Human Tissue Analysis of Left Atrial Adipose Tissue and Atrial Fibrillation after Cox Maze Procedure
Abstract
1. Introduction
2. Material and Methods
2.1. Patient Population and Data Collection
2.2. Surgical Procedure
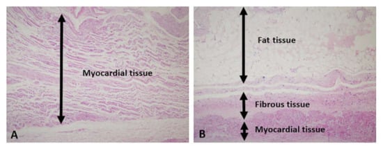
2.3. Pathological Analysis of Adipose Tissue
2.4. Postoperative Rhythm Follow-Up
2.5. Data Analysis
3. Results
3.1. Perioperative Characteristics
3.2. Operative Outcomes
3.3. Effects of Late Rhythm Outcomes and Adipose Component on AF Recurrence
4. Discussion
5. Conclusions
Supplementary Materials
Author Contributions
Funding
Institutional Review Board Statement
Informed Consent Statement
Data Availability Statement
Acknowledgments
Conflicts of Interest
References
- Lloyd-Jones, D.M.; Wang, T.J.; Leip, E.P.; Larson, M.G.; Levy, D.; Vasan, R.S.; D’Agostino, R.B.; Massaro, J.M.; Beiser, A.; Wolf, P.A.; et al. Lifetime risk for development of atrial fibrillation: The Framingham Heart Study. Circulation 2004, 110, 1042–1046. [Google Scholar] [CrossRef] [PubMed]
- Miyasaka, Y.; Barnes, M.E.; Gersh, B.J.; Cha, S.S.; Bailey, K.R.; Abhayaratna, W.P.; Seward, J.B.; Tsang, T.S. Secular trends in incidence of atrial fibrillation in Olmsted County, Minnesota, 1980 to 2000, and implications on the projections for future prevalence. Circulation 2006, 114, 119–125. [Google Scholar] [CrossRef] [PubMed]
- Hwang, S.K.; Yoo, J.S.; Kim, J.B.; Jung, S.-H.; Choo, S.J.; Chung, C.H.; Lee, J.W. Long-Term Outcomes of the Maze Procedure Combined with Mitral Valve Repair: Risk of Thromboembolism Without Anticoagulation Therapy. Ann. Thorac. Surg. 2015, 100, 840–843. [Google Scholar] [CrossRef] [PubMed]
- Wang, B.; Xu, Z.Y.; Han, L.; Zhang, G.X.; Lu, F.L.; Song, Z.G. Impact of preoperative atrial fibrillation on mortality and cardiovascular outcomes of mechanical mitral valve replacement for rheumatic mitral valve disease. Eur. J. Cardiothorac. Surg. 2013, 43, 513–519. [Google Scholar] [CrossRef] [PubMed]
- Khargi, K.; Hutten, B.A.; Lemke, B.; Deneke, T. Surgical treatment of atrial fibrillation; a systematic review. Eur. J. Cardiothorac. Surg. 2005, 27, 258–265. [Google Scholar] [CrossRef] [PubMed]
- Stojanovska, J.; Kazerooni, E.A.; Sinno, M.; Gross, B.H.; Watcharotone, K.; Patel, S.; Jacobson, J.A.; Oral, H. Increased epicardial fat is independently associated with the presence and chronicity of atrial fibrillation and radiofrequency ablation outcome. Eur. Radiol. 2015, 25, 2298–2309. [Google Scholar] [CrossRef] [PubMed]
- Chistiakov, D.A.; Grechko, A.V.; Myasoedova, V.A.; Melnichenko, A.A.; Orekhov, A.N. Impact of the cardiovascular system-associated adipose tissue on atherosclerotic pathology. Atherosclerosis 2017, 263, 361–368. [Google Scholar] [CrossRef] [PubMed]
- Goudis, C.A.; Vasileiadis, I.E.; Liu, T. Epicardial adipose tissue and atrial fibrillation: Pathophysiological mechanisms, clinical implications, and potential therapies. Curr. Med. Res. Opin. 2018, 34, 1933–1943. [Google Scholar] [CrossRef] [PubMed]
- Prasad, S.M.; Maniar, H.S.; Camillo, C.J.; Schuessler, R.B.; Boineau, J.P.; Sundt, T.M., III; Cox, J.L.; Damiano, R.J., Jr. The Cox-Maze III procedure for atrial fibrillation: Long-term efficacy in patients undergoing lone versus concomitant procedures. J. Thorac. Cardiovasc. Surg. 2003, 126, 1822–1828. [Google Scholar] [CrossRef]
- Izumoto, H.; Kawazoe, K.; Eishi, K.; Kamata, J. Medium-term results after the modified Cox/Maze procedure combined with other cardiac surgery. Eur. J. Cardiothorac. Surg. 2000, 17, 25–29. [Google Scholar] [CrossRef]
- Cox, J.L.; Ad, N.; Palazzo, T.; Fitzpatrick, S.; Suyderhoud, J.P.; DeGroot, K.W.; Pirovic, E.A.; Lou, H.G.; Duvall, W.Z.; Kim, Y.D. Current Status of the Maze Procedure for the Treatment of Atrial Fibrillation. Semin. Thorac. Cardiovasc. Surg. 2000, 12, 15–19. [Google Scholar] [CrossRef]
- Biffi, M.; Boriani, G.; Bartolotti, M.; Bacchi Reggiani, L.; Zannoli, R.; Branzi, A. Atrial fibrillation recurrence after internal cardioversion: Prognostic importance of electrophysiological parameters. Heart 2002, 87, 443–448. [Google Scholar] [CrossRef] [PubMed][Green Version]
- Je, H.G.; Lee, J.W.; Jung, S.H.; Choo, S.J.; Song, H.; Yun, S.C.; Chung, C.H. Risk factors analysis on failure of maze procedure: Mid-term results. Eur. J. Cardiothorac. Surg. 2009, 36, 272–278, discussion 8–9. [Google Scholar] [CrossRef] [PubMed]
- Nalliah, C.J.; Bell, J.R.; Raaijmakers, A.J.A.; Waddell, H.M.; Wells, S.P.; Bernasochi, G.B.; Montgomery, K.M.; Binny, S.; Watts, T.; Joshi, S.B.; et al. Epicardial Adipose Tissue Accumulation Confers Atrial Conduction Abnormality. J. Am. Coll. Cardiol. 2020, 76, 1197–1211. [Google Scholar] [CrossRef] [PubMed]
- Bertaso, A.G.; Bertol, D.; Duncan, B.B.; Foppa, M. Epicardial fat: Definition, measurements and systematic review of main outcomes. Arq. Bras. Cardiol. 2013, 101, e18–e28. [Google Scholar] [CrossRef] [PubMed]
- Boas, F.; Fleischmann, D. CT artifacts: Causes and reduction techniques. Imaging Med. 2012, 4, 229–240. [Google Scholar] [CrossRef]
- Sánchez, Q.J.; Marín, F.; Roldán, V.; Lip, G.Y. The impact of statin use on atrial fibrillation. QJM 2008, 101, 845–861. [Google Scholar] [CrossRef] [PubMed][Green Version]




| Variables | N = 115 |
|---|---|
| Age, years | 60.49 ± 10.49 |
| Male | 56 (35%) |
| AF duration, months | 41.02 ± 67.01 |
| AF type | |
| Paroxysmal | 21 (13.1%) |
| Persistent | 70 (43.8%) |
| Long-standing | 69 (43.1%) |
| Body mass index, kg/m2 | 23.60 ± 3.26 |
| Smoking | 151 (94.4%) |
| Hypertension | 104 (65%) |
| Diabetes mellitus | 33 (20.6%) |
| Chronic kidney disease | 9 (5.6%) |
| Stroke history | 41 (25.6%) |
| Peripheral vascular disease | 3 (1.9%) |
| Coronary artery disease | 21 (13.3%) |
| Preoperative RF ablation | 6 (3.8%) |
| Cholesterol, mg/dL | 169.18 ± 36.280 |
| LDL cholesterol, mg/dL | 97.46 ± 31.597 |
| HDL cholesterol, mg/dL | 43.41 ± 10.707 |
| Triglyceride, mg/dL | 119.11 ± 64.394 |
| Variables | N = 115 |
|---|---|
| Concomitant surgery | |
| Aortic valve replacement | 48 (30%) |
| Mitral valve repair or replacement | 148 (92.5%) |
| Tricuspid annuloplasty | 122 (76.3%) |
| Type of maze | |
| Left atrium only | 10 (6.3%) |
| Left and right atrium | 150 (93.8%) |
| Ejection fraction, % | |
| Preoperative | 59.53 ± 11.38 |
| Postoperative | 58.71 ± 8.79 |
| Left atrial volume index, mL/m2 | |
| Preoperative | 101.04 ± 46.63 |
| Postoperative | 73.89 ± 30.83 |
| ICU stay, days | 3.38 ± 6.19 |
| Hospitalization period, days | 13.92 ± 12.14 |
| RF ablation for AF recurrence | 9 (7.8%) |
| Permanent pacemaker insertion | 7 (6.1%) |
| Variables | No Recurrence (n = 83) | Recurrence (n = 32) | p Value |
|---|---|---|---|
| Age, years | 57.59 ± 10.49 | 61.78 ± 10.19 | 0.055 |
| Male | 27 (32.5%) | 9 (28.1%) | 0.648 |
| Body mass index, kg/m2 | 23.78 ± 3.09 | 23.52 ± 3.29 | 0.686 |
| AF type | 0.240 | ||
| Paroxysmal | 14 (16.9%) | 3 (9.4%) | |
| Persistent | 41 (49.4%) | 13 (40.6%) | |
| Long-standing | 28 (33.7%) | 16 (50.0%) | |
| Smoking | 80 (96.4%) | 29 (90.6%) | 0.346 |
| Hypertension | 57 (68.7%) | 21 (65.6%) | 0.754 |
| Diabetes mellitus | 16 (19.3%) | 6 (18.8%) | 0.949 |
| Chronic kidney disease | 2 (2.4%) | 2 (6.3%) | 0.309 |
| CVA history | 17 (20.5%) | 8 (25.0%) | 0.599 |
| Coronary artery disease | 9 (10.8%) | 2 (6.3%) | 0.725 |
| Total cholesterol, mg/dL | 172.80 ± 35.918 | 159.91 ± 36.102 | 0.088 |
| LDL cholesterol, mg/dL | 99.70 ± 30.851 | 82.10 ± 33.211 | 0.263 |
| HDL cholesterol, mg/dL | 43.41 ± 11.275 | 43.42 ± 9.387 | 0.995 |
| Triglyceride, mg/dL | 124.19 ± 72.452 | 107.00 ± 37.236 | 0.113 |
| Adipose tissue, % | 9.48 ± 10.79 | 16.17 ± 14.32 | 0.021 |
| Fibrosis, % | 5.08 ± 9.19 | 5.656 ± 9.81 | 0.770 |
| Type of maze | 0.671 | ||
| LA only | 6 (7.2%) | 1 (3.1%) | |
| Both atriums | 77 (92.8%) | 31 (96.9%) | |
| Ejection fraction, % | 59.06 ± 11.28 | 60.84 ± 13.59 | 0.849 |
| LAVI, mL/m2 | 93.45 ± 33.42 | 96.80 ± 33.67 | 0.641 |
| Variables | Univariate | Multivariate | ||
|---|---|---|---|---|
| HR (95% CI) | p Value | HR (95% CI) | p Value | |
| Female | 1.436 (0.641–3.217) | 0.380 | ||
| Age, per year | 1.055 (1.015–1.096) | 0.007 | 1.045 (1.005–1.087) | 0.026 |
| Persistent vs. paroxysmal | 1.219 (0.346–4.297) | 0.758 | ||
| Long-standing vs. paroxysmal | 2.112 (0.605–7.373) | 0.241 | ||
| Body mass index, per kg/m2 | 1.063 (0.940–1.201) | 0.329 | ||
| Smoking | 4.834 (0.566–41.253) | 0.150 | ||
| Hypertension | 0.850 (0.399–1.814) | 0.675 | ||
| Diabetes mellitus | 0.886 (0.360–2.178) | 0.792 | ||
| Chronic kidney disease | 2.680 (0.628–11.442) | 0.183 | ||
| CVA history | 0.166 (0.730–3.755) | 0.227 | ||
| Coronary artery disease | 0.583 (0.139–2.457) | 0.463 | ||
| Total cholesterol, per mg/dL | 0.994 (0.984–1.004) | 0.240 | ||
| LDL cholesterol, per mg/dL | 0.996 (0.984–1.007) | 0.444 | ||
| HDL cholesterol, per mg/dL | 0.994 (0.963–1.027) | 0.726 | ||
| Triglyceride, per mg/dL | 0.997 (0.990–1.004) | 0.358 | ||
| Adipose tissue | 1.045 (1.021–1.070) | <0.001 | 1.046 (1.021–1.071) | <0.001 |
| Fibrosis | 1.016 (0.984–1.048) | 0.336 | ||
| AVR | 1.487 (0.656–3.373) | 0.342 | ||
| MVR or MVP | 1.195 (0.161–8.847) | 0.862 | ||
| TAP | 0.687 (0.305–1.550) | 0.366 | ||
| Maze type | ||||
| LA only vs. both atriums | 1.869 (0.251–13.940) | 0.542 | ||
| Ejection fraction, per % | 1.003 (0.973–1.033) | 0.865 | ||
| LAVI, per ml/m2 | 1.005 (0.994–1.016) | 0.396 | ||
Publisher’s Note: MDPI stays neutral with regard to jurisdictional claims in published maps and institutional affiliations. |
© 2022 by the authors. Licensee MDPI, Basel, Switzerland. This article is an open access article distributed under the terms and conditions of the Creative Commons Attribution (CC BY) license (https://creativecommons.org/licenses/by/4.0/).
Share and Cite
Kim, J.-H.; Song, J.-Y.; Shim, H.-S.; Lee, S.; Youn, Y.-N.; Joo, H.-C.; Yoo, K.-J.; Lee, S.-H. Human Tissue Analysis of Left Atrial Adipose Tissue and Atrial Fibrillation after Cox Maze Procedure. J. Clin. Med. 2022, 11, 826. https://doi.org/10.3390/jcm11030826
Kim J-H, Song J-Y, Shim H-S, Lee S, Youn Y-N, Joo H-C, Yoo K-J, Lee S-H. Human Tissue Analysis of Left Atrial Adipose Tissue and Atrial Fibrillation after Cox Maze Procedure. Journal of Clinical Medicine. 2022; 11(3):826. https://doi.org/10.3390/jcm11030826
Chicago/Turabian StyleKim, Jung-Hwan, Joon-Young Song, Hyo-Sup Shim, Sak Lee, Young-Nam Youn, Hyun-Chel Joo, Kyung-Jong Yoo, and Seung-Hyun Lee. 2022. "Human Tissue Analysis of Left Atrial Adipose Tissue and Atrial Fibrillation after Cox Maze Procedure" Journal of Clinical Medicine 11, no. 3: 826. https://doi.org/10.3390/jcm11030826
APA StyleKim, J.-H., Song, J.-Y., Shim, H.-S., Lee, S., Youn, Y.-N., Joo, H.-C., Yoo, K.-J., & Lee, S.-H. (2022). Human Tissue Analysis of Left Atrial Adipose Tissue and Atrial Fibrillation after Cox Maze Procedure. Journal of Clinical Medicine, 11(3), 826. https://doi.org/10.3390/jcm11030826

