Age and Oversizing Influence Iliac Dilatation after EVAR
Abstract
1. Introduction
2. Materials and Methods
2.1. Patient Selection and Follow-Up
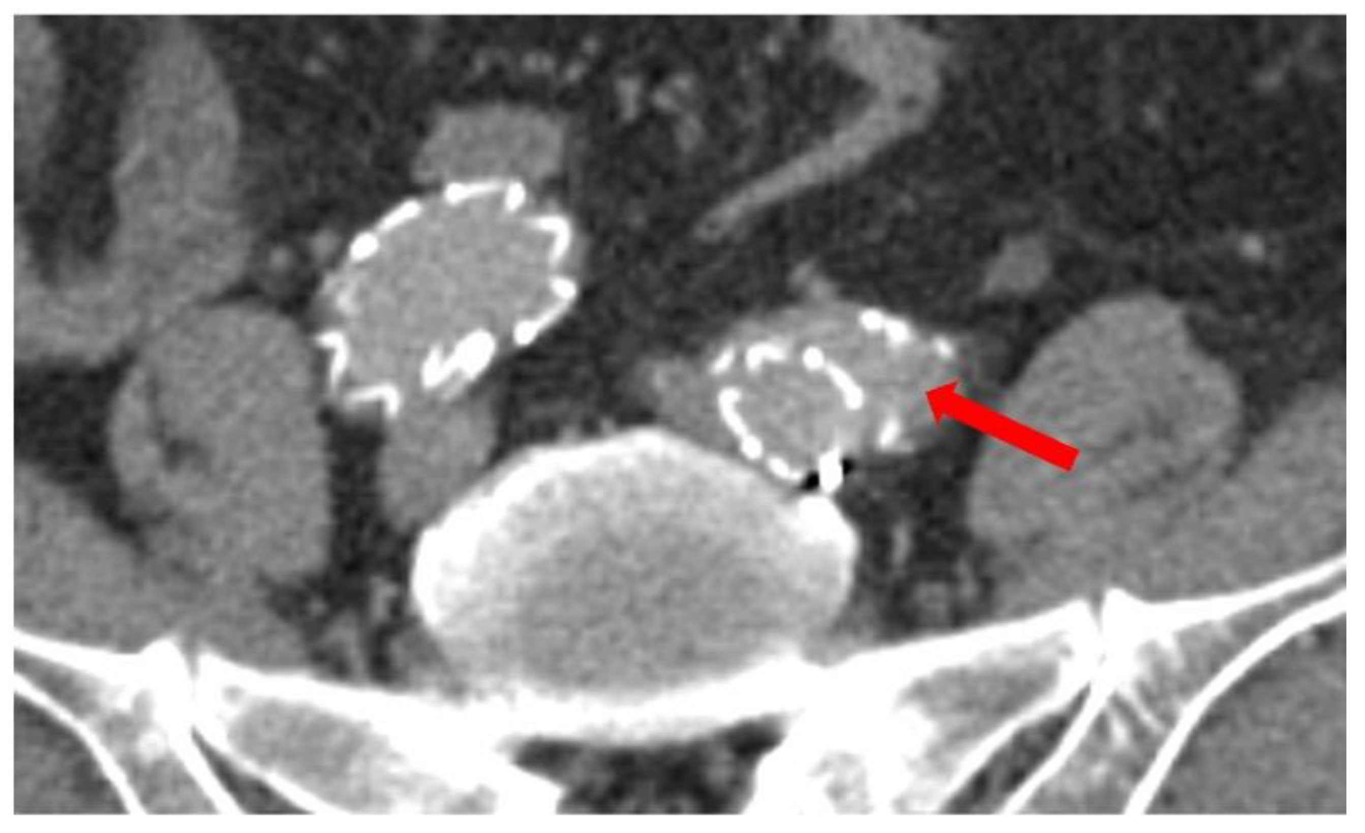
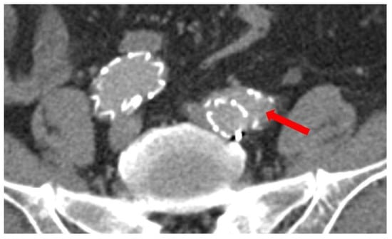
2.2. Measurements
2.3. Statistical Analysis
3. Results
3.1. Clinical Data and Follow-Up
3.2. Aneurysm and Iliac Morphology
3.2.1. AAA Aneurysm Sac
3.2.2. Maximum Diameter Common Iliac Artery
3.2.3. Iliac Landing Zone
3.3. Oversizing
3.4. Age
3.5. Iliac Limb Detachment
Preoperative and Perioperative Factors
4. Discussion
5. Conclusions
Author Contributions
Funding
Institutional Review Board Statement
Informed Consent Statement
Data Availability Statement
Acknowledgments
Conflicts of Interest
References
- Patel, R.; Sweeting, M.J.; Powell, J.T.; Greenhalgh, R.M.; EVAR Trial Investigators. Endovascular versus open repair of abdominal aortic aneurysm in 15-years’ follow-up of the UK endovascular aneurysm repair trial 1 (EVAR trial 1): A randomised controlled trial. Lancet 2016, 388, 2366–2374. [Google Scholar] [CrossRef] [PubMed]
- Falkensammer, J.; Hakaim, A.G.; Oldenburg, W.A.; Neuhauser, B.; Paz-Fumagalli, R.; McKinney, J.M.; Hugl, B.; Biebl, M.; Klocker, J. Natural history of the iliac arteries after endovascular abdominal aortic aneurysm repair and suitability of ectatic iliac arteries as a distal sealing zone. J. Endovasc. Ther. 2007, 14, 619–624. [Google Scholar] [CrossRef] [PubMed]
- Kouvelos, G.N.; Oikonomou, K.; Antoniou, G.A.; Verhoeven, E.L.; Katsargyris, A. A Systematic Review of Proximal Neck Dilatation After Endovascular Repair for Abdominal Aortic Aneurysm. J Endovasc. Ther. 2017, 24, 59–67. [Google Scholar] [CrossRef] [PubMed]
- Gray, D.; Shahverdyan, R.; Reifferscheid, V.; Gawenda, M.; Brunkwall, J.S. EVAR with Flared Iliac Limbs has a High Risk of Late Type 1b Endoleak. Eur. J. Vasc. Endovasc. Surg. 2017, 54, 170–176. [Google Scholar] [CrossRef] [PubMed]
- Duvnjak, S.; Balezantis, T. Endovascular Treatment of Aorta-Iliac Aneurysms with a Flared Iliac Limb. Int. J. Angiol. 2019, 28, 57–63. [Google Scholar] [PubMed]
- Wanhainen, A.; Verzini, F.; Van Herzeele, I.; Allaire, E.; Bown, M.; Cohnert, T.; Dick, F.; van Herwaarden, J.; Karkos, C.; Koelemay, M.; et al. Editor’s Choice—European Society for Vascular Surgery (ESVS) 2019 Clinical Practice Guidelines on the Management of Abdominal Aorto-iliac Artery Aneurysms. Eur. J. Vasc. Endovasc. Surg. 2019, 57, 8–93. [Google Scholar] [CrossRef] [PubMed]
- Doyle, M.G.; Crawford, S.A.; Osman, E.; Hatch, J.; Tse, L.W.; Amon, C.H.; Forbes, T.L. Comparison of Qualitative and Quantitative Assessments of Iliac Artery Tortuosity and Calcification. Vasc. Endovasc. Surg. 2019, 53, 464–469. [Google Scholar] [CrossRef] [PubMed]
- Bastos Goncalves, F.; Oliveira, N.F.; Josee van Rijn, M.; Ultee, K.H.; Hoeks, S.E.; Ten Raa, S.; Stolkerd, R.J.; Verhagena, H.J.M. Iliac Seal Zone Dynamics and Clinical Consequences After Endovascular Aneurysm Repair. Eur J. Vasc. Endovasc. Surg. 2017, 53, 185–192. [Google Scholar] [CrossRef] [PubMed]
- Hobo, R.; Sybrandy, J.E.; Harris, P.L.; Buth, J.; Collaborators, E. Endovascular repair of abdominal aortic aneurysms with concomitant common iliac artery aneurysm: Outcome analysis of the EUROSTAR Experience. J. Endovasc. Ther. 2008, 15, 12–22. [Google Scholar] [CrossRef] [PubMed]
- Mascoli, C.; Faggioli, G.; Gallitto, E.; Longhi, M.; Abualhin, M.; Pini, R.; Massoni, C.B.; Freyrie, A.; Stella, A.; Gargiulo, M. Planning and Endograft Related Variables Predisposing to Late Distal Type I Endoleaks. Eur. J. Vasc. Endovasc. Surg. 2019, 58, 334–342. [Google Scholar] [CrossRef] [PubMed]
- Pini, R.; Faggioli, G.; Indelicato, G.; Gallitto, E.; Mascoli, C.; Abualhin, M.; Stella, A.; Gargiulo, M. Anatomical Predictors of Flared Limb Complications in Endovascular Aneurysm Repair. J. Endovasc. Ther. 2019, 26, 550–555. [Google Scholar] [CrossRef] [PubMed]
- Rouby, A.F.; Kuntz, S.; Delay, C.; Thaveau, F.; Georg, Y.; Lejay, A.; Chakfe, N. Volume Change after Endovascular Treatment of Common Iliac Arteries >/= 17 mm Diameter: Assessment of Type 1b Endoleak Risk Factors. Eur. J. Vasc. Endovasc. Surg. 2020, 59, 51–58. [Google Scholar] [CrossRef] [PubMed]
- Roos, H.; Sandstrom, C.; Koutouzi, G.; Jeppsson, A.; Falkenberg, M. Predisposing Factors for Re-interventions with Additional Iliac Stent Grafts After Endovascular Aortic Repair. Eur. J. Vasc. Endovasc. Surg. 2017, 53, 89–94. [Google Scholar] [CrossRef] [PubMed]
- Sternbergh, W.C., 3rd; Money, S.R.; Greenberg, R.K.; Chuter, T.A.; Zenith, I. Influence of endograft oversizing on device migration, endoleak, aneurysm shrinkage, and aortic neck dilation: Results from the Zenith Multicenter Trial. J. Vasc. Surg. 2004, 39, 20–26. [Google Scholar] [CrossRef] [PubMed]
- Telles, G.J.P.; Filho, R.; Karakhanian, W.K.; Saad, P.F.; Saad, K.; Park, J.H.; Siqueira, L.C.D.; Caffaro, R.A. Dilatation of Common Iliac Arteries after Endovascular Infrarenal Abdominal Aortic Repair with Bell-Bottom Extension. Braz. J. Cardiovasc. Surg. 2016, 31, 145–150. [Google Scholar] [CrossRef] [PubMed][Green Version]
- Schanzer, A.; Messina, L.M.; Ghosh, K.; Simons, J.P.; Robinson, W.P., 3rd; Aiello, F.A.; Goldberg, R.J.; Rosen, A.B. Follow-up compliance after endovascular abdominal aortic aneurysm repair in Medicare beneficiaries. J. Vasc. Surg. 2015, 61, 16–22 e1. [Google Scholar] [CrossRef] [PubMed]





| Measurements | Median (mm) | IQR (Min–Max) |
|---|---|---|
| Preoperative measurements | ||
| max. AAA diameter | 56.5 | 11.25 |
| diameter aortic bifurcation | 27 | 8.5 (20–55) |
| proximal CIA diameter | 14 | 3.25 (10–22) |
| max. CIA diameter | 16 | 4 (11–30) |
| distal CIA diameter | 15 | 4 (11–22) |
| CIA diameter at landing zone | 14 | 3 (9–21) |
| diameter proximal EIA | 10 | 2 (6–15) |
| length centerline CIA | 62 | 18.75 (26–97) |
| length Euclidian CIA | 53 | 18 (26–88) |
| calculated tortuosity index | 1.1 | 0.15 (1.0–1.79) |
| Early postoperative measurement | ||
| distance distal end of stent graft to iliac bifurcation | 15 | 19.5 (1–42) |
| Potential Preoperative/Perioperative Risk Factors | n | Group I Median (IQR; Min.–Max.) | Group II Median (IQR; Min.–Max.) | p |
|---|---|---|---|---|
| Preoperative max AAA diameter [in mm] | 82 | 56.5 (9.5; 45–105) | 56 (11; 45–88) | 0.781 |
| Preoperative max CIA diameter [in mm] | 82 | 15.5 (5.25; 12–23) | 16 (4; 11–30) | 0.857 |
| Preoperative max. diameter iliac bifurcation [in mm] | 82 | 15 (5; 11–22) | 15 (3.5; 10–23) | 0.646 |
| Preoperative diameter distal landing zone [in mm] | 82 | 14.5 (3.5; 11–21) | 14 (3; 9–21) | 0.345 |
| Diameter of iliac limb [in mm] | 97 | 16 (2.25; 12–28) | 16 (4; 13–28) | 0.507 |
| Oversizing at distal landing zone [in %] | 80 | 13.91 (23.1; 0–45.5) | 23.08 (19.1; 0–84.6) | 0.034 |
| Preoperative length of CIA [in mm] | 77 | 53 (18.8; 37–94) | 63 (18; 26–97) | 0.055 |
| Tortuosity index of CIA | 77 | 1.13 (0.2; 1–1.4) | 1.1 (0.2; 1–1.8) | 0.248 |
| Distance end of iliac limb to iliac bifurcation [in mm] | 68 | 20 (20; 2–38) | 19 (21; 1–51) | 0.938 |
| Patients age at time of EVAR [in years] | 99 | 69 (8.3; 59–84) | 70 (13; 57–90) | 0.996 |
Publisher’s Note: MDPI stays neutral with regard to jurisdictional claims in published maps and institutional affiliations. |
© 2022 by the authors. Licensee MDPI, Basel, Switzerland. This article is an open access article distributed under the terms and conditions of the Creative Commons Attribution (CC BY) license (https://creativecommons.org/licenses/by/4.0/).
Share and Cite
Gray, D.E.; Samaan, C.; Oikonomou, K.; Gruber-Rouh, T.; Schmitz-Rixen, T.; Derwich, W. Age and Oversizing Influence Iliac Dilatation after EVAR. J. Clin. Med. 2022, 11, 7113. https://doi.org/10.3390/jcm11237113
Gray DE, Samaan C, Oikonomou K, Gruber-Rouh T, Schmitz-Rixen T, Derwich W. Age and Oversizing Influence Iliac Dilatation after EVAR. Journal of Clinical Medicine. 2022; 11(23):7113. https://doi.org/10.3390/jcm11237113
Chicago/Turabian StyleGray, Daphne Elisabeth, Carla Samaan, Kyriakos Oikonomou, Tatjana Gruber-Rouh, Thomas Schmitz-Rixen, and Wojciech Derwich. 2022. "Age and Oversizing Influence Iliac Dilatation after EVAR" Journal of Clinical Medicine 11, no. 23: 7113. https://doi.org/10.3390/jcm11237113
APA StyleGray, D. E., Samaan, C., Oikonomou, K., Gruber-Rouh, T., Schmitz-Rixen, T., & Derwich, W. (2022). Age and Oversizing Influence Iliac Dilatation after EVAR. Journal of Clinical Medicine, 11(23), 7113. https://doi.org/10.3390/jcm11237113
