Reliability and Utility of Various Methods for Evaluation of Bone Union after Anterior Cervical Discectomy and Fusion
Abstract
1. Introduction
2. Material and Methods
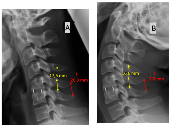
- change in the distance (in millimetres) between the bases of spinous processes in flexion vs. extension. Values ≥2 mm are considered a sign of fusion while values <2 mm represent a pseudoarthrosis.
- change in the distance (in millimetres) between the tips of spinous processes in flexion vs. extension. The threshold values are the same as with the 1st method above.
- change in the value of Cobb’s angle of the operated motion segment in flexion vs. extension. Changes <2° are a sign of fusion while changes ≥2° represent a pseudoarthrosis.
- change in the value of Cobb’s angle of the operated motion segment in flexion vs. extension, as in the 3rd method above, but with a different threshold: <4° is fusion and ≥4° is a pseudoarthrosis.
- bone bridging visible on the anterior and/or posterior edge of the operated disc space in a lateral radiograph. Fusion is diagnosed when bone bridging is visible, and if it is not visible, a pseudoarthrosis is diagnosed.
Statistical Methods
3. Results
- Method E—(Bridging bone).
- Method D—(Cobb’s angle with 4° threshold).
- Method B—(Interspinous distance at tip).
- Method C—(Cobb’s angle with 2° threshold).
- Method A—(Interspinous distance at base).
4. Discussion
5. Conclusions
Author Contributions
Funding
Institutional Review Board Statement
Informed Consent Statement
Data Availability Statement
Conflicts of Interest
References
- Rhee, J.M.; Chapman, J.R.; Norvell, D.C.; Smith, J.; Sherry, N.A.; Riew, K.D. Radiological determination of postoperative cervical fusion: A systematic review. Spine 2015, 40, 974–991. [Google Scholar] [CrossRef]
- Selby, M.D.; Clark, S.R.; Hall, D.J.; Freeman, B.J.C. Radiologic assessment of spinal fusion. J. Am. Acad. Orthop. Surg. 2012, 20, 694–703. [Google Scholar] [CrossRef]
- Ploumis, A.; Mehbod, A.; Garvey, T.; Gilbert, T.; Transfeldt, E.; Wood, K. Prospective assessment of cervical fusion status: Plain radiographs versus CT-scan. Acta Orthop. Belg. 2006, 72, 342–346. [Google Scholar]
- Epstein, N.E.; Silvergleide, R.S.; Black, K. Computed tomography validating bony ingrowth into fibula strut allograft: A criterion for fusion. Spine J. 2002, 2, 129–133. [Google Scholar] [CrossRef]
- Epstein, N.E.; Silvergleide, R.S. Documenting fusion following anterior cervical surgery: A comparison of roentgenogram versus two-dimensional computed tomographic findings. J. Spinal. Disord. Tech. 2003, 16, 243–247. [Google Scholar] [CrossRef]
- Godlewski, B.; Bebenek, A.; Dominiak, M.; Karpinski, G.; Cieslik, P.; Pawelczyk, T. PEEK versus titanium-coated PEEK cervical cages: Fusion rate. Acta Neurochir. 2022, 164, 1501–1507. [Google Scholar] [CrossRef]
- Obermueller, T.; Wagner, A.; Kogler, L.; Joerger, A.K.; Lange, N.; Lehmberg, J.; Meyer, B.; Shiban, E. Radiographic measurements of cervical alignment, fusion and subsidence after ACDF surgery and their impact on clinical outcome. Acta Neurochir. 2020, 162, 89–99. [Google Scholar] [CrossRef]
- Kaiser, M.G.; Mummaneni, P.V.; Matz, P.G.; Anderson, P.A.; Groff, M.W.; Heary, R.F.; Holly, L.T.; Ryken, T.C.; Choudhri, T.F.; Vresilovic, E.J.; et al. Radiographic assessment of cervical subaxial fusion. J. Neurosurg. Spine 2009, 11, 221–227. [Google Scholar] [CrossRef]
- Buchowski, J.M.; Liu, G.; Bunmapresert, T.; Rose, P.S.; Riew, K.D. Anterior cervical fusion assessment: Surgical exploration versus radiographic evaluation. Spine 2008, 33, 1185–1191. [Google Scholar] [CrossRef]
- Gruskay, J.A.; Webb, M.L.; Grauer, J.N. Methods of evaluating lumbar and cervical fusion. Spine J. 2014, 14, 531–539. [Google Scholar] [CrossRef]
- Pechlivanis, I.; Thuring, T.; Brenke, C.; Seiz, M.; Thome, C.; Barth, M.; Harders, A.; Schmieder, K. Non-fusion rates in anterior cervical discectomy and implantation of empty polyetheretherketone cages. Spine 2011, 36, 15–20. [Google Scholar] [CrossRef] [PubMed]
- Shiban, E.; Gapon, K.; Wostrack, M.; Meyer, B.; Lehmberg, J. Clinical and radiological outcome after anterior cervical discectomy and fusion with stand-alone empty polyetheretherketone (PEEK) cages. Acta Neurochir. 2016, 158, 349–355. [Google Scholar] [CrossRef] [PubMed]
- Sudhakar, N.; Laing, R.J.C.; Redferm, R.M. Assessment of fusion after anterior cervical discectomy. Br. J. Neurosurg. 2003, 17, 54–59. [Google Scholar] [CrossRef] [PubMed]
- Cauthen, J.C.; Kinard, R.E.; Vogler, J.B.; Jackson, D.E.; DePaz, O.B.; Hunter, O.L.; Wasserburger, L.B.; Williams, V.M. Outcome analysis of noninstrumented anterior cervical discectomy and interbody fusion in 348 patients. Spine 1998, 23, 188–192. [Google Scholar] [CrossRef]
- Bossuyt, P.M.; Reitsma, J.B.; Bruns, D.E.; Gatsonis, C.A.; Glasziou, P.P.; Irwing, L.M.; Lijmer, J.G.; Moher, D.; Rennie, D.; de Vet, H.C.W. Towards complete and accurate reporting of studies of diagnostic accuracy: The STARD initiative. Standards for reporting of diagnostic accuracy. Clin. Chem. 2003, 49, 1–6. [Google Scholar] [CrossRef]
- Tuli, S.K.; Chen, P.; Eichler, M.E.; Woodard, E.J. Reliability of radiologic assessment of fusion: Cervical fibular allograft model. Spine 2004, 29, 856–860. [Google Scholar] [CrossRef]
- Hipp, J.A.; Reitman, C.A.; Wharton, N. Defining pseudoarthrosis in the cervical spine with differing motion thresholds. Spine 2005, 30, 209–210. [Google Scholar] [CrossRef]
- Youden, W.J. Index for rating diagnosctic tests. Cancer. 1950, 3, 32–35. [Google Scholar] [CrossRef]
- Skolasky, R.L.; Maggard, A.M.; Hilibrand, A.S.; Northrup, B.E.; Ullrich, C.G.; Albert, T.J.; Coe, J.D.; Riley, L.H., 3rd. Agreement between surgeons and independent panel with respect to surgical site fusion after single-level anterior cervical spine surgery: A prospective, multicenter study. Spine 2006, 31, E503–E506. [Google Scholar]
- Cannada, L.K.; Scherping, S.C.; Yoo, J.U.; Jones, P.K.; Emery, S.E. Pseudoarthrosis of the cervical spine: A comparison of radiographic diagnostic measures. Spine 2003, 28, 46–51. [Google Scholar] [CrossRef]
- Arunkumar, M.J.; Rajshekhar, V. Artificats in magnetic resonance images following anterior cervical discectomy and fusion: Report of two cases. Br. J. Neurosurg. 1998, 12, 553–555. [Google Scholar] [CrossRef] [PubMed]
- Sutter, B.; Friehs, G.; Pendl, G.; Tölly, E. Bovine dowels for anterior cervical fusion: Experience in 66 patients with a note on postoperative CT and MRI appearance. Acta Neurochir. 1995, 137, 192–198. [Google Scholar] [CrossRef] [PubMed]
- Godlewski, B.; Dominiak, M. Advantages and disadvantages of the use of various types of interbody implants in cervical spine surgery. Critical review of the literature. Ortop. Traumatol. Rehabil. 2020, 22, 213–220. [Google Scholar] [CrossRef]
- Karikari, I.O.; Jain, D.; Owens, T.R.; Gottfried, O.; Hodges, T.R.; Nimjee, S.M.; Bagley, C.A. Impact of subsidence on clinical outcomes and radiographic fusion rates in anterior cervical discectomy and fusion: A systematic review. J. Spinal. Disord. Tech. 2014, 27, 1–10. [Google Scholar] [CrossRef] [PubMed]
- Papavero, L.; Lepori, P.; Schmeiser, G. Revision surgery in cervical spine. Eur. Spine J. 2020, 29, 47–56. [Google Scholar] [CrossRef]





| Modality | Criterion | Complete Fusion | Partial Fusion | Absence of Fusion |
|---|---|---|---|---|
| Functional radiographs | Mobility of implants against vertebral bodies on functional radiographs | No mobility | No mobility | Visible mobility |
| Computed tomography images | Continuity of bone tissue immediately anterior, posterior, medial and lateral to implant on CT scan | Visible bone tissue continuity | No continuity of bone tissue | No continuity of bone tissue |
| Diagnostic Approach | Sensitivity a [%] | Specificity b [%] | AUC | Test Accuracy c [%] | 95% CI for Accuracy | Accuracy Rank |
|---|---|---|---|---|---|---|
| Cobb Angle 2° | 47.9 | 53.7 | 0.51 | 49.6 | 40,987–58,299 | 4 |
| Cobb Angle 4° | 77.1 | 24.4 | 0.51 | 61.3 | 52,621–69,507 | 2 |
| Interspinous distance at base | 22.6 | 53.8 | 0.38 | 31.8 | 23,987–40,486 | 5 |
| Interspinous distance at tip | 56.7 | 66.7 | 0.62 | 59.7 | 50,696–68,229 | 3 |
| Presence of bridging bone | 69.5 | 69.2 | 0.69 | 69.4 | 60,859–77,067 | 1 |
| Variable | Area under the ROC Curve (AUC) | 95% CI for AUC | p Value | Youden J Index | Associated Criterion | Sensitivity | Specificity |
|---|---|---|---|---|---|---|---|
| Difference in angles (R_R_Cobb) | 0.629 | 0.529–0.722 | 0.021 | 0.257 | >1.89 | 63.89 | 61.76 |
| Difference in interspinous distance at base (R_R_Base) | 0.532 | 0.431–0.631 | 0.609 | - | - | - | - |
| Difference in interspinous distance at tip (R_R_Tip) | 0.529 | 0.426–0.630 | 0.646 | - | - | - | - |
Publisher’s Note: MDPI stays neutral with regard to jurisdictional claims in published maps and institutional affiliations. |
© 2022 by the authors. Licensee MDPI, Basel, Switzerland. This article is an open access article distributed under the terms and conditions of the Creative Commons Attribution (CC BY) license (https://creativecommons.org/licenses/by/4.0/).
Share and Cite
Godlewski, B.; Bebenek, A.; Dominiak, M.; Bochniak, M.; Cieslik, P.; Pawelczyk, T. Reliability and Utility of Various Methods for Evaluation of Bone Union after Anterior Cervical Discectomy and Fusion. J. Clin. Med. 2022, 11, 6066. https://doi.org/10.3390/jcm11206066
Godlewski B, Bebenek A, Dominiak M, Bochniak M, Cieslik P, Pawelczyk T. Reliability and Utility of Various Methods for Evaluation of Bone Union after Anterior Cervical Discectomy and Fusion. Journal of Clinical Medicine. 2022; 11(20):6066. https://doi.org/10.3390/jcm11206066
Chicago/Turabian StyleGodlewski, Bartosz, Adam Bebenek, Maciej Dominiak, Marcin Bochniak, Piotr Cieslik, and Tomasz Pawelczyk. 2022. "Reliability and Utility of Various Methods for Evaluation of Bone Union after Anterior Cervical Discectomy and Fusion" Journal of Clinical Medicine 11, no. 20: 6066. https://doi.org/10.3390/jcm11206066
APA StyleGodlewski, B., Bebenek, A., Dominiak, M., Bochniak, M., Cieslik, P., & Pawelczyk, T. (2022). Reliability and Utility of Various Methods for Evaluation of Bone Union after Anterior Cervical Discectomy and Fusion. Journal of Clinical Medicine, 11(20), 6066. https://doi.org/10.3390/jcm11206066

