Hereditary Hemorrhagic Telangiectasia: Genetics, Pathophysiology, Diagnosis, and Management
Abstract
:1. Introduction
History and Epidemiology
2. Pathophysiology
2.1. Regulation of Angiogenesis
2.2. Pathogenesis in HHT
2.3. Relationship between Inflammation and Hereditary Hemorrhagic Telangiectasia
2.4. Relationship between Hemostasis and Hereditary Hemorrhagic Telangiectasia
3. Clinical Manifestations
Clinical Presentation
4. Vascular Malformations and Its Complications
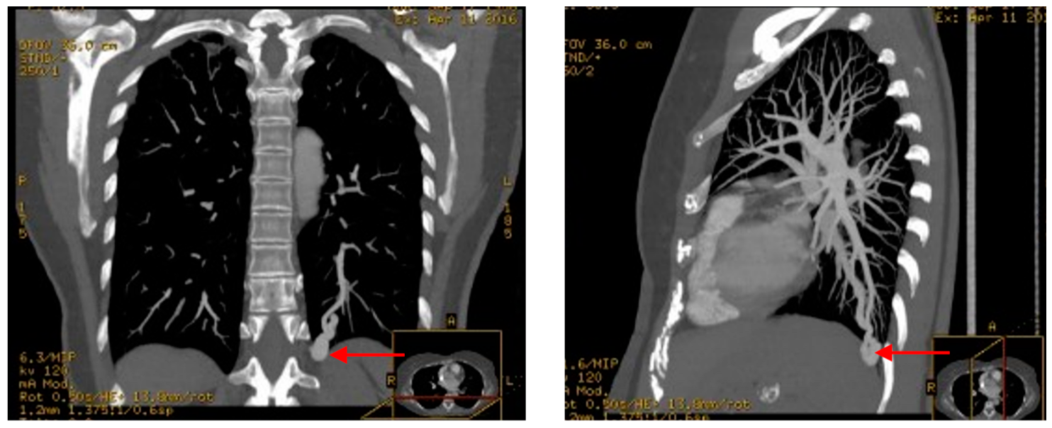
4.1. Pulmonary Arteriovenous Malformations (PAVMs)
4.2. Hepatic Vascular Malformations
4.3. AVMs of the Gastrointestinal System
4.4. AVMs of the Nervous System
5. Pulmonary Hypertension and HHT
6. Diagnosis
6.1. Diagnostic Criteria
6.2. Screening and Follow up for HHT
7. Treatment
7.1. Management of Epistaxis
7.1.1. Care of the Nasal Mucosa
7.1.2. Invasive Treatments
7.2. Approach to Pulmonary AVMs
7.3. Approach to Gastrointestinal AVMs
7.4. Management of Central Nervous System AVMs
7.5. Pharmacological Treatment
7.5.1. Antifibrinolytic Strategy
7.5.2. Drugs That Stimulate ENG and ACVRL1 Gene Expression
7.5.3. Angiogenesis Inhibitor Drugs
7.5.4. Potential New Treatments in HHT
8. Conclusions
Author Contributions
Funding
Institutional Review Board Statement
Informed Consent Statement
Conflicts of Interest
References
- Federación Española de Enfermedades Raras. Available online: https://enfermedades-raras.org/index.php/enfermedades-raras (accessed on 6 January 2022).
- Sutton, H. Epistaxis as an indication of impaired nutrition and of degeneration of the vascular system. Med. Mirror 1864, 1, 769–781. [Google Scholar]
- Rendu, H. Épistaxis répétées chez un sujet porteur de petits angiomes cutanés et muqueux. Bull. Mem. Soc. Med. Hop. 1896, 13, 731–733. [Google Scholar]
- Shovlin, C.L. Hereditary Haemorrhagic Telangiectasia: Pathophysiology, Diagnosis and Treatment. Blood Rev. 2010, 24, 203–219. [Google Scholar] [CrossRef]
- Zarrabeitia, R.; Fariñas-Álvarez, C.; Santibáñez, M.; Señaris, B.; Fontalba, A.; Botella, L.M.; Parra, J.A. Quality of Life in Patients with Hereditary Haemorrhagic Telangiectasia (HHT). Health Qual. Life Outcomes 2017, 15, 19. [Google Scholar] [CrossRef]
- Meier, N.M.; Foster, M.L.; Battaile, J.T. Hereditary Hemorrhagic Telangiectasia and Pulmonary Arteriovenous Malformations: Clinical Aspects. Cardiovasc. Diagn. Ther. 2018, 8, 316–324. [Google Scholar] [CrossRef]
- McDonald, J.; Stevenson, D.A. Hereditary Hemorrhagic Telangiectasia. In GeneReviews®; Adam, M.P., Mirzaa, G.M., Pagon, R.A., Wallace, S.E., Bean, L.J., Gripp, K.W., Amemiya, A., Eds.; University of Washington: Seattle, WA, USA, 1993. [Google Scholar]
- Olivieri, C.; Pagella, F.; Semino, L.; Lanzarini, L.; Valacca, C.; Pilotto, A.; Corno, S.; Scappaticci, S.; Manfredi, G.; Buscarini, E.; et al. Analysis of ENG and ACVRL1 Genes in 137 HHT Italian Families Identifies 76 Different Mutations (24 Novel). Comparison with Other European Studies. J. Hum. Genet. 2007, 52, 820–829. [Google Scholar] [CrossRef]
- Hernandez, F.; Huether, R.; Carter, L.; Johnston, T.; Thompson, J.; Gossage, J.R.; Chao, E.; Elliott, A.M. Mutations in RASA1 and GDF2 Identified in Patients with Clinical Features of Hereditary Hemorrhagic Telangiectasia. Hum. Genome. Var. 2015, 2, 15040. [Google Scholar] [CrossRef]
- Woodderchack-Donahue, W.L.; McDonald, J.; O’Fallon, B.; Upton, P.D.; Li, W.; Romqn, B.L.; Young, S.; Plqnt, P.; Fülöp, G.T.; Langa, C.; et al. BMP9 Mutations Cause a Vascular-Anomaly Syndrome with Phenotypic Overlap with Hereditary Hemorrhagic Telangiectasia. Am. J. Hum. Genet. 2013, 93, 530–537. [Google Scholar] [CrossRef]
- Goumans, M.J.; Valdimarsdottir, G.; Itoh, S.; Rosendahl, A.; Sideras, P.; ten Dijke, P. Balancing the Activation State of the Endothelium via Two Distinct TGF-Beta Type I Receptors. EMBO J. 2002, 21, 1743–1753. [Google Scholar] [CrossRef]
- Weiss, A.; Attisano, L. The TGFbeta Superfamily Signaling Pathway: TGFbeta Superfamily Signaling Pathway. WIREs Dev. Biol. 2013, 2, 47–63. [Google Scholar] [CrossRef]
- Fernandez-L, A.; Sanz-Rodriguez, F.; Blanco, F.J.; Bernabeu, C.; Botella, L.M. Hereditary Hemorrhagic Telangiectasia, a Vascular Dysplasia Affecting the TGF- Signaling Pathway. Clin. Med. Res. 2006, 4, 66–78. [Google Scholar] [CrossRef]
- Goumans, M.J.; Lebrin, F.; Valdimarsdottir, G. Controlling the Angiogenic Switch: A Balance between Two Distinct TGF-b Receptor Signaling Pathways. Trends Cardiovasc. Med. 2003, 13, 301–307. [Google Scholar] [CrossRef]
- Cymerman, U.; Vera, S.; Pece-Barbara, N.; Bourdeau, A.; White, R.I.; Dunn, J.; Letarte, M. Identification of Hereditary Hemorrhagic Telangiectasia Type 1 in Newborns by Protein Expression and Mutation Analysis of Endoglin. Pediatr. Res. 2000, 47, 24. [Google Scholar] [CrossRef]
- Bernabéu, C.; Blanco, F.J.; Langa, C.; Garrido-Martin, E.M.; Botella, L.M. Involvement of the TGF-β Superfamily Signaling Pathway in Hereditary Haemorrhagic Telangiectasia. J. Appl. Biomed. 2010, 8, 169–177. [Google Scholar] [CrossRef]
- Letteboer, T.G.W.; Zewald, R.A.; Kamping, E.J.; de Haas, G.; Mager, J.J.; Snijder, R.J.; Lindhout, D.; Hennekam, F.A.M.; Westermann, C.J.J.; Ploos van Amstel, J.K. Hereditary Hemorrhagic Telangiectasia: ENG and ALK-1 Mutations in Dutch Patients. Hum. Genet. 2005, 116, 8–16. [Google Scholar] [CrossRef]
- Abdalla, S.A. Analysis of ALK-1 and Endoglin in Newborns from Families with Hereditary Hemorrhagic Telangiectasia Type 2. Hum. Mol. Genet. 2000, 9, 1227–1237. [Google Scholar] [CrossRef]
- Lebrin, F.; Goumans, M.J.; Jonker, L.; Carvalho, R.L.C.; Valdimarsdottir, G.; Thorikay, M.; Mummery, C.; Arthur, H.M.; Dijke, P. ten Endoglin Promotes Endothelial Cell Proliferation and TGF-β/ALK1 Signal Transduction. EMBO J. 2004, 23, 4018–4028. [Google Scholar] [CrossRef]
- Tual-Chalot, S.; Oh, S.P.; Arthur, H.M. Mouse Models of Hereditary Hemorrhagic Telangiectasia: Recent Advances and Future Challenges. Front. Genet. 2015, 6, 25. [Google Scholar] [CrossRef]
- Mallet, C.; Lamribet, K.; Giraud, S.; Dupuis-Girod, S.; Feige, J.-J.; Bailly, S.; Tillet, E. Functional Analysis of Endoglin Mutations from Hereditary Hemorrhagic Telangiectasia Type 1 Patients Reveals Different Mechanisms for Endoglin Loss of Function. Hum. Mol. Genet. 2015, 24, 1142–1154. [Google Scholar] [CrossRef]
- Snellings, D.A.; Gallione, C.J.; Clark, D.S.; Vozoris, N.T.; Faughnan, M.E.; Marchuk, D.A. Somatic Mutations in Vascular Malformations of Hereditary Hemorrhagic Telangiectasia Result in Bi-Allelic Loss of ENG or ACVRL1. Am. J. Hum. Genet. 2019, 105, 894–906. [Google Scholar] [CrossRef]
- Baysal, M.; Demir, S.; Ümit, E.G.; Gürkan, H.; Baş, V.; Karaman Gülsaran, S.; Demirci, U.; Kırkızlar, H.O.; Demir, A.M. Two Novel ENG Pathogenic Variations and Genotype-Phenotype Correlations in Hereditary Hemorrhagic Telangiectasia Patients. Balkan Med. J. 2020, 37, 43–46. [Google Scholar] [CrossRef]
- Bernabeu, C.; Bayrak-Toydemir, P.; McDonald, J.; Letarte, M. Potential Second-Hits in Hereditary Hemorrhagic Telangiectasia. J. Clin. Med. 2020, 9, 3571. [Google Scholar] [CrossRef]
- Karlsson, T.; Cherif, H. Mutations in the ENG, ACVRL1, and SMAD4 Genes and Clinical Manifestations of Hereditary Haemorrhagic Telangiectasia: Experience from the Center for Osler’s Disease, Uppsala University Hospital. Upsala J. Med. Sci. 2018, 123, 153–157. [Google Scholar] [CrossRef]
- Akhurst, R.J.; Hata, A. Targeting the TGFβ Signalling Pathway in Disease. Nat. Rev. Drug Discov. 2012, 11, 790–811. [Google Scholar] [CrossRef]
- Rossi, E.; Lopez-Novoa, J.M.; Bernabeu, C. Endoglin Involvement in Integrin-Mediated Cell Adhesion as a Putative Pathogenic Mechanism in Hereditary Hemorrhagic Telangiectasia Type 1 (HHT1). Front. Genet. 2015, 5, 457. [Google Scholar] [CrossRef]
- Peter, M.R.; Jerkic, M.; Sotov, V.; Douda, D.N.; Ardelean, D.S.; Ghamami, N.; Lakschevitz, F.; Khan, M.A.; Robertson, S.J.; Glogauer, M.; et al. Impaired Resolution of Inflammation in the Endoglin Heterozygous Mouse Model of Chronic Colitis. Mediat. Inflamm. 2014, 2014, 767185. [Google Scholar] [CrossRef]
- Pérez García, M.L. Actualización Clínica y Molecular de la Telangiectasia Hemorrágica Hereditaria en Salamanca. Ph.D. Thesis, University of Salamanca, Salamanca, Spain, 2017. [Google Scholar]
- Meurer, S.K.; Weiskirchen, R. Endoglin: An ‘Accessory’ Receptor Regulating Blood Cell Development and Inflammation. Int. J. Mol. Sci. 2020, 21, 9247. [Google Scholar] [CrossRef]
- Shovlin, C.L.; Sulaiman, N.L.; Govani, F.S.; Jackson, J.E.; Begbie, M.E. Elevated Factor VIII in Hereditary Haemorrhagic Telangiectasia (HHT): Association with Venous Thromboembolism. Thromb. Haemost. 2007, 98, 1031–1039. [Google Scholar]
- Rossi, E.; Pericacho, M.; Bachelot-Loza, C.; Pidard, D.; Gaussem, P.; Poirault-Chassac, S.; Blanco, F.J.; Langa, C.; González-Manchón, C.; Novoa, J.M.L.; et al. Human Endoglin as a Potential New Partner Involved in Platelet–Endothelium Interactions. Cell. Mol. Life Sci. 2018, 75, 1269–1284. [Google Scholar] [CrossRef]
- Sánchez-Martínez, R.; Iriarte, A.; Mora-Luján, J.M.; Patier, J.L.; López-Wolf, D.; Ojeda, A.; Torralba, M.A.; Juyol, M.C.; Gil, R.; Añón, S.; et al. Current HHT Genetic Overview in Spain and Its Phenotypic Correlation: Data from RiHHTa Registry. Orphanet J. Rare Dis. 2020, 15, 138. [Google Scholar] [CrossRef]
- Faughnan, M.E.; Mager, J.J.; Hetts, S.W.; Palda, V.A.; Lang-Robertson, K.; Buscarini, E.; Deslandres, E.; Kasthuri, R.S.; Lausman, A.; Poetker, D.; et al. Second International Guidelines for the Diagnosis and Management of Hereditary Hemorrhagic Telangiectasia. Ann. Intern. Med. 2020, 173, 989–1001. [Google Scholar] [CrossRef] [PubMed]
- McDonald, J.; Wooderchak-Donahue, W.; VanSant Webb, C.; Whitehead, K.; Stevenson, D.A.; Bayrak-Toydemir, P. Hereditary Hemorrhagic Telangiectasia: Genetics and Molecular Diagnostics in a New Era. Front. Genet. 2015, 6, 1. [Google Scholar] [CrossRef] [PubMed]
- Leung, A.K.C.; Leong, K.F.; Barankin, B. Hereditary Hemorrhagic Telangiectasia. J. Pediatr. 2019, 210, 232. [Google Scholar] [CrossRef] [PubMed]
- Albiñana, V.; Cuesta, A.M.; de Rojas-P, I.; Gallardo-Vara, E.; Recio-Poveda, L.; Bernabéu, C.; Botella, L.M. Review of Pharmacological Strategies with Repurposed Drugs for Hereditary Hemorrhagic Telangiectasia Related Bleeding. J. Clin. Med. 2020, 9, 1766. [Google Scholar] [CrossRef]
- Cottin, V.; Plauchu, H.; Bayle, J.-Y.; Barthelet, M.; Revel, D.; Cordier, J.-F. Pulmonary Arteriovenous Malformations in Patients with Hereditary Hemorrhagic Telangiectasia. Am. J. Respir. Crit. Care Med. 2004, 169, 994–1000. [Google Scholar] [CrossRef]
- Khalid, S.; Garcia-Tsao, G. Hepatic Vascular Malformations in Hereditary Hemorrhagic Telangiectasia. Semin. Liver Dis. 2008, 28, 247–258. [Google Scholar] [CrossRef]
- Canzonieri, C.; Centenara, L.; Ornati, F.; Pagella, F.; Matti, E.; Alvisi, C.; Danesino, C.; Perego, M.; Olivieri, C. Endoscopic Evaluation of Gastrointestinal Tract in Patients with Hereditary Hemorrhagic Telangiectasia and Correlation with Their Genotypes. Genet. Med. 2014, 16, 3–10. [Google Scholar] [CrossRef]
- Eker, O.F.; Boccardi, E.; Sure, U.; Patel, M.C.; Alicante, S.; Alsafi, A.; Coote, N.; Droege, F.; Dupuis, O.; Fialla, A.D.; et al. European Reference Network for Rare Vascular Diseases (VASCERN) Position Statement on Cerebral Screening in Adults and Children with Hereditary Haemorrhagic Telangiectasia (HHT). Orphanet J. Rare Dis. 2020, 15, 165. [Google Scholar] [CrossRef]
- Parambil, J.G. Hereditary Hemorrhagic Telangiectasia. Clin. Chest Med. 2016, 37, 513–521. [Google Scholar] [CrossRef]
- Galiè, N.; Humbert, M.; Vachiery, J.-L.; Gibbs, S.; Lang, I.; Torbicki, A.; Simonneau, G.; Peacock, A.; Vonk Noordegraaf, A.; Beghetti, M.; et al. 2015 ESC/ERS Guidelines for the Diagnosis and Treatment of Pulmonary Hypertension: The Joint Task Force for the Diagnosis and Treatment of Pulmonary Hypertension of the European Society of Cardiology (ESC) and the European Respiratory Society (ERS)Endorsed by: Association for European Paediatric and Congenital Cardiology (AEPC), International Society for Heart and Lung Transplantation (ISHLT). Eur. Heart J. 2016, 37, 67–119. [Google Scholar] [CrossRef]
- Shovlin, C.L.; Guttmacher, A.E.; Buscarini, E.; Faughnan, M.E.; Hyland, R.H.; Westermann, C.J.J.; Kjeldsen, A.D.; Plauchu, H. Diagnostic Criteria for Hereditary Hemorrhagic Telangiectasia (Rendu-Osler-Weber Syndrome). Am. J. Med. Genet. 2000, 91, 66–67. [Google Scholar] [CrossRef]
- Velthuis, S.; Buscarini, E.; van Gent, M.W.F.; Gazzaniga, P.; Manfredi, G.; Danesino, C.; Schonewille, W.J.; Westermann, C.J.J.; Snijder, R.J.; Mager, J.J.; et al. Grade of Pulmonary Right-to-Left Shunt on Contrast Echocardiography and Cerebral Complications. Chest 2013, 144, 542–548. [Google Scholar] [CrossRef] [PubMed]
- Saboo, S.S.; Chamarthy, M.; Bhalla, S.; Park, H.; Sutphin, P.; Kay, F.; Battaile, J.; Kalva, S.P. Pulmonary Arteriovenous Malformations: Diagnosis. Cardiovasc. Diagn. Ther. 2018, 8, 325–337. [Google Scholar] [CrossRef] [PubMed]
- Majumdar, S.; McWilliams, J.P. Approach to Pulmonary Arteriovenous Malformations: A Comprehensive Update. J. Clin. Med. 2020, 9, 1927. [Google Scholar] [CrossRef]
- Brenard, R.; Chapaux, X.; Deltenre, P.; Henrion, J.; De Maeght, S.; Horsmans, Y.; Borbath, I.; Leenaerts, A.; Van Cauter, J.; Francque, S.; et al. Large Spectrum of Liver Vascular Lesions Including High Prevalence of Focal Nodular Hyperplasia in Patients with Hereditary Haemorrhagic Telangiectasia: The Belgian Registry Based on 30 Patients: Eur. J. Gastroenterol. Hepatol. 2010, 22, 1253–1259. [Google Scholar] [CrossRef]
- de Gussem, E.M.; Kroon, S.; Hosman, A.E.; Kelder, J.C.; Post, M.C.; Snijder, R.J.; Mager, J.J. Hereditary Hemorrhagic Telangiectasia (HHT) and Survival: The Importance of Systematic Screening and Treatment in HHT Centers of Excellence. J. Clin. Med. 2020, 9, 3581. [Google Scholar] [CrossRef]
- Al-Samkari, H. Hereditary Hemorrhagic Telangiectasia: Systemic Therapies, Guidelines, and an Evolving Standard of Care. Blood 2021, 137, 888–895. [Google Scholar] [CrossRef]
- Gaillard, S.; Dupuis-Girod, S.; Boutitie, F.; Rivière, S.; Morinière, S.; Hatron, P.-Y.; Manfredi, G.; Kaminsky, P.; Capitaine, A.-L.; Roy, P.; et al. Tranexamic Acid for Epistaxis in Hereditary Hemorrhagic Telangiectasia Patients: A European Cross-over Controlled Trial in a Rare Disease. J. Thromb. Haemost. 2014, 12, 1494–1502. [Google Scholar] [CrossRef]
- Geisthoff, U.W.; Seyfert, U.T.; Kübler, M.; Bieg, B.; Plinkert, P.K.; König, J. Treatment of Epistaxis in Hereditary Hemorrhagic Telangiectasia with Tranexamic Acid—A Double-Blind Placebo-Controlled Cross-over Phase IIIB Study. Thromb. Res. 2014, 134, 565–571. [Google Scholar] [CrossRef]
- Whitehead, K.J.; Sautter, N.B.; McWilliams, J.P.; Chakinala, M.M.; Merlo, C.A.; Johnson, M.H.; James, M.; Everett, E.M.; Clancy, M.S.; Faughnan, M.E.; et al. Effect of Topical Intranasal Therapy on Epistaxis Frequency in Patients with Hereditary Hemorrhagic Telangiectasia: A Randomized Clinical Trial. JAMA 2016, 316, 943. [Google Scholar] [CrossRef]
- Baysal, M.; Ümit, E.; Kırkızlar, H.O.; Özdöver, A.C.; Demir, A.M. Thalidomide for the Management of Bleeding Episodes in Patients with Hereditary Hemorrhagic Telangiectasia: Effects on Epistaxis Severity Score and Quality of Life. Turk. J. Hematol. 2019, 36, 43–47. [Google Scholar] [CrossRef] [PubMed]
- Invernizzi, R.; Quaglia, F.; Klersy, C.; Pagella, F.; Ornati, F.; Chu, F.; Matti, E.; Spinozzi, G.; Plumitallo, S.; Grignani, P.; et al. Efficacy and Safety of Thalidomide for the Treatment of Severe Recurrent Epistaxis in Hereditary Haemorrhagic Telangiectasia: Results of a Non-Randomised, Single-Centre, Phase 2 Study. Lancet Haematol. 2015, 2, e465–e473. [Google Scholar] [CrossRef]
- Unity Health Toronto Tacrolimus Trial for Hereditary Hemorrhagic Telangiectasia (HHT) 2022. Available online: https://clinicaltrials.gov/ct2/show/NCT04646356 (accessed on 20 June 2022).
- Wirsching, K.E.C.; Kühnel, T.S. Update on Clinical Strategies in Hereditary Hemorrhagic Telangiectasia from an ENT Point of View. Clin. Exp. Otorhinolaryngol. 2017, 10, 153–157. [Google Scholar] [CrossRef] [Green Version]
- Werner, J.A.; Lippert, B.M.; Geisthoff, U.W.; Rudert, H. Nd:YAG-Lasertherapie der rezidivierenden Epistaxis bei hereditärer hämorrhagischer Teleangiektasie. Laryngo-Rhino-Otologie 1997, 76, 495–501. [Google Scholar] [CrossRef]
- Esteban-Casado, S.; Martín de Rosales Cabrera, A.M.; Usarralde Pérez, A.; Martínez Simón, J.J.; Zhan Zhou, E.; Marcos Salazar, M.S.; Pérez Encinas, M.; Botella Cubells, L. Sclerotherapy and Topical Nasal Propranolol: An Effective and Safe Therapy for HHT-Epistaxis. Laryngoscope 2019, 129, 2216–2223. [Google Scholar] [CrossRef]
- Marcos, S.; Botella, L.M.; Albiñana, V.; Arbia, A.; de Rosales, A.M. Sclerotherapy on Demand with Polidocanol to Treat HHT Nosebleeds. J. Clin. Med. 2021, 10, 3845. [Google Scholar] [CrossRef]
- Luk, L.; Mace, J.C.; Bhandarkar, N.D.; Sautter, N.B. Comparison of Electrosurgical Plasma Coagulation and Potassium-Titanyl-Phosphate Laser Photocoagulation for Treatment of Hereditary Hemorrhagic Telangiectasia-Related Epistaxis: Comparison of EPC and KPT Treatment for HHT. Int. Forum Allergy Rhinol. 2014, 4, 640–645. [Google Scholar] [CrossRef]
- Harvey, R.J.; Kanagalingam, J.; Lund, V.J. The Impact of Septodermoplasty and Potassium-Titanyl-Phosphate (KTP) Laser Therapy in the Treatment of Hereditary Hemorrhagic Telangiectasia-Related Epistaxis. Am. J. Rhinol. 2008, 22, 182–187. [Google Scholar] [CrossRef]
- Richer, S.L.; Geisthoff, U.W.; Livada, N.; Ward, P.D.; Johnson, L.; Mainka, A.; Henderson, K.J.; Maune, S.; White, R.I.; Ross, D.A. The Young’s Procedure for Severe Epistaxis from Hereditary Hemorrhagic Telangiectasia. Am. J. Rhinol. Allergy 2012, 26, 401–404. [Google Scholar] [CrossRef]
- Tellapuri, S.; Park, H.S.; Kalva, S.P. Pulmonary Arteriovenous Malformations. Int. J. Cardiovasc. Imaging 2019, 35, 1421–1428. [Google Scholar] [CrossRef] [PubMed]
- van Gent, M.W.F.; Post, M.C.; Luermans, J.G.L.M.; Snijder, R.J.; Westermann, C.J.J.; Plokker, H.W.M.; Overtoom, T.T.; Mager, J.J. Screening for Pulmonary Arteriovenous Malformations Using Transthoracic Contrast Echocardiography: A Prospective Study. Eur. Respir. J. 2009, 33, 85–91. [Google Scholar] [CrossRef] [PubMed]
- Swanson, E.; Mahgoub, A.; MacDonald, R.; Shaukat, A. Medical and Endoscopic Therapies for Angiodysplasia and Gastric Antral Vascular Ectasia: A Systematic Review. Clin. Gastroenterol. Hepatol. 2014, 12, 571–582. [Google Scholar] [CrossRef]
- Houghton, K.D.; Umar, B.; Schairer, J. Successful Treatment of Hereditary Hemorrhagic Telangiectasia with Octreotide. ACG Case Rep. J. 2019, 6, e00088. [Google Scholar] [CrossRef]
- University Hospital Bordeaux. Study of the Efficacy of Propranolol for the Management of Epistaxis in Hereditary Hemorrhagic Telangiectasia Patients. 2022. Available online: https://clinicaltrials.gov/ct2/show/NCT04113187 (accessed on 22 June 2022).
- Buscarini, E.; Botella, L.M.; Geisthoff, U.; Kjeldsen, A.D.; Mager, H.J.; Pagella, F.; Suppressa, P.; Zarrabeitia, R.; Dupuis-Girod, S.; on behalf of VASCERN-HHT; et al. Safety of Thalidomide and Bevacizumab in Patients with Hereditary Hemorrhagic Telangiectasia. Orphanet J. Rare Dis. 2019, 14, 28. [Google Scholar] [CrossRef] [PubMed]
- Kim, Y.H.; Kim, M.-J.; Choe, S.-W.; Sprecher, D.; Lee, Y.J.; Oh, S.P. Selective Effects of Oral Antiangiogenic Tyrosine Kinase Inhibitors on an Animal Model of Hereditary Hemorrhagic Telangiectasia. J. Thromb. Haemost. 2017, 15, 1095–1102. [Google Scholar] [CrossRef] [PubMed]
- Faughnan, M.E.; Gossage, J.R.; Chakinala, M.M.; Oh, S.P.; Kasthuri, R.; Hughes, C.C.W.; McWilliams, J.P.; Parambil, J.G.; Vozoris, N.; Donaldson, J.; et al. Pazopanib may reduce bleeding in hereditary hemorrhagic telangiectasia. Angiogenesis 2019, 22, 145–155. [Google Scholar] [CrossRef]
- McCrae, K. A Phase I Single Arm Study to Assess the Safety and Efficacy of Pomalidomide in Patients with Bleeding Due to Hereditary Hemorrhagic Telangiectasia and Refractory Angiodysplasia. 2020. Available online: https://clinicaltrials.gov/ct2/show/NCT02287558 (accessed on 29 August 2022).
- Bharatha, A.; Faughnan, M.E.; Kim, H.; Pourmohamad, T.; Krings, T.; Bayrak-Toydemir, P.; Pawlikowska, L.; McCulloch, C.E.; Lawton, M.T.; Dowd, C.F.; et al. Brain Arteriovenous Malformation Multiplicity Predicts the Diagnosis of Hereditary Hemorrhagic Telangiectasia: Quantitative Assessment. Stroke 2012, 43, 72–78. [Google Scholar] [CrossRef]
- Albiñana, V.; Giménez-Gallego, G.; García-Mato, A.; Palacios, P.; Recio-Poveda, L.; Cuesta, A.-M.; Patier, J.-L.; Botella, L.-M. Topically Applied Etamsylate: A New Orphan Drug for HHT-Derived Epistaxis (Antiangiogenesis through FGF Pathway Inhibition). TH Open 2019, 3, e230–e243. [Google Scholar] [CrossRef] [Green Version]
- Vaderis Therapeutics AG A Randomised, Placebo Controlled, Double Blind, Multicentre Proof of Concept Study to Assess the Safety and Efficacy of Two Doses of VAD044 in Patients with Hereditary Hemorrhagic Telangiectasia (HHT). 2022. Available online: https://clinicaltrials.gov/ct2/show/NCT05406362 (accessed on 22 June 2022).


| Gen | Affected Protein | Location | Phenotype | Frequency |
|---|---|---|---|---|
| ENG | Endoglin | 9q34.11 | HHT1 | 39–59% |
| ACVRL1 | ALK1 | 12q13.13 | HHT2 | 25–57% |
| MADH4 | Smad4 | 18q21.1 | HHT-juvenile polyposis syndrome | 1–2% |
| GDF2 | BMP9 | 10q11.22 | HHT-like | <1% |
| RASA-1 | p120-RasGAP | 5q14.3 | RASA-1 related disorders (CM-AVM) | Unknown |
| Clinical Manifestations | Prevalence (%) | Comments |
|---|---|---|
| Epistaxis | 90–95 | Most limiting symptom for patients. |
| Telangiectasias | 95 | It can produce recurrent bleeding in the bearing areas of the body or those in contact with external surfaces such as the fingertips. |
| Anemia | 50 | It is associated with asthenia and chronic fatigue. |
| Pulmonary AVMs | 15–50 | Chronic hypoxaemia is only present in case of large pulmonary AVMs. Prevalence 10–20% in HT-II, 60% in HHT-I. |
| Hepatic AVMs | 47–74 | Three different types. Depending on their predominance, they increase the risk of HOHF, portal hypertension, hepatic encephalopathy, biliary ischemia, mesenteric ischemia, and hepatic cirrhosis. |
| Cerebral AVMs | 2–20 | Nonspecific symptoms (headaches or seizures) |
| Digestive AVMs | 13–30 | AVMs predominate in the stomach and duodenum. |
| Pulmonary hypertension | 1–5 | Can be caused by different mechanisms including hereditary group 1 PAH, or due to high cardiac output in the setting of liver AVMs (mostly associated with ACVRL1 mutation). |
| Manifestations | Treatment | Comments |
|---|---|---|
| Epistaxis | Moisturizing (Topical hydration) Use of oral tranexamic acid if continuous bleeding despite moisturizing topical therapies | Recent evidence shows no superiority on all topical therapy (tranexamic acid, estrogens, propranolol, and bevacizumab) compared to placebo. |
| Ablative treatments (laser, radiofrequency ablation, electrosurgery and sclerotherapy). Systemic therapy could be considered: beta blockers, thalidomide, tacrolimus. Antiangiogenics (Bevacizumab) | Consider if epistaxis persists despite topical treatments. Consider systemic therapy before surgery. | |
| Septodermoplasty | Consider in patients who do not respond to previous treatments. | |
| Digestive bleeding | Endoscopic procedures are diagnostic and therapeutic. Consider capsule endoscopy if endoscopic bleeding is not identified. | Repeat sessions are discouraged to avoid repeated iatrogenic injury to the intestinal mucosa. |
| In mild cases, oral antifibrinolytics may be considered. | ||
| If, despite previous treatments, bleeding persists, anemia requiring transfusions, antiangiogenic drugs (bevacizumab) can be initiated. | ||
| Anemia | Oral ironIV iron if intolerant or lack of response to oral iron. Red blood cell transfusion. | A usual dose of 35 mg elemental iron tablets daily indicated. |
| Pulmonary AVMs | Transcatheter embolization: Consider in any AVM with afferent vessel >2 mm in diameter. | |
| Chest CT is recommended to identify possible recanalization. | Follow-up with CT scan after embolization every 6 months, then every 3–5 years. | |
| Cerebral abscess | If TTCE identifies the presence of a short circuit (although pulmonary AVM is not identified in CT): Antibiotic prophylaxis is recommended prior to dental procedures. Avoid administering air bubbles when cannulating veins. | |
| Pulmonary hypertension | Extend study to identify primary cause and address management (multidisciplinary consultation). | |
| Hepatic VMs | Most patients with symptomatic hepatic AVMs can be managed with medical treatment. Consider bevacizumab for patients who fail medical treatment. | |
| Refer to referral center to consider liver transplantation in patients with refractory symptomatic hepatic AVMs (HOHF, biliary ischemia, or complicated portal hypertension). | Liver biopsies should be avoided in patients with HHT. | |
| Cerebral AVMs | Treated depending on risk of bleeding and expertise of the neurosurgical team. Embolization or stereotactic radiosurgery depending on the size, location, and symptomatology. |
Publisher’s Note: MDPI stays neutral with regard to jurisdictional claims in published maps and institutional affiliations. |
© 2022 by the authors. Licensee MDPI, Basel, Switzerland. This article is an open access article distributed under the terms and conditions of the Creative Commons Attribution (CC BY) license (https://creativecommons.org/licenses/by/4.0/).
Share and Cite
Viteri-Noël, A.; González-García, A.; Patier, J.L.; Fabregate, M.; Bara-Ledesma, N.; López-Rodríguez, M.; Gómez del Olmo, V.; Manzano, L. Hereditary Hemorrhagic Telangiectasia: Genetics, Pathophysiology, Diagnosis, and Management. J. Clin. Med. 2022, 11, 5245. https://doi.org/10.3390/jcm11175245
Viteri-Noël A, González-García A, Patier JL, Fabregate M, Bara-Ledesma N, López-Rodríguez M, Gómez del Olmo V, Manzano L. Hereditary Hemorrhagic Telangiectasia: Genetics, Pathophysiology, Diagnosis, and Management. Journal of Clinical Medicine. 2022; 11(17):5245. https://doi.org/10.3390/jcm11175245
Chicago/Turabian StyleViteri-Noël, Adrian, Andrés González-García, José Luis Patier, Martin Fabregate, Nuria Bara-Ledesma, Mónica López-Rodríguez, Vicente Gómez del Olmo, and Luis Manzano. 2022. "Hereditary Hemorrhagic Telangiectasia: Genetics, Pathophysiology, Diagnosis, and Management" Journal of Clinical Medicine 11, no. 17: 5245. https://doi.org/10.3390/jcm11175245
APA StyleViteri-Noël, A., González-García, A., Patier, J. L., Fabregate, M., Bara-Ledesma, N., López-Rodríguez, M., Gómez del Olmo, V., & Manzano, L. (2022). Hereditary Hemorrhagic Telangiectasia: Genetics, Pathophysiology, Diagnosis, and Management. Journal of Clinical Medicine, 11(17), 5245. https://doi.org/10.3390/jcm11175245

