Childhood Pemphigus Vulgaris during COVID-19 Outbreak Successfully Treated with Prednisone and Azathioprine: A Case Report and Literature Review
Abstract
1. Introduction
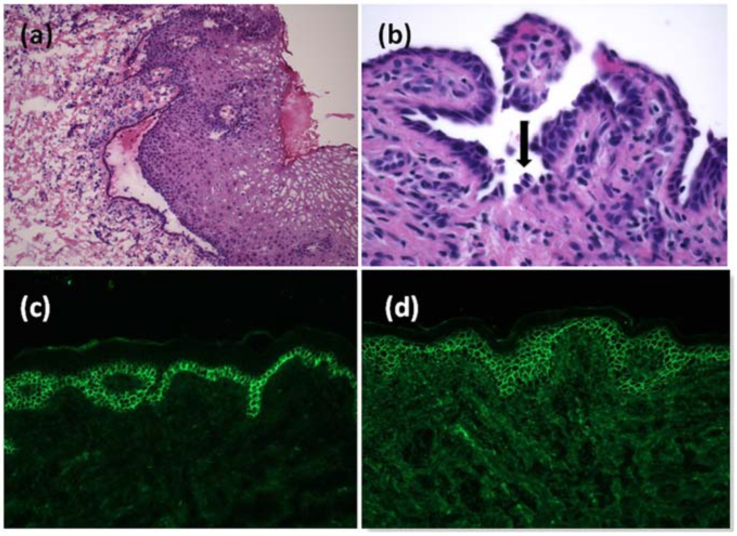
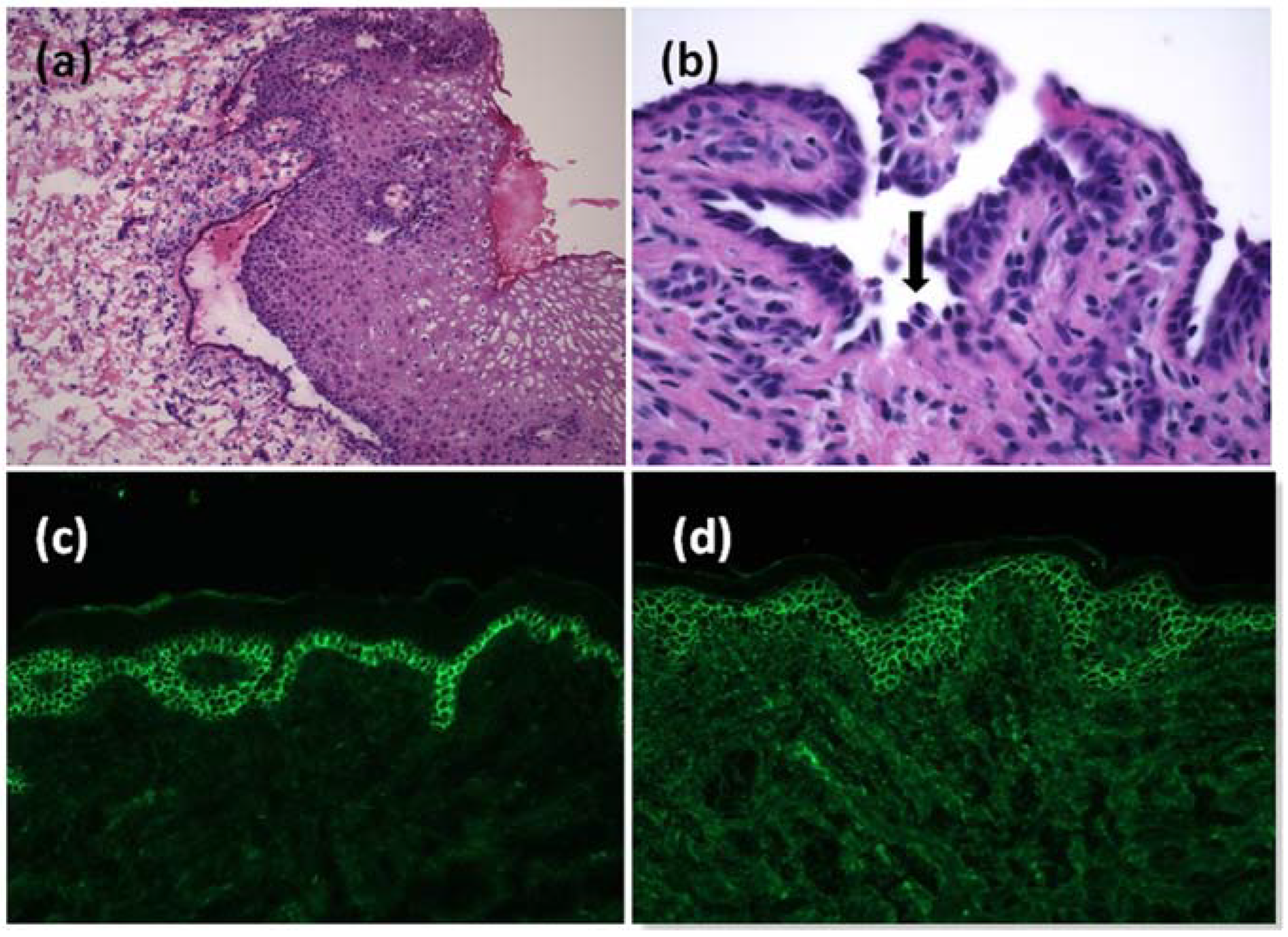
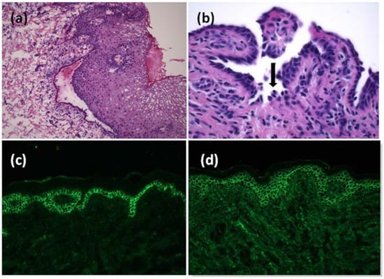
2. Case Report
3. Discussion
4. Conclusions
Author Contributions
Funding
Institutional Review Board Statement
Informed Consent Statement
Data Availability Statement
Conflicts of Interest
References
- Lins Filho, G.T.; Barbosa, N.L.S.; Abreu, E.M.V.D.; Costa, K.V.T.D.; Meneses, K.C.B.; Silva, R.N.; Ferreira, S.M.S. Childhood pemphigus vulgaris is a challenging diagnosis. Autops. Case Rep. 2021, 11, 267. [Google Scholar] [CrossRef] [PubMed]
- Virtuoso, J.; Filipe Ribeiro, J.; Silva, Í.S.; Santos, S.; Fernandes, P.; Cabral, F. Pemphigus vulgaris: A rare disease in childhood. J. Paediatr. Child Health 2021, 58, 1661–1663. [Google Scholar] [CrossRef] [PubMed]
- Wananukul, S.; Pongprasit, P. Childhood pemphigus. Int. J. Dermatol. 1999, 38, 29–35. [Google Scholar] [CrossRef] [PubMed]
- Fuertes, I.; Guilabert, A.; Mascaró, J.M., Jr.; Iranzo, P. Rituximab in childhood pemphigus vulgaris: A long-term follow-up case and review of the literature. Dermatology 2010, 221, 13–16. [Google Scholar] [CrossRef] [PubMed]
- Ariyawardana, A.; Tilakaratne, W.M.; Dissanayake, M.; Vitanaarachchi, N.; Basnayake, L.K.; Sitheeque, M.A.M.; Ranasinghe, A.W. Oral pemphigus vulgaris in children and adolescents: A review of the literature and a case report. Int. J. Paediatr. Dent. 2005, 15, 287–293. [Google Scholar] [CrossRef]
- Gürcan, H.M.; Mabrouk, D.; Razzaque Ahmed, A. Management of pemphigus in pediatric patients. Minerva Pediatr. 2011, 63, 279–291. [Google Scholar]
- Surya, V.; Kumar, P.; Gupta, S.; Urs, A.B. Childhood Pemphigus Vulgaris: Report of Two Cases with Emphasis on Diagnostic Approach. Contemp. Clin. Dent. 2018, 9 (Suppl. S2), S373–S376. [Google Scholar] [CrossRef] [PubMed]
- Baratta, A.; Camarillo, D.; Papa, C.; Treat, J.R.; Payne, A.S.; Rozenber, S.S.; Yan, A.C. Pediatric pemphigus vulgaris: Durable treatment responses achieved with prednisone and mycophenolate mofetil (MMF). Pediatr. Dermatol. 2013, 30, 240–244. [Google Scholar] [CrossRef]
- Joly, P.; Horvath, B.; Patsatsi, A.; Uzun, S.; Bech, R.; Beissert, S.; Bergman, R.; Bernard, P.; Borradori, L.; Caproni, M.; et al. Updated S2K guidelines on the management of pemphigus vulgaris and foliaceus initiated by the european academy of dermatology and venereology (EADV). J. Eur. Acad. Dermatol. Venereol. 2020, 34, 1900–1913. [Google Scholar] [CrossRef]
- Bilgic-Temel, A.; Özgen, Z.; Harman, M.; Kapıcıoğlu, Y.; Uzun, S. Rituximab therapy in pediatric pemphigus patients: A retrospective analysis of five Turkish patients and review of the literature. Pediatr. Dermatol. 2019, 36, 646–650. [Google Scholar] [CrossRef]
- Goebeler, M.; Bata-Csörgő, Z.; De Simone, C.; Didona, B.; Remenyik, E.; Reznichenko, N.; Stoevesandt, J.; Ward, E.S.; Parys, W.; de Haard, H.; et al. Treatment of pemphigus vulgaris and foliaceus with efgartigimod, a neonatal Fc receptor inhibitor: A phase II multicentre, open-label feasibility trial. Br. J. Dermatol. 2022, 186, 429–439. [Google Scholar] [CrossRef] [PubMed]
- Ellebrecht, C.T.; Bhoj, V.G.; Nace, A.; Choi, E.J.; Mao, X.; Cho, M.J.; Di Zenzo, G.; Lanzavecchia, A.; Seykora, J.T.; Cotsarelis, G.; et al. Reengineering chimeric antigen receptor T cells for targeted therapy of autoimmune disease. Science 2016, 353, 179–184. [Google Scholar] [CrossRef]
- Kasperkiewicz, M.; Schmidt, E.; Fairley, J.; Joly, P.; Payne, A.; Yale, M.; Zillikens, D.; Woodley, D. Expert recommendations for the management of autoimmune bullous diseases during the COVID-19 pandemic. J. Eur. Acad. Dermatol. Venereol. 2020, 34, e302–e303. [Google Scholar] [CrossRef]
- Arnold, J.; Winthrop, K.; Emery, P. COVID-19 vaccination and antirheumatic therapy. Rheumatology 2021, 60, 3496–3502. [Google Scholar] [CrossRef] [PubMed]
- Huang, X.; Liang, X.; Zhang, J.; Su, H.; Chen, Y. Pemphigus during the COVID-19 epidemic: Infection risk, vaccine responses and management strategies. J. Clin. Med. 2022, 11, 3968. [Google Scholar] [CrossRef] [PubMed]
- Carugno, A.; Sena, P.; Raponi, F.; Robustelli Test, E.; Vezzoli, P. Patients with bullous skin disease in high-epidemic COVID-19 area, Bergamo, Italy. Br. J. Dermatol. 2020, 183, 564–595. [Google Scholar] [CrossRef]
- Gupta, M.T.; Jerajani, H.R. Control of childhood pemphigus erythematosus with steroids and azathioprine. Br. J. Dermatol. 2004, 150, 163–164. [Google Scholar] [CrossRef]
- Bean, S.F.; Jordon, L.R.E. Chronic nonhereditary blistering disease in children—Immunofluorescent studies. Am. J. Dis. Child. 1971, 122, 137–141. [Google Scholar] [CrossRef]
- Kanwar, A.J.; Kaur, S. Pemphigus in children. Int. J. Dermatol. 1991, 30, 343–346. [Google Scholar] [CrossRef]
- Harangi, F.; Várszegi, D.; Schneider, I.; Zombai, E. Complete recovery from juvenile pemphigus vulgaris. Pediatr. Dermatol. 2001, 18, 51–53. [Google Scholar] [CrossRef]
- Kong, H.H.; Prose, N.S.; Ware, R.E.; Hall, R., III. Successful treatment of refractory childhood pemphigus vulgaris with anti-CD20 monoclonal antibody (rituximab). Pediatr. Dermatol. 2005, 22, 461–464. [Google Scholar] [CrossRef] [PubMed]
- Koturoglu, G.; Demir, E.; Kumbaraci, B.S.; Kandiloglu, G.; Yurtsever, S.N. Pemphigus vulgaris in childhood. A case report. Minerva Pediatr. 2008, 60, 347–349. [Google Scholar] [PubMed]



| Authors | Sex | Patient Age at Diagnosis | Clinical Features | Mucosal Involvement | Histopathology/DIF | IIF/ ELISA | Treatment | Follow-Up |
|---|---|---|---|---|---|---|---|---|
| Current case | M | 9 | Erosions on the upper and lower lips, on the surface of the tongue, on the hard palate, on the soft palate and symmetrically on the cheek mucous membranes. Limited lesions on the back | Oral | Acantholysis and intact basal layer. Intercellular IgG and C3 | Anti-DSG 3 (174.4 U/mL) * | Prednisone 1 mg/kg daily, Azathioprine 2 mg/kg daily | Clinical improvement in 1 month. Still on prednisone and azathioprine after 18 months |
| Virtuoso, J. [2] | M | 10 | Erosive, bleeding painful lesions of oral mucosa, sialorrhoea, weight loss, dry cough | Oral | Intraepidermal acantholysis. Intercellular IgG and C3 | Anti-DSG 3 | Prednisolone 2 mg/kg daily, Azathioprine 0.5 mg/kg daily | Tapered off drugs after 8 months; no maintenance therapy |
| Wananukul, S. [3] | F | 12 | Vescicobollous lesions at trunk, extremities and scalp. Extent of involvement 30% | Oral | Suprabasal separation containing acantholytic cells. Intercellular IgG | 1:160 | Prednisolone 5 mg/kg daily, Azathioprine 2 mg/kg daily | Tapered off drugs in 7 months; no lesions for 3 years; no maintenance therapy |
| Wananukul, S. [3] | F | 11 | Vescicobollous lesions at scalp, face, trunk and extremities. Extent of involvement 15% | Oral and genital | Suprabasal separation containing acantholytic cells; intercellular IgG and C3 | 1:640 | Prednisolone 3 mg/kg daily, Azathioprine 2 mg/kg daily | Tapered off drugs in 12 months, lesion-free for 15 months |
| Fuertes, I. [4] | F | 1.5 | Trunk | Oral | Suprabasal separation containing acantholytic cells; intercellular IgG and C3 | Not done | Prednisolone 6 mg/kg daily for 1 month, Azathioprine 1–4 mg/kg day for 4 months, Cyclosporin 5–6.5 mg/Kg/day, Dapsone, Prednisone 20–40 mg/Kg/day, Rituximab | Infection |
| Gupta, N.T. [17] | M | 7 | Generalized scaling and redness associated with pedal oedema and tightness of both upper and lower extremities. Flaccid blisters on scalp, face and both lower extremities associated with photosensitivity | No | Suprabasal separation containing acantholytic cells. IgG and C3 at the basement membrane zone | Anti-DSG 1 and 3 | Prednisolone 2.5 mg/kg daily, Azathioprine 25 mg daily | Complete remission. Still on prednisolone 5 mg daily and azathioprine 50 mg daily |
| Bean, S.F. [18] | M | 11 | Generalized bullous eruption | Erosions in mucosa | Suprabasal separation containing acantholytic cells; intercellular IgG and C3 | IgG 1:1280 | Prednisone, Azathioprine (dosage not specified) | More than 3 years, multiple relapses |
| Kanwar, A.J. [19] | M | 14 | Vesiculobullous lesions at scalp, face, trunk and extremities. Extent of involvement 50% | Oral (anus at 9 months after diagnosis) | Suprabasal separation containing acantholytic cells; intercellular IgG and C3 | 1:160 | Prednisolone 3 mg/kg daily, Azathioprine 2 mg/kg daily | Still on prednisolone 20 mg (alternate days) and azathioprine (1 mg/Kg/day) at 2 years; intralesional corticosteroids at vegetation |
| Harangi, F. [20] | M | 10 | Genital and trunk lesions | Oral (anus at 9 months after diagnosis) | Suprabasal separation containing acantholytic cells; intercellular IgG and C3 | Not done | Prednisolone 1.5–2 mg/kg daily, Azathioprine 2 mg/kg daily for 4 months | Complete remission for 4 years |
| Kong, H.H. [21] | F | 10 | Trunk (20% of body surface) | Oral | Suprabasal separation containing acantholytic cells; intercellular IgG and C3 | Not done | Prednisone 1.6–2 mg/kg daily, Azathioprine 2 mg/kg daily for 4 months, Mycophenolate mofetil 1–2 g/day, Intravenous immunoglobulin, Rituximab | Infection |
| Koturoglu, G. [22] | F | 11 | Trunk, extremities | Oral | Suprabasal separation containing acantholytic cells; intercellular IgG and C3 | Not done | Prednisolone 1.5–2 mg/kg daily, Azathioprine 2 mg/kg daily for 6 months | Partial remission on maintenance therapy |
Publisher’s Note: MDPI stays neutral with regard to jurisdictional claims in published maps and institutional affiliations. |
© 2022 by the authors. Licensee MDPI, Basel, Switzerland. This article is an open access article distributed under the terms and conditions of the Creative Commons Attribution (CC BY) license (https://creativecommons.org/licenses/by/4.0/).
Share and Cite
Vezzoli, P.; Parietti, M.; Carugno, A.; Di Mercurio, M.; Benaglia, C.; Zussino, M.; Cavalli, R.; Sena, P.; Berti, E. Childhood Pemphigus Vulgaris during COVID-19 Outbreak Successfully Treated with Prednisone and Azathioprine: A Case Report and Literature Review. J. Clin. Med. 2022, 11, 6858. https://doi.org/10.3390/jcm11226858
Vezzoli P, Parietti M, Carugno A, Di Mercurio M, Benaglia C, Zussino M, Cavalli R, Sena P, Berti E. Childhood Pemphigus Vulgaris during COVID-19 Outbreak Successfully Treated with Prednisone and Azathioprine: A Case Report and Literature Review. Journal of Clinical Medicine. 2022; 11(22):6858. https://doi.org/10.3390/jcm11226858
Chicago/Turabian StyleVezzoli, Pamela, Michele Parietti, Andrea Carugno, Marco Di Mercurio, Chiara Benaglia, Martina Zussino, Riccardo Cavalli, Paolo Sena, and Emilio Berti. 2022. "Childhood Pemphigus Vulgaris during COVID-19 Outbreak Successfully Treated with Prednisone and Azathioprine: A Case Report and Literature Review" Journal of Clinical Medicine 11, no. 22: 6858. https://doi.org/10.3390/jcm11226858
APA StyleVezzoli, P., Parietti, M., Carugno, A., Di Mercurio, M., Benaglia, C., Zussino, M., Cavalli, R., Sena, P., & Berti, E. (2022). Childhood Pemphigus Vulgaris during COVID-19 Outbreak Successfully Treated with Prednisone and Azathioprine: A Case Report and Literature Review. Journal of Clinical Medicine, 11(22), 6858. https://doi.org/10.3390/jcm11226858

