Multidisciplinary Postoperative Validation of 18F-FDG PET/CT Scan in Nodal Staging of Resected Non-Small Cell Lung Cancer
Abstract
1. Introduction
2. Materials and Methods
2.1. Patients
2.2. PET/CT Scan
2.3. Interdisciplinary Tumor Board (MDT)
2.4. Mediastinal Lymphadenectomy—Surgical Technique
2.5. Histopathological Examination
2.6. Data Analysis and Postoperative Validation
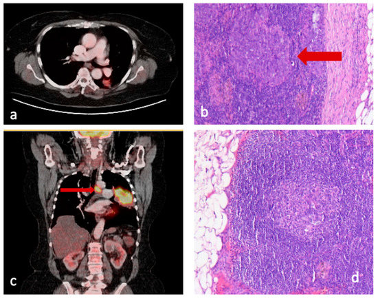
- Group 1 included patients with pathologically confirmed lymph node involvement. Subgroup 1.1 showed no discrepancy between presumed pre- and confirmed postoperative lymph node involvement, whereas subgroup 1.2 patients were PET-negative but had pathologically positive lymph nodes (false negative, Figure 1a,b).
- Group 2 consisted of patients with no pathological detection of infiltrated lymph nodes. Subgroup 2.1 showed no discrepancy, but subgroup 2.2. included patients with suspected increased glucose uptake on PET/CT (indicating preoperatively presumed lymph node involvement) but without histopathological confirmation (false positive, Figure 1b,c).
- Maximum size and number of lymph nodes per station;
- Distribution of metastasis in a single lymph node (Figure 2)- -
- Focal metastasis
- -
- Subtotal nodular metastasis (>50% of the extent of the lymph node)
- -
- Multifocal nodular metastases
 
- 3.
- Tumor spread (within the lymph node or extracapsular).
2.7. Statistical Analysis
3. Results
- Histology
3.1. Results in Subgroup 1.2
- Size
- Localization
- Extracapsular LNM
3.2. Results in Subgroup 2.2
3.3. Impact of SUVmax on the Detection of LNM on PET/CT
3.4. Comparison between Pre- and Postoperative TNM Classification
3.5. Detection of LNM by 18F-FDG PET/CT
4. Discussion
5. Conclusions
Author Contributions
Funding
Institutional Review Board Statement
Informed Consent Statement
Data Availability Statement
Acknowledgments
Conflicts of Interest
References
- Detterbeck, F.C.; Lewis, S.Z.; Diekemper, R.; Addrizzo-Harris, D.; Alberts, W.M. Executive Summary: Diagnosis and management of lung cancer, 3rd ed: American College of Chest Physicians evidence-based clinical practice guidelines. Chest 2013, 143 (Suppl. S5), 7S–37S. [Google Scholar] [CrossRef] [PubMed]
- Detterbeck, F.C.; Boffa, D.J.; Kim, A.W.; Tanoue, L.T. The Eighth Edition Lung Cancer Stage Classification. Chest 2017, 151, 193–203. [Google Scholar] [CrossRef] [PubMed]
- Schrevens, L.; Lorent, N.; Dooms, C.; Vansteenkiste, J. The role of PET scan in diagnosis, staging, and management of non-small cell lung cancer. Oncologist 2004, 9, 633–643. [Google Scholar] [CrossRef] [PubMed]
- Hellwig, D.; Ukena, D.; Paulsen, F.; Bamberg, M.; Kirsch, C.M.; Onko-PET der Deutschen Gesellschaft fur Nuklearmedizin. Metaanalyse zum Stellenwert der Positronen-Emissions-Tomographie mit F-18-Fluorodesoxyglukose (FDG-PET) bei Lungentumoren. Diskussionsbasis der deutschen Konsensus-Konferenz Onko-PET 2000—[Meta-analysis of the efficacy of positron emission tomography with F-18-fluorodeoxyglucose in lung tumors. Basis for discussion of the German Consensus Conference on PET in Oncology 2000]. Pneumologie 2001, 55, 367–377. [Google Scholar] [PubMed]
- Kandathil, A.; Kay, F.U.; Butt, Y.M.; Wachsmann, J.W.; Subramaniam, R.M. Role of FDG PET/CT in the Eighth Edition of TNM Staging of Non-Small Cell Lung Cancer. Radiographics 2018, 38, 2134–2149. [Google Scholar] [CrossRef] [PubMed]
- Mountain, C.F.; Dresler, C.M. Regional lymph node classification for lung cancer staging. Chest 1997, 111, 1718–1723. [Google Scholar] [CrossRef]
- Antoch, G.; Stattaus, J.; Nemat, A.T.; Marnitz, S.; Beyer, T.; Kuehl, H.; Bockisch, A.; Debatin, J.F.; Freudenberg, L.S. Non-small cell lung cancer: Dual-modality PET/CT in preoperative staging. Radiology 2003, 229, 526–533. [Google Scholar] [CrossRef]
- Silvestri, G.A.; Gonzalez, A.V.; Jantz, M.A.; Margolis, M.L.; Gould, M.K.; Tanoue, L.T.; Harris, L.J.; Detterbeck, F.C. Methods for staging non-small cell lung cancer: Diagnosis and management of lung cancer, 3rd ed: American College of Chest Physicians evidence-based clinical practice guidelines. Chest 2013, 143 (Suppl. S5), e211S–e250S. [Google Scholar] [CrossRef]
- Beslic, N.; Sadija, A.; Ceric, T.; Milardovic, R.; Ceric, S.; Cavaljuga, S. Value of Positron Emission Tomography/Computed Tomography (PET-CT) in Suspected Non-small Cell Lung Cancer Recurrence and Impact on Patient Management. Acta Inform. Med. 2016, 24, 296–298. [Google Scholar] [CrossRef]
- Wunderbaldinger, P.; Bankier, A.A.; Strasser, G.; Hoffmann, U.; Schäfer-Prokop, C.; Herold, C.J. Staging des Bronchialkarzinoms [Staging of bronchial carcinoma]. Radiologe 1999, 39, 525–537. [Google Scholar] [CrossRef]
- Yang, D.D.; Mirvis, E.; Goldring, J.; Patel, A.R.C.; Wagner, T. Improving diagnostic performance of 18F-FDG-PET/CT for assessment of regional nodal involvement in non-small cell lung cancer. Clin. Radiol. 2019, 74, 818.e17–818.e23. [Google Scholar] [CrossRef] [PubMed]
- Lee, Y.S.; Kim, J.S.; Kim, J.Y.; Kim, B.I.; Lim, S.M.; Kim, H.J. Spatial resolution and image qualities of Zr-89 on Siemens Biograph TruePoint PET/CT. Cancer Biother. Radiopharm. 2015, 30, 27–32. [Google Scholar] [CrossRef] [PubMed]
- Krause, B.J.; Beyer, T.; Bockisch, A.; Delbeke, D.; Kotzerke, J.; Minkov, V.; Reiser, M.; Willich, N. FDG-PET/CT in der Onkologie. Leitlinie [FDG-PET/CT in oncology. German Guideline]. Nuklearmedizin 2007, 46, 291–301. [Google Scholar] [CrossRef]
- Crinò, L.; Weder, W.; van Meerbeeck, J.; Felip, E.; ESMO Guidelines Working Group. Early stage and locally advanced (non-metastatic) non-small-cell lung cancer: ESMO Clinical Practice Guidelines for diagnosis, treatment and follow-up. Ann. Oncol. 2010, 21 (Suppl. S5), v103–v115. [Google Scholar] [CrossRef] [PubMed]
- Maconachie, R.; Mercer, T.; Navani, N.; McVeigh, G.; Guideline Committee. Lung cancer: Diagnosis and management: Summary of updated NICE guidance. BMJ 2019, 364, l1049. [Google Scholar] [CrossRef] [PubMed]
- AWMF German Guidelines. S3-Leitlinie: Prävention, Diagnostik, Therapie und Nachsorge des Lungenkarzinoms, Version 2.0—November 2022 (AWMF-Registernummer: 020/007OL). Available online: https://register.awmf.org/assets/guidelines/020-007OLl_S3_Praevention-Diagnostik-Therapie-Nachsorge-Lungenkarzinom_2022-11.pdf (accessed on 2 December 2022).
- Wenzel, S.; Sagowski, C.; Kehrl, W.; Metternich, F.U. The prognostic impact of metastatic pattern of lymph nodes in patients with oral and oropharyngeal squamous cell carcinomas. Eur. Arch. Otorhinolaryngol. 2004, 261, 270–275. [Google Scholar]
- Tóth, C. Klinikopathologie der granulomatösen Entzündung: Unter besonderer Berücksichtigung von Lunge und Zentralnervensystem [Clinical pathology of granulomatous inflammation: With special emphasis on the lungs and central nervous system]. Radiologe 2016, 56, 856–865. [Google Scholar] [CrossRef]
- Grünewaldt, A.; Wagner, T.O. Epitheloidzellige Granulome bei bronchialem Adenokarzinom vom überwiegend muzinösen Typ [Epitheloid cell granulomas in bronchial invasive mucinous adenocarcinoma]. Pneumologie 2015, 69, 89–92. [Google Scholar]
- Rüdiger, T.; Geissinger, E. Infektiöse Lymphadenitiden [Infectious lymphadenitis]. Pathologe 2011, 32, 428–435. [Google Scholar] [CrossRef]
- Chung, J.H.; Cho, K.J.; Lee, S.S.; Baek, H.J.; Park, J.H.; Cheon, G.J.; Choi, C.W.; Lim, S.M. Overexpression of Glut1 in lymphoid follicles correlates with false-positive (18)F-FDG PET results in lung cancer staging. J. Nucl. Med. 2004, 45, 999–1003. [Google Scholar]
- Zhu, S.H.; Zhang, Y.; Yu, Y.H.; Fu, Z.; Kong, L.; Han, D.L.; Fu, L.; Yu, J.M.; Li, J. FDG PET-CT in non-small cell lung cancer: Relationship between primary tumor FDG uptake and extensional or metastatic potential. Asian Pac. J. Cancer Prev. 2013, 14, 2925–2929. [Google Scholar] [CrossRef] [PubMed]
- Nambu, A.; Kato, S.; Sato, Y.; Okuwaki, H.; Nishikawa, K.; Saito, A.; Matsumoto, K.; Ichikawa, T.; Araki, T. Relationship between maximum standardized uptake value (SUVmax) of lung cancer and lymph node metastasis on FDG-PET. Ann. Nucl. Med. 2009, 23, 269–275. [Google Scholar] [CrossRef] [PubMed]
- Subedi, N.; Scarsbrook, A.; Darby, M.; Korde, K.; Mc Shane, P.; Muers, M.F. The clinical impact of integrated FDG PET-CT on management decisions in patients with lung cancer. Lung Cancer 2009, 64, 301–307. [Google Scholar] [CrossRef] [PubMed]
- Shen, G.; Lan, Y.; Zhang, K.; Ren, P.; Jia, Z. Comparison of 18F-FDG PET/CT and DWI for detection of mediastinal nodal metastasis in non-small cell lung cancer: A meta-analysis. PLoS ONE 2017, 12, e0173104. [Google Scholar]
- Cerfolio, R.J.; Ojha, B.; Bryant, A.S.; Raghuveer, V.; Mountz, J.M.; Bartolucci, A.A. The accuracy of integrated PET-CT compared with dedicated PET alone for the staging of patients with nonsmall cell lung cancer. Ann. Thorac. Surg. 2004, 78, 1017–1023; discussion 1017-23. [Google Scholar] [CrossRef]
- Freudenberg, L.S.; Pink, R.; Beyer, T.; Debatin, J.F.; Bockisch, A.; Antoch, G. FDG-PET/CT bei Bronchialkarzinomen. Der Nukl. 2003, 26, 273–277. (In German) [Google Scholar]
- Bertoglio, P.; Ricciardi, S.; Alì, G.; Aprile, V.; Korasidis, S.; Palmiero, G.; Fontanini, G.; Mussi, A.; Lucchi, M. N2 lung cancer is not all the same: An analysis of different prognostic groups. Interact. Cardiovasc. Thorac. Surg. 2018, 27, 720–726. [Google Scholar] [CrossRef]
- Bertoglio, P.; Ventura, L.; Aprile, V.; Cattoni, M.A.; Nachira, D.; Lococo, F.; Rodriguez Perez, M.; Guerrera, F.; Minervini, F.; Gnetti, L.; et al. Prognostic role of standard uptake value according to pathologic features of lung adenocarcinoma. Tumori 2022, 108, 461–469. [Google Scholar] [CrossRef]




| Station | N2 | Description | Station | N | Description | 
|---|---|---|---|---|---|
| 1 | N2 | Highest mediastinal | 8 | N2 | Paraesophageal | 
| 2 | N2 | Upper paratracheal | 9 | N2 | Pulmonary ligament | 
| 3 | N2 | Prevascular and retrotracheal | 10 | N1 | Hilar | 
| 4 | N2 | Lower paratracheal (including azygos nodes) | 11 | N1 | Interlobar | 
| 5 | N2 | Subaortic (aortopulmonary window) | 12 | N1 | Lobar | 
| 6 | N2 | Para-aortic (ascending aorta or phrenic) | 13 | N1 | Segmental | 
| 7 | N2 | Subcarinal | 14 | N1 | Subsegmental | 
| Group 1 (24 patients) Pathologically confirmed lymph node involvement | Group 1.1 (12 patients) 18F-FDG PET/CT positive and histopathology positive → No discrepancy between presumed pre- and confirmed postoperative lymph node involvement Group 1.2 (12 patients) 18F-FDG PET/CT negative and histopathology positive → discrepancy (False negative) | 
| Group 2 (63 patients) Lymph nodes free from disease after pathological examination | Group 2.1 (56 patients) 18F-FDG PET/CT negative and histopathology negative → no discrepancy Group 2.2 (7 patients) 18F-FDG PET/CT positive and histopathology negative → discrepancy (False positive) | 
| Group (Number of Patients) | Adenocarcinoma | Squamous Cell Carcinoma | 
|---|---|---|
| 1.1 (12) | 6 | 6 | 
| 1.2 (12) | 7 | 5 | 
| 2.1 (56) | 29 | 27 | 
| 2.2 (7) | 3 | 4 | 
| Patients in Group 1.2 | Number LNM (n) | LNM Size (mm) | 
|---|---|---|
| 1 | 1 | 1 | 
| 2 | 1 | 4 | 
| 3 | 1 | 10 | 
| 4 | 2 | 4; 2 | 
| 5 | 6 | 2.5; 3; 2 × 4; 2 × 5 | 
| 6 | 1 | 5 | 
| 7 | 10 | 1.5; 2; 3 × 3; 5; 2 × 6; 8; 11 | 
| 8 | 1 | 3 | 
| 9 | 1 | 7 | 
| 10 | 2 | 1; 1.5 | 
| 11 | 1 | 11 | 
| 12 | 4 | 1.5; 4; 5; 8 | 
| Pattern of LNM Distribution (Figure 2) | Number (n) | Rate (%) | 
|---|---|---|
| 1 | 7 | 22.58 | 
| 2 | 12 | 38.71 | 
| 3A | 0 | 0 | 
| 3B | 3 | 9.68 | 
| 4 | 9 | 29.03 | 
| Extracapsular Invasion | Number (n) | Rate (%) | 
|---|---|---|
| Present | 9 | 29.03 | 
| Absent | 22 | 70.97 | 
| Lymph Node Tissue Reaction | Number of Stations Involved (n) | Rate (%) | ||
|---|---|---|---|---|
| Group 2.2 | Group 2.1 | Group 2.2 | Group 2.1 | |
| Sarcoid-like lesions | 1 | 0 | 6.7 | 0 | 
| Silico-anthracosis | 5 | 5 | 33.3 | 9 | 
| Lymphofollicular hyperplasia | 7 | 17 | 46.7 | 31 | 
| Normal tissue | 2 | 33 | 13.3 | 60 | 
| cTNM (Preoperative) | pTNM (Postoperative) | 
|---|---|
| cT1b/cN0/cM0 → IA | pT1b/pN1/cM0 → IIA | 
| cT2b/cN0/cM0 → IIA | pT3/pN1/cM0 → IIIA | 
| cT1a/cN0/cM0 → IA | pT1b/pN1/cM0 → IIA | 
| cT2a/cN0/cM0 → IB | pT2a/pN1/cM0 → IIA | 
| cT2a/cN0/cM0 → IB | pT3/pN2/cM0 → IIIA | 
| cT2b/cN0/cM0 → IIA | pT2b/pN1/cM0 → IIB | 
| pT2a/cN0/cM0 → IB | pT2b/pN2/cM0 → IIIA | 
| pT2b/cN0/cM1b → IV | pT2a/pN1/cM0 → IIA | 
| cT1b/cN0/cM1b → IV | pT1b/pN1/cM0 → IIA | 
| cT1a/cN0/cM0 → IA | pT2a/pN2/cM0 → IIIA | 
| cT2b/cN0/cM0 → IIA | pT2b/pN1/cM0 → IIB | 
| pT1b/cN0/cM0 → IA | pT1b/pN1/cM0 → IIA | 
| cTNM (Preoperative) | pTNM (Postoperative) | 
|---|---|
| cT2b/cN1/cM0 → IIB | pT2b/pN0/cM0 → IIA | 
| cT2b/cN2/cM1a → IV | pT2b/pN0/cM1a → IV | 
| cT2a/cN2/cM0 → IIIA | pT2b/pN0/cM0 → IIA | 
| cT2b/cN1/cM0 → IIB | pT1a/pN0/cM0 → IA | 
| cT2a/cN1/cM0 → IIA | pT2a/pN0/cM0 → IB | 
| cT1b/cN1/cM0 → IIA | pT1a/pN0/cM0 → IA | 
| cT3/cN1/cM0 → IIIA | pTx/pN0/cM0 → nicht bestimmbar | 
| 18F-FDG PET/CT in Correlation with Pathology Findings | Number of Patients | 
|---|---|
| Positive (18F-FDG PET/CT positive and histopathology positive) | 12 | 
| False positive (18F-FDG PET/CT positive and histopathology negative) | 7 | 
| Negative (18F-FDG PET/CT negative and histopathology negative) | 56 | 
| False negative (18F-FDG PET/CT negative and histopathology positive) | 12 | 
| Publisher’s Note: MDPI stays neutral with regard to jurisdictional claims in published maps and institutional affiliations. | 
© 2022 by the authors. Licensee MDPI, Basel, Switzerland. This article is an open access article distributed under the terms and conditions of the Creative Commons Attribution (CC BY) license (https://creativecommons.org/licenses/by/4.0/).
Share and Cite
Bedetti, B.; Schnorr, P.; May, S.; Ruhlmann, J.; Ahmadzadehfar, H.; Essler, M.; Quaas, A.; Büttner, R.; Schmidt, J.; Palmedo, H.; et al. Multidisciplinary Postoperative Validation of 18F-FDG PET/CT Scan in Nodal Staging of Resected Non-Small Cell Lung Cancer. J. Clin. Med. 2022, 11, 7215. https://doi.org/10.3390/jcm11237215
Bedetti B, Schnorr P, May S, Ruhlmann J, Ahmadzadehfar H, Essler M, Quaas A, Büttner R, Schmidt J, Palmedo H, et al. Multidisciplinary Postoperative Validation of 18F-FDG PET/CT Scan in Nodal Staging of Resected Non-Small Cell Lung Cancer. Journal of Clinical Medicine. 2022; 11(23):7215. https://doi.org/10.3390/jcm11237215
Chicago/Turabian StyleBedetti, Benedetta, Philipp Schnorr, Sarah May, Jürgen Ruhlmann, Hojjat Ahmadzadehfar, Markus Essler, Alexander Quaas, Reinhard Büttner, Joachim Schmidt, Holger Palmedo, and et al. 2022. "Multidisciplinary Postoperative Validation of 18F-FDG PET/CT Scan in Nodal Staging of Resected Non-Small Cell Lung Cancer" Journal of Clinical Medicine 11, no. 23: 7215. https://doi.org/10.3390/jcm11237215
APA StyleBedetti, B., Schnorr, P., May, S., Ruhlmann, J., Ahmadzadehfar, H., Essler, M., Quaas, A., Büttner, R., Schmidt, J., Palmedo, H., Ko, Y.-D., & Wilhelm, K. (2022). Multidisciplinary Postoperative Validation of 18F-FDG PET/CT Scan in Nodal Staging of Resected Non-Small Cell Lung Cancer. Journal of Clinical Medicine, 11(23), 7215. https://doi.org/10.3390/jcm11237215
 
        



 
       