Using Multiparametric Cardiac Magnetic Resonance to Phenotype and Differentiate Biopsy-Proven Chronic from Healed Myocarditis and Dilated Cardiomyopathy
Abstract
:1. Introduction
2. Materials and Methods
2.1. Study Population
2.2. Endomyocardial Biopsy Protocol
2.3. Definitions of Different Stages of Lymphocytic Myocarditis and DCM
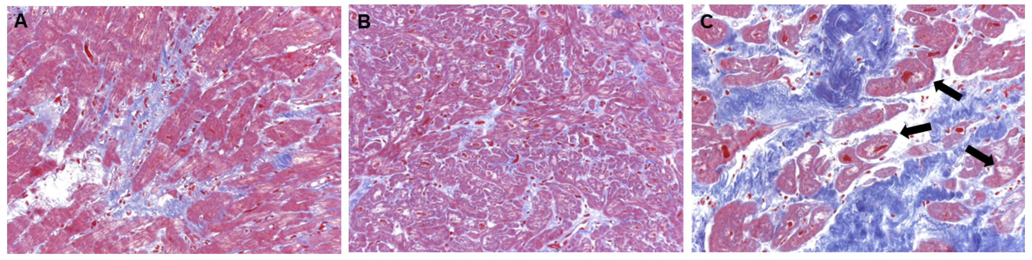
- Chronic myocarditis: No myocyte necrosis, >14 infiltrating leukocytes/mm², focal and/or diffuse fibrosis;
- Healed myocarditis: No myocyte necrosis, mild focal and/or diffuse fibrosis, partial presence of macrophages;
- DCM: hypertrophic/atrophic myocytes with loss of myofibrils and vacuolar degeneration, severe focal and/or diffuse interstitial fibrosis, no inflammation; also see Figure 1.
2.4. Detection of Viral Genomes
2.5. CMR Image Acquisition
2.6. CMR Image Analysis
2.7. Statistical Analysis
3. Results
3.1. Patient Characteristics
3.2. Different Stages of Myocarditis
3.3. DCM vs. Chronic and Healed Myocarditis
4. Discussion
4.1. DCM vs. Myocarditis
4.2. Chronic vs. Healed Myocarditis
5. Clinical Implications
6. Limitations
7. Conclusions
Supplementary Materials
Author Contributions
Funding
Institutional Review Board Statement
Informed Consent Statement
Data Availability Statement
Acknowledgments
Conflicts of Interest
References
- Eichhorn, C.; Greulich, S.; Bucciarelli-Ducci, C.; Sznitman, R.; Kwong, R.Y.; Gräni, C. Multiparametric Cardiovascular Magnetic Resonance Approach in Diagnosing, Monitoring, and Prognostication of Myocarditis. J. Am. Coll. Cardiol. 2022. Epub ahead of print. [Google Scholar] [CrossRef] [PubMed]
- Mason, J.W. Myocarditis and dilated cardiomyopathy: An inflammatory link. Cardiovasc. Res. 2003, 60, 5–10. [Google Scholar] [CrossRef]
- Ferreira, V.M.; Schulz-Menger, J.; Holmvang, G.; Kramer, C.M.; Carbone, I.; Sechtem, U.; Kindermann, I.; Gutberlet, M.; Cooper, L.T.; Liu, P.; et al. Cardiovascular Magnetic Resonance in Nonischemic Myocardial Inflammation: Expert Recommendations. J. Am. Coll. Cardiol. 2018, 72, 3158–3176. [Google Scholar] [CrossRef] [PubMed]
- Caforio, A.L.P.; Pankuweit, S.; Arbustini, E.; Basso, C.; Gimeno-Blanes, J.; Felix, S.B.; Fu, M.; Heliö, T.; Heymans, S.; Jahns, R.; et al. Current state of knowledge on aetiology, diagnosis, management, and therapy of myocarditis: A position statement of the European Society of Cardiology Working Group on Myocardial and Pericardial Diseases. Eur. Heart J. 2013, 34, 2636–2648. [Google Scholar] [CrossRef] [PubMed]
- McDonagh, T.A.; Metra, M.; Adamo, M.; Gardner, R.S.; Baumbach, A.; Böhm, M.; Burri, H.; Butler, J.; Čelutkienė, J.; Chioncel, O.; et al. 2021 ESC Guidelines for the diagnosis and treatment of acute and chronic heart failure. Eur. Heart J. 2021, 42, 3599–3726. [Google Scholar] [CrossRef] [PubMed]
- Lagan, J.; Schmitt, M.; Miller, C.A. Clinical applications of multi-parametric CMR in myocarditis and systemic inflammatory diseases. Int. J. Cardiovasc. Imaging 2018, 34, 35–54. [Google Scholar] [CrossRef]
- Lurz, P.; Luecke, C.; Eitel, I.; Föhrenbach, F.; Frank, C.; Grothoff, M.; De Waha, S.; Rommel, K.P.; Lurz, J.A.; Klingel, K.; et al. Comprehensive Cardiac Magnetic Resonance Imaging in Patients with Suspected Myocarditis the MyoRacer-Trial. J. Am. Coll. Cardiol. 2016, 67, 1800–1811. [Google Scholar] [CrossRef]
- Filomena, D.; Dresselaers, T.; Bogaert, J. Role of Cardiovascular Magnetic Resonance to Assess Cardiovascular Inflammation. Front. Cardiovasc. Med. 2022, 9, 877364. [Google Scholar] [CrossRef]
- Grün, S.; Schumm, J.; Greulich, S.; Wagner, A.; Schneider, S.; Bruder, O.; Kispert, E.M.; Hill, S.; Ong, P.; Klingel, K.; et al. Long-term follow-up of biopsy-proven viral myocarditis: Predictors of mortality and incomplete recovery. J. Am. Coll. Cardiol. 2012, 59, 1604–1615. [Google Scholar] [CrossRef]
- Schulz-Menger, J.; Bluemke, D.A.; Bremerich, J.; Flamm, S.D.; Fogel, M.A.; Friedrich, M.G.; Kim, R.J.; von Knobelsdorff-Brenkenhoff, F.; Kramer, C.M.; Pennell, D.J.; et al. Standardized image interpretation and post-processing in cardiovascular magnetic resonance—2020 update. J. Cardiovasc. Magn. Reson. 2020, 22, 19. [Google Scholar] [CrossRef]
- Bunck, A.C.; Baeßler, B.; Ritter, C.; Kröger, J.R.; Persigehl, T.; Pinto Santos, D.; Steinmetz, M.; Niehaus, A.; Bamberg, F.; Beer, M.; et al. Structured Reporting in Cross-Sectional Imaging of the Heart: Reporting Templates for CMR Imaging of Cardiomyopathies (Myocarditis, Dilated Cardiomyopathy, Hypertrophic Cardiomyopathy, Arrhythmogenic Right Ventricular Cardiomyopathy and Siderosis). Fortschr. Röntgenstr. 2020, 192, 27–37. [Google Scholar] [CrossRef] [PubMed]
- Kawel-Boehm, N.; Maceira, A.; Valsangiacomo-Buechel, E.R.; Vogel-Claussen, J.; Turkbey, E.B.; Williams, R.; Plein, S.; Tee, M.; Eng, J.; Bluemke, D. A Normal values for cardiovascular magnetic resonance in adults and children. J. Cardiovasc. Magn. Reson. 2015, 17, 29. [Google Scholar] [CrossRef]
- Greulich, S.; Seitz, A.; Müller, K.A.L.; Grün, S.; Ong, P.; Ebadi, N.; Kreisselmeier, K.P.; Seizer, P.; Bekeredjian, R.; Zwadlo, C.; et al. Predictors of mortality in patients with biopsy-proven viral myocarditis: 10-year outcome data. J. Am. Heart Assoc. 2020. Epub ahead of print. [Google Scholar] [CrossRef]
- Cerqueira, M.D.; Weissman, N.J.; Dilsizian, V.; Jacobs, A.K.; Kaul, S.; Laskey, W.K.; Pennell, D.J.; Rumberger, J.A.; Ryan, T.; Verani, M.S.; et al. Standardized myocardial segmentation and nomenclature for tomographic imaging of the heart. A statement for healthcare professionals from the Cardiac Imaging Committee of the Council on Clinical Cardiology of the American Heart Association. Circulation 2002, 105, 539–542. [Google Scholar] [PubMed]
- Yang, E.Y.; Ghosn, M.G.; Khan, M.A.; Gramze, N.L.; Brunner, G.; Nabi, F.; Nambi, V.; Nagueh, S.F.; Nguyen, D.T.; Graviss, E.A.; et al. Myocardial Extracellular Volume Fraction Adds Prognostic Information Beyond Myocardial Replacement Fibrosis. Circ. Cardiovasc. Imaging 2019, 12, e009535. [Google Scholar] [CrossRef] [PubMed]
- Rosmini, S.; Bulluck, H.; Captur, G.; Treibel, T.A.; Abdel-Gadir, A.; Bhuva, A.N.; Culotta, V.; Merghani, A.; Fontana, M.; Maestrini, V.; et al. Myocardial native T1 and extracellular volume with healthy ageing and gender. Eur. Heart J. Cardiovasc. Imaging 2018, 19, 615–621. [Google Scholar] [CrossRef] [PubMed]
- Sado, D.M.; Flett, A.S.; Banypersad, S.M.; White, S.K.; Maestrini, V.; Quarta, G.; Lachmann, R.H.; Murphy, E.; Mehta, A.; Hughes, D.A.; et al. Cardiovascular magnetic resonance measurement of myocardial extracellular volume in health and disease. Heart 2012, 98, 1436–1441. [Google Scholar] [CrossRef]
- DeLong, E.R.; DeLong, D.M.; Clarke-Pearson, D.L. Comparing the areas under two or more correlated receiver operating characteristic curves: A nonparametric approach. Biometrics 1988, 44, 837–845. [Google Scholar] [CrossRef]
- Assomull, R.G.; Prasad, S.K.; Lyne, J.; Smith, G.; Burman, E.D.; Khan, M.; Sheppard, M.N.; Poole-Wilson, P.A.; Pennell, D.J. Cardiovascular Magnetic Resonance, Fibrosis, and Prognosis in Dilated Cardiomyopathy. J. Am. Coll. Cardiol. 2006, 48, 1977–1985. [Google Scholar] [CrossRef]
- Mahrholdt, H.; Wagner, A.; Deluigi, C.C.; Kispert, E.; Hager, S.; Meinhardt, G.; Vogelsberg, H.; Fritz, P.; Dippon, J.; Bock, C.T.; et al. Presentation, patterns of myocardial damage, and clinical course of viral myocarditis. Circulation 2006, 114, 1581–1590. [Google Scholar] [CrossRef] [Green Version]
- Maron, B.J.; Towbin, J.A.; Thiene, G.; Antzelevitch, C.; Corrado, D.; Arnett, D.; Moss, A.J.; Seidman, C.E.; Young, J.B.; American Heart Association; et al. Contemporary definitions and classification of the cardiomyopathies: An American Heart Association Scientific Statement from the Council on Clinical Cardiology, Heart Failure and Transplantation Committee; Quality of Care and Outcomes Research and Functio. Circulation 2006, 113, 1807–1816. [Google Scholar] [CrossRef]
- Zitzelsberger, T.; Scholz, A.; Hetterich, H.; Lorbeer, R.; Bamberg, F.; Auweter, S.D.; Heier, M.; Meisinger, C.; Rathmann, W.; Nikolaou, K.; et al. Magnetic Resonance-based Assessment of Myocardial 2-Dimensional Strain Using Feature Tracking: Association With Cardiovascular Risk Factors in a Population-based Cohort Free of Cardiovascular Disease. J. Thorac. Imaging 2020, 35, 49–55. [Google Scholar] [CrossRef]
- Fischer, K.; Obrist, S.J.; Erne, S.A.; Stark, A.W.; Marggraf, M.; Kaneko, K.; Guensch, D.P.; Huber, A.T.; Greulich, S.; Aghayev, A.; et al. Feature Tracking Myocardial Strain Incrementally Improves Prognostication in Myocarditis Beyond Traditional CMR Imaging Features. JACC Cardiovasc. Imaging 2020, 13, 1891–1901. [Google Scholar] [CrossRef]
- McCrohon, J.A.; Moon, J.C.C.; Prasad, S.K.; McKenna, W.J.; Lorenz, C.H.; Coats, A.J.S.; Pennell, D.J. Differentiation of heart failure related to dilated cardiomyopathy and coronary artery disease using gadolinium-enhanced cardiovascular magnetic resonance. Circulation 2003, 108, 54–59. [Google Scholar] [CrossRef] [PubMed]
- Lehrke, S.; Lossnitzer, D.; Schöb, M.; Steen, H.; Merten, C.; Kemmling, H.; Pribe, R.; Ehlermann, P.; Zugck, C.; Korosoglou, G.; et al. Use of cardiovascular magnetic resonance for risk stratification in chronic heart failure: Prognostic value of late gadolinium enhancement in patients with non-ischaemic dilated cardiomyopathy. Heart 2011, 97, 727–732. [Google Scholar] [CrossRef] [PubMed]
- Gräni, C.; Eichhorn, C.; Bière, L.; Murthy, V.L.; Agarwal, V.; Kaneko, K.; Cuddy, S.; Aghayev, A.; Steigner, M.; Blankstein, R.; et al. Prognostic Value of Cardiac Magnetic Resonance Tissue Characterization in Risk Stratifying Patients With Suspected Myocarditis. J. Am. Coll. Cardiol. 2017, 70, 1964–1976. [Google Scholar] [CrossRef]
- Gräni, C.; Eichhorn, C.; Bière, L.; Kaneko, K.; Murthy, V.L.; Agarwal, V.; Aghayev, A.; Steigner, M.; Blankstein, R.; Jerosch-Herold, M.; et al. Comparison of myocardial fibrosis quantification methods by cardiovascular magnetic resonance imaging for risk stratification of patients with suspected myocarditis. J. Cardiovasc. Magn. Reson. 2019, 21, 1–11. [Google Scholar] [CrossRef]
- Greulich, S.; Arai, A.E.; Sechtem, U.; Mahrholdt, H. Recent advances in cardiac magnetic resonance. F1000Research 2016, 5, 1–8. [Google Scholar] [CrossRef]
- Krumm, P.; Martirosian, P.; Rath, D.; Zitzelsberger, T.; Ruff, C.A.; Klumpp, B.D.; Nikolaou, K.; Gawaz, M.; Geisler, T.; Schick, F.; et al. Signal decay mapping of myocardial edema using dual-contrast fast spin-echo MRI. J. Magn. Reason. Imaging 2016, 44, 186–193. [Google Scholar] [CrossRef]
- Wiesmueller, M.; Wuest, W.; Heiss, R.; Treutlein, C.; Uder, M.; May, M.S. Cardiac T2 mapping: Robustness and homogeneity of standardized in-line analysis. J. Cardiovasc. Magn. Reson. 2020, 22, 39. [Google Scholar] [CrossRef]
- Iles, L.; Pfluger, H.; Lefkovits, L.; Butler, M.J.; Kistler, P.M.; Kaye, D.M.; Taylor, A.J. Myocardial fibrosis predicts appropriate device therapy in patients with implantable cardioverter-defibrillators for primary prevention of sudden cardiac death. J. Am. Coll. Cardiol. 2011, 57, 821–828. [Google Scholar] [CrossRef] [PubMed]
- VonKnobelsdorff-Brenkenhoff, F.; Schüler, J.; Dogangüzel, S.; Rudolph, A.; Schulz-Menger, J.; Dieringer, M.; Greiser, A.; Kellman, P. Detection and Monitoring of Acute Myocarditis Applying Quantitative Cardiovascular Magnetic Resonance. Circ. Cardiovasc. Imaging 2017. Epub ahead of print. [Google Scholar] [CrossRef] [PubMed]
- Nakamori, S.; Dohi, K.; Ishida, M.; Goto, Y.; Imanaka-Yoshida, K.; Omori, T.; Goto, I.; Kumagai, N.; Fujimoto, N.; Ichikawa, Y.; et al. Native T1 Mapping and Extracellular Volume Mapping for the Assessment of Diffuse Myocardial Fibrosis in Dilated Cardiomyopathy. J. Am. Coll. Cardiol. Img. 2018, 11, 48–59. [Google Scholar] [CrossRef] [PubMed]
- Haaf, P.; Garg, P.; Messroghli, D.R.; Broadbent, D.A.; Greenwood, J.P.; Plein, S. Cardiac T1 Mapping and Extracellular Volume (ECV) in clinical practice: A comprehensive review. J. Cardiovasc. Magn. Reason. 2016, 18, 89. [Google Scholar] [CrossRef] [PubMed]
- Reiter, U.; Reiter, C.; Kräuter, C.; Fuchsjäger, M.; Reiter, G. Cardiac magnetic resonance T1 mapping. Part 2: Diagnostic potential and applications. Eur. J. Radiol. 2018, 109, 235–247. [Google Scholar] [CrossRef]
- Krumm, P.; Martirosian, P.; Rath, D.; Gawaz, M.; Nikolaou, K.; Klumpp, B.D.; Hornung, A.; Kramer, U.; Schick, F.; Geisler, T.; et al. Performance of two Methods for Cardiac MRI Edema Mapping: Dual-Contrast Fast Spin-Echo and T2 Prepared Balanced Steady State Free Precession. Fortschr. Röntgenstr. 2020, 192, 669–677. [Google Scholar] [CrossRef]
- Baeßler, B.; Schaarschmidt, F.; Dick, A.; Stehning, C.; Schnackenburg, B.; Michels, G.; Maintz, D.; Bunck, A.C. Mapping tissue inhomogeneity in acute myocarditis: A novel analytical approach to quantitative myocardial edema imaging by T2-mapping. J. Cardiovasc. Magn. Reason. 2015, 17, 115. [Google Scholar] [CrossRef]
- Becker, M.A.J.; Cornel, J.H.; van de Ven, P.M.; van Rossum, A.C.; Allaart, C.P.; Germans, T. The Prognostic Value of Late Gadolinium-Enhanced Cardiac Magnetic Resonance Imaging in Nonischemic Dilated Cardiomyopathy: A Review and Meta-Analysis. J. Am. Coll. Cardiol. 2018, 11, 1274–1284. [Google Scholar] [CrossRef]
- Ehara, S.; Matsumoto, K.; Kitada, R.; Nishimura, S.; Shimada, K.; Yoshiyama, M. Clinical significance of discrepant mid-wall late gadolinium enhancement in patients with nonischemic dilated cardiomyopathy. Heart Vessels 2018, 33, 1482–1489. [Google Scholar] [CrossRef]
- Chopra, H.; Arangalage, D.; Bouleti, C.; Zarka, S.; Fayard, F.; Chillon, S.; Laissy, J.P.; Henry-Feugeas, M.C.; Steg, P.G.; Vahanian, A.; et al. Prognostic value of the infarct- and non-infarct like patterns and cardiovascular magnetic resonance parameters on long-term outcome of patients after acute myocarditis. Int. J. Cardiol. 2016, 212, 63–69. [Google Scholar] [CrossRef]
- Greulich, S.; Gatidis, S.; Gräni, C.; Blankstein, R.; Glatthaar, A.; Mezger, K.; Müller, K.A.L.; Castor, T.; Mahrholdt, H.; Häntschel, M.; et al. Hybrid Cardiac Magnetic Resonance/Fluorodeoxyglucose Positron Emission Tomography to Differentiate Active From Chronic Cardiac Sarcoidosis. JACC Cardiovasc. Imaging 2022, 15, 445–456. [Google Scholar] [CrossRef] [PubMed]
- Sagar, S.; Liu, P.P.; Cooper, L.T. Myocarditis. Lancet 2012, 379, 738–747. [Google Scholar] [CrossRef]
- Eichhorn, C.; Bière, L.; Schnell, F.; Schmied, C.; Wilhelm, M.; Kwong, R.Y.; Gräni, C. Myocarditis in Athletes Is a Challenge: Diagnosis, Risk Stratification, and Uncertainties. J Am Coll Cardiol Img. 2020, 13, 494–507. [Google Scholar] [CrossRef] [PubMed]
- Limongelli, G.; Adorisio, R.; Baggio, C.; Bauce, B.; Biagini, E.; Castelletti, S.; Favilli, S.; Imazio, M.; Lioncino, M.; Merlo, M.; et al. Diagnosis and Management of Rare Cardiomyopathies in Adult and Paediatric Patients. A Position Paper of the Italian Society of Cardiology (SIC) and Italian Society of Paediatric Cardiology (SICP). Int. J. Cardiol. 2022, 357, 55–71. [Google Scholar] [CrossRef]
- Tschöpe, C.; Ammirati, E.; Bozkurt, B.; Caforio, A.L.P.; Cooper, L.T.; Felix, S.B.; Hare, J.M.; Heidecker, B.; Heymans, S.; Hübner, N.; et al. Myocarditis and inflammatory cardiomyopathy: Current evidence and future directions. Nat. Rev. Cardiol. 2021, 18, 169–193. [Google Scholar] [CrossRef]
- Greulich, S.; Ferreira, V.M.; Dall’Armellina, E.; Mahrholdt, H. Myocardial Inflammation—Are We There Yet? Curr. Cardiovasc. Imaging Rep. 2015. Epub ahead of print. [Google Scholar] [CrossRef]
- Yilmaz, A.; Kindermann, I.; Kindermann, M.; Mahfoud, F.; Ukena, C.; Athanasiadis, A.; Hill, S.; Mahrholdt, H.; Voehringer, M.; Schieber, M.; et al. Comparative evaluation of left and right ventricular endomyocardial biopsy: Differences in complication rate and diagnostic performance. Circulation 2010, 122, 900–909. [Google Scholar] [CrossRef] [Green Version]
) as well as severe focal and/or diffuse interstitial fibrosis.
) as well as severe focal and/or diffuse interstitial fibrosis.





| Chronic Myocarditis | Healed Myocarditis | DCM | p-Value All Groups | p-Value Chronic vs. Healed Myocarditis | p-Value Chronic Myocarditis vs. DCM | p-Value Healed Myocarditis vs. DCM | |
|---|---|---|---|---|---|---|---|
| n = 130 (50%) | n = 60 (23%) | n = 69 (27%) | |||||
| Female | 39 (30%) | 16 (27%) | 17 (25%) | - | - | - | - |
| Age (yrs) | 51 [38–63] | 51 [31–65] | 54 [46–60] | n.s. | - | - | - |
| BMI (kg/m²) | 26 [24–30] | 26 [23–29] | 27 [24–31] | n.s. | - | - | - |
| CVRF | |||||||
| Arterial hypertension | 53 (41%) | 12 (20%) | 32 (46%) | 0.009 | 0.011 | n.s. | n.s. |
| Diabetes | 25 (19%) | 3 (5%) | 10 (14%) | 0.031 | 0.018 | n.s. | n.s. |
| Dyslipidemia | 31 (24%) | 5 (8%) | 11 (16%) | 0.036 | 0.028 | n.s. | n.s. |
| Smoking | 34 (26%) | 9 (15%) | 21 (29%) | n.s. | - | - | - |
| Family history of CVD | 26 (20%) | 4 (7%) | 6 (9%) | 0.019 | 0.031 | 0.039 | n.s. |
| Obesity | 37 (28%) | 9 (15%) | 20 (29%) | n.s. | - | - | - |
| EMB analysis | |||||||
| EBV | 2 (2%) | 1 (2%) | 1 (1%) | n.s. | - | - | - |
| PVB19 | 29 (22%) | 14 (23%) | 2 (3%) | <0.001 | n.s. | 0.001 | <0.001 |
| HHV6 | 19 (15%) | 0 | 1 (1%) | <0.001 | 0.004 | 0.009 | n.s. |
| Medication | |||||||
| Beta blockers | 67 (52%) | 33 (55%) | 48 (70%) | 0.046 | n.s. | 0.023 | n.s. |
| AT1 receptor blockers | 17 (13%) | 14 (23%) | 24 (35%) | 0.002 | n.s. | <0.001 | n.s. |
| ACE inhibitors | 53 (41%) | 16 (27%) | 31 (45%) | n.s. | - | - | - |
| Calcium channel blockers | 6 (5%) | 5 (8%) | 7 (10%) | n.s. | - | - | - |
| Diuretics | 39 (30%) | 17 (28%) | 30 (43%) | n.s. | - | - | - |
| Aldosterone receptor antagonists | 42 (32%) | 20 (33%) | 38 (55%) | 0.007 | n.s. | 0.002 | n.s. |
| NYHA-Classification | |||||||
| NYHA I | 32 (25%) | 25 (42%) | 15 (22%) | n.s. | - | - | - |
| NYHA II | 37 (28%) | 21 (35%) | 24 (35%) | n.s. | - | - | - |
| NYHA III | 48 (37%) | 10 (17%) | 26 (38%) | n.s. | - | - | - |
| NYHA IV | 13 (10%) | 4 (7%) | 4 (6%) | n.s. | - | - | - |
| Troponin elevated (>57 ng/L) | 5 (4%) | 4 (7%) | 1 (1%) | n.s. | - | - | - |
| NT-proBNP elevated (>300 ng/L) | 34 (26%) | 9 (15%) | 24 (35%) | n.s. | - | - | - |
| Chronic Myocarditis n = 130 (50%) | Healed Myocarditis n = 60 (23%) | DCM n = 69 (27%) | p-Value All Groups | p-Value Chronic vs. Healed Myocarditis | p-Value Chronic Myocarditis vs. DCM | p-Value Healed Myocarditis vs. DCM | |
|---|---|---|---|---|---|---|---|
| Left atrium | |||||||
| Area (cm²) 4CV | 25 (21–33) | 23 (19–31) | 28 (23–37) | 0.009 | n.s. | n.s. | 0.007 |
| Right atrium | |||||||
| Area (cm²) 4CV | 25 (22–29) | 25 (20–28) | 25 (20–32) | n.s. | - | - | - |
| Pericardial effusion | |||||||
| >5 mm | 41 (32%) | 6 (10%) | 9 (13%) | <0.001 | 0.002 | 0.006 | n.s. |
| Morphology (LV) | |||||||
| IVS (mm) | 10 (8–11) | 10 (8–11) | 9 (8–11) | n.s. | - | - | - |
| LV mass (g) | 89 (79–105) | 91 (74–124) | 99 (78–125) | n.s. | - | - | - |
| Indexed LV mass (g/m²) | 45 (39–53) | 48 (36–60) | 47 (38–57) | n.s. | - | - | - |
| Volumetry (LV) | |||||||
| EF (%) | 42 (29–51) | 49 (37–56) | 31 (21–38) | <0.0001 | 0.018 | <0.0001 | <0.0001 |
| SV (mL) | 77 (60–93) | 83 (64–92) | 72 (58–91) | n.s. | - | - | - |
| Indexed SV (mL/m²) | 38 (31–45) | 42 (35–48) | 36 (29–44) | n.s. | - | - | - |
| EDV (mL) | 190 (158–251) | 174 (145–204) | 243 (195–318) | <0.0001 | n.s. | <0.0001 | <0.0001 |
| Indexed EDV (mL/m²) | 96 (82–116) | 86 (75–107) | 120 (98–150) | <0.0001 | n.s. | <0.0001 | <0.0001 |
| ESV (mL) | 113 (80–170) | 86 (71–114) | 173 (123–232) | <0.0001 | 0.029 | <0.0001 | <0.0001 |
| Indexed ESV (mL/m²) | 56 (40–82) | 45 (34–57) | 87 (59–110) | <0.0001 | n.s. | <0.0001 | <0.0001 |
| Feature tracking (LV) Peak strain (%) | |||||||
| Global longitudinal | −11 (−14 to −7) | −13 (−15 to −9) | −9 (−12 to −6) | <0.0001 | n.s. | 0.0007 | 0.0002 |
| Global radial | 17 (11–24) | 20 (13–25) | 12 (8–17) | <0.0001 | n.s. | 0.0005 | 0.0001 |
| LGE | |||||||
| Prevalence | 88 (68%) | 35 (59%) | 31 (45%) | 0.010 | n.s. | 0.003 | n.s. |
| (% of LVMM) | 4 (2–6) | 3 (2–5) | 3 (2–5) | 0.003 | 0.008 | 0.031 | n.s. |
| LGE pattern (multiple possible) | |||||||
| Linear midwall septal | 48 (37%) | 22 (37%) | 14 (20%) | 0.030 | n.s. | 0.015 | 0.04 |
| Linear subepicardial | 34 (26%) | 7 (12%) | 12 (17%) | n.s. | - | - | - |
| Patchy subepicardial | 13 (10%) | 8 (14%) | 3 (5%) | n.s. | - | - | - |
| Patchy septal | 14 (11%) | 9 (15%) | 10 (14%) | n.s. | - | - | - |
| T2w imaging | n = 109 (84%) | n = 31 (52%) | n = 47 (68%) | ||||
| T2 Signal-Ratio entire slice | 1.3 (1.1–1.9) | 1.3 (1.0–1.5) | 1.0 (0.6–1.2) | <0.0001 | n.s. | <0.0001 | 0.005 |
| T2 positive in ≥1 segment | 64 (59%) | 7 (23%) | 6 (13%) | <0.0001 | <0.0001 | <0.0001 | n.s. |
| Mapping | n = 21 (16%) | n = 29 (48%) | n = 22 (32%) | ||||
| T1 | 1063 (1014–1102) | 1038 (1010–1066) | 1055 (1000–1078) | n.s. | - | - | - |
| T1 elevated (>1053 ms) * | 13 (62%) | 9 (31%) | 11 (50%) | n.s. | - | - | - |
| ECV | 32 (26–35) | 28 (26–33) | 30 (26–35) | n.s. | - | - | - |
| ECV elevated (>30%) | 10 (48%) | 6 (21%) | 8 (36%) | n.s. | - | - | - |
| T2 | 54 (52–57) | 50 (46–52) | 50 (49–52) | <0.0001 | <0.0001 | <0.0001 | n.s. |
| T2 elevated in ≥1 segment (>51 ms) * | 19 (90%) | 6 (21%) | 5 (23%) | <0.0001 | <0.0001 | <0.0001 | n.s. |
Publisher’s Note: MDPI stays neutral with regard to jurisdictional claims in published maps and institutional affiliations. |
© 2022 by the authors. Licensee MDPI, Basel, Switzerland. This article is an open access article distributed under the terms and conditions of the Creative Commons Attribution (CC BY) license (https://creativecommons.org/licenses/by/4.0/).
Share and Cite
Krumm, P.; Brendel, J.M.; Klingel, K.; Müller, K.A.L.; Kübler, J.; Gräni, C.; Gawaz, M.; Nikolaou, K.; Greulich, S. Using Multiparametric Cardiac Magnetic Resonance to Phenotype and Differentiate Biopsy-Proven Chronic from Healed Myocarditis and Dilated Cardiomyopathy. J. Clin. Med. 2022, 11, 5047. https://doi.org/10.3390/jcm11175047
Krumm P, Brendel JM, Klingel K, Müller KAL, Kübler J, Gräni C, Gawaz M, Nikolaou K, Greulich S. Using Multiparametric Cardiac Magnetic Resonance to Phenotype and Differentiate Biopsy-Proven Chronic from Healed Myocarditis and Dilated Cardiomyopathy. Journal of Clinical Medicine. 2022; 11(17):5047. https://doi.org/10.3390/jcm11175047
Chicago/Turabian StyleKrumm, Patrick, Jan M. Brendel, Karin Klingel, Karin A. L. Müller, Jens Kübler, Christoph Gräni, Meinrad Gawaz, Konstantin Nikolaou, and Simon Greulich. 2022. "Using Multiparametric Cardiac Magnetic Resonance to Phenotype and Differentiate Biopsy-Proven Chronic from Healed Myocarditis and Dilated Cardiomyopathy" Journal of Clinical Medicine 11, no. 17: 5047. https://doi.org/10.3390/jcm11175047
APA StyleKrumm, P., Brendel, J. M., Klingel, K., Müller, K. A. L., Kübler, J., Gräni, C., Gawaz, M., Nikolaou, K., & Greulich, S. (2022). Using Multiparametric Cardiac Magnetic Resonance to Phenotype and Differentiate Biopsy-Proven Chronic from Healed Myocarditis and Dilated Cardiomyopathy. Journal of Clinical Medicine, 11(17), 5047. https://doi.org/10.3390/jcm11175047

