Segmentation and Recognition of the Pathological Features of Squamous Cell Carcinoma of the Skin Based on Multispectral Imaging
Abstract
1. Introduction
2. Materials and Methods
2.1. Experimental Equipment
2.2. Experimental Samples
2.3. Data Acquisition
2.4. Segmentation Method
2.5. Statistical Analysis
3. Experimental Results and Analysis
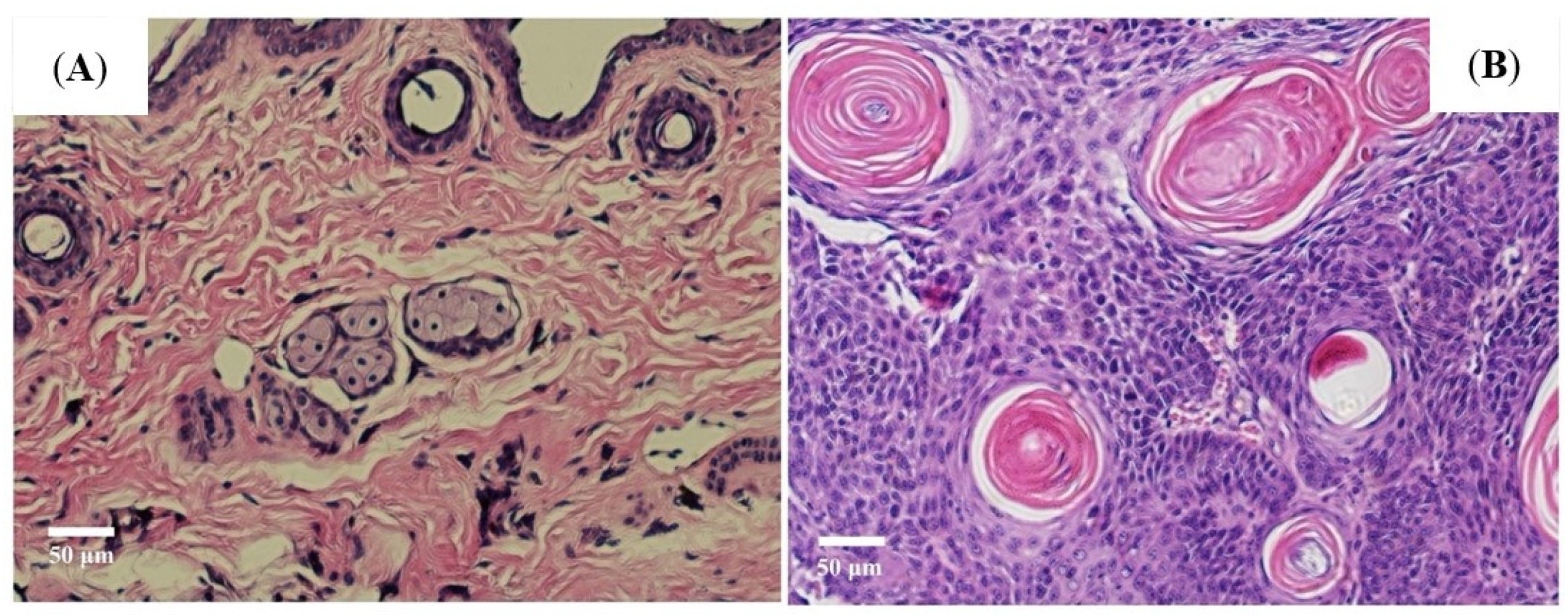
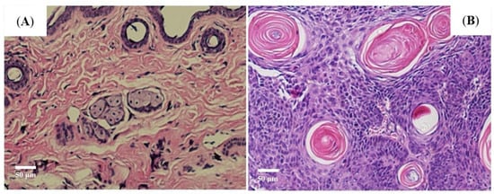
3.1. UVR Induced Skin Canceration in Pathology
3.2. The Features on the cSCC Images Were Highlighted after Segmentation
3.3. Nucleocytoplasmic Ratio Quantitative Analysis Can Distinguish Obscure cSCC from Normal Skin after Segmentation
4. Discussion
5. Conclusions
Author Contributions
Funding
Institutional Review Board Statement
Informed Consent Statement
Data Availability Statement
Conflicts of Interest
References
- Que, S.K.T.; Zwald, F.O.; Schmults, C.D. Cutaneous squamous cell carcinoma: Incidence, risk factors, diagnosis, and staging. J. Am. Acad. Dermatol. 2018, 78, 237–247. [Google Scholar] [CrossRef] [PubMed]
- Hu, B.; Castillo, E.; Harewood, L.; Ostano, P.; Reymond, A.; Dummer, R.; Raffoul, W.; Hoetzenecker, W.; Hofbauer, G.F.L.; Dotto, G.P. Multifocal epithelial tumors and field cancerization from loss of mesenchymal CSL signaling. Cell 2012, 149, 1207–1220. [Google Scholar] [CrossRef] [PubMed]
- Bennardo, L.; Bennardo, F.; Giudice, A.; Passante, M.; Dastoli, S.; Morrone, P.; Provenzano, E.; Patruno, C.; Nisticò, S. Local Chemotherapy as an Adjuvant Treatment in Unresectable Squamous Cell Carcinoma: What Do We Know So Far? Curr. Oncol. 2021, 28, 2317–2325. [Google Scholar] [CrossRef] [PubMed]
- Pentangelo, G.; Nisticò, S.; Provenzano, E.; Cisale, G.; Bennardo, L. Topical 5% Imiquimod Sequential to Surgery for HPV-Related Squamous Cell Carcinoma of the Lip. Medicina 2021, 57, 563. [Google Scholar] [CrossRef] [PubMed]
- Cives, M.; Mannavola, F.; Lospalluti, L.; Sergi, M.C.; Cazzato, G.; Filoni, E.; Cavallo, F.; Giudice, G.; Stucci, L.S.; Porta, C.; et al. Non-Melanoma Skin Cancers: Biological and Clinical Features. Int. J. Mol. Sci. 2020, 21, 5394. [Google Scholar] [CrossRef] [PubMed]
- Soltani, S.; Ojaghi, A.; Qiao, H.; Kaza, N.; Li, X.; Dai, Q.; Robles, F.E. Prostate cancer histopathology using label-free multispectral deep-UV microscopy quan-tifies phenotypes of tumor aggressiveness and enables multiple diagnostic virtual stains. Sci. Rep. 2022, 12, 9329. [Google Scholar] [CrossRef] [PubMed]
- Farina, B.; Bartoli, C.; Bono, A.; Colombo, A.; Lualdi, M.; Tragni, G.; Marchesini, R. Multispectral imaging approach in the diagnosis of cutaneous melanoma: Potentiality and limits. Phys. Med. Biol. 2000, 45, 1243–1254. [Google Scholar] [CrossRef] [PubMed]
- Vasefi, F.; MacKinnon, N.; Farkas, D. Hyperspectral and Multispectral Imaging in Dermatology. In Imaging in Dermatology; Academic Press: Cambridge, MA, USA, 2016; pp. 187–201. [Google Scholar] [CrossRef]
- Ortega, S.; Halicek, M.; Fabelo, H.; Callico, G.M.; Fei, B.; Sarmiento, S.O. Hyperspectral and multispectral imaging in digital and computational pathology: A systematic review [Invited]. Biomed. Opt. Express 2020, 11, 3195. [Google Scholar] [CrossRef]
- Bautista, P.A.; Yagi, Y. Multispectral enhancement method to increase the visual differences of tissue structures in stained histopathology images. Anal. Cell. Pathol. 2012, 35, 407–420. [Google Scholar] [CrossRef][Green Version]
- Bautista, P.A.; Hashimoto, N.; Yagi, Y. Color standardization in whole slide imaging using a color calibration slide. J. Pathol. Inform. 2014, 5, 4. [Google Scholar] [CrossRef]
- Bayramoglu, N.; Kaakinen, M.; Eklund, L.; Heikkila, J. Towards virtual H&E staining of hyperspectral lunghistology images using conditional generative adversarial networks. In Proceedings of the IEEE International Conference on Computer Vision Work-Shops (ICCVW), Venice, Italy, 22–29 October 2017; pp. 64–71. [Google Scholar]
- Wang, C.; Liu, B.; Zhou, C.; Li, N.; Zhang, H.; Xiang, H.; Zheng, G.; Wang, X.; Zhang, D. Multispectral Microimaging System with Narrowband LED Illumination. Chin. J. Lasers 2020, 47, 1207006. [Google Scholar] [CrossRef]
- Shi, L.; Wang, X.; Tu, Q.; Wang, H.; Zhang, H.; Wang, P.; Zhang, L.; Huang, Z.; Wang, X.; Zhao, F.; et al. Treating cutaneous squamous cell carcinoma using 5-aminolevulinic acid polylactic-co-glycolic acid nanoparticle-mediated photodynamic therapy in a mouse model. Int. J. Nanomed. 2015, 10, 347–355. [Google Scholar] [CrossRef] [PubMed]
- Liu, Z.C. Adaptive Adjustment Algorithm for Non-Uniform Illumination Images Based on 2D Gamma Function; Transactions of Beijing Institute of Technology: Beijing, China, 2016. [Google Scholar]
- Wang, P.; Wang, L.; Li, Y.; Song, Q.; Lv, S.; Hu, X. Automatic cell nuclei segmentation and classification of cervical Pap smear images. Biomed. Signal Process. Control 2019, 48, 93–103. [Google Scholar] [CrossRef]
- Morrison, L.E.; Lefever, M.R.; Behman, L.J.; Leibold, T.; Roberts, E.A.; Horchner, U.B.; Bauer, D.R. Brightfield multiplex immunohistochemistry with multispectral imaging. Lab. Investig. 2020, 100, 1124–1136. [Google Scholar] [CrossRef] [PubMed]
- Kossonou, Y.T.A.; Zoueu, J.T. Development of a multispectral microscopy platform using laser diode illumination for effective and automatic label-free Plasmodium falciparum detection. J. Spectr. Imaging 2020, 9, a17. [Google Scholar] [CrossRef]
- Wahrlich, C.; Alawi, S.A.; Batz, S.; Fluhr, J.W.; Lademann, J.; Ulrich, M. Assessment of a scoring system for Basal Cell Carcinoma with multi-beam optical coherence tomog-raphy. J. Eur. Acad. Dermatol. Venereol. 2015, 29, 1562–1569. [Google Scholar] [CrossRef] [PubMed]
- Alawi, S.A.; Batz, S.; Röwert-Huber, J.; Fluhr, J.W.; Lademann, J.; Ulrich, M. Correlation of optical coherence tomography and histology in microcystic adnexal carcinoma: A case report. Ski. Res. Technol. 2014, 21, 15–17. [Google Scholar] [CrossRef] [PubMed]
- Alawi, S.A.; Kuck, M.; Wahrlich, C.; Batz, S.; McKenzie, G.; Fluhr, J.W.; Lademann, J.; Ulrich, M. Optical coherence tomography for presurgical margin assessment of non-melanoma skin cancer—A practical approach. Exp. Dermatol. 2013, 22, 547–551. [Google Scholar] [CrossRef] [PubMed]







| Number of Wavelengths | Wavelength (nm) | Spectral Resolution (nm) | Spatial Resolution (μm) | Field of View (μm) | Magnification |
|---|---|---|---|---|---|
| 13 | 420–670 | 20 | ≤0.4 | 520 × 416 | 140 |
Publisher’s Note: MDPI stays neutral with regard to jurisdictional claims in published maps and institutional affiliations. |
© 2022 by the authors. Licensee MDPI, Basel, Switzerland. This article is an open access article distributed under the terms and conditions of the Creative Commons Attribution (CC BY) license (https://creativecommons.org/licenses/by/4.0/).
Share and Cite
Wang, C.; Chen, Q.; Gao, T.; Guo, S.; Xiang, H.; Zheng, G.; Zhang, D.; Wang, X. Segmentation and Recognition of the Pathological Features of Squamous Cell Carcinoma of the Skin Based on Multispectral Imaging. J. Clin. Med. 2022, 11, 3815. https://doi.org/10.3390/jcm11133815
Wang C, Chen Q, Gao T, Guo S, Xiang H, Zheng G, Zhang D, Wang X. Segmentation and Recognition of the Pathological Features of Squamous Cell Carcinoma of the Skin Based on Multispectral Imaging. Journal of Clinical Medicine. 2022; 11(13):3815. https://doi.org/10.3390/jcm11133815
Chicago/Turabian StyleWang, Cheng, Qi Chen, Tijie Gao, Shijun Guo, Huazhong Xiang, Gang Zheng, Dawei Zhang, and Xiuli Wang. 2022. "Segmentation and Recognition of the Pathological Features of Squamous Cell Carcinoma of the Skin Based on Multispectral Imaging" Journal of Clinical Medicine 11, no. 13: 3815. https://doi.org/10.3390/jcm11133815
APA StyleWang, C., Chen, Q., Gao, T., Guo, S., Xiang, H., Zheng, G., Zhang, D., & Wang, X. (2022). Segmentation and Recognition of the Pathological Features of Squamous Cell Carcinoma of the Skin Based on Multispectral Imaging. Journal of Clinical Medicine, 11(13), 3815. https://doi.org/10.3390/jcm11133815

