Abstract
Background: Several factors associated with B glenoid are also linked with obstetrical brachial plexus palsy (OBPP). The purpose of this observational study was to determine the incidence of OBPP risk factors in type B patients. Methods: A cohort of 154 patients (68% men, 187 shoulders) aged 63 ± 17 years with type B glenoids completed a questionnaire comprising history of perinatal characteristics related to OBPP. A literature review was performed following the Preferred Reporting Items for Systematic Review and Meta-Analysis (PRISMA) to estimate the incidence of OBPP risk factors in the general population. Results: Twenty-seven patients (18%) reported one or more perinatal OBPP risk factors, including shoulder dystocia (n = 4, 2.6%), macrosomia >4 kg (n = 5, 3.2%), breech delivery (n = 6, 3.9%), fetal distress (n = 8, 5.2%), maternal diabetes (n = 2, 1.3%), clavicular fracture (n = 2, 1.3%), and forceps delivery (n = 4, 2.6%). The comparison with the recent literature suggested that most perinatal OBPP risk factors were within the normal range, although the incidence of shoulder dystocia, forceps and vaginal breech deliveries exceeded the average rates. Conclusion: Perinatal factors related to OBPP did not occur in a higher frequency in patients with Walch type B OA compared to the general population, although some of them were in the high normal range.
1. Introduction
Obstetric brachial plexus palsy (OBPP) is a flaccid paresis of the upper extremity with an incidence that ranges from 0.42 to 5.1 per 1000 live births [1,2,3,4,5,6,7]. A common sequela is an internal rotation contracture of the shoulder that frequently leads to developmental disturbances including excessive retroversion of the glenoid [8]. The etiology of OBPP is presumed to be traumatic traction of the brachial plexus nerve roots during childbirth. Neurogenic injury results in muscle and joint imbalance that leads to morphologic changes that progress with time, depending on the severity of the lesion. It has been shown that muscle imbalance between the subscapularis and posterior cuff is associated with posterior subluxation and retroversion of the glenohumeral joint [9].
Glenohumeral osteoarthritis (OA) with a type B retroverted glenoid with erosion is also believe to be initiated by progressive posterior subluxation of the humeral head [10]. The exact cause of such translation has not been elucidated yet, although many anatomical parameters have been identified as potential etiologic factors, including increased premorbid retroversion [11], decreased humeral retrotorsion [12], proximal humeral morphology [13], altered acromial roof morphology, position of the scapula on the thorax, as well as other factors like repetitive dynamic posterior subluxation [14], and muscular disbalance [9]. A primum movens that could explain all previously mentioned type B associations is the presence of a subclinical neurological lesion, such as a OBPP.
The senior authors have stated on the podium, of their anecdotal experiences with type B OA patients reporting a more frequent history of perinatal problems. As such, the senior authors theorize that perinatal issues may be etiologic factors in the development of type B glenoids. At present, however, the senior authors’ beliefs are level 5 evidence and unscientifically supported. Therefore, the purpose of this retrospective observational study was to provide scientific evidence that patients with a Walch type B pattern of osteoarthritis have a higher rate of risk factors for OBPP, compared to reported data from the general population. Our hypothesis was that type B patients would have a substantially higher rate of OBPP risk factors leading to a higher rate of subclinical neurological lesions during childbirth, which would be the etiologic factor for posterior subluxation seen in type B glenoid OA.
2. Experimental Section
2.1. Study Population and Patient Recruitment
The authors (AL, BE, LF, GSA) retrospectively evaluated a consecutive series of 157 patients (190 shoulders) presenting to their respective institutions between May 2018 and August 2019 with static posterior subluxation of the humeral head, but without any clear sign of OBPP lesions. All patients presented to the orthopedic surgeon for shoulder problems and were prescribed a computed tomography (CT) scan. Inclusion criteria was patients referred to one of these reference centers in the context of Walch type B glenoid (B1 to B3) including static posterior subluxation [15] determined by unilateral or bilateral CT [10]. A bilateral CT scan was systematically performed if the patient symptomatology was suggestive of a shoulder pathology on both sides. Patients were excluded if they were younger than 16 years (n = 1) or if they had incomplete documentation (n = 2). The final cohort comprised 154 patients (187 shoulders) aged 63 ± 17 years (median, 68; range, 17–89), with a greater proportion of men (68%).
2.2. Questionnaire
Patients were asked to complete a questionnaire to determine their age, gender, and a perinatal history related to OBPP, including macrosomia >4 kg, shoulder dystocia, fetal distress/hypoxia (pH < 7.1), maternal diabetes, vaginal breech delivery, clavicular fracture and forceps delivery [16,17] To obtain relevant data, patients were asked to question their biologic parents to ensure completeness.
2.3. Literature Review
Since the present study is not comparative, the authors performed a thorough systematic review to assess the mean incidence of the aforementioned perinatal risk factors for OBPP in the general population. The authors used the Preferred Reporting Items for Systematic Reviews and Meta-Analysis (PRISMA) guidelines throughout the literature review and analyses. The literature search was carried out using the PubMed/MEDLINE and Cochrane library databases (date of access: 8 February 2021) using the MeSH terms: “registry”, “nationwide”, “fetal distress”, “birth hypoxia”, “fetal hypoxia”, “macrosomia”, “breech delivery”, “breech presentation”, “fetal presentation”, “forceps”, “delivery”, “shoulder dystocia”, “gestational diabetes”, “clavicle fracture” and “clavicular fracture” in combination with the “AND” or “OR” Boolean operators. The authors also selected relevant studies that were specifically focused on OBPP risk factors, using the MeSH terms: “risk factors”, “brachial plexus birth palsy”, “brachial plexus palsy”, “brachial plexus injur*”, “brachial plexus birth injury”. The inclusion criteria were (1) studies published between January 2016 and January 2021 on (2) peer-reviewed scientific journals. The exclusion criteria were (1) non-english language publications, (2) studies with a different definition of macrosomia (e.g., 4.5 kg threshold), (3) studies in which the incidence of the factors of interest was not available and (4) studies of limited cohort size (<1000 patients).
2.4. Ethical Approval
The study protocol was approved by the hospital ethics committee (AMG 12-26), and all patients gave informed consent.
2.5. Statistical Analyses
For baseline characteristics, variables were reported as mean ± standard deviation or proportions, and were compared to recent studies on registries or nationwide databases published in the literature. The authors used R version 3.6.2 (R Foundation for Statistical Computing, Vienna, Austria) to summarize the literature findings, describe the characteristics of the present patient series (descriptive statistics) and create the forest plot illustration.
3. Results
A substantially greater number of patients had unilateral (n = 79%) posterior humeral head subluxation with OA versus bilateral (Figure 1). Of the 154 patients, twenty-seven patients (18%) reported one or more perinatal risk factors for OBPP including fetal distress/hypoxia (n = 8, 5.2%), breech delivery (n = 6, 3.9%), macrosomia > 4 kg (n = 5, 3.2%), forceps delivery (n = 4, 2.6%), shoulder dystocia (n = 4, 2.6%), gestational diabetes (n = 2, 1.3%), and clavicular fracture (n = 2, 1.3%) (Table 1).
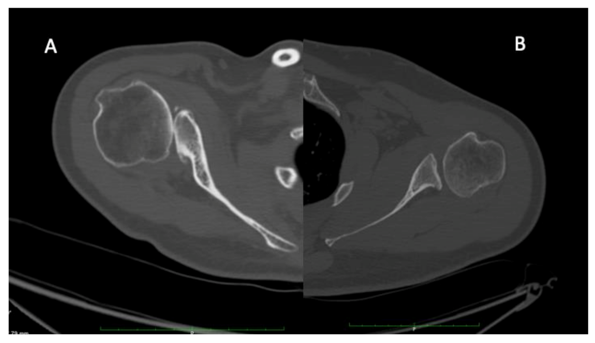
Figure 1.
Illustration of C (A) and B (B) glenoids. C glenoid observed in severe neurological lesion are characterized by a retroversion above 25 degrees, a humeral head subluxation above 80%, a rounded posterior rim, a “lazy J” sign and a hypoplastic neck. On the other hand, B glenoid are characterized by a retroversion above 15 degrees, a humeral head subluxation above 60%, a concave glenoid, osteophytes, a sharp posterior rim and a normal glenoid neck.
Table 1.
Perinatal risk factors for OBPP.
The literature search yielded 449 articles after duplicates removal (Figure 2). More than 75% of these articles were excluded following title or full-text screening (n = 259 and n = 81, respectively), leaving a total of 109 studies for further analyses (Table S1) [16,18,19,20,21,22,23,24,25,26,27,28,29,30,31,32,33,34,35,36,37,38,39,40,41,42,43,44,45,46,47,48,49,50,51,52,53,54,55,56,57,58,59,60,61,62,63,64,65,66,67,68,69,70,71,72,73,74,75,76,77,78,79,80,81,82,83,84,85,86,87,88,89,90,91,92,93,94,95,96,97,98,99,100,101,102,103,104,105,106,107,108,109,110,111,112,113,114,115,116,117,118,119,120]. The comparison with the recent literature suggests that most perinatal OBPP risk factors were comparable to the average rates in the general population (Figure 3, Table 1), except for forceps delivery (2.6% vs. 1.1% ± 0.9%), vaginal breech delivery (3.9% vs. 0.9% ± 1.4%) and shoulder dystocia (2.6% vs. 0.9% ± 0.9%). Although those three factors appear to be more present in our series, they remain however equal of lower than the highest rates reported in the literature (forceps delivery: 2.6%, vaginal breech delivery: 6.0% and shoulder dystocia: 2.8%) [35,75].
Figure 2.
PRISMA flow diagram summarizing the literature search and article screening process.
Figure 3.
A forest plot comparing the incidence of OBPP-related risk factors between the general population (literature review) and patients with Walch type B shoulder OA (the present series).
4. Discussion
Overall, the principal finding of the study was that patients with B glenoid OA tend to have a similar rate of OBPP-related risk factors compared to the general population. The incidence of shoulder dystocia, forceps delivery, and vaginal breech delivery were above the average rates reported in the literature, though not exceeding the highest values. As such, based on the level 4 evidence provided by the results in a small number of patients, the senior authors’ assumptions based on anecdotal level 5 evidence were incorrect.
Delivery can be a traumatic experience for both the mother and the newborn, which could consequently lead to trauma damaging tissues and organs of the newly delivered child [121]. It can supervene as a result of physical pressure, traction on the upper limbs or neck [122]. It encompasses the durable side effects of pregnancy, labor and birth injuries, including the ensuing compensatory and adaptive mechanisms, as well as the development of pathological processes after damage. Clinically evident OBPP remains fortunately rare.
Forces asymmetry created in the glenohumeral joint, as seen in OBPP, affects joint development and lead to glenoid deformity [123]. There is a widespread opinion that undergrowth of the glenohumeral joint in OBPP develops gradually over time, as a consequence of an internal rotation contracture and muscular imbalance [123]. With severe lesions, there might be an increasing posterior displacement of the humeral head with development of a glenoid dysplasia (C glenoid, Figure 3A), whereas in subclinical impairment, a milder deformity (B glenoid, Figure 3B) might develop over decades.
Anatomic (glenoid retroversion, humeral retrotorsion, acromial roof morphology) and muscular (disbalance) factors have all been associated with posterior static subluxation. Interestingly, all the above-mentioned morphologic disturbances are well-known sequelae of OBPP [124]. It may indicate that such changes are related to each other and that they may emerge from one common origin: subclinical OBPP.
It is worth noting that static posterior subluxation of the humeral head was bilateral for 21% of the cases. For these cases, subclinical OBPP is unlikely and condition might be related to other injuries or intense activities such as bench pressing [125].
This study has several limitations including its retrospective and multicentric design making it difficult to gather data, absence of a control group, and the small sample size compared to recent registry or nationwide studies. Further comparative studies with larger cohorts are therefore needed to confirm our findings. Moreover, precise tracking progress during labor, circumstances of the delivery and potential perinatal problems may not be remembered by patients. Nonetheless, birth books are generally kept by patients. We also asked routinely patients to question their parents about delivery conditions. Perinatal problems make parents feeling guilty, leading to psychologically and emotionally damage. Such experience is usually shared with descendants. However, this study has several strengths including the homogeneity of the glenoid morphology analyzed, and its extensive literature review on recent registry and nationwide studies with considerable cohort sizes.
5. Conclusions
Perinatal factors related to OBPP did not occur in a higher frequency in patients with Walch type B OA compared to the general population, although some of them were in the high normal range. These findings may indicate that other studies are needed to further investigate the possible association between subclinical neurological lesions during childbirth and static posterior subluxation of the humeral head.
Supplementary Materials
The following are available online at https://www.mdpi.com/2077-0383/10/6/1196/s1, Table S1: Literature review of perinatal risk factors for OBPP development in the general population.
Author Contributions
Conceptualization: A.L. et P.C.; Methodology: H.B.; Software: not applicable; Validation not applicable; Formal analysis: H.B.; Investigation: A.L., B.E., L.F., N.B., G.S.A.; Resources: P.R.; Data curation: N.B., H.B.; Writing: A.L., H.B.; Original draft preparation: A.L., H.B.; Writing—review and editing: P.C., B.E., L.F., P.R., G.S.A.; Project administration: P.R.; All authors have read and agreed to the published version of the manuscript.
Funding
This research received no external funding.
Institutional Review Board Statement
The study protocol was approved by the hospital ethics committee (AMG 12-26).
Informed Consent Statement
Informed consent was obtained from all subjects involved in the study.
Data Availability Statement
Details regarding where data supporting reported results can be asked at the following e-mail address: hugo.bothorel@latour.ch.
Acknowledgments
The authors thank Begoña Martinez De Tejada Weber, Geneva University Hospitals, Geneva, Switzerland, for her precious support in the manuscript preparation and data analysis.
Conflicts of Interest
Author disclosures include the following: Alexandre Lädermann: reports that he is a paid consultant for Arthrex, Wright and Medacta and receives royalties from Wright; Meng Hugo Bothorel: reports no conflict of interest. Philippe Collin: reports that he is a paid consultant for Wright and Arthrex and receives royalties from Wright. Bassem Elhassan: reports he is a paid consultant for Arthrex, DJO and Integra and receives royalties from DJO. Luc Favard: reports that he is a paid consultant for Wright and receives royalties from Wright. Nazira Bernal: reports no conflict of interest. Patric Raiss: reports that he is a paid consultant for Wright. George S. Athwal: reports that he is a consultant for Wright Medical, Exactech and Conmed.
References
- Andersen, J.; Watt, J.; Olson, J.; Van Aerde, J. Perinatal brachial plexus palsy. Paediatr. Child Health 2006, 11, 93–100. [Google Scholar] [CrossRef]
- Dawodu, A.; Sankaran-Kutty, M.; Rajan, T.V. Risk factors and prognosis for brachial plexus injury and clavicular fracture in neonates: A prospective analysis from the United Arab Emirates. Ann. Trop. Paediatr. 1997, 17, 195–200. [Google Scholar] [CrossRef] [PubMed]
- Evans-Jones, G.; Kay, S.P.J.; Weindling, A.M.; Cranny, G.; Ward, A.; Bradshaw, A.; Hernon, C. Congenital brachial palsy: Incidence, causes, and outcome in the United Kingdom and Republic of Ireland. Arch. Dis. Child. Fetal Neonatal Ed. 2003, 88, 185–189. [Google Scholar] [CrossRef] [PubMed]
- Foad, S.L.; Mehlman, C.T.; Ying, J. The epidemiology of neonatal brachial plexus palsy in the United States. J. Bone Jt. Surg. Am. 2008, 90, 1258–1264. [Google Scholar] [CrossRef] [PubMed]
- Kay, S.P. Obstetrical brachial palsy. Br. J. Plast. Surg. 1998, 51, 43–50. [Google Scholar] [CrossRef]
- Lagerkvist, A.-L.; Johansson, U.; Johansson, A.; Bager, B.; Uvebrant, P. Obstetric brachial plexus palsy: A prospective, population-based study of incidence, recovery, and residual impairment at 18 months of age. Dev. Med. Child Neurol. 2009, 52, 529–534. [Google Scholar] [CrossRef] [PubMed]
- Van Dijk, J.G.; Pondaag, W.; Malessy, M.J.A. Obstetric lesions of the brachial plexus. Muscle Nerve 2001, 24, 1451–1461. [Google Scholar] [CrossRef] [PubMed]
- Frich, L.H.; Schmidt, P.H.; Torfing, T. Glenoid morphology in obstetrical brachial plexus lesion: A three-dimensional computed tomography study. J. Shoulder Elb. Surg. 2017, 26, 1374–1382. [Google Scholar] [CrossRef]
- Aleem, A.W.; Chalmers, P.N.; Bechtold, D.; Khan, A.Z.; Tashjian, R.Z.; Keener, J.D. Association between rotator cuff muscle size and glenoid deformity in primary glenohumeral osteoarthritis. J. Bone Jt. Surg. Am. 2019, 101, 1912–1920. [Google Scholar] [CrossRef]
- Bercik, M.J.; Kruse, K.; Yalizis, M.; Gauci, M.-O.; Chaoui, J.; Walch, G. A modification to the Walch classification of the glenoid in primary glenohumeral osteoarthritis using three-dimensional imaging. J. Shoulder Elb. Surg. 2016, 25, 1601–1606. [Google Scholar] [CrossRef]
- Knowles, N.K.; Ferreira, L.M.; Athwal, G.S. Premorbid retroversion is significantly greater in type B2 glenoids. J. Shoulder Elb. Surg. 2016, 25, 1064–1068. [Google Scholar] [CrossRef]
- Raniga, S.; Knowles, N.K.; West, E.; Ferreira, L.M.; Athwal, G.S. The Walch type B humerus: Glenoid retroversion is associated with torsional differences in the humerus. J. Shoulder Elb. Surg. 2019, 28, 1801–1808. [Google Scholar] [CrossRef]
- Knowles, N.K.; Carroll, M.J.; Keener, J.D.; Ferreira, L.M.; Athwal, G.S. A comparison of normal and osteoarthritic humeral head size and morphology. J. Shoulder Elb. Surg. 2016, 25, 502–509. [Google Scholar] [CrossRef]
- Lädermann, A.; Chague, S.; Kolo, F.; Charbonnier, C. Kinematics of the shoulder joint in tennis players. J. Sci. Med. Sport 2016, 19, 56–63. [Google Scholar] [CrossRef] [PubMed]
- Walch, G.; Ascani, C.; Boulahia, A.; Nové-Josserand, L.; Edwards, T. Static posterior subluxation of the humeral head: An unrecognized entity responsible for glenohumeral osteoarthritis in the young adult. J. Shoulder Elb. Surg. 2002, 11, 309–314. [Google Scholar] [CrossRef]
- Lalka, A.; Gralla, J.; Sibbel, S.E. Brachial plexus birth injury: Epidemiology and birth weight impact on risk factors. J. Pediatr. Orthop. 2019. [Google Scholar] [CrossRef] [PubMed]
- MacKenzie, I.Z.; Shah, M.; Lean, K.; Dutton, S.; Newdick, H.; Tucker, D.E. Management of shoulder dystocia: Trends in incidence and maternal and neonatal morbidity. Obstet. Gynecol. 2007, 110, 1059–1068. [Google Scholar] [CrossRef]
- Abdulrahman, M.; Abdullah, S.S.; Alaani, A.F.K.; AlAbdool, N.H.; Sherif, F.E.Y.; Ahmed, Z.S.; Al-Rawi, H.I.; Hubaishi, N.M.; Tahlak, M.A.; Carrick, F.R. Exploring obstetrical interventions and stratified cesarean section rates using the robson classification in tertiary care hospitals in the United Arab Emirates. Rev. Bras. Ginecol. Obs. 2019, 41, 147–154. [Google Scholar] [CrossRef] [PubMed]
- Åberg, K.; Norman, M.; Pettersson, K.; Ekéus, C. Vacuum extraction in fetal macrosomia and risk of neonatal complications: A population-based cohort study. Acta Obstet. Gynecol. Scand. 2016, 95, 1089–1096. [Google Scholar] [CrossRef]
- Andersson, C.B.; Flems, C.; Kesmodel, U.S. The Danish national quality database for births. Clin. Epidemiol. 2016, 8, 595–599. [Google Scholar] [CrossRef] [PubMed]
- Artzi, N.S.; Shilo, S.; Hadar, E.; Rossman, H.; Barbash-Hazan, S.; Ben-Haroush, A.; Balicer, R.D.; Feldman, B.; Wiznitzer, A.; Segal, E. Prediction of gestational diabetes based on nationwide electronic health records. Nat. Med. 2020, 26, 71–76. [Google Scholar] [CrossRef]
- Asena, M.; Akelma, H.; Ziyadanoğulları, M. The relationship between the location of neonatal clavicular fractures and predisposing factors. J. Neonatal-Perinatal Med. 2020, 13, 507–511. [Google Scholar] [CrossRef]
- Baghlaf, H.; Spence, A.R.; Czuzoj-Shulman, N.; Abenhaim, H.A. Pregnancy outcomes among women with asthma. J. Matern. Fetal Neonatal Med. 2017, 32, 1325–1331. [Google Scholar] [CrossRef] [PubMed]
- Balslev, A.J.; Iskov, K.T.; Magyari, M. Pregnancy related and perinatal outcomes among Danish women with multiple sclerosis. A nationwide population-based registry study. Mult. Scler. J. 2019, 25, 619–620. [Google Scholar] [CrossRef]
- Barrett, P.M.; McCarthy, F.P.; Evans, M.; Kublickas, M.; Perry, I.J.; Stenvinkel, P.; Khashan, A.S.; Kublickiene, K. Hypertensive disorders of pregnancy and the risk of chronic kidney disease: A Swedish registry-based cohort study. PLoS Med. 2020, 17, e1003255. [Google Scholar] [CrossRef]
- Benjamin, R.H.; Lopez, A.; Mitchell, L.E.; Tsao, K.; Johnson, A.; Langlois, P.H.; Swartz, M.D.; Agopian, A.J. Mortality by mode of delivery among infants with spina bifida in Texas. Birth Defects Res. 2019, 111, 1543–1550. [Google Scholar] [CrossRef]
- Bergenhenegouwen, L.; Ensing, S.; Ravelli, A.C.J.; Schaaf, J.; Kok, M.; Mol, B.-W. Subsequent pregnancy outcome after preterm breech delivery, a population based cohort study. J. Matern. Fetal Neonatal Med. 2016, 29, 1–5. [Google Scholar] [CrossRef]
- Beyer, S.E.; Dicks, A.B.; Shainker, S.A.; Feinberg, L.; Schermerhorn, M.L.; Secemsky, E.A.; Carroll, B.J. Pregnancy-associated arterial dissections: A nationwide cohort study. Eur. Heart J. 2020, 41, 4234–4242. [Google Scholar] [CrossRef]
- Bin, Y.S.; Ford, J.B.; Nicholl, M.C.; Roberts, C.L. Long-term childhood outcomes of breech presentation by intended mode of delivery: A population record linkage study. Acta Obstet. Gynecol. Scand. 2017, 96, 342–351. [Google Scholar] [CrossRef] [PubMed]
- Biru, S.; Addisu, D.; Kassa, S.; Animen, S. Maternal complication related to instrumental delivery at Felege Hiwot Specialized Hospital, Northwest Ethiopia: A retrospective cross-sectional study. BMC Res. Notes 2019, 12, 482. [Google Scholar] [CrossRef] [PubMed]
- Bjellmo, S.; Andersen, G.L.; Martinussen, M.P.; Romundstad, P.R.; Hjelle, S.; Moster, D.; Vik, T. Is vaginal breech delivery associated with higher risk for perinatal death and cerebral palsy compared with vaginal cephalic birth? Registry-based cohort study in Norway. BMJ Open 2017, 7, e014979. [Google Scholar] [CrossRef] [PubMed]
- Boyle, D.I.R.; Versace, V.L.; Dunbar, J.A.; Scheil, W.; Janus, E.; Oats, J.J.N.; Skinner, T.; Shih, S.; O’Reilly, S.; Sikaris, K.; et al. Results of the first recorded evaluation of a national gestational diabetes mellitus register: Challenges in screening, registration, and follow-up for diabetes risk. PLoS ONE 2018, 13, e0200832. [Google Scholar] [CrossRef]
- Cesta, C.E.; Cohen, J.M.; Pazzagli, L.; Bateman, B.T.; Bröms, G.; Einarsdóttir, K.; Furu, K.; Havard, A.; Heino, A.; Hernandez-Diaz, S.; et al. Antidiabetic medication use during pregnancy: An international utilization study. BMJ Open Diabetes Res. Care 2019, 7, e000759. [Google Scholar] [CrossRef]
- Chen, S.; Wang, S.; Li, T.; Zhu, H.; Liang, S.; Xu, K.; Zhang, Y.; Yuan, X.; Yang, Y.; Pan, H.; et al. Effect of PM2.5 on macrosomia in China: A nationwide prospective cohort study. Pediatr. Obes. 2020, 15. [Google Scholar] [CrossRef]
- Coroneos, C.J.; Voineskos, S.H.; Coroneos, M.K.; Alolabi, N.; Goekjian, S.R.; Willoughby, L.I.; Farrokhyar, F.; Thoma, A.; Bain, J.R.; Brouwers, M.C. Obstetrical brachial plexus injury: Burden in a publicly funded, universal healthcare system. J. Neurosurg. Pediatr. 2016, 17, 222–229. [Google Scholar] [CrossRef] [PubMed]
- Dahlberg, J.; Nelson, M.; Dahlgren, M.A.; Blomberg, M. Ten years of simulation-based shoulder dystocia training- impact on obstetric outcome, clinical management, staff confidence, and the pedagogical practice—a time series study. BMC Pregnancy Childbirth 2018, 18, 361. [Google Scholar] [CrossRef] [PubMed]
- Davis, E.M.; Scifres, C.M.; Abebe, K.; Costacou, T.; Comer, D.; Catalano, P.; Simhan, H.; Freiberg, M.; Day, N. Comparison of birth outcomes by gestational diabetes screening criteria. Am. J. Perinatol. Rep. 2018, 8, e280–e288. [Google Scholar] [CrossRef] [PubMed]
- DeFrancesco, C.J.; Shah, D.K.; Rogers, B.H.; Shah, A.S. The epidemiology of brachial plexus birth palsy in the United States: Declining incidence and evolving risk factors. J. Pediatr. Orthop. 2019, 39, e134–e140. [Google Scholar] [CrossRef]
- Domingues, R.M.S.M.; Dias, M.A.B.; Schilithz, A.O.C.; Leal, M.D.C. Factors associated with maternal near miss in childbirth and the postpartum period: Findings from the birth in Brazil National Survey, 2011–2012. Reprod. Health 2016, 13, 115. [Google Scholar] [CrossRef]
- Duffy, C.R.; Moore, J.L.; Saleem, S.; Tshefu, A.; Bose, C.L.; Chomba, E.; Carlo, W.A.; Garces, A.L.; Krebs, N.F.; Hambidge, K.M.; et al. Malpresentation in low- and middle-income countries: Associations with perinatal and maternal outcomes in the Global Network. Acta Obstet. Gynecol. Scand. 2018, 98, 300–308. [Google Scholar] [CrossRef]
- Enomoto, K.; Aoki, S.; Toma, R.; Fujiwara, K.; Sakamaki, K.; Hirahara, F. Pregnancy outcomes based on Pre-Pregnancy Body Mass Index in Japanese women. PLoS ONE 2016, 11, e0157081. [Google Scholar] [CrossRef]
- Farland, L.V.; Stern, J.E.; Hwang, S.S.; Liu, C.-L.; Cabral, H.; Knowlton, R.; Gershman, S.T.; Coddington, C.C., 3rd; Missmer, S.A. Early-life cancer, infertility, and risk of adverse pregnancy outcomes: A registry linkage study in Massachusetts. Cancer Causes Control 2021, 32, 169–180. [Google Scholar] [CrossRef]
- Fiaschi, L.; Nelson-Piercy, C.; Tata, L. Hospital admission for hyperemesis gravidarum: A nationwide study of occurrence, reoccurrence and risk factors among 8.2 million pregnancies. Hum. Reprod. 2016, 31, 1675–1684. [Google Scholar] [CrossRef]
- Freeman, M.D.; Goodyear, S.M.; Leith, W.M. A multistate population-based analysis of linked maternal and neonatal discharge records to identify risk factors for neonatal brachial plexus injury. Int. J. Gynecol. Obstet. 2017, 136, 331–336. [Google Scholar] [CrossRef] [PubMed]
- Fröhlich, M.; Koga, C.; Bührer, C.; Mori, C.; Yamamoto, M.; Sakurai, K.; Hinkson, L.; Japan Environment, Children’s Study Group. Differences in rate and medical indication of Caesarean section between Germany and Japan. Pediatr. Int. 2020, 62, 1086–1093. [Google Scholar] [CrossRef]
- Gandhi, R.A.; DeFrancesco, C.J.; Shah, A.S. The association of clavicle fracture with brachial plexus birth palsy. J. Hand Surg. Am. 2019, 44, 467–472. [Google Scholar] [CrossRef]
- Ganeshan, M.; Bujang, M.A.; Soelar, S.A.; Karalasingam, S.D.; Suharjono, H.; Jeganathan, R. Importance of Adopting BMI Classifications Using Public Health Action Points to Delineate Obstetric Risk Factors Resulting in Worsening Obstetric Outcomes Among Asian Population. J. Obstet. Gynecol. India 2018, 68, 173–178. [Google Scholar] [CrossRef]
- Hehir, M.P.; Ananth, C.V.; Siddiq, Z.; Flood, K.; Friedman, A.M.; D’Alton, M.E. Cesarean delivery in the United States 2005 through 2014: A population-based analysis using the Robson 10-Group Classification System. Am. J. Obstet. Gynecol. 2018, 219, 105.e1–105.e11. [Google Scholar] [CrossRef] [PubMed]
- Heinonen, K.; Saisto, T.; Gissler, M.; Kaijomaa, M.; Sarvilinna, N. Rising trends in the incidence of shoulder dystocia and de-velopment of a novel shoulder dystocia risk score tool: A nationwide population-based study of 800,484 Finnish deliveries. Acta Obstet. Gynecol. Scand. 2020. [Google Scholar] [CrossRef]
- Herrick, C.J.; Keller, M.R.; Trolard, A.M.; Cooper, B.P.; Olsen, M.A.; Colditz, G.A. Postpartum diabetes screening among low income women with gestational diabetes in Missouri 2010–2015. BMC Public Health 2019, 19, 148. [Google Scholar] [CrossRef] [PubMed]
- Heun-Johnson, H.; Seabury, S.A.; Menchine, M.; Claudius, I.; Axeen, S.; Lakshmanan, A. Association between maternal serious mental illness and adverse birth outcomes. J. Perinatol. 2019, 39, 737–745. [Google Scholar] [CrossRef] [PubMed]
- Hildén, K.; Hanson, U.; Persson, M.; Magnuson, A.; Simmons, D.; Fadl, H. Gestational diabetes and adiposity are independent risk factors for perinatal outcomes: A population based cohort study in Sweden. Diabet. Med. 2019, 36, 151–157. [Google Scholar] [CrossRef]
- Hildén, K.; Magnuson, A.; Hanson, U.; Simmons, D.; Fadl, H. Trends in pregnancy outcomes for women with gestational diabetes mellitus in Sweden 1998–2012: A nationwide cohort study. Diabet. Med. 2020, 37, 2050–2057. [Google Scholar] [CrossRef] [PubMed]
- Hinnenberg, P.; Toijonen, A.; Gissler, M.; Heinonen, S.; Macharey, G. Outcome of small for gestational age-fetuses in breech presentation at term according to mode of delivery: A nationwide, population-based record linkage study. Arch. Gynecol. Obstet. 2019, 299, 969–974. [Google Scholar] [CrossRef]
- Holst, S.; Kjær, S.K.; Jørgensen, M.E.; Damm, P.; Jensen, A.; Søegaard, S.H. Fertility problems and risk of gestational diabetes mellitus: A nationwide cohort study. Fertil. Steril. 2016, 106, 427–434. [Google Scholar] [CrossRef][Green Version]
- Huang, Y.; Ng, C.Y.; Chiou, M.; Kuo, C. Fetal–neonatal and maternal outcomes in women with psoriasis vulgaris: A nationwide population-based registry linkage study in Taiwan. J. Dermatol. 2021, 48, 184–189. [Google Scholar] [CrossRef] [PubMed]
- Huebner, M.; Abele, H.; Reisenauer, C.; Kagan, K.O.; Hoopmann, M.; Wagner, P.; Pauluschke-Froehlich, J.; Schoenfisch, B.; Brucker, S.Y.; Rall, K. Demographic changes and effects on the mode of delivery: A retrospective analysis of a large birth registry containing 27,729 singleton deliveries in a level I center. Arch. Gynecol. Obstet. 2019, 299, 747–754. [Google Scholar] [CrossRef]
- Ijäs, H.; Koivunen, S.; Raudaskoski, T.; Kajantie, E.; Gissler, M.; Vääräsmäki, M. Independent and concomitant associations of gestational diabetes and maternal obesity to perinatal outcome: A register-based study. PLoS ONE 2019, 14, e0221549. [Google Scholar] [CrossRef] [PubMed]
- Jeppesen, C.; Maindal, H.T.; Kristensen, J.K.; Ovesen, P.G.; Witte, D.R. National study of the prevalence of gestational diabetes mellitus among Danish women from 2004 to 2012. Scand. J. Public Health 2017, 45, 811–817. [Google Scholar] [CrossRef] [PubMed]
- Karahanoglu, E.; Kasapoglu, T.; Ozdemirci, S.; Fadıloglu, E.; Akyol, A.; Demirdag, E.; Yalvac, E.S.; Kandemir, N.O. Risk factors for clavicle fracture concurrent with brachial plexus injury. Arch. Gynecol. Obstet. 2016, 293, 783–787. [Google Scholar] [CrossRef]
- Kekki, M.; Salonen, A.; Tihtonen, K.; Mattila, V.M.; Gissler, M.; Huttunen, T.T. The incidence of birth injuries decreased in Finland between 1997 and 2017: A nationwide register study. Acta Paediatr. 2020, 109, 2562–2569. [Google Scholar] [CrossRef]
- Kim, J.A.; Kim, J.; Roh, E.; Hong, S.-H.; Lee, Y.-B.; Baik, S.H.; Choi, K.M.; Noh, E.; Hwang, S.Y.; Cho, G.J.; et al. Association of fasting plasma glucose variability with gestational diabetes mellitus: A nationwide population-based cohort study. BMJ Open Diabetes Res. Care 2020, 8, e001084. [Google Scholar] [CrossRef] [PubMed]
- Kim, J.A.; Kim, J.; Roh, E.; Hong, S.-H.; Lee, Y.-B.; Baik, S.H.; Choi, K.M.; Noh, E.; Hwang, S.Y.; Cho, G.J.; et al. Triglyceride and glucose index and the risk of gestational diabetes mellitus: A nationwide population-based cohort study. Diabetes Res. Clin. Pract. 2021, 171, 108533. [Google Scholar] [CrossRef] [PubMed]
- Kodan, L.R.; Verschueren, K.J.C.; Prüst, Z.D.; Zuithoff, N.P.A.; Rijken, M.J.; Browne, J.L.; Klipstein-Grobusch, K.; Bloemenkamp, K.W.M.; Grunberg, A.W. Postpartum hemorrhage in Suriname: A national descriptive study of hospital births and an audit of case management. PLoS ONE 2020, 15, e0244087. [Google Scholar] [CrossRef]
- Kong, L.; Nilsson, I.A.K.; Gissler, M.; Lavebratt, C. Associations of maternal diabetes and body mass index with offspring birth weight and prematurity. JAMA Pediatr. 2019, 173, 371–378. [Google Scholar] [CrossRef]
- Korbeľ, M.; Krištúfková, A.; Daniš, J.; Némethová, B.; Kaščák, P.; Nižňanská, Z. Maternal morbidity and mortality in Slovak Republic in the years 2007–2015. Ceska Gynekol. 2019, 84, 129–139. [Google Scholar] [PubMed]
- Krizman, E.; Grzebielski, P.; Antony, K.M.; Sampene, E.; Shanahan, M.; Iruretagoyena, J.I.; Bohrer, J. Operative vaginal delivery is a safe option in women undergoing a trial of labor after cesarean. Am. J. Perinatol. Rep. 2019, 9, e190–e194. [Google Scholar] [CrossRef] [PubMed]
- Kullinger, M.; Granfors, M.; Kieler, H.; Skalkidou, A. Discrepancy between pregnancy dating methods affects obstetric and neonatal outcomes: A population-based register cohort study. Sci. Rep. 2018, 8, 6936. [Google Scholar] [CrossRef]
- Laine, K.; Räisänen, S. Effect of maternal country of birth on intrapartum epidural use—A population-based register study of 602 095 deliveries. Eur. J. Obstet. Gynecol. Reprod. Biol. 2020, 250, 41–47. [Google Scholar] [CrossRef] [PubMed]
- Lamminpää, R.; Vehviläinen-Julkunen, K.; Gissler, M.; Selander, T.; Heinonen, S. Pregnancy outcomes of overweight and obese women aged 35 years or older—A registry-based study in Finland. Obes. Res. Clin. Pract. 2016, 10, 133–142. [Google Scholar] [CrossRef]
- Larsen, S.; Dobbin, J.; McCallion, O.; Eskild, A. Intrauterine fetal death and risk of shoulder dystocia at delivery. Acta Obstet. Gynecol. Scand. 2016, 95, 1345–1351. [Google Scholar] [CrossRef] [PubMed]
- Leeves, L.T.; Andreasen, C.; Marrable, S.; Glasø, M.U.; Rostad, M.-K.; Olsen, I.P.; Bjørnerem, Å. Prevalence of gestational diabetes and pregnancy outcomes in Nordland and Troms counties 2004–15. Tidsskr. Nor. Laegeforen 2019, 139. [Google Scholar] [CrossRef]
- Lehmann, S.; Baghestan, E.; Børdahl, P.E.; Muller Irgens, L.; Rasmussen, S.A. Trial of labor after cesarean section in risk pregnancies: A population-based cohort study. Acta Obstet. Gynecol. Scand. 2019, 98, 894–904. [Google Scholar] [CrossRef]
- Leirgul, E.; Brodwall, K.; Greve, G.; Vollset, S.E.; Holmstrøm, H.; Tell, G.S.; Øyen, N. Maternal diabetes, birth weight, and neonatal risk of congenital heart defects in Norway, 1994–2009. Obstet. Gynecol. 2016, 128, 1116–1125. [Google Scholar] [CrossRef]
- Lindblad, M.; Josefsson, A.; Bladh, M.; Sydsjö, G.; Johansson, T. Risk factors during pregnancy and delivery for the development of Perthes’ disease, a nationwide Swedish study of 2.1 million individuals. BMC Pregnancy Childbirth 2020, 20, 192–197. [Google Scholar] [CrossRef] [PubMed]
- Litzky, J.F.; Boulet, S.L.; Esfandiari, N.; Zhang, Y.; Kissin, D.M.; Theiler, R.N.; Marsit, C.J. Effect of frozen/thawed embryo transfer on birthweight, macrosomia, and low birthweight rates in US singleton infants. Am. J. Obstet. Gynecol. 2018, 218, 433.e1–433.e10. [Google Scholar] [CrossRef] [PubMed]
- Liu, H.; Chen, S.; Zhu, H.; Yang, H.; Gong, F.; Wang, L.; Jiang, Y.; Lian, B.Q.; Yan, C.; Li, J.; et al. Correlation between preconception maternal non-occupational exposure to interior decoration or oil paint odour and average birth weight of neonates: Findings from a nationwide cohort study in China’s rural areas. BMJ Open 2017, 7, e013700. [Google Scholar] [CrossRef]
- Liu, X.; Agerbo, E.; Li, J.; Dharmage, S.C.; Thomsen, R.W.; Olsen, J.; Munk-Olsen, T. Maternal pregestational or gestational diabetes and childhood wheezing: A population-based cohort study. Allergy 2018, 73, 2247–2250. [Google Scholar] [CrossRef]
- Macharey, G.; Gissler, M.; Ulander, V.-M.; Rahkonen, L.; Väisänen-Tommiska, M.; Nuutila, M.; Heinonen, S. Risk factors associated with adverse perinatal outcome in planned vaginal breech labors at term: A retrospective population-based case-control study. BMC Pregnancy Childbirth 2017, 17, 93. [Google Scholar] [CrossRef]
- Macharey, G.; Väisänen-Tommiska, M.; Gissler, M.; Ulander, V.-M.; Rahkonen, L.; Nuutila, M.; Heinonen, S. Neurodevelopmental outcome at the age of 4 years according to the planned mode of delivery in term breech presentation: A nationwide, population-based record linkage study. J. Périnat. Med. 2018, 46, 333–339. [Google Scholar] [CrossRef]
- Magtanong, G.G.; Spence, A.R.; Czuzoj-Shulman, N.; Abenhaim, H.A. Maternal and neonatal outcomes among pregnant women with fibromyalgia: A population-based study of 12 million births. J. Matern. Fetal Neonatal Med. 2017, 32, 404–410. [Google Scholar] [CrossRef] [PubMed]
- Mallouli, M.; Derbel, M.; Ingrid, A.; Sahli, J.; Zedini, C.; Ajmi, T.; Mtiraoui, A. Associated outcomes to fetal macrosomia: Effect of maternal diabetes. Tunis. Med 2017, 95, 120–125. [Google Scholar]
- Marschalek, M.-L.; Worda, C.; Kuessel, L.; Koelbl, H.; Oberaigner, W.; Leitner, H.; Marschalek, J.; Husslein, H. Risk and protective factors for obstetric anal sphincter injuries: A retrospective nationwide study. Birth 2018, 45, 409–415. [Google Scholar] [CrossRef] [PubMed]
- Moll, U.; Olsson, H.; Landin-Olsson, M. Women with a predisposition for diabetes have an increased risk of pregnancy complications, especially in combination with pregestational overweight. BMC Pregnancy Childbirth 2020, 20, 74. [Google Scholar] [CrossRef]
- Nembhard, W.N.; Ayers, B.L.; Collins, R.T.; Shan, X.; Rabie, N.Z.; Chang, D.; Robbins, J.M.; McElfish, P.A. Adverse pregnancy and neonatal outcomes among marshallese women living in the United States. Matern. Child. Health J. 2019, 23, 1525–1535. [Google Scholar] [CrossRef]
- Olsen, S.F.; Houshmand-Oeregaard, A.; Granström, C.; Langhoff-Roos, J.; Damm, P.; Bech, B.H.; Vaag, A.A.; Zhang, C. Diagnosing gestational diabetes mellitus in the Danish National Birth Cohort. Acta Obstet. Gynecol. Scand. 2017, 96, 563–569. [Google Scholar] [CrossRef] [PubMed]
- Ouzounian, J.G.; Korst, L.M.; Sanchez, M.; Chauhan, S.; Gherman, R.B.; Opper, N.; Wilson, M.L. Clinical risk factors do not predict shoulder dystocia. J. Reprod. Med. 2016, 61, 575–580. [Google Scholar] [CrossRef]
- Papatheodorou, S.; Gold, D.R.; Blomberg, A.J.; Hacker, M.; Wylie, B.J.; Requia, W.J.; Oken, E.; Fleisch, A.F.; Schwartz, J.D.; Koutrakis, P. Ambient particle radioactivity and gestational diabetes: A cohort study of more than 1 million pregnant women in Massachusetts, USA. Sci. Total. Environ. 2020, 733, 139340. [Google Scholar] [CrossRef] [PubMed]
- Pillai, S.; Cheyney, M.; Everson, C.L.; Bovbjerg, M.L. Fetal macrosomia in home and birth center births in the United States: Maternal, fetal, and newborn outcomes. Birth 2020, 47, 409–417. [Google Scholar] [CrossRef]
- Pyykönen, A.; Gissler, M.; Løkkegaard, E.; Bergholt, T.; Rasmussen, S.C.; Smárason, A.; Bjarnadóttir, R.I.; Másdóttir, B.B.; Källén, K.; Klungsoyr, K.; et al. Cesarean section trends in the Nordic Countries—a comparative analysis with the Robson classification. Acta Obstet. Gynecol. Scand. 2017, 96, 607–616. [Google Scholar] [CrossRef]
- Rehm, A.; Promod, P.; Ogilvy-Stuart, A. Neonatal birth fractures: A retrospective tertiary maternity hospital review. J. Obstet. Gynaecol. 2019, 40, 485–490. [Google Scholar] [CrossRef]
- Robledo, C.A.; Yeung, E.H.; Mendola, P.; Sundaram, R.; Boghossian, N.S.; Bell, E.M.; Druschel, C. Examining the prevalence rates of preexisting maternal medical conditions and pregnancy complications by source: Evidence to inform maternal and child research. Matern. Child. Health J. 2016, 21, 852–862. [Google Scholar] [CrossRef] [PubMed]
- Santos, P.; Hefele, J.G.; Ritter, G.; Darden, J.; Firneno, C.; Hendrich, A. Population-based risk factors for shoulder dystocia. J. Obstet. Gynecol. Neonatal Nurs. 2018, 47, 32–42. [Google Scholar] [CrossRef] [PubMed]
- Sasaki, H.; Arata, N.; Tomotaki, A.; Yamamoto-Hanada, K.; Mezawa, H.; Konishi, M.; Ishitsuka, K.; Saito-Abe, M.; Sato, M.; Nishizato, M.; et al. Time course of metabolic status in pregnant women: The Japan Environment and Children’s Study. J. Diabetes Investig. 2020, 11, 1318–1325. [Google Scholar] [CrossRef] [PubMed]
- Schraw, J.M.; Langlois, P.H.; Lupo, P.J. Comprehensive assessment of the associations between maternal diabetes and structural birth defects in offspring: A phenome-wide association study. Ann. Epidemiol. 2021, 53, 14–20. [Google Scholar] [CrossRef]
- Schuit, E.; Hukkelhoven, C.W.; Van Der Goes, B.; Overbeeke, I.; Moons, K.G.; Mol, B.W.; Groenwold, R.H.; Kwee, A. Risk indicators for referral during labor from community midwife to gynecologist: A prospective cohort study. J. Matern. Fetal Neonatal Med. 2015, 29, 1–34. [Google Scholar] [CrossRef]
- Shang, L.; Huang, L.; Yang, L.; Leng, L.; Qi, C.; Xie, G.; Wang, R.; Guo, L.; Yang, W.; Chung, M.C. Impact of air pollution exposure during various periods of pregnancy on term birth weight: A large-sample, retrospective population-based cohort study. Environ. Sci. Pollut. Res. 2021, 28, 3296–3306. [Google Scholar] [CrossRef]
- Soliman, A.; Salama, H.; Al Rifai, H.; De Sanctis, V.; Al-Obaidly, S.; Al Qubasi, M.; Olukade, T. The effect of different forms of dysglycemia during pregnancy on maternal and fetal outcomes in treated women and comparison with large cohort studies. Acta Biomed. 2018, 89, 11–21. [Google Scholar]
- Song, I.G.; Kim, M.S.; Shin, S.H.; Kim, E.-K.; Kim, H.-S.; Choi, S.; Kwon, S.; Park, S.M. Birth outcomes of immigrant women married to native men in the Republic of Korea: A population register-based study. BMJ Open 2017, 7, e017720. [Google Scholar] [CrossRef]
- Sorbye, L.M.; Cnattingius, S.; Skjaerven, R.; Klungsoyr, K.; Wikström, A.-K.; Kvalvik, L.G.; Morken, N.-H. Interpregnancy weight change and recurrence of gestational diabetes mellitus: A population-based cohort study. BJOG 2020, 127, 1608–1616. [Google Scholar] [CrossRef] [PubMed]
- Stephansson, O.; Johansson, K.; Söderling, J.; Näslund, I.; Neovius, M. Delivery outcomes in term births after bariatric surgery: Population-based matched cohort study. PLoS Med. 2018, 15, e1002656. [Google Scholar] [CrossRef] [PubMed]
- Strand-Holm, K.M.; Fuglsang, J.; Ovesen, P.G.; Maimburg, R.D. Diabetes Mellitus and lower genital tract tears after vaginal birth: A cohort study. Midwifery 2019, 69, 121–127. [Google Scholar] [CrossRef]
- Su, W.-J.; Chen, Y.-L.; Huang, P.-Y.; Shi, X.-L.; Yan, F.-F.; Chen, Z.; Yan, B.; Song, H.-Q.; Lin, M.-Z.; Li, X.-J. Effects of prepregnancy body mass index, weight gain, and gestational diabetes mellitus on pregnancy outcomes: A population-based study in Xiamen, China, 2011–2018. Ann. Nutr. Metab. 2019, 75, 31–38. [Google Scholar] [CrossRef]
- Sucksdorff, M.; Lehtonen, L.; Chudal, R.; Suominen, A.; Gissler, M.; Sourander, A. Lower Apgar scores and Caesarean sections are related to attention-deficit/hyperactivity disorder. Acta Paediatr. 2018, 107, 1750–1758. [Google Scholar] [CrossRef] [PubMed]
- Tamez-Pérez, H.E.; Garza-Garza, L.A.; Coria, M.H.; Tamez-Peña, A.L.; Escobedo-Lobatón, J.M. Prevalence of low birthweight and macrosomia in a private clinic in North Mexico. Endocrinol. Diabetes Nutr. 2017, 64, 456–457. [Google Scholar] [CrossRef]
- Toijonen, A.E.; Heinonen, S.T.; Gissler, M.V.M.; Macharey, G. A comparison of risk factors for breech presentation in preterm and term labor: A nationwide, population-based case–control study. Arch. Gynecol. Obstet. 2020, 301, 393–403. [Google Scholar] [CrossRef] [PubMed]
- Turkmen, S.; Johansson, S.; Dahmoun, M. Foetal macrosomia and foetal-maternal outcomes at birth. J. Pregnancy 2018, 2018, 1–9. [Google Scholar] [CrossRef]
- Waldenström, U.; Ekéus, C. Risk of obstetric anal sphincter injury increases with maternal age irrespective of parity: A population-based register study. BMC Pregnancy Childbirth 2017, 17, 306. [Google Scholar] [CrossRef]
- Wang, H.; Yue, H.; Sun, B.; Zhu, X.; Niu, H.; Qi, T.; Ding, W.; Han, L.; Zhang, M.; Tian, Z.; et al. Birth population survey in Huai’an in 2015: Perinatal-neonatal mortality and preterm birth rate in emerging regions in China. J. Matern. Fetal Neonatal Med. 2020, 33, 838–846. [Google Scholar] [CrossRef] [PubMed]
- Wang, S.; Yang, L.; Shang, L.; Yang, W.; Qi, C.; Huang, L.; Xie, G.; Wang, R.; Chung, M.C. Changing trends of birth weight with maternal age: A cross-sectional study in Xi’an city of Northwestern China. BMC Pregnancy Childbirth 2020, 20, 744. [Google Scholar] [CrossRef]
- Wehberg, S.; Guldberg, R.; Gradel, K.O.; Kesmodel, U.S.; Munk, L.; Andersson, C.B.; Jølving, L.R.; Nielsen, J.; Nørgård, B.M. Risk factors and between-hospital variation of Caesarean section in Denmark: A cohort study. BMJ Open 2018, 8, e019120. [Google Scholar] [CrossRef] [PubMed]
- Wesnes, S.L.; Hannestad, Y.; Rortveit, G. Delivery parameters, neonatal parameters and incidence of urinary incontinence six months postpartum: A cohort study. Acta Obstet. Gynecol. Scand. 2017, 96, 1214–1222. [Google Scholar] [CrossRef] [PubMed]
- Yang, G.-R.; Dye, T.D.; Li, D. Effects of pre-gestational diabetes mellitus and gestational diabetes mellitus on macrosomia and birth defects in Upstate New York. Diabetes Res. Clin. Pract. 2019, 155, 107811. [Google Scholar] [CrossRef]
- Yeung, R.O.; Savu, A.; Kinniburgh, B.; Lee, L.; Dzakpasu, S.; Nelson, C.; Johnson, J.A.; Donovan, L.E.; Ryan, E.A.; Kaul, P. Prevalence of gestational diabetes among Chinese and South Asians: A Canadian population-based analysis. J. Diabetes Complicat. 2017, 31, 529–536. [Google Scholar] [CrossRef]
- Yu, Y.; Arah, O.A.; Liew, Z.; Cnattingius, S.; Olsen, J.; Sørensen, H.T.; Qin, G.; Li, J. Maternal diabetes during pregnancy and early onset of cardiovascular disease in offspring: Population based cohort study with 40 years of follow-up. BMJ 2019, 367, l6398. [Google Scholar] [CrossRef]
- Zeng, N.; Erwin, E.; Wen, W.; Corsi, D.J.; Wen, S.W.; Guo, Y. Comparison of adverse perinatal outcomes between Asians and Caucasians: A population-based retrospective cohort study in Ontario. BMC Pregnancy Childbirth 2021, 21, 9. [Google Scholar] [CrossRef]
- Zhao, Y.; Chen, Y.-L.; Song, H.-Q.; Huang, P.-Y.; Wang, L.-Y.; Liu, W.; Huang, B.-K.; Lv, F.-P.; Huang, C.; Yan, B.; et al. Effects of maternal hepatitis B surface antigen positive status on the pregnancy outcomes: A retrospective study in Xiamen, China, 2011–2018. PLoS ONE 2020, 15, e0229732. [Google Scholar] [CrossRef]
- Zhong, Q.-Y.; Gelaye, B.; Fricchione, G.L.; Avillach, P.; Karlson, E.W.; Williams, M.A. Adverse obstetric and neonatal outcomes complicated by psychosis among pregnant women in the United States. BMC Pregnancy Childbirth 2018, 18, 120. [Google Scholar] [CrossRef]
- Kragelund Nielsen, K.; Andersen, G.S.; Damm, P.; Andersen, A.-M.N. Gestational diabetes risk in migrants. a nationwide, register-based study of all births in Denmark 2004 to 2015. J. Clin. Endocrinol. Metab. 2020, 105, e692–e703. [Google Scholar] [CrossRef]
- Von Heideken, J.; Thiblin, I.; Högberg, U. The epidemiology of infant shaft fractures of femur or humerus by incidence, birth, accidents, and other causes. BMC Musculoskelet. Disord. 2020, 21, 840. [Google Scholar] [CrossRef] [PubMed]
- Chaturvedi, A.; Chaturvedi, A.; Stanescu, A.L.; Blickman, J.G.; Meyers, S.P. Mechanical birth-related trauma to the neonate: An imaging perspective. Insights Imaging 2018, 9, 103–118. [Google Scholar] [CrossRef] [PubMed]
- Ojumah, N.; Ramdhan, R.C.; Wilson, C.; Loukas, M.; Oskouian, R.J.; Tubbs, R.S. Neurological neonatal birth injuries: A literature review. Cureus 2017, 9, 1938. [Google Scholar] [CrossRef]
- Waters, P.M.; Smith, G.R.; Jaramillo, D. Glenohumeral deformity secondary to brachial plexus birth palsy. J. Bone Jt. Surg. Am. 1998, 80, 668–677. [Google Scholar] [CrossRef]
- Sheehan, F.T.; Brochard, S.; Behnam, A.J.; Alter, K.E. Three-dimensional humeral morphologic alterations and atrophy associated with obstetrical brachial plexus palsy. J. Shoulder Elb. Surg. 2014, 23, 708–719. [Google Scholar] [CrossRef] [PubMed]
- Antosh, I.J.; Tokish, J.M.; Owens, B.D. Posterior shoulder instability. Sports Health 2016, 8, 520–526. [Google Scholar] [CrossRef] [PubMed]
Publisher’s Note: MDPI stays neutral with regard to jurisdictional claims in published maps and institutional affiliations. |
© 2021 by the authors. Licensee MDPI, Basel, Switzerland. This article is an open access article distributed under the terms and conditions of the Creative Commons Attribution (CC BY) license (http://creativecommons.org/licenses/by/4.0/).


