Conservative vs. Surgical Management for Femoro-Acetabular Impingement: A Systematic Review of Clinical Evidence
Abstract
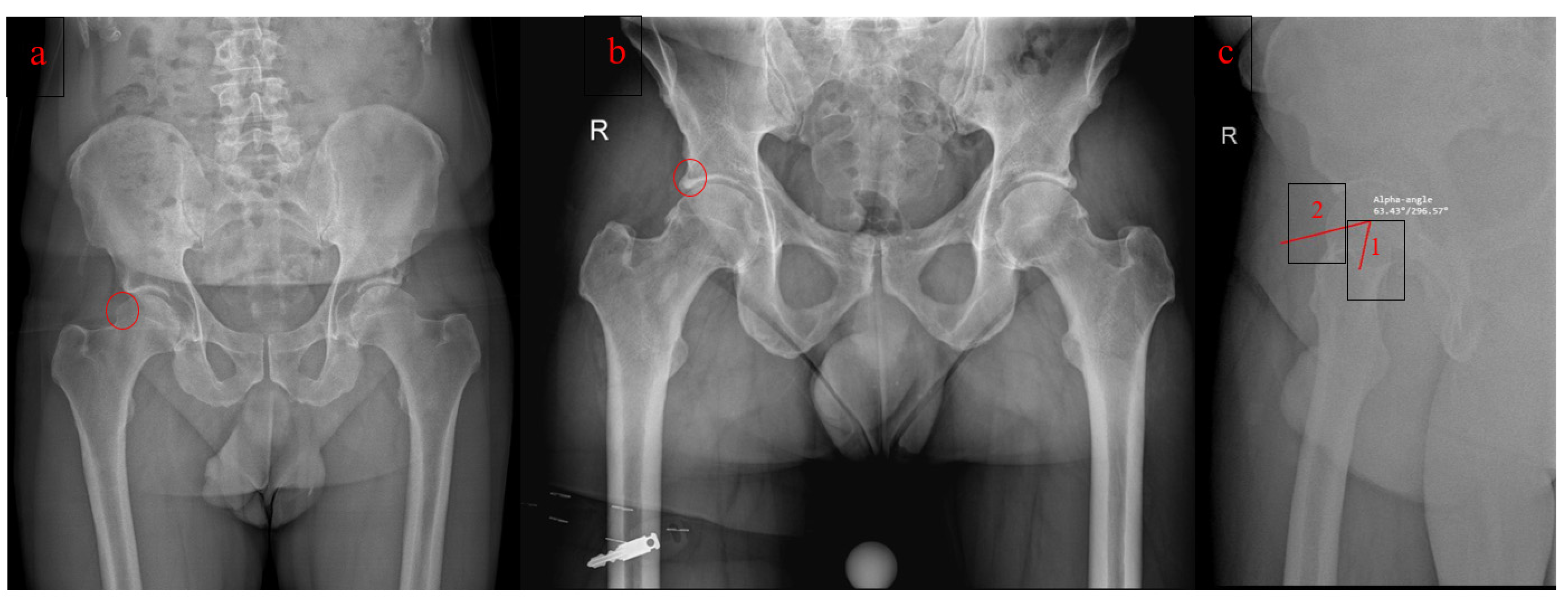
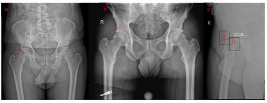
1. Introduction
2. Materials and Methods
3. Results
4. Reported Clinical Outcomes
4.1. International Hip Outcome Tool (iHOT-33)
4.2. Hip Outcome Score of Daily Living (HOS-ADL) and Sports (HOS-Sports)
4.3. EQ-5D 3L/5L and EQ-5D-5L-VAS
4.4. Other Health-Related Scores
4.5. Delayed Gadolinium-Enhanced Magnetic Resonance Imaging (MRI) of Cartilage (dGEMRIC)
5. Discussion
6. Conclusions
Author Contributions
Funding
Conflicts of Interest
References
- Griffin, D.R.; Dickenson, E.J.; O’Donnell, J.; Agricola, R.; Awan, T.; Beck, M.; Clohisy, J.C.; Dijkstra, H.P.; Falvey, E.; Gimpel, M.; et al. The Warwick Agreement on femoroacetabular impingement syndrome (FAI syndrome): An international consensus statement. Br. J. Sports Med. 2016, 50, 1169–1176. [Google Scholar] [CrossRef] [PubMed]
- Ganz, R.; Bamert, P.; Hausner, P.; Isler, B.; Vrevc, F. Cervico-acetabular impingement after femoral neck fracture. Unfallchirurg 1991, 94, 172–175. [Google Scholar] [PubMed]
- Myers, S.R.; Eijer, H.; Ganz, R. Anterior femoroacetabular impingement after periacetabular osteotomy. Clin. Orthop. Relat. Res. 1999, 363, 93–99. [Google Scholar] [CrossRef]
- Ometti, M.; Schipani, D.; Conte, P.; Pironti, P.; Salini, V. The efficacy of intra-articular HYADD4-G injection in the treatment of femoroacetabular impingement: Results at one year follow up. J. Drug Assess. 2020, 9, 159–166. [Google Scholar] [CrossRef]
- Frank, J.M.; Harris, J.D.; Erickson, B.J.; Slikker, W., III; Bush-Joseph, C.A.; Salata, M.J.; Nho, S.J. Prevalence of Femoroacetabular Impingement Imaging Findings in Asymptomatic Volunteers: A Systematic Review. Arthroscopy 2015, 31, 1199–1204. [Google Scholar] [CrossRef] [PubMed]
- Zadpoor, A.A. Etiology of Femoroacetabular Impingement in Athletes: A Review of Recent Findings. Sports Med. 2015, 45, 1097–1106. [Google Scholar] [CrossRef] [PubMed]
- Dimmick, S.; Stevens, K.J.; Brazier, D.; Anderson, S.E. Femoroacetabular impingement. Radiol Clin. N. Am. 2013, 51, 337–352. [Google Scholar] [CrossRef] [PubMed]
- Dooley, P.J. Femoroacetabular impingement syndrome: Nonarthritic hip pain in young adults. Can. Fam. Physician 2008, 54, 42–47. [Google Scholar]
- Laborie, L.B.; Lehmann, T.G.; Engesæter, I.Ø.; Sera, F.; Engesæter, L.B.; Rosendahl, K. The alpha angle in cam-type femoroacetabular impingement: New reference intervals based on 2038 healthy young adults. Bone Joint J. 2014, 96, 449–454. [Google Scholar] [CrossRef]
- Fioruzzi, A.; Acerbi, A.; Jannelli, E.; Ivone, A.; Fontana, A. Interobserver and intraobserver reliability of a new radiological classification for femoroacetabular impingement syndrome. Musculoskelet Surg. 2020, 104, 279–284. [Google Scholar] [CrossRef]
- Griffin, D.R.; Dickenson, E.J.; Wall, P.D.; Achana, F.; Donovan, J.L.; Griffin, J.; Hobson, R.; Hutchinson, C.E.; Jepson, M.; Parsons, N.R.; et al. Hip arthroscopy versus best conservative care for the treatment of femoroacetabular impingement syndrome (UK FASHIoN): A multicentre randomised controlled trial. Lancet 2018, 391, 2225–2235. [Google Scholar] [CrossRef]
- Mansell, N.S.; Rhon, D.I.; Meyer, J.; Slevin, J.M.; Marchant, B.G. Arthroscopic Surgery or Physical Therapy for Patients with Femoroacetabular Impingement Syndrome: A Randomized Controlled Trial With 2-Year Follow-up. Am. J. Sports Med. 2018, 46, 1306–1314. [Google Scholar] [CrossRef] [PubMed]
- Mansell, N.S.; Rhon, D.I.; Marchant, B.G.; Slevin, J.M.; Meyer, J.L. Two-year outcomes after arthroscopic surgery compared to physical therapy for femoracetabular impingement: A protocol for a randomized clinical trial. BMC Musculoskelet. Disord. 2016, 17, 60. [Google Scholar] [CrossRef] [PubMed]
- Hunter, D.J.; Eyles, J.; Murphy, N.J.; Spiers, L.; Burns, A.; Davidson, E.; Dickenson, E.; Fary, C.; Foster, N.E.; Fripp, J.; et al. Multi-centre randomised controlled trial comparing arthroscopic hip surgery to physiotherapist-led care for femoroacetabular impingement (FAI) syndrome on hip cartilage metabolism: The Australian FASHIoN trial. BMC Musculoskelet. Disord. 2021, 22, 697. [Google Scholar] [CrossRef] [PubMed]
- Palmer, A.J.; Gupta, V.A.; Fernquest, S.; Rombach, I.; Dutton, S.J.; Mansour, R.; Wood, S.; Khanduja, V.; Pollard, T.C.; McCaskie, A.W.; et al. Arthroscopic hip surgery compared with physiotherapy and activity modification for the treatment of symptomatic femoroacetabular impingement: Multicentre randomised controlled trial. BMJ 2019, 364, 185. [Google Scholar] [CrossRef]
- Hartwell, M.J.; Morgan, A.M.; Nelson, P.A.; Fernandez, C.E.; Nicolay, R.W.; Sheth, U.; Tjong, V.K.; Terry, M.A. Isolated Acetabuloplasty for Femoroacetabular Impingement: Favorable Patient-Reported Outcomes and Sustained Survivorship at Minimum 5-Year Follow-Up. Arthroscopy 2021, 37, 3288–3294. [Google Scholar] [CrossRef]
- Byrd, J.W.T.; Jones, K.S. Arthroscopic femoroplasty in the management of cam-type femoroacetabular impingement. Clin. Orthop. Relat. Res. 2009, 467, 739–746. [Google Scholar] [CrossRef]
- Gatz, M.; Driessen, A.; Eschweiler, J.; Tingart, M.; Migliorini, F. Arthroscopic surgery versus physiotherapy for femoroacetabular impingement: A meta-analysis study. Eur. J. Orthop. Surg. Traumatol. 2020, 30, 1151–1162. [Google Scholar] [CrossRef]
- Mok, T.N.; He, Q.Y.; Teng, Q.; Sin, T.H.; Wang, H.J.; Zha, Z.G.; Zheng, X.F.; Pan, J.H.; Hou, H.G.; Li, J.R. Arthroscopic Hip Surgery versus Conservative Therapy on Femoroacetabular Impingement Syndrome: A Meta-Analysis of RCTs. Orthop Surg. 2021, 13, 1755–1764. [Google Scholar] [CrossRef]
- Dwyer, T.; Whelan, D.; Shah, P.S.; Ajrawat, P.; Hoit, G.; Chahal, J. Operative Versus Nonoperative Treatment of Femoroacetabular Impingement Syndrome: A Meta-analysis of Short-Term Outcomes. Arthroscopy 2022, 36, 263–273, Erratum in Arthroscopy 2021, 37, 784. [Google Scholar] [CrossRef]
- Mahmoud, S.S.S.; Takla, A.; Meyer, D.; Griffin, D.; O’Donnell, J. Arthroscopic hip surgery offers better early patient-reported outcome measures than targeted physiotherapy programs for the treatment of femoroacetabular impingement syndrome: A systematic review and meta-analysis of randomized controlled trials. J. Hip. Preserv. Surg. 2022, 9, 107–118. [Google Scholar] [CrossRef] [PubMed]
- Mohtadi, N.G.; Griffin, D.R.; Pedersen, M.E.; Chan, D.; Safran, M.R.; Parsons, N.; Sekiya, J.K.; Kelly, B.T.; Werle, J.R.; Leunig, M.; et al. The Development and validation of a self-administered quality-of-life outcome measure for young, active patients with symptomatic hip disease: The International Hip Outcome Tool (iHOT-33). Arthroscopy 2012, 28, 595–605. [Google Scholar] [CrossRef] [PubMed]
- Risberg, M.A.; Ageberg, E.; Nilstad, A.; Lund, B.; Nordsletten, L.; Løken, S.; Ludvigsen, T.; Kierkegaard, S.; Carsen, S.; Kostogiannis, I.; et al. Arthroscopic Surgical Procedures Versus Sham Surgery for Patients with Femoroacetabular Impingement and/or Labral Tears: Study Protocol for a Randomized Controlled Trial (HIPARTI) and a Prospective Cohort Study (HARP). J. Orthop. Sports Phys. Ther. 2018, 48, 325–335. [Google Scholar] [CrossRef]
- Bennell, K.L.; Spiers, L.; Takla, A.; O’Donnell, J.; Kasza, J.; Hunter, D.J.; Hinman, R.S. Efficacy of adding a physiotherapy rehabilitation programme to arthroscopic management of femoroacetabular impingement syndrome: A randomised controlled trial (FAIR). BMJ 2017, 7, e014658. [Google Scholar] [CrossRef] [PubMed]
- Wierks, C.H.; Boersma, J.B.; Pate, M.J.; Davis, A.T. Hip Strength Before and After Arthroscopic Femoroacetabular Impingement Surgery. Orthopedics 2021, 44, 148–153. [Google Scholar] [CrossRef] [PubMed]
- O’Connor, M.; Minkara, A.A.; Westermann, R.W.; Rosneck, J.; Lynch, T.S. Return to Play After Hip Arthroscopy: A Systematic Review and Meta-analysis. Am. J. Sports Med. 2018, 46, 2780–2788. [Google Scholar] [CrossRef]
- Harris-Hayes, M.; Czuppon, S.; Van Dillen, L.R.; Steger-May, K.; Sahrmann, S.; Schootman, M.; Salsich, G.B.; Clohisy, J.C.; Mueller, M.J. Movement-Pattern Training to Improve Function in People With Chronic Hip Joint Pain: A Feasibility Randomized Clinical Trial. J. Orthop. Sports Phys. Ther. 2016, 46, 452–461. [Google Scholar] [CrossRef]
- Kemp, J.L.; Coburn, S.L.; Jones, D.M.; Crossley, K.M. The Physiotherapy for Femoroacetabular Impingement Rehabilitation STudy (physioFIRST): A Pilot Randomized Controlled Trial. J. Orthop. Sports Phys. Ther. 2018, 48, 307–315. [Google Scholar] [CrossRef]
- Smeatham, A.; Powell, R.; Moore, S.; Chauhan, R.; Wilson, M. Does treatment by a specialist physiotherapist change pain and function in young adults with symptoms from femoroacetabular impingement? A pilot project for a randomised controlled trial. Physiotherapy 2017, 103, 201–207. [Google Scholar] [CrossRef]
- Röling, M.A.; Mathijssen, N.M.C.; Bloem, R.M. Incidence of symptomatic femoroacetabular impingement in the general population: A prospective registration study. J. Hip. Preserv. Surg. 2016, 3, 203–207. [Google Scholar] [CrossRef]
- Ganz, R.; Parvizi, J.; Beck, M.; Leunig, M.; Nötzli, H.; Siebenrock, K.A. Femoroacetabular impingement: A cause for osteoarthritis of the hip. Clin. Orthop. Relat. Res. 2003, 417, 112–120. [Google Scholar] [CrossRef] [PubMed]
- Tannast, M.; Goricki, D.; Beck, M.; Murphy, S.B.; Siebenrock, K.A. Hip damage occurs at the zone of femoroacetabular impingement. Clin. Orthop. Relat. Res. 2008, 466, 273–280. [Google Scholar] [CrossRef] [PubMed]
- Condello, V.; Zdanowicz, U.; Di Matteo, B.; Spalding, T.; Gelber, P.E.; Adravanti, P.; Heuberer, P.; Dimmen, S.; Sonnery-Cottet, B.; Hulet, C.; et al. Allograft tendons are a safe and effective option for revision ACL reconstruction: A clinical review. Knee Surg. Sports Traumatol. Arthrosc. 2019, 27, 1771–1781. [Google Scholar] [CrossRef] [PubMed]
- Collins, J.A.; Ward, J.P.; Youm, T. Is prophylactic surgery for femoroacetabular impingement indicated? A systematic review. Am. J. Sports Med. 2014, 42, 3009–3015. [Google Scholar] [CrossRef] [PubMed]
- Matsuda, D.K.; Carlisle, J.C.; Arthurs, S.C.; Wierks, C.H.; Philippon, M.J. Comparative systematic review of the open dislocation, mini-open, and arthroscopic surgeries for femoroacetabular impingement. Arthroscopy 2011, 27, 252–269. [Google Scholar] [CrossRef]


| Study | Study Design | Treatment Groups | Outcome Measures | Follow-Up | Rehabilitation Program | Main Results | Comments on Results |
|---|---|---|---|---|---|---|---|
| Griffin et al. [11] | RCT | 171 surgical and 177 PT | iHOT-33 EuroQol EQ-5D-5L SF-12 | 12mo | 6 to 10 sessions over 12 to 24 weeks with physiotherapist personalized hip therapy with an assessment of pain, function, and range of hip motion; patient education; an exercise program that has the key features of individualization, progression, and supervision; help with pain relief, which could include one X-ray or ultrasound-guided intra-articular steroid injection | At 12 mo follow-up, there was a mean adjusted difference of 6·8 points in the iHOT-33 score between groups, in favor of hip arthroscopy. This is a statistically significant difference that also exceeded the minimum clinically important difference for iHOT-33. | Hip arthroscopy is more clinically effective than best conservative care |
| Mansell et al. [12] | RCT | 38 surgical and 40 PT | HOS iHOT-33 GRC | 24mo | 12 sessions over 6 weeks with joint mobilizations, mobilization with motion, therapeutic exercise, soft tissue mobility, stretching, motor control exercises and home exercise program. | There was no significant difference between the surgery and no surgery groups at any time point out to 2 years on the HOS ADL and sport subscales or the iHOT-33. There was a statistically significant improvement from baseline to 1 and 2 years on the HOS ADL subscale and the iHOT-33 in the surgery group only. | Despite improvements over time, no meaningful change was perceived by most patients. A high rate of crossover to the surgery group affected the power of the study and prevents us from making definitive conclusions. |
| Palmer et al. [15] | RCT | 112 surgical and 110 PT | HOS ADL HOS sport NAHS HAGOS OHS iHOT-33 EQ-5D-3L PainDETECT HADS | 8mo | Up to 8 physiotherapy sessions over 5 mo with physiotherapist personalized hip therapy, with emphasis on improving core stability and movement control. | The mean HOS ADL in the arthroscopic surgery group was 10.0 points (95% confidence interval 6.4 to 13.6, p = 0.001) higher than in the physiotherapy program group at 8mo follow-up. | Patients with FAI syndrome experience a greater improvement in symptoms with arthroscopic hip surgery than with physiotherapy and activity modification at 8mo follow-up. |
| Hunter et al. [14] | RCT | 49 surgical and 50 PT | dGEMRIC score HOAMS iHOT-33 HOOS SF-12 GIS Modified UCLA | 12mo | 6 PT sessions over 12 weeks. If needed 4 more PT sessions were added between 12 weeks and 6 months. 1. An individualized and progressive exercise program supervised by a physiotherapist. 2. Education about the condition and its Management. 3. Advice regarding pain relief which could include referral to the participants’ General Practitioner or ultrasound-guided intra-articular steroid injection. | The primary outcome of hip cartilage metabolism dGEMRIC showed no statistically significant difference Between PHT and arthroscopic hip surgery at 12 months follow-up. the range of secondary outcomes demonstrated statistically and clinically important improvements with significance between group differences favoring surgery. | This trial adds new information that shows the patient reported benefits of surgery are not explained by nor linked to better hip cartilage metabolism at 12 months. |
| Selection Bias Random Sequence Generation | Selection Bias Allocation Concealment | Reporting Bias Selective Reporting | Performance Bias Blinding (Participants and Personnel) | Detection Bias Blinding (Outcome Assessment) | Attrition Bias Incomplete Outcome Data | Other Bias | |
|---|---|---|---|---|---|---|---|
| Griffin et al. [11] | + | + | + | − | + | + | + |
| Mansell et al. [12] | + | + | − | − | − | − | − |
| Palmer et al. [15] | + | + | + | − | + | + | + |
| Hunter et al. [14] | + | − | + | − | + | − | − |
Publisher’s Note: MDPI stays neutral with regard to jurisdictional claims in published maps and institutional affiliations. |
© 2022 by the authors. Licensee MDPI, Basel, Switzerland. This article is an open access article distributed under the terms and conditions of the Creative Commons Attribution (CC BY) license (https://creativecommons.org/licenses/by/4.0/).
Share and Cite
Anzillotti, G.; Iacomella, A.; Grancagnolo, M.; Bertolino, E.M.; Marcacci, M.; Sconza, C.; Kon, E.; Di Matteo, B. Conservative vs. Surgical Management for Femoro-Acetabular Impingement: A Systematic Review of Clinical Evidence. J. Clin. Med. 2022, 11, 5852. https://doi.org/10.3390/jcm11195852
Anzillotti G, Iacomella A, Grancagnolo M, Bertolino EM, Marcacci M, Sconza C, Kon E, Di Matteo B. Conservative vs. Surgical Management for Femoro-Acetabular Impingement: A Systematic Review of Clinical Evidence. Journal of Clinical Medicine. 2022; 11(19):5852. https://doi.org/10.3390/jcm11195852
Chicago/Turabian StyleAnzillotti, Giuseppe, Alberto Iacomella, Matteo Grancagnolo, Enrico Maria Bertolino, Maurilio Marcacci, Cristiano Sconza, Elizaveta Kon, and Berardo Di Matteo. 2022. "Conservative vs. Surgical Management for Femoro-Acetabular Impingement: A Systematic Review of Clinical Evidence" Journal of Clinical Medicine 11, no. 19: 5852. https://doi.org/10.3390/jcm11195852
APA StyleAnzillotti, G., Iacomella, A., Grancagnolo, M., Bertolino, E. M., Marcacci, M., Sconza, C., Kon, E., & Di Matteo, B. (2022). Conservative vs. Surgical Management for Femoro-Acetabular Impingement: A Systematic Review of Clinical Evidence. Journal of Clinical Medicine, 11(19), 5852. https://doi.org/10.3390/jcm11195852

