Local Recurrence Risk Score to Predict Relapse after Stereotactic Body Radiation Therapy for Lung Tumors
Abstract
1. Introduction
2. Materials and Methods
2.1. Patients
2.2. SBRT
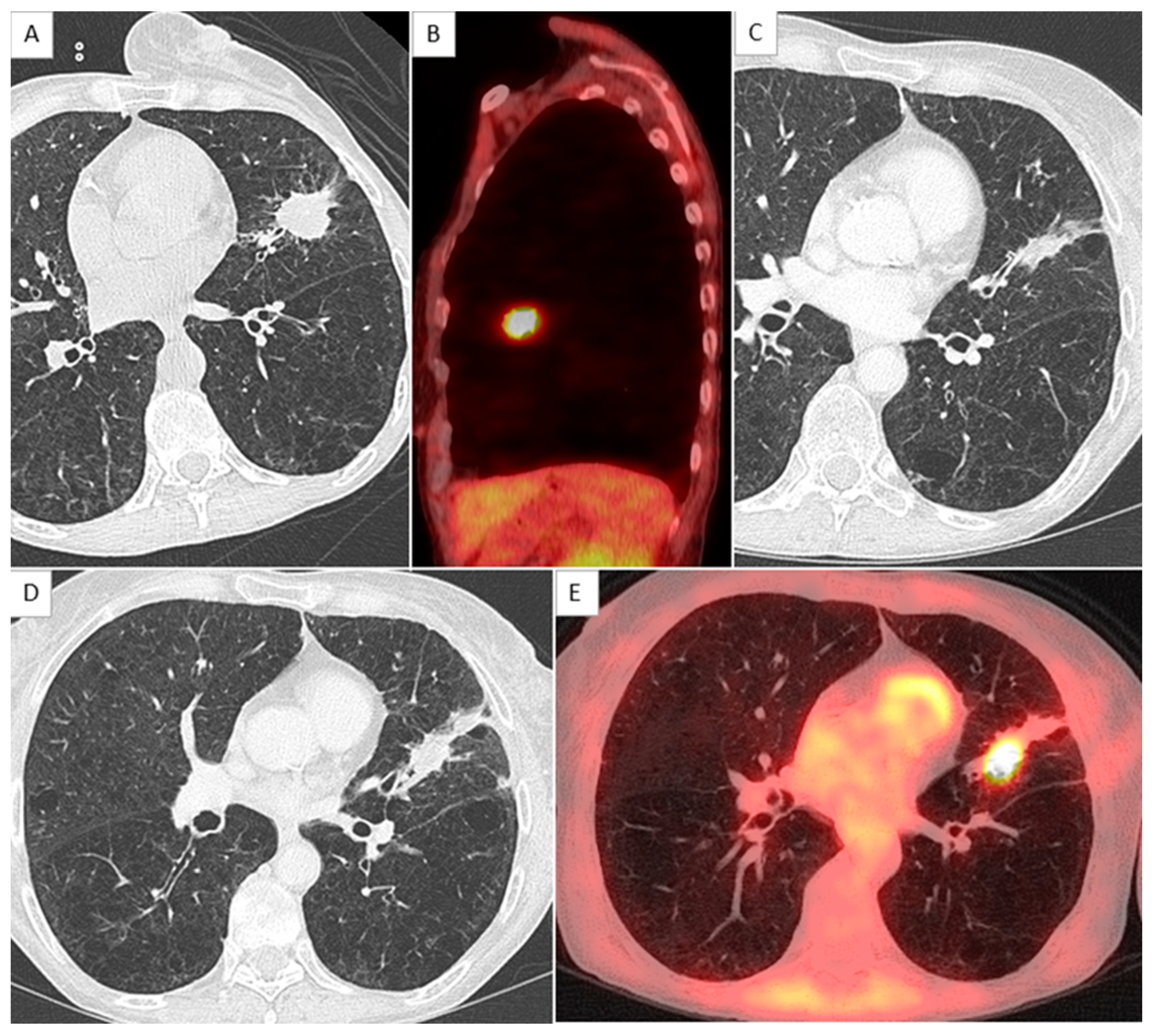
2.3. FDG-PET Procedure and Parameters
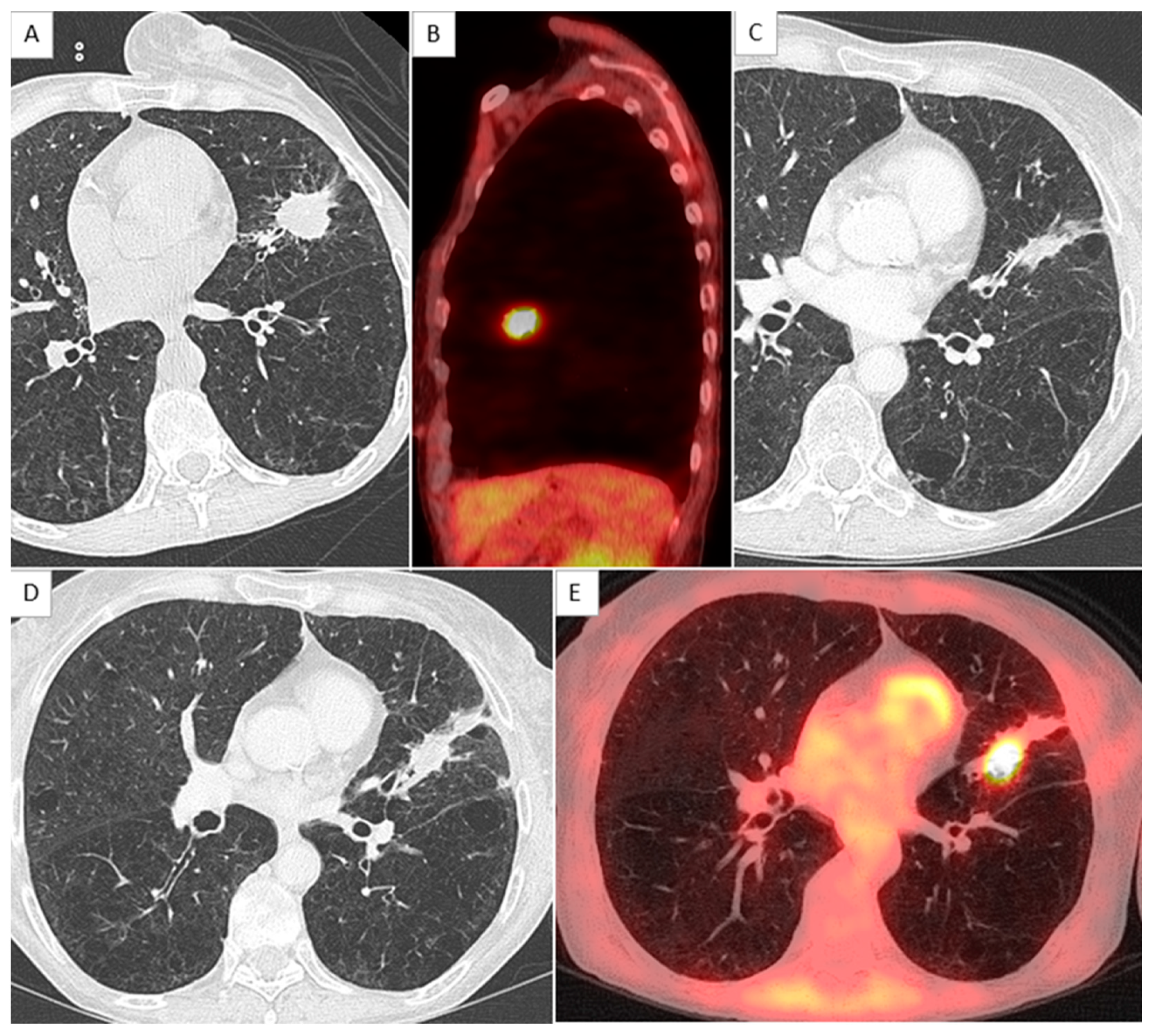
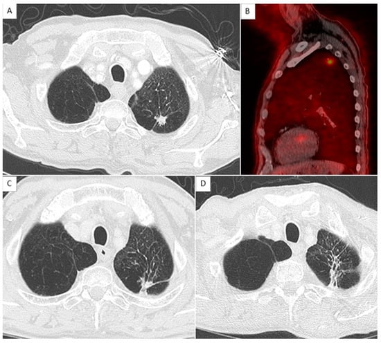
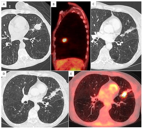
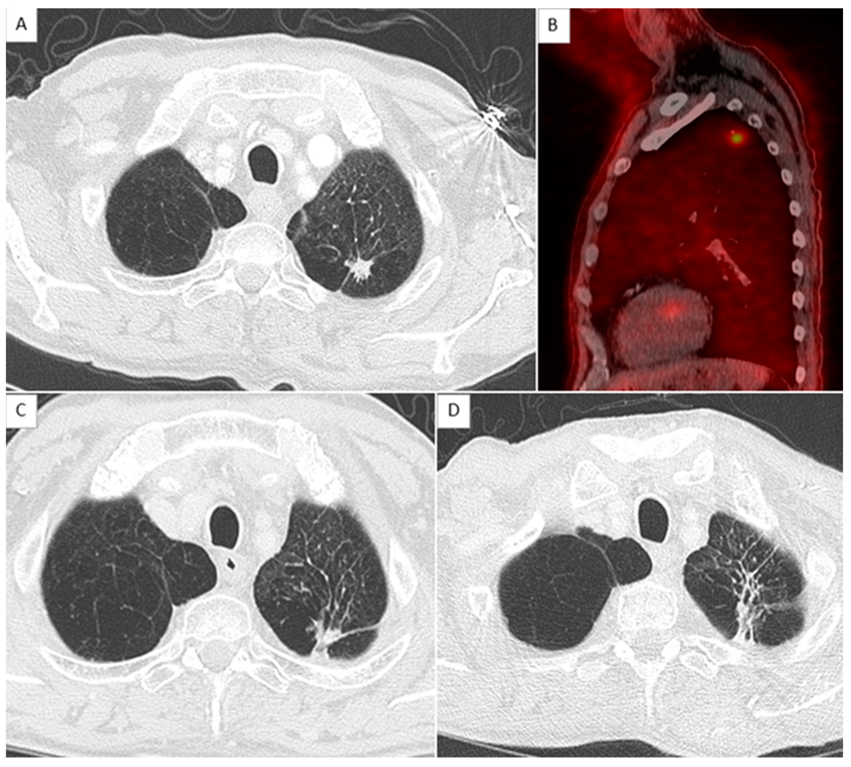
2.4. CT Scan Monitoring
2.5. Local Relapse Definition
2.6. Independent Validation Cohort
3. Statistical Analysis
4. Results
4.1. Patients and SBRT Characteristics
4.2. Risk Factors for Local Recurrence and Score
4.3. Overall and Local Recurrence-Free Survival
5. Discussion
6. Conclusions
Author Contributions
Funding
Institutional Review Board Statement
Informed Consent Statement
Data Availability Statement
Acknowledgments
Conflicts of Interest
Abbreviations
| BED | biologic effective dose |
| CT | computed tomography |
| FDG-PET | fluorine-18-fluorodeoxyglucose positron emission tomography |
| MTV | metabolic tumor volume |
| NSCLC | non-small-cell lung cancer |
| ROC | receiver operating characteristics |
| SBRT | stereotactic body radiation therapy |
| SUV | standardized uptake value |
References
- Videtic, G.M.M.; Donington, J.; Giuliani, M.; Heinzerling, J.; Karas, T.Z.; Kelsey, C.R.; Lally, B.E.; Latzka, K.; Lo, S.S.; Moghanaki, D.; et al. Stereotactic body radiation therapy for early-stage non-small cell lung cancer: Executive Summary of an ASTRO Evidence-Based Guideline. Pract. Radiat. Oncol. 2017, 7, 295–301. [Google Scholar] [CrossRef] [PubMed]
- Tandberg, D.J.; Tong, B.C.; Ackerson, B.G.; Kelsey, C.R. Surgery versus stereotactic body radiation therapy for stage I non-small cell lung cancer: A comprehensive review. Cancer 2018, 124, 667–678. [Google Scholar] [CrossRef] [PubMed]
- Tomita, N.; Okuda, K.; Kita, N.; Niwa, M.; Hashimoto, S.; Murai, T.; Ishikura, S.; Nakanishi, R.; Shibamoto, Y. Role of stereotactic body radiotherapy for early-stage non-small-cell lung cancer in patients borderline for surgery due to impaired pulmonary function. Asia Pac. J. Clin. Oncol. 2022, ajco.13731. [Google Scholar] [CrossRef] [PubMed]
- Stahl, J.M.; Corso, C.D.; Verma, V.; Park, H.S.; Nath, S.K.; Husain, Z.A.; Simone, C.B.; Kim, A.W.; Decker, R.H. Trends in stereotactic body radiation therapy for stage I small cell lung cancer. Lung Cancer 2017, 103, 11–16. [Google Scholar] [CrossRef] [PubMed]
- Tateishi, Y.; Takeda, A.; Horita, N.; Tsurugai, Y.; Eriguchi, T.; Kibe, Y.; Sanuki, N.; Kaneko, T. Stereotactic Body Radiation Therapy with a High Maximum Dose Improves Local Control, Cancer-Specific Death, and Overall Survival in Peripheral Early-Stage Non-Small Cell Lung Cancer. Int. J. Radiat. Oncol. 2021, 111, 143–151. [Google Scholar] [CrossRef]
- Navarria, P.; De Rose, F.; Ascolese, A.M. SBRT for lung oligometastases: Who is the perfect candidate? Rep. Pract. Oncol. Radiother. 2015, 20, 446–453. [Google Scholar] [CrossRef]
- Chassagnon, G.; Martini, K.; Giraud, P.; Revel, M.P. Radiological assessment after stereotactic body radiation of lung tumours. Cancer/Radiothérapie 2020, 24, 379–387. [Google Scholar] [CrossRef]
- Vulquin, N.; Feutray, S.; Peignaux-Casasnovas, K.; Humbert, O.; Créhange, G.; Truc, G.; Maingon, P.; Martin, E. Radiological evaluation of the tumour response after lung stereotactic radiotherapy. Cancer Radiother. J. Soc. Fr. Radiother. Oncol. 2014, 18, 414–419. [Google Scholar]
- Schwartz, L.H.; Litière, S.; de Vries, E.; Ford, R.; Gwyther, S.; Mandrekar, S.; Shankar, L.; Bogaerts, J.; Chen, A.; Dancey, J.; et al. RECIST 1.1—Update and clarification: From the RECIST committee. Eur. J. Cancer 2016, 62, 132–137. [Google Scholar] [CrossRef]
- Common Terminology Criteria for Adverse Events (CTCAE). 2010. Available online: https://www.eortc.be/services/doc/ctc/CTCAE_4.03_2010-06-14_QuickReference_5x7.pdf (accessed on 9 October 2022).
- Kato, S.; Nambu, A.; Onishi, H.; Saito, A.; Kuriyama, K.; Komiyama, T.; Marino, K.; Araki, T. Computed tomography appearances of local recurrence after stereotactic body radiation therapy for stage I non-small-cell lung carcinoma. Jpn. J. Radiol. 2010, 28, 259–265. [Google Scholar] [CrossRef]
- Huang, K.; Dahele, M.; Senan, S.; Guckenberger, M.; Rodrigues, G.B.; Ward, A.; Boldt, R.G.; Palma, D.A. Radiographic changes after lung stereotactic ablative radiotherapy (SABR)—Can we distinguish recurrence from fibrosis? A systematic review of the literature. Radiother. Oncol. J. Eur. Soc. Ther. Radiol. Oncol. 2012, 102, 335–342. [Google Scholar] [CrossRef] [PubMed]
- Huang, K.; Senthi, S.; Palma, D.A.; Spoelstra, F.O.; Warner, A.; Slotman, B.J.; Senan, S. High-risk CT features for detection of local recurrence after stereotactic ablative radiotherapy for lung cancer. Radiother. Oncol. J. Eur. Soc. Ther. Radiol. Oncol. 2013, 109, 51–57. [Google Scholar] [CrossRef] [PubMed]
- Ronden, M.I.; van Sörnsen de Koste, J.R.; Johnson, C.; Slotman, B.J.; Spoelstra, F.O.B.; Haasbeek, C.J.A.; Blom, G.; Bongers, E.M.; Warner, A.; Ward, A.; et al. Incidence of High-Risk Radiologic Features in Patients without Local Recurrence after Stereotactic Ablative Radiation Therapy for Early-Stage Non-Small Cell Lung Cancer. Int. J. Radiat. Oncol. Biol. Phys. 2018, 100, 115–121. [Google Scholar] [CrossRef] [PubMed]
- Kim, T.H.; Woo, S.; Halpenny, D.F.; Kim, Y.J.; Yoon, S.H.; Suh, C.H. Can high-risk CT features suggest local recurrence after stereotactic body radiation therapy for lung cancer? A systematic review and meta-analysis. Eur. J. Radiol. 2020, 127, 108978. [Google Scholar] [CrossRef] [PubMed]
- Liaw, A.; Wiener, M. Classification and regression by RandomForest. R News 2002, 2–3, 18–22. [Google Scholar]
- Vahdat, S.; Oermann, E.K.; Collins, S.P.; Yu, X.; Abedalthagafi, M.; DeBrito, P.; Suy, S.; Yousefi, S.; Gutierrez, C.J.; Chang, T.; et al. CyberKnife radiosurgery for inoperable stage IA non-small cell lung cancer: 18F-fluorodeoxyglucose positron emission tomography/computed tomography serial tumor response assessment. J. Hematol. Oncol. 2010, 3, 6. [Google Scholar] [CrossRef]
- Lovinfosse, P.; Janvary, Z.L.; Coucke, P.; Jodogne, S.; Bernard, C.; Hatt, M.; Visvikis, D.; Jansen, N.; Duysinx, B.; Hustinx, R. FDG PET/CT texture analysis for predicting the outcome of lung cancer treated by stereotactic body radiation therapy. Eur. J. Nucl. Med. Mol. Imaging 2016, 43, 1453–1460. [Google Scholar] [CrossRef]
- Takeda, A.; Yokosuka, N.; Ohashi, T.; Kunieda, E.; Fujii, H.; Aoki, Y.; Sanuki, N.; Koike, N.; Ozawa, Y. The maximum standardized uptake value (SUVmax) on FDG-PET is a strong predictor of local recurrence for localized non-small-cell lung cancer after stereotactic body radiotherapy (SBRT). Radiother. Oncol. 2011, 101, 291–297. [Google Scholar] [CrossRef]
- Pyka, T.; Bundschuh, R.A.; Andratschke, N.; Mayer, B.; Specht, H.M.; Papp, L.; Zsótér, N.; Essler, M. Textural features in pre-treatment [F18]-FDG-PET/CT are correlated with risk of local recurrence and disease-specific survival in early stage NSCLC patients receiving primary stereotactic radiation therapy. Radiat. Oncol. 2015, 10, 100. [Google Scholar] [CrossRef]
- Oikonomou, A.; Khalvati, F.; Tyrrell, P.; Haider, M.A.; Tarique, U.; Jimenez-Juan, L.; Tjong, M.C.; Poon, I.; Eilaghi, A.; Ehrlich, L.; et al. Radiomics analysis at PET/CT contributes to prognosis of recurrence and survival in lung cancer treated with stereotactic body radiotherapy. Sci. Rep. 2018, 8, 4003. [Google Scholar] [CrossRef]
- Peulen, H.; Mantel, F.; Guckenberger, M.; Belderbos, J.; Werner-Wasik, M.; Hope, A.; Giuliani, M.; Grills, I.; Sonke, J.-J. Validation of High-Risk Computed Tomography Features for Detection of Local Recurrence after Stereotactic Body Radiation Therapy for Early-Stage Non-Small Cell Lung Cancer. Int. J. Radiat. Oncol. Biol. Phys. 2016, 96, 134–141. [Google Scholar] [CrossRef] [PubMed]
- Dissaux, G.; Visvikis, D.; Da-Ano, R.; Pradier, O.; Chajon, E.; Barillot, I.; Duvergé, L.; Masson, I.; Abgral, R.; Ribeiro, M.-J.S.; et al. Pretreatment 18F-FDG PET/CT Radiomics Predict Local Recurrence in Patients Treated with Stereotactic Body Radiotherapy for Early-Stage Non–Small Cell Lung Cancer: A Multicentric Study. J. Nucl. Med. 2020, 61, 814–820. [Google Scholar] [CrossRef] [PubMed]
- Munoz-Schuffenegger, P.; Kandel, S.; Alibhai, Z.; Hope, A.; Bezjak, A.; Sun, A.; Simeonov, A.; Cho, B.; Giuliani, M. A Prospective Study of Magnetic Resonance Imaging Assessment of Post-radiation Changes Following Stereotactic Body Radiation Therapy for Non-small Cell Lung Cancer. Clin. Oncol. 2019, 31, 720–727. [Google Scholar] [CrossRef] [PubMed]
- Izaaryene, J.; Vidal, V.; Bartoli, J.M.; Loundou, A.; Gaubert, J.Y. Role of dual-energy computed tomography in detecting early recurrences of lung tumours treated with radiofrequency ablation. Int. J. Hyperth. 2017, 33, 653–658. [Google Scholar] [CrossRef]
- Matsuo, Y.; Shibuya, K.; Nagata, Y.; Norihisa, Y.; Narabayashi, M.; Sakanaka, K.; Ueki, N.; Mizowaki, T.; Hiraoka, M. Preliminary Report of Late Recurrences, at 5 Years or More, after Stereotactic Body Radiation Therapy for Non-small Cell Lung Cancer. J. Thorac. Oncol. 2012, 7, 453–456. [Google Scholar] [CrossRef]





| Characteristics | Train Cohort (N = 38) | Validation Cohort (N = 10) | p-Value |
|---|---|---|---|
| Gender | |||
| Male | 28 (74%) | 4 (40%) | 0.06 |
| Female | 10 (26%) | 6 (60%) | |
| Age (years) | 70 ± 12 [49–90] | 66 ± 11 [55–80] | 0.34 |
| Tobacco use | 25 (66%) | 10 (100%) | 0.04 |
| Diabetes | 7 (18%) | 1 (10%) | 0.99 |
| Cardiovascular diseases | 27 (71%) | 7 (70%) | 0.99 |
| ECOG performance status | |||
| 0 | 17 (45%) | 2 (20%) | 0.06 |
| 1 | 9 (24%) | 5 (50%) | |
| 2 | 4 (11%) | 3 (30%) | |
| 3 | 0 (0%) | 0 (0%) | |
| 4 | 0 (0%) | 0 (0%) | |
| Unknown | 8 (21%) | 0 (0%) | |
| Lung tumors | |||
| NSCLC | 27 (71%) | 9 (90%) | 0.22 |
| Metastases | 11 (29%) | 1 (10%) | |
| Tumor location | |||
| Central tumor | 11 (29%) | 3 (30%) | 0.95 |
| Peripheral tumor | 27 (71%) | 7 (70%) | |
| Lobe | |||
| Superior lobe | 20 (53%) | 3 (30%) | 0.03 |
| Middle lobe or lingula | 8 (21%) | 0 (0%) | |
| Inferior lobe | 10 (26%) | 7 (70%) | |
| Histological biopsy proof of malignancy | 11 (29%) | 8 (80%) | |
| Adenocarcinoma | 6 (16%) | 8 (80%) | 0.08 |
| Squamous cell carcinoma | 4 (11%) | 0 (0%) | |
| Renal adenocarcinoma metastasis | 1 (3%) | 0 (0%) | |
| Previous thoracic radiotherapy | 4 (11%) | 2 (20%) | 0.42 |
| Local recurrence | 13 (34%) | 2 (20%) | 0.39 |
| Reason of not surgery treatment | |||
| Surgical contraindication | 27 (71%) | 10 (100%) | 0.15 |
| - Respiratory insufficiency | 17 (37%) | 6 (60%) | |
| - Others | 10 (26%) | 4 (40%) | |
| Patient refusal | 2 (5%) | 0 (0%) | |
| Unknown | 9 (24%) | 0 (0%) |
| Variables | Odds Ratio | 95% CI | p-Value | Risk Score Calculation | |
|---|---|---|---|---|---|
| Sequentially enlarging mass-like lesion | 12.0 | 1.2–120.1 | 0.034 | Yes | 1 |
| No | 0 | ||||
| Craniocaudal growth | 19.2 | 1.8–199.9 | 0.013 | Yes | 1 |
| No | 0 | ||||
| Bulging margin | 10.6 | 1.5–76.1 | 0.019 | Yes | 1 |
| No | 0 | ||||
| SUVmax ≥ 5.5 | 11.0 | 1.6–73.9 | 0.014 | Yes | 1 |
| No | 0 | ||||
| Gender (Female) | 11.0 | 1.6–73.9 | 0.014 | Yes | 1 |
| No | 0 | ||||
| Total: …/5 | |||||
| Patients | Scores | Defined by the Score: Local Relapse Yes/No | Real Outcomes | ||
|---|---|---|---|---|---|
| 1 | 0 | No | No relapse | ||
| 2 | 1 | No | No relapse | ||
| 3 | 3 | Yes | Local relapse (biopsy-proven) | ||
| 4 | 0 | No | No relapse | ||
| 5 | 2 | No | No relapse | ||
| 6 | 1 | No | No relapse | ||
| 7 | 5 | Yes | No relapse | ||
| 8 | 3 | Yes | Local relapse (biopsy-proven) | ||
| 9 | 0 | No | No relapse | ||
| 10 | 1 | No | No relapse | ||
| True relapse | No relapse | ||||
| Predicted relapse | 2 | 1 | |||
| Predicted no relapse | 0 | 7 | |||
Publisher’s Note: MDPI stays neutral with regard to jurisdictional claims in published maps and institutional affiliations. |
© 2022 by the authors. Licensee MDPI, Basel, Switzerland. This article is an open access article distributed under the terms and conditions of the Creative Commons Attribution (CC BY) license (https://creativecommons.org/licenses/by/4.0/).
Share and Cite
Pougnet, I.; Habert, P.; Delcourt, S.; Boucekine, M.; Wong, S.; Zacchariotto, A.; Muracciole, X.; Gaubert, J.-Y.; Padovani, L. Local Recurrence Risk Score to Predict Relapse after Stereotactic Body Radiation Therapy for Lung Tumors. J. Clin. Med. 2022, 11, 6445. https://doi.org/10.3390/jcm11216445
Pougnet I, Habert P, Delcourt S, Boucekine M, Wong S, Zacchariotto A, Muracciole X, Gaubert J-Y, Padovani L. Local Recurrence Risk Score to Predict Relapse after Stereotactic Body Radiation Therapy for Lung Tumors. Journal of Clinical Medicine. 2022; 11(21):6445. https://doi.org/10.3390/jcm11216445
Chicago/Turabian StylePougnet, Isabelle, Paul Habert, Sarkis Delcourt, Mohamed Boucekine, Stephanie Wong, Audrey Zacchariotto, Xavier Muracciole, Jean-Yves Gaubert, and Laetitia Padovani. 2022. "Local Recurrence Risk Score to Predict Relapse after Stereotactic Body Radiation Therapy for Lung Tumors" Journal of Clinical Medicine 11, no. 21: 6445. https://doi.org/10.3390/jcm11216445
APA StylePougnet, I., Habert, P., Delcourt, S., Boucekine, M., Wong, S., Zacchariotto, A., Muracciole, X., Gaubert, J.-Y., & Padovani, L. (2022). Local Recurrence Risk Score to Predict Relapse after Stereotactic Body Radiation Therapy for Lung Tumors. Journal of Clinical Medicine, 11(21), 6445. https://doi.org/10.3390/jcm11216445

