Vasospasm-Related Death after Aneurysmal Subarachnoid Hemorrhage: A Retrospective Case–Control Study
Abstract
:1. Introduction
2. Materials and Methods
2.1. Study Population
2.2. General Management Strategy
2.3. Data Analysis
2.4. Statistical Analysis
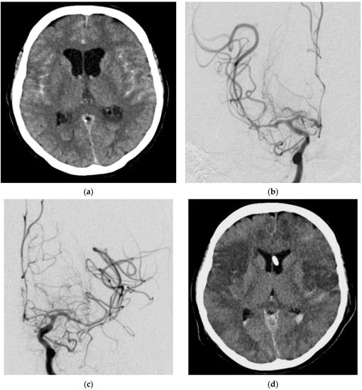
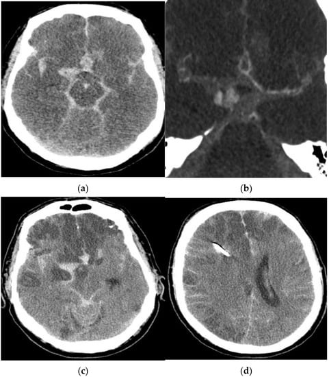
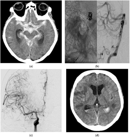
3. Results
| Group 1 (no vasospasm) | 656 patients | (61.6%) |
| Group 2 (non-fatal vasospasm) | 344 patients | (32.3%) |
| Group 3 (fatal vasospasm) | 64 patients | (6%) |
| Group 3a: no diagnosis/treatment of vasospasm | 31 patients (48.4%) |
| Group 3b: delayed diagnosis | 26 patients (40.6%) |
| Group 3c: fatal cardiovascular complications | 7 patients (10.9%) |
| Group 3d: fatal complications of EVT for vasospasm | 0 patients (0%) |
4. Discussion
5. Conclusions
Author Contributions
Funding
Institutional Review Board Statement
Informed Consent Statement
Data Availability Statement
Acknowledgments
Conflicts of Interest
Abbreviations
References
- Linn, F.H.; Rinkel, G.J.; Algra, A.; van Gijn, J. Incidence of subarachnoid hemorrhage: Role of region, year, and rate of computed tomography: A meta-analysis. Stroke 1996, 27, 625–629. [Google Scholar] [CrossRef] [PubMed]
- Macmillan, C.S.A.; Grant, I.S.; Andrews, P.J.D. Pulmonary and cardiac sequelae of subarachnoid haemorrhage: Time for active management? Intensive Care Med. 2002, 28, 1012–1023. [Google Scholar] [CrossRef]
- McDougall, C.G.; Spetzler, R.F.; Zabramski, J.M.; Partovi, S.; Hills, N.K.; Nakaji, P.; Albuquerque, F.C. The Barrow Ruptured Aneurysm Trial. J. Neurosurg. 2012, 116, 135–144. [Google Scholar] [CrossRef] [PubMed]
- Allen, G.S.; Ahn, H.S.; Preziosi, T.J.; Battye, R.; Boone, S.C.; Boone, S.C.; Chou, S.N.; Kelly, D.L.; Weir, B.K.; Crabbe, R.A.; et al. Cerebral arterial spasm—A controlled trial of nimodipine in patients with subarachnoid hemorrhage. N. Engl. J. Med. 1983, 308, 619–624. [Google Scholar] [CrossRef] [PubMed]
- de Winkel, J.; van der Jagt, M.; Lingsma, H.F.; Roozenbeek, B.; Calvillo, E.; Chou, S.H.-Y.; Dziedzic, P.H.; Etminan, N.; Huang, J.; Ko, N.U.; et al. International practice variability in treatment of aneurysmal subarachnoid hemorrhage. J. Clin. Med. 2021, 10, 762. [Google Scholar] [CrossRef] [PubMed]
- Pickard, J.D.; Murray, G.D.; Illingworth, R.; Shaw, M.D.; Teasdale, G.M.; Foy, P.M.; Humphrey, P.R.; Lang, D.A.; Nelson, R.; Richards, P. Effect of oral nimodipine on cerebral infarction and outcome after subarachnoid haemorrhage: British Aneurysm Nimodipine Trial. Br. Med. J. 1989, 298, 636–642. [Google Scholar] [CrossRef] [PubMed] [Green Version]
- Kassell, N.F.; Torner, J.C.; Jane, J.A.; Haley, E.C.; Adams, H.P. The International Cooperative Study on the Timing of Aneurysm Surgery. Part 2: Surgical results. J. Neurosurg. 1990, 73, 37–47. [Google Scholar] [CrossRef]
- Keyrouz, S.G.; Diringer, M.N. Clinical review: Prevention and therapy of vasospasm in subarachnoid hemorrhage. Crit. Care Lond. Engl. 2007, 11, 220. [Google Scholar] [CrossRef] [PubMed] [Green Version]
- Esmaeeli, S.; Hrdlicka, C.M.; Bastos, A.B.; Wang, J.; Gomez-Paz, S.; Hanafy, K.A.; Lioutas, V.-A.; Ogilvy, C.S.; Thomas, A.J.; Shaefi, S.; et al. Robotically assisted transcranial doppler with artificial intelligence for assessment of cerebral vasospasm after subarachnoid hemorrhage. J. Neurocritical Care 2020, 13, 32–40. [Google Scholar] [CrossRef]
- Stecco, A.; Fabbiano, F.; Amatuzzo, P.; Quagliozzi, M.; Soligo, E.; Divenuto, I.; Panzarasa, G.; Carriero, A. Computed tomography perfusion and computed tomography angiography in vasospasm after subarachnoid hemorrhage. J. Neurosurg. Sci. 2018, 62, 397–405. [Google Scholar] [CrossRef]
- Defining cutoff values for early prediction of delayed cerebral ischemia after subarachnoid hemorrhage by CT perfusion. Available online: https://www.springermedizin.de/defining-cutoff-values-for-early-prediction-of-delayed-cerebral-/16439404 (accessed on 4 December 2021).
- Tamatani, S.; Sasaki, O.; Takeuchi, S.; Fujii, Y.; Koike, T.; Tanaka, R. Detection of delayed cerebral vasospasm, after rupture of intracranial aneurysms, by magnetic resonance angiography. Neurosurgery 1997, 40, 748–753, discussion 753–754. [Google Scholar] [CrossRef]
- Feigin, V.L.; Rinkel, G.J.; Algra, A.; Vermeulen, M.; van Gijn, J. Calcium antagonists in patients with aneurysmal subarachnoid hemorrhage: A systematic review. Neurology 1998, 50, 876–883. [Google Scholar] [CrossRef] [PubMed]
- Cho, W.-S.; Kang, H.-S.; Kim, J.E.; Kwon, O.-K.; Oh, C.W.; Son, Y.J.; Know, B.J.; Jung, C.; Hang, M.H. Intra-arterial nimodipine infusion for cerebral vasospasm in patients with aneurysmal subarachnoid hemorrhage. Interv. Neuroradiol. 2011, 17, 169–178. [Google Scholar] [CrossRef] [Green Version]
- Shankar, J.J.S.; dos Santos, M.P.; Deus-Silva, L.; Lum, C. Angiographic evaluation of the effect of intra-arterial milrinone therapy in patients with vasospasm from aneurysmal subarachnoid hemorrhage. Neuroradiology 2011, 53, 123–128. [Google Scholar] [CrossRef] [PubMed]
- Duman, E.; Karakoç, F.; Pinar, H.U.; Dogan, R.; Fırat, A.; Yıldırım, E. Higher dose intra-arterial milrinone and intra-arterial combined milrinone-nimodipine infusion as a rescue therapy for refractory cerebral vasospasm. Interv. Neuroradiol. 2017, 23, 636–643. [Google Scholar] [CrossRef]
- Stuart, R.M.; Helbok, R.; Kurtz, P.; Schmidt, M.; Fernandez, L.; Lee, K.; Badjatia, N.; Mayer, S.A.; Lavine, S.; Meyers, P.; et al. High-dose intra-arterial verapamil for the treatment of cerebral vasospasm after subarachnoid hemorrhage: Prolonged effects on hemodynamic parameters and brain metabolism. Neurosurgery 2011, 68, 337–345, discussion 345. [Google Scholar] [CrossRef]
- Ott, S.; Jedlicka, S.; Wolf, S.; Peter, M.; Pudenz, C.; Merker, P.; Schürer, L.; Lumenta, C.B. Continuous selective intra-arterial application of nimodipine in refractory cerebral vasospasm due to aneurysmal subarachnoid hemorrhage. BioMed. Res. Int. 2014, 2014, 970741. [Google Scholar] [CrossRef]
- Labeyrie, M.-A.; Gaugain, S.; Boulouis, G.; Zetchi, A.; Brami, J.; Saint-Maurice, J.-P.; Civelli, V.; Froelich, S.; Houdart, E. Distal balloon angioplasty of cerebral vasospasm decreases the risk of delayed cerebral infarction. AJNR Am. J. Neuroradiol. 2019, 40, 1342–1348. [Google Scholar] [CrossRef]
- Beck, J.; Raabe, A.; Lanfermann, H.; Berkefeld, J.; De Rochemont, R.D.M.; Zanella, F.; Seifert, V.; Weidauer, S. Effects of balloon angioplasty on perfusion- and diffusion-weighted magnetic resonance imaging results and outcome in patients with cerebral vasospasm. J. Neurosurg. 2006, 105, 220–227. [Google Scholar] [CrossRef] [Green Version]
- Patel, A.S.; Griessenauer, C.J.; Gupta, R.; Adeeb, N.; Foreman, P.M.; Shallwani, H.; Moore, J.M.; Harrigan, M.R.; Siddiqui, A.H.; Ogilvy, C.S.; et al. Safety and efficacy of noncompliant balloon angioplasty for the treatment of subarachnoid hemorrhage-induced vasospasm: A multicenter study. World Neurosurg. 2017, 98, 189–197. [Google Scholar] [CrossRef] [PubMed]
- Choi, B.J.; Lee, T.H.; Lee, J.I.; Ko, J.K.; Park, H.S.; Choi, C.H. Safety and efficacy of transluminal balloon angioplasty using a compliant balloon for severe cerebral vasospasm after an aneurysmal subarachnoid hemorrhage. J. Korean Neurosurg. Soc. 2011, 49, 157–162. [Google Scholar] [CrossRef] [PubMed]
- Chen, C.-T.; Chen, C.-C.; Wang, A.Y.-C.; Wu, Y.-M.; Chin, S.-C.; Hsieh, P.-C.; Yeap, M.-C.; Hsu, S.-Y.; Lin, Y.-J. Early strategy of Scepter XC balloon angioplasty and simultaneous nimodipine infusion for vasospasm following ruptured aneurysm. BMC Neurol. 2020, 20, 1–8. [Google Scholar] [CrossRef] [PubMed]
- Tsogkas, I.; Malinova, V.; Schregel, K.; Mielke, D.; Behme, D.; Rohde, V.; Knauth, M.; Psychogios, M.-N. Angioplasty with the Scepter C dual lumen balloon catheter and postprocedural result evaluation in patients with subarachnoid hemorrhage related vasospasms. BMC Neurol. 2020, 20, 260. [Google Scholar] [CrossRef] [PubMed]
- Bhogal, P.; Paraskevopoulos, D.; Makalanda, H.L. The use of a stent-retriever to cause mechanical dilatation of a vasospasm secondary to iatrogenic subarachnoid haemorrhage. Interv. Neuroradiol. 2017, 23, 330–335. [Google Scholar] [CrossRef]
- Badger, C.A.; Jankowitz, B.T.; Shaikh, H.A. Treatment of cerebral vasospasm secondary to subarachnoid hemorrhage utilizing the Comaneci device. Interv. Neuroradiol. 2020, 26, 582–585. [Google Scholar] [CrossRef]
- Kwon, H.-J.; Lim, J.-W.; Koh, H.-S.; Park, B.; Choi, S.-W.; Kim, S.-H.; Youm, J.-Y.; Song, S.-H. Stent-retriever angioplasty for recurrent post-subarachnoid hemorrhagic vasospasm—A single center experience with long-term follow-up. Clin. Neuroradiol. 2019, 29, 751–761. [Google Scholar] [CrossRef]
- Bhogal, P.; Loh, Y.; Brouwer, P.; Andersson, T.; Söderman, M. Treatment of cerebral vasospasm with self-expandable retrievable stents: Proof of concept. J. Neurointerventional Surg. 2017, 9, 52–59. [Google Scholar] [CrossRef]
- Su, Y.S.; Ali, M.S.; Pukenas, B.A.; Favilla, C.G.; Zanaty, M.; Hasan, D.M.; Kung, D.K. Novel treatment of cerebral vasospasm using Solitaire stent retriever-assisted angioplasty: Case series. World Neurosurg. 2020, 135, e657–e663. [Google Scholar] [CrossRef]
- Bhogal, P.; Makalanda, L.; Hassan, A.E.; Fiorella, D.; Andersson, T.; Ahmad, M.; Bäzner, H.; Jaffer, O.; Henkes, H. COVID-19 and delayed cerebral ischemia—More in common than first meets the eye. J. Clin. Med. 2021, 10, 2646. [Google Scholar] [CrossRef]
- Dorsch, N.W.; King, M.T. A review of cerebral vasospasm in aneurysmal subarachnoid haemorrhage. Part I: Incidence and effects. J. Clin. Neurosci. 1994, 1, 19–26. [Google Scholar] [CrossRef]
- Dorsch, N. A Clinical review of cerebral vasospasm and delayed ischaemia following aneurysm rupture. Acta Neurochir. Suppl. 2011, 110, 5–6. [Google Scholar] [PubMed]
- Arias, E.J.; Vajapey, S.; Reynolds, M.R.; Chicoine, M.R.; Rich, K.M.; Dacey, R.G.; Dorward, I.G.; Derdeyn, C.P.; Moran, C.J.; Cross, D.T.; et al. Utility of screening for cerebral vasospasm using digital subtraction angiography. Stroke 2015, 46, 3137–3141. [Google Scholar] [CrossRef] [PubMed] [Green Version]
- Geraghty, J.R.; Testai, F.D. Delayed cerebral ischemia after subarachnoid hemorrhage: Beyond vasospasm and towards a multifactorial pathophysiology. Curr. Atheroscler. Rep. 2017, 19, 50. [Google Scholar] [CrossRef] [PubMed]
- Aldakkan, A.; Mansouri, A.; Jaja, B.N.R.; Alotaibi, N.M.; Macdonald, R.L.; Subarachnoid Hemorrhage International Trialists Collaborators. Predictors of delayed cerebral ischemia in patients with aneurysmal subarachnoid hemorrhage with asymptomatic angiographic vasospasm on admission. World Neurosurg. 2017, 97, 199–204. [Google Scholar] [CrossRef]
- Rowland, M.J.; Hadjipavlou, G.; Kelly, M.; Westbrook, J.; Pattinson, K.T.S. Delayed cerebral ischaemia after subarachnoid haemorrhage: Looking beyond vasospasm. Br. J. Anaesth. 2012, 109, 315–329. [Google Scholar] [CrossRef] [Green Version]
- Macdonald, R.L.; Higashida, R.T.; Keller, E.; Mayer, S.A.; Molyneux, A.; Raabe, A.; Vajkoczy, P.; Wanke, I.; Bach, D.; Frey, A.; et al. Randomized trial of clazosentan in patients with aneurysmal subarachnoid hemorrhage undergoing endovascular coiling. Stroke 2012, 43, 1463–1469. [Google Scholar] [CrossRef] [Green Version]
- Macdonald, R.L.; Higashida, R.T.; Keller, E.; Mayer, S.A.; Molyneux, A.; Raabe, A.; Vajkoczy, P.; Wanke, I.; Bach, D.; Frey, A.; et al. Randomised trial of clazosentan, an endothelin receptor antagonist, in patients with aneurysmal subarachnoid hemorrhage undergoing surgical clipping (CONSCIOUS-2). Acta Neurochir. Suppl. 2013, 115, 27–31. [Google Scholar]
- Macdonald, R.L.; Higashida, R.T.; Keller, E.; Mayer, S.A.; Molyneux, A.; Raabe, A.; Vajkoczy, P.; Wanke, I.; Bach, D.; Frey, A.; et al. Clazosentan, an endothelin receptor antagonist, in patients with aneurysmal subarachnoid haemorrhage undergoing surgical clipping: A randomised, double-blind, placebo-controlled phase 3 trial (CONSCIOUS-2). Lancet Neurol. 2011, 10, 618–625. [Google Scholar] [CrossRef]
- Macdonald, R.L.; Kassell, N.F.; Mayer, S.; Ruefenacht, D.; Schmiedek, P.; Weidauer, S.; Frey, A.; Roux, S.; Pasqualin, A.; CONSCIOUS-1 Investigators. Clazosentan to Overcome Neurological Ischemia and Infarction Occurring after Subarachnoid Hemorrhage (CONSCIOUS-1): Randomized, double-blind, placebo-controlled phase 2 dose-finding trial. Stroke 2008, 39, 3015–3021. [Google Scholar] [CrossRef] [Green Version]
- Schupper, A.J.; Eagles, M.E.; Neifert, S.N.; Mocco, J.; Macdonald, R.L. Lessons from the CONSCIOUS-1 Study. J. Clin. Med. 2020, 9, 2970. [Google Scholar] [CrossRef]
- Sen, J.; Belli, A.; Albon, H.; Morgan, L.; Petzold, A.; Kitchen, N. Triple-H therapy in the management of aneurysmal subarachnoid haemorrhage. Lancet Neurol. 2003, 2, 614–621. [Google Scholar] [CrossRef]
- Dankbaar, J.W.; Slooter, A.J.; Rinkel, G.J.; vander Schaaf, I.C. Effect of different components of Triple-H therapy on cerebral perfusion in patients with aneurysmal subarachnoid haemorrhage: A systematic review. Crit. Care 2010, 14, R23. [Google Scholar] [CrossRef] [PubMed] [Green Version]
- Gathier, C.S.; van den Bergh, W.M.; van der Jagt, M.; Verweij, B.H.; Dankbaar, J.W.; Müller, M.C.; Oldenbeuving, A.W.; Rinkel, G.J.E.; Slooter, A.J.C.; HIMALAIA Study Group. Induced hypertension for delayed cerebral ischemia after aneurysmal subarachnoid hemorrhage: A randomized clinical trial. Stroke 2018, 49, 76–83. [Google Scholar] [CrossRef] [PubMed] [Green Version]
- Bhogal, P.; Yeo, L.L.; Müller, L.O.; Blanco, P.J. The effects of cerebral vasospasm on cerebral blood flow and the effects of induced hypertension: A mathematical modelling study. Interv. Neurol. 2019, 8, 152–163. [Google Scholar] [CrossRef] [PubMed]
- Jabbarli, R.; Pierscianek, D.; Rölz, R.; Darkwah Oppong, M.; Kaier, K.; Shah, M.; Taschner, C.; Mönninghoff, C.; Urbach, H.; Beck, J.; et al. Endovascular treatment of cerebral vasospasm after subarachnoid hemorrhage: More is more. Neurology 2019, 93, e458–e466. [Google Scholar] [CrossRef] [PubMed]
- Shimamura, N.; Naraoka, M.; Matsuda, N.; Kakuta, K.; Ohkuma, H. Prophylactic intra-arterial injection of vasodilator for asymptomatic vasospasm converts the patient to symptomatic vasospasm due to severe microcirculatory imbalance. BioMed Res. Int. 2014, 2014, 382484. [Google Scholar] [CrossRef]
- Levitt, M.R.; Morton, R.P.; Haynor, D.R.; Cohen, W.; Ghodke, B.V.; Hallam, D.K.; Kim, L.J.; Fink, K.R. Angiographic perfusion imaging: Real-time assessment of endovascular treatment for cerebral vasospasm. J. Neuroimaging 2014, 24, 387–392. [Google Scholar] [CrossRef]
- Torné, R.; Hoyos, J.; Llull, L.; Rodríguez-Hernández, A.; Muñoz, G.; Mellado-Artigas, R.; Santana, D.; Pedrosa, L.; Di Somma, A.; San Roman, L.; et al. Edema resolution and clinical assessment in poor-grade subarachnoid hemorrhage: Useful indicators to predict delayed cerebral infarctions? J. Clin. Med. 2021, 10, 321. [Google Scholar] [CrossRef]





| Group 1 n = 661 | Group 2 n = 338 | Group 3 n = 64 | |
|---|---|---|---|
| AchoA | 6 (0.9%) | 4 (1.2%) | 2 (3.1%) |
| AcomA | 224 (33.9%) | 113 (33.4%) | 20 (31.3%) |
| AICA | 0 (0%) | 1 (0.3%) | 1 (1.6%) |
| Basilar artery bifurcation | 43 (6.5%) | 15 (4.5%) | 8 (12.5%) |
| Basilar artery trunk | 21 (3.2%) | 2 (0.6%) | 1 (1.6%) |
| Callosomarginal/pericallosal artery | 35 (5.3%) | 15 (4.4%) | 0 (0%) |
| Carotid bifurcation | 11 (1.7%) | 5 (1.5%) | 2 (3.1%) |
| MCA bifurcation | 119 (18%) | 75 (22.2%) | 13 (20.3%) |
| MCA, M1 | 6 (0.9%) | 5 (1.5%) | 0 (0%) |
| MCA, M2 | 8 (1.2%) | 6 (1.8%) | 1 (1.6%) |
| Paraophthalmic ICA | 21 (3.2%) | 13 (3.8%) | 1 (1.6%) |
| PCA, P1 | 8 (1.3%) | 3 (0.9%) | 1 (1.6%) |
| PcomA | 90 (13.6%) | 55 (16.3%) | 13 (20.3%) |
| PICA | 33 (5.0%) | 9 (2.7%) | 0 (0%) |
| SCA | 7 (1.1%) | 2 (0.6%) | 0 (0%) |
| VA junction | 2 (0.3%) | 0 (0%) | 0 (0%) |
| VA, V4 | 12 (1.8%) | 9 (2.7%) | 1 (1.6%) |
| Group 1 n = 661 | Group 2 n = 338 | Group 3 n = 64 | p-Value | |||
|---|---|---|---|---|---|---|
| Sex | F | 410 (62.0%) | 234 (69.2%) | 53 (82.8%) | 1 vs. 2 | 0.025 |
| M | 251 (38.0%) | 104 (30.8%) | 11 (17.2%) | 2 vs. 3 | 0.034 | |
| 3 vs. 1 | 0.001 | |||||
| Hunt and Hess grade | 1 | 133 (20.1%) | 60 (17.8%) | 2 (3.1%) | 1 vs. 2 | 0.033 |
| 2 | 175 (26.5%) | 78 (23.1%) | 3 (4.7%) | 2 vs. 3 | <0.001 | |
| 3 | 126 (19.1%) | 83 (24.6%) | 12 (18.8%) | 3 vs. 1 | <0.001 | |
| 4 | 86 (13.0%) | 60 (17.8%) | 11 (17.2%) | |||
| 5 | 141 (21.3%) | 57 (16.9%) | 36 (56.3%) | |||
| Fisher grade | 1 | 46 (7.0%) | 10 (3.0%) | 1 (1.6%) | 1 vs. 2 | 0.054 |
| 2 | 72 (10.9%) | 32 (9.5%) | 0 (0%) | 2 vs. 3 | <0.001 | |
| 3 | 121 (18.3%) | 70 (20.7%) | 4 (6.3%) | 3 vs. 1 | <0.001 | |
| 4 | 422 (63.9%) | 226 (66.9%) | 59 (92.2%) | |||
| Aneurysm morphology | 1 (n = 644) | 2 (n = 337) | 3 (n = 57) | |||
| Saccular | 594 (92.3%) | 315 (93.5%) | 51 (89.6%) | 1 vs. 2 | 0.014 | |
| Dissecting | 31 (4.8%) | 16 (4.7%) | 5 (8.8%) | 2 vs. 3 | 0.366 | |
| Fusiform | 13 (2.0%) | 2 (0.6%) | 0 (0%) | 3 vs. 1 | 0.529 | |
| Blister | 6 (0.9%) | 2 (0.6%) | 1 (1.8%) | |||
| Treatment | 1 (n = 600) | 2 (n = 336) | 3 (n = 37) | |||
| Clipping | 123 (20.5%) | 89 (26.5%) | 8 (21.6%) | 1 vs. 2 | 0.442 | |
| Coiling | 352 (58.7%) | 182 (54.2%) | 20 (54.1%) | 2 vs. 3 | 0.370 | |
| Flow diverter | 34 (5.7%) | 20 (6.0%) | 2 (5.4%) | 3 vs. 1 | 0.332 | |
| pCONUS-assisted coiling | 38 (6.3%) | 21 (6.3%) | 4 (10.8%) | |||
| Stent-assisted coiling | 26 (4.3%) | 13 (3.9%) | 0 (0%) | |||
| Parent vessel occlusion | 13 (2.2%) | 7 (2.1%) | 3 (8.1%) | |||
| Liquid embolic agent | 3 (0.5%) | 0 (0%) | 0 (0%) | |||
| Flow diverter-assisted coiling | 11 (1.8%) | 4 (1.2%) | 0 (0%) | |||
| Group | n | Median | Min–Max | Comparison p-Value | ||
|---|---|---|---|---|---|---|
| Age | ||||||
| 1 | 661 | 57.7 | 0.3–95.9 | 1 vs. 2 | <0.001 | |
| 2 | 338 | 52.0 | 14.3–88.6 | 2 vs. 3 | 0.069 | |
| 3 | 64 | 53.5 | 26.6–91.2 | 3 vs. 1 | 0.276 | |
| Aneurysm depth | ||||||
| 1 | 628 | 5.6 | 1.0–42.0 | 1 vs. 2 | 0.701 | |
| 2 | 332 | 5.8 | 1.0–31.4 | 2 vs. 3 | 0.151 | |
| 3 | 57 | 6.5 | 1.0–24.0 | 3 vs. 1 | 0.219 | |
| Aneurysm width | ||||||
| 1 | 628 | 4.0 | 0.7–40.0 | 1 vs. 2 | 0.136 | |
| 2 | 332 | 4.0 | 1.0–25.0 | 2 vs. 3 | 0.070 | |
| 3 | 57 | 5.0 | 1.0–16.0 | 3 vs. 1 | 0.250 | |
| Causes of Death | N= 188 |
|---|---|
| Endovascular treatment complication | n = 1 (0.5 %) |
| Surgical treatment complication | n = 3 (1.6 %) |
| Vasospasm | n = 64 (34%) |
| Rebleeding | n = 25 (13.3%) |
| Brain herniation | n = 49 (26.1%) |
| Multiple organ dysfunction | n = 19 (10.1%) |
| Pulmonary embolism | n = 3 (1.6%) |
| Acute respiratory distress syndrome | n = 12 (6.4%) |
| Myocardial infarction/cardioplegia | n = 7 (3.7%) |
| Other reasons (endocarditis, bleeding of esophageal varices, traumatic injuries) | n = 5 (2.6%) |
| Model 1 | p-Value | Model 2 | p-Value | ||
|---|---|---|---|---|---|
| OR (95%-CI) | OR (95%-CI) | ||||
| (a) | |||||
| Sex | Female vs. male | 1.75 (1.32; 2.32) | <0.001 | 1.74 (1.31; 2.31) | <0.001 |
| HH grade | 2 vs. 1 | 0.97 (0.65; 1.45) | 0.873 | 0.96 (0.65; 1.44) | 0.854 |
| 3 vs. 1 | 1.47 (0.96; 2.24) | 0.075 | 1.46 (0.96; 2.23) | 0.078 | |
| 4 vs. 1 | 1.69 (1.06; 2.69) | 0.029 | 1.69 (1.06; 2.70) | 0.028 | |
| 5 vs. 1 | 1.88 (1.15; 3.06) | 0.011 | 1.89 (1.17; 3.06) | 0.010 | |
| Fisher grade | 2 vs. 1 | 1.70 (0.79; 3.64) | 0.174 | 1.70 (0.79; 3.65) | 0.175 |
| 3 vs. 1 | 2.41 (1.18; 4.88) | 0.015 | 2.39 (1.18; 4.86) | 0.016 | |
| 4 vs. 1 | 2.70 (1.35; 5.41) | 0.005 | 2.70 (1.35; 5.42) | 0.005 | |
| Aneurysm morphology | Regular vs. non-regular | 1.60 (1.00; 2.56) | 0.049 | 1.61 (1.01; 2.58) | 0.046 |
| Age at aSAB | 0.97 (0.96; 0.98) | <0.001 | 0.97 (0.96; 0.98) | <0.001 | |
| (b) | |||||
| Sex | Female vs. male | 1.71 (1.29; 2.27) | <0.001 | 1.71 (1.29; 2.27) | <0.001 |
| HH grade | 2 vs. 1 | 0.97 (0.64; 1.47) | 0.871 | 0.97 (0.64; 1.47) | 0.871 |
| 3 vs. 1 | 1.57 (1.00; 2.45) | 0.049 | 1.57 (1.00; 2.45) | 0.049 | |
| 4 vs. 1 | 1.73 (1.06; 2.84) | 0.029 | 1.73 (1.06; 2.84) | 0.029 | |
| 5 vs. 1 | 1.50 (0.93; 2.40) | 0.095 | 5.67 (3.00; 10.72) | <0.001 | |
| Fisher grade | 2 vs. 1 | 1.79 (0.81; 3.99) | 0.152 | 0.00 (0.00; 0.00) | <0.001 |
| 3 vs. 1 | 2.51 (1.21; 5.24) | 0.014 | 2.51 (1.21; 5.24) | 0.014 | |
| 4 vs. 1 | 2.83 (1.37; 5.82) | 0.005 | 2.83 (1.37; 5.82) | 0.005 | |
| Aneurysm morphology | Regular vs. non-regular | 1.69 (1.09; 2.63) | 0.019 | 1.69 (1.09; 2.63) | 0.019 |
| Age at aSAB | 0.96 (0.95; 0.97) | <0.001 | 0.99 (0.97; 1.02) | 0.650 | |
Publisher’s Note: MDPI stays neutral with regard to jurisdictional claims in published maps and institutional affiliations. |
© 2022 by the authors. Licensee MDPI, Basel, Switzerland. This article is an open access article distributed under the terms and conditions of the Creative Commons Attribution (CC BY) license (https://creativecommons.org/licenses/by/4.0/).
Share and Cite
Khanafer, A.; Bhogal, P.; Hellstern, V.; Harmening, C.; Bäzner, H.; Ganslandt, O.; Henkes, H. Vasospasm-Related Death after Aneurysmal Subarachnoid Hemorrhage: A Retrospective Case–Control Study. J. Clin. Med. 2022, 11, 4642. https://doi.org/10.3390/jcm11164642
Khanafer A, Bhogal P, Hellstern V, Harmening C, Bäzner H, Ganslandt O, Henkes H. Vasospasm-Related Death after Aneurysmal Subarachnoid Hemorrhage: A Retrospective Case–Control Study. Journal of Clinical Medicine. 2022; 11(16):4642. https://doi.org/10.3390/jcm11164642
Chicago/Turabian StyleKhanafer, Ali, Pervinder Bhogal, Victoria Hellstern, Christoph Harmening, Hansjörg Bäzner, Oliver Ganslandt, and Hans Henkes. 2022. "Vasospasm-Related Death after Aneurysmal Subarachnoid Hemorrhage: A Retrospective Case–Control Study" Journal of Clinical Medicine 11, no. 16: 4642. https://doi.org/10.3390/jcm11164642
APA StyleKhanafer, A., Bhogal, P., Hellstern, V., Harmening, C., Bäzner, H., Ganslandt, O., & Henkes, H. (2022). Vasospasm-Related Death after Aneurysmal Subarachnoid Hemorrhage: A Retrospective Case–Control Study. Journal of Clinical Medicine, 11(16), 4642. https://doi.org/10.3390/jcm11164642

