 (18.5 to 47.7) | 0.04 |
| MMSE | 26.1 ± 3.9 | 27 (13 to 30) | 26.5 ± 4.1 | 28 (1 to 30) | 0.33 |
| MCI | 9 (7.9) | -- | 117 (19) | -- | <0.01 |
| Metabolic Assessments | |||||
| SBP (mmHg) | 115.3 ± 6.4 | 120 (100 to 125) | 136.1 ± 13 | 140 (100 to 180) | <0.01 |
| DBP (mmHg) | 68.2 ± 4.6 | 70 (50 to 75) | 79.6 ± 6.7 | 80 (40 to 100) | <0.01 |
| HbA1c (mmol/mol) | 39.7 ± 9.5 | 39 (18 to 92) | 39.6 ± 9.2 | 38 (19 to 128) | 0.77 |
| HbA1c (%) | 5.8 | 5.7 (3.8 to 10.6) | 5.8 | 5.6 (3.9 to 13.9) | |
| Total cholesterol (mg/dL) | 178.4 ± 34.7 | 178 (85 to 270) | 186.6 ± 37.2 | 186 (79 to 386) | 0.04 |
| Triglycerides (mg/dL) | 93 ± 47.8 | 84.4 (17 to 292) | 104.7 ± 55.6 | 92 (30 to 520) | 0.02 |
| RBC (106 cells/mm3) | 4.7 ± 0.5 | 4.6 (3.2 to 6.8) | 4.8 ± 1.5 | 4.8 (2.9 to 40.8) | <0.01 |
| Hemoglobin (g/dL) | 13.4 ± 1.3 | 13.4 (9.5 to 16.9) | 13.9 ± 1.5 | 13.9 (9 to 18.5) | <0.01 |
| Without Hypertension | With Hypertension | ||||
|---|---|---|---|---|---|
| Mean ± SD | Median (Min to Max) | Mean ± SD | Median (Min to Max) | p Value * | |
| BCVA (LogMar) | 0.13 ± 0.3 | 0.03 (0 to 1.6) | 0.11 ± 0.2 | 0.03 (0 to 1.8) | 0.70 |
| IOP (mmHg) | 14.9 ± 3.4 | 14.4 (10 to 22) | 14.7 ± 3.1 | 14.5 (9 to 21) | 0.14 |
| GCC thickness (µm) | 99.2 ± 18 | 96.5 (65 to 237.8) | 95.4 ± 12.6 | 94.5 (44.7 to 180.1) | 0.04 |
| RNFL thickness (µm) | 97.6 ± 10.7 | 98 (62 to 128) | 95.5 ± 11 | 96 (57 to 127) | 0.06 |
| ONH peripapillary inferior temporal VD (%) | 63.7 ± 4.8 | 64.5 (46.2 to 71.9) | 62.2 ± 5.8 | 62.8 (38.9 to 72.3) | 0.02 |
| ONH inside Optic Disc VD (%) | 58.6 ± 8.2 | 59.4 (28.7 to 72.6) | 60.8 ± 6.4 | 62.1 (35.7 to 72.9) | <0.01 |
| RPC inside Optic Disc VD (%) | 38.7 ± 10.6 | 37.8 (13.3 to 67.2) | 42.9 ± 10.8 | 43 (13.3 to 67.2) | <0.01 |
| SSI | 61.3 ± 10.4 | 62 (34 to 87.6) | 62.6 ± 11.1 | 63.7 (2.1 to 87.6) | 0.20 |
| Raw Model | Adjusted Model | |||||||
|---|---|---|---|---|---|---|---|---|
| OR | CI 95% | Stand. Err. | OR | CI 95% | Stand. Err. | p | Adj. p | |
| GCC Thickness (µm) | 0.98 | 0.97 to 0.99 | 0.01 | 0.98 | 0.97 to 0.99 | 0.01 | 0.01 | 0.04 |
| Age (years) | 1 | 0.97 to 1.04 | 0.01 | 0.58 | 0.99 | |||
| Sex (Female) | 1.26 | 0.83 to 1.82 | 0.21 | 0.42 | 0.99 | |||
| BMI (Kg/m2) | 1.04 | 1.00 to 1.09 | 0.02 | 0.06 | 0.36 | |||
| IOP | 1.07 | 0.96 to 1.19 | 0.05 | 0.21 | 0.99 | |||
| MMSE | 1.03 | 0.98 to 1.09 | 0.02 | 0.22 | 0.99 | |||
| ONH peripapillary Inferior Temporal VD (%) | 0.95 | 0.91 to 0.99 | 0.02 | 0.95 | 0.91 to 0.99 | 0.02 | 0.01 | 0.05 |
| Age (years) | 1.01 | 0.97 to 1.05 | 0.01 | 0.61 | 0.99 | |||
| Sex (Female) | 1.17 | 0.77 to 1.79 | 0.21 | 0.45 | 0.99 | |||
| BMI (Kg/m2) | 1.04 | 1.00 to 1.09 | 0.02 | 0.07 | 0.49 | |||
| IOP | 1.07 | 0.96 to 1.19 | 0.05 | 0.20 | 0.99 | |||
| MMSE | 1.04 | 0.98 to 1.09 | 0.02 | 0.18 | 0.99 | |||
| ONH Inside Optic Disc VD (%) | 1.06 | 1.03 to 1.10 | 0.01 | 1.07 | 1.04 to 1.10 | 0.06 | <0.01 | <0.01 |
| Age (years) | 1.02 | 0.98 to 1.06 | 0.02 | 0.27 | 0.99 | |||
| Sex (Female) | 1.22 | 0.80 to 1.88 | 0.20 | 0.34 | 0.99 | |||
| BMI (Kg/m2) | 1.04 | 0.99 to 1.09 | 0.04 | 0.06 | 0.42 | |||
| Mean IOP | 1.07 | 0.96 to 1.19 | 0.07 | 0.18 | 0.99 | |||
| MMSE | 1.02 | 0.97 to 1.08 | 0.02 | 0.32 | 0.99 | |||
| RPC Inside Optic Disc VD (%) | 1.04 | 1.02 to 1.05 | 0.01 | 1.04 | 1.02 to 1.06 | 0.01 | <0.01 | <0.01 |
| Age (years) | 1.03 | 0.99 to 1.07 | 0.01 | 0.18 | 0.99 | |||
| Sex (Female) | 1.11 | 0.72 to 1.71 | 0.21 | 0.63 | 0.99 | |||
| BMI (Kg/m2) | 1.04 | 0.99 to 1.09 | 0.02 | 0.08 | 0.56 | |||
| IOP | 1.09 | 0.98 to 1.21 | 0.05 | 0.10 | 0.70 | |||
| MMSE | 1.04 | 0.98 to 1.09 | 0.02 | 0.17 | 0.99 | |||
Publisher’s Note: MDPI stays neutral with regard to jurisdictional claims in published maps and institutional affiliations. |
© 2022 by the authors. Licensee MDPI, Basel, Switzerland. This article is an open access article distributed under the terms and conditions of the Creative Commons Attribution (CC BY) license (https://creativecommons.org/licenses/by/4.0/).
Share and Cite
Niro, A.; Sborgia, G.; Lampignano, L.; Giuliani, G.; Castellana, F.; Zupo, R.; Bortone, I.; Puzo, P.; Pascale, A.; Pastore, V.; et al. Association of Neuroretinal Thinning and Microvascular Changes with Hypertension in an Older Population in Southern Italy. J. Clin. Med. 2022, 11, 1098. https://doi.org/10.3390/jcm11041098
Niro A, Sborgia G, Lampignano L, Giuliani G, Castellana F, Zupo R, Bortone I, Puzo P, Pascale A, Pastore V, et al. Association of Neuroretinal Thinning and Microvascular Changes with Hypertension in an Older Population in Southern Italy. Journal of Clinical Medicine. 2022; 11(4):1098. https://doi.org/10.3390/jcm11041098
Chicago/Turabian StyleNiro, Alfredo, Giancarlo Sborgia, Luisa Lampignano, Gianluigi Giuliani, Fabio Castellana, Roberta Zupo, Ilaria Bortone, Pasquale Puzo, Angelo Pascale, Valentina Pastore, and et al. 2022. "Association of Neuroretinal Thinning and Microvascular Changes with Hypertension in an Older Population in Southern Italy" Journal of Clinical Medicine 11, no. 4: 1098. https://doi.org/10.3390/jcm11041098
APA StyleNiro, A., Sborgia, G., Lampignano, L., Giuliani, G., Castellana, F., Zupo, R., Bortone, I., Puzo, P., Pascale, A., Pastore, V., Buonamassa, R., Galati, R., Bordinone, M., Cassano, F., Griseta, C., Tirelli, S., Lozupone, M., Bevilacqua, V., Panza, F., ... Boscia, F. (2022). Association of Neuroretinal Thinning and Microvascular Changes with Hypertension in an Older Population in Southern Italy. Journal of Clinical Medicine, 11(4), 1098. https://doi.org/10.3390/jcm11041098

