Relation of Pulmonary Diffusing Capacity Decline to HRCT and VQ SPECT/CT Findings at Early Follow-Up after COVID-19: A Prospective Cohort Study (The SECURe Study)
Abstract
1. Introduction
2. Materials and Methods
2.1. Study Design and Setting
2.2. Study Participants
2.3. Recruitment
2.4. Data Sources
2.5. Lung Function Testing
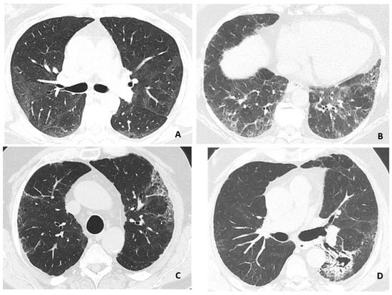
2.6. HRCT Chest Scan
2.7. VQ Scintigraphy
2.8. Statistical Analyses
3. Results
3.1. Lung Function
3.2. HRCT
3.3. VQ SPECT
3.4. Factors Associated with Reduced DLco
4. Discussion
5. Conclusions
Supplementary Materials
Author Contributions
Funding
Institutional Review Board Statement
Informed Consent Statement
Acknowledgments
Conflicts of Interest
References
- Crook, H.; Raza, S.; Nowell, J.; Young, M.; Edison, P. Long COVID-Mechanisms, Risk Factors, and Management. BMJ 2021, 374, n1648. [Google Scholar] [CrossRef] [PubMed]
- Mo, X.; Jian, W.; Su, Z.; Chen, M.; Peng, H.; Peng, P.; Lei, C.; Chen, R.; Zhong, N.; Li, S. Abnormal Pulmonary Function in COVID-19 Patients at Time of Hospital Discharge. Eur. Respir. J. 2020, 55, 2001217. [Google Scholar] [CrossRef] [PubMed]
- Lombardi, F.; Calabrese, A.; Iovene, B.; Pierandrei, C.; Lerede, M.; Varone, F.; Richeldi, L.; Sgalla, G.; Gemelli Against COVID-19 Post-Acute Care Study Group. Residual Respiratory Impairment After COVID-19 Pneumonia. BMC Pulm. Med. 2021, 21, 241. [Google Scholar] [CrossRef] [PubMed]
- Balbi, M.; Conti, C.; Imeri, G.; Caroli, A.; Surace, A.; Corsi, A.; Mercanzin, E.; Arrigoni, A.; Villa, G.; Di Marco, F.; et al. Post-Discharge Chest CT Findings and Pulmonary Function Tests in Severe COVID-19 Patients. Eur. J. Radiol. 2021, 138, 109676. [Google Scholar] [CrossRef]
- Polese, J.; Sant’ana, L.; Moulaz, I.R.; Lara, I.C.; Bernardi, J.M.; de Lima, M.D.; Turini, E.A.S.; Silveira, G.C.; Duarte, S.; Mill, J.G. Pulmonary Function Evaluation after Hospital Discharge of Patients with Severe COVID-19. Clinics 2021, 76, e2848. [Google Scholar] [CrossRef]
- Frija-Masson, J.; Debray, M.-P.; Gilbert, M.; Lescure, F.-X.; Travert, F.; Borie, R.; Khalil, A.; Crestani, B.; D’Ortho, M.-P.; Bancal, C. Functional Characteristics of Patients with SARS-CoV-2 Pneumonia at 30 Days Post-Infection. Eur. Respir. J. 2020, 56, 2001754. [Google Scholar] [CrossRef]
- Orzes, N.; Pini, L.; Levi, G.; Uccelli, S.; Cettolo, F.; Tantucci, C. A Prospective Evaluation of Lung Function at Three and Six Months in Patients with Previous SARS-COV-2 Pneumonia. Respir. Med. 2021, 186, 106541. [Google Scholar] [CrossRef]
- Wu, X.; Liu, X.; Zhou, Y.; Yu, H.; Li, R.; Zhan, Q.; Ni, F.; Fang, S.; Lu, Y.; Ding, X.; et al. 3-Month, 6-Month, 9-Month, and 12-Month Respiratory Outcomes in Patients Following COVID-19-Related Hospitalisation: A Prospective Study. Lancet Respir. Med. 2021, 9, 747–754. [Google Scholar] [CrossRef]
- Froidure, A.; Mahsouli, A.; Liistro, G.; De Greef, J.; Belkhir, L.; Gérard, L.; Bertrand, A.; Koenig, S.; Pothen, L.; Yildiz, H.; et al. Integrative Respiratory Follow-up of Severe COVID-19 Reveals Common Functional and Lung Imaging Sequelae. Respir. Med. 2021, 181, 106383. [Google Scholar] [CrossRef]
- Casartelli, C.; Perrone, F.; Balbi, M.; Alfieri, V.; Milanese, G.; Buti, S.; Silva, M.; Sverzellati, N.; Bersanelli, M. Review on Radiological Evolution of COVID-19 Pneumonia Using Computed Tomography Conflict-of-Interest Statement. World J. Radiol. 2021, 13, 294–306. [Google Scholar] [CrossRef]
- Ackermann, M.; Verleden, S.E.; Kuehnel, M.; Haverich, A.; Welte, T.; Laenger, F.; Vanstapel, A.; Werlein, C.; Stark, H.; Tzankov, A.; et al. Pulmonary Vascular Endothelialitis, Thrombosis, and Angiogenesis in COVID-19 HHS Public Access. New Engl. J. Med. 2020, 383, 120–128. [Google Scholar] [CrossRef] [PubMed]
- Simonson, T.S.; Baker, T.L.; Banzett, R.B.; Bishop, T.; Dempsey, J.A.; Feldman, J.L.; Guyenet, P.G.; Hodson, E.J.; Mitchell, G.S.; Moya, E.A.; et al. Silent Hypoxaemia in COVID-19 Patients. J. Physiol. 2021, 599, 1057–1065. [Google Scholar] [CrossRef] [PubMed]
- Dhawan, R.T.; Gopalan, D.; Howard, L.; Vicente, A.; Park, M.; Manalan, K.; Wallner, I.; Marsden, P.; Dave, S.; Branley, H.; et al. Beyond the Clot: Perfusion Imaging of the Pulmonary Vasculature after COVID-19. Lancet Respir. Med. 2021, 9, 107–116. [Google Scholar] [CrossRef]
- Chen, G.; Wu, D.; Guo, W.; Cao, Y.; Huang, D.; Wang, H.; Wang, T.; Zhang, X.; Chen, H.; Yu, H.; et al. Clinical and Immunological Features of Severe and Moderate Coronavirus Disease 2019. J. Clin. Investig. 2020, 130, 2620–2629. [Google Scholar] [CrossRef] [PubMed]
- Pan, F.; Ye, T.; Sun, P.; Gui, S.; Liang, B.; Li, L.; Zheng, D.; Wang, J.; Hesketh, R.L.; Yang, L.; et al. Time Course of Lung Changes at Chest CT during Recovery from Coronavirus Disease 2019 (COVID-19). Radiology 2020, 295, 715–721. [Google Scholar] [CrossRef]
- Hui, D.S.; Joynt, G.M.; Wong, K.T.; Gomersall, C.D.; Li, T.S.; Antonio, G.; Ko, F.W.; Chan, M.C.; Chan, D.P.; Tong, M.W.; et al. Impact of Severe Acute Respiratory Syndrome (SARS) on Pulmonary Function, Functional Capacity and Quality of Life in a Cohort of Survivors. Thorax 2005, 60, 401–409. [Google Scholar] [CrossRef]
- Benfield, T.; Bodilsen, J.; Brieghel, C.; Harboe, Z.B.; Helleberg, M.; Holm, C.; Israelsen, S.B.; Jensen, J.; Jensen, T.Ø.; Johansen, I.S.; et al. Improved Survival Among Hospitalized Patients with Coronavirus Disease 2019 (COVID-19) Treated With Remdesivir and Dexamethasone. A Nationwide Population-Based Cohort Study. Clin. Infect. Dis. 2021, 73, 2031–2036. [Google Scholar] [CrossRef]
- RECOVERY Collaborative Group; Horby, P.; Lim, W.S.; Emberson, J.R.; Mafham, M.; Bell, J.L.; Linsell, L.; Phil, D.; Staplin, N.; Brightling, C.; et al. Dexamethasone in Hospitalized Patients with COVID-19. N. Engl. J. Med. 2021, 8, 693–704. [Google Scholar] [CrossRef]
- Hospitalized Adults: Therapeutic Management|COVID-19 Treatment Guidelines. Available online: https://www.covid19treatmentguidelines.nih.gov/management/clinical-management/hospitalized-adults--therapeutic-management/ (accessed on 29 April 2022).
- Charlson Comorbidity Index (CCI)—MDCalc. Available online: https://www.mdcalc.com/charlson-comorbidity-index-cci (accessed on 2 May 2022).
- World Health Organization. Guideline Clinical Management of COVID-19 Patients: Living Guideline; WHO: Geneva, Switzerland, 2021.
- Gandhi, R.T.; Lynch, J.B.; Del Rio, C. Clinical Practice. N. Engl. J. Med. 2020, 383, 1757–1766. [Google Scholar] [CrossRef]
- Labarca, G.; Henríquez-Beltrán, M.; Lastra, J.; Enos, D.; Llerena, F.; Cigarroa, I.; Lamperti, L.; Ormazabal, V.; Carlos, R.; Espejo, E.; et al. Analysis of Clinical Symptoms, Radiological Changes and Pulmonary Function Data 4 Months after COVID-19. Clin. Respir. J. 2021, 15, 992–1002. [Google Scholar] [CrossRef]
- The Writing Committee for the COMEBAC Study Group; Morin, L.; Savale, L.; Pham, T.; Colle, R.; Figueiredo, S.; Harrois, A.; Gasnier, M.; Lecoq, A.L.; Meyrignac, O.; et al. Four-Month Clinical Status of a Cohort of Patients after Hospitalization for COVID-19. JAMA 2021, 325, 1525–1534. [Google Scholar] [CrossRef] [PubMed]
- Munker, D.; Veit, T.; Barton, J.; Mertsch, P.; Mümmler, C.; Osterman, A.; Khatamzas, E.; Barnikel, M.; Hellmuth, J.C.; Münchhoff, M.; et al. Pulmonary Function Impairment of Asymptomatic and Persistently Symptomatic Patients 4 Months after COVID-19 According to Disease Severity. Infection 2022, 50, 157–168. [Google Scholar] [CrossRef] [PubMed]
- Chun, H.J.; Coutavas, E.; Pine, A.; Lee, A.I.; Yu, V.; Shallow, M.; Giovacchini, C.X.; Mathews, A.; Stephenson, B.; Que, L.G.; et al. Immuno-Fibrotic Drivers of Impaired Lung Function in Post-COVID-19 Syndrome. medRxiv 2021. [Google Scholar] [CrossRef]
- Townsend, L.; Dowds, J.; O’Brien, K.; Sheill, G.; Dyer, A.H.; O’Kelly, B.; Hynes, J.P.; Mooney, A.; Dunne, J.; Cheallaigh, C.N.; et al. Persistent Poor Health after COVID-19 is not Associated with Respiratory Complications or Initial Disease Severity. Ann. Am. Thorac. Soc. 2021, 18, 997–1003. [Google Scholar] [CrossRef] [PubMed]
- Reilev, M.; Kristensen, K.B.; Pottegård, A.; Lund, L.C.; Hallas, J.; Ernst, M.T.; Christiansen, C.F.; Sørensen, H.T.; Johansen, N.B.; Brun, N.C.; et al. Characteristics and Predictors of Hospitalization and Death in the First 11,122 Cases with a Positive RT-PCR Test for SARS-CoV-2 in Denmark: A Nationwide Cohort. Int. J. Epidemiol. 2020, 49, 1468–1481. [Google Scholar] [CrossRef]
- Chaudhry, F.; Bulka, H.; Rathnam, A.S.; Said, O.M.; Lin, J.; Lorigan, H.; Bernitsas, E.; Rube, J.; Korzeniewski, S.J.; Memon, A.B.; et al. COVID-19 in Multiple Sclerosis Patients and Risk Factors for Severe Infection. J. Neurol. Sci. 2020, 418, 117147. [Google Scholar] [CrossRef]
- Jain, V.; Yuan, J.-M. Predictive Symptoms and Comorbidities for Severe COVID-19 and Intensive Care Unit Admission: A Systematic Review and Meta-Analysis. Int. J. Public Health 2020, 65, 533–546. [Google Scholar] [CrossRef]
- Patient Site Test Page English Universal. Available online: https://www.catestonline.org/patient-site-test-page-english.html (accessed on 2 May 2022).
- Available online: https://clinmedjournals.org/articles/jmdt/jmdt-2-023-figure-1.pdf (accessed on 21 September 2022).
- Csuka, M.; McCarty, D.J. Simple Method for Measurement of Lower Extremity Muscle Strength. Am. J. Med. 1985, 78, 77–81. [Google Scholar] [CrossRef]
- Borg, G. Borg’s Perceived Exertion and Pain Scales; Human kinetics: Champaign, IL, USA, 1998; pp. 13–16. [Google Scholar]
- Spruit, M.A.; Polkey, M.I.; Celli, B.; Edwards, L.D.; Watkins, M.L.; Pinto-Plata, V.; Vestbo, J.; Calverley, P.M.A.; Tal-Singer, R.; Agusti, A.; et al. Predicting Outcomes from 6-Minute Walk Distance in Chronic Obstructive Pulmonary Disease. J. Am. Med. Dir. Assoc. 2012, 13, 291–297. [Google Scholar] [CrossRef]
- Miller, M.R.; Hankinson, J.; Brusasco, V.; Burgos, F.; Casaburi, R.; Coates, A.; Crapo, R.; Enright, P.; van der Grinten, C.P.M.; Gustafsson, P.; et al. Standardisation of Spirometry. Eur. Respir. J. 2005, 26, 319–338. [Google Scholar] [CrossRef]
- Wanger, J.; Clausen, J.L.; Coates, A.; Pedersen, O.F.; Brusasco, V.; Burgos, F.; Casaburi, R.; Crapo, R.; Enright, P.; van der Grinten, C.P.M.; et al. Standardisation of the Measurement of Lung Volumes. Eur. Respir. J. 2005, 26, 511–522. [Google Scholar] [CrossRef] [PubMed]
- MacIntyre, N.; Crapo, R.O.; Viegi, G.; Johnson, D.C.; van der Grinten, C.P.M.; Brusasco, V.; Burgos, F.; Casaburi, R.; Coates, A.; Enright, P.; et al. Standardisation of the Single-Breath Determination of Carbon Monoxide Uptake in the Lung. Eur. Respir. J. 2005, 26, 720–735. [Google Scholar] [CrossRef] [PubMed]
- Goldin, J.G.; Lynch, D.A.; Strollo, D.C.; Suh, R.D.; Schraufnagel, D.E.; Clements, P.J.; Elashoff, R.M.; Furst, D.E.; Vasunilashorn, S.; McNitt-Gray, M.F.; et al. High-Resolution CT Scan Findings in Patients with Symptomatic Scleroderma-Related Interstitial Lung Disease. Chest 2008, 134, 358–367. [Google Scholar] [CrossRef] [PubMed]
- Mortensen, J.; Gutte, H. SPECT/CT and Pulmonary Embolism. Eur. J. Nucl. Med. Mol. Imaging 2014, 41 (Suppl. 1), S81–S90. [Google Scholar] [CrossRef] [PubMed]
- Bajc, M.; Schümichen, C.; Grüning, T.; Lindqvist, A.; Le Roux, P.-Y.; Alatri, A.; Bauer, R.W.; Dilic, M.; Neilly, B.; Verberne, H.J.; et al. EANM Guideline for Ventilation/Perfusion Single-Photon Emission Computed Tomography (SPECT) for Diagnosis of Pulmonary Embolism and Beyond. Eur. J. Nucl. Med. Mol. Imaging 2019, 46, 2429–2451. [Google Scholar] [CrossRef] [PubMed]
- Quanjer, P.H.; Tammeling, G.J.; Cotes, J.E.; Pedersen, O.F.; Peslin, R.; Yernault, J.C. Lung Volumes and Forced Ventilatory Flows. Report Working Party Standardization of Lung Function Tests, European Community for Steel and Coal. Official Statement of the European Respiratory Society. Eur. Respir. J. Suppl. 1993, 16, 5–40. [Google Scholar] [CrossRef] [PubMed]
- Cotes, J.; Chinn, D.; Roca, J. Standardization of the Measurement of Transfer FACTOR (Diffusing Capacity) Report Working Party Standardization of Lung Function Tests European Community for Steel and Coal Official Statement of the European Respiratory Society. Eur. Respir. J. Suppl. 1993, 6, 41–52. [Google Scholar] [CrossRef]
- Strickland, N.H.; Hughes, J.M.B.; Hart, D.A.; Myers, M.J.; Lavender, J.P. Cause of Regional Ventilation-Perfusion Mismatching in Patients with Idiopathic Pulmonary Fibrosis: A Combined CT and Scintigraphic Study. Am. J. Roentgenol. 1993, 161, 719–725. [Google Scholar] [CrossRef][Green Version]
- Gutte, H.; Mortensen, J.; Jensen, C.V.; Johnbeck, C.B.; Von Der Recke, P.; Petersen, C.L.; Kjærgaard, J.; Kristoffersen, U.S.; Kjær, A. Detection of Pulmonary Embolism with Combined Ventilation-Perfusion SPECT and Low-Dose CT: Head-to-Head Comparison with Multidetector CT Angiography. J. Nucl. Med. 2009, 50, 1987–1992. [Google Scholar] [CrossRef]
- Li, D.K.; Seltzer, S.E.; McNeil, B.J. V/Q Mismatches Unassociated with Pulmonary Embolism: Case Report and Review of the Literature. J. Nucl. Med. 1978, 19, 1331–1333. [Google Scholar]
- Fortini, A.; Torrigiani, A.; Sbaragli, S.; Forte, A.L.; Crociani, A.; Cecchini, P.; Bruni, G.I.; Faraone, A. COVID-19: Persistence of Symptoms and Lung Alterations after 3–6 Months from Hospital Discharge. Infection 2021, 49, 1007–1015. [Google Scholar] [CrossRef] [PubMed]
- Huang, C.; Huang, L.; Wang, Y.; Li, X.; Ren, L.; Gu, X.; Kang, L.; Guo, L.; Liu, M.; Zhou, X.; et al. 6-Month Consequences of COVID-19 in Patients Discharged from Hospital: A Cohort Study. Lancet 2021, 397, 220–232. [Google Scholar] [CrossRef]
- Lerum, T.V.; Aaløkken, T.M.; Brønstad, E.; Aarli, B.; Ikdahl, E.; Lund, K.M.A.; Durheim, M.T.; Rodriguez, J.R.; Meltzer, C.; Tonby, K.; et al. Dyspnoea, Lung Function and CT Findings 3 Months after Hospital Admission for COVID-19. Eur. Respir. J. 2021, 57, 2003448. [Google Scholar] [CrossRef]
- Salem, A.M.; Al Khathlan, N.; Alharbi, A.F.; Alghamdi, T.; Alduilej, S.; Alghamdi, M.; Alfudhaili, M.; Alsunni, A.; Yar, T.; Latif, R.; et al. The Long-Term Impact of COVID-19 Pneumonia on the Pulmonary Function of Survivors. Int. J. Gen. Med. 2021, 14, 3271–3280. [Google Scholar] [CrossRef]
- Vu, A.; Vasireddy, A.; Moua, T.; Baqir, M.; Ryu, J.H. Clarifying the Diagnosis of Post-Inflammatory Pulmonary Fibrosis: A Population-Based Study. Eur. Respir. J. 2019, 54, 1900103. [Google Scholar] [CrossRef] [PubMed]
- Remy-Jardin, M.; Giraud, F.; Remy, J.; Copin, M.C.; Gosselin, B.; Duhamel, A. Importance of Ground-Glass Attenuation in Chronic Diffuse Infiltrative Lung Disease: Pathologic-CT Correlation. Radiology 1993, 189, 693–698. [Google Scholar] [CrossRef] [PubMed]
- Koo, H.J.; Lim, S.; Choe, J.; Choi, S.-H.; Sung, H.; Do, K.-H. Radiographic and CT Features of Viral Pneumonia. Radiographics 2018, 38, 719–739. [Google Scholar] [CrossRef]
- Shi, W.Y.; Hu, S.-P.; Zhang, H.-L.; Liu, T.-F.; Zhou, S.; Tang, Y.-H.; Zhang, X.-L.; Shi, Y.-X.; Zhang, Z.-Y.; Xiong, N.; et al. Differential Diagnosis of COVID-19 Pneumonia from Influenza A (H1N1) Pneumonia Using a Model Based on Clinicoradiologic Features. Front. Med. 2021, 8, 651556. [Google Scholar] [CrossRef]
- Jevnikar, M.; Sanchez, O.; Humbert, M.; Parent, F. Prevalence of Pulmonary Embolism in Patients with COVID-19 at the Time of Hospital Admission and Role for Pre-Test Probability Scores and Home Treatment. Eur. Respir. J. 2021, 58, 2101033. [Google Scholar] [CrossRef]
- Helms, J.; Tacquard, C.; Severac, F.; Leonard-Lorant, I.; Ohana, M.; Delabranche, X.; Merdji, H.; Clere-Jehl, R.; Schenck, M.; Gandet, F.F.; et al. High Risk of Thrombosis in Patients with Severe SARS-CoV-2 Infection: A Multicenter Prospective Cohort Study. Intensive Care Med. 2020, 46, 1089–1098. [Google Scholar] [CrossRef]
- Klok, F.A.; Kruip, M.J.H.A.; van der Meer, N.J.M.; Arbous, M.S.; Gommers, D.A.M.P.J.; Kant, K.M.; Kaptein, F.H.J.; van Paassen, J.; Stals, M.A.M.; Huisman, M.V.; et al. Incidence of Thrombotic Complications in Critically Ill ICU Patients with COVID-19. Thromb. Res. 2020, 191, 145–147. [Google Scholar] [CrossRef] [PubMed]
- Morris, M.F.; Pershad, Y.; Kang, P.; Ridenour, L.; Lavon, B.; Lanclus, M.; Godon, R.; De Backer, J.; Glassberg, M.K. Altered Pulmonary Blood Volume Distribution as a Biomarker for Predicting Outcomes in COVID-19 Disease. Eur. Respir. J. 2021, 58, 2004133. [Google Scholar] [CrossRef] [PubMed]
- Hughes, J.M.B.; Hart, D.; Carr, D.; Lavender, J.P.; Pride, N.B. Regional ventilation-perfusion mismatch in lung fibrosis: A false positive pulmonary embolism scan. Thorax 1987, 42, 229. [Google Scholar]


| All | Group I | Group II | Group III | p-Value (between Groups) # | |
|---|---|---|---|---|---|
| N | 67 | 12 | 40 | 15 | |
| Age, years | 52.7 ± 14.8 | 41.8 ± 8.5 | 54.2 ± 15.6 | 57.7 ± 12.5 | 0.012 A |
| Sex, male | 39 (58.2) | 3 (25.0) | 24(60.0) | 12 (80.0) | 0.016 B |
| CCI *† | 2 [1;3] | 1 [0;2] | 2 [0;>3] * | 2 [2;>3] | 0.073 |
| CAT score * | 5 [2;8] | 2 [1.5;5.5] | 5 [1;6] * | 8 [2;10] | 0.084 |
| Co-morbidity | 36 (53.7) | 1 (8.3) | 21 (52.5) | 14 (93.3) | <0.001 C |
| Anticoagulation treatment ** | 29 (46.0) | 1 (12.5) ** | 13 (32.5) | 15 (100) | <0.001 D |
| Before diagnosis ** | 3 (4.8) | 0 (0.0) ** | 3 (7.5) | 0 (0.0) | |
| After diagnosis ** | 26 (41.3) | 1 (12.5) ** | 10 (25.0) | 15 (100) | |
| Time from positive SARS CoV-2 PCR test to 3 months follow-up, days | 154 [132;191] | 175.5 [150;222] | 154 [120;187.5] | 151 [141;170] | 0.349 |
| Time from discharge to follow-up, days *** | 130 [98;167] | N/A | 139.5 [98;174] *** | 113 [95;140] | 0.203 |
| All (n = 67) | Group I (n = 12) | Group II (n = 40) | Group III (n = 15) | p-Value (between Groups) # | |
|---|---|---|---|---|---|
| FEV1 %P | 109.1 ± 19.0 | 112.5 ± 14.4 | 109.7 ± 17.5 | 104.9 ± 25.7 | 0.564 |
| FVC %P | 112.6 ± 20.0 | 124.8 ± 17.6 | 112.0 ± 16.5 | 104.7 ± 26.7 | 0.031 A |
| FEV/FVC | 79.1 ± 5.7 | 76.8 ± 5.4 | 79.3 ± 5.8 | 80.4 ± 5.3 | 0.236 |
| TLC %P * | 99.9 ± 15.8 | 113.5 ± 12.2 | 100.2 ±13.2 | 87.6 ± 16.4 * | 0.001 B |
| RV %P * | 88.5 ± 18.7 | 99.6 ± 14.6 | 91.6 ± 17.2 | 70.4 ± 13.5 * | <0.001 C |
| RV/TLC %P * | 82.9 ± 11.4 | 84.4 ± 10.5 | 85.4 ± 11.1 | 74.7 ± 9.6 * | 0.007 D |
| DLco %P * | 79.6 ± 16.7 | 94.3 ± 16.2 | 80.3 ± 13.9 | 64.9 ± 12.6 * | <0.001 B |
| Kco %P * | 92.7 ± 16.2 | 95.5 ± 17.2 | 94.1 ± 16.8 | 86.6 ± 12.7 * | 0.272 |
| Ventilation | |||||
| Restriction * | 10 (15.2) | 0 (0) | 4 (10.0) | 6 (42.9) * | 0.005 C |
| Obstruction | 2 (3.0) | 1 (8.3) | 1 (2.5) | 0 (0) | 0.400 |
| Both restriction and obstruction * | 0 (0) | 0 (0) | 0 (0) | 0 (0) * | - |
| Diffusion | |||||
| Reduced DLco * | 28 (42.4) | 2 (16.7) | 16 (40.0) | 10 (71.4) * | 0.014 A |
| DLco > LLN * | 38 (57.6) | 10 (83.3) | 24 (60.0) | 4 (28.6) * | 0.020 E |
| DLco 60%P-LLN * | 20 (30.3) | 2 (16.7) | 13 (32.5) | 5 (35.7) * | |
| DLco < 60 %P * | 8 (12.1) | 0 (0) | 3 (7.5) | 5 (35.7) * | |
| Both ventilation and diffusion | |||||
| Normal * | 33 (50.0) | 9 (75.0) | 21 (52.5) | 3 (21.4) * | 0.020 A |
| Restriction + low DLco * | 6 (9.1) | 0 (0) | 1 (2.5) | 5 (35.7) * | 0.004 C |
| Restriction + normal DLco * | 4 (6.1) | 0 (0) | 3 (7.5) | 1 (7.1) * | 1.000 |
| Obstruction + low DLco * | 1 (1.5) | 0 (0) | 1 (2.5) | 0 (0) * | 1.000 |
| Obstruction + normal DLco * | 1 (1.5) | 1 (8.3) | 0 (0) | 0 (0) * | 0.182 |
| Low DLco only * | 21 (31.8) | 2 (16.7) | 14 (35.0) | 5 (35.7) * | 0.461 |
| All (n = 64) | Group I (n = 12) | Group II (n = 38) | Group III (n = 14) | p-Value (between Groups) # | |
|---|---|---|---|---|---|
| Any GGO | 40 (62.5) | 1 (8.3) | 25 (65.8) | 14 (100) | <0.001 A |
| Only GGO | 12 (18.8) | 1 (8.3) | 11 (29.0) | 0 (0) | 0.027 D |
| >25% GGO * | 17 (26.6) | 0 (0) | 7 (18.4) | 10 (71.4) | <0.001 B |
| Fibrosis (PF + HC) | 28 (43.8) | 0 (0) | 14 (36.8) | 14 (100) | <0.001 A |
| Air trapping | 10 (15.6) | 2 (16.7) | 4 (10.5) | 4 (28.6) | 0.308 |
| Bronchiectasis | 20 (31.3) | 3 (25.0) | 8 (21.1) | 9 (64.3) | 0.013 C |
| Tracheobronchomalacia | 5 (7.8) | 0 (0) | 4 (10.5) | 1 (7.1) | 0.814 |
| Other ** | 22 (34.4) | 6 (50.0) | 11 (29.0) | 5 (35.7) | 0.441 |
| All (n = 65) | Group I (n = 12) | Group II (n = 38) | Group III (n = 15) | p-Value (between Groups) # | |
|---|---|---|---|---|---|
| Ventilatory abnormality | 52 (80) | 7 (58.3) | 30 (79.0) | 15 (100) | 0.019 A |
| Vascular abnormality | 14 (21.5) | 2 (16.7) | 11 (29.0) | 1 (6.7) | 0.215 |
| V/Q defects | 62 (95.4) | 10 (83.3) | 38 (100) | 14 (93.3) | 0.038 B |
| Subsegmental, total | 254 | 27 | 153 | 74 | |
| Subsegmental, ratio | 4.1 | 2.7 | 4.0 | 5.3 | |
| Segmental, total | 83 | 8 | 51 | 24 | |
| Mismatched Q defects | 43 (66.2) | 6 (50.0) | 26 (68.4) | 11 (73.3) | 0.424 |
| Subsegmental, total | 86 | 7 | 53 | 26 | |
| Subsegmental, ratio | 2.0 | 1.2 | 2.0 | 2.4 | |
| Segmental, total | 2 | 0 | 2 | 0 | |
| Matched V/Q defects | 26 (40.0) | 4 (33.3) | 15 (39.5) | 7 (46.7) | 0.831 |
| Subsegmental, total | 36 | 5 | 18 | 13 | |
| Subsegmental, ratio | 1.4 | 1.3 | 1.2 | 1.9 | |
| Segmental, total | 11 | 2 | 3 | 6 | |
| Reverse mismatched V defects | 49 (75.4) | 7 (58.3) | 30 (79.0) | 12 (80.0) | 0.353 |
| Subsegmental, total | 132 | 15 | 82 | 35 | |
| Subsegmental, ratio | 2.7 | 2.1 | 2.7 | 2.9 | |
| Segmental, total | 70 | 6 | 46 | 18 | |
| Normal V/Q scan | 9 (13.9) | 3 (25.0) | 6 (15.8) | 0 (0) | 0.126 |
| Follow-up V/Q scan needed | 40 (61.5) | 4 (33.3) | 24 (63.2) | 12 (80.0) | 0.050 A |
| B | 95% CI | p-Value | |
|---|---|---|---|
| Clinical findings | |||
| CAT score | −0.89 | −1.58;−0.19 | 0.013 |
| HRCT findings | |||
| GGO extent * | −1.64 | −2.19;−1.10 | <0.001 |
| PF extent * | −2.67 | −3.74;−1.60 | <0.001 |
| SPECT findings | |||
| Number of V/Q defects | −1.52 | −2.66;−0.39 | 0.009 |
| Number of mismatched Q defects | −2.09 | −5.22;1.03 | 0.186 |
| Number of matched V/Q defects | −3.69 | −7.03;−0.34 | 0.031 |
| Number of reversed V defects | −0.98 | −2.29;0.34 | 0.143 |
| Odds Ratio | 95% CI | p-Value | |
|---|---|---|---|
| Mismatched Q defects ** | |||
| ICU admission | 1.77 | 0.47;6.67 | 0.400 |
| Age in years | 1.00 | 0.96;1.03 | 0.876 |
| Female sex | 1.52 | 0.50;4.63 | 0.460 |
| Matched V/Q defects ** | |||
| ICU admission | 1.64 | 0.48;5.58 | 0.427 |
| Age in years | 1.00 | 0.96;1.03 | 0.845 |
| Female sex | 1.49 | 0.52;4.32 | 0.459 |
| GGO > 25% *** | |||
| ICU admission | 15.48 | 2.96;80.89 | 0.001 |
| Age in years | 1.10 | 1.03;1.17 | 0.003 |
| Female sex | 0.59 | 0.10;3.48 | 0.561 |
| PF *** | |||
| ICU admission | † | † | † |
| Age in years | 1.10 | 1.04;1.18 | 0.002 |
| Female sex | 1.96 | 0.41;9.45 | 0.402 |
| Reduced DLco * | |||
| ICU admission | 4.14 | 1.07;16.03 | 0.040 |
| Age in years | 1.03 | 1.00;1.07 | 0.088 |
| Female sex | 0.98 | 0.32;3.04 | 0.976 |
Publisher’s Note: MDPI stays neutral with regard to jurisdictional claims in published maps and institutional affiliations. |
© 2022 by the authors. Licensee MDPI, Basel, Switzerland. This article is an open access article distributed under the terms and conditions of the Creative Commons Attribution (CC BY) license (https://creativecommons.org/licenses/by/4.0/).
Share and Cite
Katzenstein, T.L.; Christensen, J.; Lund, T.K.; Kalhauge, A.; Rönsholt, F.; Podlekareva, D.; Arndal, E.; Berg, R.M.G.; Helt, T.W.; Lebech, A.-M.; et al. Relation of Pulmonary Diffusing Capacity Decline to HRCT and VQ SPECT/CT Findings at Early Follow-Up after COVID-19: A Prospective Cohort Study (The SECURe Study). J. Clin. Med. 2022, 11, 5687. https://doi.org/10.3390/jcm11195687
Katzenstein TL, Christensen J, Lund TK, Kalhauge A, Rönsholt F, Podlekareva D, Arndal E, Berg RMG, Helt TW, Lebech A-M, et al. Relation of Pulmonary Diffusing Capacity Decline to HRCT and VQ SPECT/CT Findings at Early Follow-Up after COVID-19: A Prospective Cohort Study (The SECURe Study). Journal of Clinical Medicine. 2022; 11(19):5687. https://doi.org/10.3390/jcm11195687
Chicago/Turabian StyleKatzenstein, Terese L., Jan Christensen, Thomas Kromann Lund, Anna Kalhauge, Frederikke Rönsholt, Daria Podlekareva, Elisabeth Arndal, Ronan M. G. Berg, Thora Wesenberg Helt, Anne-Mette Lebech, and et al. 2022. "Relation of Pulmonary Diffusing Capacity Decline to HRCT and VQ SPECT/CT Findings at Early Follow-Up after COVID-19: A Prospective Cohort Study (The SECURe Study)" Journal of Clinical Medicine 11, no. 19: 5687. https://doi.org/10.3390/jcm11195687
APA StyleKatzenstein, T. L., Christensen, J., Lund, T. K., Kalhauge, A., Rönsholt, F., Podlekareva, D., Arndal, E., Berg, R. M. G., Helt, T. W., Lebech, A.-M., & Mortensen, J. (2022). Relation of Pulmonary Diffusing Capacity Decline to HRCT and VQ SPECT/CT Findings at Early Follow-Up after COVID-19: A Prospective Cohort Study (The SECURe Study). Journal of Clinical Medicine, 11(19), 5687. https://doi.org/10.3390/jcm11195687

