Custom-Made 3D-Printed Implants for Anterior Column Reconstruction in the Upper Cervical Spine after Intralesional Extracapsular Excision—Report of 2 Cases and Literature Review
Abstract
1. Introduction
2. Materials and Methods
Design of the Implant
3. Results
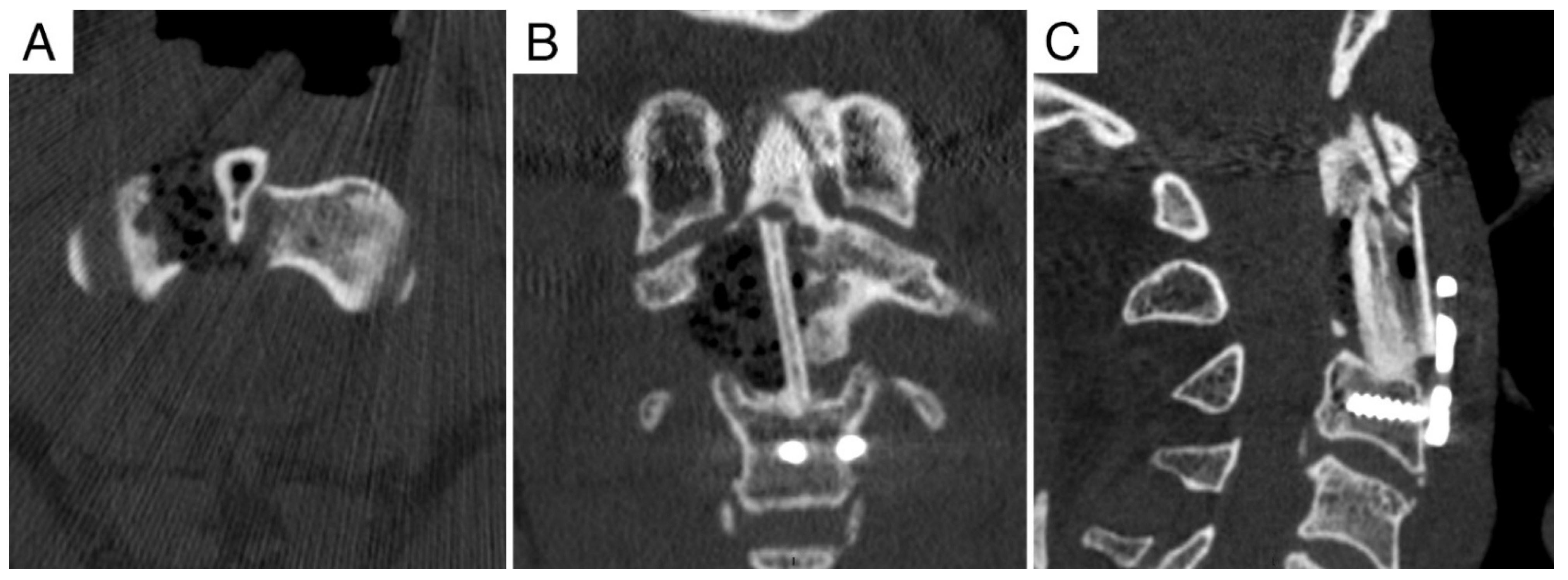
3.1. Case Report 1
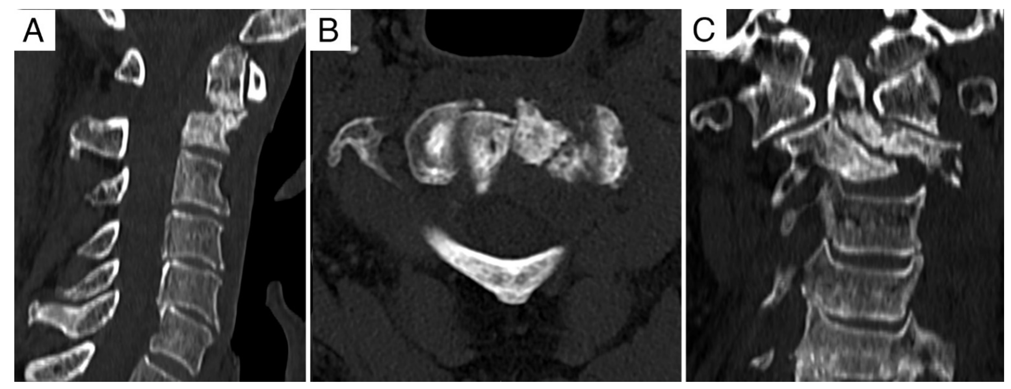
3.2. Case Report 2
3.3. Reconstruction
4. Discussion
5. Conclusions
Supplementary Materials
Author Contributions
Funding
Institutional Review Board Statement
Informed Consent Statement
Data Availability Statement
Acknowledgments
Conflicts of Interest
References
- Girolami, M.; Sartori, M.; Bandiera, S.; Barbanti-Brodano, G.; Evangelisti, G.; Ghermandi, R.; Pipola, V.; Tedesco, G.; Terzi, S.; Asunis, E.; et al. 3D Vertebral Prosthesis. In 3D Printing in Bone Surgery; Zoccali, C., Ruggeri, P., Benazzo, F., Eds.; Springer Nature: Basel, Switzerland, 2022; pp. 97–104. [Google Scholar]
- Girolami, M.; Boriani, S.; Bandiera, S.; Barbanti-Bródano, G.; Ghermandi, R.; Terzi, S.; Tedesco, G.; Evangelisti, G.; Pipola, V.; Gasbarrini, A. Biomimetic 3D-printed custom-made prosthesis for anterior column reconstruction in the thoracolumbar spine: A tailored option following en bloc resection for spinal tumors: Preliminary results on a case-series of 13 patients. Eur. Spine J. 2018, 27, 3073–3083. [Google Scholar] [CrossRef]
- Tenny, S.; Varacallo, M. Chordoma. In WHO Classification of Tumours, Soft Tissue and Bone Tumours, 5th ed.; Statpearls Publishing: Tampa, FL, USA, 2022. Available online: https://www.ncbi.nlm.nih.gov/books/NBK430846/ (accessed on 12 February 2022).
- McAfee, P.C.; Bohlman, H.H.; Riley, L.H., Jr.; Robinson, R.A.; Southwick, W.O.; Nachlas, N.E. The anterior retropharyngeal approach to the upper part of the cervical spine. J. Bone Jt. Surg. Am. 1987, 69, 1371–1383. [Google Scholar]
- Singh, P.K.; Agrawal, M.; Mishra, S.; Agrawal, D.; Sawarkar, D.; Jagdevan, A.; Verma, S.; Doddamani, R.; Meena, R.; Garg, K.; et al. Management of C2 Body Giant Cell Tumor by Innovatively Fashioned Iliac Crest Graft and Modified Cervical Mesh Cage Used as Plate. World Neurosurg. 2020, 140, 241–246. [Google Scholar] [CrossRef]
- Yang, J.; Yang, X.H.; He, S.H.; Jiao, J.; Jia, Q.; Hu, J.B.; Xiao, J.R. A Novel Reconstruction Using a Combined Anterior and Posterior Approach After Axis Tumor Spondylectomy. Clin. Spine Surg. 2020, 33, E299–E306. [Google Scholar] [CrossRef]
- Suchomel, P.; Buchvald, P.; Barsa, P.; Froehlich, R.; Choutka, O.; Krejzar, Z.; Sourkova, P.; Endrych, L.; Dzan, L. Single-stage total C-2 intralesional spondylectomy for chordoma with three-column reconstruction. Technical note. J. Neurosurg. Spine 2007, 6, 611–618. [Google Scholar] [CrossRef] [PubMed]
- Kaltoft, B.; Kruse, A.; Jensen, L.T.; Elberg, J.J. Reconstruction of the cervical spine with two osteocutaneous fibular flap after radiotherapy and resection of osteoclastoma: A case report. J. Plast. Reconstr. Aesthet. Surg. 2012, 65, 1262–1264. [Google Scholar] [CrossRef]
- Xu, N.; Wei, F.; Liu, X.; Jiang, L.; Cai, H.; Li, Z.; Yu, M.; Wu, F.; Liu, Z. Reconstruction of the Upper Cervical Spine Using a Personalized 3D-Printed Vertebral Body in an Adolescent with Ewing Sarcoma. Spine 2016, 41, E50–E54. [Google Scholar] [CrossRef]
- Li, X.; Wang, Y.; Zhao, Y.; Liu, J.; Xiao, S.; Mao, K. Multilevel 3D Printing Implant for Reconstructing Cervical Spine with Metastatic Papillary Thyroid Carcinoma. Spine 2017, 42, E1326–E1330. [Google Scholar] [CrossRef]
- Mobbs, R.J.; Thompson, R.; Sutterlin, I.I.I.C.E.; Phan, K. The utility of 3D printing for surgical planning and patient-specific implant design for complex spinal pathologies: Case report. J. Neurosurg. Spine 2017, 26, 513–518. [Google Scholar] [CrossRef]
- He, S.; Yang, X.; Yang, J.; Ye, C.; Liu, W.; Wei, H.; Xiao, J. Customized “Whole-Cervical-Vertebral-Body” Reconstruction After Modified Subtotal Spondylectomy of C2-C7 Spinal Tumor Via Piezoelectric Surgery. Oper. Neurosurg. 2019, 17, 580–587. [Google Scholar] [CrossRef] [PubMed]
- He, S.; Ye, C.; Zhong, N.; Yang, M.; Yang, X.; Xiao, J. Customized anterior craniocervical reconstruction via a modified high-cervical retropharyngeal approach following resection of a spinal tumor involving C1-2/C1-3. J. Neurosurg. Spine 2019, 32, 432–440. [Google Scholar] [CrossRef] [PubMed]
- Parr, W.C.H.; Burnard, J.L.; Singh, T.; McEvoy, A.; Walsh, W.R.; Mobbs, R.J. C3-C5 Chordoma Resection and Reconstruction with a Three-Dimensional Printed Titanium Patient-Specific Implant. World Neurosurg. 2020, 136, 226–233. [Google Scholar] [CrossRef]
- Li, Y.; Zheng, G.; Liu, T.; Liang, Y.; Huang, J.; Liu, X.; Huang, J.; Cheng, Z.; Lu, S.; Huang, L. Surgical Resection of Solitary Bone Plasmacytoma of Atlas and Reconstruction with 3-Dimensional-Printed Titanium Patient-Specific Implant. World Neurosurg. 2020, 139, 322–329. [Google Scholar] [CrossRef]
- Wei, F.; Li, Z.; Liu, Z.; Liu, X.; Jiang, L.; Yu, M.; Xu, N.; Wu, F.; Dang, L.; Zhou, H.; et al. Upper cervical spine reconstruction using customized 3D-printed vertebral body in 9 patients with primary tumors involving C2. Ann. Transl. Med. 2020, 8, 332. [Google Scholar] [CrossRef]
- Yang, X.; Wan, W.; Gong, H.; Xiao, J. Application of Individualized 3D-Printed Artificial Vertebral Body for Cervicothoracic Reconstruction in a Six-Level Recurrent Chordoma. Turk. Neurosurg. 2020, 30, 149–155. [Google Scholar] [CrossRef]
- Hunn, S.A.M.; Koefman, A.J.; Hunn, A.W.M. AWM. 3D-printed Titanium Prosthetic Reconstruction of the C2 Vertebra: Techniques and Outcomes of Three Consecutive Cases. Spine 2020, 45, 667–672. [Google Scholar] [CrossRef]
- Baldassarre, B.M.; Di Perna, G.; Portonero, I.; Penner, F.; Cofano, F.; Marco, R.; Marengo, N.; Garbossa, D.; Pecorari, G.; Zenga, F. Craniovertebral junction chordomas: Case series and strategies to overcome the surgical challenge. J. Craniovertebr. Junction Spine 2021, 12, 420–431. [Google Scholar]
- Lannon, M.; Algird, A.; Alsunbul, W.; Wang, B.H. Cost-Effective Cranioplasty Utilizing 3D Printed Molds: A Canadian Single-Center Experience. Can. J. Neurol. Sci. 2022, 49, 196–202. [Google Scholar] [CrossRef]
- Czyżewski, W.; Jachimczyk, J.; Hoffman, Z.; Szymoniuk, M.; Litak, J.; Maciejewski, M.; Kura, K.; Rola, R.; Torres, K. Low-Cost Cranioplasty-A Systematic Review of 3D Printing in Medicine. Materials 2022, 15, 4731. [Google Scholar] [CrossRef]
- Park, C.K. 3D-Printed Disease Models for Neurosurgical Planning, Simulation, and Training. J. Korean Neurosurg. Soc. 2022, 65, 489–498. [Google Scholar] [CrossRef] [PubMed]
- Błaszczyk, M.; Jabbar, R.; Szmyd, B.; Radek, M. 3D Printing of Rapid, Low-Cost and Patient-Specific Models of Brain Vasculature for Use in Preoperative Planning in Clipping of Intracranial Aneurysms. J. Clin. Med. 2021, 10, 1201. [Google Scholar] [CrossRef]
- Garcia, J.; Yang, Z.; Mongrain, R.; Leask, R.L.; Lachapelle, K. 3D printing materials and their use in medical education: A review of current technology and trends for the future. BMJ Simul. Technol. Enhanc. Learn. 2018, 4, 27–40. [Google Scholar] [CrossRef] [PubMed]








| Patient | Age (Years), Sex | Diagnosis | Enneking | WBB | Previous Treatments | Approach | Margin | Local Control (Months) | Overall Survival (Months) | Oncological Status |
|---|---|---|---|---|---|---|---|---|---|---|
| 1 | 65, M | Recurrent chordoma C2 | IB | 8-5/A-D | RT (70.4 Gy carbon-ion, Δt = 4 y) Extracapsular debulking and reconstruction w/ allograft and carbon-fiber buttress plate (Δt = 2 y) | A | Intralesional | 18 | 20 | DOC |
| 2 | 75, M | Recurrent chordoma C2 | IB | 8-3/A-D | Extracapsular debulking (Δt = 8 m) RT (74 Gy proton-ion, Δt = 2 m) | A+P | Intralesional | 12 | 32 | DOD |
| Authors | Year | Article Type | n | Diagnosis | Age, Sex | Previous Treatments | Surgical Treatment | Approach | Adjuvant Treatments | Proximal Fixation | Distal Fixation | Follow-Up | |
|---|---|---|---|---|---|---|---|---|---|---|---|---|---|
| Xu N et al. [9] | 2016 | Case report | 1 | C2 Ewing sarcoma | 12, M | None | Single-level (C2) IL spondylectomy | P (C0-C6) + A (extraoral retropharyngeal) staged (2 weeks) | CHT + RT | Divergent TI-screws in C1 lateral masses | Titanium wiring in DVB (C3; TI-screws insertion not possible) | 1 year | |
| Li X et al. [10] | 2017 | Case report | 1 | C2-C3-C4 thyroid ca. metastasis | 53, F | None | 3-level (C2-C4) IL corpectomy + thyroidectomy and lateral lymph nodes dissection | A and P (C1-C6) | Radioiodine I131 | Divergent TI-screws in C1 lateral masses | 2 TI-screws in DVB (C5) | 1 year | |
| Mobbs RJ et al. [11] | 2017 | Case report | 1 | C1-C2 chordoma | 63, M | CT-guided transoral biopsy | 2-level (C1-C2) IL excision | P (C0-C3) and A (transoral) | RT | 2 TiP-screws in the clivus | 2 TI-screws in DVB (C3) | 9 months | |
| He S et al. [12] | 2019 | Case report | 1 | C2-C7 chondrosarcoma | 27 | Posterior open biopsy | 6-level (C2-C7) IL en bloc resection | P (C0-T2) and A (retropharyngeal) staged (1 week) | Local cisplatinum intra-op. | Divergent TI-screws in C1 lateral masses | 2 TiP-screws in DVB (T1) | 14 months | |
| He S et al. [13] | 2019 | Case series | 7 | C1-C3 (4 patients) C1-C2 (3 patients) | Average 47.6 ± 19.0 (range 12–72) | - - - | Multi-level IL spondylectomy (4 3-level, 3 2-level) | P and A (retropharyngeal) staged | - - - | TI-screws in occipital condyles | 2 TiP-screws in DVB | Average 14.8 (range 7.3–24.2) | |
| |||||||||||||
| Parr WHC et al. [14] | 2020 | Case report | 1 | C3-C4-C5 chordoma | 45, M | CT-guided biopsy | 3-level IL spondylectomy | P (C2-C6) and A staged (3 days) | RT (proton-beam) | 2 TI-screws in C2 | 2 TI-screws in DVB (C6) | 17 months | |
| Li Y et al. [15] | 2020 | Case report | 1 | C1 plasmocytoma | 57, M | CT-guided transoral biopsy | IL tumor debulking | A (retropharyngeal) and P (C0-C3) | RT (57 Gy/27 ft.) | 1 TI-screw in occipital condyle | 1 TI- and 1 TiP-screw in DVB (C2) | (Not reported) | |
| Wei F et al. [16] | 2020 | Case series | 9 | 7 C2 2 C2-C3 | Average 31.4 (range 12–59) | CT-guided biopsy | Single- and multi-level IL spondylectomy | P (4 cases to C0, 5 to C1) and A (retropharyngeal) staged (average 14.4 days) | RT, CHT (in 2 cases) | Divergent TI-screws in C1 lateral masses | 2 TiP-screws in DVB (not possible in 2 cases) | Average 28.6 (range 12–42) | |
| |||||||||||||
| Yang X et al. [17] | 2020 | Case report | 1 | C3-C4-C5-C6-C7-T1 chordoma | 40, F | 2 tumor debulkings | 6-level IL extracapsular excision | A (retropharyngeal) and P (C1-T3) | None | 3 TiP-screws in vertebral body of C2 | 3 TiP-screws in DVB (T2) | 9 months | |
| Hunn SAM et al. [18] | 2020 | Case report | 2 | C2 thyroid ca. metastasis | 56, F | None | Single-level (C2) IL corpectomy | A (retropharyngeal) | and P (C1-C3) | RT and CHT | 2 TiP-screws in C1 lateral masses | 3 TiP-screws in DVB (C3) | 14 months |
| C2-C3 myeloma | 63, M | None | 2-level (C2-C3) IL corpectomy | and P (C1-C4) | (Not reported) | 3 TiP-screws in DVB (C4) | 4 months | ||||||
| Baldassarre BM et al. [19] | 2021 | Case report | 1 | C1-C2 chordoma | 45 | Biopsy | IL excision | P (C0-C4) and A (retropharyngeal) staged (1 day) | RT (proton beam) | Saddle for anterior arch of C1 | 2 TiP-screws in DVB (C3) | 12 months | |
Publisher’s Note: MDPI stays neutral with regard to jurisdictional claims in published maps and institutional affiliations. |
© 2022 by the authors. Licensee MDPI, Basel, Switzerland. This article is an open access article distributed under the terms and conditions of the Creative Commons Attribution (CC BY) license (https://creativecommons.org/licenses/by/4.0/).
Share and Cite
Girolami, M.; Griffoni, C.; Asunis, E.; Falzetti, L.; Bandiera, S.; Barbanti Brodano, G.; Ghermandi, R.; Pipola, V.; Terzi, S.; Pesce, E.; et al. Custom-Made 3D-Printed Implants for Anterior Column Reconstruction in the Upper Cervical Spine after Intralesional Extracapsular Excision—Report of 2 Cases and Literature Review. J. Clin. Med. 2022, 11, 6058. https://doi.org/10.3390/jcm11206058
Girolami M, Griffoni C, Asunis E, Falzetti L, Bandiera S, Barbanti Brodano G, Ghermandi R, Pipola V, Terzi S, Pesce E, et al. Custom-Made 3D-Printed Implants for Anterior Column Reconstruction in the Upper Cervical Spine after Intralesional Extracapsular Excision—Report of 2 Cases and Literature Review. Journal of Clinical Medicine. 2022; 11(20):6058. https://doi.org/10.3390/jcm11206058
Chicago/Turabian StyleGirolami, Marco, Cristiana Griffoni, Emanuela Asunis, Luigi Falzetti, Stefano Bandiera, Giovanni Barbanti Brodano, Riccardo Ghermandi, Valerio Pipola, Silvia Terzi, Eleonora Pesce, and et al. 2022. "Custom-Made 3D-Printed Implants for Anterior Column Reconstruction in the Upper Cervical Spine after Intralesional Extracapsular Excision—Report of 2 Cases and Literature Review" Journal of Clinical Medicine 11, no. 20: 6058. https://doi.org/10.3390/jcm11206058
APA StyleGirolami, M., Griffoni, C., Asunis, E., Falzetti, L., Bandiera, S., Barbanti Brodano, G., Ghermandi, R., Pipola, V., Terzi, S., Pesce, E., Monopoli Forleo, D., Cianchetti, M., Fiore, M. R., Presutti, L., Fini, M., & Gasbarrini, A. (2022). Custom-Made 3D-Printed Implants for Anterior Column Reconstruction in the Upper Cervical Spine after Intralesional Extracapsular Excision—Report of 2 Cases and Literature Review. Journal of Clinical Medicine, 11(20), 6058. https://doi.org/10.3390/jcm11206058

