TNF-α Inhibitors in Combination with MTX Reduce Circulating Levels of Heparan Sulfate/Heparin and Endothelial Dysfunction Biomarkers (sVCAM-1, MCP-1, MMP-9 and ADMA) in Women with Rheumatoid Arthritis
Abstract
1. Introduction
2. Materials and Methods
2.1. Patients and Samples
2.2. Clinical and Laboratory Analyses
2.3. Isolation and Quantitative Analysis of Sulfated GAGs
2.4. Immunoassay of Vascular Endothelial Dysfunction Markers (sVCAM-1, MCP-1, MMP-9 and ADMA)
2.5. Statistical Analysis
3. Results
3.1. Effectiveness of TNFαI Treatment
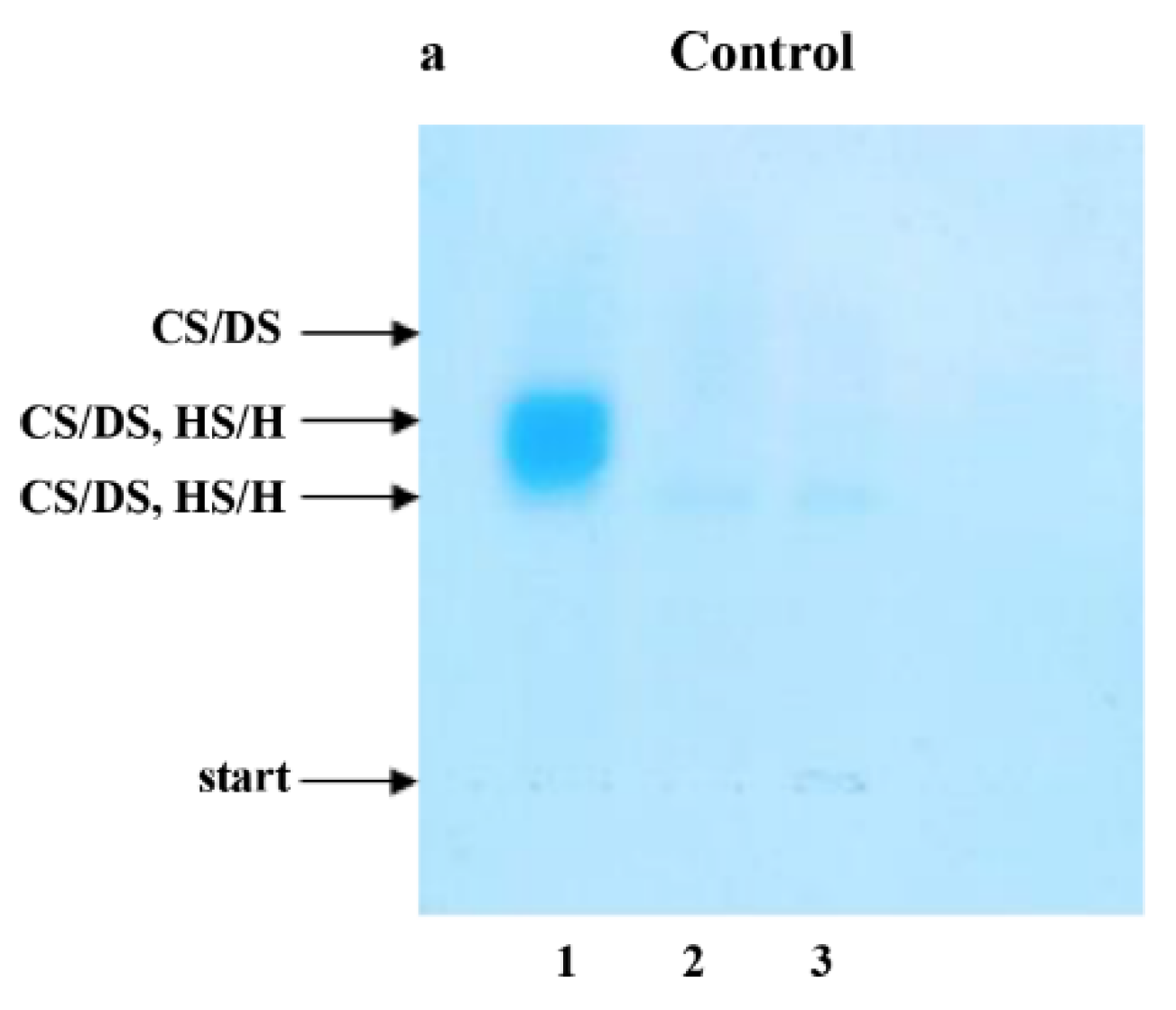
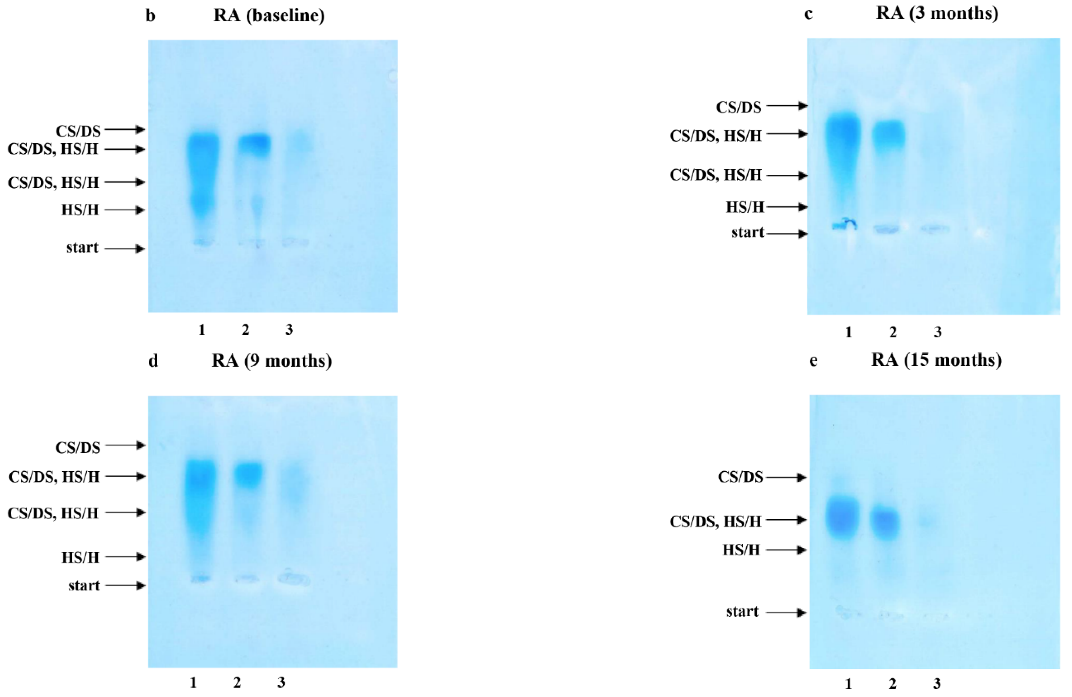
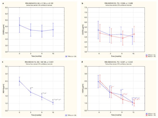
3.2. Plasma Levels of Sulfated GAGs (CS/DS and HS/H)


| Parameter | Healthy Subjects | RA Patients (n = 29) | p | ||
|---|---|---|---|---|---|
| A | T0 (Before TNFαI Therapy) B | T3 (15 Months After Starting TNFαI Therapy) C | A vs. B | A vs. C | |
| CS/DS [µg/mL] | 4.09 (3.72–4.42) | 4.91 (3.91–6.45) | 4.85 (3.75–5.89) | <0.01 | 0.094 |
| HS/H [µg/mL] | 0.93 (0.86–1.02) | 2.35 (1.99–3.06) | 1.03 (0.80–1.35) | <0.001 | 0.414 |
3.3. Serum Levels of Vascular Endothelial Dysfunction Markers (sVCAM-1, MCP-1, MMP-9 and ADMA)
3.4. Analysis of the Relationships between Circulating Heparan Sulfate/Heparin, Endothelial Dysfunction Markers and Clinical and Laboratory Indicators of Disease Activity
4. Discussion
5. Conclusions
Supplementary Materials
Author Contributions
Funding
Institutional Review Board Statement
Informed Consent Statement
Data Availability Statement
Conflicts of Interest
Abbreviations
References
- Chen, J.; Norling, L.V.; Cooper, D. Cardiac dysfunction in rheumatoid arthritis: The role of inflammation. Cells 2021, 10, 881. [Google Scholar] [CrossRef] [PubMed]
- Sparks, J.A. Rheumatoid arthritis. Ann. Intern. Med. 2019, 170, ITC1–ITC16. [Google Scholar] [CrossRef] [PubMed]
- Smolen, J.S.; Aletaha, D.; Barton, A.; Burmester, G.R.; Emery, P.; Firestein, G.S.; Kavanaugh, A.; McInnes, I.B.; Solomon, D.H.; Strand, V.; et al. Rheumatoid arthritis. Nat. Rev. Dis. Primers 2018, 4, 18001. [Google Scholar] [CrossRef] [PubMed]
- England, B.R.; Thiele, G.M.; Anderson, D.R.; Mikuls, T.R. Increased cardiovascular risk in rheumatoid arthritis: Mechanisms and implications. BMJ 2018, 361, k1036. [Google Scholar] [CrossRef] [PubMed]
- Radu, A.F.; Bungau, S.G. Management of rheumatoid arthritis: An overview. Cells 2021, 10, 2857. [Google Scholar] [CrossRef]
- Figus, F.A.; Piga, M.; Azzolin, I.; McConnell, R.; Iagnocco, A. Rheumatoid arthritis: Extra-articular manifestations and comorbidities. Autoimmun. Rev. 2021, 20, 102776. [Google Scholar] [CrossRef]
- Semb, A.G.; Ikdahl, E.; Wibetoe, G.; Crowson, C.; Rollefstad, S. Atherosclerotic cardiovascular disease prevention in rheumatoid arthritis. Nat. Rev. Rheumatol. 2020, 16, 361–379. [Google Scholar] [CrossRef]
- Klimek, E.; Skalska, A.; Kwaśny-Krochin, B.; Surdacki, A.; Sulicka, J.; Korkosz, M.; Fedak, D.; Kierzkowska, I.; Wizner, B.; Grodzicki, T.K. Differential associations of inflammatory and endothelial biomarkers with disease activity in rheumatoid arthritis of short duration. Mediat. Inflamm. 2014, 2014, 681635. [Google Scholar] [CrossRef]
- Steyers, C.M., 3rd; Miller, F.J., Jr. Endothelial dysfunction in chronic inflammatory diseases. Int. J. Mol. Sci. 2014, 15, 11324–11349. [Google Scholar] [CrossRef]
- Khan, F.; Galarraga, B.; Belch, J.J. The role of endothelial function and its assessment in rheumatoid arthritis. Nat. Rev. Rheumatol. 2010, 6, 253–261. [Google Scholar] [CrossRef]
- Ku, I.A.; Imboden, J.B.; Hsue, P.Y.; Ganz, P. Rheumatoid arthritis: Model of systemic inflammation driving atherosclerosis. Circ. J. 2009, 73, 977–985. [Google Scholar] [CrossRef] [PubMed]
- Zhang, H.; Park, Y.; Wu, J.; Chen, X.P.; Lee, S.; Yang, J.; Dellsperger, K.C.; Zhang, C. Role of TNF-alpha in vascular dysfunction. Clin. Sci. 2009, 116, 219–230. [Google Scholar] [CrossRef] [PubMed]
- Tanasescu, C.; Jurcut, C.; Jurcut, R.; Ginghina, C. Vascular disease in rheumatoid arthritis: From subclinical lesions to cardiovascular risk. Eur. J. Intern. Med. 2009, 20, 348–354. [Google Scholar] [CrossRef] [PubMed]
- Di Franco, M.; Lucchino, B.; Conti, F.; Valesini, G.; Spinelli, F.R. Asymmetric dimethyl arginine as a biomarker of atherosclerosis in rheumatoid arthritis. Mediat. Inflamm. 2018, 2018, 3897295. [Google Scholar] [CrossRef]
- Pircher, J.; Merkle, M.; Wörnle, M.; Ribeiro, A.; Czermak, T.; Stampnik, Y.; Mannell, H.; Niemeyer, M.; Vielhauer, V.; Krötz, F. Prothrombotic effects of tumor necrosis factor alpha in vivo are amplified by the absence of TNF-alpha receptor subtype 1 and require TNF-alpha receptor subtype 2. Arthritis Res. 2012, 14, R225. [Google Scholar] [CrossRef]
- Zhu, Y.; Xian, X.; Wang, Z.; Bi, Y.; Chen, Q.; Han, X.; Tang, D.; Chen, R. Research progress on the relationship between atherosclerosis and inflammation. Biomolecules 2018, 8, 80. [Google Scholar] [CrossRef]
- Zeng-Brouwers, J.; Pandey, S.; Trebicka, J.; Wygrecka, M.; Schaefer, L. Communications via the small leucine-rich proteoglycans: Molecular specificity in inflammation and autoimmune diseases. J. Histochem. Cytochem. 2020, 68, 887–906. [Google Scholar] [CrossRef]
- Soares da Costa, D.; Reis, R.L.; Pashkuleva, I. Sulfation of glycosaminoglycans and its implications in human health and disorders. Annu. Rev. Biomed. Eng. 2017, 19, 1–26. [Google Scholar] [CrossRef]
- Szeremeta, A.; Jura-Półtorak, A.; Zoń-Giebel, A.; Kopeć-Mędrek, M.; Kucharz, E.J.; Olczyk, K. Aggrecan turnover in women with rheumatoid arthritis treated with TNF-α inhibitors. J. Clin. Med. 2020, 9, 1377. [Google Scholar] [CrossRef]
- Jura-Półtorak, A.; Komosinska-Vassev, K.; Kotulska, A.; Kucharz, E.J.; Klimek, K.; Kopec-Medrek, M.; Olczyk, K. Alterations of plasma glycosaminoglycan profile in patients with rheumatoid arthritis in relation to disease activity. Clin. Chim. Acta. 2014, 433, 20–27. [Google Scholar] [CrossRef]
- Bei, R.; Masuelli, L.; Palumbo, C.; Tresoldi, I.; Scardino, A.; Modesti, A. Long-lasting tissue inflammatory processes trigger autoimmune responses to extracellular matrix molecules. Int. Rev. Immunol. 2008, 27, 137–175. [Google Scholar] [CrossRef] [PubMed]
- Wang, J.Y.; Roehrl, M.H. Glycosaminoglycans are a potential cause of rheumatoid arthritis. Proc. Natl. Acad. Sci. USA 2002, 99, 14362–14367. [Google Scholar] [CrossRef] [PubMed]
- Karamanos, N.K.; Piperigkou, Z.; Theocharis, A.D.; Watanabe, H.; Franchi, M.; Baud, S.; Brézillon, S.; Götte, M.; Passi, A.; Vigetti, D.; et al. Proteoglycan chemical diversity drives multifunctional cell regulation and therapeutics. Chem. Rev. 2018, 118, 9152–9232. [Google Scholar] [CrossRef] [PubMed]
- Farrugia, B.L.; Lord, M.S.; Melrose, J.; Whitelock, J.M. The role of heparan sulfate in inflammation, and the development of biomimetics as anti-inflammatory strategies. J. Histochem. Cytochem. 2018, 66, 321–336. [Google Scholar] [CrossRef]
- Zhang, B.; Chi, L. Chondroitin sulfate/dermatan sulfate-protein interactions and their biological functions in human diseases: Implications and analytical tools. Front. Cell. Dev. Biol. 2021, 9, 693563. [Google Scholar] [CrossRef]
- Ng, C.Y.; Whitelock, J.M.; Williams, H.; Kim, H.N.; Medbury, H.J.; Lord, M.S. Macrophages bind LDL using heparan sulfate and the perlecan protein core. J. Biol. Chem. 2021, 296, 100520. [Google Scholar] [CrossRef]
- Kang, H.; Lu, J.; Yang, J.; Fan, Y.; Deng, X. Interaction of arterial proteoglycans with low density lipoproteins (LDLs): From theory to promising therapeutic approaches. Med. Nov. Technol. Devices 2019, 3, 100016. [Google Scholar] [CrossRef]
- Fogelstrand, P.; Borén, J. Retention of atherogenic lipoproteins in the artery wall and its role in atherogenesis. Nutr. Metab. Cardiovasc. Dis. 2012, 22, 1–7. [Google Scholar] [CrossRef]
- Aletaha, D.; Neogi, T.; Silman, A.J.; Funovits, J.; Felson, D.T.; Bingham, C.O., III; Birnbaum, N.S.; Burmester, G.R.; Bykerk, V.P.; Cohen, M.D.; et al. 2010 rheumatoid arthritis classification criteria: An American college of rheumatology/European league against rheumatism collaborative initiative. Ann. Rheum. Dis. 2010, 69, 1580–1588. [Google Scholar] [CrossRef]
- Arnett, F.C.; Edworthy, S.M.; Bloch, D.A.; McShane, D.J.; Fries, J.F.; Cooper, N.S.; Healey, L.A.; Kaplan, S.R.; Liang, M.H.; Luthra, H.S. The American rheumatism association 1987 revised criteria for the classification of rheumatoid arthritis. Arthritis Rheum. 1988, 31, 315–324. [Google Scholar] [CrossRef]
- Szeremeta, A.; Jura-Półtorak, A.; Koźma, E.M.; Głowacki, A.; Kucharz, E.J.; Kopeć-Mędrek, M.; Olczyk, K. Effects of a 15-month anti-TNF-α treatment on plasma levels of glycosaminoglycans in women with rheumatoid arthritis. Arthritis Res. 2018, 20, 211. [Google Scholar] [CrossRef] [PubMed]
- Hronowski, L.; Anastassiades, T.P. Quantitation and interaction of glycosaminoglycans with alcian blue in dimethyl sulfoxide solutions. Anal. Biochem. 1979, 93, 60–72. [Google Scholar] [CrossRef]
- Fransen, J.; van Riel, P.L. The disease activity score and the EULAR response criteria. Rheum. Dis. Clin. N. Am. 2009, 35, 745–757. [Google Scholar] [CrossRef] [PubMed]
- Sabol, J.K.; Wei, W.; López-Hoyos, M.; Seo, Y.; Andaya, A.; Leary, J.A. Heparan sulfate differences in rheumatoid arthritis versus healthy sera. Matrix. Biol. 2014, 40, 54–61. [Google Scholar] [CrossRef]
- Koźma, E.M.; Kuźnik-Trocha, K.; Winsz-Szczotka, K.; Wisowski, G.; Olczyk, P.; Komosińska-Vassev, K.; Kasperczyk, M.; Olczyk, K. Significant remodeling affects the circulating glycosaminoglycan profile in adult patients with both severe and mild forms of acute pancreatitis. J. Clin. Med. 2020, 9, 1308. [Google Scholar] [CrossRef]
- Zinellu, E.; Lepedda, A.J.; Cigliano, A.; Pisanu, S.; Zinellu, A.; Carru, C.; Bacciu, P.P.; Piredda, F.; Guarino, A.; Spirito, R.; et al. Association between human plasma chondroitin sulfate isomers and carotid atherosclerotic plaques. Biochem. Res. Int. 2012, 2012, 281284. [Google Scholar] [CrossRef]
- Nelson, A.; Berkestedt, I.; Bodelsson, M. Circulating glycosaminoglycan species in septic shock. Acta Anaesthesiol. Scand. 2014, 58, 36–43. [Google Scholar] [CrossRef]
- Nadir, Y. Effect of heparanase and heparan sulfate chains in hemostasis. Semin. Thromb. Hemost. 2021, 47, 254–260. [Google Scholar] [CrossRef]
- Masola, V.; Greco, N.; Gambaro, G.; Franchi, M.; Onisto, M. Heparanase as active player in endothelial glycocalyx remodeling. Matrix Biol. Plus. 2021, 13, 100097. [Google Scholar] [CrossRef]
- Madonna, R.; De Caterina, R. Potential roles of vessel wall heparan sulfate proteoglycans in atherosclerosis. Vasc. Pharm. 2014, 60, 49–51. [Google Scholar] [CrossRef]
- Goodall, K.J.; Poon, I.K.; Phipps, S.; Hulett, M.D. Soluble heparan sulfate fragments generated by heparanase trigger the release of pro-inflammatory cytokines through TLR-4. PLoS ONE 2014, 9, e109596. [Google Scholar] [CrossRef] [PubMed]
- Li, R.W.; Freeman, C.; Yu, D.; Hindmarsh, E.J.; Tymms, K.E.; Parish, C.R.; Smith, P.N. Dramatic regulation of heparanase activity and angiogenesis gene expression in synovium from patients with rheumatoid arthritis. Arthritis Rheum. 2008, 58, 1590–1600. [Google Scholar] [CrossRef] [PubMed]
- Mayfosh, A.J.; Nguyen, T.K.; Hulett, M.D. The heparanase regulatory network in health and disease. Int. J. Mol. Sci. 2021, 22, 11096. [Google Scholar] [CrossRef] [PubMed]
- Vlodavsky, I.; Blich, M.; Li, J.P.; Sanderson, R.D.; Ilan, N. Involvement of heparanase in atherosclerosis and other vessel wall pathologies. Matrix Biol. 2013, 32, 241–251. [Google Scholar] [CrossRef] [PubMed]
- Irie, F.; Okuno, M.; Matsumoto, K.; Pasquale, E.B.; Yamaguchi, Y. Heparan sulfate regulates ephrin-A3/EphA receptor signaling. Proc. Natl. Acad. Sci. USA 2008, 105, 12307–12312. [Google Scholar] [CrossRef]
- Tran-Lundmark, K.; Tran, P.K.; Paulsson-Berne, G.; Fridén, V.; Soininen, R.; Tryggvason, K.; Wight, T.N.; Kinsella, M.G.; Borén, J.; Hedin, U. Heparan sulfate in perlecan promotes mouse atherosclerosis: Roles in lipid permeability, lipid retention, and smooth muscle cell proliferation. Circ. Res. 2008, 103, 43–52. [Google Scholar] [CrossRef]
- Wasty, F.; Alavi, M.Z.; Moore, S. Distribution of glycosaminoglycans in the intima of human aortas: Changes in atherosclerosis and diabetes mellitus. Diabetologia 1993, 36, 316–322. [Google Scholar] [CrossRef]
- Tran, P.K.; Agardh, H.E.; Tran-Lundmark, K.; Ekstrand, J.; Roy, J.; Henderson, B.; Gabrielsen, A.; Hansson, G.K.; Swedenborg, J.; Paulsson-Berne, G.; et al. Reduced perlecan expression and accumulation in human carotid atherosclerotic lesions. Atherosclerosis 2007, 190, 264–270. [Google Scholar] [CrossRef]
- Pillarisetti, S.; Paka, L.; Obunike, J.C.; Berglund, L.; Goldberg, I.J. Subendothelial retention of lipoprotein (a). Evidence that reduced heparan sulfate promotes lipoprotein binding to subendothelial matrix. J. Clin. Investig. 1997, 100, 867–874. [Google Scholar] [CrossRef]
- Fuster, M.M.; Wang, L. Endothelial heparan sulfate in angiogenesis. Prog. Mol. Biol. Transl. Sci. 2010, 93, 179–212. [Google Scholar] [CrossRef]
- Paleolog, E.M. Angiogenesis in rheumatoid arthritis. Arthritis Res. 2002, 4, S81–S90. [Google Scholar] [CrossRef] [PubMed]
- Mantovani, V.; Galeotti, F.; Maccari, F.; Volpi, N. Analytical methods for assessing chondroitin sulfate in human plasma. J. AOAC Int. 2016, 99, 333–341. [Google Scholar] [CrossRef] [PubMed]
- Volpi, N. Advances in chondroitin sulfate analysis: Application in physiological and pathological states of connective tissue and during pharmacological treatment of osteoarthritis. Curr. Pharm. Des. 2006, 12, 639–658. [Google Scholar] [CrossRef] [PubMed]
- Lord, M.S.; Melrose, J.; Day, A.J.; Whitelock, J.M. The inter-α-trypsin inhibitor family: Versatile molecules in biology and pathology. J. Histochem. Cytochem. 2020, 68, 907–927. [Google Scholar] [CrossRef] [PubMed]
- Fries, E.; Blom, A.M. Bikunin—Not just a plasma proteinase inhibitor. Int. J. Biochem. Cell Biol. 2000, 32, 125–137. [Google Scholar] [CrossRef]
- Balduyck, M.; Albani, D.; Jourdain, M.; Mizon, C.; Tournoys, A.; Drobecq, H.; Fourrier, F.; Mizon, J. Inflammation-induced systemic proteolysis of inter-alpha-inhibitor in plasma from patients with sepsis. J. Lab. Clin. Med. 2000, 135, 188–198. [Google Scholar] [CrossRef]
- Barreto, G.; Soininen, A.; Ylinen, P.; Sandelin, J.; Konttinen, Y.T.; Nordström, D.C.; Eklund, K.K. Soluble biglycan: A potential mediator of cartilage degradation in osteoarthritis. Arthritis Res. 2015, 17, 379. [Google Scholar] [CrossRef]
- Genovese, F.; Barascuk, N.; Larsen, L.; Larsen, M.R.; Nawrocki, A.; Li, Y.; Zheng, Q.; Wang, J.; Veidal, S.S.; Leeming, D.J.; et al. Biglycan fragmentation in pathologies associated with extracellular matrix remodeling by matrix metalloproteinases. Fibrogenesis Tissue Repair 2013, 6, 9. [Google Scholar] [CrossRef]
- Roedig, H.; Nastase, M.V.; Wygrecka, M.; Schaefer, L. Breaking down chronic inflammatory diseases: The role of biglycan in promoting a switch between inflammation and autophagy. FEBS J. 2019, 286, 2965–2979. [Google Scholar] [CrossRef]
- Avenoso, A.; D’Ascola, A.; Scuruchi, M.; Mandraffino, G.; Calatroni, A.; Saitta, A.; Campo, S.; Campo, G.M. The proteoglycan biglycan mediates inflammatory response by activating TLR-4 in human chondrocytes: Inhibition by specific siRNA and high polymerized hyaluronan. Arch. Biochem. Biophys. 2018, 640, 75–82. [Google Scholar] [CrossRef]
- Schaefer, L.; Tredup, C.; Gubbiotti, M.A.; Iozzo, R.V. Proteoglycan neofunctions: Regulation of inflammation and autophagy in cancer biology. FEBS J. 2017, 284, 10–26. [Google Scholar] [CrossRef] [PubMed]
- Song, R.; Ao, L.; Zhao, K.S.; Zheng, D.; Venardos, N.; Fullerton, D.A.; Meng, X. Soluble biglycan induces the production of ICAM-1 and MCP-1 in human aortic valve interstitial cells through TLR2/4 and the ERK1/2 pathway. Inflamm. Res. 2014, 63, 703–710. [Google Scholar] [CrossRef] [PubMed][Green Version]
- Lepedda, A.J.; Nieddu, G.; Piperigkou, Z.; Kyriakopoulou, K.; Karamanos, N.; Formato, M. Circulating heparan sulfate proteoglycans as biomarkers in health and disease. Semin. Thromb. Hemost. 2021, 47, 295–307. [Google Scholar] [CrossRef] [PubMed]
- Uchimido, R.; Schmidt, E.P.; Shapiro, N.I. The glycocalyx: A novel diagnostic and therapeutic target in sepsis. Crit. Care 2019, 23, 16. [Google Scholar] [CrossRef]
- Catrina, A.I.; Lampa, J.; Ernestam, S.; af Klint, E.; Bratt, J.; Klareskog, L.; Ulfgren, A.K. Anti-tumour necrosis factor (TNF)-alpha therapy (etanercept) down-regulates serum matrix metalloproteinase (MMP)-3 and MMP-1 in rheumatoid arthritis. Rheumatology 2002, 41, 484–489. [Google Scholar] [CrossRef]
- Kotani, T.; Takeuchi, T.; Takai, S.; Yoshida, S.; Hata, K.; Nagai, K.; Wakura, D.; Isoda, K.; Makino, S.; Hanafusa, T. Serum levels of matrix metalloproteinase (MMP) 9, a risk factor for acute coronary syndrome, are reduced independently of serum MMP-3 by anti-TNF-α antibody (infliximab) therapy in patients with rheumatoid arthritis. J. Pharm. Sci. 2012, 120, 50–53. [Google Scholar] [CrossRef]
- Klimiuk, P.A.; Sierakowski, S.; Domyslawska, I.; Chwiecko, J. Effect of repeated infliximab therapy on serum matrix metalloproteinases and tissue inhibitors of metalloproteinases in patients with rheumatoid arthritis. J. Rheumatol. 2004, 31, 238–242. [Google Scholar]
- Obeng, J.A.; Amoruso, A.; Camaschella, G.L.; Sola, D.; Brunelleschi, S.; Fresu, L.G. Modulation of human monocyte/macrophage activity by tocilizumab, abatacept and etanercept: An in vitro study. Eur. J. Pharm. 2016, 780, 33–37. [Google Scholar] [CrossRef]
- Garvin, P.; Nilsson, L.; Carstensen, J.; Jonasson, L.; Kristenson, M. Circulating matrix metalloproteinase-9 is associated with cardiovascular risk factors in a middle-aged normal population. PLoS ONE 2008, 3, e1774. [Google Scholar] [CrossRef]
- Guo, C.; Zhang, S.; Zhang, J.; Liu, H.; Li, P.; Liu, H.; Wang, Y. Correlation between the severity of coronary artery lesions and levels of estrogen, hs-CRP and MMP-9. Exp. Med. 2014, 7, 1177–1180. [Google Scholar] [CrossRef]
- Kageyama, Y.; Takahashi, M.; Nagafusa, T.; Torikai, E.; Nagano, A. Etanercept reduces the oxidative stress marker levels in patients with rheumatoid arthritis. Rheumatol. Int. 2008, 28, 245–251. [Google Scholar] [CrossRef] [PubMed]
- Cacciapaglia, F.; Anelli, M.G.; Rizzo, D.; Morelli, E.; Scioscia, C.; Mazzotta, D.; Iannone, F.; Lapadula, G. Influence of TNF-α inhibition on oxidative stress of rheumatoid arthritis patients. Reumatismo 2015, 67, 97–102. [Google Scholar] [CrossRef] [PubMed]
- Dessein, P.H.; Joffe, B.I.; Singh, S. Biomarkers of endothelial dysfunction, cardiovascular risk factors and atherosclerosis in rheumatoid arthritis. Arthritis Res. 2005, 7, R634–R643. [Google Scholar] [CrossRef] [PubMed]
- Salem, H.R.; Zahran, E.S. Vascular cell adhesion molecule-1 in rheumatoid arthritis patients: Relation to disease activity, oxidative stress, and systemic inflammation. Saudi Med. J. 2021, 42, 620–628. [Google Scholar] [CrossRef]
- Klimiuk, P.A.; Sierakowski, S.; Domyslawska, I.; Chwiecko, J. Effect of etanercept on serum levels of soluble cell adhesion molecules (sICAM-1, sVCAM-1, and sE-selectin) and vascular endothelial growth factor in patients with rheumatoid arthritis. Scand. J. Rheumatol. 2009, 38, 439–444. [Google Scholar] [CrossRef]
- Klimiuk, P.A.; Sierakowski, S.; Domysławska, I.; Fiedorczyk, M.; Chwiećko, J. Reduction of soluble adhesion molecules (sICAM-1, sVCAM-1, and sE-selectin) and vascular endothelial growth factor levels in serum of rheumatoid arthritis patients following multiple intravenous infusions of infliximab. Arch. Immunol. Exp. 2004, 52, 36–42. [Google Scholar]
- Klimiuk, P.A.; Sierakowski, S.; Domyslawska, I.; Chwiecko, J. Serum chemokines in patients with rheumatoid arthritis treated with etanercept. Rheumatol. Int. 2011, 31, 457–461. [Google Scholar] [CrossRef][Green Version]
- Kageyama, Y.; Kobayashi, H.; Kato, N.; Shimazu, M. Etanercept reduces the serum levels of macrophage chemotactic protein-1 in patients with rheumatoid arthritis. Mod. Rheumatol. 2009, 19, 372–378. [Google Scholar] [CrossRef]
- Liou, L.B.; Tsai, W.P.; Chang, C.J.; Chao, W.J.; Chen, M.H. Blood monocyte chemotactic protein-1 (MCP-1) and adapted disease activity Score28-MCP-1: Favorable indicators for rheumatoid arthritis activity. PLoS ONE 2013, 8, e55346. [Google Scholar] [CrossRef]
- Abdel Fatah, W.; Atef, L.; Mohamed, A.; Refaat, D.; Mohsen, M.; Abd El-Raof, M.; Eissa, F. Study of serum monocyte chemoattractant protein-1 as a marker in rheumatoid arthritis. Egypt J. Hosp. Med. 2014, 56, 321–332. [Google Scholar] [CrossRef]
- Fabre, S.; Dupuy, A.M.; Dossat, N.; Guisset, C.; Cohen, J.D.; Cristol, J.P.; Daures, J.P.; Jorgensen, C. Protein biochip array technology for cytokine profiling predicts etanercept responsiveness in rheumatoid arthritis. Clin. Exp. Immunol. 2008, 153, 188–195. [Google Scholar] [CrossRef] [PubMed]
- Huang, H.H.; Chen, L.Y.; Chen, K.Y.; Lee, Y.C.; Tsai, C.Y.; Chen, C.Y. Increased monocyte chemoattractant protein-1 and nitrotyrosine are associated with increased body weight in patients with rheumatoid arthritis after etanercept therapy. Neuropeptides 2020, 84, 102100. [Google Scholar] [CrossRef] [PubMed]
- McDermott, D.H.; Yang, Q.; Kathiresan, S.; Cupples, L.A.; Massaro, J.M.; Keaney, J.F., Jr.; Larson, M.G.; Vasan, R.S.; Hirschhorn, J.N.; O’Donnell, C.J.; et al. CCL2 polymorphisms are associated with serum monocyte chemoattractant protein-1 levels and myocardial infarction in the Framingham Heart Study. Circulation 2005, 112, 1113–1120. [Google Scholar] [CrossRef] [PubMed]
- Dowsett, L.; Higgins, E.; Alanazi, S.; Alshuwayer, N.A.; Leiper, F.C.; Leiper, J. ADMA: A key player in the relationship between vascular dysfunction and inflammation in atherosclerosis. J. Clin. Med. 2020, 9, 3026. [Google Scholar] [CrossRef] [PubMed]
- Mahdy, A.; Stradner, M.; Roessler, A.; Brix, B.; Lackner, A.; Salon, A.; Goswami, N. A pilot study: Hypertension, endothelial dysfunction and retinal microvasculature in rheumatic autoimmune diseases. J. Clin. Med. 2021, 10, 4067. [Google Scholar] [CrossRef] [PubMed]
- Chandrasekharan, U.M.; Wang, Z.; Wu, Y.; Wilson Tang, W.H.; Hazen, S.L.; Wang, S.; Elaine Husni, M. Elevated levels of plasma symmetric dimethylarginine and increased arginase activity as potential indicators of cardiovascular comorbidity in rheumatoid arthritis. Arthritis Res. 2018, 20, 123. [Google Scholar] [CrossRef]
- Spinelli, F.R.; Di Franco, M.; Metere, A.; Conti, F.; Iannuccelli, C.; Agati, L.; Valesini, G. Decrease of asymmetric dimethyl arginine after anti-TNF therapy in patients with rheumatoid arthritis. Drug. Dev. Res. 2014, 75, S67–S69. [Google Scholar] [CrossRef]
- Di Franco, M.; Spinelli, F.R.; Metere, A.; Gerardi, M.C.; Conti, V.; Boccalini, F.; Iannuccelli, C.; Ciciarello, F.; Agati, L.; Valesini, G. Serum levels of asymmetric dimethylarginine and apelin as potential markers of vascular endothelial dysfunction in early rheumatoid arthritis. Mediat. Inflamm. 2012, 2012, 347268. [Google Scholar] [CrossRef]
- Turiel, M.; Tomasoni, L.; Sitia, S.; Cicala, S.; Gianturco, L.; Ricci, C.; Atzeni, F.; De Gennaro Colonna, V.; Longhi, M.; Sarzi-Puttini, P. Effects of long-term disease-modifying antirheumatic drugs on endothelial function in patients with early rheumatoid arthritis. Cardiovasc. Ther. 2010, 28, e53–e64. [Google Scholar] [CrossRef]
- Erre, G.L.; Piras, A.; Mura, S.; Mundula, N.; Piras, M.; Taras, L.; Longu, M.G.; Saba, P.S.; Ganau, A.; Carru, C.; et al. Asymmetric dimethylarginine and arterial stiffness in patients with rheumatoid arthritis: A case-control study. J. Int. Med. Res. 2016, 44, 76–80. [Google Scholar] [CrossRef]
- Spasovski, D.; Latifi, A.; Osmani, B.; Krstevska-Balkanov, S.; Kafedizska, I.; Slaninka-Micevska, M.; Dejanova, B.; Alabakovska, S.; Balkanov, T. Determination of the diagnostic values of asymmetric dimethylarginine as an indicator for evaluation of the endothelial dysfunction in patients with rheumatoid arthritis. Arthritis 2013, 2013, 818037. [Google Scholar] [CrossRef] [PubMed]
- Sandoo, A.; Dimitroulas, T.; Toms, T.E.; Hodson, J.; Veldhuijzen van Zanten, J.J.; Smith, J.P.; Kitas, G.D. Clinical remission following treatment with tumour necrosis factor-alpha antagonists is not accompanied by changes in asymmetric dimethylarginine in patients with rheumatoid arthritis. Clin. Biochem. 2012, 45, 1399–1403. [Google Scholar] [CrossRef] [PubMed]
- Zafari, P.; Zarifian, A.; Alizadeh-Navaei, R.; Taghadosi, M.; Rafiei, A.; Samimi, Z.; Niksolat, F. Asymmetric and symmetric dimethylarginine concentration as an indicator of cardiovascular diseases in rheumatoid arthritis patients: A systematic review and meta-analysis of case-control studies. Clin. Rheumatol. 2020, 39, 127–134. [Google Scholar] [CrossRef] [PubMed]



| Parameter | RA Patients (n = 29) | |||
|---|---|---|---|---|
| Before TNFαI Therapy | After Starting TNFαI Therapy | |||
| T0 | T1 (3 Months) | T2 (9 Months) | T3 (15 Months) | |
| Age [years], mean (SD) | 44.38 (14.17) | |||
| Disease duration [years], median (IQR) | 5 (3–8) | |||
| BMI [kg/m2], mean (SD) | 21.25 (2.28) | |||
| RF positive, n (%) | 29 (100) | |||
| Anti-CCP positive, n (%) | 29 (100) | |||
| SW, n median (IQR) | 6 (5–10) | 3 (2–3) a | 0 (0–1) a,b | 0 (0–0) a,b, |
| TEN, n median (IQR) | 14 (10–20) | 5 (3–7) a | 2 (1–2) a,b | 0 (0–1) a,b,c |
| VAS, [0–100 mm] median (IQR) | 80 (80–80) | 50 (35–55) a | 25 (10–30) a,b | 10 (5–20) a,b,c |
| DAS28-ESR, mean (SD) | 5.99 (0.50) | 4.00 (0.73) a | 2.74 (0.72) a,b | 2.06 (0.64) a,b,c |
| Disease activity, n (%) | ||||
| High (>5.1) | 29 (100) | 2 (6.90) | 0 | 0 |
| Moderate (>3.2 and ≤5.1) | 0 | 24 (82.76) | 6 (20.69) | 0 |
| Low (≤3.2 and >2.6) | 0 | 3 (10.34) | 12 (41.38) | 6 (20.69) |
| Remission (≤2.6) | 0 | 0 | 11 (37.93) | 23 (79.31) |
| ESR [mm/h], median (IQR) | 15.0 (10.0–31.0) | 10.0 (8.0–17.0) | 10.0 (8.0–14.0) a | 11.0 (8.0–14.0) a |
| CRP [mg/l], median (IQR) | 5.0 (4.0–9.2) | 4.0 (2.0–4.0) | 3.0 (1.30–4.0) a | 2.0 (1.0–4.0) a |
| TC [mg/dl], mean (SD) | 226.69 (23.73) | 265.24 (64.51) a | ||
| HDL-C [mg/dl], median (IQR) | 57.9 (39.9–88.7) | 79.7 (44.7–93.2) a | ||
| LDL-C [mg/dl], mean (SD) | 70.47 (23.73) | 98.52 (27.98) a | ||
| TG [mg/dl], median (IQR) | 116.1 (91.9–138.9) | 142.3 (126.3–154.6) | ||
| Non-HDL-C [mg/dl], median (IQR) | 183.7 (100.3–208.0) | 196.9 (147.8–238.1) a | ||
| Lp(a) [mg/dl], median (IQR) | 13.80 (8.80–32.20) | 11.00 (9.20–33.10) | ||
| Parameter | Healthy Subjects A | RA Patients (n = 29) | p | ||
|---|---|---|---|---|---|
| T0 (Before TNFαI Therapy) B | T3 (15 Months After Starting TNFαI Therapy) C | A vs. B | A vs. C | ||
| sVCAM-1 [pg/mL] | 1117.09 (423.39) | 1417.65 (414.19) | 1155.20 (473.39) | <0.050 | 0.774 |
| MCP-1 [pg/mL] | 141.25 (118.09–163.41) | 174.58 (142.40–223.28) | 152.12 (137.53–176.10) | <0.050 | 0.159 |
| MMP-9 [ng/mL] | 54.93 (26.39–74.74) | 377.82 (264.64–656.64) | 97.80 (70.16–164.24) | <0.001 | <0.001 |
| ADMA [µmol/l] | 0.46 (0.35–0.52) | 0.52 (0.44–0.56) | 0.44 (0.35–0.52) | 0.106 | 0.912 |
| Parameter | RA Patients (n = 29) | |||
|---|---|---|---|---|
| T0 (Before TNFαI Therapy) | T3 (15 Months After Starting TNFαI Therapy) | |||
| HS/H [µg/mL] | HS/H [µg/mL] | |||
| CRP [mg/l] | −0.356 | p = 0.063 | 0.151 | p = 0.444 |
| ESR [mm/h] | −0.109 | p = 0.582 | −0.022 | p = 0.911 |
| SW, n | 0.123 | p = 0.533 | −0.006 | p = 0.975 |
| TEN, n | 0.453 | p <0.05 | −0.077 | p = 0.697 |
| VAS [0–100 mm] | 0.117 | p = 0.554 | 0.356 | p = 0.063 |
| DAS28-ESR | 0.408 | p <0.05 | −0.059 | p = 0.766 |
| sVCAM-1 [pg/mL] | 0.111 | p = 0.574 | −0.142 | p = 0.470 |
| MCP-1 [pg/mL] | 0.398 | p <0.05 | 0.083 | p = 0.674 |
| MMP-9 [ng/mL] | 0.152 | p = 0.441 | 0.308 | p = 0.111 |
| ADMA [µmol/L] | 0.396 | p <0.05 | 0.114 | p = 0.563 |
Publisher’s Note: MDPI stays neutral with regard to jurisdictional claims in published maps and institutional affiliations. |
© 2022 by the authors. Licensee MDPI, Basel, Switzerland. This article is an open access article distributed under the terms and conditions of the Creative Commons Attribution (CC BY) license (https://creativecommons.org/licenses/by/4.0/).
Share and Cite
Szeremeta, A.; Jura-Półtorak, A.; Zoń-Giebel, A.; Olczyk, K.; Komosińska-Vassev, K. TNF-α Inhibitors in Combination with MTX Reduce Circulating Levels of Heparan Sulfate/Heparin and Endothelial Dysfunction Biomarkers (sVCAM-1, MCP-1, MMP-9 and ADMA) in Women with Rheumatoid Arthritis. J. Clin. Med. 2022, 11, 4213. https://doi.org/10.3390/jcm11144213
Szeremeta A, Jura-Półtorak A, Zoń-Giebel A, Olczyk K, Komosińska-Vassev K. TNF-α Inhibitors in Combination with MTX Reduce Circulating Levels of Heparan Sulfate/Heparin and Endothelial Dysfunction Biomarkers (sVCAM-1, MCP-1, MMP-9 and ADMA) in Women with Rheumatoid Arthritis. Journal of Clinical Medicine. 2022; 11(14):4213. https://doi.org/10.3390/jcm11144213
Chicago/Turabian StyleSzeremeta, Anna, Agnieszka Jura-Półtorak, Aleksandra Zoń-Giebel, Krystyna Olczyk, and Katarzyna Komosińska-Vassev. 2022. "TNF-α Inhibitors in Combination with MTX Reduce Circulating Levels of Heparan Sulfate/Heparin and Endothelial Dysfunction Biomarkers (sVCAM-1, MCP-1, MMP-9 and ADMA) in Women with Rheumatoid Arthritis" Journal of Clinical Medicine 11, no. 14: 4213. https://doi.org/10.3390/jcm11144213
APA StyleSzeremeta, A., Jura-Półtorak, A., Zoń-Giebel, A., Olczyk, K., & Komosińska-Vassev, K. (2022). TNF-α Inhibitors in Combination with MTX Reduce Circulating Levels of Heparan Sulfate/Heparin and Endothelial Dysfunction Biomarkers (sVCAM-1, MCP-1, MMP-9 and ADMA) in Women with Rheumatoid Arthritis. Journal of Clinical Medicine, 11(14), 4213. https://doi.org/10.3390/jcm11144213

