The Challenging Diagnosis of Interstitial Lung Disease in Children—One Case Report and Literature Review
Abstract
1. Introduction
2. Literature Review
2.1. Classification of Interstitial Lung Disease in Infants and Children
2.2. Clinical Presentation of chILD
2.3. Diagnosis Approach of chILD
2.4. Current Principles of Treatment in chILD
2.5. Hypersensitivity Pneumonitis in Children—Diagnosis Approach
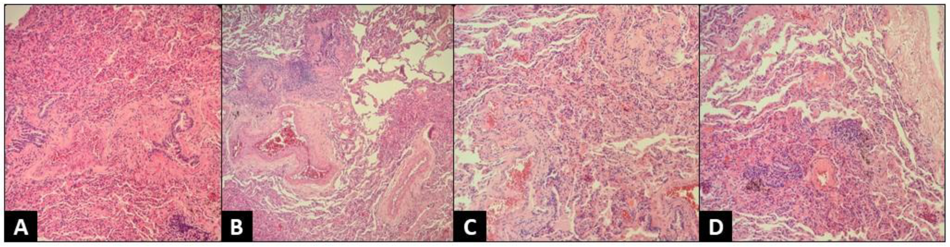
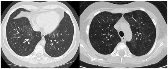
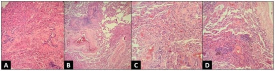
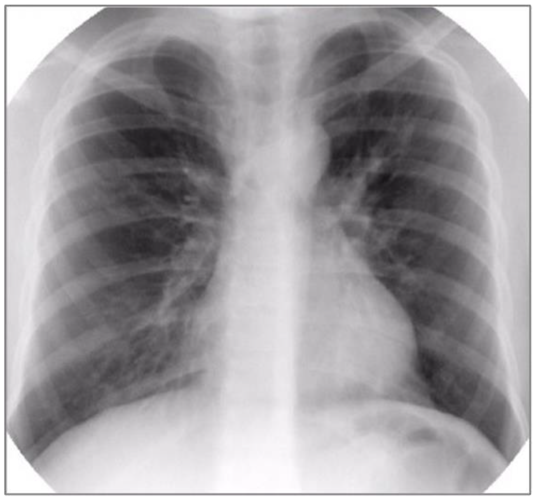
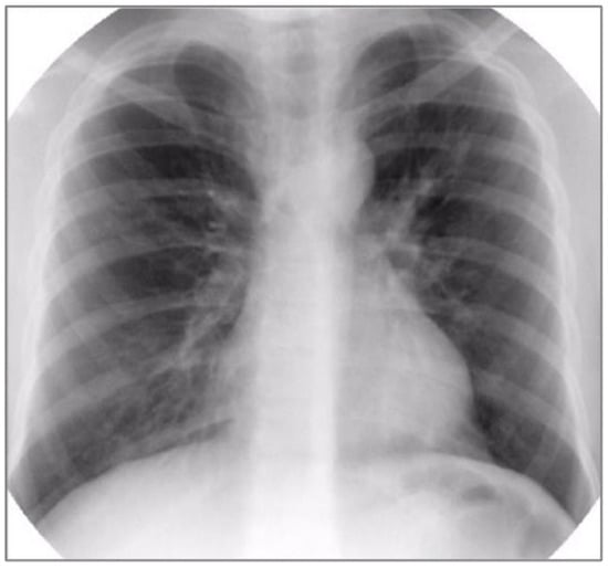
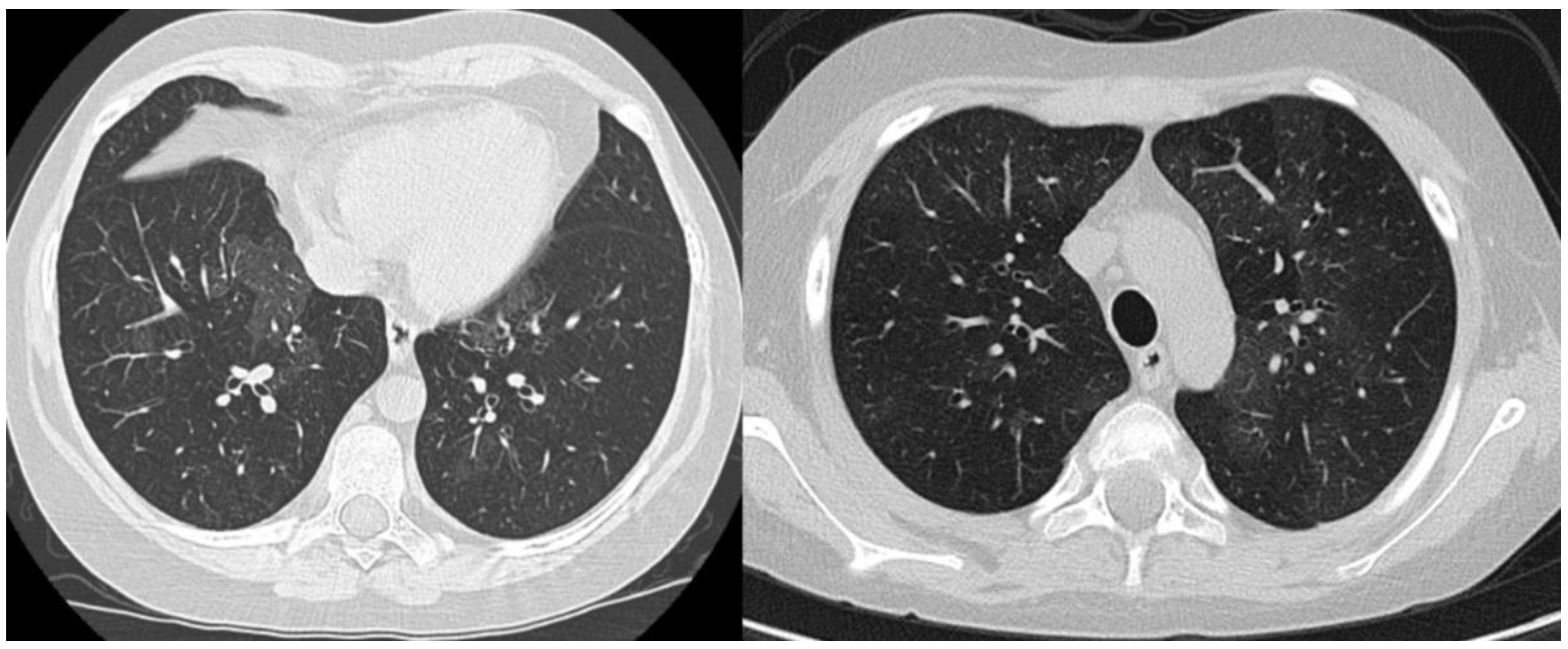
3. Case Report
4. Discussion
5. Conclusions
Author Contributions
Funding
Informed Consent Statement
Data Availability Statement
Conflicts of Interest
Abbreviations
| BAL | bronchoalveolar lavage |
| CBC | complete blood count |
| chILD | childhood interstitial lung disease |
| DLCO | diffusing capacity of the lungs for carbon monoxide |
| ECG | electrocardiogram |
| FEV1 | Forced Expiratory Pressure in 1 Second |
| FVC | Forced Vital Capacity |
| HP | hypersensitivity pneumonitis |
| HRCT | High-Resolution Computer Tomography |
| PaCO2 | Partial Pressure of Carbon Dioxide |
| PaO2 | Partial Pressure of Oxygen |
| X-ray | radiography |
References
- Nathan, N.; Berdah, L.; Borensztajn, K.; Clement, A. Chronic interstitial lung diseases in children: Diagnosis approaches. Expert Rev. Respir. Med. 2018, 12, 1051–1060. [Google Scholar] [CrossRef]
- Hamed, E.A. Childhood Interstitial Lung Disease: Review on Diagnosis and Management. Int. J. Clin. Exp. Med. Sci. 2016, 2, 78–89. [Google Scholar] [CrossRef]
- Clement, A. Task force on chronic interstitial lung disease in immunocompetent children. Eur. Respir. J. 2004, 24, 686–697. [Google Scholar] [CrossRef]
- Kurland, G.; Deterding, R.R.; Hagood, J.S.; Young, L.R.; Brody, A.S.; Castile, R.G.; Dell, S.; Fan, L.L.; Hamvas, A.; Hilman, B.C.; et al. An Official American Thoracic Society Clinical Practice Guideline: Classification, Evaluation, and Management of Childhood Interstitial Lung Disease in Infancy. Am. J. Respir. Crit. Care Med. 2013, 188, 376–394. [Google Scholar] [CrossRef]
- Wawszczak, M.; Bielecka, T.; Szczukocki, M. Hypersensitivity pneumonitis in children. Ann. Agric. Environ. Med. 2021, 28, 214–219. [Google Scholar] [CrossRef] [PubMed]
- Griese, M. Chronic interstitial lung disease in children. Eur. Respir. Rev. 2018, 27, 170100. [Google Scholar] [CrossRef] [PubMed]
- Fan, L.L. Hypersensitivity pneumonitis in children. Curr. Opin. Pediatr. 2002, 14, 323–326. [Google Scholar] [CrossRef]
- Spagnolo, P.; Sverzellati, N.; Rossi, G.; Cavazza, A.; Tzouvelekis, A.; Crestani, B.; Vancheri, C. Idiopathic pulmonary fibrosis: An update. Ann. Med. 2015, 47, 15–27. [Google Scholar] [CrossRef] [PubMed]
- Spagnolo, P.; Bush, A. Interstitial Lung Disease in Children Younger Than 2 Years. Pediatrics 2016, 137. [Google Scholar] [CrossRef]
- Wambach, J.; Young, L. New clinical practice guidelines on the classification, evaluation and management of childhood interstitial lung disease in infants: What do they mean? Expert Rev. Respir. Med. 2014, 8, 653–655. [Google Scholar] [CrossRef]
- Liang, T.; Vargas, S.O.; Lee, E.Y. Childhood Interstitial (Diffuse) Lung Disease: Pattern Recognition Approach to Diagnosis in Infants. Am. J. Roentgenol. 2019, 212, 958–967. [Google Scholar] [CrossRef]
- Deutsch, G.H.; Young, L.R.; Deterding, R.R.; Fan, L.L.; Dell, S.D.; Bean, J.A.; Brody, A.S.; Nogee, L.M.; Trapnell, B.C.; Langston, C.; et al. Diffuse lung disease in young children: Application of a novel classification scheme. Am. J. Respir. Crit. Care Med. 2007, 176, 1120–1128. [Google Scholar] [CrossRef] [PubMed]
- Kuo, C.S.; Young, L.R. Interstitial lung disease in children. Curr. Opin. 2014, 26, 320–327. [Google Scholar] [CrossRef]
- Fauroux, B.; Epaud, R.; Clement, A. Clinical presentation of interstitial lung disease in children. Paediatr. Respir. Rev. 2004, 5, 98–100. [Google Scholar] [CrossRef] [PubMed]
- Clement, A.; Nathan, N.; Epaud, R.; Fauroux, B.; Corvol, H. Interstitial lung diseases in children. Orphanet J. Rare Dis. 2010, 5, 22. [Google Scholar] [CrossRef] [PubMed]
- Schwarz, M.I.; King, T.E., Jr.; Cherniack, R.M. General principles and diagnostic approach to the interstitial lung diseases. Textb. Respir. Med. 1994, 2, 1803–1826. [Google Scholar]
- Cosgrove, G.P.; Schwarz, M.I. Approach to the evaluation and diagnosis of interstitial lung diseases. Interstitial Lung Dis. 2011, 5, 3–33. [Google Scholar]
- Das, S.; Langston, C.; Fan, L. Interstitial lung disease in children. Curr. Opin. Pediatr. 2011, 23, 325–331. [Google Scholar] [CrossRef]
- Thomeer, M.; Grutters, J.C.; Wuyts, W.A.; Willems, S.; Demedts, M.G. Clinical use of biomarkers of survival in pulmonary fibrosis. Respir. Res. 2010, 11, 89. [Google Scholar] [CrossRef]
- Fan, L.L.; Mullen, A.L.; Brugman, S.M.; Inscore, S.C.; Parks, D.P.; White, C.W. Clinical spectrum of chronic interstitial lung disease in children. J. Pediatr. 1992, 121, 867. [Google Scholar] [CrossRef]
- Javaheri, S.; Sicilian, L. Lung function, breathing pattern, and gas exchange in interstitial lung disease. Thorax 1992, 47, 93–97. [Google Scholar] [CrossRef] [PubMed]
- Lee, E.Y. Interstitial lung disease in infants: New classification system, imaging technique, clinical presentation and imaging findings. Pediatr. Radiol. 2013, 43, 3–13. [Google Scholar] [CrossRef] [PubMed]
- Guillerman, R.P. Imaging of childhood interstitial lung disease. Pediatr. Allergy Immunol. Pulmonol. 2010, 23, 43–68. [Google Scholar] [CrossRef]
- Koh, D.M.; Hansell, D.M. Computed tomography of diffuse interstitial lung disease in children. Clin. Radiol. 2000, 55, 659–667. [Google Scholar] [CrossRef]
- Young, L.R.; Brody, A.S.; Inge, T.H.; Acton, J.D.; Bokulic, R.E.; Langston, C.; Deutsch, G.H. Neuroendocrine cell distribution and frequency distinguish neuroendocrine cell hyperplasia of infancy from other pulmonary disorders. Chest 2011, 139, 1060. [Google Scholar] [CrossRef] [PubMed]
- Fan, L.L.; Kozinetz, C.A. Factors influencing survival in children with chronic interstitial lung disease. Am. J. Respir. Crit. Care Med. 1997, 156, 939. [Google Scholar] [CrossRef]
- Deterding, R.R. Infants and young children with children’s interstitial lung disease. Pediatr. Allergy Immunol. Pulmonol. 2010, 23, 25–31. [Google Scholar] [CrossRef]
- Dishop, M. Paediatric interstitial lung disease: Classification and definitions. Paediatr. Respir. Rev. 2011, 12, 230–237. [Google Scholar] [CrossRef]
- Bush, A.; Cunningham, S.; de Blic, J.; Barbato, A.; Clement, A.; Epaud, R.; Hengst, M.; Kiper, N.; Nicholson, A.G.; Wetzke, M.; et al. European protocols for the diagnosis and initial treatment of interstitial lung disease in children. Thorax 2015, 70, 1078–1084. [Google Scholar] [CrossRef]
- Fan, L.; Langston, C. Pediatric interstitial lung disease. Children are not small adults. Am. J. Respir. Crit. Care Med. 2002, 165, 1466–1467. [Google Scholar] [CrossRef]
- Clement, A.; Eber, E. Interstitial lung diseases in infants and children. Eur. Respir. J. 2008, 31, 658–666. [Google Scholar] [CrossRef] [PubMed]
- Dinwiddie, R.; Sharief, N.; Crawford, O. Idiopathic interstitial pneumonitis in children: A national survey in the United Kingdom and Ireland. Pediatr. Pulmonol. 2002, 34, 23–29. [Google Scholar]
- Avital, A.; Godfrey, S.; Maayan, C.; Diamant, Y.; Springer, C. Chloroquine treatment of interstitial lung disease in children. Pediatr. Pulmonol. 1994, 18, 356–360. [Google Scholar] [CrossRef] [PubMed]
- Raghu, G.; Brown, K.K.; Bradford, W.Z.; Starko, K.; Noble, P.W.; Schwartz, D.A.; King, T.E. A Placebo-Controlled Trial of Interferon Gamma-1b in Patients with Idiopathic Pulmonary Fibrosis. N. Engl. J. Med. 2004, 350, 125–133. [Google Scholar] [CrossRef]
- Moreno, A.; Maestre, J.; Balcells, J.; Marhuenda, C.; Cobos, N.; Roman, A.; Soler, J.; Montferrer, N.; Liñan, S.; Gartner, S.; et al. Lung transplantation in young infants with interstitial pneumonia. Transplant. Proc. 2003, 35, 1951–1953. [Google Scholar] [CrossRef]
- Mallory, G.; Spray, T. Paediatric lung transplantation. Eur. Respir. J. 2004, 24, 839–845. [Google Scholar] [CrossRef]
- Buchvald, F.; Petersen, B.L.; Damgaard, K.; Deterding, R.; Langston, C.; Fan, L.L.; Deutsch, G.H.; Dishop, M.K.; Kristensen, L.A.; Nielsen, K.G. Frequency, treatment, and functional outcome in children with hypersensitivity pneumonitis. Pediatr. Pulmonol. 2011, 46, 1098–1107. [Google Scholar] [CrossRef]
- Vasakova, M.; Morell, F.; Walsh, S.; Leslie, K.; Raghu, G. Hypersensitivity Pneumonitis: Perspectives in Diagnosis and Management. Am. J. Respir. Crit. Care Med. 2017, 196, 680–689. [Google Scholar] [CrossRef]
- Venkatesh, P.; Wild, L. Hypersensitivity pneumonitis in children: Clinical features, diagnosis, and treatment. Pediatr. Drugs 2005, 7, 235. [Google Scholar] [CrossRef]
- Hamblin, M.; Prosch, H.; Vasakova, M. Diagnosis, course and management of hypersensitivity pneumonitis. Eur. Respir. Rev. 2022, 31, 210169. [Google Scholar] [CrossRef]
- Salisbury, M.L.; Gross, B.H.; Chughtai, A.; Sayyouh, M.; Kazerooni, E.A.; Bartholmai, B.J.; Xia, M.; Murray, S.; Myers, J.L.; Lagstein, A.; et al. Development and validation of a radiological diagnosis model for hypersensitivity pneumonitis. Eur. Respir. J. 2018, 52, 1800443. [Google Scholar] [CrossRef]
- Laenger, F.; Schwerk, N.; Dingemann, J.; Welte, T.; Auber, B.; Verleden, S.; Ackermann, M.; Mentzer, S.; Griese, M.; Jonigk, D. Interstitial lung disease in infancy and early childhood: A clinicopathological primer. Eur. Respir. Rev. 2022, 31, 210251. [Google Scholar] [CrossRef]
- Fan, L.L.; Dishop, M.K.; Galambos, C.; Askin, F.B.; White, F.V.; Langston, C.; Liptzin, D.R.; Kroehl, M.E.; Deutsch, G.H.; Young, L.R.; et al. Diffuse Lung Disease in Biopsied Children 2 to 18 Years of Age. Application of the chILD Classification Scheme. Ann. Am. Thorac. Soc. 2015, 12, 1498–1505. [Google Scholar] [CrossRef] [PubMed]
- Dediu, M.; Ciuca, I.M.; Marc, M.S.; Boeriu, E.; Pop, L.L. Factors Influencing Lung Function in Patients with Cystic Fibrosis in Western Romania. J. Multidiscip. Health 2021, 14, 1423–1429. [Google Scholar] [CrossRef] [PubMed]
- Song, Y.G.; Shin, H.-S. COVID-19, A Clinical Syndrome Manifesting as Hypersensitivity Pneumonitis. Infect. Chemother. 2020, 52, 110–112. [Google Scholar] [CrossRef]
- Ionescu, M.; Taras, R.; Dombici, B.; Balgradean, M.; Berghea, E.; Nicolescu, A. The Challenging Diagnosis of Pediatric Multisystem Inflammatory Syndrome Associated with Sars-Cov-2 Infection-Two Case Reports and Literature Review. J. Pers. Med. 2021, 11, 318. [Google Scholar] [CrossRef] [PubMed]






|
|
|
|
Publisher’s Note: MDPI stays neutral with regard to jurisdictional claims in published maps and institutional affiliations. |
© 2022 by the authors. Licensee MDPI, Basel, Switzerland. This article is an open access article distributed under the terms and conditions of the Creative Commons Attribution (CC BY) license (https://creativecommons.org/licenses/by/4.0/).
Share and Cite
Ionescu, M.D.; Popescu, N.A.; Stănescu, D.; Enculescu, A.; Bălgrădean, M.; Căpitănescu, G.M.; Bumbăcea, D. The Challenging Diagnosis of Interstitial Lung Disease in Children—One Case Report and Literature Review. J. Clin. Med. 2022, 11, 6736. https://doi.org/10.3390/jcm11226736
Ionescu MD, Popescu NA, Stănescu D, Enculescu A, Bălgrădean M, Căpitănescu GM, Bumbăcea D. The Challenging Diagnosis of Interstitial Lung Disease in Children—One Case Report and Literature Review. Journal of Clinical Medicine. 2022; 11(22):6736. https://doi.org/10.3390/jcm11226736
Chicago/Turabian StyleIonescu, Marcela Daniela, Nicoleta Aurelia Popescu, Diana Stănescu, Augustina Enculescu, Mihaela Bălgrădean, Georgiana Mihaela Căpitănescu, and Dragos Bumbăcea. 2022. "The Challenging Diagnosis of Interstitial Lung Disease in Children—One Case Report and Literature Review" Journal of Clinical Medicine 11, no. 22: 6736. https://doi.org/10.3390/jcm11226736
APA StyleIonescu, M. D., Popescu, N. A., Stănescu, D., Enculescu, A., Bălgrădean, M., Căpitănescu, G. M., & Bumbăcea, D. (2022). The Challenging Diagnosis of Interstitial Lung Disease in Children—One Case Report and Literature Review. Journal of Clinical Medicine, 11(22), 6736. https://doi.org/10.3390/jcm11226736

