Treatment of Secondary Aortoenteric Fistulas Following AORTIC Aneurysm Repair in a Tertiary Reference Center
Abstract
:1. Introduction
2. Methods and Materials
2.1. Patient Population
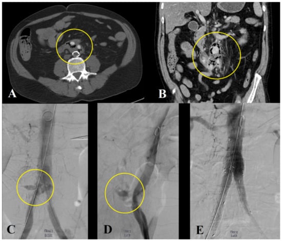
2.2. Presentation-Diagnosis-Management
2.3. Follow-Up Data Analysis
3. Results
3.1. Patient Population
3.2. Presentation-Diagnosis-Management
3.2.1. Open Surgical Repair
3.2.2. Endovascular Repair
3.2.3. Hybrid Repair
3.3. Perioperative Mortality and Morbidity
3.4. Follow-Up
4. Discussion
5. Conclusions
Author Contributions
Funding
Institutional Review Board Statement
Informed Consent Statement
Data Availability Statement
Conflicts of Interest
References
- Cooper, A. The Lectures of the Principles and Practice of Surgery with Additional Notes and Cases by Frederick Tyrrell; Thomas & George Underwood: London, UK, 1824; Volume 2. [Google Scholar]
- Kakkos, S.K.; Bicknell, C.D.; Tsolakis, I.A.; Bergqvist, D. Hellenic Co-operative Group on Aortic Surgery. Management of secondary aorto-enteric and other abdominal arterio-enteric fistulas: A review and pooled data analysis. Eur. J. Vasc. Endovasc. Surg. 2016, 52, 770–786. [Google Scholar] [CrossRef] [PubMed] [Green Version]
- Antoniou, G.A.; Koutsias, S.; Antoniou, S.A.; Georgiakakis, A.; Lazarides, M.K.; Giannoukas, A.D. Outcome after endovascular stent graft repair of aortoenteric fistula: A systematic review. J. Vasc. Surg. 2009, 49, 782–789. [Google Scholar] [CrossRef] [PubMed] [Green Version]
- Lukasiewicz, A.; Molski, S. Secondary aorto-enteric fistula—Still a devastating complication of major vascular surgery. Vasa 2011, 40, 139–145. [Google Scholar] [CrossRef] [PubMed]
- Luo, J.; Tang, W.; Wang, M.; Xiao, Y.; Tan, M.; Jiang, C. Case series of aortoenteric fistulas: A rare cause of gastrointestinal bleeding. BMC Gastroenterol. 2021, 21, 49. [Google Scholar] [CrossRef] [PubMed]
- Mauriac, P.; Francois, M.O.; Marichez, A.; Dubuisson, V.; Puges, M.; Stenson, K.; Ducasse, E.; Caradu, C.; Berard, X. Adjuncts to the Management of Graft Aorto-Enteric Erosion and Fistula with in situ Reconstruction. Eur. J. Vasc. Endovasc. Surg. 2021, 62, 786–795. [Google Scholar] [CrossRef] [PubMed]
- Chakfe, N.; Diener, H.; Lejay, A.; Assadian, O.; Berard, X.; Caillon, J.; Hinchliffe, R.; Jongkind, V.; Koelemay, M.J.; Menyhei, G.; et al. Editor’s Choice—European Society for Vacular Surgery (ESVS) 2020 Clinical Practice Guidelines on the Management of Vascular Graft and Endograft Infections. Eur. J. Vasc. Enodvasc. Surg. 2020, 59, 339–384. [Google Scholar] [CrossRef] [PubMed] [Green Version]
- Castronovo, E.L.; Bissacco, D.; Trimarchi, S.; Mezzetti, R. Neoaortoiliac system in treating aortic graft infections: A single center long-term experience and review of the literature. J. Cardiovasc. Surg. 2022, 63, 160–168. [Google Scholar] [CrossRef] [PubMed]
- Singh, K.; Guerges, M.; Rost, A.; Russo, N.; Aparajita, R.; Schor, J.; Deitch, J. Endovascular Management of Bleeding Aortoenteric Fistula may be feasible as a Definitive Repair. Ann. Vasc. Surg. 2022, 83, 378.e1–378.e5. [Google Scholar] [CrossRef] [PubMed]
- Mufty, H.; Michiels, T.; Van Wijngaerden, E.; Fourneau, I. In Situ Reconstruction with Autologous Veins for the Treatment of Infected Abdominal Endografts: Single Center Experience. Surg. Infect. 2022, 23, 150–154. [Google Scholar] [CrossRef] [PubMed]
- Dorigo, W.; Pulli, R.; Azas, L.; Pratesi, G.; Innocenti, A.A.; Pratesi, C. Early and long-term results of conventional surgical treatment of secondary aorto-enteric fistula. Eur. J. Vasc. Endovasc. Surg. 2003, 26, 512–518. [Google Scholar] [CrossRef] [Green Version]
- Berard, X.; Battut, A.S.; Puges, M.; Carrer, M.; Stenson, K.; Cazanave, C.; Stecken, L.; Caradu, C.; Ducasse, E. Fifteen-year, single-center experience with in situ reconstruction for infected native aortic aneurzsms. J. Vasc. Surg. 2022, 75, 950–961. [Google Scholar] [CrossRef] [PubMed]
- Langenskiöld, M.; Persson, S.E.; Daryapeyma, A.; Gillgren, P.; Hallin, A.; Hultgren, R.; Jonsson, M.; Nordanstig, J. Deep Femoral Vein Reconstruction for Abdominal Aortic Graft Infections is Associated with Low Aneurysm Related Mortality and a High Rate of Permanent Discontinuation of Antimicrobial Treatment. Eur. J. Vasc. Endovasc. Surg. 2021, 62, 927–934. [Google Scholar] [CrossRef] [PubMed]
- Bergqvist, D.; Björk, M. Secondary arterioenteric fistulation. A systematic literature analysis. Eur. J. Vasc. Endovasc. Surg. 2009, 37, 31–42. [Google Scholar] [CrossRef] [PubMed] [Green Version]




| Variable | No. (Percent) |
|---|---|
| Male/Female ratio | 20 (87%)/3 (13%) |
| Mean patient age (y.o ± SD) | 66.1 ± 7 |
| Fistula localization | |
| Duodenum | 21 (91.3%) |
| Small intestine | 2 (8.7%) |
| Prior operation type | |
| Aortobifemoral bypass | 5 (21.7%) |
| Aortobiiliac bypass | 3 (13%) |
| Infrarenal tubing | 3 (13%) |
| EVAR | 7 (30.4%) |
| Open repair + EVAR for aneurysmal management | 3 (13%) |
| Open repair for TAAA | 1 (4.3%) |
| Open repair for renal artery aneurysm | 1 (4.3%) |
| ASA Grading | |
| ASA III | 16 (69.6%) |
| ASA IV | 7 (30.4%) |
| Commorbidities | |
| CAD | 12 (52.2%) |
| Hypertension | 14 (60.9%) |
| COPD | 5 (21.7%) |
| Diabetes | 6 (26.1%) |
| Smoking | 8 (34.8%) |
| Hypercholesterolemia | 8 (34.8%) |
| CKD | 11 (47.8%) |
| Type of Repair | No. (Percent) |
|---|---|
| Aortic interponation | 10 (71.4%) |
| Aortobifemoral bypass | 1 (7.1%) |
| Aortobiiliac bypass | 1 (7.1%) |
| Axillobifemoral bypass | 2 (14.3%) |
| Type of material used | |
| Autologous | 2 (14.3%) |
| Prosthetic | 10 (71.4%) |
| Homograft | 2 (14.3%) |
| Prosthetic material | |
| Removed | 9 (53%) |
| Partially removed | 5 (29.4%) |
| Left in situ | 3 (17.6%) |
| Fistula | |
| Excised | 4 (23.5%) |
| Sutured | 13 (76.5%) |
| Type of Treatment | Patients |
|---|---|
| Open surgical repair | |
| Multiorgan failure | 3 |
| Colonic ischemia | 2 |
| Cardiac failure | 1 |
| Endovascular repair | |
| Aortic rupture | 1 |
| Abscess Drainage | |
| Multiorgan failure | 1 |
| Type of Repair | Follow-Up Mortality | |
|---|---|---|
| Fistula Related | Non-Istula Related | |
| Open Repair (with Bridging) | 1/3 (33%) | 0/3 (0%) |
| Open Repair (without Bridging) | 1/9 (11%) | 2/9 (22%) |
| Endovascular | 1/1 (100%) | 0/1 (0%) |
Publisher’s Note: MDPI stays neutral with regard to jurisdictional claims in published maps and institutional affiliations. |
© 2022 by the authors. Licensee MDPI, Basel, Switzerland. This article is an open access article distributed under the terms and conditions of the Creative Commons Attribution (CC BY) license (https://creativecommons.org/licenses/by/4.0/).
Share and Cite
Oikonomou, K.; Pfister, K.; Kasprzak, P.M.; Schierling, W.; Betz, T.; Sachsamanis, G. Treatment of Secondary Aortoenteric Fistulas Following AORTIC Aneurysm Repair in a Tertiary Reference Center. J. Clin. Med. 2022, 11, 4427. https://doi.org/10.3390/jcm11154427
Oikonomou K, Pfister K, Kasprzak PM, Schierling W, Betz T, Sachsamanis G. Treatment of Secondary Aortoenteric Fistulas Following AORTIC Aneurysm Repair in a Tertiary Reference Center. Journal of Clinical Medicine. 2022; 11(15):4427. https://doi.org/10.3390/jcm11154427
Chicago/Turabian StyleOikonomou, Kyriakos, Karin Pfister, Piotr M. Kasprzak, Wilma Schierling, Thomas Betz, and Georgios Sachsamanis. 2022. "Treatment of Secondary Aortoenteric Fistulas Following AORTIC Aneurysm Repair in a Tertiary Reference Center" Journal of Clinical Medicine 11, no. 15: 4427. https://doi.org/10.3390/jcm11154427
APA StyleOikonomou, K., Pfister, K., Kasprzak, P. M., Schierling, W., Betz, T., & Sachsamanis, G. (2022). Treatment of Secondary Aortoenteric Fistulas Following AORTIC Aneurysm Repair in a Tertiary Reference Center. Journal of Clinical Medicine, 11(15), 4427. https://doi.org/10.3390/jcm11154427

