Linear Endobronchial Ultrasound in the Era of Personalized Lung Cancer Diagnostics—A Technical Review
Abstract
:1. Introduction
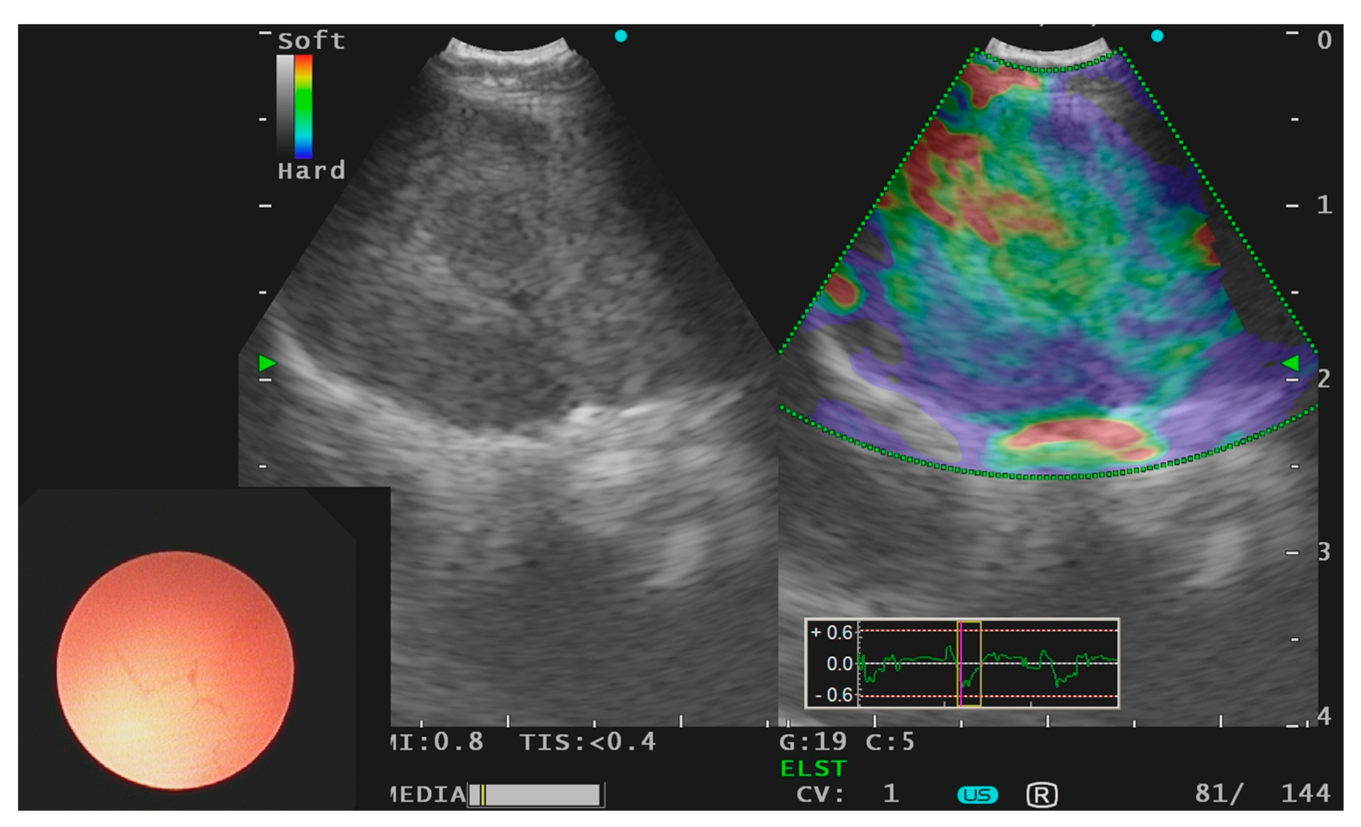
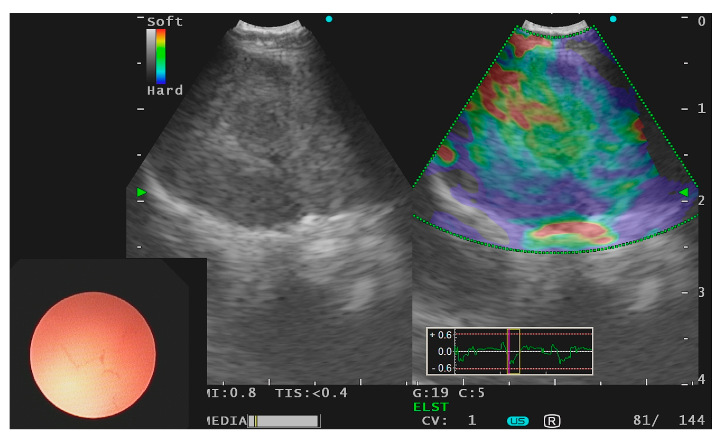
2. Sonographic Characteristics of Lymph Node Metastases
3. Biopsy Technique
3.1. Needle Choice
3.2. Suction or No Suction
4. Rapid On-Site Evaluation
5. Comprehensive Molecular Testing
6. PD-L1 Staining
7. Future Directives
8. Conclusions
Funding
Conflicts of Interest
References
- Wahidi, M.M.; Herth, F.; Yasufuku, K.; Shepherd, R.W.; Yarmus, L.; Chawla, M.; Lamb, C.; Casey, K.R.; Patel, S.; Silvestri, G.A.; et al. Technical Aspects of Endobronchial Ultrasound-Guided Transbronchial Needle Aspiration. Chest 2016, 149, 816–835. [Google Scholar] [CrossRef] [Green Version]
- van der Heijden, E.H.; Casal, R.F.; Trisolini, R.; Steinfort, D.P.; Hwangbo, B.; Nakajima, T.; Guldhammer-Skov, B.; Rossi, G.; Ferretti, M.; Herth, F.F.; et al. Guideline for the acquisition and preparation of conventional and endobronchial ultrasound-guided transbronchial needle aspiration specimens for the diagnosis and molecular testing of patients with known or suspected lung cancer. Respiration 2014, 88, 500–517. [Google Scholar] [CrossRef] [PubMed]
- Herth, F.J.F.; Eberhardt, R.; Vilmann, P.; Krasnik, M.; Ernst, A. Real-time endobronchial ultrasound guided transbronchial needle aspiration for sampling mediastinal lymph nodes. Thorax 2006, 61, 795–798. [Google Scholar] [CrossRef] [PubMed] [Green Version]
- Navani, N.; Spiro, S.G.; Janes, S.M. EBUS-TBNA for the Mediastinal Staging of Non-small Cell Lung Cancer. J. Thorac. Oncol. 2009, 4, 776–777. [Google Scholar] [CrossRef] [PubMed] [Green Version]
- Herth, F.J.F. Nonsurgical Staging of the Mediastinum: EBUS and EUS. Semin. Respir. Crit. Care Med. 2011, 32, 62–68. [Google Scholar] [CrossRef] [PubMed]
- Yasufuku, K.; Pierre, A.; Darling, G.; de Perrot, M.; Waddell, T.; Johnston, M.; Santos, G.D.C.; Geddie, W.; Boerner, S.; Le, L.W.; et al. A prospective controlled trial of endobronchial ultrasound-guided transbronchial needle aspiration compared with mediastinoscopy for mediastinal lymph node staging of lung cancer. J. Thorac. Cardiovasc. Surg. 2011, 142, 1393–1400.e1. [Google Scholar] [CrossRef] [Green Version]
- Kinsey, C.M.; Arenberg, D. Endobronchial Ultrasound–guided Transbronchial Needle Aspiration for Non–Small Cell Lung Cancer Staging. Am. J. Respir. Crit. Care Med. 2014, 189, 640–649. [Google Scholar] [CrossRef] [PubMed]
- Navani, N.; Brown, J.M.; Nankivell, M.; Woolhouse, I.; Harrison, R.N.; Jeebun, V.; Munavvar, M.; Ng, B.J.; Rassl, D.M.; Falzon, M.; et al. Suitabilitiy of Endobronchial Ultrasound-guided Transbronchial Needle Aspiration Specimens for Subtyping and Genotyping of Non-Small Cell Lung Cancer. Am. J. Respir. Crit. Care Med. 2012, 185, 1316–1322. [Google Scholar] [CrossRef]
- Navani, N.; Lawrence, D.R.; Kolvekar, S.; Hayward, M.; McAsey, D.; Kocjan, G.; Falzon, M.; Capitanio, A.; Shaw, P.; Morris, S.; et al. Endobronchial ultrasound-guided transbronchial needle aspiration prevents mediastinoscopies in the diagnosis of isolated mediastinal lymphadenopathy: A prospective trial. Am. J. Respir. Crit. Care Med. 2012, 186, 255–260. [Google Scholar] [CrossRef] [PubMed] [Green Version]
- Available online: https://www.accessdata.fda.gov/drugsatfda_docs/label/2018/208065s008lbl.pdf (accessed on 4 August 2020).
- Rizvi, H.; Sanchez-Vega, F.; La, K.; Chatila, W.; Jonsson, P.; Halpenny, D.; Plodkowski, A.; Long, N.; Sauter, J.L.; Rekhtman, N.; et al. Molecular Determinants of Response to Anti–Programmed Cell Death (PD)-1 and Anti–Programmed Death-Ligand 1 (PD-L1) Blockade in Patients With Non–Small-Cell Lung Cancer Profiled With Targeted Next-Generation Sequencing. J. Clin. Oncol. 2018, 36, 633–641. [Google Scholar] [CrossRef]
- Available online: https://www.accessdata.fda.gov/drugsatfda_docs/label/2019/125554s070lbl.pdf (accessed on 4 August 2020).
- Available online: https://www.fda.gov/drugs/resources-information-approved-drugs/fda-approves-atezolizumab-nab-paclitaxel-and-carboplatin-metastatic-nsclc-without-egfralk (accessed on 4 August 2020).
- Available online: https://www.fda.gov/drugs/resources-information-approved-drugs/fda-grants-nivolumab-accelerated-approval-third-line-treatment-metastatic-small-cell-lung-cancer (accessed on 4 August 2020).
- Available online: https://www.fda.gov/drugs/resources-information-approved-drugs/pembrolizumab-keytruda-5-10-2017 (accessed on 4 August 2020).
- Fujiwara, T.; Yasufuku, K.; Nakajima, T.; Chiyo, M.; Yoshida, S.; Suzuki, M.; Shibuya, K.; Hiroshima, K.; Nakatani, Y.; Yoshino, I. The utility of sonographic features during endobronchial ultrasound-guided transbronchial needle aspiration for lymph node staging in patients with lung cancer: A standard endobronchial ultrasound image classification system. Chest 2010, 138, 641–647. [Google Scholar] [CrossRef]
- Schmid-Bindert, G.; Jiang, H.; Kähler, G.; Saur, J.; Henzler, T.; Wang, H.; Ren, S.; Zhou, C.; Pilz, L.R. Predicting malignancy in mediastinal lymph nodes by endobronchial ultrasound: A new ultrasound scoring system. Respirology 2012, 17, 1190–1198. [Google Scholar] [CrossRef] [PubMed]
- Wang, L.; Wu, W.; Hu, Y.; Teng, J.; Zhong, R.; Han, B.; Sun, J. Sonographic Features of Endobronchial Ultrasonography Predict Intrathoracic Lymph Node Metastasis in Lung Cancer Patients. Ann. Thorac. Surg. 2015, 100, 1203–1209. [Google Scholar] [CrossRef]
- Hylton, D.A.; Turner, J.; Shargall, Y.; Finley, C.; Agzarian, J.; Yasufuku, K.; Fahim, C.; Hanna, W.C. Ultrasonographic characteristics of lymph nodes as predictors of malignancy during endobronchial ultrasound (EBUS): A systematic review. Lung Cancer 2018, 126, 97–105. [Google Scholar] [CrossRef] [PubMed]
- Ortakoylu, M.G.; Iliaz, S.; Bahadir, A.; Aslan, A.; Iliaz, R.; Ozgul, M.A.; Urer, H.N. Diagnostic value of endobronchial ultrasound-guided transbronchial needle aspiration in various lung diseases. J. Bras. Pneumol. 2015, 41, 410–414. [Google Scholar] [CrossRef] [Green Version]
- Hylton, D.A.; Turner, S.; Kidane, B.; Spicer, J.; Xie, F.; Farrokhyar, F.; Yasufuku, K.; Agzarian, J.; Hanna, W.C. The Canada Lymph Node Score for prediction of malignancy in mediastinal lymph nodes during endobronchial ultrasound. J. Thorac. Cardiovasc. Surg. 2020, 159, 2499–2507.e3. [Google Scholar] [CrossRef]
- Gupta, N.C.; Tamim, W.J.; Graeber, G.G.; Bishop, H.A.; Hobbs, G.R. Mediastinal lymph node sampling following positron emission tomography with fluorodeoxyglucose imaging in lung cancer staging. Chest 2001, 120, 521–527. [Google Scholar] [CrossRef]
- Li, S.; Zheng, Q.; Ma, Y.; Wang, Y.; Feng, Y.; Zhao, B.; Yang, Y. Implications of False Negative and False Positive Diagnosis in Lymph Node Staging of NSCLC by Means of 18F-FDG PET/CT. PLoS ONE 2013, 8, e78552. [Google Scholar] [CrossRef] [PubMed]
- Crombag, L.M.; Dooms, C.; Stigt, J.A.; Tournoy, K.G.; Schuurbiers, O.C.; Ninaber, M.K.; Buikhuisen, W.A.; Hashemi, S.M.; Bonta, P.I.; Korevaar, D.A.; et al. Systematic and combined endosonographic staging of lung cancer (SCORE study). Eur. Respir. J. 2019, 53, 1800800. [Google Scholar] [CrossRef]
- Fujiwara, T.; Nakajima, T.; Inage, T.; Sata, Y.; Sakairi, Y.; Tamura, H.; Wada, H.; Suzuki, H.; Chiyo, M.; Yoshino, I. The combination of endobronchial elastography and sonographic findings during endobronchial ultrasound-guided transbronchial needle aspiration for predicting nodal metastasis. Thorac. Cancer 2019, 10, 2000–2005. [Google Scholar] [CrossRef] [Green Version]
- Lee, H.S.; Lee, G.K.; Lee, H.S.; Kim, M.S.; Lee, J.M.; Kim, H.Y.; Nam, B.H.; Zo, J.I.; Hwangbo, B. Real-time endobronchial ultrasound-guided transbronchial needle aspiration in mediastinal staging of non-small cell lung cancer: How many aspirations per target lymph node station? Chest 2008, 134, 368–374. [Google Scholar] [CrossRef]
- Nakajima, T.; Yasufuku, K.; Takahashi, R.; Shingyoji, M.; Hirata, T.; Itami, M.; Matsui, Y.; Itakura, M.; Iizasa, T.; Kimura, H. Comparison of 21-gauge and 22-gauge aspiration needle during endobronchial ultrasound-guided transbronchial needle aspiration. Respirology 2010, 16, 90–94. [Google Scholar] [CrossRef]
- Yarmus, L.; Akulian, J.; Lechtzin, N.; Yasin, F.; Kamdar, B.; Ernst, A.; Ost, D.E.; Ray, C.; Greenhill, S.R.; Jimenez, C.A.; et al. Comparison of 21-gauge and 22-gauge aspiration needle in endobronchial ultrasound-guided transbronchial needle aspiration: Results of the American College of Chest Physicians Quality Improvement Registry, Education, and Evaluation Registry. Chest 2013, 143, 1036–1043. [Google Scholar] [CrossRef] [Green Version]
- Saji, J.; Kurimoto, N.; Morita, K.; Nakamura, M.; Inoue, T.; Nakamura, H.; Miyazawa, T. Comparison of 21-gauge and 22-gauge Needles for Endobronchial Ultrasound-Guided Transbronchial Needle Aspiration of Mediastinal and Hilar Lymph Nodes. J. Bronchol. Interv. Pulmonol. 2011, 18, 239–246. [Google Scholar] [CrossRef]
- Dooms, C.; Borght, S.V.; Yserbyt, J.; Testelmans, D.; Wauters, E.; Nackaerts, K.; Vansteenkiste, J.; Verbeken, E.; Weynand, B. A Randomized Clinical Trial of Flex 19G Needles versus 22G Needles for Endobronchial Ultrasonography in Suspected Lung Cancer. Respiration 2018, 96, 275–282. [Google Scholar] [CrossRef]
- Wolters, C.; Darwiche, K.; Franzen, D.; Hager, T.; Bode-Lesnievska, B.; Kneuertz, P.J.; He, K.; Koenig, M.; Freitag, L.; Wei, L.; et al. A Prospective, Randomized Trial for the Comparison of 19-G and 22-G Endobronchial Ultrasound-Guided Transbronchial Aspiration Needles; Introducing a Novel End Point of Sample Weight Corrected for Blood Content. Clin. Lung Cancer 2019, 20, e265–e273. [Google Scholar] [CrossRef] [PubMed]
- Pickering, E.M.; Holden, V.K.; Heath, J.E.; Verceles, A.C.; Kalchiem-Dekel, O.; Sachdeva, A. Tissue Acquisition During EBUS-TBNA: Comparison of Cell Blocks Obtained From a 19G Versus 21G Needle. J. Bronchol. Interv. Pulmonol. 2019, 26, 237–244. [Google Scholar] [CrossRef] [PubMed]
- Carbone, D.P.; Gandara, D.R.; Antonia, S.J.; Zielinski, C.; Paz-Ares, L. Non–Small-Cell Lung Cancer: Role of the Immune System and Potential for Immunotherapy. J. Thorac. Oncol. 2015, 10, 974–984. [Google Scholar] [CrossRef] [Green Version]
- Oezkan, F.; Herold, T.; Darwiche, K.; Eberhardt, W.E.E.; Worm, K.; Christoph, D.C.; Wiesweg, M.; Freitag, L.; Schmid, K.-W.; Theegarten, D.; et al. Rapid and Highly Sensitive Detection of Therapeutically Relevant Oncogenic Driver Mutations in EBUS-TBNA Specimens From Patients With Lung Adenocarcinoma. Clin. Lung Cancer 2018, 19, e879–e884. [Google Scholar] [CrossRef] [PubMed]
- Zhang, J.; Guo, J.-R.; Huang, Z.-S.; Fu, W.-L.; Wu, X.-L.; Kuebler, W.M.; Herth, F.J.F.; Fan, Y. Transbronchial mediastinal cryobiopsy in the diagnosis of mediastinal lesions: A randomized trial. Eur. Respir. J. 2021, 58. online ahead of print. [Google Scholar] [CrossRef]
- Casal, R.F.; Staerkel, G.A.; Ost, D.; Almeida, F.A.; Uzbeck, M.H.; Eapen, G.A.; Jimenez, C.A.; Nogueras-Gonzalez, G.M.; Sarkiss, M.; Morice, R.C. Randomized Clinical Trial of Endobronchial Ultrasound Needle Biopsy With and Without Aspiration. Chest 2012, 142, 568–573. [Google Scholar] [CrossRef] [Green Version]
- Shiroyama, T.; Okamoto, N.; Suzuki, H.; Tamiya, M.; Yamadori, T.; Morishita, N.; Otsuka, T.; Morita, S.; Kurata, K.; Okimura, A.; et al. Usefulness of High Suction Pressure for Sufficient Tissue Collection During Endobronchial Ultrasound Guided Transbronchial Needle Aspiration. PLoS ONE 2013, 8, e82787. [Google Scholar] [CrossRef]
- Oki, M.; Saka, H.; Kitagawa, C.; Kogure, Y.; Murata, N.; Adachi, T.; Ando, M. Rapid On-Site Cytologic Evaluation during Endobronchial Ultrasound-Guided Transbronchial Needle Aspiration for Diagnosing Lung Cancer: A Randomized Study. Respiration 2013, 85, 486–492. [Google Scholar] [CrossRef]
- Nakajima, T.; Yasufuku, K.; Saegusa, F.; Fujiwara, T.; Sakairi, Y.; Hiroshima, K.; Nakatani, Y.; Yoshino, I. Rapid On-Site Cytologic Evaluation During Endobronchial Ultrasound-Guided Transbronchial Needle Aspiration for Nodal Staging in Patients With Lung Cancer. Ann. Thorac. Surg. 2013, 95, 1695–1699. [Google Scholar] [CrossRef]
- Joseph, M.; Jones, T.; Lutterbie, Y.; Maygarden, S.J.; Feins, R.H.; Haithcock, B.E.; Veeramachaneni, N.K. Rapid On-Site Pathologic Evaluation Does Not Increase the Efficacy of Endobronchial Ultrasonographic Biopsy for Mediastinal Staging. Ann. Thorac. Surg. 2013, 96, 403–410. [Google Scholar] [CrossRef] [PubMed]
- Choi, S.M.; Lee, A.-R.; Choe, J.-Y.; Nam, S.J.; Chung, D.H.; Lee, J.; Lee, C.-H.; Lee, S.-M.; Yim, J.-J.; Yoo, C.-G.; et al. Adequacy Criteria of Rapid On-Site Evaluation for Endobronchial Ultrasound-Guided Transbronchial Needle Aspiration: A Simple Algorithm to Assess the Adequacy of ROSE. Ann. Thorac. Surg. 2015, 101, 444–450. [Google Scholar] [CrossRef]
- Stevenson, T.; Powari, M.; Bowles, C. Evolution of a rapid onsite evaluation (ROSE) service for endobronchial ultrasound guided (EBUS) fine needle aspiration (FNA) cytology in a UK Hospital: A 7 year audit. Diagn. Cytopathol. 2018, 46, 656–662. [Google Scholar] [CrossRef] [PubMed]
- Caupena, C.; Esteban, L.; Jaen, A.; Barreiro, B.; Albero, R.; Perez-Ochoa, F.; De Souza, P.P.; Gibert, O.; Ferrer, C.; Forcada, P.; et al. Concordance Between Rapid On-Site Evaluation and Final Cytologic Diagnosis in Patients Undergoing Endobronchial Ultrasound-Guided Transbronchial Needle Aspiration for Non-Small Cell Lung Cancer Staging. Am. J. Clin. Pathol. 2020, 153, 190–197. [Google Scholar] [CrossRef] [PubMed]
- Yarmus, L.; Akulian, J.; Gilbert, C.; Feller-Kopman, D.; Lee, H.J.; Zarogoulidis, P.; Lechtzin, N.; Ali, S.Z.; Sathiyamoorthy, V. Optimizing Endobronchial Ultrasound for Molecular Analysis. How Many Passes Are Needed? Ann. Am. Thorac. Soc. 2013, 10, 636–643. [Google Scholar] [CrossRef]
- Trisolini, R.; Cancellieri, A.; Tinelli, C.; de Biase, D.; Valentini, I.; Casadei, G.; Paioli, D.; Ferrari, F.; Gordini, G.; Patelli, M.; et al. Randomized Trial of Endobronchial Ultrasound-Guided Transbronchial Needle Aspiration With and Without Rapid On-site Evaluation for Lung Cancer Genotyping. Chest 2015, 148, 1430–1437. [Google Scholar] [CrossRef]
- Dumur, C.I.; Kraft, A.O. Next-generation sequencing and the cytopathologist. Cancer Cytopathol. 2015, 123, 69–70. [Google Scholar] [CrossRef]
- Vigliar, E.; Malapelle, U.; De Luca, C.; Bellevicine, C.; Troncone, G. Challenges and opportunities of next-generation sequencing: A cytopathologist’s perspective. Cytopathology 2015, 26, 271–283. [Google Scholar] [CrossRef] [PubMed]
- Stoy, S.P.; Segal, J.P.; Mueller, J.; Furtado, L.V.; Vokes, E.E.; Patel, J.D.; Murgu, S. Feasibility of Endobronchial Ultrasound-guided Transbronchial Needle Aspiration Cytology Specimens for Next Generation Sequencing in Non–small-cell Lung Cancer. Clin. Lung Cancer 2018, 19, 230–238.e2. [Google Scholar] [CrossRef]
- Casadio, C.; Guarize, J.; Donghi, S.; Di Tonno, C.; Fumagalli, C.; Vacirca, D.; Dell’Orto, P.; De Marinis, F.; Spaggiari, L.; Viale, G.; et al. Molecular Testing for Targeted Therapy in Advanced Non–Small Cell Lung Cancer: Suitability of Endobronchial Ultrasound Transbronchial Needle Aspiration. Am. J. Clin. Pathol. 2015, 144, 629–634. [Google Scholar] [CrossRef] [PubMed]
- Fumagalli, C.; Casadio, C.; Barberis, M.; Guarize, J.; Guerini-Rocco, E. Letter to the Editor, Comment on Feasibility of Endobronchial Ultrasound-guided Transbronchial Needle Aspiration Cytology Specimens for Next Generation Sequencing in Non-small-cell Lung Cancer. Clin. Lung Cancer 2018, 19, e439–e440. [Google Scholar] [CrossRef] [PubMed]
- Sakakibara, R.; Inamura, K.; Tambo, Y.; Ninomiya, H.; Kitazono, S.; Yanagitani, N.; Horiike, A.; Ohyanagi, F.; Matsuura, Y.; Nakao, M.; et al. EBUS-TBNA as a Promising Method for the Evaluation of Tumor PD-L1 Expression in Lung Cancer. Clin. Lung Cancer 2017, 18, 527–534.e1. [Google Scholar] [CrossRef]
- Mineura, K.; Hamaji, M.; Yoshizawa, A.; Nakajima, N.; Kayawake, H.; Tanaka, S.; Yamada, Y.; Yutaka, Y.; Nakajima, D.; Ohsumi, A.; et al. Diagnostic yield of endobronchial ultrasound-guided transbronchial needle aspiration to assess tumor-programmed cell death ligand-1 expression in mediastinal lymph nodes metastasized from non-small cell lung cancer. Surg. Today 2020, 50, 1049–1055. [Google Scholar] [CrossRef]
- Sakata, K.K.; Midthun, D.E.; Mullon, J.J.; Kern, R.M.; Nelson, D.R.; Edell, E.S.; Schiavo, D.N.; Jett, J.R.; Aubry, M.C. Comparison of Programmed Death Ligand-1 Immunohistochemical Staining Between Endobronchial Ultrasound Transbronchial Needle Aspiration and Resected Lung Cancer Specimens. Chest 2018, 154, 827–837. [Google Scholar] [CrossRef]
- Yoshimura, K.; Inoue, Y.; Karayama, M.; Tsuchiya, K.; Mori, K.; Suzuki, Y.; Iwashita, Y.; Kahyo, T.; Kawase, A.; Tanahashi, M.; et al. Heterogeneity analysis of PD-L1 expression and copy number status in EBUS-TBNA biopsy specimens of non-small cell lung cancer: Comparative assessment of primary and metastatic sites. Lung Cancer 2019, 134, 202–209. [Google Scholar] [CrossRef]
- Gosney, J.R.; Haragan, A.; Chadwick, C.; Giles, T.E.; Grundy, S.; Tippett, V.; Gumparthy, K.P.; Wight, A.; Tan, H.G. Programmed death ligand 1 expression in EBUS aspirates of non-small cell lung cancer: Is interpretation affected by type of fixation? Cancer Cytopathol. 2020, 128, 100–106. [Google Scholar] [CrossRef]


| Manufacturer | Model | Needle Size (Gauge) | Needle Tip Specification | MATERIAL |
|---|---|---|---|---|
| Olympus | Vizishot 1 | 21, 22 | stainless steel | |
| Vizishot 2 | 21, 22 | nitinol | ||
| Vizishot 2 Flex | 19 | nitinol | ||
| Cook Medical | Echotip | 22, 25 | stainless steel | |
| Echotip Procore HD | 22, 25 | nitinol | ||
| Boston Scientific | Expect Pulmonary | 22, 25 | Cobalt–chromium | |
| Acquire Pulmonary | 22, 25 | Cobalt–chromium | ||
| Medi-Globe | Sonotip EBUS Pro | 22 | stainless steel | |
| Sonotip EBUS Pro Flex | 22 | nitinol | ||
| Sonotip Topgain | 22 | 3-point needle tip design with a crown cut | nitinol |
Publisher’s Note: MDPI stays neutral with regard to jurisdictional claims in published maps and institutional affiliations. |
© 2021 by the authors. Licensee MDPI, Basel, Switzerland. This article is an open access article distributed under the terms and conditions of the Creative Commons Attribution (CC BY) license (https://creativecommons.org/licenses/by/4.0/).
Share and Cite
Oezkan, F.; Eisenmann, S.; Darwiche, K.; Gassa, A.; Carbone, D.P.; Merritt, R.E.; Kneuertz, P.J. Linear Endobronchial Ultrasound in the Era of Personalized Lung Cancer Diagnostics—A Technical Review. J. Clin. Med. 2021, 10, 5646. https://doi.org/10.3390/jcm10235646
Oezkan F, Eisenmann S, Darwiche K, Gassa A, Carbone DP, Merritt RE, Kneuertz PJ. Linear Endobronchial Ultrasound in the Era of Personalized Lung Cancer Diagnostics—A Technical Review. Journal of Clinical Medicine. 2021; 10(23):5646. https://doi.org/10.3390/jcm10235646
Chicago/Turabian StyleOezkan, Filiz, Stephan Eisenmann, Kaid Darwiche, Asmae Gassa, David P. Carbone, Robert E. Merritt, and Peter J. Kneuertz. 2021. "Linear Endobronchial Ultrasound in the Era of Personalized Lung Cancer Diagnostics—A Technical Review" Journal of Clinical Medicine 10, no. 23: 5646. https://doi.org/10.3390/jcm10235646
APA StyleOezkan, F., Eisenmann, S., Darwiche, K., Gassa, A., Carbone, D. P., Merritt, R. E., & Kneuertz, P. J. (2021). Linear Endobronchial Ultrasound in the Era of Personalized Lung Cancer Diagnostics—A Technical Review. Journal of Clinical Medicine, 10(23), 5646. https://doi.org/10.3390/jcm10235646

